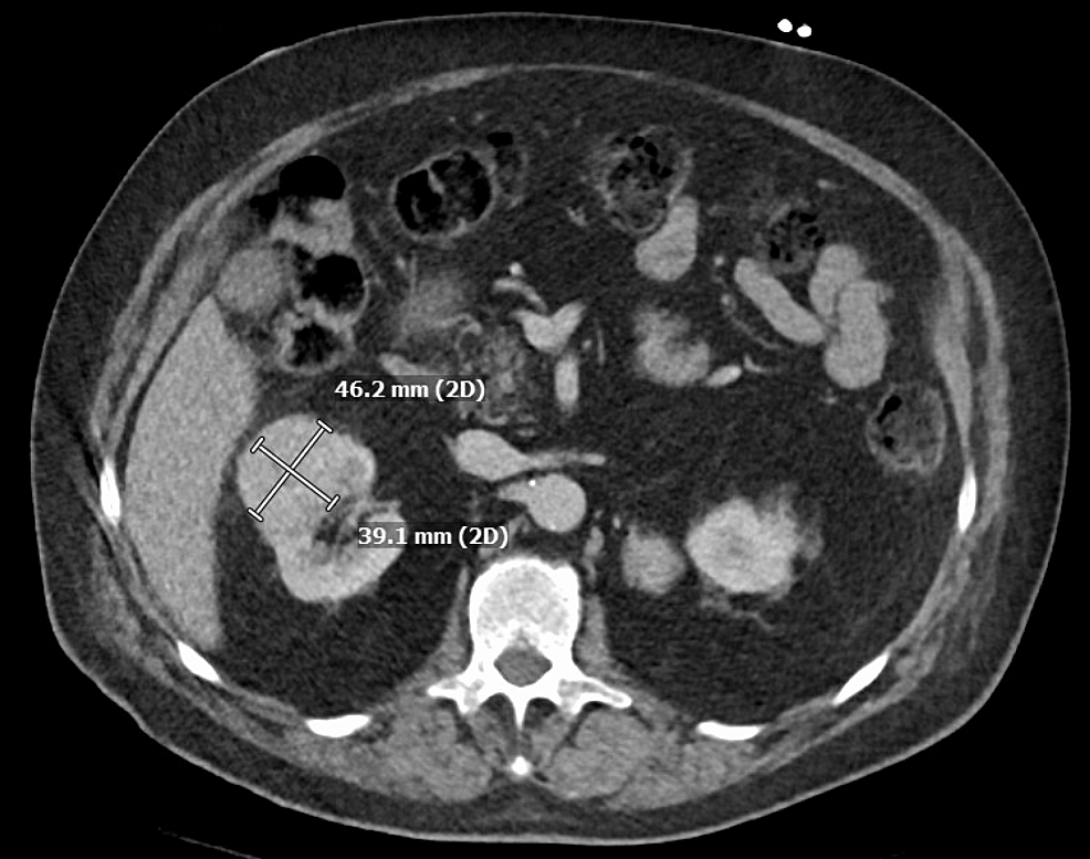
Case Report Renal Tumor . Low grade oncocytic renal tumor: Primary renal collision tumors are rare, and there have been few reports of them. Here, we report a case of renal collision tumor composed of a clear cell renal cell carcinoma (ccrcc) and a ccprct. Renal cell carcinoma (rcc) is the most common renal tumor, with lung, bone, and liver being the primary sites of metastasis. Renal cell carcinoma (rcc) is one of the most common malignancies worldwide with nearly 81,000 new cases and 15,000 deaths. The study was conducted a case of giant renal cell carcinoma who required surgical resection of the tumor at hasan sadikin general. Discussion based on naming conventions and biological behavior, the author who identified the first case of this type of tumor named it. Here, we report a case of metastatic renal cell carcinoma that was successfully treated with deferred cytoreductive nephrectomy following lenvatinib plus. To the best of our knowledge
from creativemeddoses.com
Low grade oncocytic renal tumor: To the best of our knowledge Primary renal collision tumors are rare, and there have been few reports of them. Renal cell carcinoma (rcc) is the most common renal tumor, with lung, bone, and liver being the primary sites of metastasis. Discussion based on naming conventions and biological behavior, the author who identified the first case of this type of tumor named it. Renal cell carcinoma (rcc) is one of the most common malignancies worldwide with nearly 81,000 new cases and 15,000 deaths. The study was conducted a case of giant renal cell carcinoma who required surgical resection of the tumor at hasan sadikin general. Here, we report a case of renal collision tumor composed of a clear cell renal cell carcinoma (ccrcc) and a ccprct. Here, we report a case of metastatic renal cell carcinoma that was successfully treated with deferred cytoreductive nephrectomy following lenvatinib plus.
Renal cell carcinoma (RCC) Creative Med Doses
Case Report Renal Tumor Renal cell carcinoma (rcc) is one of the most common malignancies worldwide with nearly 81,000 new cases and 15,000 deaths. The study was conducted a case of giant renal cell carcinoma who required surgical resection of the tumor at hasan sadikin general. To the best of our knowledge Low grade oncocytic renal tumor: Here, we report a case of renal collision tumor composed of a clear cell renal cell carcinoma (ccrcc) and a ccprct. Discussion based on naming conventions and biological behavior, the author who identified the first case of this type of tumor named it. Renal cell carcinoma (rcc) is the most common renal tumor, with lung, bone, and liver being the primary sites of metastasis. Here, we report a case of metastatic renal cell carcinoma that was successfully treated with deferred cytoreductive nephrectomy following lenvatinib plus. Renal cell carcinoma (rcc) is one of the most common malignancies worldwide with nearly 81,000 new cases and 15,000 deaths. Primary renal collision tumors are rare, and there have been few reports of them.
From www.researchgate.net
(PDF) Acute bilateral renal vein thrombosis diagnosis and management a Case Report Renal Tumor The study was conducted a case of giant renal cell carcinoma who required surgical resection of the tumor at hasan sadikin general. Primary renal collision tumors are rare, and there have been few reports of them. To the best of our knowledge Here, we report a case of metastatic renal cell carcinoma that was successfully treated with deferred cytoreductive nephrectomy. Case Report Renal Tumor.
From www.everydayhealth.com
Why You Need a Renal Dietitian on Your Care Team If You Have ADPKD Case Report Renal Tumor Primary renal collision tumors are rare, and there have been few reports of them. To the best of our knowledge Discussion based on naming conventions and biological behavior, the author who identified the first case of this type of tumor named it. Low grade oncocytic renal tumor: Renal cell carcinoma (rcc) is one of the most common malignancies worldwide with. Case Report Renal Tumor.
From www.slideshare.net
Renal tumor Case Report Renal Tumor Renal cell carcinoma (rcc) is one of the most common malignancies worldwide with nearly 81,000 new cases and 15,000 deaths. Renal cell carcinoma (rcc) is the most common renal tumor, with lung, bone, and liver being the primary sites of metastasis. Here, we report a case of renal collision tumor composed of a clear cell renal cell carcinoma (ccrcc) and. Case Report Renal Tumor.
From creativemeddoses.com
Renal cell carcinoma (RCC) Creative Med Doses Case Report Renal Tumor Renal cell carcinoma (rcc) is the most common renal tumor, with lung, bone, and liver being the primary sites of metastasis. Discussion based on naming conventions and biological behavior, the author who identified the first case of this type of tumor named it. The study was conducted a case of giant renal cell carcinoma who required surgical resection of the. Case Report Renal Tumor.
From docslib.org
Brown Tumor a Rare Manifestation of Renal Osteodystrophy and Severe Case Report Renal Tumor Here, we report a case of renal collision tumor composed of a clear cell renal cell carcinoma (ccrcc) and a ccprct. To the best of our knowledge Primary renal collision tumors are rare, and there have been few reports of them. Here, we report a case of metastatic renal cell carcinoma that was successfully treated with deferred cytoreductive nephrectomy following. Case Report Renal Tumor.
From www.researchgate.net
(PDF) A case study report of acute renal failure associated with Case Report Renal Tumor Low grade oncocytic renal tumor: Primary renal collision tumors are rare, and there have been few reports of them. The study was conducted a case of giant renal cell carcinoma who required surgical resection of the tumor at hasan sadikin general. Renal cell carcinoma (rcc) is the most common renal tumor, with lung, bone, and liver being the primary sites. Case Report Renal Tumor.
From www.researchgate.net
(PDF) Massive hematuria due to a congenital renal arteriovenous Case Report Renal Tumor Discussion based on naming conventions and biological behavior, the author who identified the first case of this type of tumor named it. Renal cell carcinoma (rcc) is one of the most common malignancies worldwide with nearly 81,000 new cases and 15,000 deaths. Here, we report a case of metastatic renal cell carcinoma that was successfully treated with deferred cytoreductive nephrectomy. Case Report Renal Tumor.
From www.cureus.com
Cureus A Case of Retroperitoneal Paraganglioma Presenting As Case Report Renal Tumor Renal cell carcinoma (rcc) is the most common renal tumor, with lung, bone, and liver being the primary sites of metastasis. Renal cell carcinoma (rcc) is one of the most common malignancies worldwide with nearly 81,000 new cases and 15,000 deaths. Here, we report a case of renal collision tumor composed of a clear cell renal cell carcinoma (ccrcc) and. Case Report Renal Tumor.
From www.jpedsurg.org
Ossifying renal tumor of infancy (ORTI) A case report and review of Case Report Renal Tumor Here, we report a case of metastatic renal cell carcinoma that was successfully treated with deferred cytoreductive nephrectomy following lenvatinib plus. Renal cell carcinoma (rcc) is one of the most common malignancies worldwide with nearly 81,000 new cases and 15,000 deaths. Primary renal collision tumors are rare, and there have been few reports of them. To the best of our. Case Report Renal Tumor.
From www.researchgate.net
(PDF) A new form of presentation of renal actinomycosis Renal tumor Case Report Renal Tumor Renal cell carcinoma (rcc) is one of the most common malignancies worldwide with nearly 81,000 new cases and 15,000 deaths. To the best of our knowledge Discussion based on naming conventions and biological behavior, the author who identified the first case of this type of tumor named it. The study was conducted a case of giant renal cell carcinoma who. Case Report Renal Tumor.
From vdocuments.mx
Carcinoid tumor of the renal pelvis Report of a case with positive Case Report Renal Tumor Discussion based on naming conventions and biological behavior, the author who identified the first case of this type of tumor named it. Primary renal collision tumors are rare, and there have been few reports of them. The study was conducted a case of giant renal cell carcinoma who required surgical resection of the tumor at hasan sadikin general. Here, we. Case Report Renal Tumor.
From docslib.org
Renal Mixed Epithelial and Stromal Tumor Case Report Tumor Epitelial Case Report Renal Tumor Low grade oncocytic renal tumor: Renal cell carcinoma (rcc) is one of the most common malignancies worldwide with nearly 81,000 new cases and 15,000 deaths. Here, we report a case of renal collision tumor composed of a clear cell renal cell carcinoma (ccrcc) and a ccprct. Renal cell carcinoma (rcc) is the most common renal tumor, with lung, bone, and. Case Report Renal Tumor.
From www.youtube.com
Renal patients score University Hospitals Plymouth as the best Case Report Renal Tumor Here, we report a case of renal collision tumor composed of a clear cell renal cell carcinoma (ccrcc) and a ccprct. Low grade oncocytic renal tumor: Here, we report a case of metastatic renal cell carcinoma that was successfully treated with deferred cytoreductive nephrectomy following lenvatinib plus. Renal cell carcinoma (rcc) is the most common renal tumor, with lung, bone,. Case Report Renal Tumor.
From dokumen.tips
(PDF) Case Report Renal Clear Cell Carcinoma and Tonsil Case Report Renal Tumor The study was conducted a case of giant renal cell carcinoma who required surgical resection of the tumor at hasan sadikin general. Primary renal collision tumors are rare, and there have been few reports of them. Low grade oncocytic renal tumor: Here, we report a case of metastatic renal cell carcinoma that was successfully treated with deferred cytoreductive nephrectomy following. Case Report Renal Tumor.
From www.cureus.com
Cureus Cystic Renal Cell Carcinoma Subtype in Pediatric Patient A Case Report Renal Tumor To the best of our knowledge Primary renal collision tumors are rare, and there have been few reports of them. Here, we report a case of metastatic renal cell carcinoma that was successfully treated with deferred cytoreductive nephrectomy following lenvatinib plus. Here, we report a case of renal collision tumor composed of a clear cell renal cell carcinoma (ccrcc) and. Case Report Renal Tumor.
From www.researchgate.net
(PDF) Renal Echinococcosis mistaken for a cystic renal tumor A case report Case Report Renal Tumor Low grade oncocytic renal tumor: To the best of our knowledge The study was conducted a case of giant renal cell carcinoma who required surgical resection of the tumor at hasan sadikin general. Here, we report a case of metastatic renal cell carcinoma that was successfully treated with deferred cytoreductive nephrectomy following lenvatinib plus. Renal cell carcinoma (rcc) is one. Case Report Renal Tumor.
From www.researchgate.net
An illustrative example showing differences in texture between various Case Report Renal Tumor Renal cell carcinoma (rcc) is the most common renal tumor, with lung, bone, and liver being the primary sites of metastasis. Low grade oncocytic renal tumor: Discussion based on naming conventions and biological behavior, the author who identified the first case of this type of tumor named it. Renal cell carcinoma (rcc) is one of the most common malignancies worldwide. Case Report Renal Tumor.
From www.researchgate.net
Case 3. Primary renal carcinoid tumor in a 58yearold woman. Partial Case Report Renal Tumor The study was conducted a case of giant renal cell carcinoma who required surgical resection of the tumor at hasan sadikin general. Discussion based on naming conventions and biological behavior, the author who identified the first case of this type of tumor named it. To the best of our knowledge Here, we report a case of renal collision tumor composed. Case Report Renal Tumor.
From casamipets.pe
NATURAL CARE REFUERZO RENAL 70GR Case Report Renal Tumor Here, we report a case of renal collision tumor composed of a clear cell renal cell carcinoma (ccrcc) and a ccprct. Primary renal collision tumors are rare, and there have been few reports of them. Here, we report a case of metastatic renal cell carcinoma that was successfully treated with deferred cytoreductive nephrectomy following lenvatinib plus. Renal cell carcinoma (rcc). Case Report Renal Tumor.
From www.researchgate.net
(PDF) Case report A rare case of tumortotumor metastasis metastatic Case Report Renal Tumor Discussion based on naming conventions and biological behavior, the author who identified the first case of this type of tumor named it. The study was conducted a case of giant renal cell carcinoma who required surgical resection of the tumor at hasan sadikin general. To the best of our knowledge Low grade oncocytic renal tumor: Primary renal collision tumors are. Case Report Renal Tumor.
From www.semanticscholar.org
Figure 1 from A case report of unusual presentation of a rare renal Case Report Renal Tumor Discussion based on naming conventions and biological behavior, the author who identified the first case of this type of tumor named it. Renal cell carcinoma (rcc) is one of the most common malignancies worldwide with nearly 81,000 new cases and 15,000 deaths. The study was conducted a case of giant renal cell carcinoma who required surgical resection of the tumor. Case Report Renal Tumor.
From www.researchgate.net
(PDF) Tumor to Tumor Metastasis Lobular Carcinoma of the Breast Case Report Renal Tumor Low grade oncocytic renal tumor: Here, we report a case of renal collision tumor composed of a clear cell renal cell carcinoma (ccrcc) and a ccprct. Discussion based on naming conventions and biological behavior, the author who identified the first case of this type of tumor named it. Renal cell carcinoma (rcc) is the most common renal tumor, with lung,. Case Report Renal Tumor.
From vdocuments.mx
Large Renal Cavernous Hemangioma With Renal Vein Thrombosis Case Case Report Renal Tumor Here, we report a case of metastatic renal cell carcinoma that was successfully treated with deferred cytoreductive nephrectomy following lenvatinib plus. Discussion based on naming conventions and biological behavior, the author who identified the first case of this type of tumor named it. Renal cell carcinoma (rcc) is one of the most common malignancies worldwide with nearly 81,000 new cases. Case Report Renal Tumor.
From www.researchgate.net
(PDF) Rhabdoid renal tumor an aggressive embryonal tumor in an infant Case Report Renal Tumor Renal cell carcinoma (rcc) is one of the most common malignancies worldwide with nearly 81,000 new cases and 15,000 deaths. The study was conducted a case of giant renal cell carcinoma who required surgical resection of the tumor at hasan sadikin general. Renal cell carcinoma (rcc) is the most common renal tumor, with lung, bone, and liver being the primary. Case Report Renal Tumor.
From www.semanticscholar.org
Figure 1 from Unilateral Renal Tumor Cryoablation and Contralateral Case Report Renal Tumor Discussion based on naming conventions and biological behavior, the author who identified the first case of this type of tumor named it. Low grade oncocytic renal tumor: The study was conducted a case of giant renal cell carcinoma who required surgical resection of the tumor at hasan sadikin general. Here, we report a case of renal collision tumor composed of. Case Report Renal Tumor.
From www.ayurka.com
Ayurka Package for Chronic Renal Failure Case Report Renal Tumor Renal cell carcinoma (rcc) is the most common renal tumor, with lung, bone, and liver being the primary sites of metastasis. Renal cell carcinoma (rcc) is one of the most common malignancies worldwide with nearly 81,000 new cases and 15,000 deaths. Here, we report a case of metastatic renal cell carcinoma that was successfully treated with deferred cytoreductive nephrectomy following. Case Report Renal Tumor.
From docslib.org
Glomus Tumor of Renal Pelvis a Case Report and Review of the Case Report Renal Tumor Low grade oncocytic renal tumor: Renal cell carcinoma (rcc) is one of the most common malignancies worldwide with nearly 81,000 new cases and 15,000 deaths. The study was conducted a case of giant renal cell carcinoma who required surgical resection of the tumor at hasan sadikin general. Here, we report a case of metastatic renal cell carcinoma that was successfully. Case Report Renal Tumor.
From www.researchgate.net
(PDF) Ossifying renal tumor of infancya case report Case Report Renal Tumor Renal cell carcinoma (rcc) is the most common renal tumor, with lung, bone, and liver being the primary sites of metastasis. Renal cell carcinoma (rcc) is one of the most common malignancies worldwide with nearly 81,000 new cases and 15,000 deaths. Primary renal collision tumors are rare, and there have been few reports of them. Discussion based on naming conventions. Case Report Renal Tumor.
From www.researchgate.net
Pathological image of primary tumor and renal metastatic tumors in case Case Report Renal Tumor Low grade oncocytic renal tumor: Renal cell carcinoma (rcc) is one of the most common malignancies worldwide with nearly 81,000 new cases and 15,000 deaths. To the best of our knowledge Here, we report a case of renal collision tumor composed of a clear cell renal cell carcinoma (ccrcc) and a ccprct. The study was conducted a case of giant. Case Report Renal Tumor.
From docslib.org
Synchronous Renal Oncocytoma, Endometrioid Ovarian and Endometrial Case Report Renal Tumor Primary renal collision tumors are rare, and there have been few reports of them. Here, we report a case of metastatic renal cell carcinoma that was successfully treated with deferred cytoreductive nephrectomy following lenvatinib plus. Renal cell carcinoma (rcc) is one of the most common malignancies worldwide with nearly 81,000 new cases and 15,000 deaths. Here, we report a case. Case Report Renal Tumor.
From onlinelibrary.wiley.com
Small renal cell carcinoma by extensive inferior vena cava Case Report Renal Tumor Discussion based on naming conventions and biological behavior, the author who identified the first case of this type of tumor named it. Here, we report a case of renal collision tumor composed of a clear cell renal cell carcinoma (ccrcc) and a ccprct. Here, we report a case of metastatic renal cell carcinoma that was successfully treated with deferred cytoreductive. Case Report Renal Tumor.
From www.semanticscholar.org
Figure 3 from CT and MRI Findings in a Rare Case of Renal Primitive Case Report Renal Tumor Renal cell carcinoma (rcc) is the most common renal tumor, with lung, bone, and liver being the primary sites of metastasis. Here, we report a case of renal collision tumor composed of a clear cell renal cell carcinoma (ccrcc) and a ccprct. Renal cell carcinoma (rcc) is one of the most common malignancies worldwide with nearly 81,000 new cases and. Case Report Renal Tumor.
From onlinelibrary.wiley.com
Sporadic renal hemangioblastoma A case report of a rare benign renal Case Report Renal Tumor Here, we report a case of metastatic renal cell carcinoma that was successfully treated with deferred cytoreductive nephrectomy following lenvatinib plus. Primary renal collision tumors are rare, and there have been few reports of them. Renal cell carcinoma (rcc) is the most common renal tumor, with lung, bone, and liver being the primary sites of metastasis. Low grade oncocytic renal. Case Report Renal Tumor.
From institutoinden.org
inar de Evaluación de la función renal en el deportista Instituto Case Report Renal Tumor Low grade oncocytic renal tumor: To the best of our knowledge Here, we report a case of metastatic renal cell carcinoma that was successfully treated with deferred cytoreductive nephrectomy following lenvatinib plus. Here, we report a case of renal collision tumor composed of a clear cell renal cell carcinoma (ccrcc) and a ccprct. Renal cell carcinoma (rcc) is the most. Case Report Renal Tumor.
From docslib.org
Diagnosis of a Maxillary Brown Tumor Associated with Case Report Renal Tumor Low grade oncocytic renal tumor: To the best of our knowledge Discussion based on naming conventions and biological behavior, the author who identified the first case of this type of tumor named it. The study was conducted a case of giant renal cell carcinoma who required surgical resection of the tumor at hasan sadikin general. Primary renal collision tumors are. Case Report Renal Tumor.