What Is A Double Catheterization . — cardiologists use a procedure called cardiac catheterization to see how well your heart is working. The most common catheterization test looks for the blocked arteries typically associated with heart disease. — cardiac catheterization (also called cardiac cath or coronary angiogram) is an invasive imaging procedure that allows. coronary angiogram or angiography: in cardiac catheterization (or cath), your healthcare provider puts a very small, flexible, hollow tube (catheter) into a blood vessel in the groin, arm,. two radiopaque markers are positioned to identify the exit ports of both lumens. — cardiac catheterization is an imaging test that allows healthcare professionals to view a person’s blood. — cardiac catheterization (cardiac cath or heart cath) is a procedure to examine how well your heart is working.
from healthjade.net
The most common catheterization test looks for the blocked arteries typically associated with heart disease. — cardiac catheterization (cardiac cath or heart cath) is a procedure to examine how well your heart is working. coronary angiogram or angiography: — cardiac catheterization (also called cardiac cath or coronary angiogram) is an invasive imaging procedure that allows. in cardiac catheterization (or cath), your healthcare provider puts a very small, flexible, hollow tube (catheter) into a blood vessel in the groin, arm,. — cardiologists use a procedure called cardiac catheterization to see how well your heart is working. two radiopaque markers are positioned to identify the exit ports of both lumens. — cardiac catheterization is an imaging test that allows healthcare professionals to view a person’s blood.
Urinary catheter, types of urinary catheter & urinary catheter complications
What Is A Double Catheterization coronary angiogram or angiography: coronary angiogram or angiography: The most common catheterization test looks for the blocked arteries typically associated with heart disease. — cardiologists use a procedure called cardiac catheterization to see how well your heart is working. two radiopaque markers are positioned to identify the exit ports of both lumens. — cardiac catheterization (also called cardiac cath or coronary angiogram) is an invasive imaging procedure that allows. — cardiac catheterization is an imaging test that allows healthcare professionals to view a person’s blood. in cardiac catheterization (or cath), your healthcare provider puts a very small, flexible, hollow tube (catheter) into a blood vessel in the groin, arm,. — cardiac catheterization (cardiac cath or heart cath) is a procedure to examine how well your heart is working.
From www.healthline.com
Urinary Catheters Uses, Types, and Complications What Is A Double Catheterization — cardiac catheterization is an imaging test that allows healthcare professionals to view a person’s blood. in cardiac catheterization (or cath), your healthcare provider puts a very small, flexible, hollow tube (catheter) into a blood vessel in the groin, arm,. — cardiac catheterization (cardiac cath or heart cath) is a procedure to examine how well your heart. What Is A Double Catheterization.
From www.surgicaltechie.com
Foley's Catheter Uses and different sizes Surgical Technology What Is A Double Catheterization — cardiologists use a procedure called cardiac catheterization to see how well your heart is working. coronary angiogram or angiography: — cardiac catheterization (also called cardiac cath or coronary angiogram) is an invasive imaging procedure that allows. — cardiac catheterization is an imaging test that allows healthcare professionals to view a person’s blood. — cardiac. What Is A Double Catheterization.
From www.alamy.com
Double catheterization hires stock photography and images Alamy What Is A Double Catheterization two radiopaque markers are positioned to identify the exit ports of both lumens. in cardiac catheterization (or cath), your healthcare provider puts a very small, flexible, hollow tube (catheter) into a blood vessel in the groin, arm,. The most common catheterization test looks for the blocked arteries typically associated with heart disease. coronary angiogram or angiography: . What Is A Double Catheterization.
From www.zc-surgery.com
News What’s the difference between a double catheter and a triple catheter? What Is A Double Catheterization — cardiac catheterization is an imaging test that allows healthcare professionals to view a person’s blood. coronary angiogram or angiography: — cardiac catheterization (cardiac cath or heart cath) is a procedure to examine how well your heart is working. — cardiac catheterization (also called cardiac cath or coronary angiogram) is an invasive imaging procedure that allows.. What Is A Double Catheterization.
From internet-prod.nhlbi.nih.gov
Cardiac Catheterization What Is Cardiac Catheterization NHLBI, NIH What Is A Double Catheterization two radiopaque markers are positioned to identify the exit ports of both lumens. — cardiac catheterization is an imaging test that allows healthcare professionals to view a person’s blood. in cardiac catheterization (or cath), your healthcare provider puts a very small, flexible, hollow tube (catheter) into a blood vessel in the groin, arm,. — cardiac catheterization. What Is A Double Catheterization.
From hlic.net
ORION™ Central Venous Catheter Kits Health Line Medical Products What Is A Double Catheterization — cardiologists use a procedure called cardiac catheterization to see how well your heart is working. — cardiac catheterization (cardiac cath or heart cath) is a procedure to examine how well your heart is working. coronary angiogram or angiography: in cardiac catheterization (or cath), your healthcare provider puts a very small, flexible, hollow tube (catheter) into. What Is A Double Catheterization.
From www.youtube.com
DOUBLE LUMEN CATHETER YouTube What Is A Double Catheterization coronary angiogram or angiography: — cardiologists use a procedure called cardiac catheterization to see how well your heart is working. — cardiac catheterization (also called cardiac cath or coronary angiogram) is an invasive imaging procedure that allows. two radiopaque markers are positioned to identify the exit ports of both lumens. The most common catheterization test looks. What Is A Double Catheterization.
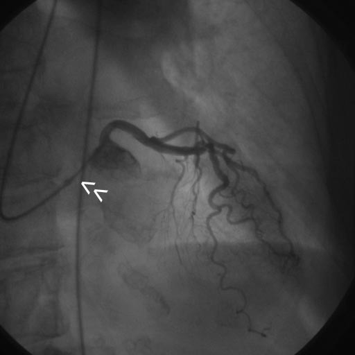
From www.hmpgloballearningnetwork.com
DoubleCatheter Technique for Catheterization of the Left Coronary Artery in a Patient with an What Is A Double Catheterization — cardiologists use a procedure called cardiac catheterization to see how well your heart is working. coronary angiogram or angiography: in cardiac catheterization (or cath), your healthcare provider puts a very small, flexible, hollow tube (catheter) into a blood vessel in the groin, arm,. The most common catheterization test looks for the blocked arteries typically associated with. What Is A Double Catheterization.
From exooldwyw.blob.core.windows.net
What Are The Different Types Of Urinary Catheters at Lorie White blog What Is A Double Catheterization — cardiac catheterization is an imaging test that allows healthcare professionals to view a person’s blood. The most common catheterization test looks for the blocked arteries typically associated with heart disease. — cardiac catheterization (also called cardiac cath or coronary angiogram) is an invasive imaging procedure that allows. two radiopaque markers are positioned to identify the exit. What Is A Double Catheterization.
From www.ucc-today.com
Urology & Continence Care Today Article Secret Life of Catheters an educational programme What Is A Double Catheterization two radiopaque markers are positioned to identify the exit ports of both lumens. The most common catheterization test looks for the blocked arteries typically associated with heart disease. — cardiac catheterization is an imaging test that allows healthcare professionals to view a person’s blood. — cardiac catheterization (cardiac cath or heart cath) is a procedure to examine. What Is A Double Catheterization.
From tube.medchrome.com
Urethral (Foley) Catheterization Procedure Video MedchromeTube What Is A Double Catheterization — cardiologists use a procedure called cardiac catheterization to see how well your heart is working. — cardiac catheterization (cardiac cath or heart cath) is a procedure to examine how well your heart is working. coronary angiogram or angiography: The most common catheterization test looks for the blocked arteries typically associated with heart disease. in cardiac. What Is A Double Catheterization.
From getcompletecare.com
Catheters 101 The Basics of Urinary Catheter Types What Is A Double Catheterization — cardiologists use a procedure called cardiac catheterization to see how well your heart is working. in cardiac catheterization (or cath), your healthcare provider puts a very small, flexible, hollow tube (catheter) into a blood vessel in the groin, arm,. — cardiac catheterization is an imaging test that allows healthcare professionals to view a person’s blood. . What Is A Double Catheterization.
From www.informedhealth.org
What happens during cardiac catheterization? What Is A Double Catheterization — cardiac catheterization (also called cardiac cath or coronary angiogram) is an invasive imaging procedure that allows. — cardiac catheterization (cardiac cath or heart cath) is a procedure to examine how well your heart is working. — cardiologists use a procedure called cardiac catheterization to see how well your heart is working. The most common catheterization test. What Is A Double Catheterization.
From mungfali.com
Subclavian Dialysis Catheter What Is A Double Catheterization The most common catheterization test looks for the blocked arteries typically associated with heart disease. — cardiac catheterization is an imaging test that allows healthcare professionals to view a person’s blood. — cardiac catheterization (cardiac cath or heart cath) is a procedure to examine how well your heart is working. two radiopaque markers are positioned to identify. What Is A Double Catheterization.
From www.bmj.com
Central venous catheters The BMJ What Is A Double Catheterization coronary angiogram or angiography: — cardiac catheterization (cardiac cath or heart cath) is a procedure to examine how well your heart is working. — cardiologists use a procedure called cardiac catheterization to see how well your heart is working. two radiopaque markers are positioned to identify the exit ports of both lumens. in cardiac catheterization. What Is A Double Catheterization.
From healthjade.net
Urinary catheter, types of urinary catheter & urinary catheter complications What Is A Double Catheterization The most common catheterization test looks for the blocked arteries typically associated with heart disease. — cardiologists use a procedure called cardiac catheterization to see how well your heart is working. — cardiac catheterization is an imaging test that allows healthcare professionals to view a person’s blood. two radiopaque markers are positioned to identify the exit ports. What Is A Double Catheterization.
From www.medicalnewstoday.com
Suprapubic catheters Uses, care, and what to expect What Is A Double Catheterization The most common catheterization test looks for the blocked arteries typically associated with heart disease. two radiopaque markers are positioned to identify the exit ports of both lumens. — cardiac catheterization (also called cardiac cath or coronary angiogram) is an invasive imaging procedure that allows. — cardiac catheterization (cardiac cath or heart cath) is a procedure to. What Is A Double Catheterization.
From www.unitekcollege.edu
A StepbyStep Guide to Catheterization Unitek College What Is A Double Catheterization — cardiac catheterization (also called cardiac cath or coronary angiogram) is an invasive imaging procedure that allows. — cardiac catheterization is an imaging test that allows healthcare professionals to view a person’s blood. The most common catheterization test looks for the blocked arteries typically associated with heart disease. in cardiac catheterization (or cath), your healthcare provider puts. What Is A Double Catheterization.
From www.verywellhealth.com
Cardiac Catheterization Uses, Procedure, Results What Is A Double Catheterization in cardiac catheterization (or cath), your healthcare provider puts a very small, flexible, hollow tube (catheter) into a blood vessel in the groin, arm,. coronary angiogram or angiography: — cardiologists use a procedure called cardiac catheterization to see how well your heart is working. The most common catheterization test looks for the blocked arteries typically associated with. What Is A Double Catheterization.
From www.unitekcollege.edu
StepbyStep Master's Guide to Catheterization Unitek College What Is A Double Catheterization — cardiac catheterization (also called cardiac cath or coronary angiogram) is an invasive imaging procedure that allows. The most common catheterization test looks for the blocked arteries typically associated with heart disease. two radiopaque markers are positioned to identify the exit ports of both lumens. in cardiac catheterization (or cath), your healthcare provider puts a very small,. What Is A Double Catheterization.
From www.osmosis.org
Urinary catheters and routine indwelling catheter care Clinical skills notes Osmosis What Is A Double Catheterization — cardiac catheterization (also called cardiac cath or coronary angiogram) is an invasive imaging procedure that allows. — cardiac catheterization (cardiac cath or heart cath) is a procedure to examine how well your heart is working. — cardiologists use a procedure called cardiac catheterization to see how well your heart is working. — cardiac catheterization is. What Is A Double Catheterization.
From mungfali.com
Central Venous Catheter Ports What Is A Double Catheterization The most common catheterization test looks for the blocked arteries typically associated with heart disease. — cardiac catheterization (cardiac cath or heart cath) is a procedure to examine how well your heart is working. in cardiac catheterization (or cath), your healthcare provider puts a very small, flexible, hollow tube (catheter) into a blood vessel in the groin, arm,.. What Is A Double Catheterization.
From vascufirst.com
Peripherally inserted central catheters (PICCs) The key principles VascuFirst What Is A Double Catheterization — cardiac catheterization is an imaging test that allows healthcare professionals to view a person’s blood. two radiopaque markers are positioned to identify the exit ports of both lumens. — cardiologists use a procedure called cardiac catheterization to see how well your heart is working. — cardiac catheterization (cardiac cath or heart cath) is a procedure. What Is A Double Catheterization.
From citoday.com
Simultaneous Measurement of Differential Pressures With a Dual Lumen Catheter Cardiac What Is A Double Catheterization — cardiac catheterization (also called cardiac cath or coronary angiogram) is an invasive imaging procedure that allows. two radiopaque markers are positioned to identify the exit ports of both lumens. coronary angiogram or angiography: The most common catheterization test looks for the blocked arteries typically associated with heart disease. — cardiac catheterization is an imaging test. What Is A Double Catheterization.
From mungfali.com
Male Catheters Types What Is A Double Catheterization — cardiac catheterization (cardiac cath or heart cath) is a procedure to examine how well your heart is working. in cardiac catheterization (or cath), your healthcare provider puts a very small, flexible, hollow tube (catheter) into a blood vessel in the groin, arm,. two radiopaque markers are positioned to identify the exit ports of both lumens. . What Is A Double Catheterization.
From www.verywellhealth.com
Urinary Catheters Explained What Is A Double Catheterization — cardiac catheterization (cardiac cath or heart cath) is a procedure to examine how well your heart is working. in cardiac catheterization (or cath), your healthcare provider puts a very small, flexible, hollow tube (catheter) into a blood vessel in the groin, arm,. The most common catheterization test looks for the blocked arteries typically associated with heart disease.. What Is A Double Catheterization.
From www.giejournal.org
Doublecatheter method to prevent dislodgement during percutaneous transhepatic cholangioscopy What Is A Double Catheterization two radiopaque markers are positioned to identify the exit ports of both lumens. — cardiologists use a procedure called cardiac catheterization to see how well your heart is working. — cardiac catheterization is an imaging test that allows healthcare professionals to view a person’s blood. — cardiac catheterization (also called cardiac cath or coronary angiogram) is. What Is A Double Catheterization.
From www.ausmed.com
Urinary Catheters Overview, Care & Assessment Ausmed What Is A Double Catheterization — cardiac catheterization is an imaging test that allows healthcare professionals to view a person’s blood. in cardiac catheterization (or cath), your healthcare provider puts a very small, flexible, hollow tube (catheter) into a blood vessel in the groin, arm,. The most common catheterization test looks for the blocked arteries typically associated with heart disease. — cardiologists. What Is A Double Catheterization.
From patientsafetyexperts.com
7 Different Types of Central Venous Catheters Patient Safety Experts What Is A Double Catheterization two radiopaque markers are positioned to identify the exit ports of both lumens. — cardiac catheterization (also called cardiac cath or coronary angiogram) is an invasive imaging procedure that allows. — cardiologists use a procedure called cardiac catheterization to see how well your heart is working. coronary angiogram or angiography: — cardiac catheterization (cardiac cath. What Is A Double Catheterization.
From dxowlshfw.blob.core.windows.net
Catheter Care Leaflet at Elenor Smith blog What Is A Double Catheterization — cardiologists use a procedure called cardiac catheterization to see how well your heart is working. — cardiac catheterization is an imaging test that allows healthcare professionals to view a person’s blood. in cardiac catheterization (or cath), your healthcare provider puts a very small, flexible, hollow tube (catheter) into a blood vessel in the groin, arm,. . What Is A Double Catheterization.
From www.caregiverology.com
Continuous Bladder Irrigation (CBI) Explained Caregiverology What Is A Double Catheterization — cardiac catheterization (also called cardiac cath or coronary angiogram) is an invasive imaging procedure that allows. — cardiologists use a procedure called cardiac catheterization to see how well your heart is working. The most common catheterization test looks for the blocked arteries typically associated with heart disease. coronary angiogram or angiography: in cardiac catheterization (or. What Is A Double Catheterization.
From www.pinterest.com
Central Venous Catheter (HD) Central venous catheter, Catheter, Patient care technician What Is A Double Catheterization — cardiac catheterization (cardiac cath or heart cath) is a procedure to examine how well your heart is working. The most common catheterization test looks for the blocked arteries typically associated with heart disease. coronary angiogram or angiography: in cardiac catheterization (or cath), your healthcare provider puts a very small, flexible, hollow tube (catheter) into a blood. What Is A Double Catheterization.
From www.tradeindia.com
Haemodialysis Double Lumen Catheter at 400.00 INR in New Delhi Medtech Devices What Is A Double Catheterization coronary angiogram or angiography: in cardiac catheterization (or cath), your healthcare provider puts a very small, flexible, hollow tube (catheter) into a blood vessel in the groin, arm,. two radiopaque markers are positioned to identify the exit ports of both lumens. — cardiac catheterization (also called cardiac cath or coronary angiogram) is an invasive imaging procedure. What Is A Double Catheterization.
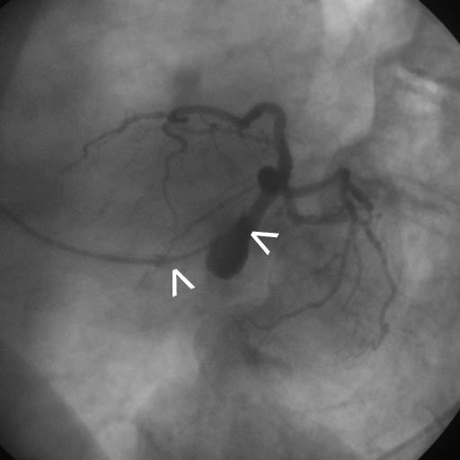
From www.hmpgloballearningnetwork.com
DoubleCatheter Technique for Catheterization of the Left Coronary Artery in a Patient with an What Is A Double Catheterization — cardiac catheterization (cardiac cath or heart cath) is a procedure to examine how well your heart is working. — cardiologists use a procedure called cardiac catheterization to see how well your heart is working. two radiopaque markers are positioned to identify the exit ports of both lumens. coronary angiogram or angiography: — cardiac catheterization. What Is A Double Catheterization.
From meditechdevices.com
Dura Flow Acute Hemodialysis Catheter Meditech Devices What Is A Double Catheterization — cardiac catheterization is an imaging test that allows healthcare professionals to view a person’s blood. — cardiologists use a procedure called cardiac catheterization to see how well your heart is working. in cardiac catheterization (or cath), your healthcare provider puts a very small, flexible, hollow tube (catheter) into a blood vessel in the groin, arm,. . What Is A Double Catheterization.