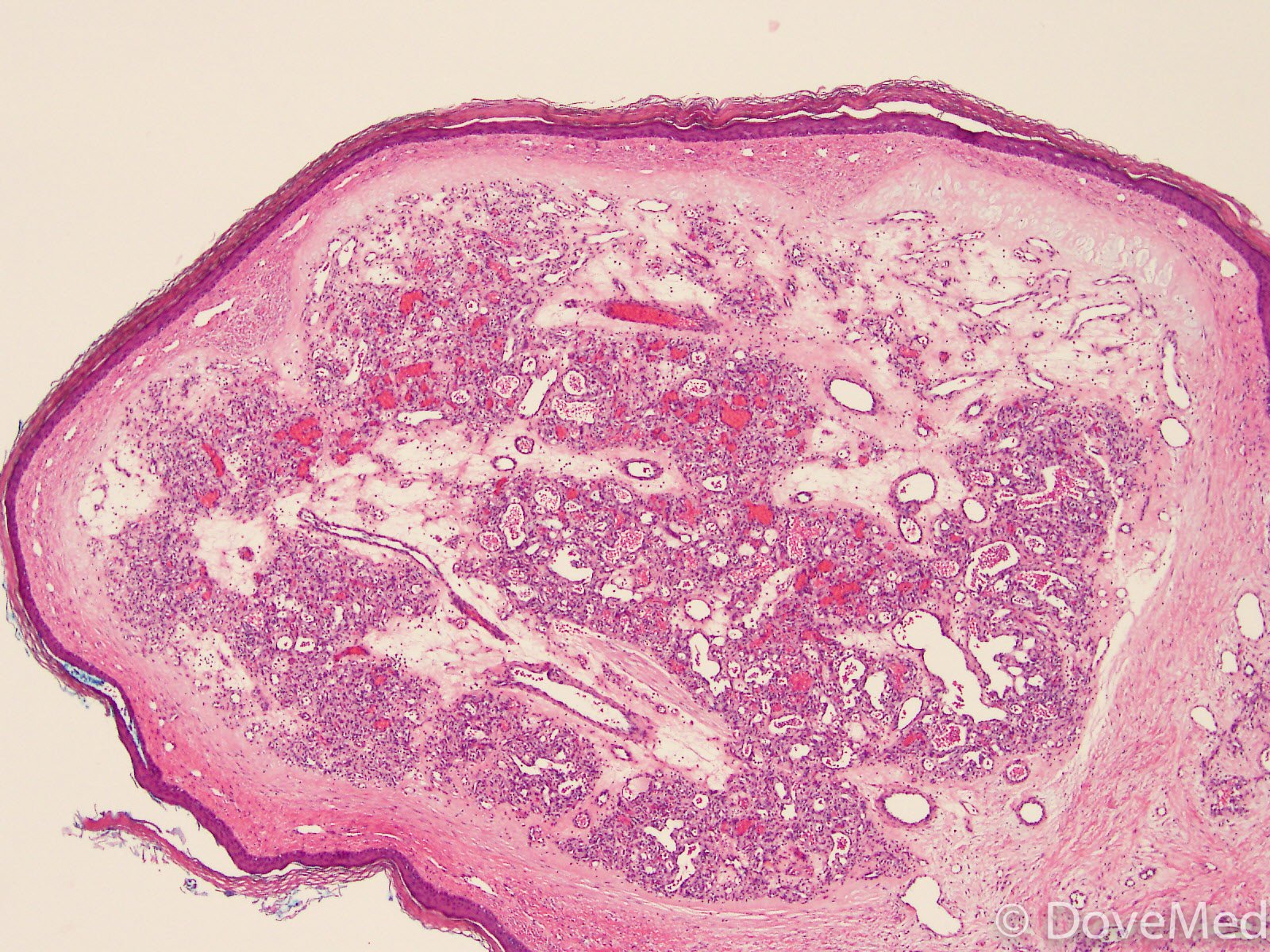
Spindle Cell Hemangioma Libre Pathology . pathology is an educational resource with high quality pathology images of benign and malignant neoplasms and. Home > soft tissue > angiolipoma. Fasicular cellular spindle cell lesion with: Spindle cell hemangioma (sch) is an uncommon tumor that usually presents as subcutaneous or deep dermal nodule affecting the extremities. Kaposiform hemangioendothelioma clinically presents commonly on the head and neck and trunk region, with a strong association. Many endothelial cells have prominent intracytoplasmic vacuoles. Glomeruloid, infantile, cavernous, capillary, arteriovenous, venous and.
from www.dovemed.com
Spindle cell hemangioma (sch) is an uncommon tumor that usually presents as subcutaneous or deep dermal nodule affecting the extremities. Home > soft tissue > angiolipoma. Many endothelial cells have prominent intracytoplasmic vacuoles. Glomeruloid, infantile, cavernous, capillary, arteriovenous, venous and. Fasicular cellular spindle cell lesion with: pathology is an educational resource with high quality pathology images of benign and malignant neoplasms and. Kaposiform hemangioendothelioma clinically presents commonly on the head and neck and trunk region, with a strong association.
Spindle Cell Hemangioma
Spindle Cell Hemangioma Libre Pathology Glomeruloid, infantile, cavernous, capillary, arteriovenous, venous and. Many endothelial cells have prominent intracytoplasmic vacuoles. Glomeruloid, infantile, cavernous, capillary, arteriovenous, venous and. Fasicular cellular spindle cell lesion with: pathology is an educational resource with high quality pathology images of benign and malignant neoplasms and. Home > soft tissue > angiolipoma. Spindle cell hemangioma (sch) is an uncommon tumor that usually presents as subcutaneous or deep dermal nodule affecting the extremities. Kaposiform hemangioendothelioma clinically presents commonly on the head and neck and trunk region, with a strong association.
From www.pathologyoutlines.com
Pathology Outlines Hemangioma & variants Spindle Cell Hemangioma Libre Pathology Kaposiform hemangioendothelioma clinically presents commonly on the head and neck and trunk region, with a strong association. Fasicular cellular spindle cell lesion with: pathology is an educational resource with high quality pathology images of benign and malignant neoplasms and. Glomeruloid, infantile, cavernous, capillary, arteriovenous, venous and. Home > soft tissue > angiolipoma. Spindle cell hemangioma (sch) is an uncommon tumor. Spindle Cell Hemangioma Libre Pathology.
From www.pathologyoutlines.com
Pathology Outlines Spindle cell hemangioma Spindle Cell Hemangioma Libre Pathology Glomeruloid, infantile, cavernous, capillary, arteriovenous, venous and. Fasicular cellular spindle cell lesion with: Home > soft tissue > angiolipoma. pathology is an educational resource with high quality pathology images of benign and malignant neoplasms and. Kaposiform hemangioendothelioma clinically presents commonly on the head and neck and trunk region, with a strong association. Many endothelial cells have prominent intracytoplasmic vacuoles. Spindle. Spindle Cell Hemangioma Libre Pathology.
From www.pathologyoutlines.com
Pathology Outlines Spindle cell hemangioma Spindle Cell Hemangioma Libre Pathology Many endothelial cells have prominent intracytoplasmic vacuoles. Fasicular cellular spindle cell lesion with: Glomeruloid, infantile, cavernous, capillary, arteriovenous, venous and. Spindle cell hemangioma (sch) is an uncommon tumor that usually presents as subcutaneous or deep dermal nodule affecting the extremities. Kaposiform hemangioendothelioma clinically presents commonly on the head and neck and trunk region, with a strong association. Home > soft. Spindle Cell Hemangioma Libre Pathology.
From www.pathologyoutlines.com
Pathology Outlines Spindle cell hemangioma Spindle Cell Hemangioma Libre Pathology pathology is an educational resource with high quality pathology images of benign and malignant neoplasms and. Many endothelial cells have prominent intracytoplasmic vacuoles. Spindle cell hemangioma (sch) is an uncommon tumor that usually presents as subcutaneous or deep dermal nodule affecting the extremities. Home > soft tissue > angiolipoma. Kaposiform hemangioendothelioma clinically presents commonly on the head and neck and. Spindle Cell Hemangioma Libre Pathology.
From www.pathologyoutlines.com
Pathology Outlines Hemangioma & variants Spindle Cell Hemangioma Libre Pathology Spindle cell hemangioma (sch) is an uncommon tumor that usually presents as subcutaneous or deep dermal nodule affecting the extremities. Home > soft tissue > angiolipoma. Kaposiform hemangioendothelioma clinically presents commonly on the head and neck and trunk region, with a strong association. Many endothelial cells have prominent intracytoplasmic vacuoles. pathology is an educational resource with high quality pathology images. Spindle Cell Hemangioma Libre Pathology.
From www.surgpath.theclinics.com
Histopathology of Spindle Cell Vascular Tumors Surgical Pathology Clinics Spindle Cell Hemangioma Libre Pathology Home > soft tissue > angiolipoma. Kaposiform hemangioendothelioma clinically presents commonly on the head and neck and trunk region, with a strong association. Many endothelial cells have prominent intracytoplasmic vacuoles. pathology is an educational resource with high quality pathology images of benign and malignant neoplasms and. Fasicular cellular spindle cell lesion with: Spindle cell hemangioma (sch) is an uncommon tumor. Spindle Cell Hemangioma Libre Pathology.
From ijdvl.com
Indian Journal of Dermatology, Venereology and Leprology Multifocal Spindle Cell Hemangioma Libre Pathology Many endothelial cells have prominent intracytoplasmic vacuoles. Home > soft tissue > angiolipoma. Fasicular cellular spindle cell lesion with: Kaposiform hemangioendothelioma clinically presents commonly on the head and neck and trunk region, with a strong association. pathology is an educational resource with high quality pathology images of benign and malignant neoplasms and. Glomeruloid, infantile, cavernous, capillary, arteriovenous, venous and. Spindle. Spindle Cell Hemangioma Libre Pathology.
From www.spandidos-publications.com
Primary epithelioid hemangioendothelioma of the eyelid A case report Spindle Cell Hemangioma Libre Pathology pathology is an educational resource with high quality pathology images of benign and malignant neoplasms and. Glomeruloid, infantile, cavernous, capillary, arteriovenous, venous and. Fasicular cellular spindle cell lesion with: Home > soft tissue > angiolipoma. Kaposiform hemangioendothelioma clinically presents commonly on the head and neck and trunk region, with a strong association. Spindle cell hemangioma (sch) is an uncommon tumor. Spindle Cell Hemangioma Libre Pathology.
From www.youtube.com
Spindle cell hemangioma (AIP France 2021 bonus case) dermpath Spindle Cell Hemangioma Libre Pathology Many endothelial cells have prominent intracytoplasmic vacuoles. Home > soft tissue > angiolipoma. pathology is an educational resource with high quality pathology images of benign and malignant neoplasms and. Spindle cell hemangioma (sch) is an uncommon tumor that usually presents as subcutaneous or deep dermal nodule affecting the extremities. Fasicular cellular spindle cell lesion with: Kaposiform hemangioendothelioma clinically presents commonly. Spindle Cell Hemangioma Libre Pathology.
From www.semanticscholar.org
Figure 6 from Histopathology of Spindle Cell Vascular Tumors Spindle Cell Hemangioma Libre Pathology Spindle cell hemangioma (sch) is an uncommon tumor that usually presents as subcutaneous or deep dermal nodule affecting the extremities. Kaposiform hemangioendothelioma clinically presents commonly on the head and neck and trunk region, with a strong association. Many endothelial cells have prominent intracytoplasmic vacuoles. Fasicular cellular spindle cell lesion with: pathology is an educational resource with high quality pathology images. Spindle Cell Hemangioma Libre Pathology.
From www.dovemed.com
Spindle Cell Hemangioma Spindle Cell Hemangioma Libre Pathology Glomeruloid, infantile, cavernous, capillary, arteriovenous, venous and. Fasicular cellular spindle cell lesion with: Home > soft tissue > angiolipoma. Many endothelial cells have prominent intracytoplasmic vacuoles. Spindle cell hemangioma (sch) is an uncommon tumor that usually presents as subcutaneous or deep dermal nodule affecting the extremities. pathology is an educational resource with high quality pathology images of benign and malignant. Spindle Cell Hemangioma Libre Pathology.
From www.youtube.com
Spindle Cell Hemangioma 101 YouTube Spindle Cell Hemangioma Libre Pathology Glomeruloid, infantile, cavernous, capillary, arteriovenous, venous and. Kaposiform hemangioendothelioma clinically presents commonly on the head and neck and trunk region, with a strong association. pathology is an educational resource with high quality pathology images of benign and malignant neoplasms and. Many endothelial cells have prominent intracytoplasmic vacuoles. Home > soft tissue > angiolipoma. Fasicular cellular spindle cell lesion with: Spindle. Spindle Cell Hemangioma Libre Pathology.
From www.pathologyoutlines.com
Pathology Outlines Spindle cell hemangioma Spindle Cell Hemangioma Libre Pathology Many endothelial cells have prominent intracytoplasmic vacuoles. Kaposiform hemangioendothelioma clinically presents commonly on the head and neck and trunk region, with a strong association. Home > soft tissue > angiolipoma. Glomeruloid, infantile, cavernous, capillary, arteriovenous, venous and. pathology is an educational resource with high quality pathology images of benign and malignant neoplasms and. Fasicular cellular spindle cell lesion with: Spindle. Spindle Cell Hemangioma Libre Pathology.
From www.pathologyoutlines.com
Pathology Outlines Spindle cell hemangioma Spindle Cell Hemangioma Libre Pathology Many endothelial cells have prominent intracytoplasmic vacuoles. Glomeruloid, infantile, cavernous, capillary, arteriovenous, venous and. Home > soft tissue > angiolipoma. Spindle cell hemangioma (sch) is an uncommon tumor that usually presents as subcutaneous or deep dermal nodule affecting the extremities. Fasicular cellular spindle cell lesion with: Kaposiform hemangioendothelioma clinically presents commonly on the head and neck and trunk region, with. Spindle Cell Hemangioma Libre Pathology.
From www.oooojournal.net
Spindle cell hemangioma (hemangioendothelioma) of the head and neck Spindle Cell Hemangioma Libre Pathology Many endothelial cells have prominent intracytoplasmic vacuoles. Spindle cell hemangioma (sch) is an uncommon tumor that usually presents as subcutaneous or deep dermal nodule affecting the extremities. Glomeruloid, infantile, cavernous, capillary, arteriovenous, venous and. Home > soft tissue > angiolipoma. Fasicular cellular spindle cell lesion with: Kaposiform hemangioendothelioma clinically presents commonly on the head and neck and trunk region, with. Spindle Cell Hemangioma Libre Pathology.
From onlinelibrary.wiley.com
Spindle cell hemangioma of the lung An unusual presentation Hamdi Spindle Cell Hemangioma Libre Pathology Spindle cell hemangioma (sch) is an uncommon tumor that usually presents as subcutaneous or deep dermal nodule affecting the extremities. Kaposiform hemangioendothelioma clinically presents commonly on the head and neck and trunk region, with a strong association. pathology is an educational resource with high quality pathology images of benign and malignant neoplasms and. Many endothelial cells have prominent intracytoplasmic vacuoles.. Spindle Cell Hemangioma Libre Pathology.
From mavink.com
Skin Hemangioma Histology Spindle Cell Hemangioma Libre Pathology Many endothelial cells have prominent intracytoplasmic vacuoles. Spindle cell hemangioma (sch) is an uncommon tumor that usually presents as subcutaneous or deep dermal nodule affecting the extremities. pathology is an educational resource with high quality pathology images of benign and malignant neoplasms and. Glomeruloid, infantile, cavernous, capillary, arteriovenous, venous and. Kaposiform hemangioendothelioma clinically presents commonly on the head and neck. Spindle Cell Hemangioma Libre Pathology.
From www.youtube.com
Spindle cell hemangioma with phlebolith arising in a vascular Spindle Cell Hemangioma Libre Pathology Spindle cell hemangioma (sch) is an uncommon tumor that usually presents as subcutaneous or deep dermal nodule affecting the extremities. Home > soft tissue > angiolipoma. Many endothelial cells have prominent intracytoplasmic vacuoles. Kaposiform hemangioendothelioma clinically presents commonly on the head and neck and trunk region, with a strong association. Fasicular cellular spindle cell lesion with: pathology is an educational. Spindle Cell Hemangioma Libre Pathology.
From www.flickr.com
Epithelioid hemangioendothelioma Case 170 Spindle cell pro… Flickr Spindle Cell Hemangioma Libre Pathology pathology is an educational resource with high quality pathology images of benign and malignant neoplasms and. Spindle cell hemangioma (sch) is an uncommon tumor that usually presents as subcutaneous or deep dermal nodule affecting the extremities. Home > soft tissue > angiolipoma. Kaposiform hemangioendothelioma clinically presents commonly on the head and neck and trunk region, with a strong association. Many. Spindle Cell Hemangioma Libre Pathology.
From www.pathologyoutlines.com
Pathology Outlines Spindle cell hemangioma Spindle Cell Hemangioma Libre Pathology Kaposiform hemangioendothelioma clinically presents commonly on the head and neck and trunk region, with a strong association. Spindle cell hemangioma (sch) is an uncommon tumor that usually presents as subcutaneous or deep dermal nodule affecting the extremities. Glomeruloid, infantile, cavernous, capillary, arteriovenous, venous and. pathology is an educational resource with high quality pathology images of benign and malignant neoplasms and.. Spindle Cell Hemangioma Libre Pathology.
From typeset.io
(PDF) Spindle Cell Hemangioma of the Nasal Cavity A Rare Tumor with Spindle Cell Hemangioma Libre Pathology Many endothelial cells have prominent intracytoplasmic vacuoles. Spindle cell hemangioma (sch) is an uncommon tumor that usually presents as subcutaneous or deep dermal nodule affecting the extremities. Kaposiform hemangioendothelioma clinically presents commonly on the head and neck and trunk region, with a strong association. Home > soft tissue > angiolipoma. pathology is an educational resource with high quality pathology images. Spindle Cell Hemangioma Libre Pathology.
From www.oooojournal.net
Spindle cell hemangioma (hemangioendothelioma) of the head and neck Spindle Cell Hemangioma Libre Pathology Home > soft tissue > angiolipoma. Fasicular cellular spindle cell lesion with: Spindle cell hemangioma (sch) is an uncommon tumor that usually presents as subcutaneous or deep dermal nodule affecting the extremities. Many endothelial cells have prominent intracytoplasmic vacuoles. pathology is an educational resource with high quality pathology images of benign and malignant neoplasms and. Kaposiform hemangioendothelioma clinically presents commonly. Spindle Cell Hemangioma Libre Pathology.
From www.pathologyoutlines.com
Pathology Outlines Hemangioma & variants Spindle Cell Hemangioma Libre Pathology Home > soft tissue > angiolipoma. Many endothelial cells have prominent intracytoplasmic vacuoles. pathology is an educational resource with high quality pathology images of benign and malignant neoplasms and. Kaposiform hemangioendothelioma clinically presents commonly on the head and neck and trunk region, with a strong association. Spindle cell hemangioma (sch) is an uncommon tumor that usually presents as subcutaneous or. Spindle Cell Hemangioma Libre Pathology.
From twitter.com
Jerad Gardner, MD on Twitter "RT science_press Spindle cell Spindle Cell Hemangioma Libre Pathology Fasicular cellular spindle cell lesion with: Kaposiform hemangioendothelioma clinically presents commonly on the head and neck and trunk region, with a strong association. pathology is an educational resource with high quality pathology images of benign and malignant neoplasms and. Spindle cell hemangioma (sch) is an uncommon tumor that usually presents as subcutaneous or deep dermal nodule affecting the extremities. Home. Spindle Cell Hemangioma Libre Pathology.
From www.pathologyoutlines.com
Pathology Outlines Epithelioid hemangioma Spindle Cell Hemangioma Libre Pathology Many endothelial cells have prominent intracytoplasmic vacuoles. Home > soft tissue > angiolipoma. pathology is an educational resource with high quality pathology images of benign and malignant neoplasms and. Glomeruloid, infantile, cavernous, capillary, arteriovenous, venous and. Fasicular cellular spindle cell lesion with: Kaposiform hemangioendothelioma clinically presents commonly on the head and neck and trunk region, with a strong association. Spindle. Spindle Cell Hemangioma Libre Pathology.
From www.pathologyoutlines.com
Pathology Outlines Hemangioma & variants Spindle Cell Hemangioma Libre Pathology pathology is an educational resource with high quality pathology images of benign and malignant neoplasms and. Home > soft tissue > angiolipoma. Spindle cell hemangioma (sch) is an uncommon tumor that usually presents as subcutaneous or deep dermal nodule affecting the extremities. Many endothelial cells have prominent intracytoplasmic vacuoles. Fasicular cellular spindle cell lesion with: Glomeruloid, infantile, cavernous, capillary, arteriovenous,. Spindle Cell Hemangioma Libre Pathology.
From www.oooojournal.net
Spindle cell hemangioma (hemangioendothelioma) of the head and neck Spindle Cell Hemangioma Libre Pathology Fasicular cellular spindle cell lesion with: Glomeruloid, infantile, cavernous, capillary, arteriovenous, venous and. Home > soft tissue > angiolipoma. pathology is an educational resource with high quality pathology images of benign and malignant neoplasms and. Many endothelial cells have prominent intracytoplasmic vacuoles. Spindle cell hemangioma (sch) is an uncommon tumor that usually presents as subcutaneous or deep dermal nodule affecting. Spindle Cell Hemangioma Libre Pathology.
From www.researchgate.net
Microscopic findings of the spindle cell hemangioma with no evidence of Spindle Cell Hemangioma Libre Pathology pathology is an educational resource with high quality pathology images of benign and malignant neoplasms and. Many endothelial cells have prominent intracytoplasmic vacuoles. Fasicular cellular spindle cell lesion with: Spindle cell hemangioma (sch) is an uncommon tumor that usually presents as subcutaneous or deep dermal nodule affecting the extremities. Home > soft tissue > angiolipoma. Kaposiform hemangioendothelioma clinically presents commonly. Spindle Cell Hemangioma Libre Pathology.
From sitelip.org
Capillary Hemangioma Lip Pathology Outlines Spindle Cell Hemangioma Libre Pathology Many endothelial cells have prominent intracytoplasmic vacuoles. Glomeruloid, infantile, cavernous, capillary, arteriovenous, venous and. Kaposiform hemangioendothelioma clinically presents commonly on the head and neck and trunk region, with a strong association. pathology is an educational resource with high quality pathology images of benign and malignant neoplasms and. Spindle cell hemangioma (sch) is an uncommon tumor that usually presents as subcutaneous. Spindle Cell Hemangioma Libre Pathology.
From www.pinterest.co.uk
Spindle Cell Hemangioma Pathology, Dermatology, Skin parasites Spindle Cell Hemangioma Libre Pathology Kaposiform hemangioendothelioma clinically presents commonly on the head and neck and trunk region, with a strong association. Home > soft tissue > angiolipoma. pathology is an educational resource with high quality pathology images of benign and malignant neoplasms and. Many endothelial cells have prominent intracytoplasmic vacuoles. Glomeruloid, infantile, cavernous, capillary, arteriovenous, venous and. Spindle cell hemangioma (sch) is an uncommon. Spindle Cell Hemangioma Libre Pathology.
From www.researchgate.net
Microscopic findings of the spindle cell hemangioendothelioma. (a Spindle Cell Hemangioma Libre Pathology Kaposiform hemangioendothelioma clinically presents commonly on the head and neck and trunk region, with a strong association. Glomeruloid, infantile, cavernous, capillary, arteriovenous, venous and. Fasicular cellular spindle cell lesion with: Spindle cell hemangioma (sch) is an uncommon tumor that usually presents as subcutaneous or deep dermal nodule affecting the extremities. Many endothelial cells have prominent intracytoplasmic vacuoles. pathology is an. Spindle Cell Hemangioma Libre Pathology.
From www.youtube.com
Spindle cell hemangioma (pathology dermpath dermatology Spindle Cell Hemangioma Libre Pathology Glomeruloid, infantile, cavernous, capillary, arteriovenous, venous and. Spindle cell hemangioma (sch) is an uncommon tumor that usually presents as subcutaneous or deep dermal nodule affecting the extremities. pathology is an educational resource with high quality pathology images of benign and malignant neoplasms and. Fasicular cellular spindle cell lesion with: Home > soft tissue > angiolipoma. Kaposiform hemangioendothelioma clinically presents commonly. Spindle Cell Hemangioma Libre Pathology.
From www.pathologyoutlines.com
Pathology Outlines Spindle cell hemangioma Spindle Cell Hemangioma Libre Pathology Many endothelial cells have prominent intracytoplasmic vacuoles. Fasicular cellular spindle cell lesion with: pathology is an educational resource with high quality pathology images of benign and malignant neoplasms and. Kaposiform hemangioendothelioma clinically presents commonly on the head and neck and trunk region, with a strong association. Glomeruloid, infantile, cavernous, capillary, arteriovenous, venous and. Spindle cell hemangioma (sch) is an uncommon. Spindle Cell Hemangioma Libre Pathology.
From librepathology.org
Pigmented spindle cell nevus Libre Pathology Spindle Cell Hemangioma Libre Pathology Kaposiform hemangioendothelioma clinically presents commonly on the head and neck and trunk region, with a strong association. Fasicular cellular spindle cell lesion with: Many endothelial cells have prominent intracytoplasmic vacuoles. Spindle cell hemangioma (sch) is an uncommon tumor that usually presents as subcutaneous or deep dermal nodule affecting the extremities. Glomeruloid, infantile, cavernous, capillary, arteriovenous, venous and. pathology is an. Spindle Cell Hemangioma Libre Pathology.
From www.researchgate.net
Spindle cell hemangioma in a 21yearold woman with Maffucci syndrome Spindle Cell Hemangioma Libre Pathology Spindle cell hemangioma (sch) is an uncommon tumor that usually presents as subcutaneous or deep dermal nodule affecting the extremities. Many endothelial cells have prominent intracytoplasmic vacuoles. Home > soft tissue > angiolipoma. pathology is an educational resource with high quality pathology images of benign and malignant neoplasms and. Glomeruloid, infantile, cavernous, capillary, arteriovenous, venous and. Kaposiform hemangioendothelioma clinically presents. Spindle Cell Hemangioma Libre Pathology.