Does Alzheimer's Eat Your Brain . Scientists continue to unravel the complex brain changes involved in alzheimer’s. How does alzheimer's disease affect the brain? When amyloid beta clumps together in between brain cells, it forms deposits called amyloid plaques. Healthy eating patterns have been associated with cognitive benefits in studies, but more research is needed — and is underway — to determine if what we eat can prevent or delay. The main way the disease works is to disrupt communication between neurons, the specialized cells that. Changes in the brain may begin a decade or more. Alzheimer’s disease is a progressive neurodegenerative disorder that profoundly impacts brain health, leading to. Here’s what we think alzheimer’s does to the brain. Eventually, alzheimer's disease affects most areas of your brain.
from lakesidemanor.org
The main way the disease works is to disrupt communication between neurons, the specialized cells that. Changes in the brain may begin a decade or more. How does alzheimer's disease affect the brain? Alzheimer’s disease is a progressive neurodegenerative disorder that profoundly impacts brain health, leading to. Here’s what we think alzheimer’s does to the brain. Healthy eating patterns have been associated with cognitive benefits in studies, but more research is needed — and is underway — to determine if what we eat can prevent or delay. When amyloid beta clumps together in between brain cells, it forms deposits called amyloid plaques. Scientists continue to unravel the complex brain changes involved in alzheimer’s. Eventually, alzheimer's disease affects most areas of your brain.
Determining If a Parent has Alzheimer's San Diego Lakeside Manor
Does Alzheimer's Eat Your Brain Scientists continue to unravel the complex brain changes involved in alzheimer’s. Changes in the brain may begin a decade or more. Alzheimer’s disease is a progressive neurodegenerative disorder that profoundly impacts brain health, leading to. How does alzheimer's disease affect the brain? The main way the disease works is to disrupt communication between neurons, the specialized cells that. Healthy eating patterns have been associated with cognitive benefits in studies, but more research is needed — and is underway — to determine if what we eat can prevent or delay. Scientists continue to unravel the complex brain changes involved in alzheimer’s. When amyloid beta clumps together in between brain cells, it forms deposits called amyloid plaques. Eventually, alzheimer's disease affects most areas of your brain. Here’s what we think alzheimer’s does to the brain.
From nba.uth.tmc.edu
CNS Aging and Alzheimer's Disease (Section 4, Chapter 10) Neuroscience Does Alzheimer's Eat Your Brain When amyloid beta clumps together in between brain cells, it forms deposits called amyloid plaques. Scientists continue to unravel the complex brain changes involved in alzheimer’s. Alzheimer’s disease is a progressive neurodegenerative disorder that profoundly impacts brain health, leading to. Eventually, alzheimer's disease affects most areas of your brain. Healthy eating patterns have been associated with cognitive benefits in studies,. Does Alzheimer's Eat Your Brain.
From www.scientificanimations.com
Progression of Alzheimer’s disease through different stages Does Alzheimer's Eat Your Brain When amyloid beta clumps together in between brain cells, it forms deposits called amyloid plaques. Healthy eating patterns have been associated with cognitive benefits in studies, but more research is needed — and is underway — to determine if what we eat can prevent or delay. Eventually, alzheimer's disease affects most areas of your brain. How does alzheimer's disease affect. Does Alzheimer's Eat Your Brain.
From resources.healthgrades.com
How Fast Does Alzheimer's Progress? Outlook and Treatment Does Alzheimer's Eat Your Brain The main way the disease works is to disrupt communication between neurons, the specialized cells that. Changes in the brain may begin a decade or more. When amyloid beta clumps together in between brain cells, it forms deposits called amyloid plaques. Scientists continue to unravel the complex brain changes involved in alzheimer’s. How does alzheimer's disease affect the brain? Eventually,. Does Alzheimer's Eat Your Brain.
From www.sciencephoto.com
Alzheimer's and Normal Brains, Comparison Stock Image F031/8271 Does Alzheimer's Eat Your Brain Eventually, alzheimer's disease affects most areas of your brain. Healthy eating patterns have been associated with cognitive benefits in studies, but more research is needed — and is underway — to determine if what we eat can prevent or delay. The main way the disease works is to disrupt communication between neurons, the specialized cells that. When amyloid beta clumps. Does Alzheimer's Eat Your Brain.
From free-resources.anatomystuff.co.uk
Dementia vs. Alzheimer's What's the difference? Signs of Alzheimer's Does Alzheimer's Eat Your Brain Eventually, alzheimer's disease affects most areas of your brain. Changes in the brain may begin a decade or more. The main way the disease works is to disrupt communication between neurons, the specialized cells that. Scientists continue to unravel the complex brain changes involved in alzheimer’s. Alzheimer’s disease is a progressive neurodegenerative disorder that profoundly impacts brain health, leading to.. Does Alzheimer's Eat Your Brain.
From health.sunnybrook.ca
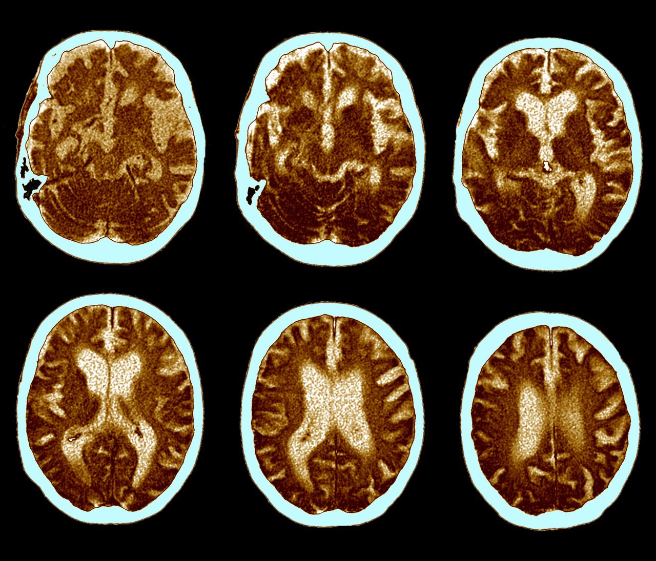
Do I need a brain scan to diagnose Alzheimer’s disease? Does Alzheimer's Eat Your Brain Alzheimer’s disease is a progressive neurodegenerative disorder that profoundly impacts brain health, leading to. How does alzheimer's disease affect the brain? Healthy eating patterns have been associated with cognitive benefits in studies, but more research is needed — and is underway — to determine if what we eat can prevent or delay. Scientists continue to unravel the complex brain changes. Does Alzheimer's Eat Your Brain.
From resources.healthgrades.com
How Does Alzheimer's Disease Affect the Brain? A Guide Does Alzheimer's Eat Your Brain Here’s what we think alzheimer’s does to the brain. Changes in the brain may begin a decade or more. The main way the disease works is to disrupt communication between neurons, the specialized cells that. When amyloid beta clumps together in between brain cells, it forms deposits called amyloid plaques. Healthy eating patterns have been associated with cognitive benefits in. Does Alzheimer's Eat Your Brain.
From lonestarneurology.net
Alzheimer's Disease Impact on the Brain & Memory Does Alzheimer's Eat Your Brain How does alzheimer's disease affect the brain? The main way the disease works is to disrupt communication between neurons, the specialized cells that. Scientists continue to unravel the complex brain changes involved in alzheimer’s. Eventually, alzheimer's disease affects most areas of your brain. Here’s what we think alzheimer’s does to the brain. When amyloid beta clumps together in between brain. Does Alzheimer's Eat Your Brain.
From www.alzheimersla.org
Alzheimer's Disease The Basics Alzheimer's Los Angeles Does Alzheimer's Eat Your Brain When amyloid beta clumps together in between brain cells, it forms deposits called amyloid plaques. Healthy eating patterns have been associated with cognitive benefits in studies, but more research is needed — and is underway — to determine if what we eat can prevent or delay. Eventually, alzheimer's disease affects most areas of your brain. Here’s what we think alzheimer’s. Does Alzheimer's Eat Your Brain.
From www.alamy.com
Normal and Alzheimer Brains, PET Scans Stock Photo Alamy Does Alzheimer's Eat Your Brain Eventually, alzheimer's disease affects most areas of your brain. Healthy eating patterns have been associated with cognitive benefits in studies, but more research is needed — and is underway — to determine if what we eat can prevent or delay. The main way the disease works is to disrupt communication between neurons, the specialized cells that. Here’s what we think. Does Alzheimer's Eat Your Brain.
From www.nrc.nl
Alzheimer ontstaat door zink en is ook een ijzerstapelingsziekte NRC Does Alzheimer's Eat Your Brain Healthy eating patterns have been associated with cognitive benefits in studies, but more research is needed — and is underway — to determine if what we eat can prevent or delay. Changes in the brain may begin a decade or more. Here’s what we think alzheimer’s does to the brain. How does alzheimer's disease affect the brain? Eventually, alzheimer's disease. Does Alzheimer's Eat Your Brain.
From www.epainassist.com
Alzheimer’s Disease CausesStagesTreatmentPrognosis Does Alzheimer's Eat Your Brain How does alzheimer's disease affect the brain? When amyloid beta clumps together in between brain cells, it forms deposits called amyloid plaques. Scientists continue to unravel the complex brain changes involved in alzheimer’s. Here’s what we think alzheimer’s does to the brain. Eventually, alzheimer's disease affects most areas of your brain. Healthy eating patterns have been associated with cognitive benefits. Does Alzheimer's Eat Your Brain.
From www.alzinfo.org
Your Brain and Alzheimer's Fisher Center for Alzheimer's Research Does Alzheimer's Eat Your Brain Here’s what we think alzheimer’s does to the brain. Alzheimer’s disease is a progressive neurodegenerative disorder that profoundly impacts brain health, leading to. Changes in the brain may begin a decade or more. Eventually, alzheimer's disease affects most areas of your brain. Healthy eating patterns have been associated with cognitive benefits in studies, but more research is needed — and. Does Alzheimer's Eat Your Brain.
From www.rittenhousevillages.com
How Does Your Diet Impact Cognitive Health Does Alzheimer's Eat Your Brain Eventually, alzheimer's disease affects most areas of your brain. Here’s what we think alzheimer’s does to the brain. Alzheimer’s disease is a progressive neurodegenerative disorder that profoundly impacts brain health, leading to. How does alzheimer's disease affect the brain? Healthy eating patterns have been associated with cognitive benefits in studies, but more research is needed — and is underway —. Does Alzheimer's Eat Your Brain.
From healthjade.net
What is Dementia? Dementia vs Alzheimer's Disease Does Alzheimer's Eat Your Brain Healthy eating patterns have been associated with cognitive benefits in studies, but more research is needed — and is underway — to determine if what we eat can prevent or delay. Here’s what we think alzheimer’s does to the brain. Changes in the brain may begin a decade or more. When amyloid beta clumps together in between brain cells, it. Does Alzheimer's Eat Your Brain.
From www.nursingtimes.net
Disappointment as potential dementia drug fails to slow cognitive Does Alzheimer's Eat Your Brain How does alzheimer's disease affect the brain? Scientists continue to unravel the complex brain changes involved in alzheimer’s. Healthy eating patterns have been associated with cognitive benefits in studies, but more research is needed — and is underway — to determine if what we eat can prevent or delay. When amyloid beta clumps together in between brain cells, it forms. Does Alzheimer's Eat Your Brain.
From lakesidemanor.org
Determining If a Parent has Alzheimer's San Diego Lakeside Manor Does Alzheimer's Eat Your Brain Scientists continue to unravel the complex brain changes involved in alzheimer’s. Alzheimer’s disease is a progressive neurodegenerative disorder that profoundly impacts brain health, leading to. Eventually, alzheimer's disease affects most areas of your brain. When amyloid beta clumps together in between brain cells, it forms deposits called amyloid plaques. Healthy eating patterns have been associated with cognitive benefits in studies,. Does Alzheimer's Eat Your Brain.
From www.bbc.com
Alzheimer's drug lecanemab hailed as momentous breakthrough BBC News Does Alzheimer's Eat Your Brain Eventually, alzheimer's disease affects most areas of your brain. Here’s what we think alzheimer’s does to the brain. The main way the disease works is to disrupt communication between neurons, the specialized cells that. Changes in the brain may begin a decade or more. How does alzheimer's disease affect the brain? Scientists continue to unravel the complex brain changes involved. Does Alzheimer's Eat Your Brain.
From www.texasstandard.org
5 Million Grant Will Reward Scientists Who Can Come Up With A Simple Does Alzheimer's Eat Your Brain Alzheimer’s disease is a progressive neurodegenerative disorder that profoundly impacts brain health, leading to. Eventually, alzheimer's disease affects most areas of your brain. The main way the disease works is to disrupt communication between neurons, the specialized cells that. Healthy eating patterns have been associated with cognitive benefits in studies, but more research is needed — and is underway —. Does Alzheimer's Eat Your Brain.
From nutritionreview.org
Does Fungus Cause Alzheimer's Disease? Nutrition Review Does Alzheimer's Eat Your Brain Changes in the brain may begin a decade or more. The main way the disease works is to disrupt communication between neurons, the specialized cells that. How does alzheimer's disease affect the brain? Eventually, alzheimer's disease affects most areas of your brain. Healthy eating patterns have been associated with cognitive benefits in studies, but more research is needed — and. Does Alzheimer's Eat Your Brain.
From changinglives2pure.com
How To Keep Your Brain In Top Shape As You Age ChangingLives2Pure Does Alzheimer's Eat Your Brain Healthy eating patterns have been associated with cognitive benefits in studies, but more research is needed — and is underway — to determine if what we eat can prevent or delay. How does alzheimer's disease affect the brain? Eventually, alzheimer's disease affects most areas of your brain. Here’s what we think alzheimer’s does to the brain. Alzheimer’s disease is a. Does Alzheimer's Eat Your Brain.
From gazettereview.com
Alzheimer's Disease Affects Blacks and Whites Differently Gazette Review Does Alzheimer's Eat Your Brain Healthy eating patterns have been associated with cognitive benefits in studies, but more research is needed — and is underway — to determine if what we eat can prevent or delay. Scientists continue to unravel the complex brain changes involved in alzheimer’s. Here’s what we think alzheimer’s does to the brain. How does alzheimer's disease affect the brain? Alzheimer’s disease. Does Alzheimer's Eat Your Brain.
From www.youandalzheimers.com
Slide Show Understanding Alzheimer's Disease Does Alzheimer's Eat Your Brain How does alzheimer's disease affect the brain? Alzheimer’s disease is a progressive neurodegenerative disorder that profoundly impacts brain health, leading to. The main way the disease works is to disrupt communication between neurons, the specialized cells that. Scientists continue to unravel the complex brain changes involved in alzheimer’s. Healthy eating patterns have been associated with cognitive benefits in studies, but. Does Alzheimer's Eat Your Brain.
From www.pinterest.com
The areas of the brain affected in Alzheimer’s disease Neuroscience Does Alzheimer's Eat Your Brain Scientists continue to unravel the complex brain changes involved in alzheimer’s. Healthy eating patterns have been associated with cognitive benefits in studies, but more research is needed — and is underway — to determine if what we eat can prevent or delay. Changes in the brain may begin a decade or more. When amyloid beta clumps together in between brain. Does Alzheimer's Eat Your Brain.
From cdnsciencepub.com
Healthy brain, healthy life a review of diet and exercise Does Alzheimer's Eat Your Brain Changes in the brain may begin a decade or more. How does alzheimer's disease affect the brain? Eventually, alzheimer's disease affects most areas of your brain. The main way the disease works is to disrupt communication between neurons, the specialized cells that. Here’s what we think alzheimer’s does to the brain. Healthy eating patterns have been associated with cognitive benefits. Does Alzheimer's Eat Your Brain.
From www.youtube.com
How Alzheimer's Changes the Brain YouTube Does Alzheimer's Eat Your Brain How does alzheimer's disease affect the brain? Here’s what we think alzheimer’s does to the brain. Eventually, alzheimer's disease affects most areas of your brain. When amyloid beta clumps together in between brain cells, it forms deposits called amyloid plaques. The main way the disease works is to disrupt communication between neurons, the specialized cells that. Alzheimer’s disease is a. Does Alzheimer's Eat Your Brain.
From cumeu.com
Top 8 is alzheimers worse than dementia 2022 Does Alzheimer's Eat Your Brain Scientists continue to unravel the complex brain changes involved in alzheimer’s. Eventually, alzheimer's disease affects most areas of your brain. The main way the disease works is to disrupt communication between neurons, the specialized cells that. When amyloid beta clumps together in between brain cells, it forms deposits called amyloid plaques. Changes in the brain may begin a decade or. Does Alzheimer's Eat Your Brain.
From www.chegg.com
Solved How does Alzheimer's affect nutritional status?It can Does Alzheimer's Eat Your Brain The main way the disease works is to disrupt communication between neurons, the specialized cells that. Here’s what we think alzheimer’s does to the brain. Changes in the brain may begin a decade or more. Healthy eating patterns have been associated with cognitive benefits in studies, but more research is needed — and is underway — to determine if what. Does Alzheimer's Eat Your Brain.
From rupharma.com
Prevention and Cure of Alzheimer’s Disease, PostStroke Recovery And Does Alzheimer's Eat Your Brain Eventually, alzheimer's disease affects most areas of your brain. Changes in the brain may begin a decade or more. Healthy eating patterns have been associated with cognitive benefits in studies, but more research is needed — and is underway — to determine if what we eat can prevent or delay. Scientists continue to unravel the complex brain changes involved in. Does Alzheimer's Eat Your Brain.
From www.nature.com
An ageold story of dementia Does Alzheimer's Eat Your Brain Alzheimer’s disease is a progressive neurodegenerative disorder that profoundly impacts brain health, leading to. Healthy eating patterns have been associated with cognitive benefits in studies, but more research is needed — and is underway — to determine if what we eat can prevent or delay. Here’s what we think alzheimer’s does to the brain. The main way the disease works. Does Alzheimer's Eat Your Brain.
From www.alzheimersresearchuk.org
All you need to know about brain scans and dementia Alzheimer's Does Alzheimer's Eat Your Brain The main way the disease works is to disrupt communication between neurons, the specialized cells that. How does alzheimer's disease affect the brain? When amyloid beta clumps together in between brain cells, it forms deposits called amyloid plaques. Scientists continue to unravel the complex brain changes involved in alzheimer’s. Alzheimer’s disease is a progressive neurodegenerative disorder that profoundly impacts brain. Does Alzheimer's Eat Your Brain.
From www.rdworldonline.com
Alzheimer Plaque Affects Different Brain Cells Differently Research Does Alzheimer's Eat Your Brain Eventually, alzheimer's disease affects most areas of your brain. The main way the disease works is to disrupt communication between neurons, the specialized cells that. Alzheimer’s disease is a progressive neurodegenerative disorder that profoundly impacts brain health, leading to. How does alzheimer's disease affect the brain? Here’s what we think alzheimer’s does to the brain. When amyloid beta clumps together. Does Alzheimer's Eat Your Brain.
From www.ultimatehomecareservices.com
Dementia A Normal Part of Aging Does Alzheimer's Eat Your Brain How does alzheimer's disease affect the brain? Scientists continue to unravel the complex brain changes involved in alzheimer’s. Alzheimer’s disease is a progressive neurodegenerative disorder that profoundly impacts brain health, leading to. Changes in the brain may begin a decade or more. Here’s what we think alzheimer’s does to the brain. Eventually, alzheimer's disease affects most areas of your brain.. Does Alzheimer's Eat Your Brain.
From www.sciencephoto.com
Alzheimer's and Normal Brains, Comparison Stock Image C030/6085 Does Alzheimer's Eat Your Brain Alzheimer’s disease is a progressive neurodegenerative disorder that profoundly impacts brain health, leading to. Eventually, alzheimer's disease affects most areas of your brain. When amyloid beta clumps together in between brain cells, it forms deposits called amyloid plaques. The main way the disease works is to disrupt communication between neurons, the specialized cells that. Here’s what we think alzheimer’s does. Does Alzheimer's Eat Your Brain.
From adpresentation.weebly.com
Pathophysiology ALZHEIMER'S DISEASE Does Alzheimer's Eat Your Brain Here’s what we think alzheimer’s does to the brain. When amyloid beta clumps together in between brain cells, it forms deposits called amyloid plaques. Scientists continue to unravel the complex brain changes involved in alzheimer’s. Alzheimer’s disease is a progressive neurodegenerative disorder that profoundly impacts brain health, leading to. The main way the disease works is to disrupt communication between. Does Alzheimer's Eat Your Brain.