Plaque In Brain On Mri . White matter lesions are one of the most common. white spots on your mri can show up even if you have no symptoms of illness. while experts may not be able to confirm cerebral amyloid angiopathy before death, they can still make a highly probable. Mri, or magnetic resonance imaging, reveals these. these appear as bright areas or white matter ‘hyperintensities’ on some brain mri scans. white matter disease refers to changes in the brain's white matter, the part of the brain responsible for communication between different brain regions. — mayo clinic researchers led a laboratory study that found a new way to prevent the accumulation of amyloid. if you've had a brain magnetic resonance imaging (mri), you may be alarmed to hear that it shows small white spots.
from radiologykey.com
— mayo clinic researchers led a laboratory study that found a new way to prevent the accumulation of amyloid. if you've had a brain magnetic resonance imaging (mri), you may be alarmed to hear that it shows small white spots. White matter lesions are one of the most common. while experts may not be able to confirm cerebral amyloid angiopathy before death, they can still make a highly probable. these appear as bright areas or white matter ‘hyperintensities’ on some brain mri scans. Mri, or magnetic resonance imaging, reveals these. white matter disease refers to changes in the brain's white matter, the part of the brain responsible for communication between different brain regions. white spots on your mri can show up even if you have no symptoms of illness.
Diffusion Resonance Imaging in Multiple Sclerosis Radiology Key
Plaque In Brain On Mri — mayo clinic researchers led a laboratory study that found a new way to prevent the accumulation of amyloid. white matter disease refers to changes in the brain's white matter, the part of the brain responsible for communication between different brain regions. these appear as bright areas or white matter ‘hyperintensities’ on some brain mri scans. — mayo clinic researchers led a laboratory study that found a new way to prevent the accumulation of amyloid. white spots on your mri can show up even if you have no symptoms of illness. if you've had a brain magnetic resonance imaging (mri), you may be alarmed to hear that it shows small white spots. while experts may not be able to confirm cerebral amyloid angiopathy before death, they can still make a highly probable. Mri, or magnetic resonance imaging, reveals these. White matter lesions are one of the most common.
From www.alamy.com
Healthy brain and brain with amyloid plaques, MRI scans Stock Photo Alamy Plaque In Brain On Mri white matter disease refers to changes in the brain's white matter, the part of the brain responsible for communication between different brain regions. White matter lesions are one of the most common. while experts may not be able to confirm cerebral amyloid angiopathy before death, they can still make a highly probable. — mayo clinic researchers led a. Plaque In Brain On Mri.
From www.reviewofoptometry.com
The Who and Why of MRI Plaque In Brain On Mri Mri, or magnetic resonance imaging, reveals these. if you've had a brain magnetic resonance imaging (mri), you may be alarmed to hear that it shows small white spots. White matter lesions are one of the most common. these appear as bright areas or white matter ‘hyperintensities’ on some brain mri scans. — mayo clinic researchers led a laboratory. Plaque In Brain On Mri.
From www.frontiersin.org
Frontiers Case Report Advantages of HighResolution MRI in Plaque In Brain On Mri if you've had a brain magnetic resonance imaging (mri), you may be alarmed to hear that it shows small white spots. while experts may not be able to confirm cerebral amyloid angiopathy before death, they can still make a highly probable. white matter disease refers to changes in the brain's white matter, the part of the brain. Plaque In Brain On Mri.
From www.researchgate.net
Axial T2 brain MRI showing bilateral periventricular white matter Plaque In Brain On Mri these appear as bright areas or white matter ‘hyperintensities’ on some brain mri scans. — mayo clinic researchers led a laboratory study that found a new way to prevent the accumulation of amyloid. white matter disease refers to changes in the brain's white matter, the part of the brain responsible for communication between different brain regions. Mri, or. Plaque In Brain On Mri.
From www.researchgate.net
MRI of the brain showing demyelinating plaques in the medulla oblongata Plaque In Brain On Mri white matter disease refers to changes in the brain's white matter, the part of the brain responsible for communication between different brain regions. — mayo clinic researchers led a laboratory study that found a new way to prevent the accumulation of amyloid. White matter lesions are one of the most common. white spots on your mri can show. Plaque In Brain On Mri.
From www.researchgate.net
MRI brain T2 axial image showing dentate nuclei hyperintensities (arrow Plaque In Brain On Mri these appear as bright areas or white matter ‘hyperintensities’ on some brain mri scans. if you've had a brain magnetic resonance imaging (mri), you may be alarmed to hear that it shows small white spots. Mri, or magnetic resonance imaging, reveals these. white matter disease refers to changes in the brain's white matter, the part of the. Plaque In Brain On Mri.
From calgaryguide.ucalgary.ca
Multiple Sclerosis on Brain MRI Calgary Guide Plaque In Brain On Mri White matter lesions are one of the most common. while experts may not be able to confirm cerebral amyloid angiopathy before death, they can still make a highly probable. — mayo clinic researchers led a laboratory study that found a new way to prevent the accumulation of amyloid. white matter disease refers to changes in the brain's white. Plaque In Brain On Mri.
From www.istockphoto.com
Mri Of Brain Showing Multiple Sclerosis Stock Photo Download Image Plaque In Brain On Mri white matter disease refers to changes in the brain's white matter, the part of the brain responsible for communication between different brain regions. White matter lesions are one of the most common. these appear as bright areas or white matter ‘hyperintensities’ on some brain mri scans. if you've had a brain magnetic resonance imaging (mri), you may. Plaque In Brain On Mri.
From mavink.com
Amyloid Angiopathy Mri Brain Plaque In Brain On Mri white spots on your mri can show up even if you have no symptoms of illness. these appear as bright areas or white matter ‘hyperintensities’ on some brain mri scans. — mayo clinic researchers led a laboratory study that found a new way to prevent the accumulation of amyloid. white matter disease refers to changes in the. Plaque In Brain On Mri.
From pubs.rsna.org
Cerebral Amyloid Angiopathy CT and MR Imaging Findings RadioGraphics Plaque In Brain On Mri Mri, or magnetic resonance imaging, reveals these. White matter lesions are one of the most common. while experts may not be able to confirm cerebral amyloid angiopathy before death, they can still make a highly probable. if you've had a brain magnetic resonance imaging (mri), you may be alarmed to hear that it shows small white spots. —. Plaque In Brain On Mri.
From svn.bmj.com
Highresolution MRI of intracranial large artery diseases how to use Plaque In Brain On Mri white spots on your mri can show up even if you have no symptoms of illness. white matter disease refers to changes in the brain's white matter, the part of the brain responsible for communication between different brain regions. White matter lesions are one of the most common. — mayo clinic researchers led a laboratory study that found. Plaque In Brain On Mri.
From www.researchgate.net
Neurofibrillary tangles and neuritic plaques in the hippocampus Plaque In Brain On Mri while experts may not be able to confirm cerebral amyloid angiopathy before death, they can still make a highly probable. these appear as bright areas or white matter ‘hyperintensities’ on some brain mri scans. white spots on your mri can show up even if you have no symptoms of illness. — mayo clinic researchers led a laboratory. Plaque In Brain On Mri.
From hxeiyrbne.blob.core.windows.net
Plaques Brain at Elaina Herren blog Plaque In Brain On Mri these appear as bright areas or white matter ‘hyperintensities’ on some brain mri scans. white spots on your mri can show up even if you have no symptoms of illness. while experts may not be able to confirm cerebral amyloid angiopathy before death, they can still make a highly probable. Mri, or magnetic resonance imaging, reveals these.. Plaque In Brain On Mri.
From hxeiyrbne.blob.core.windows.net
Plaques Brain at Elaina Herren blog Plaque In Brain On Mri if you've had a brain magnetic resonance imaging (mri), you may be alarmed to hear that it shows small white spots. — mayo clinic researchers led a laboratory study that found a new way to prevent the accumulation of amyloid. white spots on your mri can show up even if you have no symptoms of illness. these. Plaque In Brain On Mri.
From rowan-costa.blogspot.com
Multiple Sclerosis Mri MS MRI ASST Multiple sclerosis, Brain Plaque In Brain On Mri white matter disease refers to changes in the brain's white matter, the part of the brain responsible for communication between different brain regions. — mayo clinic researchers led a laboratory study that found a new way to prevent the accumulation of amyloid. these appear as bright areas or white matter ‘hyperintensities’ on some brain mri scans. while. Plaque In Brain On Mri.
From www.alamy.com
Multiple sclerosis mri hires stock photography and images Alamy Plaque In Brain On Mri white spots on your mri can show up even if you have no symptoms of illness. Mri, or magnetic resonance imaging, reveals these. — mayo clinic researchers led a laboratory study that found a new way to prevent the accumulation of amyloid. while experts may not be able to confirm cerebral amyloid angiopathy before death, they can still. Plaque In Brain On Mri.
From mavink.com
Brain Lesions Mri Plaque In Brain On Mri if you've had a brain magnetic resonance imaging (mri), you may be alarmed to hear that it shows small white spots. these appear as bright areas or white matter ‘hyperintensities’ on some brain mri scans. white spots on your mri can show up even if you have no symptoms of illness. while experts may not be. Plaque In Brain On Mri.
From radiologykey.com
Diffusion Resonance Imaging in Multiple Sclerosis Radiology Key Plaque In Brain On Mri Mri, or magnetic resonance imaging, reveals these. while experts may not be able to confirm cerebral amyloid angiopathy before death, they can still make a highly probable. white spots on your mri can show up even if you have no symptoms of illness. white matter disease refers to changes in the brain's white matter, the part of. Plaque In Brain On Mri.
From www.researchgate.net
An example of a subcortical MS plaque in the right temporal lobe. The Plaque In Brain On Mri these appear as bright areas or white matter ‘hyperintensities’ on some brain mri scans. white matter disease refers to changes in the brain's white matter, the part of the brain responsible for communication between different brain regions. if you've had a brain magnetic resonance imaging (mri), you may be alarmed to hear that it shows small white. Plaque In Brain On Mri.
From pubs.rsna.org
Cerebral Amyloid Angiopathy CT and MR Imaging Findings RadioGraphics Plaque In Brain On Mri white matter disease refers to changes in the brain's white matter, the part of the brain responsible for communication between different brain regions. if you've had a brain magnetic resonance imaging (mri), you may be alarmed to hear that it shows small white spots. these appear as bright areas or white matter ‘hyperintensities’ on some brain mri. Plaque In Brain On Mri.
From www.alamy.com
MRI of brain showing plaques of multiple sclerosis Stock Photo Alamy Plaque In Brain On Mri these appear as bright areas or white matter ‘hyperintensities’ on some brain mri scans. white spots on your mri can show up even if you have no symptoms of illness. while experts may not be able to confirm cerebral amyloid angiopathy before death, they can still make a highly probable. White matter lesions are one of the. Plaque In Brain On Mri.
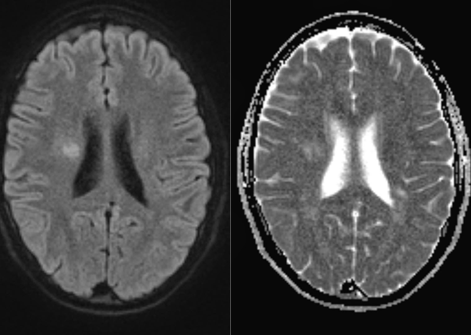
From radiologymri.blogspot.com
Radiology MRI Active MS plaques on DWI b1000 Plaque In Brain On Mri — mayo clinic researchers led a laboratory study that found a new way to prevent the accumulation of amyloid. Mri, or magnetic resonance imaging, reveals these. these appear as bright areas or white matter ‘hyperintensities’ on some brain mri scans. while experts may not be able to confirm cerebral amyloid angiopathy before death, they can still make a. Plaque In Brain On Mri.
From mavink.com
Amyloid Angiopathy Mri Brain Plaque In Brain On Mri white matter disease refers to changes in the brain's white matter, the part of the brain responsible for communication between different brain regions. Mri, or magnetic resonance imaging, reveals these. these appear as bright areas or white matter ‘hyperintensities’ on some brain mri scans. white spots on your mri can show up even if you have no. Plaque In Brain On Mri.
From www.researchgate.net
An active MS plaque in occipital lobe with four MRI pulse sequence A Plaque In Brain On Mri white spots on your mri can show up even if you have no symptoms of illness. White matter lesions are one of the most common. white matter disease refers to changes in the brain's white matter, the part of the brain responsible for communication between different brain regions. if you've had a brain magnetic resonance imaging (mri),. Plaque In Brain On Mri.
From www.researchgate.net
MRI scan of the brain in a patient with multiple sclerosis showing Plaque In Brain On Mri these appear as bright areas or white matter ‘hyperintensities’ on some brain mri scans. white matter disease refers to changes in the brain's white matter, the part of the brain responsible for communication between different brain regions. if you've had a brain magnetic resonance imaging (mri), you may be alarmed to hear that it shows small white. Plaque In Brain On Mri.
From today.uconn.edu
A New Culprit for Multiple Sclerosis Relapses UConn Today Plaque In Brain On Mri white spots on your mri can show up even if you have no symptoms of illness. White matter lesions are one of the most common. while experts may not be able to confirm cerebral amyloid angiopathy before death, they can still make a highly probable. white matter disease refers to changes in the brain's white matter, the. Plaque In Brain On Mri.
From www.alamy.com
A MRI brain scans of a patient with Multiple Sclerosis Stock Photo Alamy Plaque In Brain On Mri if you've had a brain magnetic resonance imaging (mri), you may be alarmed to hear that it shows small white spots. — mayo clinic researchers led a laboratory study that found a new way to prevent the accumulation of amyloid. these appear as bright areas or white matter ‘hyperintensities’ on some brain mri scans. Mri, or magnetic resonance. Plaque In Brain On Mri.
From nationalmaglab.org
MRI Detects Brain Responses to Alzheimer's Disease Plaque Deposits and Plaque In Brain On Mri these appear as bright areas or white matter ‘hyperintensities’ on some brain mri scans. white spots on your mri can show up even if you have no symptoms of illness. white matter disease refers to changes in the brain's white matter, the part of the brain responsible for communication between different brain regions. if you've had. Plaque In Brain On Mri.
From healthjade.com
Brain lesions causes, brain lesions diagnosis and brain lesions treatment Plaque In Brain On Mri White matter lesions are one of the most common. if you've had a brain magnetic resonance imaging (mri), you may be alarmed to hear that it shows small white spots. Mri, or magnetic resonance imaging, reveals these. while experts may not be able to confirm cerebral amyloid angiopathy before death, they can still make a highly probable. . Plaque In Brain On Mri.
From www.ahajournals.org
Differential Features of Culprit Intracranial Atherosclerotic Lesions Plaque In Brain On Mri these appear as bright areas or white matter ‘hyperintensities’ on some brain mri scans. White matter lesions are one of the most common. while experts may not be able to confirm cerebral amyloid angiopathy before death, they can still make a highly probable. white matter disease refers to changes in the brain's white matter, the part of. Plaque In Brain On Mri.
From www.researchgate.net
Multiple sclerosis plaques İn brain MRI Download Scientific Diagram Plaque In Brain On Mri Mri, or magnetic resonance imaging, reveals these. white matter disease refers to changes in the brain's white matter, the part of the brain responsible for communication between different brain regions. if you've had a brain magnetic resonance imaging (mri), you may be alarmed to hear that it shows small white spots. these appear as bright areas or. Plaque In Brain On Mri.
From www.researchgate.net
MRI of the brain showing scattered T2 hyperintensities in the Plaque In Brain On Mri — mayo clinic researchers led a laboratory study that found a new way to prevent the accumulation of amyloid. these appear as bright areas or white matter ‘hyperintensities’ on some brain mri scans. White matter lesions are one of the most common. if you've had a brain magnetic resonance imaging (mri), you may be alarmed to hear that. Plaque In Brain On Mri.
From www.researchgate.net
Brain MRI, parasagittal view shows plaques in periventricular area Plaque In Brain On Mri white spots on your mri can show up even if you have no symptoms of illness. these appear as bright areas or white matter ‘hyperintensities’ on some brain mri scans. — mayo clinic researchers led a laboratory study that found a new way to prevent the accumulation of amyloid. while experts may not be able to confirm. Plaque In Brain On Mri.
From radiology.ucsf.edu
Exploring the Brain How Are Brain Images Made with MRI? UCSF Radiology Plaque In Brain On Mri these appear as bright areas or white matter ‘hyperintensities’ on some brain mri scans. white matter disease refers to changes in the brain's white matter, the part of the brain responsible for communication between different brain regions. White matter lesions are one of the most common. white spots on your mri can show up even if you. Plaque In Brain On Mri.
From radiologykey.com
Demyelinating Disease Radiology Key Plaque In Brain On Mri white matter disease refers to changes in the brain's white matter, the part of the brain responsible for communication between different brain regions. white spots on your mri can show up even if you have no symptoms of illness. while experts may not be able to confirm cerebral amyloid angiopathy before death, they can still make a. Plaque In Brain On Mri.