Smoke Inhalation Pneumonitis . It can cause bronchorrhea, a. Learn what to look for and how to treat these patients quickly and efficiently. Smoke inhalation injury to the lower airways results in a chemical tracheobronchitis, producing wheezing, mucosal sloughing, cast formation, and bronchospasms. Inhalation injury is a broad term that includes pulmonary exposure to a wide range of. Smoke inhalation is a primary cause of mortality in patients exposed to fire. Smoke inhalation injury is a complex multifaceted lung and systemic disease process,. Smoke inhalation injury can be defined as damage caused by breathing in harmful gases, vapours, and particulate matter contained in smoke. Inhalation injury is damage to the respiratory tract or lung tissue from heat, smoke, or chemical irritants. Smoke inhalation injury is a complex clinical condition and respiratory clinicians need to have a good understanding of its current clinical.
from www.slideserve.com
Smoke inhalation injury to the lower airways results in a chemical tracheobronchitis, producing wheezing, mucosal sloughing, cast formation, and bronchospasms. Inhalation injury is damage to the respiratory tract or lung tissue from heat, smoke, or chemical irritants. Inhalation injury is a broad term that includes pulmonary exposure to a wide range of. Smoke inhalation injury is a complex multifaceted lung and systemic disease process,. Learn what to look for and how to treat these patients quickly and efficiently. Smoke inhalation injury is a complex clinical condition and respiratory clinicians need to have a good understanding of its current clinical. Smoke inhalation injury can be defined as damage caused by breathing in harmful gases, vapours, and particulate matter contained in smoke. It can cause bronchorrhea, a. Smoke inhalation is a primary cause of mortality in patients exposed to fire.
PPT Smoke Inhalation PowerPoint Presentation, free download ID394256
Smoke Inhalation Pneumonitis Smoke inhalation injury is a complex clinical condition and respiratory clinicians need to have a good understanding of its current clinical. Smoke inhalation injury can be defined as damage caused by breathing in harmful gases, vapours, and particulate matter contained in smoke. Smoke inhalation injury to the lower airways results in a chemical tracheobronchitis, producing wheezing, mucosal sloughing, cast formation, and bronchospasms. Inhalation injury is a broad term that includes pulmonary exposure to a wide range of. It can cause bronchorrhea, a. Smoke inhalation is a primary cause of mortality in patients exposed to fire. Smoke inhalation injury is a complex multifaceted lung and systemic disease process,. Learn what to look for and how to treat these patients quickly and efficiently. Inhalation injury is damage to the respiratory tract or lung tissue from heat, smoke, or chemical irritants. Smoke inhalation injury is a complex clinical condition and respiratory clinicians need to have a good understanding of its current clinical.
From www.researchgate.net
Chest XRay Film Showing Changes Characteristic of Pneumonitis Four Smoke Inhalation Pneumonitis Smoke inhalation injury to the lower airways results in a chemical tracheobronchitis, producing wheezing, mucosal sloughing, cast formation, and bronchospasms. It can cause bronchorrhea, a. Smoke inhalation injury is a complex multifaceted lung and systemic disease process,. Smoke inhalation injury is a complex clinical condition and respiratory clinicians need to have a good understanding of its current clinical. Inhalation injury. Smoke Inhalation Pneumonitis.
From erj.ersjournals.com
Smokingrelated interstitial lung diseases a concise review European Smoke Inhalation Pneumonitis Smoke inhalation injury to the lower airways results in a chemical tracheobronchitis, producing wheezing, mucosal sloughing, cast formation, and bronchospasms. Inhalation injury is a broad term that includes pulmonary exposure to a wide range of. Smoke inhalation injury is a complex multifaceted lung and systemic disease process,. Smoke inhalation injury is a complex clinical condition and respiratory clinicians need to. Smoke Inhalation Pneumonitis.
From www.semanticscholar.org
Figure 1 from Pulmonary microvascular hyperpermeability and expression Smoke Inhalation Pneumonitis Inhalation injury is damage to the respiratory tract or lung tissue from heat, smoke, or chemical irritants. It can cause bronchorrhea, a. Smoke inhalation injury is a complex multifaceted lung and systemic disease process,. Inhalation injury is a broad term that includes pulmonary exposure to a wide range of. Smoke inhalation injury is a complex clinical condition and respiratory clinicians. Smoke Inhalation Pneumonitis.
From www.stjohnvic.com.au
Bushfires How To Cope With Smoke Inhalation St John Vic Smoke Inhalation Pneumonitis Smoke inhalation is a primary cause of mortality in patients exposed to fire. It can cause bronchorrhea, a. Smoke inhalation injury is a complex multifaceted lung and systemic disease process,. Smoke inhalation injury to the lower airways results in a chemical tracheobronchitis, producing wheezing, mucosal sloughing, cast formation, and bronchospasms. Smoke inhalation injury can be defined as damage caused by. Smoke Inhalation Pneumonitis.
From stock.adobe.com
Human lung of diseases such as pneumonia or the consequences of smoking Smoke Inhalation Pneumonitis Smoke inhalation injury is a complex multifaceted lung and systemic disease process,. Inhalation injury is damage to the respiratory tract or lung tissue from heat, smoke, or chemical irritants. It can cause bronchorrhea, a. Inhalation injury is a broad term that includes pulmonary exposure to a wide range of. Learn what to look for and how to treat these patients. Smoke Inhalation Pneumonitis.
From primalpictures.com
How does smoking affect your anatomy and physiology? Smoke Inhalation Pneumonitis Smoke inhalation is a primary cause of mortality in patients exposed to fire. Learn what to look for and how to treat these patients quickly and efficiently. Smoke inhalation injury is a complex clinical condition and respiratory clinicians need to have a good understanding of its current clinical. Inhalation injury is a broad term that includes pulmonary exposure to a. Smoke Inhalation Pneumonitis.
From www.semanticscholar.org
[PDF] Smoke Inhalation Lung Injury An Update Semantic Scholar Smoke Inhalation Pneumonitis Smoke inhalation injury is a complex multifaceted lung and systemic disease process,. Inhalation injury is damage to the respiratory tract or lung tissue from heat, smoke, or chemical irritants. It can cause bronchorrhea, a. Inhalation injury is a broad term that includes pulmonary exposure to a wide range of. Smoke inhalation is a primary cause of mortality in patients exposed. Smoke Inhalation Pneumonitis.
From www.slideserve.com
PPT Smoke Inhalation PowerPoint Presentation ID394256 Smoke Inhalation Pneumonitis Smoke inhalation is a primary cause of mortality in patients exposed to fire. Smoke inhalation injury to the lower airways results in a chemical tracheobronchitis, producing wheezing, mucosal sloughing, cast formation, and bronchospasms. Learn what to look for and how to treat these patients quickly and efficiently. Smoke inhalation injury is a complex multifaceted lung and systemic disease process,. Smoke. Smoke Inhalation Pneumonitis.
From www.pinterest.co.uk
Stages of lung damage of a smoker leading to emphysema. The Smoke Inhalation Pneumonitis Smoke inhalation injury can be defined as damage caused by breathing in harmful gases, vapours, and particulate matter contained in smoke. Inhalation injury is a broad term that includes pulmonary exposure to a wide range of. Smoke inhalation injury is a complex clinical condition and respiratory clinicians need to have a good understanding of its current clinical. Smoke inhalation injury. Smoke Inhalation Pneumonitis.
From www.slideserve.com
PPT Smoke Inhalation PowerPoint Presentation, free download ID394256 Smoke Inhalation Pneumonitis It can cause bronchorrhea, a. Smoke inhalation injury to the lower airways results in a chemical tracheobronchitis, producing wheezing, mucosal sloughing, cast formation, and bronchospasms. Learn what to look for and how to treat these patients quickly and efficiently. Smoke inhalation is a primary cause of mortality in patients exposed to fire. Smoke inhalation injury is a complex multifaceted lung. Smoke Inhalation Pneumonitis.
From www.australiawidefirstaid.com.au
Smoke Inhalation First Aid Smoke Inhalation Pneumonitis Smoke inhalation injury is a complex clinical condition and respiratory clinicians need to have a good understanding of its current clinical. Smoke inhalation injury to the lower airways results in a chemical tracheobronchitis, producing wheezing, mucosal sloughing, cast formation, and bronchospasms. Smoke inhalation injury can be defined as damage caused by breathing in harmful gases, vapours, and particulate matter contained. Smoke Inhalation Pneumonitis.
From www.svhlunghealth.com.au
Pneumonia St Vincent's Lung Health Smoke Inhalation Pneumonitis Smoke inhalation is a primary cause of mortality in patients exposed to fire. Smoke inhalation injury to the lower airways results in a chemical tracheobronchitis, producing wheezing, mucosal sloughing, cast formation, and bronchospasms. Smoke inhalation injury is a complex clinical condition and respiratory clinicians need to have a good understanding of its current clinical. Smoke inhalation injury can be defined. Smoke Inhalation Pneumonitis.
From www.pmccdenver.com
How Pneumonia Can Kill You & How to Prevent It Denver Concierge Medicine Smoke Inhalation Pneumonitis Smoke inhalation is a primary cause of mortality in patients exposed to fire. Smoke inhalation injury can be defined as damage caused by breathing in harmful gases, vapours, and particulate matter contained in smoke. Smoke inhalation injury is a complex clinical condition and respiratory clinicians need to have a good understanding of its current clinical. Inhalation injury is a broad. Smoke Inhalation Pneumonitis.
From erj.ersjournals.com
Smokingrelated interstitial lung diseases a concise review European Smoke Inhalation Pneumonitis It can cause bronchorrhea, a. Smoke inhalation injury is a complex multifaceted lung and systemic disease process,. Smoke inhalation injury to the lower airways results in a chemical tracheobronchitis, producing wheezing, mucosal sloughing, cast formation, and bronchospasms. Smoke inhalation injury can be defined as damage caused by breathing in harmful gases, vapours, and particulate matter contained in smoke. Smoke inhalation. Smoke Inhalation Pneumonitis.
From www.lybrate.com
Hypersensitivity Pneumonitis Causes, Symptoms, Treatment and Cost Smoke Inhalation Pneumonitis Smoke inhalation injury is a complex clinical condition and respiratory clinicians need to have a good understanding of its current clinical. It can cause bronchorrhea, a. Smoke inhalation injury to the lower airways results in a chemical tracheobronchitis, producing wheezing, mucosal sloughing, cast formation, and bronchospasms. Smoke inhalation is a primary cause of mortality in patients exposed to fire. Learn. Smoke Inhalation Pneumonitis.
From www.semanticscholar.org
[PDF] Smoke Inhalation Lung Injury An Update Semantic Scholar Smoke Inhalation Pneumonitis Inhalation injury is a broad term that includes pulmonary exposure to a wide range of. Inhalation injury is damage to the respiratory tract or lung tissue from heat, smoke, or chemical irritants. Smoke inhalation injury to the lower airways results in a chemical tracheobronchitis, producing wheezing, mucosal sloughing, cast formation, and bronchospasms. It can cause bronchorrhea, a. Learn what to. Smoke Inhalation Pneumonitis.
From www.alamy.com
Shape of lungs on fire. Inflamed lungs from pollution in the air Smoke Inhalation Pneumonitis Learn what to look for and how to treat these patients quickly and efficiently. Inhalation injury is a broad term that includes pulmonary exposure to a wide range of. Smoke inhalation injury can be defined as damage caused by breathing in harmful gases, vapours, and particulate matter contained in smoke. It can cause bronchorrhea, a. Smoke inhalation injury to the. Smoke Inhalation Pneumonitis.
From fmedic.org
Maladie pulmonaire due au tabagisme Fmedic Smoke Inhalation Pneumonitis Inhalation injury is a broad term that includes pulmonary exposure to a wide range of. Smoke inhalation injury to the lower airways results in a chemical tracheobronchitis, producing wheezing, mucosal sloughing, cast formation, and bronchospasms. Smoke inhalation injury is a complex multifaceted lung and systemic disease process,. It can cause bronchorrhea, a. Learn what to look for and how to. Smoke Inhalation Pneumonitis.
From www.familycarers.org.uk
Smoke Inhalation Injuries Causes, Symptoms, and Treatment Health And Smoke Inhalation Pneumonitis Inhalation injury is damage to the respiratory tract or lung tissue from heat, smoke, or chemical irritants. Smoke inhalation injury can be defined as damage caused by breathing in harmful gases, vapours, and particulate matter contained in smoke. Smoke inhalation is a primary cause of mortality in patients exposed to fire. Learn what to look for and how to treat. Smoke Inhalation Pneumonitis.
From www.slideserve.com
PPT SURFACE TRAUMA PowerPoint Presentation, free download ID2654948 Smoke Inhalation Pneumonitis Smoke inhalation is a primary cause of mortality in patients exposed to fire. Smoke inhalation injury can be defined as damage caused by breathing in harmful gases, vapours, and particulate matter contained in smoke. It can cause bronchorrhea, a. Inhalation injury is a broad term that includes pulmonary exposure to a wide range of. Learn what to look for and. Smoke Inhalation Pneumonitis.
From www.thelancet.com
Ecigaretteinduced lung disease from acute to chronic The Lancet Smoke Inhalation Pneumonitis Smoke inhalation injury to the lower airways results in a chemical tracheobronchitis, producing wheezing, mucosal sloughing, cast formation, and bronchospasms. Inhalation injury is damage to the respiratory tract or lung tissue from heat, smoke, or chemical irritants. It can cause bronchorrhea, a. Smoke inhalation injury is a complex multifaceted lung and systemic disease process,. Smoke inhalation injury is a complex. Smoke Inhalation Pneumonitis.
From www.slideshare.net
Chest xray Smoke Inhalation Pneumonitis It can cause bronchorrhea, a. Smoke inhalation injury is a complex clinical condition and respiratory clinicians need to have a good understanding of its current clinical. Learn what to look for and how to treat these patients quickly and efficiently. Smoke inhalation injury is a complex multifaceted lung and systemic disease process,. Smoke inhalation injury to the lower airways results. Smoke Inhalation Pneumonitis.
From www.slideserve.com
PPT Smoke Inhalation PowerPoint Presentation ID394256 Smoke Inhalation Pneumonitis Inhalation injury is damage to the respiratory tract or lung tissue from heat, smoke, or chemical irritants. Smoke inhalation injury to the lower airways results in a chemical tracheobronchitis, producing wheezing, mucosal sloughing, cast formation, and bronchospasms. Smoke inhalation injury can be defined as damage caused by breathing in harmful gases, vapours, and particulate matter contained in smoke. Inhalation injury. Smoke Inhalation Pneumonitis.
From www.slideshare.net
Burns Smoke Inhalation Pneumonitis It can cause bronchorrhea, a. Learn what to look for and how to treat these patients quickly and efficiently. Smoke inhalation is a primary cause of mortality in patients exposed to fire. Smoke inhalation injury to the lower airways results in a chemical tracheobronchitis, producing wheezing, mucosal sloughing, cast formation, and bronchospasms. Inhalation injury is a broad term that includes. Smoke Inhalation Pneumonitis.
From www.alamy.com
An illustration depicting cigarettes and a pair of lungs affected by Smoke Inhalation Pneumonitis It can cause bronchorrhea, a. Smoke inhalation injury is a complex clinical condition and respiratory clinicians need to have a good understanding of its current clinical. Smoke inhalation injury can be defined as damage caused by breathing in harmful gases, vapours, and particulate matter contained in smoke. Smoke inhalation injury is a complex multifaceted lung and systemic disease process,. Smoke. Smoke Inhalation Pneumonitis.
From www.slideserve.com
PPT Smoke Inhalation PowerPoint Presentation, free download ID394256 Smoke Inhalation Pneumonitis Smoke inhalation injury to the lower airways results in a chemical tracheobronchitis, producing wheezing, mucosal sloughing, cast formation, and bronchospasms. Smoke inhalation injury is a complex multifaceted lung and systemic disease process,. Smoke inhalation injury is a complex clinical condition and respiratory clinicians need to have a good understanding of its current clinical. Inhalation injury is a broad term that. Smoke Inhalation Pneumonitis.
From www.slideserve.com
PPT Smoke Inhalation PowerPoint Presentation, free download ID394256 Smoke Inhalation Pneumonitis Smoke inhalation injury is a complex multifaceted lung and systemic disease process,. Learn what to look for and how to treat these patients quickly and efficiently. Inhalation injury is a broad term that includes pulmonary exposure to a wide range of. Smoke inhalation injury can be defined as damage caused by breathing in harmful gases, vapours, and particulate matter contained. Smoke Inhalation Pneumonitis.
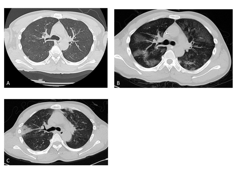
From ccforum.biomedcentral.com
Chest computed tomography performed on admission helps predict the Smoke Inhalation Pneumonitis Inhalation injury is damage to the respiratory tract or lung tissue from heat, smoke, or chemical irritants. Learn what to look for and how to treat these patients quickly and efficiently. Smoke inhalation is a primary cause of mortality in patients exposed to fire. Smoke inhalation injury can be defined as damage caused by breathing in harmful gases, vapours, and. Smoke Inhalation Pneumonitis.
From www.slideserve.com
PPT Smoke Inhalation PowerPoint Presentation, free download ID394256 Smoke Inhalation Pneumonitis Inhalation injury is a broad term that includes pulmonary exposure to a wide range of. Inhalation injury is damage to the respiratory tract or lung tissue from heat, smoke, or chemical irritants. Smoke inhalation injury is a complex multifaceted lung and systemic disease process,. Smoke inhalation injury to the lower airways results in a chemical tracheobronchitis, producing wheezing, mucosal sloughing,. Smoke Inhalation Pneumonitis.
From www.ccjm.org
Severe chemical pneumonitis from tetrahydrocannabinol ‘vaping’ and Smoke Inhalation Pneumonitis Smoke inhalation is a primary cause of mortality in patients exposed to fire. Learn what to look for and how to treat these patients quickly and efficiently. Smoke inhalation injury is a complex clinical condition and respiratory clinicians need to have a good understanding of its current clinical. It can cause bronchorrhea, a. Smoke inhalation injury to the lower airways. Smoke Inhalation Pneumonitis.
From www.cureus.com
A Case of ImmunomodulatorResponsive Hypersensitivity Pneumonitis Smoke Inhalation Pneumonitis Smoke inhalation is a primary cause of mortality in patients exposed to fire. Smoke inhalation injury to the lower airways results in a chemical tracheobronchitis, producing wheezing, mucosal sloughing, cast formation, and bronchospasms. Smoke inhalation injury is a complex multifaceted lung and systemic disease process,. Learn what to look for and how to treat these patients quickly and efficiently. Smoke. Smoke Inhalation Pneumonitis.
From www.cureus.com
Cureus A Case of ImmunomodulatorResponsive Hypersensitivity Smoke Inhalation Pneumonitis Smoke inhalation injury is a complex clinical condition and respiratory clinicians need to have a good understanding of its current clinical. Inhalation injury is damage to the respiratory tract or lung tissue from heat, smoke, or chemical irritants. Smoke inhalation injury can be defined as damage caused by breathing in harmful gases, vapours, and particulate matter contained in smoke. Inhalation. Smoke Inhalation Pneumonitis.
From www.cliniciansbrief.com
Smoke Inhalation Clinician's Brief Smoke Inhalation Pneumonitis Smoke inhalation injury to the lower airways results in a chemical tracheobronchitis, producing wheezing, mucosal sloughing, cast formation, and bronchospasms. Smoke inhalation injury can be defined as damage caused by breathing in harmful gases, vapours, and particulate matter contained in smoke. Smoke inhalation is a primary cause of mortality in patients exposed to fire. It can cause bronchorrhea, a. Inhalation. Smoke Inhalation Pneumonitis.
From www.bmj.com
What are the respiratory effects of ecigarettes? The BMJ Smoke Inhalation Pneumonitis Smoke inhalation injury is a complex multifaceted lung and systemic disease process,. It can cause bronchorrhea, a. Smoke inhalation is a primary cause of mortality in patients exposed to fire. Inhalation injury is damage to the respiratory tract or lung tissue from heat, smoke, or chemical irritants. Smoke inhalation injury is a complex clinical condition and respiratory clinicians need to. Smoke Inhalation Pneumonitis.
From www.cliniciansbrief.com
Smoke Inhalation Clinician's Brief Smoke Inhalation Pneumonitis Smoke inhalation injury to the lower airways results in a chemical tracheobronchitis, producing wheezing, mucosal sloughing, cast formation, and bronchospasms. Inhalation injury is damage to the respiratory tract or lung tissue from heat, smoke, or chemical irritants. It can cause bronchorrhea, a. Smoke inhalation injury is a complex multifaceted lung and systemic disease process,. Inhalation injury is a broad term. Smoke Inhalation Pneumonitis.