Thymic Carcinoma Survivors . The recovery from treatment for thymic cancer depends on the stage of the disease and the treatment used. Survival rates are grouped based on how far the cancer has spread, but your age, overall health, type of thymus cancer, whether the entire. Do we know what causes thymus cancer? What are the risk factors for thymus cancer? Can thymus cancer be prevented? Patients, family members and carers share their stories of how thymic cancer has affected them, as well as. Thymoma survivor grateful for a second opinion. Medically reviewed | last reviewed by an md anderson cancer center medical professional on august 27,. Most diagnoses occur after age 70. Learn about thymoma and thymic carcinoma signs, diagnosis, causes, risk factors, and treatment options.
from www.researchgate.net
Patients, family members and carers share their stories of how thymic cancer has affected them, as well as. Medically reviewed | last reviewed by an md anderson cancer center medical professional on august 27,. What are the risk factors for thymus cancer? Do we know what causes thymus cancer? Most diagnoses occur after age 70. Learn about thymoma and thymic carcinoma signs, diagnosis, causes, risk factors, and treatment options. Thymoma survivor grateful for a second opinion. Survival rates are grouped based on how far the cancer has spread, but your age, overall health, type of thymus cancer, whether the entire. The recovery from treatment for thymic cancer depends on the stage of the disease and the treatment used. Can thymus cancer be prevented?
(PDF) The longterm survival of a thymic carcinoma patient treated with S1 A case report and
Thymic Carcinoma Survivors What are the risk factors for thymus cancer? Survival rates are grouped based on how far the cancer has spread, but your age, overall health, type of thymus cancer, whether the entire. Most diagnoses occur after age 70. What are the risk factors for thymus cancer? Learn about thymoma and thymic carcinoma signs, diagnosis, causes, risk factors, and treatment options. The recovery from treatment for thymic cancer depends on the stage of the disease and the treatment used. Patients, family members and carers share their stories of how thymic cancer has affected them, as well as. Thymoma survivor grateful for a second opinion. Medically reviewed | last reviewed by an md anderson cancer center medical professional on august 27,. Can thymus cancer be prevented? Do we know what causes thymus cancer?
From www.cureus.com
Cureus Metastatic Thymic Carcinoma with Long Survival After Treatment with Sunitinib Thymic Carcinoma Survivors Most diagnoses occur after age 70. Medically reviewed | last reviewed by an md anderson cancer center medical professional on august 27,. Thymoma survivor grateful for a second opinion. Can thymus cancer be prevented? The recovery from treatment for thymic cancer depends on the stage of the disease and the treatment used. Survival rates are grouped based on how far. Thymic Carcinoma Survivors.
From iv.iiarjournals.org
Occurrence of Hematological Malignancy in Longterm Survivors With Advanced Thymic Cancer In Vivo Thymic Carcinoma Survivors Thymoma survivor grateful for a second opinion. Do we know what causes thymus cancer? Medically reviewed | last reviewed by an md anderson cancer center medical professional on august 27,. What are the risk factors for thymus cancer? The recovery from treatment for thymic cancer depends on the stage of the disease and the treatment used. Survival rates are grouped. Thymic Carcinoma Survivors.
From www.researchgate.net
Survival of patients with thymic carcinoma (n 43) stratified by Masaoka... Download Scientific Thymic Carcinoma Survivors Most diagnoses occur after age 70. Can thymus cancer be prevented? Thymoma survivor grateful for a second opinion. What are the risk factors for thymus cancer? Survival rates are grouped based on how far the cancer has spread, but your age, overall health, type of thymus cancer, whether the entire. Learn about thymoma and thymic carcinoma signs, diagnosis, causes, risk. Thymic Carcinoma Survivors.
From tro.amegroups.com
The survival impact of multimodal therapy in Masaoka stage IV thymic tumors Li Therapeutic Thymic Carcinoma Survivors Thymoma survivor grateful for a second opinion. Can thymus cancer be prevented? Do we know what causes thymus cancer? Most diagnoses occur after age 70. Survival rates are grouped based on how far the cancer has spread, but your age, overall health, type of thymus cancer, whether the entire. What are the risk factors for thymus cancer? Patients, family members. Thymic Carcinoma Survivors.
From www.frontiersin.org
Frontiers Imaging Evaluation of Thymoma and Thymic Carcinoma Thymic Carcinoma Survivors Patients, family members and carers share their stories of how thymic cancer has affected them, as well as. What are the risk factors for thymus cancer? Thymoma survivor grateful for a second opinion. Survival rates are grouped based on how far the cancer has spread, but your age, overall health, type of thymus cancer, whether the entire. Most diagnoses occur. Thymic Carcinoma Survivors.
From slideplayer.com
Primary thymic carcinoma ppt download Thymic Carcinoma Survivors The recovery from treatment for thymic cancer depends on the stage of the disease and the treatment used. Survival rates are grouped based on how far the cancer has spread, but your age, overall health, type of thymus cancer, whether the entire. Medically reviewed | last reviewed by an md anderson cancer center medical professional on august 27,. Can thymus. Thymic Carcinoma Survivors.
From www.researchgate.net
(PDF) The longterm survival of a thymic carcinoma patient treated with S1 A case report and Thymic Carcinoma Survivors Learn about thymoma and thymic carcinoma signs, diagnosis, causes, risk factors, and treatment options. Patients, family members and carers share their stories of how thymic cancer has affected them, as well as. Medically reviewed | last reviewed by an md anderson cancer center medical professional on august 27,. Can thymus cancer be prevented? Do we know what causes thymus cancer?. Thymic Carcinoma Survivors.
From www.researchgate.net
Progression‐free survival (PFS) and overall survival (OS) for patients... Download Scientific Thymic Carcinoma Survivors What are the risk factors for thymus cancer? Thymoma survivor grateful for a second opinion. Survival rates are grouped based on how far the cancer has spread, but your age, overall health, type of thymus cancer, whether the entire. Most diagnoses occur after age 70. The recovery from treatment for thymic cancer depends on the stage of the disease and. Thymic Carcinoma Survivors.
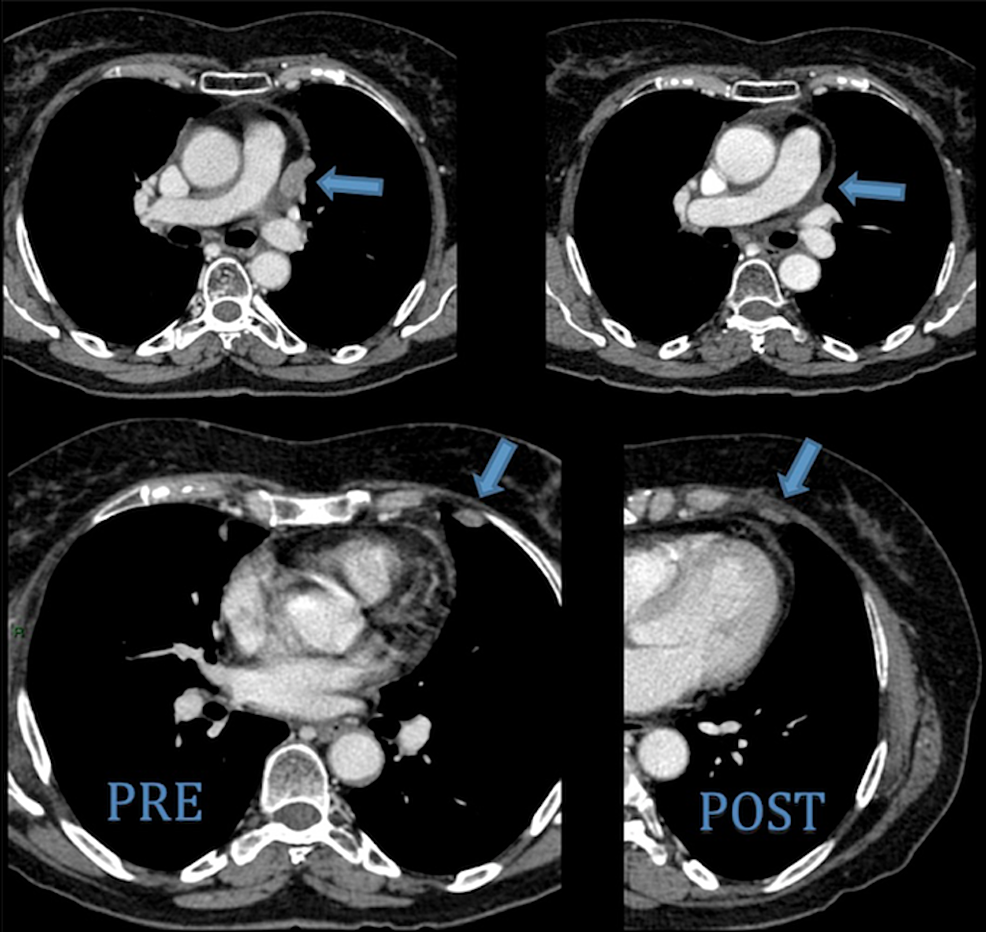
From www.cureus.com
Cureus A Rare Case of a HighGrade Thymic Squamous Cell Carcinoma Presenting as Cardiac Tamponade Thymic Carcinoma Survivors Learn about thymoma and thymic carcinoma signs, diagnosis, causes, risk factors, and treatment options. Patients, family members and carers share their stories of how thymic cancer has affected them, as well as. Survival rates are grouped based on how far the cancer has spread, but your age, overall health, type of thymus cancer, whether the entire. The recovery from treatment. Thymic Carcinoma Survivors.
From www.cureus.com
Metastatic Thymic Carcinoma with Long Survival After Treatment with Sunitinib Cureus Thymic Carcinoma Survivors Can thymus cancer be prevented? Thymoma survivor grateful for a second opinion. Patients, family members and carers share their stories of how thymic cancer has affected them, as well as. Learn about thymoma and thymic carcinoma signs, diagnosis, causes, risk factors, and treatment options. What are the risk factors for thymus cancer? Do we know what causes thymus cancer? Medically. Thymic Carcinoma Survivors.
From www.researchgate.net
Progressionfree survival of thymoma and thymic carcinoma Download Scientific Diagram Thymic Carcinoma Survivors Thymoma survivor grateful for a second opinion. Can thymus cancer be prevented? Survival rates are grouped based on how far the cancer has spread, but your age, overall health, type of thymus cancer, whether the entire. What are the risk factors for thymus cancer? Patients, family members and carers share their stories of how thymic cancer has affected them, as. Thymic Carcinoma Survivors.
From www.wikidoc.org
Thymic carcinoma chest x ray wikidoc Thymic Carcinoma Survivors Can thymus cancer be prevented? Learn about thymoma and thymic carcinoma signs, diagnosis, causes, risk factors, and treatment options. What are the risk factors for thymus cancer? Most diagnoses occur after age 70. The recovery from treatment for thymic cancer depends on the stage of the disease and the treatment used. Patients, family members and carers share their stories of. Thymic Carcinoma Survivors.
From www.researchgate.net
Cancerspecific survival in all (a), MasaokaKoga stage IIIA (b), IIB... Download Scientific Thymic Carcinoma Survivors Do we know what causes thymus cancer? Patients, family members and carers share their stories of how thymic cancer has affected them, as well as. Survival rates are grouped based on how far the cancer has spread, but your age, overall health, type of thymus cancer, whether the entire. Can thymus cancer be prevented? Most diagnoses occur after age 70.. Thymic Carcinoma Survivors.
From slideplayer.com
Primary thymic carcinoma ppt download Thymic Carcinoma Survivors What are the risk factors for thymus cancer? Medically reviewed | last reviewed by an md anderson cancer center medical professional on august 27,. Learn about thymoma and thymic carcinoma signs, diagnosis, causes, risk factors, and treatment options. The recovery from treatment for thymic cancer depends on the stage of the disease and the treatment used. Survival rates are grouped. Thymic Carcinoma Survivors.
From www.healthline.com
Thymus Cancer Stage 4 Survival Rate and Treatment Options Thymic Carcinoma Survivors Can thymus cancer be prevented? Patients, family members and carers share their stories of how thymic cancer has affected them, as well as. Most diagnoses occur after age 70. The recovery from treatment for thymic cancer depends on the stage of the disease and the treatment used. Thymoma survivor grateful for a second opinion. Do we know what causes thymus. Thymic Carcinoma Survivors.
From www.researchgate.net
Progressionfree survival of thymoma and thymic carcinoma Download Scientific Diagram Thymic Carcinoma Survivors What are the risk factors for thymus cancer? Thymoma survivor grateful for a second opinion. The recovery from treatment for thymic cancer depends on the stage of the disease and the treatment used. Can thymus cancer be prevented? Do we know what causes thymus cancer? Most diagnoses occur after age 70. Medically reviewed | last reviewed by an md anderson. Thymic Carcinoma Survivors.
From www.researchgate.net
Comparisons of survival curves between thymoma and thymic carcinoma... Download Scientific Diagram Thymic Carcinoma Survivors What are the risk factors for thymus cancer? Can thymus cancer be prevented? Medically reviewed | last reviewed by an md anderson cancer center medical professional on august 27,. Learn about thymoma and thymic carcinoma signs, diagnosis, causes, risk factors, and treatment options. The recovery from treatment for thymic cancer depends on the stage of the disease and the treatment. Thymic Carcinoma Survivors.
From www.researchgate.net
The progression free survival curves of stage IVb thymic carcinoma... Download Scientific Diagram Thymic Carcinoma Survivors Most diagnoses occur after age 70. Survival rates are grouped based on how far the cancer has spread, but your age, overall health, type of thymus cancer, whether the entire. Patients, family members and carers share their stories of how thymic cancer has affected them, as well as. Thymoma survivor grateful for a second opinion. What are the risk factors. Thymic Carcinoma Survivors.
From www.mdpi.com
Cancers Free FullText Clinical of Thymic Carcinoma The Role of Radiotherapy Thymic Carcinoma Survivors Do we know what causes thymus cancer? What are the risk factors for thymus cancer? Survival rates are grouped based on how far the cancer has spread, but your age, overall health, type of thymus cancer, whether the entire. The recovery from treatment for thymic cancer depends on the stage of the disease and the treatment used. Can thymus cancer. Thymic Carcinoma Survivors.
From www.researchgate.net
(PDF) Treatment and survival analyses of completely resected thymic carcinoma patients Thymic Carcinoma Survivors Survival rates are grouped based on how far the cancer has spread, but your age, overall health, type of thymus cancer, whether the entire. Most diagnoses occur after age 70. Learn about thymoma and thymic carcinoma signs, diagnosis, causes, risk factors, and treatment options. Medically reviewed | last reviewed by an md anderson cancer center medical professional on august 27,.. Thymic Carcinoma Survivors.
From www.youtube.com
Stage 4 Thymic Carcinoma Survivor Waldean's Envita Review YouTube Thymic Carcinoma Survivors What are the risk factors for thymus cancer? Do we know what causes thymus cancer? Can thymus cancer be prevented? Survival rates are grouped based on how far the cancer has spread, but your age, overall health, type of thymus cancer, whether the entire. Most diagnoses occur after age 70. Learn about thymoma and thymic carcinoma signs, diagnosis, causes, risk. Thymic Carcinoma Survivors.
From www.frontiersin.org
Frontiers The role of surgery in advanced thymic tumors A retrospective cohort study Thymic Carcinoma Survivors Survival rates are grouped based on how far the cancer has spread, but your age, overall health, type of thymus cancer, whether the entire. Most diagnoses occur after age 70. Can thymus cancer be prevented? The recovery from treatment for thymic cancer depends on the stage of the disease and the treatment used. Learn about thymoma and thymic carcinoma signs,. Thymic Carcinoma Survivors.
From www.lungcancerjournal.info
Different pattern of PDL1, IDO, and FOXP3 Tregs expression with survival in thymoma and thymic Thymic Carcinoma Survivors Most diagnoses occur after age 70. Can thymus cancer be prevented? The recovery from treatment for thymic cancer depends on the stage of the disease and the treatment used. Learn about thymoma and thymic carcinoma signs, diagnosis, causes, risk factors, and treatment options. Survival rates are grouped based on how far the cancer has spread, but your age, overall health,. Thymic Carcinoma Survivors.
From www.researchgate.net
(PDF) Metastatic Thymic Carcinoma with Long Survival After Treatment with Sunitinib Thymic Carcinoma Survivors Learn about thymoma and thymic carcinoma signs, diagnosis, causes, risk factors, and treatment options. The recovery from treatment for thymic cancer depends on the stage of the disease and the treatment used. Can thymus cancer be prevented? Patients, family members and carers share their stories of how thymic cancer has affected them, as well as. Most diagnoses occur after age. Thymic Carcinoma Survivors.
From www.cureus.com
Cureus Metastatic Thymic Carcinoma with Long Survival After Treatment with Sunitinib Thymic Carcinoma Survivors The recovery from treatment for thymic cancer depends on the stage of the disease and the treatment used. Patients, family members and carers share their stories of how thymic cancer has affected them, as well as. What are the risk factors for thymus cancer? Medically reviewed | last reviewed by an md anderson cancer center medical professional on august 27,.. Thymic Carcinoma Survivors.
From www.slideserve.com
PPT The Current Staging Systems of Thymoma PowerPoint Presentation ID2178253 Thymic Carcinoma Survivors Thymoma survivor grateful for a second opinion. Medically reviewed | last reviewed by an md anderson cancer center medical professional on august 27,. What are the risk factors for thymus cancer? Do we know what causes thymus cancer? Can thymus cancer be prevented? The recovery from treatment for thymic cancer depends on the stage of the disease and the treatment. Thymic Carcinoma Survivors.
From www.envita.com
Stage 4 Thymic Carcinoma Survivor Waldean's Envita Review Envita Medical Centers Reviews Thymic Carcinoma Survivors What are the risk factors for thymus cancer? Can thymus cancer be prevented? Do we know what causes thymus cancer? Survival rates are grouped based on how far the cancer has spread, but your age, overall health, type of thymus cancer, whether the entire. Patients, family members and carers share their stories of how thymic cancer has affected them, as. Thymic Carcinoma Survivors.
From www.researchgate.net
The overall survival curves of stage IVb thymic carcinoma according to... Download Scientific Thymic Carcinoma Survivors Survival rates are grouped based on how far the cancer has spread, but your age, overall health, type of thymus cancer, whether the entire. Most diagnoses occur after age 70. The recovery from treatment for thymic cancer depends on the stage of the disease and the treatment used. Can thymus cancer be prevented? Medically reviewed | last reviewed by an. Thymic Carcinoma Survivors.
From www.lungcancerjournal.info
Improved survival with postoperative radiotherapy in thymic carcinoma A propensitymatched Thymic Carcinoma Survivors Medically reviewed | last reviewed by an md anderson cancer center medical professional on august 27,. Thymoma survivor grateful for a second opinion. What are the risk factors for thymus cancer? Survival rates are grouped based on how far the cancer has spread, but your age, overall health, type of thymus cancer, whether the entire. Most diagnoses occur after age. Thymic Carcinoma Survivors.
From www.researchgate.net
(a) Progressionfree survival and (b) overall survival of thymoma and... Download Scientific Thymic Carcinoma Survivors Learn about thymoma and thymic carcinoma signs, diagnosis, causes, risk factors, and treatment options. Patients, family members and carers share their stories of how thymic cancer has affected them, as well as. Medically reviewed | last reviewed by an md anderson cancer center medical professional on august 27,. Do we know what causes thymus cancer? Most diagnoses occur after age. Thymic Carcinoma Survivors.
From www.researchgate.net
The overall survival curves of stage IVb thymic carcinoma according to... Download Scientific Thymic Carcinoma Survivors Medically reviewed | last reviewed by an md anderson cancer center medical professional on august 27,. Learn about thymoma and thymic carcinoma signs, diagnosis, causes, risk factors, and treatment options. Do we know what causes thymus cancer? Thymoma survivor grateful for a second opinion. Survival rates are grouped based on how far the cancer has spread, but your age, overall. Thymic Carcinoma Survivors.
From www.researchgate.net
The postrecurrence survival of 21 patients with recurrent thymic... Download Scientific Diagram Thymic Carcinoma Survivors Patients, family members and carers share their stories of how thymic cancer has affected them, as well as. Survival rates are grouped based on how far the cancer has spread, but your age, overall health, type of thymus cancer, whether the entire. The recovery from treatment for thymic cancer depends on the stage of the disease and the treatment used.. Thymic Carcinoma Survivors.
From www.researchgate.net
KaplanMeier curves of overall survival for a thymic epithelial tumors... Download Scientific Thymic Carcinoma Survivors Can thymus cancer be prevented? Learn about thymoma and thymic carcinoma signs, diagnosis, causes, risk factors, and treatment options. Most diagnoses occur after age 70. What are the risk factors for thymus cancer? The recovery from treatment for thymic cancer depends on the stage of the disease and the treatment used. Survival rates are grouped based on how far the. Thymic Carcinoma Survivors.
From thymic.org
Prognosis Foundation for Thymic Cancer Research Thymic Carcinoma Survivors Can thymus cancer be prevented? What are the risk factors for thymus cancer? Patients, family members and carers share their stories of how thymic cancer has affected them, as well as. Do we know what causes thymus cancer? Thymoma survivor grateful for a second opinion. The recovery from treatment for thymic cancer depends on the stage of the disease and. Thymic Carcinoma Survivors.
From thymic.org
Prognosis Foundation for Thymic Cancer Research Thymic Carcinoma Survivors Thymoma survivor grateful for a second opinion. Medically reviewed | last reviewed by an md anderson cancer center medical professional on august 27,. Do we know what causes thymus cancer? Learn about thymoma and thymic carcinoma signs, diagnosis, causes, risk factors, and treatment options. What are the risk factors for thymus cancer? Most diagnoses occur after age 70. Can thymus. Thymic Carcinoma Survivors.