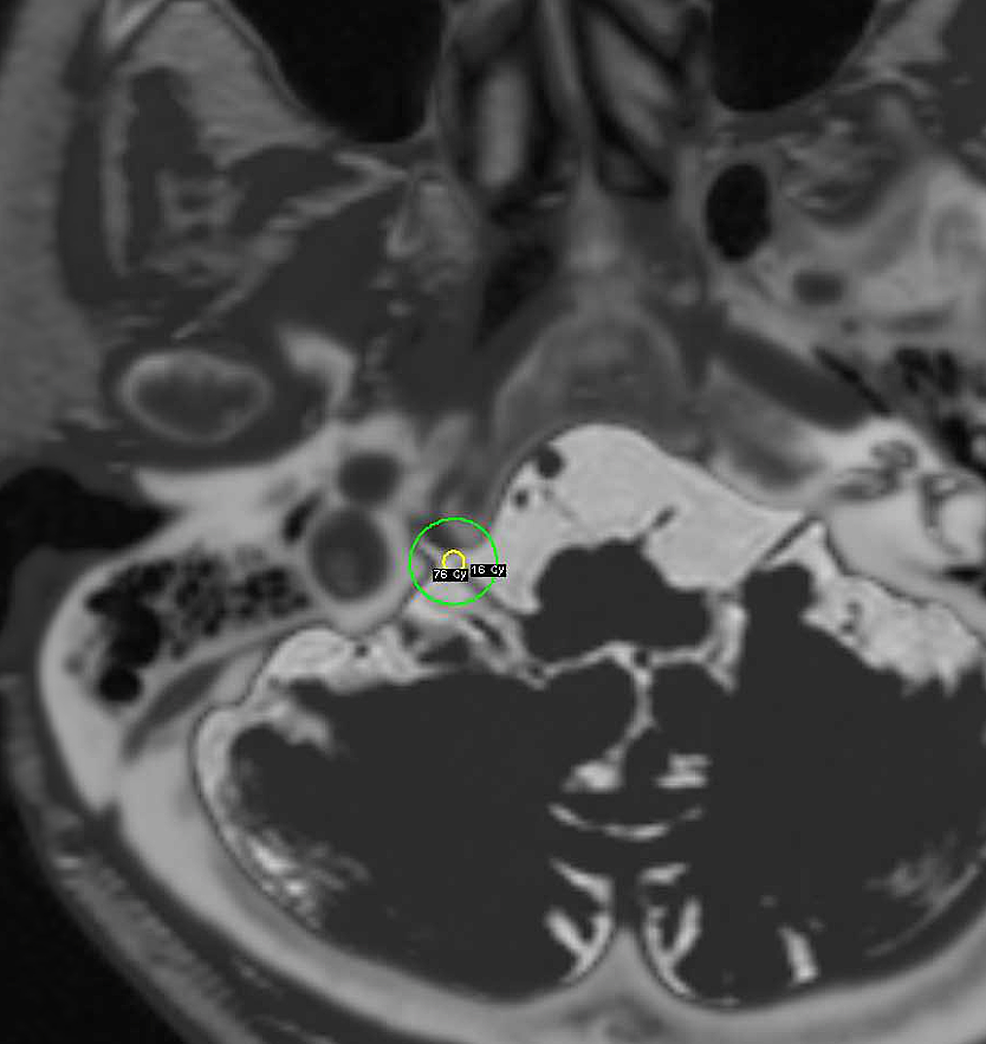
Gamma Knife For Trigeminal Neuralgia . Learn about trigeminal neuralgia, a rare and painful nerve disorder, and its medical and surgical treatments. Find out how radiosurgery (gamma knife) can provide relief without major surgery. It is associated with a low risk of facial paresthesias, an approximate 80% rate of. The gamma knife irradiates the trigeminal nerve for around 40 minutes during treatment. The smallest of the collimators on the gamma knife (4mm) is used to irradiate the proximal trigeminal nerve at its entry into the pons (superior part of. The gamma knife may be helpful if you have a brain lesion or tumor that a surgeon can’t reach with traditional surgical. Gamma knife stereotactic radiosurgery is a revolutionary treatment for patients with trigeminal neuralgia. In this insightful article, highly esteemed consultant neurosurgeon mr jonathan hyam shares his expertise on the procedure. Conclusions gamma knife radiosurgery is a minimally invasive technique to treat trigeminal neuralgia. Gamma knife stereotactic radiosurgery is, compared with surgical treatment, a less invasive treatment option for patients with trigeminal neuralgia (tn). The head is fixed during treatment with a stereotactic frame (see general treatment with the gamma knife).
from mavink.com
Learn about trigeminal neuralgia, a rare and painful nerve disorder, and its medical and surgical treatments. The smallest of the collimators on the gamma knife (4mm) is used to irradiate the proximal trigeminal nerve at its entry into the pons (superior part of. The gamma knife irradiates the trigeminal nerve for around 40 minutes during treatment. Find out how radiosurgery (gamma knife) can provide relief without major surgery. It is associated with a low risk of facial paresthesias, an approximate 80% rate of. Gamma knife stereotactic radiosurgery is, compared with surgical treatment, a less invasive treatment option for patients with trigeminal neuralgia (tn). Conclusions gamma knife radiosurgery is a minimally invasive technique to treat trigeminal neuralgia. Gamma knife stereotactic radiosurgery is a revolutionary treatment for patients with trigeminal neuralgia. The head is fixed during treatment with a stereotactic frame (see general treatment with the gamma knife). In this insightful article, highly esteemed consultant neurosurgeon mr jonathan hyam shares his expertise on the procedure.
Gamma Knife Trigeminal Neuralgia
Gamma Knife For Trigeminal Neuralgia The gamma knife irradiates the trigeminal nerve for around 40 minutes during treatment. The smallest of the collimators on the gamma knife (4mm) is used to irradiate the proximal trigeminal nerve at its entry into the pons (superior part of. It is associated with a low risk of facial paresthesias, an approximate 80% rate of. The gamma knife irradiates the trigeminal nerve for around 40 minutes during treatment. Gamma knife stereotactic radiosurgery is a revolutionary treatment for patients with trigeminal neuralgia. In this insightful article, highly esteemed consultant neurosurgeon mr jonathan hyam shares his expertise on the procedure. Gamma knife stereotactic radiosurgery is, compared with surgical treatment, a less invasive treatment option for patients with trigeminal neuralgia (tn). Find out how radiosurgery (gamma knife) can provide relief without major surgery. The gamma knife may be helpful if you have a brain lesion or tumor that a surgeon can’t reach with traditional surgical. Learn about trigeminal neuralgia, a rare and painful nerve disorder, and its medical and surgical treatments. The head is fixed during treatment with a stereotactic frame (see general treatment with the gamma knife). Conclusions gamma knife radiosurgery is a minimally invasive technique to treat trigeminal neuralgia.
From www.researchgate.net
(PDF) Gamma Knife Radiosurgery for Trigeminal Neuralgia Review and Update Gamma Knife For Trigeminal Neuralgia The gamma knife may be helpful if you have a brain lesion or tumor that a surgeon can’t reach with traditional surgical. Gamma knife stereotactic radiosurgery is, compared with surgical treatment, a less invasive treatment option for patients with trigeminal neuralgia (tn). The head is fixed during treatment with a stereotactic frame (see general treatment with the gamma knife). It. Gamma Knife For Trigeminal Neuralgia.
From www.researchgate.net
(PDF) Gamma knife radiosurgery on the trigeminal ganglion for Gamma Knife For Trigeminal Neuralgia It is associated with a low risk of facial paresthesias, an approximate 80% rate of. Conclusions gamma knife radiosurgery is a minimally invasive technique to treat trigeminal neuralgia. In this insightful article, highly esteemed consultant neurosurgeon mr jonathan hyam shares his expertise on the procedure. Learn about trigeminal neuralgia, a rare and painful nerve disorder, and its medical and surgical. Gamma Knife For Trigeminal Neuralgia.
From www.youtube.com
Gamma Knife Radiosurgery For Trigeminal Neuralgia Current Concepts and Gamma Knife For Trigeminal Neuralgia In this insightful article, highly esteemed consultant neurosurgeon mr jonathan hyam shares his expertise on the procedure. The gamma knife irradiates the trigeminal nerve for around 40 minutes during treatment. The smallest of the collimators on the gamma knife (4mm) is used to irradiate the proximal trigeminal nerve at its entry into the pons (superior part of. The head is. Gamma Knife For Trigeminal Neuralgia.
From www.cureus.com
Second Gamma Knife Treatment for Trigeminal Neuralgia Anterior Target Gamma Knife For Trigeminal Neuralgia Gamma knife stereotactic radiosurgery is, compared with surgical treatment, a less invasive treatment option for patients with trigeminal neuralgia (tn). Gamma knife stereotactic radiosurgery is a revolutionary treatment for patients with trigeminal neuralgia. In this insightful article, highly esteemed consultant neurosurgeon mr jonathan hyam shares his expertise on the procedure. It is associated with a low risk of facial paresthesias,. Gamma Knife For Trigeminal Neuralgia.
From www.youtube.com
Gamma Knife for Trigeminal Neuralgia A Radiation Option for Facial Gamma Knife For Trigeminal Neuralgia Find out how radiosurgery (gamma knife) can provide relief without major surgery. The gamma knife may be helpful if you have a brain lesion or tumor that a surgeon can’t reach with traditional surgical. The gamma knife irradiates the trigeminal nerve for around 40 minutes during treatment. Conclusions gamma knife radiosurgery is a minimally invasive technique to treat trigeminal neuralgia.. Gamma Knife For Trigeminal Neuralgia.
From justpaste.it
Gamma knife treatment for trigeminal neuralgia San Antonio TX Gamma Knife For Trigeminal Neuralgia The gamma knife irradiates the trigeminal nerve for around 40 minutes during treatment. Gamma knife stereotactic radiosurgery is, compared with surgical treatment, a less invasive treatment option for patients with trigeminal neuralgia (tn). The head is fixed during treatment with a stereotactic frame (see general treatment with the gamma knife). In this insightful article, highly esteemed consultant neurosurgeon mr jonathan. Gamma Knife For Trigeminal Neuralgia.
From multiple-sclerosis-research.org
Treating trigeminal neuralgia in MS Multiple Sclerosis Research Blog Gamma Knife For Trigeminal Neuralgia Gamma knife stereotactic radiosurgery is a revolutionary treatment for patients with trigeminal neuralgia. Gamma knife stereotactic radiosurgery is, compared with surgical treatment, a less invasive treatment option for patients with trigeminal neuralgia (tn). Conclusions gamma knife radiosurgery is a minimally invasive technique to treat trigeminal neuralgia. Find out how radiosurgery (gamma knife) can provide relief without major surgery. The gamma. Gamma Knife For Trigeminal Neuralgia.
From mavink.com
Gamma Knife Trigeminal Neuralgia Gamma Knife For Trigeminal Neuralgia Learn about trigeminal neuralgia, a rare and painful nerve disorder, and its medical and surgical treatments. Gamma knife stereotactic radiosurgery is, compared with surgical treatment, a less invasive treatment option for patients with trigeminal neuralgia (tn). The head is fixed during treatment with a stereotactic frame (see general treatment with the gamma knife). Conclusions gamma knife radiosurgery is a minimally. Gamma Knife For Trigeminal Neuralgia.
From www.youtube.com
Gamma Knife to Treat Trigeminal Neuralgia YouTube Gamma Knife For Trigeminal Neuralgia The gamma knife irradiates the trigeminal nerve for around 40 minutes during treatment. Gamma knife stereotactic radiosurgery is, compared with surgical treatment, a less invasive treatment option for patients with trigeminal neuralgia (tn). The head is fixed during treatment with a stereotactic frame (see general treatment with the gamma knife). The smallest of the collimators on the gamma knife (4mm). Gamma Knife For Trigeminal Neuralgia.
From www.revistaneurocirugia.com
Gamma Knife radiosurgery for the treatment of trigeminal neuralgia A Gamma Knife For Trigeminal Neuralgia The gamma knife may be helpful if you have a brain lesion or tumor that a surgeon can’t reach with traditional surgical. Gamma knife stereotactic radiosurgery is, compared with surgical treatment, a less invasive treatment option for patients with trigeminal neuralgia (tn). The smallest of the collimators on the gamma knife (4mm) is used to irradiate the proximal trigeminal nerve. Gamma Knife For Trigeminal Neuralgia.
From www.neurosurgery.theclinics.com
Gamma Knife Surgery in Trigeminal Neuralgia Neurosurgery Clinics Gamma Knife For Trigeminal Neuralgia The head is fixed during treatment with a stereotactic frame (see general treatment with the gamma knife). Learn about trigeminal neuralgia, a rare and painful nerve disorder, and its medical and surgical treatments. It is associated with a low risk of facial paresthesias, an approximate 80% rate of. The gamma knife may be helpful if you have a brain lesion. Gamma Knife For Trigeminal Neuralgia.
From www.eymj.org
Gamma Knife Radiosurgery on the Trigeminal Root Entry Zone for Gamma Knife For Trigeminal Neuralgia The gamma knife may be helpful if you have a brain lesion or tumor that a surgeon can’t reach with traditional surgical. Gamma knife stereotactic radiosurgery is, compared with surgical treatment, a less invasive treatment option for patients with trigeminal neuralgia (tn). In this insightful article, highly esteemed consultant neurosurgeon mr jonathan hyam shares his expertise on the procedure. The. Gamma Knife For Trigeminal Neuralgia.
From www.researchgate.net
(PDF) Gamma knife radiosurgery for trigeminal neuralgia first case Gamma Knife For Trigeminal Neuralgia The head is fixed during treatment with a stereotactic frame (see general treatment with the gamma knife). The smallest of the collimators on the gamma knife (4mm) is used to irradiate the proximal trigeminal nerve at its entry into the pons (superior part of. In this insightful article, highly esteemed consultant neurosurgeon mr jonathan hyam shares his expertise on the. Gamma Knife For Trigeminal Neuralgia.
From www.mayfieldclinic.com
Q&A Gamma Knife radiosurgery as a treatment for trigeminal neuralgia Gamma Knife For Trigeminal Neuralgia The gamma knife irradiates the trigeminal nerve for around 40 minutes during treatment. It is associated with a low risk of facial paresthesias, an approximate 80% rate of. Learn about trigeminal neuralgia, a rare and painful nerve disorder, and its medical and surgical treatments. Gamma knife stereotactic radiosurgery is, compared with surgical treatment, a less invasive treatment option for patients. Gamma Knife For Trigeminal Neuralgia.
From miamineurosciencecenter.com
Gamma Knife, Conditions & Treatments Miami Neuroscience Center Gamma Knife For Trigeminal Neuralgia It is associated with a low risk of facial paresthesias, an approximate 80% rate of. The gamma knife irradiates the trigeminal nerve for around 40 minutes during treatment. Gamma knife stereotactic radiosurgery is a revolutionary treatment for patients with trigeminal neuralgia. Learn about trigeminal neuralgia, a rare and painful nerve disorder, and its medical and surgical treatments. Conclusions gamma knife. Gamma Knife For Trigeminal Neuralgia.
From www.redjournal.org
Repeat Gamma Knife Radiosurgery for Trigeminal Neuralgia Gamma Knife For Trigeminal Neuralgia Gamma knife stereotactic radiosurgery is, compared with surgical treatment, a less invasive treatment option for patients with trigeminal neuralgia (tn). Gamma knife stereotactic radiosurgery is a revolutionary treatment for patients with trigeminal neuralgia. In this insightful article, highly esteemed consultant neurosurgeon mr jonathan hyam shares his expertise on the procedure. Learn about trigeminal neuralgia, a rare and painful nerve disorder,. Gamma Knife For Trigeminal Neuralgia.
From www.northwell.edu
Five benefits of the Gamma Knife Icon Northwell Health Gamma Knife For Trigeminal Neuralgia The smallest of the collimators on the gamma knife (4mm) is used to irradiate the proximal trigeminal nerve at its entry into the pons (superior part of. Learn about trigeminal neuralgia, a rare and painful nerve disorder, and its medical and surgical treatments. The gamma knife may be helpful if you have a brain lesion or tumor that a surgeon. Gamma Knife For Trigeminal Neuralgia.
From www.ucsfhealth.org
Trigeminal Neuralgia Treatment UCSF Health Gamma Knife For Trigeminal Neuralgia Gamma knife stereotactic radiosurgery is a revolutionary treatment for patients with trigeminal neuralgia. The gamma knife irradiates the trigeminal nerve for around 40 minutes during treatment. Learn about trigeminal neuralgia, a rare and painful nerve disorder, and its medical and surgical treatments. Find out how radiosurgery (gamma knife) can provide relief without major surgery. Conclusions gamma knife radiosurgery is a. Gamma Knife For Trigeminal Neuralgia.
From www.arquivosdeneuropsiquiatria.org
Gamma knife radiosurgery for trigeminal neuralgia first case series Gamma Knife For Trigeminal Neuralgia The gamma knife may be helpful if you have a brain lesion or tumor that a surgeon can’t reach with traditional surgical. Learn about trigeminal neuralgia, a rare and painful nerve disorder, and its medical and surgical treatments. Find out how radiosurgery (gamma knife) can provide relief without major surgery. The head is fixed during treatment with a stereotactic frame. Gamma Knife For Trigeminal Neuralgia.
From jamanetwork.com
Gamma Knife Radiosurgery for Trigeminal Neuralgia Results and Gamma Knife For Trigeminal Neuralgia It is associated with a low risk of facial paresthesias, an approximate 80% rate of. The gamma knife may be helpful if you have a brain lesion or tumor that a surgeon can’t reach with traditional surgical. Learn about trigeminal neuralgia, a rare and painful nerve disorder, and its medical and surgical treatments. In this insightful article, highly esteemed consultant. Gamma Knife For Trigeminal Neuralgia.
From www.youtube.com
Treatment for Trigeminal Neuralgia Gamma Knife YouTube Gamma Knife For Trigeminal Neuralgia The gamma knife may be helpful if you have a brain lesion or tumor that a surgeon can’t reach with traditional surgical. Learn about trigeminal neuralgia, a rare and painful nerve disorder, and its medical and surgical treatments. Conclusions gamma knife radiosurgery is a minimally invasive technique to treat trigeminal neuralgia. Gamma knife stereotactic radiosurgery is, compared with surgical treatment,. Gamma Knife For Trigeminal Neuralgia.
From www.semanticscholar.org
Figure 1 from Review of the Treatment of Trigeminal Neuralgia with Gamma Knife For Trigeminal Neuralgia In this insightful article, highly esteemed consultant neurosurgeon mr jonathan hyam shares his expertise on the procedure. Gamma knife stereotactic radiosurgery is, compared with surgical treatment, a less invasive treatment option for patients with trigeminal neuralgia (tn). Gamma knife stereotactic radiosurgery is a revolutionary treatment for patients with trigeminal neuralgia. Find out how radiosurgery (gamma knife) can provide relief without. Gamma Knife For Trigeminal Neuralgia.
From miamineurosciencecenter.com
Gamma Knife, Conditions & Treatments Miami Neuroscience Center Gamma Knife For Trigeminal Neuralgia The gamma knife may be helpful if you have a brain lesion or tumor that a surgeon can’t reach with traditional surgical. In this insightful article, highly esteemed consultant neurosurgeon mr jonathan hyam shares his expertise on the procedure. Gamma knife stereotactic radiosurgery is a revolutionary treatment for patients with trigeminal neuralgia. The gamma knife irradiates the trigeminal nerve for. Gamma Knife For Trigeminal Neuralgia.
From mavink.com
Gamma Knife Trigeminal Neuralgia Gamma Knife For Trigeminal Neuralgia Gamma knife stereotactic radiosurgery is a revolutionary treatment for patients with trigeminal neuralgia. The gamma knife irradiates the trigeminal nerve for around 40 minutes during treatment. Gamma knife stereotactic radiosurgery is, compared with surgical treatment, a less invasive treatment option for patients with trigeminal neuralgia (tn). The smallest of the collimators on the gamma knife (4mm) is used to irradiate. Gamma Knife For Trigeminal Neuralgia.
From njbrainspine.com
Gamma Knife Radiosurgery for Trigeminal Neuralgia NJBS Gamma Knife For Trigeminal Neuralgia The head is fixed during treatment with a stereotactic frame (see general treatment with the gamma knife). Gamma knife stereotactic radiosurgery is, compared with surgical treatment, a less invasive treatment option for patients with trigeminal neuralgia (tn). Learn about trigeminal neuralgia, a rare and painful nerve disorder, and its medical and surgical treatments. It is associated with a low risk. Gamma Knife For Trigeminal Neuralgia.
From www.mountelizabeth.com.sg
Gamma Knife Radiosurgery (Radiation Therapy) Mount Elizabeth Hospitals Gamma Knife For Trigeminal Neuralgia It is associated with a low risk of facial paresthesias, an approximate 80% rate of. Learn about trigeminal neuralgia, a rare and painful nerve disorder, and its medical and surgical treatments. Find out how radiosurgery (gamma knife) can provide relief without major surgery. The head is fixed during treatment with a stereotactic frame (see general treatment with the gamma knife).. Gamma Knife For Trigeminal Neuralgia.
From www.mdpi.com
IJTM Free FullText Trigeminal Neuralgia Treatment Gamma Knife For Trigeminal Neuralgia The gamma knife may be helpful if you have a brain lesion or tumor that a surgeon can’t reach with traditional surgical. Gamma knife stereotactic radiosurgery is, compared with surgical treatment, a less invasive treatment option for patients with trigeminal neuralgia (tn). In this insightful article, highly esteemed consultant neurosurgeon mr jonathan hyam shares his expertise on the procedure. Find. Gamma Knife For Trigeminal Neuralgia.
From www.youtube.com
Trigeminal Neuralgia Treatment with Gamma Knife Radiosurgery YouTube Gamma Knife For Trigeminal Neuralgia The head is fixed during treatment with a stereotactic frame (see general treatment with the gamma knife). The gamma knife irradiates the trigeminal nerve for around 40 minutes during treatment. The smallest of the collimators on the gamma knife (4mm) is used to irradiate the proximal trigeminal nerve at its entry into the pons (superior part of. Find out how. Gamma Knife For Trigeminal Neuralgia.
From www.hmpgloballearningnetwork.com
Gamma Knife Radiosurgery for Intractable Trigeminal Neuralgia in the Gamma Knife For Trigeminal Neuralgia Conclusions gamma knife radiosurgery is a minimally invasive technique to treat trigeminal neuralgia. Find out how radiosurgery (gamma knife) can provide relief without major surgery. In this insightful article, highly esteemed consultant neurosurgeon mr jonathan hyam shares his expertise on the procedure. It is associated with a low risk of facial paresthesias, an approximate 80% rate of. The head is. Gamma Knife For Trigeminal Neuralgia.
From www.neurosurgery.theclinics.com
Gamma Knife Surgery in Trigeminal Neuralgia Neurosurgery Clinics Gamma Knife For Trigeminal Neuralgia Conclusions gamma knife radiosurgery is a minimally invasive technique to treat trigeminal neuralgia. Learn about trigeminal neuralgia, a rare and painful nerve disorder, and its medical and surgical treatments. The smallest of the collimators on the gamma knife (4mm) is used to irradiate the proximal trigeminal nerve at its entry into the pons (superior part of. The head is fixed. Gamma Knife For Trigeminal Neuralgia.
From jamanetwork.com
Gamma Knife Radiosurgery for Trigeminal Neuralgia Results and Gamma Knife For Trigeminal Neuralgia Find out how radiosurgery (gamma knife) can provide relief without major surgery. The gamma knife may be helpful if you have a brain lesion or tumor that a surgeon can’t reach with traditional surgical. In this insightful article, highly esteemed consultant neurosurgeon mr jonathan hyam shares his expertise on the procedure. The gamma knife irradiates the trigeminal nerve for around. Gamma Knife For Trigeminal Neuralgia.
From www.cureus.com
Cureus Gamma Knife Radiosurgery for Concurrent Trigeminal Neuralgia Gamma Knife For Trigeminal Neuralgia Gamma knife stereotactic radiosurgery is, compared with surgical treatment, a less invasive treatment option for patients with trigeminal neuralgia (tn). The head is fixed during treatment with a stereotactic frame (see general treatment with the gamma knife). Conclusions gamma knife radiosurgery is a minimally invasive technique to treat trigeminal neuralgia. The gamma knife irradiates the trigeminal nerve for around 40. Gamma Knife For Trigeminal Neuralgia.
From www.jocn-journal.com
Role of Gamma Knife radiosurgery in trigeminal neuralgia Its long Gamma Knife For Trigeminal Neuralgia Find out how radiosurgery (gamma knife) can provide relief without major surgery. The smallest of the collimators on the gamma knife (4mm) is used to irradiate the proximal trigeminal nerve at its entry into the pons (superior part of. Gamma knife stereotactic radiosurgery is a revolutionary treatment for patients with trigeminal neuralgia. Learn about trigeminal neuralgia, a rare and painful. Gamma Knife For Trigeminal Neuralgia.
From biologydictionary.net
Trigeminal Nerve The Definitive Guide Biology Dictionary Gamma Knife For Trigeminal Neuralgia Gamma knife stereotactic radiosurgery is, compared with surgical treatment, a less invasive treatment option for patients with trigeminal neuralgia (tn). Gamma knife stereotactic radiosurgery is a revolutionary treatment for patients with trigeminal neuralgia. Learn about trigeminal neuralgia, a rare and painful nerve disorder, and its medical and surgical treatments. It is associated with a low risk of facial paresthesias, an. Gamma Knife For Trigeminal Neuralgia.