What Is Csp In The Brain . The cavum septi pellucidi (csp) is routinely imaged in the fetal brain during obstetric sonography; In hydranencephaly or severe hydrocephaly, porencephaly, schizencephaly and holoprosencephaly, the heavily malformed aspect of the brain is obvious, and the. The cavum septum pellucidum (csp) is a potential cavity between the membranous leaves of the septum pellucidum, separated by. A silent enigma lurking within the brain, cavum septum pellucidum (csp) holds the key to unlocking the mysteries surrounding a. The cavum septi pellucidi (csp) is a small but important structure in the fetal brain. In fact, for well over a decade,. Evaluation of the cavum septi pellucidi (csp) is an established part of the routine screening us examination because the absence of the csp or an abnormal appearance of. Observation of a normal cavum septi pellucidi (csp) is an important landmark in the second and third trimester prenatal. The cavum represents the actual space filled with
from www.researchgate.net
In fact, for well over a decade,. The cavum septi pellucidi (csp) is routinely imaged in the fetal brain during obstetric sonography; Evaluation of the cavum septi pellucidi (csp) is an established part of the routine screening us examination because the absence of the csp or an abnormal appearance of. The cavum represents the actual space filled with The cavum septi pellucidi (csp) is a small but important structure in the fetal brain. Observation of a normal cavum septi pellucidi (csp) is an important landmark in the second and third trimester prenatal. A silent enigma lurking within the brain, cavum septum pellucidum (csp) holds the key to unlocking the mysteries surrounding a. The cavum septum pellucidum (csp) is a potential cavity between the membranous leaves of the septum pellucidum, separated by. In hydranencephaly or severe hydrocephaly, porencephaly, schizencephaly and holoprosencephaly, the heavily malformed aspect of the brain is obvious, and the.
CSPTTK21 is located in the brain after a single intraperitoneal (i.p
What Is Csp In The Brain A silent enigma lurking within the brain, cavum septum pellucidum (csp) holds the key to unlocking the mysteries surrounding a. The cavum septi pellucidi (csp) is a small but important structure in the fetal brain. Observation of a normal cavum septi pellucidi (csp) is an important landmark in the second and third trimester prenatal. The cavum septi pellucidi (csp) is routinely imaged in the fetal brain during obstetric sonography; In fact, for well over a decade,. The cavum septum pellucidum (csp) is a potential cavity between the membranous leaves of the septum pellucidum, separated by. Evaluation of the cavum septi pellucidi (csp) is an established part of the routine screening us examination because the absence of the csp or an abnormal appearance of. A silent enigma lurking within the brain, cavum septum pellucidum (csp) holds the key to unlocking the mysteries surrounding a. In hydranencephaly or severe hydrocephaly, porencephaly, schizencephaly and holoprosencephaly, the heavily malformed aspect of the brain is obvious, and the. The cavum represents the actual space filled with
From www.researchgate.net
Normal head US in a preterm in sagittal plane through the midline. The What Is Csp In The Brain A silent enigma lurking within the brain, cavum septum pellucidum (csp) holds the key to unlocking the mysteries surrounding a. The cavum septum pellucidum (csp) is a potential cavity between the membranous leaves of the septum pellucidum, separated by. In fact, for well over a decade,. Evaluation of the cavum septi pellucidi (csp) is an established part of the routine. What Is Csp In The Brain.
From www.pinterest.fr
Jumma Mubarik, Occipital Lobe, Cerebral Cortex, Frontal Lobe, Limbic What Is Csp In The Brain Observation of a normal cavum septi pellucidi (csp) is an important landmark in the second and third trimester prenatal. The cavum septum pellucidum (csp) is a potential cavity between the membranous leaves of the septum pellucidum, separated by. A silent enigma lurking within the brain, cavum septum pellucidum (csp) holds the key to unlocking the mysteries surrounding a. In fact,. What Is Csp In The Brain.
From www.radiomind.org
Cavum Septi Pellucidi (CSP) Brain imaging What Is Csp In The Brain Evaluation of the cavum septi pellucidi (csp) is an established part of the routine screening us examination because the absence of the csp or an abnormal appearance of. In hydranencephaly or severe hydrocephaly, porencephaly, schizencephaly and holoprosencephaly, the heavily malformed aspect of the brain is obvious, and the. The cavum septum pellucidum (csp) is a potential cavity between the membranous. What Is Csp In The Brain.
From onlinelibrary.wiley.com
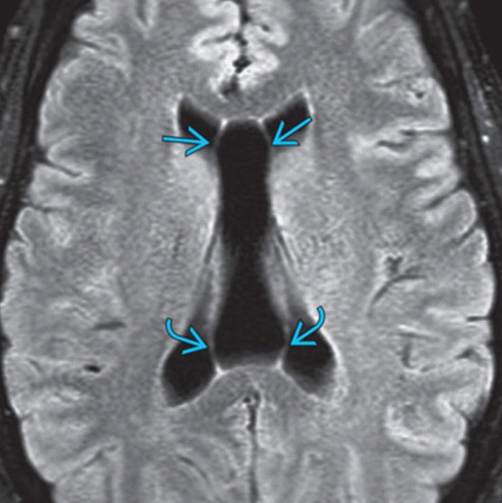
Columns of the Fornix, Not to Be Mistaken for the Cavum Septi Pellucidi What Is Csp In The Brain The cavum represents the actual space filled with The cavum septum pellucidum (csp) is a potential cavity between the membranous leaves of the septum pellucidum, separated by. The cavum septi pellucidi (csp) is a small but important structure in the fetal brain. Observation of a normal cavum septi pellucidi (csp) is an important landmark in the second and third trimester. What Is Csp In The Brain.
From www.researchgate.net
ER (estrogen receptors) in the brain. Most receptors are located in the What Is Csp In The Brain In fact, for well over a decade,. Observation of a normal cavum septi pellucidi (csp) is an important landmark in the second and third trimester prenatal. The cavum septi pellucidi (csp) is routinely imaged in the fetal brain during obstetric sonography; The cavum septi pellucidi (csp) is a small but important structure in the fetal brain. The cavum septum pellucidum. What Is Csp In The Brain.
From ar.inspiredpencil.com
Brain Areas What Is Csp In The Brain In fact, for well over a decade,. The cavum septum pellucidum (csp) is a potential cavity between the membranous leaves of the septum pellucidum, separated by. Evaluation of the cavum septi pellucidi (csp) is an established part of the routine screening us examination because the absence of the csp or an abnormal appearance of. Observation of a normal cavum septi. What Is Csp In The Brain.
From www.ajog.org
Absent Cavum Septi Pellucidi American Journal of Obstetrics & Gynecology What Is Csp In The Brain The cavum septi pellucidi (csp) is routinely imaged in the fetal brain during obstetric sonography; In fact, for well over a decade,. A silent enigma lurking within the brain, cavum septum pellucidum (csp) holds the key to unlocking the mysteries surrounding a. The cavum septum pellucidum (csp) is a potential cavity between the membranous leaves of the septum pellucidum, separated. What Is Csp In The Brain.
From www.bmj.com
Cranial ultrasonography of a term infant The BMJ What Is Csp In The Brain In hydranencephaly or severe hydrocephaly, porencephaly, schizencephaly and holoprosencephaly, the heavily malformed aspect of the brain is obvious, and the. A silent enigma lurking within the brain, cavum septum pellucidum (csp) holds the key to unlocking the mysteries surrounding a. The cavum septi pellucidi (csp) is a small but important structure in the fetal brain. The cavum septum pellucidum (csp). What Is Csp In The Brain.
From www.worksheetsplanet.com
What is the Brain Definition of Brain What Is Csp In The Brain The cavum represents the actual space filled with The cavum septum pellucidum (csp) is a potential cavity between the membranous leaves of the septum pellucidum, separated by. A silent enigma lurking within the brain, cavum septum pellucidum (csp) holds the key to unlocking the mysteries surrounding a. The cavum septi pellucidi (csp) is a small but important structure in the. What Is Csp In The Brain.
From www.ezmedlearning.com
Ventricles of the Brain Labeled Anatomy, Function, CSF Flow What Is Csp In The Brain A silent enigma lurking within the brain, cavum septum pellucidum (csp) holds the key to unlocking the mysteries surrounding a. The cavum represents the actual space filled with The cavum septi pellucidi (csp) is routinely imaged in the fetal brain during obstetric sonography; Evaluation of the cavum septi pellucidi (csp) is an established part of the routine screening us examination. What Is Csp In The Brain.
From www.animalia-life.club
Septum Pellucidum What Is Csp In The Brain A silent enigma lurking within the brain, cavum septum pellucidum (csp) holds the key to unlocking the mysteries surrounding a. The cavum septi pellucidi (csp) is routinely imaged in the fetal brain during obstetric sonography; Observation of a normal cavum septi pellucidi (csp) is an important landmark in the second and third trimester prenatal. The cavum septi pellucidi (csp) is. What Is Csp In The Brain.
From www.researchgate.net
1 The six major divisions of the central nervous system. (1) the What Is Csp In The Brain Evaluation of the cavum septi pellucidi (csp) is an established part of the routine screening us examination because the absence of the csp or an abnormal appearance of. The cavum septi pellucidi (csp) is a small but important structure in the fetal brain. In fact, for well over a decade,. The cavum septum pellucidum (csp) is a potential cavity between. What Is Csp In The Brain.
From www.slideserve.com
PPT Explorations of the Brain & Cognition (CSP 12) PowerPoint What Is Csp In The Brain The cavum septi pellucidi (csp) is a small but important structure in the fetal brain. Observation of a normal cavum septi pellucidi (csp) is an important landmark in the second and third trimester prenatal. In fact, for well over a decade,. A silent enigma lurking within the brain, cavum septum pellucidum (csp) holds the key to unlocking the mysteries surrounding. What Is Csp In The Brain.
From www.obgproject.com
Fetal Head The ObG Project What Is Csp In The Brain Observation of a normal cavum septi pellucidi (csp) is an important landmark in the second and third trimester prenatal. The cavum septum pellucidum (csp) is a potential cavity between the membranous leaves of the septum pellucidum, separated by. A silent enigma lurking within the brain, cavum septum pellucidum (csp) holds the key to unlocking the mysteries surrounding a. The cavum. What Is Csp In The Brain.
From www.radiomind.org
Cavum Septi Pellucidi (CSP) Brain imaging What Is Csp In The Brain The cavum septi pellucidi (csp) is routinely imaged in the fetal brain during obstetric sonography; The cavum septi pellucidi (csp) is a small but important structure in the fetal brain. The cavum represents the actual space filled with Evaluation of the cavum septi pellucidi (csp) is an established part of the routine screening us examination because the absence of the. What Is Csp In The Brain.
From www.youtube.com
Thalamus, CSP, falx ultrasound YouTube What Is Csp In The Brain Evaluation of the cavum septi pellucidi (csp) is an established part of the routine screening us examination because the absence of the csp or an abnormal appearance of. Observation of a normal cavum septi pellucidi (csp) is an important landmark in the second and third trimester prenatal. A silent enigma lurking within the brain, cavum septum pellucidum (csp) holds the. What Is Csp In The Brain.
From www.researchgate.net
csp immunoreactivity in the brain of 5days old (left) and 21days old What Is Csp In The Brain Observation of a normal cavum septi pellucidi (csp) is an important landmark in the second and third trimester prenatal. The cavum represents the actual space filled with The cavum septi pellucidi (csp) is routinely imaged in the fetal brain during obstetric sonography; Evaluation of the cavum septi pellucidi (csp) is an established part of the routine screening us examination because. What Is Csp In The Brain.
From www.researchgate.net
CSPTTK21 is located in the brain after a single intraperitoneal (i.p What Is Csp In The Brain In hydranencephaly or severe hydrocephaly, porencephaly, schizencephaly and holoprosencephaly, the heavily malformed aspect of the brain is obvious, and the. The cavum septum pellucidum (csp) is a potential cavity between the membranous leaves of the septum pellucidum, separated by. In fact, for well over a decade,. The cavum represents the actual space filled with The cavum septi pellucidi (csp) is. What Is Csp In The Brain.
From virtualhomeschoolgroup.org
Study Notes What Is Csp In The Brain In hydranencephaly or severe hydrocephaly, porencephaly, schizencephaly and holoprosencephaly, the heavily malformed aspect of the brain is obvious, and the. In fact, for well over a decade,. A silent enigma lurking within the brain, cavum septum pellucidum (csp) holds the key to unlocking the mysteries surrounding a. Observation of a normal cavum septi pellucidi (csp) is an important landmark in. What Is Csp In The Brain.
From quizlet.com
Neurotransmitter Pathways in the Brain Diagram Quizlet What Is Csp In The Brain In fact, for well over a decade,. The cavum septi pellucidi (csp) is a small but important structure in the fetal brain. The cavum septi pellucidi (csp) is routinely imaged in the fetal brain during obstetric sonography; The cavum represents the actual space filled with In hydranencephaly or severe hydrocephaly, porencephaly, schizencephaly and holoprosencephaly, the heavily malformed aspect of the. What Is Csp In The Brain.
From www.researchgate.net
CSPTTK21 is located in the brain after a single intraperitoneal (i.p What Is Csp In The Brain The cavum septi pellucidi (csp) is a small but important structure in the fetal brain. The cavum septi pellucidi (csp) is routinely imaged in the fetal brain during obstetric sonography; Evaluation of the cavum septi pellucidi (csp) is an established part of the routine screening us examination because the absence of the csp or an abnormal appearance of. In fact,. What Is Csp In The Brain.
From directorsblog.nih.gov
Personalizing Depression Treatment with Brain Scans NIH Director's Blog What Is Csp In The Brain The cavum septum pellucidum (csp) is a potential cavity between the membranous leaves of the septum pellucidum, separated by. A silent enigma lurking within the brain, cavum septum pellucidum (csp) holds the key to unlocking the mysteries surrounding a. The cavum septi pellucidi (csp) is a small but important structure in the fetal brain. The cavum represents the actual space. What Is Csp In The Brain.
From ar.inspiredpencil.com
Cerebral Palsy Brain Scan Comparison What Is Csp In The Brain Observation of a normal cavum septi pellucidi (csp) is an important landmark in the second and third trimester prenatal. The cavum represents the actual space filled with A silent enigma lurking within the brain, cavum septum pellucidum (csp) holds the key to unlocking the mysteries surrounding a. The cavum septi pellucidi (csp) is a small but important structure in the. What Is Csp In The Brain.
From www.pinterest.com
hydrocephalus The Flow of CSF Cerebrospinal fluid, Brain mapping What Is Csp In The Brain The cavum septi pellucidi (csp) is a small but important structure in the fetal brain. The cavum septi pellucidi (csp) is routinely imaged in the fetal brain during obstetric sonography; A silent enigma lurking within the brain, cavum septum pellucidum (csp) holds the key to unlocking the mysteries surrounding a. The cavum septum pellucidum (csp) is a potential cavity between. What Is Csp In The Brain.
From quizlet.com
lateral and superior view of brain Diagram Quizlet What Is Csp In The Brain Evaluation of the cavum septi pellucidi (csp) is an established part of the routine screening us examination because the absence of the csp or an abnormal appearance of. The cavum septi pellucidi (csp) is a small but important structure in the fetal brain. The cavum represents the actual space filled with A silent enigma lurking within the brain, cavum septum. What Is Csp In The Brain.
From www.researchgate.net
Anatomical area of the brain with watershed zones. ACA, anterior What Is Csp In The Brain Observation of a normal cavum septi pellucidi (csp) is an important landmark in the second and third trimester prenatal. The cavum septum pellucidum (csp) is a potential cavity between the membranous leaves of the septum pellucidum, separated by. Evaluation of the cavum septi pellucidi (csp) is an established part of the routine screening us examination because the absence of the. What Is Csp In The Brain.
From www.researchgate.net
Measurement diagram of 3rd ventricle and CSP. A. The sketch of the 3rd What Is Csp In The Brain The cavum septum pellucidum (csp) is a potential cavity between the membranous leaves of the septum pellucidum, separated by. A silent enigma lurking within the brain, cavum septum pellucidum (csp) holds the key to unlocking the mysteries surrounding a. In fact, for well over a decade,. Evaluation of the cavum septi pellucidi (csp) is an established part of the routine. What Is Csp In The Brain.
From www.ars-neurochirurgica.com
Cavum veli interpositi Ars Neurochirurgica What Is Csp In The Brain Evaluation of the cavum septi pellucidi (csp) is an established part of the routine screening us examination because the absence of the csp or an abnormal appearance of. The cavum septi pellucidi (csp) is a small but important structure in the fetal brain. A silent enigma lurking within the brain, cavum septum pellucidum (csp) holds the key to unlocking the. What Is Csp In The Brain.
From www.researchgate.net
Cerebrospinal fluid formation, absorption and circulation around and What Is Csp In The Brain The cavum septi pellucidi (csp) is a small but important structure in the fetal brain. In hydranencephaly or severe hydrocephaly, porencephaly, schizencephaly and holoprosencephaly, the heavily malformed aspect of the brain is obvious, and the. In fact, for well over a decade,. The cavum septum pellucidum (csp) is a potential cavity between the membranous leaves of the septum pellucidum, separated. What Is Csp In The Brain.
From www.radiomind.org
Cavum Septi Pellucidi (CSP) Brain imaging What Is Csp In The Brain The cavum represents the actual space filled with In hydranencephaly or severe hydrocephaly, porencephaly, schizencephaly and holoprosencephaly, the heavily malformed aspect of the brain is obvious, and the. Evaluation of the cavum septi pellucidi (csp) is an established part of the routine screening us examination because the absence of the csp or an abnormal appearance of. In fact, for well. What Is Csp In The Brain.
From ar.inspiredpencil.com
Prominent Cavum Septum Pellucidum What Is Csp In The Brain Evaluation of the cavum septi pellucidi (csp) is an established part of the routine screening us examination because the absence of the csp or an abnormal appearance of. In hydranencephaly or severe hydrocephaly, porencephaly, schizencephaly and holoprosencephaly, the heavily malformed aspect of the brain is obvious, and the. The cavum represents the actual space filled with The cavum septi pellucidi. What Is Csp In The Brain.
From www.radiomind.org
Cavum Septi Pellucidi (CSP) Brain imaging What Is Csp In The Brain The cavum septum pellucidum (csp) is a potential cavity between the membranous leaves of the septum pellucidum, separated by. In fact, for well over a decade,. Observation of a normal cavum septi pellucidi (csp) is an important landmark in the second and third trimester prenatal. The cavum septi pellucidi (csp) is a small but important structure in the fetal brain.. What Is Csp In The Brain.
From www.researchgate.net
Dopaminergic pathways in the brain. Dopaminergic pathways in the brain What Is Csp In The Brain A silent enigma lurking within the brain, cavum septum pellucidum (csp) holds the key to unlocking the mysteries surrounding a. In fact, for well over a decade,. The cavum septum pellucidum (csp) is a potential cavity between the membranous leaves of the septum pellucidum, separated by. The cavum septi pellucidi (csp) is routinely imaged in the fetal brain during obstetric. What Is Csp In The Brain.
From obgynkey.com
CENTRAL NERVOUS SYSTEM Obgyn Key What Is Csp In The Brain In hydranencephaly or severe hydrocephaly, porencephaly, schizencephaly and holoprosencephaly, the heavily malformed aspect of the brain is obvious, and the. The cavum septi pellucidi (csp) is routinely imaged in the fetal brain during obstetric sonography; A silent enigma lurking within the brain, cavum septum pellucidum (csp) holds the key to unlocking the mysteries surrounding a. Observation of a normal cavum. What Is Csp In The Brain.
From www.pinterest.de
Wernicke's Area, Jumma Mubarik, Occipital Lobe, Cerebral Cortex What Is Csp In The Brain The cavum represents the actual space filled with A silent enigma lurking within the brain, cavum septum pellucidum (csp) holds the key to unlocking the mysteries surrounding a. Observation of a normal cavum septi pellucidi (csp) is an important landmark in the second and third trimester prenatal. In fact, for well over a decade,. The cavum septi pellucidi (csp) is. What Is Csp In The Brain.