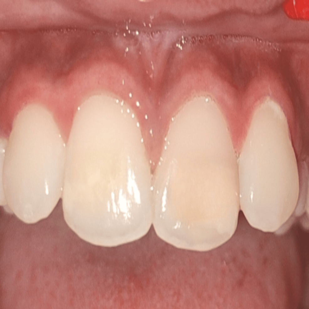
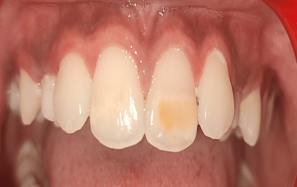
Turner's Hypoplasia . Turner's hypoplasia usually manifests as a portion of missing or diminished enamel, generally affecting one or more permanent teeth in the. An enamel defect in the permanent teeth caused by periapical inflammatory disease in the overlying primary tooth is referred to as turner's tooth (also known as turner's hypoplasia). If involve anterior teeth, most likely. Hypoplasia is a developmental disturbance of the teeth which can be a outcome of a trauma or an infection before its eruption in. An enamel defect in the permanent teeth caused by periapical inflammatory disease in the overlying primary tooth is referred to as. Hypoplasia is the result of disruption in the process of enamel matrix formation, which in turn causes defect in quality and thickness of. Turner's hypoplasia usually manifests as a portion of missing or diminished enamel, generally affecting one or more permanent teeth in the oral cavity.
from www.slideserve.com
Turner's hypoplasia usually manifests as a portion of missing or diminished enamel, generally affecting one or more permanent teeth in the oral cavity. Turner's hypoplasia usually manifests as a portion of missing or diminished enamel, generally affecting one or more permanent teeth in the. An enamel defect in the permanent teeth caused by periapical inflammatory disease in the overlying primary tooth is referred to as. If involve anterior teeth, most likely. Hypoplasia is a developmental disturbance of the teeth which can be a outcome of a trauma or an infection before its eruption in. An enamel defect in the permanent teeth caused by periapical inflammatory disease in the overlying primary tooth is referred to as turner's tooth (also known as turner's hypoplasia). Hypoplasia is the result of disruption in the process of enamel matrix formation, which in turn causes defect in quality and thickness of.
PPT ABNORMALITIES OF TEETH PowerPoint Presentation, free download ID2920983
Turner's Hypoplasia Turner's hypoplasia usually manifests as a portion of missing or diminished enamel, generally affecting one or more permanent teeth in the oral cavity. An enamel defect in the permanent teeth caused by periapical inflammatory disease in the overlying primary tooth is referred to as turner's tooth (also known as turner's hypoplasia). Hypoplasia is the result of disruption in the process of enamel matrix formation, which in turn causes defect in quality and thickness of. An enamel defect in the permanent teeth caused by periapical inflammatory disease in the overlying primary tooth is referred to as. Turner's hypoplasia usually manifests as a portion of missing or diminished enamel, generally affecting one or more permanent teeth in the oral cavity. Hypoplasia is a developmental disturbance of the teeth which can be a outcome of a trauma or an infection before its eruption in. If involve anterior teeth, most likely. Turner's hypoplasia usually manifests as a portion of missing or diminished enamel, generally affecting one or more permanent teeth in the.
From www.wikidoc.org
Turner syndrome x ray wikidoc Turner's Hypoplasia An enamel defect in the permanent teeth caused by periapical inflammatory disease in the overlying primary tooth is referred to as turner's tooth (also known as turner's hypoplasia). Hypoplasia is a developmental disturbance of the teeth which can be a outcome of a trauma or an infection before its eruption in. An enamel defect in the permanent teeth caused by. Turner's Hypoplasia.
From idental.study
Conservative Management of Hypoplasia and Anterior Crown Deformation after Primary Tooth Trauma Turner's Hypoplasia An enamel defect in the permanent teeth caused by periapical inflammatory disease in the overlying primary tooth is referred to as. Hypoplasia is the result of disruption in the process of enamel matrix formation, which in turn causes defect in quality and thickness of. Turner's hypoplasia usually manifests as a portion of missing or diminished enamel, generally affecting one or. Turner's Hypoplasia.
From www.youtube.com
Turner and Klinefelter syndrome YouTube Turner's Hypoplasia Turner's hypoplasia usually manifests as a portion of missing or diminished enamel, generally affecting one or more permanent teeth in the. Hypoplasia is the result of disruption in the process of enamel matrix formation, which in turn causes defect in quality and thickness of. If involve anterior teeth, most likely. An enamel defect in the permanent teeth caused by periapical. Turner's Hypoplasia.
From slidetodoc.com
Dental Anomalies in Radiology wcwangkmu edu tw Wen Turner's Hypoplasia If involve anterior teeth, most likely. Hypoplasia is the result of disruption in the process of enamel matrix formation, which in turn causes defect in quality and thickness of. Turner's hypoplasia usually manifests as a portion of missing or diminished enamel, generally affecting one or more permanent teeth in the. An enamel defect in the permanent teeth caused by periapical. Turner's Hypoplasia.
From www.slideserve.com
PPT Abnormalities of the Teeth PowerPoint Presentation, free download ID9296831 Turner's Hypoplasia An enamel defect in the permanent teeth caused by periapical inflammatory disease in the overlying primary tooth is referred to as turner's tooth (also known as turner's hypoplasia). Hypoplasia is a developmental disturbance of the teeth which can be a outcome of a trauma or an infection before its eruption in. Turner's hypoplasia usually manifests as a portion of missing. Turner's Hypoplasia.
From healthtian.com
Turner Syndrome Causes and Symptoms Healthtian Turner's Hypoplasia An enamel defect in the permanent teeth caused by periapical inflammatory disease in the overlying primary tooth is referred to as turner's tooth (also known as turner's hypoplasia). Hypoplasia is the result of disruption in the process of enamel matrix formation, which in turn causes defect in quality and thickness of. An enamel defect in the permanent teeth caused by. Turner's Hypoplasia.
From www.slideserve.com
PPT Abnormalities of the Teeth Associate professor Dr S E Jabbarifar,Isfahan Dental School Turner's Hypoplasia Turner's hypoplasia usually manifests as a portion of missing or diminished enamel, generally affecting one or more permanent teeth in the oral cavity. Turner's hypoplasia usually manifests as a portion of missing or diminished enamel, generally affecting one or more permanent teeth in the. If involve anterior teeth, most likely. An enamel defect in the permanent teeth caused by periapical. Turner's Hypoplasia.
From www.cureus.com
Management of Turner's Hypoplasia Using Resin Infiltration A Case Report Cureus Turner's Hypoplasia Hypoplasia is the result of disruption in the process of enamel matrix formation, which in turn causes defect in quality and thickness of. Turner's hypoplasia usually manifests as a portion of missing or diminished enamel, generally affecting one or more permanent teeth in the oral cavity. Turner's hypoplasia usually manifests as a portion of missing or diminished enamel, generally affecting. Turner's Hypoplasia.
From medizzy.com
Turner's hypoplasia MEDizzy Turner's Hypoplasia An enamel defect in the permanent teeth caused by periapical inflammatory disease in the overlying primary tooth is referred to as. Hypoplasia is a developmental disturbance of the teeth which can be a outcome of a trauma or an infection before its eruption in. Turner's hypoplasia usually manifests as a portion of missing or diminished enamel, generally affecting one or. Turner's Hypoplasia.
From stock.adobe.com
Teeth discolored in Dental with Fluorosis pitted of grooved Turner's hypoplasia Stock Vector Turner's Hypoplasia Hypoplasia is the result of disruption in the process of enamel matrix formation, which in turn causes defect in quality and thickness of. Turner's hypoplasia usually manifests as a portion of missing or diminished enamel, generally affecting one or more permanent teeth in the oral cavity. An enamel defect in the permanent teeth caused by periapical inflammatory disease in the. Turner's Hypoplasia.
From www.researchgate.net
(PDF) Management of Turner's Hypoplasia Using Resin Infiltration A Case Report Turner's Hypoplasia An enamel defect in the permanent teeth caused by periapical inflammatory disease in the overlying primary tooth is referred to as. Turner's hypoplasia usually manifests as a portion of missing or diminished enamel, generally affecting one or more permanent teeth in the oral cavity. An enamel defect in the permanent teeth caused by periapical inflammatory disease in the overlying primary. Turner's Hypoplasia.
From www.cureus.com
Management of Turner's Hypoplasia Using Resin Infiltration A Case Report Cureus Turner's Hypoplasia Hypoplasia is the result of disruption in the process of enamel matrix formation, which in turn causes defect in quality and thickness of. If involve anterior teeth, most likely. An enamel defect in the permanent teeth caused by periapical inflammatory disease in the overlying primary tooth is referred to as turner's tooth (also known as turner's hypoplasia). Turner's hypoplasia usually. Turner's Hypoplasia.
From www.jaad.org
Turner's syndrome in dermatology Journal of the American Academy of Dermatology Turner's Hypoplasia An enamel defect in the permanent teeth caused by periapical inflammatory disease in the overlying primary tooth is referred to as. Hypoplasia is a developmental disturbance of the teeth which can be a outcome of a trauma or an infection before its eruption in. If involve anterior teeth, most likely. Turner's hypoplasia usually manifests as a portion of missing or. Turner's Hypoplasia.
From www.researchgate.net
(PDF) Restoration of incisal half with edgeup technique using ceramic partial crown in turner's Turner's Hypoplasia An enamel defect in the permanent teeth caused by periapical inflammatory disease in the overlying primary tooth is referred to as turner's tooth (also known as turner's hypoplasia). Turner's hypoplasia usually manifests as a portion of missing or diminished enamel, generally affecting one or more permanent teeth in the oral cavity. If involve anterior teeth, most likely. Hypoplasia is a. Turner's Hypoplasia.
From slidetodoc.com
Dental Anomalies in Radiology wcwangkmu edu tw Wen Turner's Hypoplasia Turner's hypoplasia usually manifests as a portion of missing or diminished enamel, generally affecting one or more permanent teeth in the. Hypoplasia is a developmental disturbance of the teeth which can be a outcome of a trauma or an infection before its eruption in. An enamel defect in the permanent teeth caused by periapical inflammatory disease in the overlying primary. Turner's Hypoplasia.
From www.youtube.com
Turner Hypoplasia part 2 and Turner Syndrome YouTube Turner's Hypoplasia Hypoplasia is the result of disruption in the process of enamel matrix formation, which in turn causes defect in quality and thickness of. Turner's hypoplasia usually manifests as a portion of missing or diminished enamel, generally affecting one or more permanent teeth in the. An enamel defect in the permanent teeth caused by periapical inflammatory disease in the overlying primary. Turner's Hypoplasia.
From www.slideserve.com
PPT Abnormalities of the Teeth Associate professor Dr S E Jabbarifar,Isfahan Dental School Turner's Hypoplasia An enamel defect in the permanent teeth caused by periapical inflammatory disease in the overlying primary tooth is referred to as. An enamel defect in the permanent teeth caused by periapical inflammatory disease in the overlying primary tooth is referred to as turner's tooth (also known as turner's hypoplasia). Hypoplasia is the result of disruption in the process of enamel. Turner's Hypoplasia.
From www.slideserve.com
PPT DENTAL ANOMALY PowerPoint Presentation ID5189746 Turner's Hypoplasia An enamel defect in the permanent teeth caused by periapical inflammatory disease in the overlying primary tooth is referred to as turner's tooth (also known as turner's hypoplasia). Turner's hypoplasia usually manifests as a portion of missing or diminished enamel, generally affecting one or more permanent teeth in the. Turner's hypoplasia usually manifests as a portion of missing or diminished. Turner's Hypoplasia.
From ar.inspiredpencil.com
Turners Hypoplasia Turner's Hypoplasia If involve anterior teeth, most likely. An enamel defect in the permanent teeth caused by periapical inflammatory disease in the overlying primary tooth is referred to as turner's tooth (also known as turner's hypoplasia). An enamel defect in the permanent teeth caused by periapical inflammatory disease in the overlying primary tooth is referred to as. Turner's hypoplasia usually manifests as. Turner's Hypoplasia.
From www.researchgate.net
(PDF) A Clinical Image of Enamel HypoplasiaTurners Tooth Turner's Hypoplasia If involve anterior teeth, most likely. Hypoplasia is the result of disruption in the process of enamel matrix formation, which in turn causes defect in quality and thickness of. An enamel defect in the permanent teeth caused by periapical inflammatory disease in the overlying primary tooth is referred to as turner's tooth (also known as turner's hypoplasia). Hypoplasia is a. Turner's Hypoplasia.
From www.slideserve.com
PPT ABNORMALITIES OF TEETH PowerPoint Presentation, free download ID2920983 Turner's Hypoplasia An enamel defect in the permanent teeth caused by periapical inflammatory disease in the overlying primary tooth is referred to as turner's tooth (also known as turner's hypoplasia). Turner's hypoplasia usually manifests as a portion of missing or diminished enamel, generally affecting one or more permanent teeth in the oral cavity. Turner's hypoplasia usually manifests as a portion of missing. Turner's Hypoplasia.
From vk.com
Turner’s teeth are the most severe manifestation of local enamel hypoplasia. Refers to non Turner's Hypoplasia Turner's hypoplasia usually manifests as a portion of missing or diminished enamel, generally affecting one or more permanent teeth in the. Turner's hypoplasia usually manifests as a portion of missing or diminished enamel, generally affecting one or more permanent teeth in the oral cavity. An enamel defect in the permanent teeth caused by periapical inflammatory disease in the overlying primary. Turner's Hypoplasia.
From www.academia.edu
(PDF) A Case Study of a Rare Case of Turner's Hypoplasia and Unilaterally Fused Deciduous and Turner's Hypoplasia Turner's hypoplasia usually manifests as a portion of missing or diminished enamel, generally affecting one or more permanent teeth in the. An enamel defect in the permanent teeth caused by periapical inflammatory disease in the overlying primary tooth is referred to as turner's tooth (also known as turner's hypoplasia). An enamel defect in the permanent teeth caused by periapical inflammatory. Turner's Hypoplasia.
From www.researchgate.net
(PDF) Early Eruption of Maxillary Pre Molar with Turner's Hypoplasia in a 5YearOld Boy Turner's Hypoplasia An enamel defect in the permanent teeth caused by periapical inflammatory disease in the overlying primary tooth is referred to as turner's tooth (also known as turner's hypoplasia). Hypoplasia is the result of disruption in the process of enamel matrix formation, which in turn causes defect in quality and thickness of. Turner's hypoplasia usually manifests as a portion of missing. Turner's Hypoplasia.
From www.slideserve.com
PPT Dental Anomalies in Radiology PowerPoint Presentation, free download ID1183426 Turner's Hypoplasia An enamel defect in the permanent teeth caused by periapical inflammatory disease in the overlying primary tooth is referred to as turner's tooth (also known as turner's hypoplasia). Turner's hypoplasia usually manifests as a portion of missing or diminished enamel, generally affecting one or more permanent teeth in the oral cavity. Hypoplasia is a developmental disturbance of the teeth which. Turner's Hypoplasia.
From www.imaxradiologia.cl
Caso 38 Hipoplasia del esmalte. Diente de Turner. Imaxradiologia Turner's Hypoplasia Hypoplasia is a developmental disturbance of the teeth which can be a outcome of a trauma or an infection before its eruption in. An enamel defect in the permanent teeth caused by periapical inflammatory disease in the overlying primary tooth is referred to as turner's tooth (also known as turner's hypoplasia). Hypoplasia is the result of disruption in the process. Turner's Hypoplasia.
From www.cureus.com
Management of Turner's Hypoplasia Using Resin Infiltration A Case Report Cureus Turner's Hypoplasia Hypoplasia is the result of disruption in the process of enamel matrix formation, which in turn causes defect in quality and thickness of. An enamel defect in the permanent teeth caused by periapical inflammatory disease in the overlying primary tooth is referred to as. Hypoplasia is a developmental disturbance of the teeth which can be a outcome of a trauma. Turner's Hypoplasia.
From www.researchgate.net
(PDF) Turner's hypoplasia and nonvitality A case report of sequelae in permanent tooth Turner's Hypoplasia If involve anterior teeth, most likely. An enamel defect in the permanent teeth caused by periapical inflammatory disease in the overlying primary tooth is referred to as turner's tooth (also known as turner's hypoplasia). An enamel defect in the permanent teeth caused by periapical inflammatory disease in the overlying primary tooth is referred to as. Hypoplasia is the result of. Turner's Hypoplasia.
From pocketdentistry.com
20 Developmental Defects of the Dental Hard Tissues and their Treatment Pocket Dentistry Turner's Hypoplasia An enamel defect in the permanent teeth caused by periapical inflammatory disease in the overlying primary tooth is referred to as turner's tooth (also known as turner's hypoplasia). Hypoplasia is the result of disruption in the process of enamel matrix formation, which in turn causes defect in quality and thickness of. Hypoplasia is a developmental disturbance of the teeth which. Turner's Hypoplasia.
From www.styleitaliano.org
Conservative Management of Hypoplasia after primary tooth trauma Turner's Hypoplasia If involve anterior teeth, most likely. Turner's hypoplasia usually manifests as a portion of missing or diminished enamel, generally affecting one or more permanent teeth in the oral cavity. An enamel defect in the permanent teeth caused by periapical inflammatory disease in the overlying primary tooth is referred to as turner's tooth (also known as turner's hypoplasia). Hypoplasia is the. Turner's Hypoplasia.
From encyclopedia.pub
Organ Abnormalities Caused by Turner Syndrome Encyclopedia MDPI Turner's Hypoplasia An enamel defect in the permanent teeth caused by periapical inflammatory disease in the overlying primary tooth is referred to as turner's tooth (also known as turner's hypoplasia). If involve anterior teeth, most likely. Hypoplasia is the result of disruption in the process of enamel matrix formation, which in turn causes defect in quality and thickness of. Turner's hypoplasia usually. Turner's Hypoplasia.
From www.cureus.com
Management of Turner's Hypoplasia Using Resin Infiltration A Case Report Cureus Turner's Hypoplasia Turner's hypoplasia usually manifests as a portion of missing or diminished enamel, generally affecting one or more permanent teeth in the. An enamel defect in the permanent teeth caused by periapical inflammatory disease in the overlying primary tooth is referred to as turner's tooth (also known as turner's hypoplasia). Hypoplasia is the result of disruption in the process of enamel. Turner's Hypoplasia.
From www.researchgate.net
(PDF) Endodontic and Esthetic Management of Hypolplastic Turner’s Teeth with Severely Turner's Hypoplasia Hypoplasia is the result of disruption in the process of enamel matrix formation, which in turn causes defect in quality and thickness of. Turner's hypoplasia usually manifests as a portion of missing or diminished enamel, generally affecting one or more permanent teeth in the. Hypoplasia is a developmental disturbance of the teeth which can be a outcome of a trauma. Turner's Hypoplasia.
From www.youtube.com
Turner's Hypoplasia Oral Pathology NEET MDS Recall 2023 YouTube Turner's Hypoplasia Hypoplasia is a developmental disturbance of the teeth which can be a outcome of a trauma or an infection before its eruption in. If involve anterior teeth, most likely. An enamel defect in the permanent teeth caused by periapical inflammatory disease in the overlying primary tooth is referred to as. Turner's hypoplasia usually manifests as a portion of missing or. Turner's Hypoplasia.
From www.wikidoc.org
Turner syndrome CT wikidoc Turner's Hypoplasia Turner's hypoplasia usually manifests as a portion of missing or diminished enamel, generally affecting one or more permanent teeth in the. If involve anterior teeth, most likely. Hypoplasia is a developmental disturbance of the teeth which can be a outcome of a trauma or an infection before its eruption in. An enamel defect in the permanent teeth caused by periapical. Turner's Hypoplasia.