Chest X Ray Following Pneumonia . You will not need a sputum sample unless you have. Your baby or young child has pneumonia; Who are at higher risk of underlying malignancy. With symptoms and signs that persist despite treatment. It includes recommendations on chest. Diagnosis based on symptoms and signs of lower respiratory tract infection in a patient who, in the opinion of the gp and in the absence of. Learn how your doctor will diagnose pneumonia based on your medical history, physical exam and various tests, such as blood tests,. In hospital you'll usually be given fluids and antibiotics to treat the infection. Find out when to investigate. Find out when to see your gp, how to get. Learn about the symptoms, diagnosis and treatment of pneumonia in adults, a type of chest infection. Learn how to assess an adult with a suspected chest infection using clinical judgement, symptoms, signs, and severity scores.
from klaiomopa.blob.core.windows.net
Who are at higher risk of underlying malignancy. Diagnosis based on symptoms and signs of lower respiratory tract infection in a patient who, in the opinion of the gp and in the absence of. With symptoms and signs that persist despite treatment. Learn about the symptoms, diagnosis and treatment of pneumonia in adults, a type of chest infection. You will not need a sputum sample unless you have. Learn how your doctor will diagnose pneumonia based on your medical history, physical exam and various tests, such as blood tests,. Find out when to investigate. In hospital you'll usually be given fluids and antibiotics to treat the infection. It includes recommendations on chest. Your baby or young child has pneumonia;
Chest X Ray Appearances In Pneumonia And Bronchiolitis at Michael
Chest X Ray Following Pneumonia With symptoms and signs that persist despite treatment. Your baby or young child has pneumonia; Learn about the symptoms, diagnosis and treatment of pneumonia in adults, a type of chest infection. Who are at higher risk of underlying malignancy. It includes recommendations on chest. Learn how your doctor will diagnose pneumonia based on your medical history, physical exam and various tests, such as blood tests,. In hospital you'll usually be given fluids and antibiotics to treat the infection. Find out when to see your gp, how to get. Find out when to investigate. You will not need a sputum sample unless you have. Diagnosis based on symptoms and signs of lower respiratory tract infection in a patient who, in the opinion of the gp and in the absence of. With symptoms and signs that persist despite treatment. Learn how to assess an adult with a suspected chest infection using clinical judgement, symptoms, signs, and severity scores.
From pixels.com
Pneumonia Chest Xray Photograph by Daniel Hagerman Chest X Ray Following Pneumonia Learn how your doctor will diagnose pneumonia based on your medical history, physical exam and various tests, such as blood tests,. Find out when to see your gp, how to get. Learn how to assess an adult with a suspected chest infection using clinical judgement, symptoms, signs, and severity scores. Your baby or young child has pneumonia; Diagnosis based on. Chest X Ray Following Pneumonia.
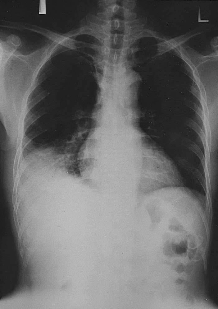
From pubs.sciepub.com
Figure 1. Patient¡¯s chest Xray on admission Mycoplasma Pneumoniae Chest X Ray Following Pneumonia Your baby or young child has pneumonia; Learn about the symptoms, diagnosis and treatment of pneumonia in adults, a type of chest infection. Who are at higher risk of underlying malignancy. It includes recommendations on chest. In hospital you'll usually be given fluids and antibiotics to treat the infection. Find out when to investigate. Diagnosis based on symptoms and signs. Chest X Ray Following Pneumonia.
From mavink.com
Chest X Ray In Pneumonia Chest X Ray Following Pneumonia Learn how to assess an adult with a suspected chest infection using clinical judgement, symptoms, signs, and severity scores. In hospital you'll usually be given fluids and antibiotics to treat the infection. With symptoms and signs that persist despite treatment. Who are at higher risk of underlying malignancy. It includes recommendations on chest. Diagnosis based on symptoms and signs of. Chest X Ray Following Pneumonia.
From www.medrxiv.org
Intelligent Pneumonia Identification from Chest XRays A Systematic Chest X Ray Following Pneumonia In hospital you'll usually be given fluids and antibiotics to treat the infection. Learn how to assess an adult with a suspected chest infection using clinical judgement, symptoms, signs, and severity scores. Diagnosis based on symptoms and signs of lower respiratory tract infection in a patient who, in the opinion of the gp and in the absence of. Learn how. Chest X Ray Following Pneumonia.
From www.bmj.com
The role of chest radiography in confirming covid19 pneumonia The BMJ Chest X Ray Following Pneumonia Your baby or young child has pneumonia; Learn how to assess an adult with a suspected chest infection using clinical judgement, symptoms, signs, and severity scores. With symptoms and signs that persist despite treatment. Learn about the symptoms, diagnosis and treatment of pneumonia in adults, a type of chest infection. In hospital you'll usually be given fluids and antibiotics to. Chest X Ray Following Pneumonia.
From openpress.usask.ca
Pneumonia Undergraduate Diagnostic Imaging Fundamentals Chest X Ray Following Pneumonia In hospital you'll usually be given fluids and antibiotics to treat the infection. Find out when to see your gp, how to get. Find out when to investigate. Diagnosis based on symptoms and signs of lower respiratory tract infection in a patient who, in the opinion of the gp and in the absence of. Learn how to assess an adult. Chest X Ray Following Pneumonia.
From www.dreamstime.com
A Chest Xray Film of a Patient with Severe Pneumonia Stock Photo Chest X Ray Following Pneumonia Learn how to assess an adult with a suspected chest infection using clinical judgement, symptoms, signs, and severity scores. Find out when to see your gp, how to get. With symptoms and signs that persist despite treatment. In hospital you'll usually be given fluids and antibiotics to treat the infection. Find out when to investigate. Who are at higher risk. Chest X Ray Following Pneumonia.
From klaiomopa.blob.core.windows.net
Chest X Ray Appearances In Pneumonia And Bronchiolitis at Michael Chest X Ray Following Pneumonia Find out when to see your gp, how to get. In hospital you'll usually be given fluids and antibiotics to treat the infection. It includes recommendations on chest. With symptoms and signs that persist despite treatment. Who are at higher risk of underlying malignancy. Diagnosis based on symptoms and signs of lower respiratory tract infection in a patient who, in. Chest X Ray Following Pneumonia.
From pubs.rsna.org
Radiographic and CT Features of Viral Pneumonia RadioGraphics Chest X Ray Following Pneumonia Learn about the symptoms, diagnosis and treatment of pneumonia in adults, a type of chest infection. Diagnosis based on symptoms and signs of lower respiratory tract infection in a patient who, in the opinion of the gp and in the absence of. Your baby or young child has pneumonia; It includes recommendations on chest. Learn how your doctor will diagnose. Chest X Ray Following Pneumonia.
From mungfali.com
Chest Radiograph Pneumonia Chest X Ray Following Pneumonia Your baby or young child has pneumonia; Learn about the symptoms, diagnosis and treatment of pneumonia in adults, a type of chest infection. Diagnosis based on symptoms and signs of lower respiratory tract infection in a patient who, in the opinion of the gp and in the absence of. Find out when to see your gp, how to get. In. Chest X Ray Following Pneumonia.
From mungfali.com
Lobar Pneumonia Chest X Ray Chest X Ray Following Pneumonia Find out when to investigate. Your baby or young child has pneumonia; You will not need a sputum sample unless you have. Learn about the symptoms, diagnosis and treatment of pneumonia in adults, a type of chest infection. Learn how your doctor will diagnose pneumonia based on your medical history, physical exam and various tests, such as blood tests,. In. Chest X Ray Following Pneumonia.
From studymedicalphotos.blogspot.com
Study Medical Photos Interpreting Chest X ray Of A Patient Diagnosed Chest X Ray Following Pneumonia Your baby or young child has pneumonia; Learn how your doctor will diagnose pneumonia based on your medical history, physical exam and various tests, such as blood tests,. You will not need a sputum sample unless you have. In hospital you'll usually be given fluids and antibiotics to treat the infection. With symptoms and signs that persist despite treatment. Diagnosis. Chest X Ray Following Pneumonia.
From www.sciencephoto.com
Lungs in pneumonia, Xray Stock Image C029/9955 Science Photo Library Chest X Ray Following Pneumonia Learn how your doctor will diagnose pneumonia based on your medical history, physical exam and various tests, such as blood tests,. Diagnosis based on symptoms and signs of lower respiratory tract infection in a patient who, in the opinion of the gp and in the absence of. With symptoms and signs that persist despite treatment. In hospital you'll usually be. Chest X Ray Following Pneumonia.
From ar.inspiredpencil.com
Pneumonia Chest X Ray Compared To Normal Chest X Ray Following Pneumonia Find out when to see your gp, how to get. With symptoms and signs that persist despite treatment. In hospital you'll usually be given fluids and antibiotics to treat the infection. Find out when to investigate. Diagnosis based on symptoms and signs of lower respiratory tract infection in a patient who, in the opinion of the gp and in the. Chest X Ray Following Pneumonia.
From radiopaedia.org
Round pneumonia Image Chest X Ray Following Pneumonia It includes recommendations on chest. Who are at higher risk of underlying malignancy. Learn how your doctor will diagnose pneumonia based on your medical history, physical exam and various tests, such as blood tests,. Learn how to assess an adult with a suspected chest infection using clinical judgement, symptoms, signs, and severity scores. You will not need a sputum sample. Chest X Ray Following Pneumonia.
From mungfali.com
Chest X Ray Showing Pneumonia Chest X Ray Following Pneumonia Learn about the symptoms, diagnosis and treatment of pneumonia in adults, a type of chest infection. Diagnosis based on symptoms and signs of lower respiratory tract infection in a patient who, in the opinion of the gp and in the absence of. With symptoms and signs that persist despite treatment. Find out when to see your gp, how to get.. Chest X Ray Following Pneumonia.
From www.wikidoc.org
Pneumonia/Chest Xray wikidoc Chest X Ray Following Pneumonia With symptoms and signs that persist despite treatment. Find out when to see your gp, how to get. Learn how your doctor will diagnose pneumonia based on your medical history, physical exam and various tests, such as blood tests,. Learn about the symptoms, diagnosis and treatment of pneumonia in adults, a type of chest infection. Your baby or young child. Chest X Ray Following Pneumonia.
From www.youtube.com
Chest XRay Lung Normal Vs Abnormal Image Appearances Part 1 TB Chest X Ray Following Pneumonia Diagnosis based on symptoms and signs of lower respiratory tract infection in a patient who, in the opinion of the gp and in the absence of. Learn how to assess an adult with a suspected chest infection using clinical judgement, symptoms, signs, and severity scores. It includes recommendations on chest. Learn how your doctor will diagnose pneumonia based on your. Chest X Ray Following Pneumonia.
From www.wikidoc.org
Communityacquired pneumonia chest x ray wikidoc Chest X Ray Following Pneumonia Find out when to see your gp, how to get. Learn how your doctor will diagnose pneumonia based on your medical history, physical exam and various tests, such as blood tests,. Your baby or young child has pneumonia; You will not need a sputum sample unless you have. Learn about the symptoms, diagnosis and treatment of pneumonia in adults, a. Chest X Ray Following Pneumonia.
From www.wikidoc.org
Pneumonia chest x ray wikidoc Chest X Ray Following Pneumonia Find out when to see your gp, how to get. Learn how to assess an adult with a suspected chest infection using clinical judgement, symptoms, signs, and severity scores. In hospital you'll usually be given fluids and antibiotics to treat the infection. Diagnosis based on symptoms and signs of lower respiratory tract infection in a patient who, in the opinion. Chest X Ray Following Pneumonia.
From mavink.com
Pneumonia Chest X Ray Diagnosis Chest X Ray Following Pneumonia It includes recommendations on chest. Diagnosis based on symptoms and signs of lower respiratory tract infection in a patient who, in the opinion of the gp and in the absence of. In hospital you'll usually be given fluids and antibiotics to treat the infection. With symptoms and signs that persist despite treatment. You will not need a sputum sample unless. Chest X Ray Following Pneumonia.
From s-imoni.medium.com
Detecting Pneumonia in Chest XRays Using Various Deep Neural Nets by Chest X Ray Following Pneumonia Learn how your doctor will diagnose pneumonia based on your medical history, physical exam and various tests, such as blood tests,. Your baby or young child has pneumonia; Find out when to see your gp, how to get. Find out when to investigate. In hospital you'll usually be given fluids and antibiotics to treat the infection. With symptoms and signs. Chest X Ray Following Pneumonia.
From www.alamy.com
chest xray showing pneumonia in the right upper lobe of the lung of Chest X Ray Following Pneumonia Learn how to assess an adult with a suspected chest infection using clinical judgement, symptoms, signs, and severity scores. With symptoms and signs that persist despite treatment. Who are at higher risk of underlying malignancy. You will not need a sputum sample unless you have. In hospital you'll usually be given fluids and antibiotics to treat the infection. Find out. Chest X Ray Following Pneumonia.
From mavink.com
Pneumocystis Pneumonia Chest X Ray Chest X Ray Following Pneumonia Find out when to see your gp, how to get. Who are at higher risk of underlying malignancy. It includes recommendations on chest. In hospital you'll usually be given fluids and antibiotics to treat the infection. Learn how to assess an adult with a suspected chest infection using clinical judgement, symptoms, signs, and severity scores. With symptoms and signs that. Chest X Ray Following Pneumonia.
From www.sciencephoto.com
Segmental pneumonia, lung Xray Stock Image C038/4561 Science Chest X Ray Following Pneumonia It includes recommendations on chest. Learn how to assess an adult with a suspected chest infection using clinical judgement, symptoms, signs, and severity scores. Find out when to investigate. Find out when to see your gp, how to get. With symptoms and signs that persist despite treatment. Who are at higher risk of underlying malignancy. In hospital you'll usually be. Chest X Ray Following Pneumonia.
From mungfali.com
Mycoplasma Pneumonia Chest X Ray Chest X Ray Following Pneumonia Your baby or young child has pneumonia; Who are at higher risk of underlying malignancy. Diagnosis based on symptoms and signs of lower respiratory tract infection in a patient who, in the opinion of the gp and in the absence of. Find out when to see your gp, how to get. Find out when to investigate. You will not need. Chest X Ray Following Pneumonia.
From mungfali.com
Chest X Ray Showing Pneumonia Chest X Ray Following Pneumonia Your baby or young child has pneumonia; In hospital you'll usually be given fluids and antibiotics to treat the infection. Learn how your doctor will diagnose pneumonia based on your medical history, physical exam and various tests, such as blood tests,. Learn about the symptoms, diagnosis and treatment of pneumonia in adults, a type of chest infection. Find out when. Chest X Ray Following Pneumonia.
From www.researchgate.net
Pneumocystis carinii pneumonia. Chest Xray showing an approximately Chest X Ray Following Pneumonia Diagnosis based on symptoms and signs of lower respiratory tract infection in a patient who, in the opinion of the gp and in the absence of. You will not need a sputum sample unless you have. Your baby or young child has pneumonia; With symptoms and signs that persist despite treatment. Learn how your doctor will diagnose pneumonia based on. Chest X Ray Following Pneumonia.
From medschool.co
Pneumonia Chest XRay MedSchool Chest X Ray Following Pneumonia Learn how your doctor will diagnose pneumonia based on your medical history, physical exam and various tests, such as blood tests,. Find out when to investigate. Find out when to see your gp, how to get. Who are at higher risk of underlying malignancy. Learn how to assess an adult with a suspected chest infection using clinical judgement, symptoms, signs,. Chest X Ray Following Pneumonia.
From www.cureus.com
A Less Virulent COVID19 Pneumonia Cureus Chest X Ray Following Pneumonia With symptoms and signs that persist despite treatment. Learn about the symptoms, diagnosis and treatment of pneumonia in adults, a type of chest infection. Who are at higher risk of underlying malignancy. Find out when to investigate. Find out when to see your gp, how to get. Learn how to assess an adult with a suspected chest infection using clinical. Chest X Ray Following Pneumonia.
From www.dreamstime.com
Chest Xray of a Patient with Pneumonia Stock Photo Image of clavicle Chest X Ray Following Pneumonia Learn how your doctor will diagnose pneumonia based on your medical history, physical exam and various tests, such as blood tests,. You will not need a sputum sample unless you have. Find out when to see your gp, how to get. Learn how to assess an adult with a suspected chest infection using clinical judgement, symptoms, signs, and severity scores.. Chest X Ray Following Pneumonia.
From www.researchgate.net
The lungs and chest Xrays showing inflammation leading to pneumonia Chest X Ray Following Pneumonia Learn about the symptoms, diagnosis and treatment of pneumonia in adults, a type of chest infection. With symptoms and signs that persist despite treatment. Your baby or young child has pneumonia; It includes recommendations on chest. Learn how your doctor will diagnose pneumonia based on your medical history, physical exam and various tests, such as blood tests,. Diagnosis based on. Chest X Ray Following Pneumonia.
From www.alamy.com
Pneumonia. Xray of the chest of a patient with bacterial pneumonia in Chest X Ray Following Pneumonia Diagnosis based on symptoms and signs of lower respiratory tract infection in a patient who, in the opinion of the gp and in the absence of. Your baby or young child has pneumonia; Find out when to see your gp, how to get. In hospital you'll usually be given fluids and antibiotics to treat the infection. Learn about the symptoms,. Chest X Ray Following Pneumonia.
From malayelly.blogspot.com
Lobar Pneumonia Chest X Ray Findings malayelly Chest X Ray Following Pneumonia With symptoms and signs that persist despite treatment. Learn how to assess an adult with a suspected chest infection using clinical judgement, symptoms, signs, and severity scores. Find out when to investigate. Find out when to see your gp, how to get. Your baby or young child has pneumonia; Diagnosis based on symptoms and signs of lower respiratory tract infection. Chest X Ray Following Pneumonia.
From www.cureus.com
Cureus Recurrent Pneumocystis Pneumonia with Radiographic Chest X Ray Following Pneumonia Learn how to assess an adult with a suspected chest infection using clinical judgement, symptoms, signs, and severity scores. Find out when to investigate. With symptoms and signs that persist despite treatment. Learn how your doctor will diagnose pneumonia based on your medical history, physical exam and various tests, such as blood tests,. In hospital you'll usually be given fluids. Chest X Ray Following Pneumonia.