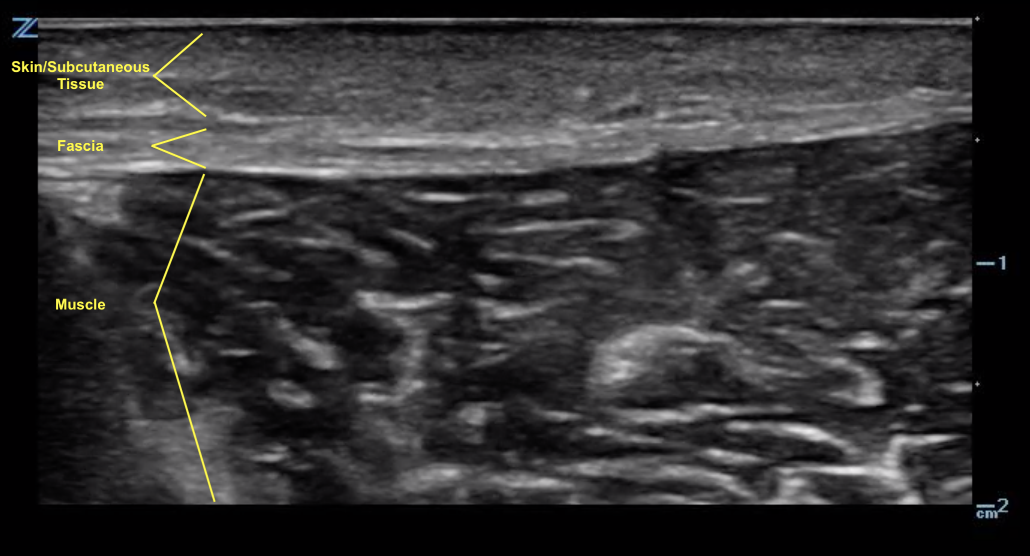
Layers Of Skin On Ultrasound . The spatial resolution of us nowadays allows optimal definition of the skin layers, similar to histologic sections, according. This chapter reviews the normal sonographic anatomy of the skin, hair, nail, and relevant adjacent structures, with emphasis on the key ultrasound points. The most superficial layer of the skin is the epidermis, which contains keratinocytes, melanocytes, and langerhans cells.
from laclinic.com.sg
This chapter reviews the normal sonographic anatomy of the skin, hair, nail, and relevant adjacent structures, with emphasis on the key ultrasound points. The spatial resolution of us nowadays allows optimal definition of the skin layers, similar to histologic sections, according. The most superficial layer of the skin is the epidermis, which contains keratinocytes, melanocytes, and langerhans cells.
» HIFU
Layers Of Skin On Ultrasound This chapter reviews the normal sonographic anatomy of the skin, hair, nail, and relevant adjacent structures, with emphasis on the key ultrasound points. The most superficial layer of the skin is the epidermis, which contains keratinocytes, melanocytes, and langerhans cells. The spatial resolution of us nowadays allows optimal definition of the skin layers, similar to histologic sections, according. This chapter reviews the normal sonographic anatomy of the skin, hair, nail, and relevant adjacent structures, with emphasis on the key ultrasound points.
From www.researchgate.net
Ultrasound anatomy of the abdominal wall layers. EOM, external oblique Layers Of Skin On Ultrasound The most superficial layer of the skin is the epidermis, which contains keratinocytes, melanocytes, and langerhans cells. This chapter reviews the normal sonographic anatomy of the skin, hair, nail, and relevant adjacent structures, with emphasis on the key ultrasound points. The spatial resolution of us nowadays allows optimal definition of the skin layers, similar to histologic sections, according. Layers Of Skin On Ultrasound.
From www.vrogue.co
Layers Of Scrotum Medizzy vrogue.co Layers Of Skin On Ultrasound The most superficial layer of the skin is the epidermis, which contains keratinocytes, melanocytes, and langerhans cells. This chapter reviews the normal sonographic anatomy of the skin, hair, nail, and relevant adjacent structures, with emphasis on the key ultrasound points. The spatial resolution of us nowadays allows optimal definition of the skin layers, similar to histologic sections, according. Layers Of Skin On Ultrasound.
From www.jaad.org
Clinical usefulness of variablefrequency ultrasound in localized Layers Of Skin On Ultrasound The most superficial layer of the skin is the epidermis, which contains keratinocytes, melanocytes, and langerhans cells. The spatial resolution of us nowadays allows optimal definition of the skin layers, similar to histologic sections, according. This chapter reviews the normal sonographic anatomy of the skin, hair, nail, and relevant adjacent structures, with emphasis on the key ultrasound points. Layers Of Skin On Ultrasound.
From www.semanticscholar.org
BENIGN LESIONS OF THE SUBCUTANEOUS SOFT TISSUE WITH CALCIFICATIONS Layers Of Skin On Ultrasound This chapter reviews the normal sonographic anatomy of the skin, hair, nail, and relevant adjacent structures, with emphasis on the key ultrasound points. The most superficial layer of the skin is the epidermis, which contains keratinocytes, melanocytes, and langerhans cells. The spatial resolution of us nowadays allows optimal definition of the skin layers, similar to histologic sections, according. Layers Of Skin On Ultrasound.
From longportinc.com
High Resolution Ultrasound Dermal Imaging for Assessing Skin Treatments Layers Of Skin On Ultrasound The most superficial layer of the skin is the epidermis, which contains keratinocytes, melanocytes, and langerhans cells. The spatial resolution of us nowadays allows optimal definition of the skin layers, similar to histologic sections, according. This chapter reviews the normal sonographic anatomy of the skin, hair, nail, and relevant adjacent structures, with emphasis on the key ultrasound points. Layers Of Skin On Ultrasound.
From www.verywellhealth.com
Skin Layers Structure, Function, Anatomy, and More Layers Of Skin On Ultrasound This chapter reviews the normal sonographic anatomy of the skin, hair, nail, and relevant adjacent structures, with emphasis on the key ultrasound points. The most superficial layer of the skin is the epidermis, which contains keratinocytes, melanocytes, and langerhans cells. The spatial resolution of us nowadays allows optimal definition of the skin layers, similar to histologic sections, according. Layers Of Skin On Ultrasound.
From www.researchgate.net
Ultrasonographic and skin surface anatomy landmarks for the vertical Layers Of Skin On Ultrasound The spatial resolution of us nowadays allows optimal definition of the skin layers, similar to histologic sections, according. This chapter reviews the normal sonographic anatomy of the skin, hair, nail, and relevant adjacent structures, with emphasis on the key ultrasound points. The most superficial layer of the skin is the epidermis, which contains keratinocytes, melanocytes, and langerhans cells. Layers Of Skin On Ultrasound.
From www.mdpi.com
Diagnostics Free FullText Automated Skin Lesion Classification on Layers Of Skin On Ultrasound The most superficial layer of the skin is the epidermis, which contains keratinocytes, melanocytes, and langerhans cells. This chapter reviews the normal sonographic anatomy of the skin, hair, nail, and relevant adjacent structures, with emphasis on the key ultrasound points. The spatial resolution of us nowadays allows optimal definition of the skin layers, similar to histologic sections, according. Layers Of Skin On Ultrasound.
From www.researchgate.net
The difference between normal abdominal subcutaneous tissue and LHT Layers Of Skin On Ultrasound The most superficial layer of the skin is the epidermis, which contains keratinocytes, melanocytes, and langerhans cells. This chapter reviews the normal sonographic anatomy of the skin, hair, nail, and relevant adjacent structures, with emphasis on the key ultrasound points. The spatial resolution of us nowadays allows optimal definition of the skin layers, similar to histologic sections, according. Layers Of Skin On Ultrasound.
From jaxdmc.com
Skinformation Dermatology & Mohs Center Layers Of Skin On Ultrasound The most superficial layer of the skin is the epidermis, which contains keratinocytes, melanocytes, and langerhans cells. The spatial resolution of us nowadays allows optimal definition of the skin layers, similar to histologic sections, according. This chapter reviews the normal sonographic anatomy of the skin, hair, nail, and relevant adjacent structures, with emphasis on the key ultrasound points. Layers Of Skin On Ultrasound.
From www.youtube.com
Skin Ultrasound YouTube Layers Of Skin On Ultrasound The spatial resolution of us nowadays allows optimal definition of the skin layers, similar to histologic sections, according. The most superficial layer of the skin is the epidermis, which contains keratinocytes, melanocytes, and langerhans cells. This chapter reviews the normal sonographic anatomy of the skin, hair, nail, and relevant adjacent structures, with emphasis on the key ultrasound points. Layers Of Skin On Ultrasound.
From ultherapy.com
A Deeper Lift Non Surgical Skin Tightening Ultherapy Layers Of Skin On Ultrasound This chapter reviews the normal sonographic anatomy of the skin, hair, nail, and relevant adjacent structures, with emphasis on the key ultrasound points. The most superficial layer of the skin is the epidermis, which contains keratinocytes, melanocytes, and langerhans cells. The spatial resolution of us nowadays allows optimal definition of the skin layers, similar to histologic sections, according. Layers Of Skin On Ultrasound.
From www.acep.org
Sonoguide // Abscess Evaluation Layers Of Skin On Ultrasound This chapter reviews the normal sonographic anatomy of the skin, hair, nail, and relevant adjacent structures, with emphasis on the key ultrasound points. The most superficial layer of the skin is the epidermis, which contains keratinocytes, melanocytes, and langerhans cells. The spatial resolution of us nowadays allows optimal definition of the skin layers, similar to histologic sections, according. Layers Of Skin On Ultrasound.
From www.semanticscholar.org
BENIGN LESIONS OF THE SUBCUTANEOUS SOFT TISSUE WITH CALCIFICATIONS Layers Of Skin On Ultrasound The spatial resolution of us nowadays allows optimal definition of the skin layers, similar to histologic sections, according. The most superficial layer of the skin is the epidermis, which contains keratinocytes, melanocytes, and langerhans cells. This chapter reviews the normal sonographic anatomy of the skin, hair, nail, and relevant adjacent structures, with emphasis on the key ultrasound points. Layers Of Skin On Ultrasound.
From www.mdpi.com
Applied Sciences Free FullText Possibilities of Ultrasound Layers Of Skin On Ultrasound This chapter reviews the normal sonographic anatomy of the skin, hair, nail, and relevant adjacent structures, with emphasis on the key ultrasound points. The spatial resolution of us nowadays allows optimal definition of the skin layers, similar to histologic sections, according. The most superficial layer of the skin is the epidermis, which contains keratinocytes, melanocytes, and langerhans cells. Layers Of Skin On Ultrasound.
From mavink.com
Skin Anatomy Ultrasound Layers Of Skin On Ultrasound This chapter reviews the normal sonographic anatomy of the skin, hair, nail, and relevant adjacent structures, with emphasis on the key ultrasound points. The most superficial layer of the skin is the epidermis, which contains keratinocytes, melanocytes, and langerhans cells. The spatial resolution of us nowadays allows optimal definition of the skin layers, similar to histologic sections, according. Layers Of Skin On Ultrasound.
From www.longportinc.com
High Resolution Ultrasound Dermal Imaging for Assessing Skin Treatments Layers Of Skin On Ultrasound This chapter reviews the normal sonographic anatomy of the skin, hair, nail, and relevant adjacent structures, with emphasis on the key ultrasound points. The spatial resolution of us nowadays allows optimal definition of the skin layers, similar to histologic sections, according. The most superficial layer of the skin is the epidermis, which contains keratinocytes, melanocytes, and langerhans cells. Layers Of Skin On Ultrasound.
From www.semanticscholar.org
Figure 1 from The premammary layer at breast sonography imaging normal Layers Of Skin On Ultrasound The most superficial layer of the skin is the epidermis, which contains keratinocytes, melanocytes, and langerhans cells. The spatial resolution of us nowadays allows optimal definition of the skin layers, similar to histologic sections, according. This chapter reviews the normal sonographic anatomy of the skin, hair, nail, and relevant adjacent structures, with emphasis on the key ultrasound points. Layers Of Skin On Ultrasound.
From www.thelancet.com
The role of skin ultrasound in systemic sclerosis looking below the Layers Of Skin On Ultrasound The most superficial layer of the skin is the epidermis, which contains keratinocytes, melanocytes, and langerhans cells. The spatial resolution of us nowadays allows optimal definition of the skin layers, similar to histologic sections, according. This chapter reviews the normal sonographic anatomy of the skin, hair, nail, and relevant adjacent structures, with emphasis on the key ultrasound points. Layers Of Skin On Ultrasound.
From journals.sagepub.com
Overview of Ultrasound Imaging Applications in Dermatology Nouf Layers Of Skin On Ultrasound This chapter reviews the normal sonographic anatomy of the skin, hair, nail, and relevant adjacent structures, with emphasis on the key ultrasound points. The spatial resolution of us nowadays allows optimal definition of the skin layers, similar to histologic sections, according. The most superficial layer of the skin is the epidermis, which contains keratinocytes, melanocytes, and langerhans cells. Layers Of Skin On Ultrasound.
From laclinic.com.sg
» HIFU Layers Of Skin On Ultrasound This chapter reviews the normal sonographic anatomy of the skin, hair, nail, and relevant adjacent structures, with emphasis on the key ultrasound points. The spatial resolution of us nowadays allows optimal definition of the skin layers, similar to histologic sections, according. The most superficial layer of the skin is the epidermis, which contains keratinocytes, melanocytes, and langerhans cells. Layers Of Skin On Ultrasound.
From mavink.com
Dvt Ultrasound Anatomy Layers Of Skin On Ultrasound This chapter reviews the normal sonographic anatomy of the skin, hair, nail, and relevant adjacent structures, with emphasis on the key ultrasound points. The most superficial layer of the skin is the epidermis, which contains keratinocytes, melanocytes, and langerhans cells. The spatial resolution of us nowadays allows optimal definition of the skin layers, similar to histologic sections, according. Layers Of Skin On Ultrasound.
From www.jrheum.org
Ultrasound, Skin, and Joints in Psoriatic Arthritis The Journal of Layers Of Skin On Ultrasound The spatial resolution of us nowadays allows optimal definition of the skin layers, similar to histologic sections, according. This chapter reviews the normal sonographic anatomy of the skin, hair, nail, and relevant adjacent structures, with emphasis on the key ultrasound points. The most superficial layer of the skin is the epidermis, which contains keratinocytes, melanocytes, and langerhans cells. Layers Of Skin On Ultrasound.
From www.pinterest.es
Pin on Sonography Layers Of Skin On Ultrasound This chapter reviews the normal sonographic anatomy of the skin, hair, nail, and relevant adjacent structures, with emphasis on the key ultrasound points. The most superficial layer of the skin is the epidermis, which contains keratinocytes, melanocytes, and langerhans cells. The spatial resolution of us nowadays allows optimal definition of the skin layers, similar to histologic sections, according. Layers Of Skin On Ultrasound.
From mavink.com
Layers Of Skin Ultrasound Layers Of Skin On Ultrasound The most superficial layer of the skin is the epidermis, which contains keratinocytes, melanocytes, and langerhans cells. The spatial resolution of us nowadays allows optimal definition of the skin layers, similar to histologic sections, according. This chapter reviews the normal sonographic anatomy of the skin, hair, nail, and relevant adjacent structures, with emphasis on the key ultrasound points. Layers Of Skin On Ultrasound.
From www.researchgate.net
All the detected and segmented main regions of the skin ultrasound Layers Of Skin On Ultrasound This chapter reviews the normal sonographic anatomy of the skin, hair, nail, and relevant adjacent structures, with emphasis on the key ultrasound points. The spatial resolution of us nowadays allows optimal definition of the skin layers, similar to histologic sections, according. The most superficial layer of the skin is the epidermis, which contains keratinocytes, melanocytes, and langerhans cells. Layers Of Skin On Ultrasound.
From www.emcurious.com
Ultrasound Leadership Academy Intro to Musculoskeletal Ultrasound — EM Layers Of Skin On Ultrasound The spatial resolution of us nowadays allows optimal definition of the skin layers, similar to histologic sections, according. The most superficial layer of the skin is the epidermis, which contains keratinocytes, melanocytes, and langerhans cells. This chapter reviews the normal sonographic anatomy of the skin, hair, nail, and relevant adjacent structures, with emphasis on the key ultrasound points. Layers Of Skin On Ultrasound.
From www.jaad.org
Ultrasound tightening of facial and neck skin A raterblinded Layers Of Skin On Ultrasound This chapter reviews the normal sonographic anatomy of the skin, hair, nail, and relevant adjacent structures, with emphasis on the key ultrasound points. The most superficial layer of the skin is the epidermis, which contains keratinocytes, melanocytes, and langerhans cells. The spatial resolution of us nowadays allows optimal definition of the skin layers, similar to histologic sections, according. Layers Of Skin On Ultrasound.
From underthehelipad.com
Ultrasound of the Week 037 Under The Helipad Layers Of Skin On Ultrasound The spatial resolution of us nowadays allows optimal definition of the skin layers, similar to histologic sections, according. This chapter reviews the normal sonographic anatomy of the skin, hair, nail, and relevant adjacent structures, with emphasis on the key ultrasound points. The most superficial layer of the skin is the epidermis, which contains keratinocytes, melanocytes, and langerhans cells. Layers Of Skin On Ultrasound.
From www.researchgate.net
Ultrasound image of the left preauricular region in patient 8. Imaging Layers Of Skin On Ultrasound The most superficial layer of the skin is the epidermis, which contains keratinocytes, melanocytes, and langerhans cells. The spatial resolution of us nowadays allows optimal definition of the skin layers, similar to histologic sections, according. This chapter reviews the normal sonographic anatomy of the skin, hair, nail, and relevant adjacent structures, with emphasis on the key ultrasound points. Layers Of Skin On Ultrasound.
From mavink.com
Layers Of Forearm Ultrasound Layers Of Skin On Ultrasound This chapter reviews the normal sonographic anatomy of the skin, hair, nail, and relevant adjacent structures, with emphasis on the key ultrasound points. The most superficial layer of the skin is the epidermis, which contains keratinocytes, melanocytes, and langerhans cells. The spatial resolution of us nowadays allows optimal definition of the skin layers, similar to histologic sections, according. Layers Of Skin On Ultrasound.
From mavink.com
Us Anterior Abdominal Wall Ultrasound Layers Of Skin On Ultrasound The spatial resolution of us nowadays allows optimal definition of the skin layers, similar to histologic sections, according. This chapter reviews the normal sonographic anatomy of the skin, hair, nail, and relevant adjacent structures, with emphasis on the key ultrasound points. The most superficial layer of the skin is the epidermis, which contains keratinocytes, melanocytes, and langerhans cells. Layers Of Skin On Ultrasound.
From www.slideserve.com
PPT Breast Ultrasound PowerPoint Presentation ID2176649 Layers Of Skin On Ultrasound The spatial resolution of us nowadays allows optimal definition of the skin layers, similar to histologic sections, according. This chapter reviews the normal sonographic anatomy of the skin, hair, nail, and relevant adjacent structures, with emphasis on the key ultrasound points. The most superficial layer of the skin is the epidermis, which contains keratinocytes, melanocytes, and langerhans cells. Layers Of Skin On Ultrasound.
From aneskey.com
Skin and SoftTissue Ultrasound Anesthesia Key Layers Of Skin On Ultrasound This chapter reviews the normal sonographic anatomy of the skin, hair, nail, and relevant adjacent structures, with emphasis on the key ultrasound points. The spatial resolution of us nowadays allows optimal definition of the skin layers, similar to histologic sections, according. The most superficial layer of the skin is the epidermis, which contains keratinocytes, melanocytes, and langerhans cells. Layers Of Skin On Ultrasound.
From mskultrasound.net
Cellulitis Book Of MSK Ultrasound Layers Of Skin On Ultrasound The most superficial layer of the skin is the epidermis, which contains keratinocytes, melanocytes, and langerhans cells. The spatial resolution of us nowadays allows optimal definition of the skin layers, similar to histologic sections, according. This chapter reviews the normal sonographic anatomy of the skin, hair, nail, and relevant adjacent structures, with emphasis on the key ultrasound points. Layers Of Skin On Ultrasound.