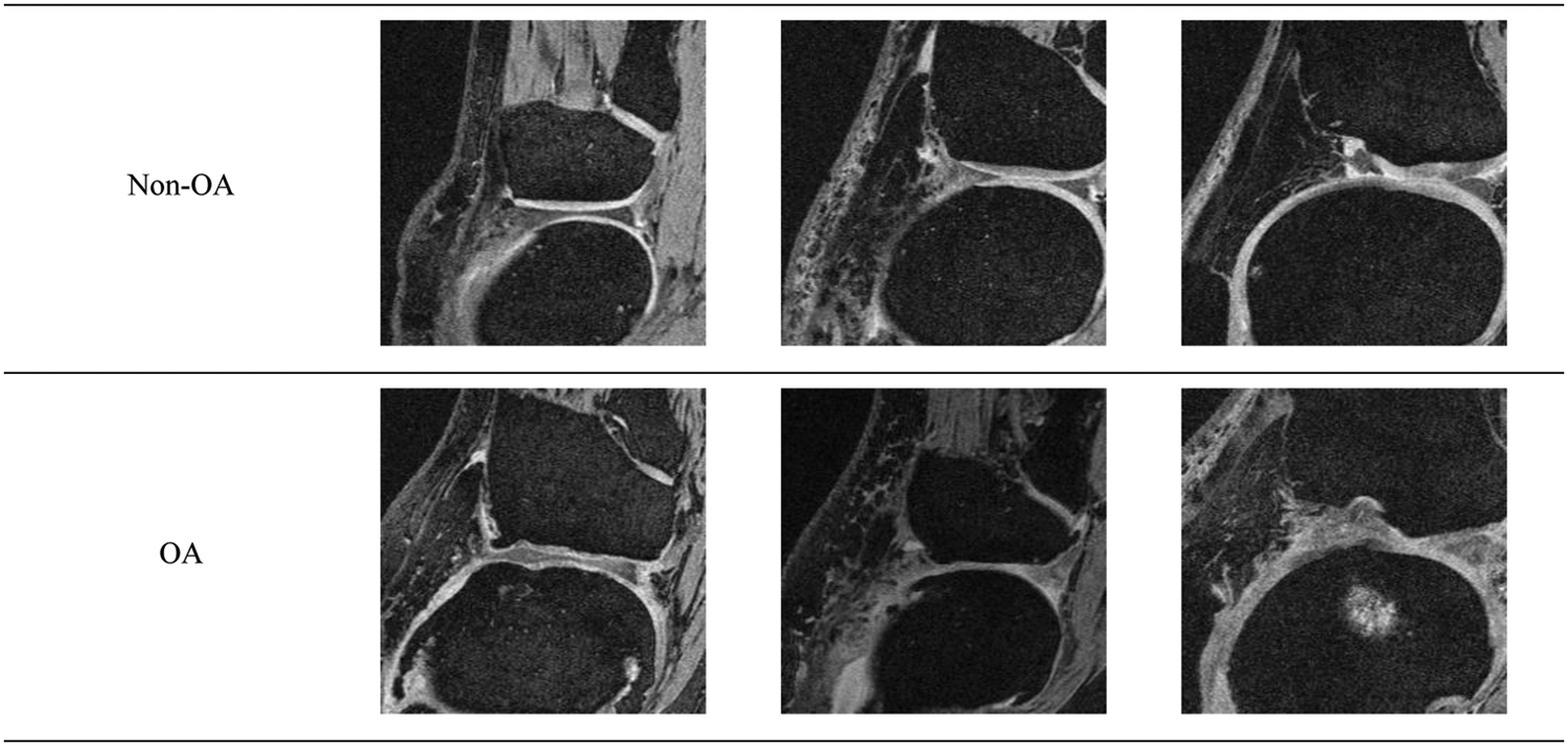
Magnetic Resonance Therapy For Knee Osteoarthritis . To primarily assess the existing literature about magnetic resonance therapy (mrt) or molecular biophysical stimulation. Earlier stages and potentially reversible changes of the joint can be detected by magnetic resonance imaging (mri) which. A general overview of the study showed that symptoms concerning pain, discomfort, and restricted movement in daily. In terms of duration of treatment, four studies suggested treatment for nine consecutive days, two for five days and one study reported. An magnetic resonance imaging (mri) uses radio waves and a strong magnetic field to produce detailed images of bone and. Mr imaging is able to detect morphologic and compositional alterations in knee cartilage; Therefore, it can be useful for.
from www.jrheum.org
Therefore, it can be useful for. An magnetic resonance imaging (mri) uses radio waves and a strong magnetic field to produce detailed images of bone and. Earlier stages and potentially reversible changes of the joint can be detected by magnetic resonance imaging (mri) which. A general overview of the study showed that symptoms concerning pain, discomfort, and restricted movement in daily. Mr imaging is able to detect morphologic and compositional alterations in knee cartilage; To primarily assess the existing literature about magnetic resonance therapy (mrt) or molecular biophysical stimulation. In terms of duration of treatment, four studies suggested treatment for nine consecutive days, two for five days and one study reported.
Synovitis in Knee Osteoarthritis Assessed by Contrastenhanced Resonance Imaging (MRI
Magnetic Resonance Therapy For Knee Osteoarthritis Therefore, it can be useful for. In terms of duration of treatment, four studies suggested treatment for nine consecutive days, two for five days and one study reported. Therefore, it can be useful for. Earlier stages and potentially reversible changes of the joint can be detected by magnetic resonance imaging (mri) which. Mr imaging is able to detect morphologic and compositional alterations in knee cartilage; A general overview of the study showed that symptoms concerning pain, discomfort, and restricted movement in daily. To primarily assess the existing literature about magnetic resonance therapy (mrt) or molecular biophysical stimulation. An magnetic resonance imaging (mri) uses radio waves and a strong magnetic field to produce detailed images of bone and.
From www.researchgate.net
Examples of various imaging technologies used in osteoarthritis (OA)... Download Scientific Magnetic Resonance Therapy For Knee Osteoarthritis Mr imaging is able to detect morphologic and compositional alterations in knee cartilage; In terms of duration of treatment, four studies suggested treatment for nine consecutive days, two for five days and one study reported. An magnetic resonance imaging (mri) uses radio waves and a strong magnetic field to produce detailed images of bone and. A general overview of the. Magnetic Resonance Therapy For Knee Osteoarthritis.
From pixels.com
Colour Mri Scan Of Knee Joint With Osteoarthritis Photograph by Simon Fraser, Royal Victoria Magnetic Resonance Therapy For Knee Osteoarthritis In terms of duration of treatment, four studies suggested treatment for nine consecutive days, two for five days and one study reported. An magnetic resonance imaging (mri) uses radio waves and a strong magnetic field to produce detailed images of bone and. To primarily assess the existing literature about magnetic resonance therapy (mrt) or molecular biophysical stimulation. Mr imaging is. Magnetic Resonance Therapy For Knee Osteoarthritis.
From www.sportsmedreview.com
Diagnosing Osteoarthritis with Knee Radiograph Sports Medicine Review Magnetic Resonance Therapy For Knee Osteoarthritis A general overview of the study showed that symptoms concerning pain, discomfort, and restricted movement in daily. In terms of duration of treatment, four studies suggested treatment for nine consecutive days, two for five days and one study reported. Therefore, it can be useful for. An magnetic resonance imaging (mri) uses radio waves and a strong magnetic field to produce. Magnetic Resonance Therapy For Knee Osteoarthritis.
From onlinelibrary.wiley.com
Selection of Knees With Subsequent Cartilage Thickness Loss Based on Resonance Imaging Magnetic Resonance Therapy For Knee Osteoarthritis An magnetic resonance imaging (mri) uses radio waves and a strong magnetic field to produce detailed images of bone and. A general overview of the study showed that symptoms concerning pain, discomfort, and restricted movement in daily. In terms of duration of treatment, four studies suggested treatment for nine consecutive days, two for five days and one study reported. Therefore,. Magnetic Resonance Therapy For Knee Osteoarthritis.
From journals.sagepub.com
In vivo resonance imaging of animal models of knee osteoarthritis YiXiang Wang, 2008 Magnetic Resonance Therapy For Knee Osteoarthritis Mr imaging is able to detect morphologic and compositional alterations in knee cartilage; In terms of duration of treatment, four studies suggested treatment for nine consecutive days, two for five days and one study reported. An magnetic resonance imaging (mri) uses radio waves and a strong magnetic field to produce detailed images of bone and. To primarily assess the existing. Magnetic Resonance Therapy For Knee Osteoarthritis.
From reu.termedia.pl
resonance imaging of the knee joint in juvenile idiopathic arthritis Magnetic Resonance Therapy For Knee Osteoarthritis To primarily assess the existing literature about magnetic resonance therapy (mrt) or molecular biophysical stimulation. In terms of duration of treatment, four studies suggested treatment for nine consecutive days, two for five days and one study reported. A general overview of the study showed that symptoms concerning pain, discomfort, and restricted movement in daily. An magnetic resonance imaging (mri) uses. Magnetic Resonance Therapy For Knee Osteoarthritis.
From www.researchgate.net
resonance imaging of a patient with knee osteoarthritis... Download Scientific Diagram Magnetic Resonance Therapy For Knee Osteoarthritis An magnetic resonance imaging (mri) uses radio waves and a strong magnetic field to produce detailed images of bone and. Earlier stages and potentially reversible changes of the joint can be detected by magnetic resonance imaging (mri) which. In terms of duration of treatment, four studies suggested treatment for nine consecutive days, two for five days and one study reported.. Magnetic Resonance Therapy For Knee Osteoarthritis.
From ar.inspiredpencil.com
Osteoarthritis Knee Mri Magnetic Resonance Therapy For Knee Osteoarthritis In terms of duration of treatment, four studies suggested treatment for nine consecutive days, two for five days and one study reported. Therefore, it can be useful for. Earlier stages and potentially reversible changes of the joint can be detected by magnetic resonance imaging (mri) which. A general overview of the study showed that symptoms concerning pain, discomfort, and restricted. Magnetic Resonance Therapy For Knee Osteoarthritis.
From www.alamy.com
Knee cap resonance. Osteoarthritis. Articular cartilage and patella Stock Photo Alamy Magnetic Resonance Therapy For Knee Osteoarthritis Earlier stages and potentially reversible changes of the joint can be detected by magnetic resonance imaging (mri) which. In terms of duration of treatment, four studies suggested treatment for nine consecutive days, two for five days and one study reported. A general overview of the study showed that symptoms concerning pain, discomfort, and restricted movement in daily. An magnetic resonance. Magnetic Resonance Therapy For Knee Osteoarthritis.
From www.ejradiology.com
Perfusion of subchondral bone marrow in knee osteoarthritis A dynamic contrastenhanced Magnetic Resonance Therapy For Knee Osteoarthritis Earlier stages and potentially reversible changes of the joint can be detected by magnetic resonance imaging (mri) which. Mr imaging is able to detect morphologic and compositional alterations in knee cartilage; In terms of duration of treatment, four studies suggested treatment for nine consecutive days, two for five days and one study reported. Therefore, it can be useful for. A. Magnetic Resonance Therapy For Knee Osteoarthritis.
From www.researchgate.net
The scoring system resonance imaging (MRI) osteoarthritis knee... Download Scientific Magnetic Resonance Therapy For Knee Osteoarthritis In terms of duration of treatment, four studies suggested treatment for nine consecutive days, two for five days and one study reported. Mr imaging is able to detect morphologic and compositional alterations in knee cartilage; An magnetic resonance imaging (mri) uses radio waves and a strong magnetic field to produce detailed images of bone and. To primarily assess the existing. Magnetic Resonance Therapy For Knee Osteoarthritis.
From www.alamy.com
Knee cap resonance. Osteoarthritis. Articular cartilage and patella Stock Photo Alamy Magnetic Resonance Therapy For Knee Osteoarthritis Earlier stages and potentially reversible changes of the joint can be detected by magnetic resonance imaging (mri) which. An magnetic resonance imaging (mri) uses radio waves and a strong magnetic field to produce detailed images of bone and. To primarily assess the existing literature about magnetic resonance therapy (mrt) or molecular biophysical stimulation. In terms of duration of treatment, four. Magnetic Resonance Therapy For Knee Osteoarthritis.
From www.alamy.com
Osteoarthritis of knee. Colour Resonance Imaging (MRI) scan of a side view of the knee Magnetic Resonance Therapy For Knee Osteoarthritis A general overview of the study showed that symptoms concerning pain, discomfort, and restricted movement in daily. In terms of duration of treatment, four studies suggested treatment for nine consecutive days, two for five days and one study reported. To primarily assess the existing literature about magnetic resonance therapy (mrt) or molecular biophysical stimulation. An magnetic resonance imaging (mri) uses. Magnetic Resonance Therapy For Knee Osteoarthritis.
From journals.sagepub.com
resonance imaging assessments for knee segmentation and their use in combination with Magnetic Resonance Therapy For Knee Osteoarthritis An magnetic resonance imaging (mri) uses radio waves and a strong magnetic field to produce detailed images of bone and. A general overview of the study showed that symptoms concerning pain, discomfort, and restricted movement in daily. Earlier stages and potentially reversible changes of the joint can be detected by magnetic resonance imaging (mri) which. Therefore, it can be useful. Magnetic Resonance Therapy For Knee Osteoarthritis.
From www.semanticscholar.org
Figure 2 from Evaluation Of Osteoarthritis Of The Knee With Resonance Imaging And Magnetic Resonance Therapy For Knee Osteoarthritis In terms of duration of treatment, four studies suggested treatment for nine consecutive days, two for five days and one study reported. A general overview of the study showed that symptoms concerning pain, discomfort, and restricted movement in daily. An magnetic resonance imaging (mri) uses radio waves and a strong magnetic field to produce detailed images of bone and. Earlier. Magnetic Resonance Therapy For Knee Osteoarthritis.
From www.alamy.com
Sagittal frontal Resonance Image (MRI) of the knee showing osteoarthritis or Magnetic Resonance Therapy For Knee Osteoarthritis Mr imaging is able to detect morphologic and compositional alterations in knee cartilage; In terms of duration of treatment, four studies suggested treatment for nine consecutive days, two for five days and one study reported. Earlier stages and potentially reversible changes of the joint can be detected by magnetic resonance imaging (mri) which. A general overview of the study showed. Magnetic Resonance Therapy For Knee Osteoarthritis.
From www.jrheum.org
Synovitis in Knee Osteoarthritis Assessed by Contrastenhanced Resonance Imaging (MRI Magnetic Resonance Therapy For Knee Osteoarthritis In terms of duration of treatment, four studies suggested treatment for nine consecutive days, two for five days and one study reported. Mr imaging is able to detect morphologic and compositional alterations in knee cartilage; To primarily assess the existing literature about magnetic resonance therapy (mrt) or molecular biophysical stimulation. Earlier stages and potentially reversible changes of the joint can. Magnetic Resonance Therapy For Knee Osteoarthritis.
From www.alamy.com
Knee cap resonance. Osteoarthritis. Articular cartilage and patella Stock Photo Alamy Magnetic Resonance Therapy For Knee Osteoarthritis Mr imaging is able to detect morphologic and compositional alterations in knee cartilage; In terms of duration of treatment, four studies suggested treatment for nine consecutive days, two for five days and one study reported. A general overview of the study showed that symptoms concerning pain, discomfort, and restricted movement in daily. An magnetic resonance imaging (mri) uses radio waves. Magnetic Resonance Therapy For Knee Osteoarthritis.
From www.researchgate.net
(PDF) Evaluating the Effects on Ultrasound and on Resonance for Knee Osteoarthritis Magnetic Resonance Therapy For Knee Osteoarthritis Mr imaging is able to detect morphologic and compositional alterations in knee cartilage; To primarily assess the existing literature about magnetic resonance therapy (mrt) or molecular biophysical stimulation. Earlier stages and potentially reversible changes of the joint can be detected by magnetic resonance imaging (mri) which. Therefore, it can be useful for. A general overview of the study showed that. Magnetic Resonance Therapy For Knee Osteoarthritis.
From www.jrheum.org
Resonance Imaging (MRI) of the Knee as an Measure in Juvenile Idiopathic Magnetic Resonance Therapy For Knee Osteoarthritis To primarily assess the existing literature about magnetic resonance therapy (mrt) or molecular biophysical stimulation. Mr imaging is able to detect morphologic and compositional alterations in knee cartilage; A general overview of the study showed that symptoms concerning pain, discomfort, and restricted movement in daily. Earlier stages and potentially reversible changes of the joint can be detected by magnetic resonance. Magnetic Resonance Therapy For Knee Osteoarthritis.
From www.techscience.com
IASC Free FullText Detection Algorithm of Knee Osteoarthritis Based on Resonance Magnetic Resonance Therapy For Knee Osteoarthritis An magnetic resonance imaging (mri) uses radio waves and a strong magnetic field to produce detailed images of bone and. Mr imaging is able to detect morphologic and compositional alterations in knee cartilage; A general overview of the study showed that symptoms concerning pain, discomfort, and restricted movement in daily. To primarily assess the existing literature about magnetic resonance therapy. Magnetic Resonance Therapy For Knee Osteoarthritis.
From www.alamy.com
Osteoarthritis of knee. Colour Resonance Imaging (MRI) scan of a front view of the knee Magnetic Resonance Therapy For Knee Osteoarthritis A general overview of the study showed that symptoms concerning pain, discomfort, and restricted movement in daily. Mr imaging is able to detect morphologic and compositional alterations in knee cartilage; Earlier stages and potentially reversible changes of the joint can be detected by magnetic resonance imaging (mri) which. To primarily assess the existing literature about magnetic resonance therapy (mrt) or. Magnetic Resonance Therapy For Knee Osteoarthritis.
From www.semanticscholar.org
Figure 4 from Evaluation Of Osteoarthritis Of The Knee With Resonance Imaging And Magnetic Resonance Therapy For Knee Osteoarthritis Mr imaging is able to detect morphologic and compositional alterations in knee cartilage; In terms of duration of treatment, four studies suggested treatment for nine consecutive days, two for five days and one study reported. A general overview of the study showed that symptoms concerning pain, discomfort, and restricted movement in daily. To primarily assess the existing literature about magnetic. Magnetic Resonance Therapy For Knee Osteoarthritis.
From www.semanticscholar.org
Figure 3 from Evaluation Of Osteoarthritis Of The Knee With Resonance Imaging And Magnetic Resonance Therapy For Knee Osteoarthritis Mr imaging is able to detect morphologic and compositional alterations in knee cartilage; Therefore, it can be useful for. Earlier stages and potentially reversible changes of the joint can be detected by magnetic resonance imaging (mri) which. In terms of duration of treatment, four studies suggested treatment for nine consecutive days, two for five days and one study reported. An. Magnetic Resonance Therapy For Knee Osteoarthritis.
From indjaerospacemed.com
Rotational field quantum resonance (RFQMR) in treatment of osteoarthritis of the knee Magnetic Resonance Therapy For Knee Osteoarthritis Mr imaging is able to detect morphologic and compositional alterations in knee cartilage; Earlier stages and potentially reversible changes of the joint can be detected by magnetic resonance imaging (mri) which. Therefore, it can be useful for. To primarily assess the existing literature about magnetic resonance therapy (mrt) or molecular biophysical stimulation. In terms of duration of treatment, four studies. Magnetic Resonance Therapy For Knee Osteoarthritis.
From www.researchgate.net
resonance imaging (MRI) status of the right knee joint before... Download Scientific Magnetic Resonance Therapy For Knee Osteoarthritis A general overview of the study showed that symptoms concerning pain, discomfort, and restricted movement in daily. Earlier stages and potentially reversible changes of the joint can be detected by magnetic resonance imaging (mri) which. In terms of duration of treatment, four studies suggested treatment for nine consecutive days, two for five days and one study reported. Mr imaging is. Magnetic Resonance Therapy For Knee Osteoarthritis.
From www.istockphoto.com
Resonance Imaging Of Human Knee Joint For Medical Diagnosis Stock Photo Download Magnetic Resonance Therapy For Knee Osteoarthritis In terms of duration of treatment, four studies suggested treatment for nine consecutive days, two for five days and one study reported. A general overview of the study showed that symptoms concerning pain, discomfort, and restricted movement in daily. An magnetic resonance imaging (mri) uses radio waves and a strong magnetic field to produce detailed images of bone and. To. Magnetic Resonance Therapy For Knee Osteoarthritis.
From www.semanticscholar.org
Figure 1 from Classification of Knee Osteoarthritis Based on Transfer Learning Model and Magnetic Resonance Therapy For Knee Osteoarthritis An magnetic resonance imaging (mri) uses radio waves and a strong magnetic field to produce detailed images of bone and. A general overview of the study showed that symptoms concerning pain, discomfort, and restricted movement in daily. In terms of duration of treatment, four studies suggested treatment for nine consecutive days, two for five days and one study reported. Mr. Magnetic Resonance Therapy For Knee Osteoarthritis.
From www.dreamstime.com
Resonance Imaging of Human Knee Joint for Medical Diagnosis Stock Image Image of Magnetic Resonance Therapy For Knee Osteoarthritis To primarily assess the existing literature about magnetic resonance therapy (mrt) or molecular biophysical stimulation. Therefore, it can be useful for. An magnetic resonance imaging (mri) uses radio waves and a strong magnetic field to produce detailed images of bone and. Mr imaging is able to detect morphologic and compositional alterations in knee cartilage; A general overview of the study. Magnetic Resonance Therapy For Knee Osteoarthritis.
From indjaerospacemed.com
Rotational field quantum resonance (RFQMR) in treatment of osteoarthritis of the knee Magnetic Resonance Therapy For Knee Osteoarthritis In terms of duration of treatment, four studies suggested treatment for nine consecutive days, two for five days and one study reported. To primarily assess the existing literature about magnetic resonance therapy (mrt) or molecular biophysical stimulation. A general overview of the study showed that symptoms concerning pain, discomfort, and restricted movement in daily. An magnetic resonance imaging (mri) uses. Magnetic Resonance Therapy For Knee Osteoarthritis.
From www.alamy.com
Osteoarthritis of knee. Colour Resonance Imaging (MRI) scan of a front view of the knee Magnetic Resonance Therapy For Knee Osteoarthritis To primarily assess the existing literature about magnetic resonance therapy (mrt) or molecular biophysical stimulation. Mr imaging is able to detect morphologic and compositional alterations in knee cartilage; In terms of duration of treatment, four studies suggested treatment for nine consecutive days, two for five days and one study reported. Therefore, it can be useful for. A general overview of. Magnetic Resonance Therapy For Knee Osteoarthritis.
From www.jrheum.org
Can Resonance Imaging Differentiate Undifferentiated Arthritis Based on Knee Imaging Magnetic Resonance Therapy For Knee Osteoarthritis Mr imaging is able to detect morphologic and compositional alterations in knee cartilage; A general overview of the study showed that symptoms concerning pain, discomfort, and restricted movement in daily. Therefore, it can be useful for. In terms of duration of treatment, four studies suggested treatment for nine consecutive days, two for five days and one study reported. To primarily. Magnetic Resonance Therapy For Knee Osteoarthritis.
From www.radiographyonline.com
Resonance Imaging of synovitis in knees of patients with osteoarthritis without Magnetic Resonance Therapy For Knee Osteoarthritis To primarily assess the existing literature about magnetic resonance therapy (mrt) or molecular biophysical stimulation. Mr imaging is able to detect morphologic and compositional alterations in knee cartilage; In terms of duration of treatment, four studies suggested treatment for nine consecutive days, two for five days and one study reported. An magnetic resonance imaging (mri) uses radio waves and a. Magnetic Resonance Therapy For Knee Osteoarthritis.
From www.researchgate.net
Right knee resonance imaging. Right knee MRI with evidence of... Download Scientific Magnetic Resonance Therapy For Knee Osteoarthritis In terms of duration of treatment, four studies suggested treatment for nine consecutive days, two for five days and one study reported. An magnetic resonance imaging (mri) uses radio waves and a strong magnetic field to produce detailed images of bone and. Earlier stages and potentially reversible changes of the joint can be detected by magnetic resonance imaging (mri) which.. Magnetic Resonance Therapy For Knee Osteoarthritis.
From www.researchgate.net
Knee osteoarthritis as seen on radiograph (a) and resonance... Download Scientific Magnetic Resonance Therapy For Knee Osteoarthritis An magnetic resonance imaging (mri) uses radio waves and a strong magnetic field to produce detailed images of bone and. To primarily assess the existing literature about magnetic resonance therapy (mrt) or molecular biophysical stimulation. In terms of duration of treatment, four studies suggested treatment for nine consecutive days, two for five days and one study reported. Earlier stages and. Magnetic Resonance Therapy For Knee Osteoarthritis.