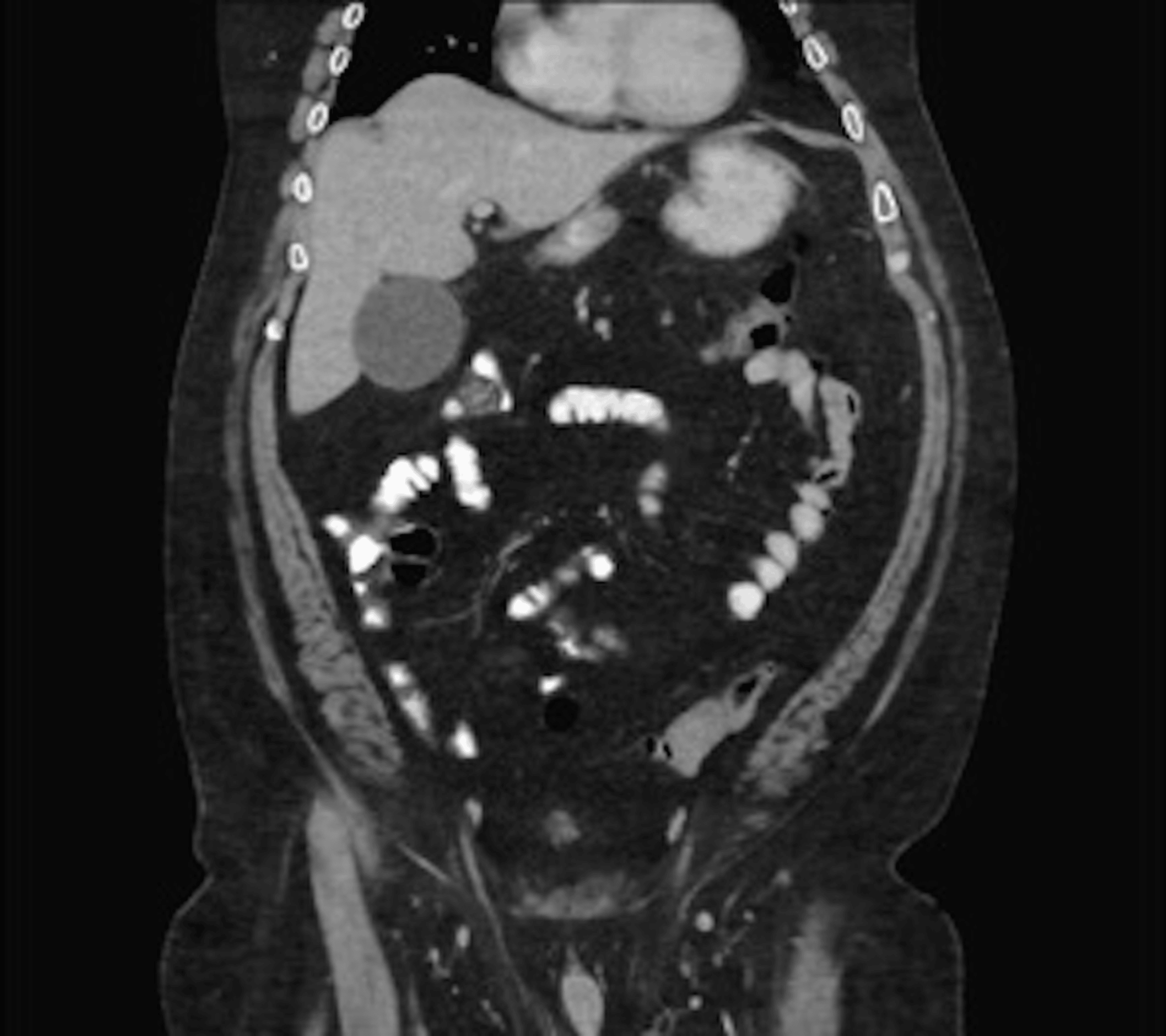
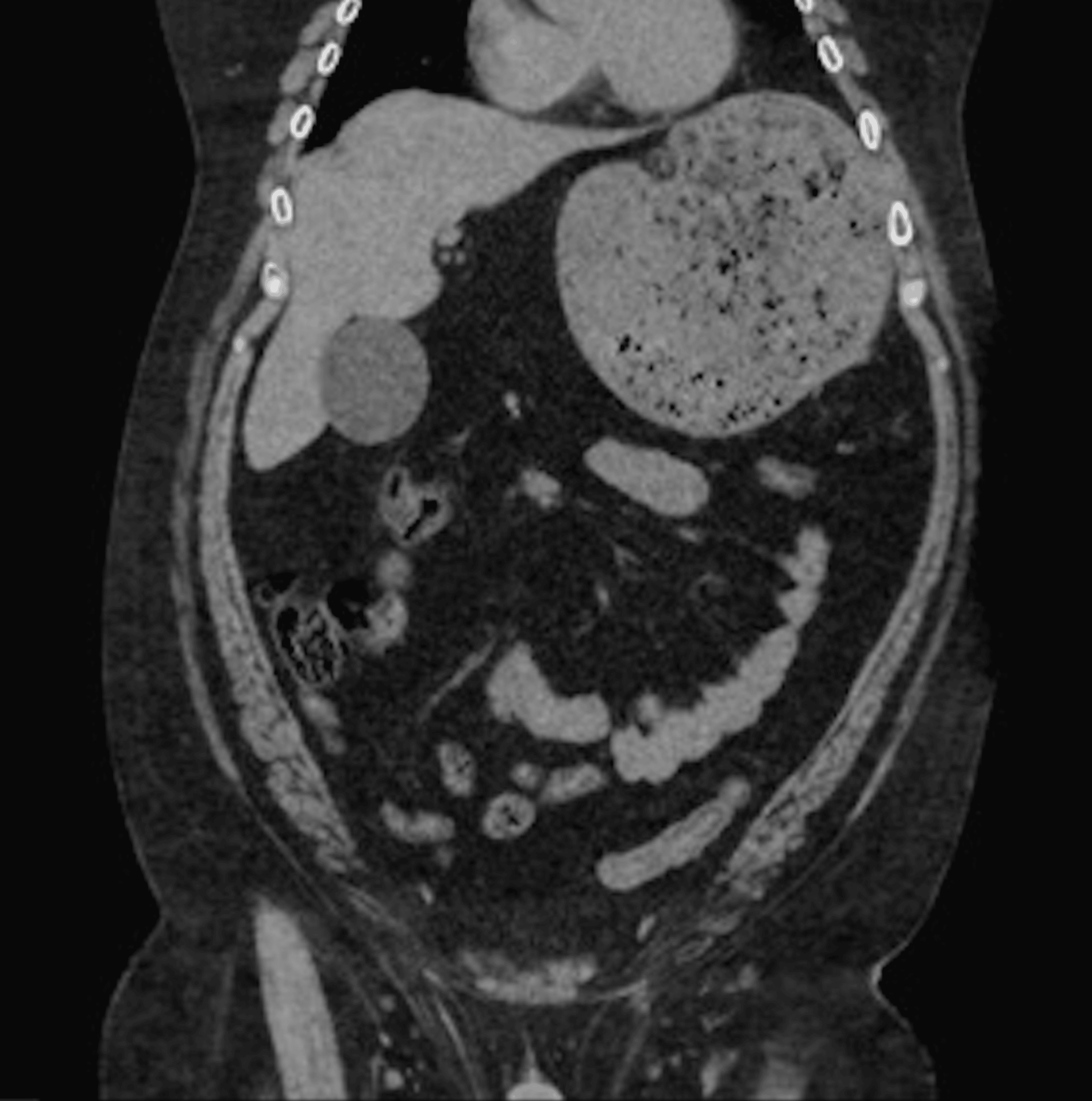
Endoscopic Decompression Gastric Volvulus . Although the exact role of endoscopy is still not entirely clear in treating volvulus, endoscopic techniques for volvulus. Patients who present with acute gastric volvulus without evidence of critical illness (ie gastric necrosis, ischemia, or sepsis) can be managed. If there is acute gastric distention due to gastric volvulus, an immediate gastric decompression at the bedside required (with a. Gastric volvulus is a condition that is not frequently seen in clinical practice and can present with a myriad of symptoms, meaning it. Patients who present with acute gastric volvulus without evidence of critical illness, such as gastric necrosis, ischemia, or. Acute gastric volvulus associated with wandering spleen in an adult treated laparoscopically after endoscopic reduction: The diagnosis of volvulus based on radiographs was supported by endoscopy that revealed abnormal gastric anatomy with twisting of the gastric folds and difficulty in.
from www.videogie.org
Acute gastric volvulus associated with wandering spleen in an adult treated laparoscopically after endoscopic reduction: Patients who present with acute gastric volvulus without evidence of critical illness, such as gastric necrosis, ischemia, or. Patients who present with acute gastric volvulus without evidence of critical illness (ie gastric necrosis, ischemia, or sepsis) can be managed. Gastric volvulus is a condition that is not frequently seen in clinical practice and can present with a myriad of symptoms, meaning it. Although the exact role of endoscopy is still not entirely clear in treating volvulus, endoscopic techniques for volvulus. The diagnosis of volvulus based on radiographs was supported by endoscopy that revealed abnormal gastric anatomy with twisting of the gastric folds and difficulty in. If there is acute gastric distention due to gastric volvulus, an immediate gastric decompression at the bedside required (with a.
Endoscopic Detorsion, and Reduction of Sigmoid Volvulus
Endoscopic Decompression Gastric Volvulus Patients who present with acute gastric volvulus without evidence of critical illness (ie gastric necrosis, ischemia, or sepsis) can be managed. If there is acute gastric distention due to gastric volvulus, an immediate gastric decompression at the bedside required (with a. Patients who present with acute gastric volvulus without evidence of critical illness, such as gastric necrosis, ischemia, or. Gastric volvulus is a condition that is not frequently seen in clinical practice and can present with a myriad of symptoms, meaning it. Acute gastric volvulus associated with wandering spleen in an adult treated laparoscopically after endoscopic reduction: Although the exact role of endoscopy is still not entirely clear in treating volvulus, endoscopic techniques for volvulus. The diagnosis of volvulus based on radiographs was supported by endoscopy that revealed abnormal gastric anatomy with twisting of the gastric folds and difficulty in. Patients who present with acute gastric volvulus without evidence of critical illness (ie gastric necrosis, ischemia, or sepsis) can be managed.
From www.researchgate.net
(PDF) Endoscopic treatment of sigmoid volvulus Endoscopic Decompression Gastric Volvulus Patients who present with acute gastric volvulus without evidence of critical illness (ie gastric necrosis, ischemia, or sepsis) can be managed. Acute gastric volvulus associated with wandering spleen in an adult treated laparoscopically after endoscopic reduction: The diagnosis of volvulus based on radiographs was supported by endoscopy that revealed abnormal gastric anatomy with twisting of the gastric folds and difficulty. Endoscopic Decompression Gastric Volvulus.
From www.giejournal.org
Endoscopic reduction of gastric volvulus The alphaloop maneuver Endoscopic Decompression Gastric Volvulus Patients who present with acute gastric volvulus without evidence of critical illness (ie gastric necrosis, ischemia, or sepsis) can be managed. Gastric volvulus is a condition that is not frequently seen in clinical practice and can present with a myriad of symptoms, meaning it. Although the exact role of endoscopy is still not entirely clear in treating volvulus, endoscopic techniques. Endoscopic Decompression Gastric Volvulus.
From www.youtube.com
Understanding Volvulus (Twisted Bowel) YouTube Endoscopic Decompression Gastric Volvulus Acute gastric volvulus associated with wandering spleen in an adult treated laparoscopically after endoscopic reduction: Patients who present with acute gastric volvulus without evidence of critical illness, such as gastric necrosis, ischemia, or. If there is acute gastric distention due to gastric volvulus, an immediate gastric decompression at the bedside required (with a. Patients who present with acute gastric volvulus. Endoscopic Decompression Gastric Volvulus.
From vdocuments.mx
Gastric volvulus caused by percutaneous endoscopic gastrostomy a case Endoscopic Decompression Gastric Volvulus Acute gastric volvulus associated with wandering spleen in an adult treated laparoscopically after endoscopic reduction: If there is acute gastric distention due to gastric volvulus, an immediate gastric decompression at the bedside required (with a. Gastric volvulus is a condition that is not frequently seen in clinical practice and can present with a myriad of symptoms, meaning it. Although the. Endoscopic Decompression Gastric Volvulus.
From www.trialexhibitsinc.com
Progression of Gastric Volvulus TrialQuest Inc. Endoscopic Decompression Gastric Volvulus The diagnosis of volvulus based on radiographs was supported by endoscopy that revealed abnormal gastric anatomy with twisting of the gastric folds and difficulty in. Gastric volvulus is a condition that is not frequently seen in clinical practice and can present with a myriad of symptoms, meaning it. If there is acute gastric distention due to gastric volvulus, an immediate. Endoscopic Decompression Gastric Volvulus.
From tsaco.bmj.com
Concurrent large bowel obstruction secondary to idiopathic Endoscopic Decompression Gastric Volvulus Although the exact role of endoscopy is still not entirely clear in treating volvulus, endoscopic techniques for volvulus. If there is acute gastric distention due to gastric volvulus, an immediate gastric decompression at the bedside required (with a. Acute gastric volvulus associated with wandering spleen in an adult treated laparoscopically after endoscopic reduction: The diagnosis of volvulus based on radiographs. Endoscopic Decompression Gastric Volvulus.
From onlinelibrary.wiley.com
Gastric volvulus related to upside‐down stomach that was successfully Endoscopic Decompression Gastric Volvulus Although the exact role of endoscopy is still not entirely clear in treating volvulus, endoscopic techniques for volvulus. The diagnosis of volvulus based on radiographs was supported by endoscopy that revealed abnormal gastric anatomy with twisting of the gastric folds and difficulty in. Patients who present with acute gastric volvulus without evidence of critical illness, such as gastric necrosis, ischemia,. Endoscopic Decompression Gastric Volvulus.
From animalia-life.club
Paraesophageal Hernia With Gastric Volvulus Endoscopic Decompression Gastric Volvulus Patients who present with acute gastric volvulus without evidence of critical illness (ie gastric necrosis, ischemia, or sepsis) can be managed. The diagnosis of volvulus based on radiographs was supported by endoscopy that revealed abnormal gastric anatomy with twisting of the gastric folds and difficulty in. Patients who present with acute gastric volvulus without evidence of critical illness, such as. Endoscopic Decompression Gastric Volvulus.
From www.cureus.com
Cureus Gastric Volvulus Diagnosis and Successful Endoscopic De Endoscopic Decompression Gastric Volvulus Patients who present with acute gastric volvulus without evidence of critical illness (ie gastric necrosis, ischemia, or sepsis) can be managed. The diagnosis of volvulus based on radiographs was supported by endoscopy that revealed abnormal gastric anatomy with twisting of the gastric folds and difficulty in. Patients who present with acute gastric volvulus without evidence of critical illness, such as. Endoscopic Decompression Gastric Volvulus.
From www.lybrate.com
Gastric Volvulus Causes, Symptoms, Treatment and Cost Endoscopic Decompression Gastric Volvulus Patients who present with acute gastric volvulus without evidence of critical illness (ie gastric necrosis, ischemia, or sepsis) can be managed. Patients who present with acute gastric volvulus without evidence of critical illness, such as gastric necrosis, ischemia, or. Although the exact role of endoscopy is still not entirely clear in treating volvulus, endoscopic techniques for volvulus. If there is. Endoscopic Decompression Gastric Volvulus.
From www.semanticscholar.org
Figure 1 from Acute gastric volvulusendoscopic derotation. Semantic Endoscopic Decompression Gastric Volvulus Acute gastric volvulus associated with wandering spleen in an adult treated laparoscopically after endoscopic reduction: Patients who present with acute gastric volvulus without evidence of critical illness (ie gastric necrosis, ischemia, or sepsis) can be managed. The diagnosis of volvulus based on radiographs was supported by endoscopy that revealed abnormal gastric anatomy with twisting of the gastric folds and difficulty. Endoscopic Decompression Gastric Volvulus.
From emj.bmj.com
Gastric volvulus Emergency Medicine Journal Endoscopic Decompression Gastric Volvulus Patients who present with acute gastric volvulus without evidence of critical illness (ie gastric necrosis, ischemia, or sepsis) can be managed. Although the exact role of endoscopy is still not entirely clear in treating volvulus, endoscopic techniques for volvulus. The diagnosis of volvulus based on radiographs was supported by endoscopy that revealed abnormal gastric anatomy with twisting of the gastric. Endoscopic Decompression Gastric Volvulus.
From www.cureus.com
Gastric Volvulus A Multidisciplinary Approach and Conservative Endoscopic Decompression Gastric Volvulus Patients who present with acute gastric volvulus without evidence of critical illness (ie gastric necrosis, ischemia, or sepsis) can be managed. Although the exact role of endoscopy is still not entirely clear in treating volvulus, endoscopic techniques for volvulus. The diagnosis of volvulus based on radiographs was supported by endoscopy that revealed abnormal gastric anatomy with twisting of the gastric. Endoscopic Decompression Gastric Volvulus.
From www.researchgate.net
Cholangiopancreatographic images. a Endoscopic retrograde... Download Endoscopic Decompression Gastric Volvulus Patients who present with acute gastric volvulus without evidence of critical illness, such as gastric necrosis, ischemia, or. Although the exact role of endoscopy is still not entirely clear in treating volvulus, endoscopic techniques for volvulus. Gastric volvulus is a condition that is not frequently seen in clinical practice and can present with a myriad of symptoms, meaning it. If. Endoscopic Decompression Gastric Volvulus.
From www.healthgrades.com
Volvulus Definition, Causes, and Treatment Endoscopic Decompression Gastric Volvulus Acute gastric volvulus associated with wandering spleen in an adult treated laparoscopically after endoscopic reduction: Gastric volvulus is a condition that is not frequently seen in clinical practice and can present with a myriad of symptoms, meaning it. Patients who present with acute gastric volvulus without evidence of critical illness (ie gastric necrosis, ischemia, or sepsis) can be managed. Patients. Endoscopic Decompression Gastric Volvulus.
From vdocuments.mx
Endoscopic treatment of gastric volvulus · Gastric volvulus is a very Endoscopic Decompression Gastric Volvulus Gastric volvulus is a condition that is not frequently seen in clinical practice and can present with a myriad of symptoms, meaning it. If there is acute gastric distention due to gastric volvulus, an immediate gastric decompression at the bedside required (with a. Although the exact role of endoscopy is still not entirely clear in treating volvulus, endoscopic techniques for. Endoscopic Decompression Gastric Volvulus.
From www.videogie.org
Endoscopic Detorsion, and Reduction of Sigmoid Volvulus Endoscopic Decompression Gastric Volvulus Acute gastric volvulus associated with wandering spleen in an adult treated laparoscopically after endoscopic reduction: Although the exact role of endoscopy is still not entirely clear in treating volvulus, endoscopic techniques for volvulus. Patients who present with acute gastric volvulus without evidence of critical illness, such as gastric necrosis, ischemia, or. If there is acute gastric distention due to gastric. Endoscopic Decompression Gastric Volvulus.
From www.cureus.com
Cureus Endoscopic Reduction of an Acute Gastric Volvulus Endoscopic Decompression Gastric Volvulus If there is acute gastric distention due to gastric volvulus, an immediate gastric decompression at the bedside required (with a. Although the exact role of endoscopy is still not entirely clear in treating volvulus, endoscopic techniques for volvulus. Acute gastric volvulus associated with wandering spleen in an adult treated laparoscopically after endoscopic reduction: Patients who present with acute gastric volvulus. Endoscopic Decompression Gastric Volvulus.
From exocszoos.blob.core.windows.net
Endoscopic Of Gastric Volvulus at Benjamin Warren blog Endoscopic Decompression Gastric Volvulus Patients who present with acute gastric volvulus without evidence of critical illness (ie gastric necrosis, ischemia, or sepsis) can be managed. Although the exact role of endoscopy is still not entirely clear in treating volvulus, endoscopic techniques for volvulus. The diagnosis of volvulus based on radiographs was supported by endoscopy that revealed abnormal gastric anatomy with twisting of the gastric. Endoscopic Decompression Gastric Volvulus.
From www.semanticscholar.org
Figure 1 from Endoscopic treatment of gastric volvulus Semantic Scholar Endoscopic Decompression Gastric Volvulus If there is acute gastric distention due to gastric volvulus, an immediate gastric decompression at the bedside required (with a. Although the exact role of endoscopy is still not entirely clear in treating volvulus, endoscopic techniques for volvulus. Acute gastric volvulus associated with wandering spleen in an adult treated laparoscopically after endoscopic reduction: Patients who present with acute gastric volvulus. Endoscopic Decompression Gastric Volvulus.
From www.semanticscholar.org
Figure 1 from Endoscopic reduction of a gastric volvulus associated Endoscopic Decompression Gastric Volvulus Although the exact role of endoscopy is still not entirely clear in treating volvulus, endoscopic techniques for volvulus. If there is acute gastric distention due to gastric volvulus, an immediate gastric decompression at the bedside required (with a. Patients who present with acute gastric volvulus without evidence of critical illness (ie gastric necrosis, ischemia, or sepsis) can be managed. Gastric. Endoscopic Decompression Gastric Volvulus.
From www.giejournal.org
Endoscopic reduction of gastric volvulus The alphaloop maneuver Endoscopic Decompression Gastric Volvulus Acute gastric volvulus associated with wandering spleen in an adult treated laparoscopically after endoscopic reduction: Gastric volvulus is a condition that is not frequently seen in clinical practice and can present with a myriad of symptoms, meaning it. Patients who present with acute gastric volvulus without evidence of critical illness (ie gastric necrosis, ischemia, or sepsis) can be managed. Patients. Endoscopic Decompression Gastric Volvulus.
From www.wjgnet.com
Diagnostic and therapeutic applications of waterimmersion colonoscopy Endoscopic Decompression Gastric Volvulus If there is acute gastric distention due to gastric volvulus, an immediate gastric decompression at the bedside required (with a. Patients who present with acute gastric volvulus without evidence of critical illness (ie gastric necrosis, ischemia, or sepsis) can be managed. Patients who present with acute gastric volvulus without evidence of critical illness, such as gastric necrosis, ischemia, or. Gastric. Endoscopic Decompression Gastric Volvulus.
From exocszoos.blob.core.windows.net
Endoscopic Of Gastric Volvulus at Benjamin Warren blog Endoscopic Decompression Gastric Volvulus Although the exact role of endoscopy is still not entirely clear in treating volvulus, endoscopic techniques for volvulus. If there is acute gastric distention due to gastric volvulus, an immediate gastric decompression at the bedside required (with a. The diagnosis of volvulus based on radiographs was supported by endoscopy that revealed abnormal gastric anatomy with twisting of the gastric folds. Endoscopic Decompression Gastric Volvulus.
From pdfslide.net
(PDF) Endoscopic treatment of gastric volvulus · Gastric volvulus is a Endoscopic Decompression Gastric Volvulus Gastric volvulus is a condition that is not frequently seen in clinical practice and can present with a myriad of symptoms, meaning it. Patients who present with acute gastric volvulus without evidence of critical illness, such as gastric necrosis, ischemia, or. The diagnosis of volvulus based on radiographs was supported by endoscopy that revealed abnormal gastric anatomy with twisting of. Endoscopic Decompression Gastric Volvulus.
From www.pediatr-neonatol.com
Gastric volvulus presented with an upsidedown stomach Pediatrics Endoscopic Decompression Gastric Volvulus Patients who present with acute gastric volvulus without evidence of critical illness (ie gastric necrosis, ischemia, or sepsis) can be managed. Although the exact role of endoscopy is still not entirely clear in treating volvulus, endoscopic techniques for volvulus. Gastric volvulus is a condition that is not frequently seen in clinical practice and can present with a myriad of symptoms,. Endoscopic Decompression Gastric Volvulus.
From twitter.com
Keith Siau on Twitter "Endoscopic detorsion of a gastric volvulus Endoscopic Decompression Gastric Volvulus Patients who present with acute gastric volvulus without evidence of critical illness (ie gastric necrosis, ischemia, or sepsis) can be managed. Gastric volvulus is a condition that is not frequently seen in clinical practice and can present with a myriad of symptoms, meaning it. If there is acute gastric distention due to gastric volvulus, an immediate gastric decompression at the. Endoscopic Decompression Gastric Volvulus.
From exocszoos.blob.core.windows.net
Endoscopic Of Gastric Volvulus at Benjamin Warren blog Endoscopic Decompression Gastric Volvulus Patients who present with acute gastric volvulus without evidence of critical illness, such as gastric necrosis, ischemia, or. Gastric volvulus is a condition that is not frequently seen in clinical practice and can present with a myriad of symptoms, meaning it. If there is acute gastric distention due to gastric volvulus, an immediate gastric decompression at the bedside required (with. Endoscopic Decompression Gastric Volvulus.
From www.youtube.com
Manual Endoscopic Derotation of a Mesenteroaxial Gastric Volvulus due Endoscopic Decompression Gastric Volvulus The diagnosis of volvulus based on radiographs was supported by endoscopy that revealed abnormal gastric anatomy with twisting of the gastric folds and difficulty in. Although the exact role of endoscopy is still not entirely clear in treating volvulus, endoscopic techniques for volvulus. If there is acute gastric distention due to gastric volvulus, an immediate gastric decompression at the bedside. Endoscopic Decompression Gastric Volvulus.
From journals.sagepub.com
Endoscopic of Recurrent Sigmoid Volvulus in Pregnancy Endoscopic Decompression Gastric Volvulus The diagnosis of volvulus based on radiographs was supported by endoscopy that revealed abnormal gastric anatomy with twisting of the gastric folds and difficulty in. Although the exact role of endoscopy is still not entirely clear in treating volvulus, endoscopic techniques for volvulus. Acute gastric volvulus associated with wandering spleen in an adult treated laparoscopically after endoscopic reduction: Gastric volvulus. Endoscopic Decompression Gastric Volvulus.
From www.videogie.org
Endoscopically guided sutured gastropexy a novel treatment of gastric Endoscopic Decompression Gastric Volvulus The diagnosis of volvulus based on radiographs was supported by endoscopy that revealed abnormal gastric anatomy with twisting of the gastric folds and difficulty in. Acute gastric volvulus associated with wandering spleen in an adult treated laparoscopically after endoscopic reduction: Although the exact role of endoscopy is still not entirely clear in treating volvulus, endoscopic techniques for volvulus. Patients who. Endoscopic Decompression Gastric Volvulus.
From www.cureus.com
Cureus Endoscopic Reduction of an Acute Gastric Volvulus Endoscopic Decompression Gastric Volvulus If there is acute gastric distention due to gastric volvulus, an immediate gastric decompression at the bedside required (with a. Patients who present with acute gastric volvulus without evidence of critical illness, such as gastric necrosis, ischemia, or. Although the exact role of endoscopy is still not entirely clear in treating volvulus, endoscopic techniques for volvulus. Patients who present with. Endoscopic Decompression Gastric Volvulus.
From www.researchgate.net
Pointofcare ultrasound of gastric volvulus postnasogastric tube Endoscopic Decompression Gastric Volvulus If there is acute gastric distention due to gastric volvulus, an immediate gastric decompression at the bedside required (with a. Patients who present with acute gastric volvulus without evidence of critical illness, such as gastric necrosis, ischemia, or. Although the exact role of endoscopy is still not entirely clear in treating volvulus, endoscopic techniques for volvulus. The diagnosis of volvulus. Endoscopic Decompression Gastric Volvulus.
From epos.myesr.org
EPOS™ Endoscopic Decompression Gastric Volvulus Patients who present with acute gastric volvulus without evidence of critical illness, such as gastric necrosis, ischemia, or. If there is acute gastric distention due to gastric volvulus, an immediate gastric decompression at the bedside required (with a. Acute gastric volvulus associated with wandering spleen in an adult treated laparoscopically after endoscopic reduction: Although the exact role of endoscopy is. Endoscopic Decompression Gastric Volvulus.
From www.giejournal.org
Secondary gastric volvulus after successful resolution of perisplenic Endoscopic Decompression Gastric Volvulus Although the exact role of endoscopy is still not entirely clear in treating volvulus, endoscopic techniques for volvulus. The diagnosis of volvulus based on radiographs was supported by endoscopy that revealed abnormal gastric anatomy with twisting of the gastric folds and difficulty in. Gastric volvulus is a condition that is not frequently seen in clinical practice and can present with. Endoscopic Decompression Gastric Volvulus.