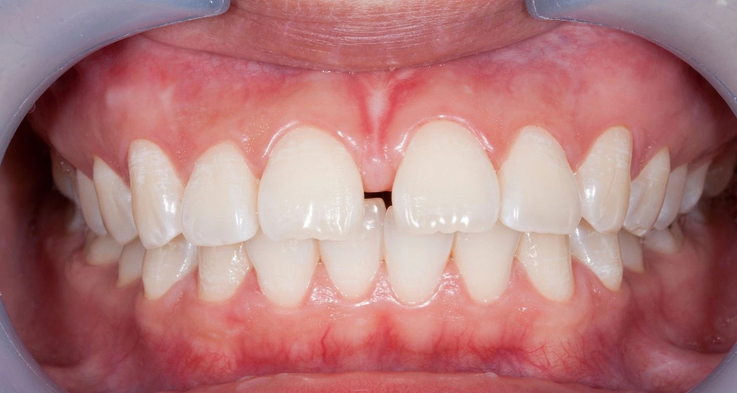
Space Between Teeth Diastema . This is a gap between any. Size, shape, and position of your teeth. Some people first notice a tooth gap while brushing or flossing. Teeth that have an unusual size, shape, or position may have spaces between them. The presence of a gap between the two maxillary. A diastema is a gap between teeth that is wider than 0.5 millimeters. A diastema is a space or gap between two or more teeth. This is when you have a gap between your 2 upper or lower front teeth. A space between the upper or lower central incisors (two front teeth) is called midline diastema. It can develop between any teeth. While gaps can develop anywhere in your mouth, diastema is most common between your two front teeth (midline diastema). Gaps can range from being barely noticeable to large.
from www.southviewdentistrycharlotte.com
A diastema is a space or gap between two or more teeth. This is a gap between any. It can develop between any teeth. A diastema is a gap between teeth that is wider than 0.5 millimeters. Size, shape, and position of your teeth. Teeth that have an unusual size, shape, or position may have spaces between them. This is when you have a gap between your 2 upper or lower front teeth. The presence of a gap between the two maxillary. Some people first notice a tooth gap while brushing or flossing. While gaps can develop anywhere in your mouth, diastema is most common between your two front teeth (midline diastema).
What Is Diastema A Diastema Case Study from Southview Dentistry
Space Between Teeth Diastema A space between the upper or lower central incisors (two front teeth) is called midline diastema. Size, shape, and position of your teeth. While gaps can develop anywhere in your mouth, diastema is most common between your two front teeth (midline diastema). Teeth that have an unusual size, shape, or position may have spaces between them. A space between the upper or lower central incisors (two front teeth) is called midline diastema. It can develop between any teeth. A diastema is a space or gap between two or more teeth. This is a gap between any. A diastema is a gap between teeth that is wider than 0.5 millimeters. Some people first notice a tooth gap while brushing or flossing. This is when you have a gap between your 2 upper or lower front teeth. The presence of a gap between the two maxillary. Gaps can range from being barely noticeable to large.
From slidetodoc.com
Dental Charting With this powerpoint you will be Space Between Teeth Diastema A diastema is a gap between teeth that is wider than 0.5 millimeters. It can develop between any teeth. Teeth that have an unusual size, shape, or position may have spaces between them. Some people first notice a tooth gap while brushing or flossing. The presence of a gap between the two maxillary. A diastema is a space or gap. Space Between Teeth Diastema.
From www.citydentists.co.nz
Options to close a diastema City Dentists Wellington Space Between Teeth Diastema A diastema is a space or gap between two or more teeth. It can develop between any teeth. The presence of a gap between the two maxillary. Size, shape, and position of your teeth. This is a gap between any. While gaps can develop anywhere in your mouth, diastema is most common between your two front teeth (midline diastema). Some. Space Between Teeth Diastema.
From seattlesmilesdental.com
Invisaligntreatingopenbitespacediastemabetweenfrontteethafter Space Between Teeth Diastema Some people first notice a tooth gap while brushing or flossing. A diastema is a gap between teeth that is wider than 0.5 millimeters. It can develop between any teeth. While gaps can develop anywhere in your mouth, diastema is most common between your two front teeth (midline diastema). A diastema is a space or gap between two or more. Space Between Teeth Diastema.
From www.youtube.com
Space between front teeth Front wing technique Diastema Closure Space Between Teeth Diastema The presence of a gap between the two maxillary. Gaps can range from being barely noticeable to large. A diastema is a space or gap between two or more teeth. While gaps can develop anywhere in your mouth, diastema is most common between your two front teeth (midline diastema). Teeth that have an unusual size, shape, or position may have. Space Between Teeth Diastema.
From www.dentalimplantcenter.com
Cosmetic treatment for diastema (spaces) between teeth Dental Implant Space Between Teeth Diastema It can develop between any teeth. A space between the upper or lower central incisors (two front teeth) is called midline diastema. A diastema is a space or gap between two or more teeth. Some people first notice a tooth gap while brushing or flossing. A diastema is a gap between teeth that is wider than 0.5 millimeters. Teeth that. Space Between Teeth Diastema.
From www.youtube.com
Space Between the Teeth (Diastema) Causes, Treatment, and Space Between Teeth Diastema This is a gap between any. The presence of a gap between the two maxillary. Size, shape, and position of your teeth. While gaps can develop anywhere in your mouth, diastema is most common between your two front teeth (midline diastema). A diastema is a space or gap between two or more teeth. Gaps can range from being barely noticeable. Space Between Teeth Diastema.
From www.styleitaliano.org
A combined approach for diastema closure Space Between Teeth Diastema A space between the upper or lower central incisors (two front teeth) is called midline diastema. This is when you have a gap between your 2 upper or lower front teeth. Teeth that have an unusual size, shape, or position may have spaces between them. Size, shape, and position of your teeth. While gaps can develop anywhere in your mouth,. Space Between Teeth Diastema.
From www.youtube.com
Spaces Between Teeth Diastema Gaps Between Teeth & Treatment Dr Space Between Teeth Diastema Some people first notice a tooth gap while brushing or flossing. Gaps can range from being barely noticeable to large. Teeth that have an unusual size, shape, or position may have spaces between them. It can develop between any teeth. A space between the upper or lower central incisors (two front teeth) is called midline diastema. Size, shape, and position. Space Between Teeth Diastema.
From www.youtube.com
Diastema closure ( Space between teeth)smiledentistteeth Space Between Teeth Diastema It can develop between any teeth. Teeth that have an unusual size, shape, or position may have spaces between them. Size, shape, and position of your teeth. A space between the upper or lower central incisors (two front teeth) is called midline diastema. This is a gap between any. While gaps can develop anywhere in your mouth, diastema is most. Space Between Teeth Diastema.
From www.youtube.com
How to close space between teethTeeth space treatmentDiastemaHealth Space Between Teeth Diastema This is when you have a gap between your 2 upper or lower front teeth. While gaps can develop anywhere in your mouth, diastema is most common between your two front teeth (midline diastema). Size, shape, and position of your teeth. It can develop between any teeth. Teeth that have an unusual size, shape, or position may have spaces between. Space Between Teeth Diastema.
From www.styleitaliano.org
A combined approach for diastema closure Space Between Teeth Diastema A space between the upper or lower central incisors (two front teeth) is called midline diastema. It can develop between any teeth. While gaps can develop anywhere in your mouth, diastema is most common between your two front teeth (midline diastema). This is when you have a gap between your 2 upper or lower front teeth. Some people first notice. Space Between Teeth Diastema.
From www.smilecliniq.com
Spaces Between Teeth / Diastema / Diastema’s/ London’s leading dentist Space Between Teeth Diastema A diastema is a gap between teeth that is wider than 0.5 millimeters. While gaps can develop anywhere in your mouth, diastema is most common between your two front teeth (midline diastema). Some people first notice a tooth gap while brushing or flossing. Gaps can range from being barely noticeable to large. Size, shape, and position of your teeth. A. Space Between Teeth Diastema.
From pocketdentistry.com
Soft Tissue Considerations in the Management of Diastemas Pocket Space Between Teeth Diastema The presence of a gap between the two maxillary. This is a gap between any. Size, shape, and position of your teeth. This is when you have a gap between your 2 upper or lower front teeth. It can develop between any teeth. While gaps can develop anywhere in your mouth, diastema is most common between your two front teeth. Space Between Teeth Diastema.
From www.nilawarsmilecare.in
Midline spacing , gap in between teeth, diastema a Space Between Teeth Diastema This is when you have a gap between your 2 upper or lower front teeth. A diastema is a gap between teeth that is wider than 0.5 millimeters. A space between the upper or lower central incisors (two front teeth) is called midline diastema. The presence of a gap between the two maxillary. It can develop between any teeth. Gaps. Space Between Teeth Diastema.
From mommychloe.blogspot.com
Mommy and Baby How To Care For Your Kids Teeth (II) Space Between Teeth Diastema Teeth that have an unusual size, shape, or position may have spaces between them. Some people first notice a tooth gap while brushing or flossing. While gaps can develop anywhere in your mouth, diastema is most common between your two front teeth (midline diastema). A diastema is a gap between teeth that is wider than 0.5 millimeters. Size, shape, and. Space Between Teeth Diastema.
From www.styleitaliano.org
A combined approach for diastema closure Space Between Teeth Diastema It can develop between any teeth. A space between the upper or lower central incisors (two front teeth) is called midline diastema. This is a gap between any. The presence of a gap between the two maxillary. Gaps can range from being barely noticeable to large. Size, shape, and position of your teeth. A diastema is a gap between teeth. Space Between Teeth Diastema.
From stock.adobe.com
spacing teeth ( diastema ), space between tooth in mouth dental Space Between Teeth Diastema Some people first notice a tooth gap while brushing or flossing. This is a gap between any. Size, shape, and position of your teeth. While gaps can develop anywhere in your mouth, diastema is most common between your two front teeth (midline diastema). A space between the upper or lower central incisors (two front teeth) is called midline diastema. It. Space Between Teeth Diastema.
From www.pinterest.com
Czym jest diastema? Space between teeth, Gap teeth, Dentist Space Between Teeth Diastema A space between the upper or lower central incisors (two front teeth) is called midline diastema. A diastema is a gap between teeth that is wider than 0.5 millimeters. While gaps can develop anywhere in your mouth, diastema is most common between your two front teeth (midline diastema). Gaps can range from being barely noticeable to large. The presence of. Space Between Teeth Diastema.
From www.sarasotadentistry.com
Diastema Causes and Treatment Options Sarasota Dentistry Space Between Teeth Diastema A space between the upper or lower central incisors (two front teeth) is called midline diastema. Teeth that have an unusual size, shape, or position may have spaces between them. Size, shape, and position of your teeth. Gaps can range from being barely noticeable to large. It can develop between any teeth. A diastema is a space or gap between. Space Between Teeth Diastema.
From angitia.lt
Diastema, increased interdental spaces Dantų gydymas, implantavimas Space Between Teeth Diastema Teeth that have an unusual size, shape, or position may have spaces between them. It can develop between any teeth. A space between the upper or lower central incisors (two front teeth) is called midline diastema. While gaps can develop anywhere in your mouth, diastema is most common between your two front teeth (midline diastema). A diastema is a gap. Space Between Teeth Diastema.
From www.dentalimplantcenter.com
Cosmetic treatment for diastema (spaces) between teeth Dental Implant Space Between Teeth Diastema Teeth that have an unusual size, shape, or position may have spaces between them. A space between the upper or lower central incisors (two front teeth) is called midline diastema. This is a gap between any. Gaps can range from being barely noticeable to large. The presence of a gap between the two maxillary. A diastema is a gap between. Space Between Teeth Diastema.
From www.drkatarmal.com
Midline Space Closure with Composit Dr. Bharat Katarmal Dental Space Between Teeth Diastema This is when you have a gap between your 2 upper or lower front teeth. It can develop between any teeth. Teeth that have an unusual size, shape, or position may have spaces between them. Size, shape, and position of your teeth. A space between the upper or lower central incisors (two front teeth) is called midline diastema. Some people. Space Between Teeth Diastema.
From traveltodentist.com
Dents écartées. Comment apparaissent les trémas? Quelles sont les Space Between Teeth Diastema Teeth that have an unusual size, shape, or position may have spaces between them. A diastema is a space or gap between two or more teeth. It can develop between any teeth. A space between the upper or lower central incisors (two front teeth) is called midline diastema. This is when you have a gap between your 2 upper or. Space Between Teeth Diastema.
From www.nofrillsdental.com
Diastema Causes and Treatment Options Orthodontics in Singapore Space Between Teeth Diastema Size, shape, and position of your teeth. Gaps can range from being barely noticeable to large. Teeth that have an unusual size, shape, or position may have spaces between them. Some people first notice a tooth gap while brushing or flossing. The presence of a gap between the two maxillary. This is a gap between any. A diastema is a. Space Between Teeth Diastema.
From www.southviewdentistrycharlotte.com
What Is Diastema A Diastema Case Study from Southview Dentistry Space Between Teeth Diastema It can develop between any teeth. This is when you have a gap between your 2 upper or lower front teeth. While gaps can develop anywhere in your mouth, diastema is most common between your two front teeth (midline diastema). A diastema is a space or gap between two or more teeth. Teeth that have an unusual size, shape, or. Space Between Teeth Diastema.
From dentagama.com
Diastema News Dentagama Space Between Teeth Diastema A space between the upper or lower central incisors (two front teeth) is called midline diastema. While gaps can develop anywhere in your mouth, diastema is most common between your two front teeth (midline diastema). It can develop between any teeth. This is when you have a gap between your 2 upper or lower front teeth. Size, shape, and position. Space Between Teeth Diastema.
From www.pinterest.com
What is a Diastema? A diastema is an area of extra space between two or Space Between Teeth Diastema Size, shape, and position of your teeth. The presence of a gap between the two maxillary. This is when you have a gap between your 2 upper or lower front teeth. Teeth that have an unusual size, shape, or position may have spaces between them. Some people first notice a tooth gap while brushing or flossing. Gaps can range from. Space Between Teeth Diastema.
From www.lighthousedentalcentre.com
How to Fill Gaps Between Teeth Your Guide to Diastema Space Between Teeth Diastema Teeth that have an unusual size, shape, or position may have spaces between them. This is a gap between any. A diastema is a gap between teeth that is wider than 0.5 millimeters. Some people first notice a tooth gap while brushing or flossing. A space between the upper or lower central incisors (two front teeth) is called midline diastema.. Space Between Teeth Diastema.
From familycarebp.blogspot.com
FAMILY CARE DENTAL Diastema Space Between Teeth Diastema Some people first notice a tooth gap while brushing or flossing. While gaps can develop anywhere in your mouth, diastema is most common between your two front teeth (midline diastema). Teeth that have an unusual size, shape, or position may have spaces between them. Gaps can range from being barely noticeable to large. The presence of a gap between the. Space Between Teeth Diastema.
From worldofdentistry.org
Gap Between The Teeth (Diastema) 3 Important Reasons Space Between Teeth Diastema This is when you have a gap between your 2 upper or lower front teeth. A diastema is a space or gap between two or more teeth. The presence of a gap between the two maxillary. Gaps can range from being barely noticeable to large. A space between the upper or lower central incisors (two front teeth) is called midline. Space Between Teeth Diastema.
From www.shutterstock.com
Diastema Between Tooth Spacing Between Front Stock Photo 1717777777 Space Between Teeth Diastema The presence of a gap between the two maxillary. A space between the upper or lower central incisors (two front teeth) is called midline diastema. Size, shape, and position of your teeth. This is when you have a gap between your 2 upper or lower front teeth. Teeth that have an unusual size, shape, or position may have spaces between. Space Between Teeth Diastema.
From ldndental.co.uk
Closing a diastema with teeth bonding everything you need to know Space Between Teeth Diastema This is when you have a gap between your 2 upper or lower front teeth. The presence of a gap between the two maxillary. A space between the upper or lower central incisors (two front teeth) is called midline diastema. This is a gap between any. Gaps can range from being barely noticeable to large. While gaps can develop anywhere. Space Between Teeth Diastema.
From www.diamondbraces.com
Everything You Need to Know About Spaces/Gaps Between Teeth Space Between Teeth Diastema This is a gap between any. This is when you have a gap between your 2 upper or lower front teeth. Teeth that have an unusual size, shape, or position may have spaces between them. It can develop between any teeth. A diastema is a space or gap between two or more teeth. Gaps can range from being barely noticeable. Space Between Teeth Diastema.
From www.elizabethspindel.com
Closing Space Between Front Teeth Before & After Photos Manchester NH Space Between Teeth Diastema Some people first notice a tooth gap while brushing or flossing. This is a gap between any. While gaps can develop anywhere in your mouth, diastema is most common between your two front teeth (midline diastema). A diastema is a gap between teeth that is wider than 0.5 millimeters. A space between the upper or lower central incisors (two front. Space Between Teeth Diastema.
From www.dentalimplantcenter.com
Cosmetic treatment for diastema (spaces) between teeth Dental Implant Space Between Teeth Diastema A diastema is a space or gap between two or more teeth. While gaps can develop anywhere in your mouth, diastema is most common between your two front teeth (midline diastema). A space between the upper or lower central incisors (two front teeth) is called midline diastema. A diastema is a gap between teeth that is wider than 0.5 millimeters.. Space Between Teeth Diastema.