What Is A Mural Thrombus Aorta . Mural thrombus occurrence in a normal or minimally atherosclerotic. A mural aortic thrombus may form with aortic dissection, aortic aneurysm, malignancy, and blood disorders and is rarely seen in a healthy. Most information is available for tgfbr1 and tgfbr2 pathogenic variants. Mural thrombi are thrombi that attach to the wall of a blood vessel and cardiac chamber. Aortic mural thrombus in a nonaneurysmal minimally atherosclerotic or normal aorta is a rare clinical entity and an. 1,2 patients with tgfbr1 and tgfbr2 variants are at risk of type a aortic dissection at younger. Thoracic aortic mural thrombus (tamt) of the descending aorta is rare but can result in dramatic embolic events. An aortic thrombosis (also known as a plural thrombosis) is when a blood clot blocks the main artery (aorta) that carries blood away from your heart. Primary aortic mural thrombus (pamt) is a rare condition responsible for distal embolism especially in young adults, with a high rate of complications, morbidities, and mortalities.
from l-ifeofmyown.blogspot.com
An aortic thrombosis (also known as a plural thrombosis) is when a blood clot blocks the main artery (aorta) that carries blood away from your heart. Primary aortic mural thrombus (pamt) is a rare condition responsible for distal embolism especially in young adults, with a high rate of complications, morbidities, and mortalities. Mural thrombi are thrombi that attach to the wall of a blood vessel and cardiac chamber. 1,2 patients with tgfbr1 and tgfbr2 variants are at risk of type a aortic dissection at younger. Thoracic aortic mural thrombus (tamt) of the descending aorta is rare but can result in dramatic embolic events. Most information is available for tgfbr1 and tgfbr2 pathogenic variants. Aortic mural thrombus in a nonaneurysmal minimally atherosclerotic or normal aorta is a rare clinical entity and an. Mural thrombus occurrence in a normal or minimally atherosclerotic. A mural aortic thrombus may form with aortic dissection, aortic aneurysm, malignancy, and blood disorders and is rarely seen in a healthy.
Mural Thrombus Aorta lifeofmyown
What Is A Mural Thrombus Aorta A mural aortic thrombus may form with aortic dissection, aortic aneurysm, malignancy, and blood disorders and is rarely seen in a healthy. Thoracic aortic mural thrombus (tamt) of the descending aorta is rare but can result in dramatic embolic events. Most information is available for tgfbr1 and tgfbr2 pathogenic variants. Mural thrombi are thrombi that attach to the wall of a blood vessel and cardiac chamber. Aortic mural thrombus in a nonaneurysmal minimally atherosclerotic or normal aorta is a rare clinical entity and an. A mural aortic thrombus may form with aortic dissection, aortic aneurysm, malignancy, and blood disorders and is rarely seen in a healthy. An aortic thrombosis (also known as a plural thrombosis) is when a blood clot blocks the main artery (aorta) that carries blood away from your heart. 1,2 patients with tgfbr1 and tgfbr2 variants are at risk of type a aortic dissection at younger. Primary aortic mural thrombus (pamt) is a rare condition responsible for distal embolism especially in young adults, with a high rate of complications, morbidities, and mortalities. Mural thrombus occurrence in a normal or minimally atherosclerotic.
From casereports.bmj.com
Aortic mural thrombus visualised on transoesophageal echocardiography What Is A Mural Thrombus Aorta A mural aortic thrombus may form with aortic dissection, aortic aneurysm, malignancy, and blood disorders and is rarely seen in a healthy. Primary aortic mural thrombus (pamt) is a rare condition responsible for distal embolism especially in young adults, with a high rate of complications, morbidities, and mortalities. 1,2 patients with tgfbr1 and tgfbr2 variants are at risk of type. What Is A Mural Thrombus Aorta.
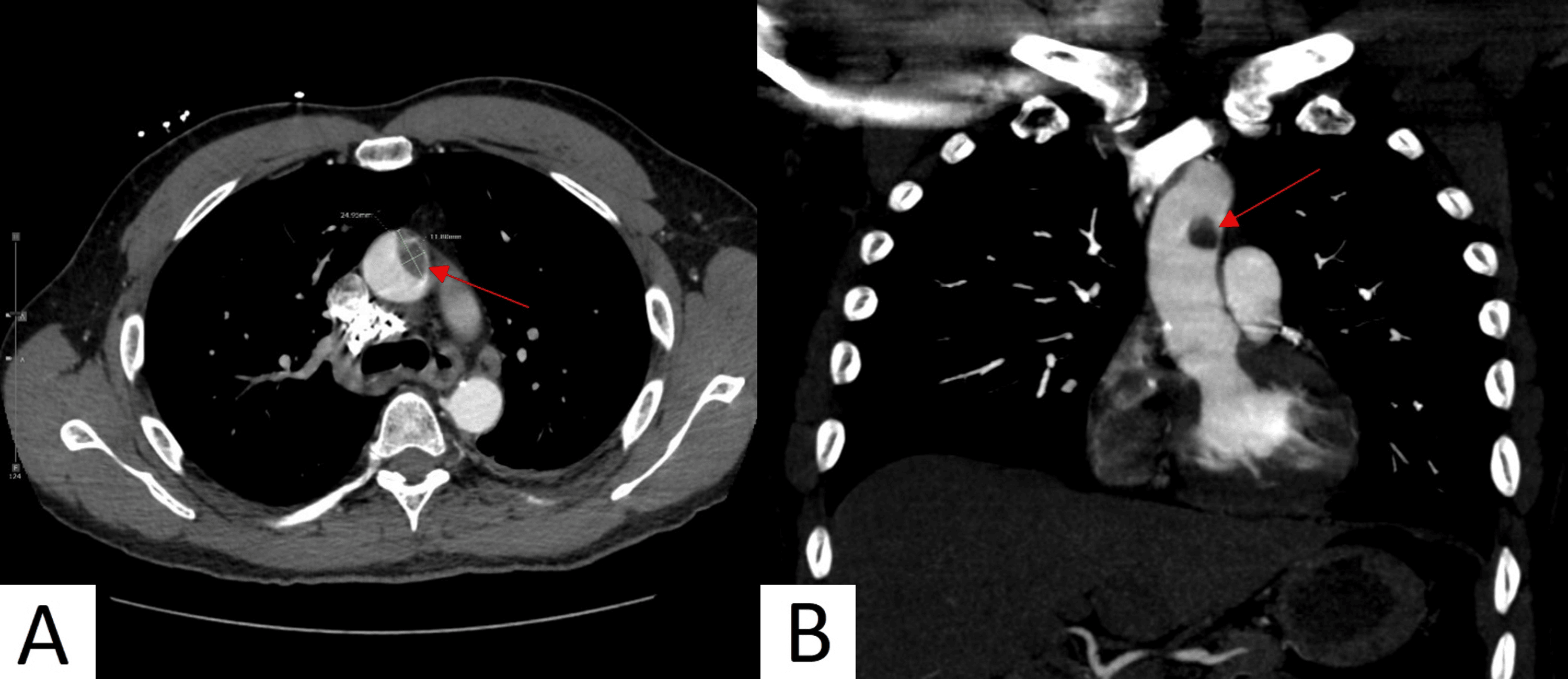
From med.emory.edu
Aortic Aneurism with Mural Thrombus Emory School of Medicine What Is A Mural Thrombus Aorta Mural thrombi are thrombi that attach to the wall of a blood vessel and cardiac chamber. Primary aortic mural thrombus (pamt) is a rare condition responsible for distal embolism especially in young adults, with a high rate of complications, morbidities, and mortalities. Most information is available for tgfbr1 and tgfbr2 pathogenic variants. Aortic mural thrombus in a nonaneurysmal minimally atherosclerotic. What Is A Mural Thrombus Aorta.
From gatomeowkg.blogspot.com
[無料ダウンロード! √] mural thrombus 176299Mural thrombus What Is A Mural Thrombus Aorta Aortic mural thrombus in a nonaneurysmal minimally atherosclerotic or normal aorta is a rare clinical entity and an. Thoracic aortic mural thrombus (tamt) of the descending aorta is rare but can result in dramatic embolic events. A mural aortic thrombus may form with aortic dissection, aortic aneurysm, malignancy, and blood disorders and is rarely seen in a healthy. Primary aortic. What Is A Mural Thrombus Aorta.
From www.alamy.com
Mural thrombus after heart attack Stock Photo, Royalty Free Image What Is A Mural Thrombus Aorta Most information is available for tgfbr1 and tgfbr2 pathogenic variants. Aortic mural thrombus in a nonaneurysmal minimally atherosclerotic or normal aorta is a rare clinical entity and an. Primary aortic mural thrombus (pamt) is a rare condition responsible for distal embolism especially in young adults, with a high rate of complications, morbidities, and mortalities. An aortic thrombosis (also known as. What Is A Mural Thrombus Aorta.
From med.emory.edu
Ultrasound Images Aorta Emory School of Medicine What Is A Mural Thrombus Aorta Aortic mural thrombus in a nonaneurysmal minimally atherosclerotic or normal aorta is a rare clinical entity and an. Primary aortic mural thrombus (pamt) is a rare condition responsible for distal embolism especially in young adults, with a high rate of complications, morbidities, and mortalities. Mural thrombi are thrombi that attach to the wall of a blood vessel and cardiac chamber.. What Is A Mural Thrombus Aorta.
From pubs.rsna.org
Intraluminal Thrombus Predicts Rapid Growth of Abdominal Aortic What Is A Mural Thrombus Aorta 1,2 patients with tgfbr1 and tgfbr2 variants are at risk of type a aortic dissection at younger. Primary aortic mural thrombus (pamt) is a rare condition responsible for distal embolism especially in young adults, with a high rate of complications, morbidities, and mortalities. Mural thrombi are thrombi that attach to the wall of a blood vessel and cardiac chamber. Most. What Is A Mural Thrombus Aorta.
From med.emory.edu
Ultrasound Images Aorta Emory School of Medicine What Is A Mural Thrombus Aorta Thoracic aortic mural thrombus (tamt) of the descending aorta is rare but can result in dramatic embolic events. Mural thrombi are thrombi that attach to the wall of a blood vessel and cardiac chamber. An aortic thrombosis (also known as a plural thrombosis) is when a blood clot blocks the main artery (aorta) that carries blood away from your heart.. What Is A Mural Thrombus Aorta.
From www.pinterest.com
Types of thrombosis Stock Vector 16334997 Thrombosis What Is A Mural Thrombus Aorta Aortic mural thrombus in a nonaneurysmal minimally atherosclerotic or normal aorta is a rare clinical entity and an. Primary aortic mural thrombus (pamt) is a rare condition responsible for distal embolism especially in young adults, with a high rate of complications, morbidities, and mortalities. Thoracic aortic mural thrombus (tamt) of the descending aorta is rare but can result in dramatic. What Is A Mural Thrombus Aorta.
From angiologist.com
Mural Thrombus Diagnosis and Treatment Options What Is A Mural Thrombus Aorta Aortic mural thrombus in a nonaneurysmal minimally atherosclerotic or normal aorta is a rare clinical entity and an. A mural aortic thrombus may form with aortic dissection, aortic aneurysm, malignancy, and blood disorders and is rarely seen in a healthy. Mural thrombus occurrence in a normal or minimally atherosclerotic. Thoracic aortic mural thrombus (tamt) of the descending aorta is rare. What Is A Mural Thrombus Aorta.
From www.youtube.com
Heart Myocardial infarction with mural thrombus (Gross pathology What Is A Mural Thrombus Aorta Most information is available for tgfbr1 and tgfbr2 pathogenic variants. 1,2 patients with tgfbr1 and tgfbr2 variants are at risk of type a aortic dissection at younger. Aortic mural thrombus in a nonaneurysmal minimally atherosclerotic or normal aorta is a rare clinical entity and an. Primary aortic mural thrombus (pamt) is a rare condition responsible for distal embolism especially in. What Is A Mural Thrombus Aorta.
From www.ctisus.com
Thrombus Seen in the Aortic Arch Vascular Case Studies CTisus CT What Is A Mural Thrombus Aorta Mural thrombi are thrombi that attach to the wall of a blood vessel and cardiac chamber. Most information is available for tgfbr1 and tgfbr2 pathogenic variants. Thoracic aortic mural thrombus (tamt) of the descending aorta is rare but can result in dramatic embolic events. Aortic mural thrombus in a nonaneurysmal minimally atherosclerotic or normal aorta is a rare clinical entity. What Is A Mural Thrombus Aorta.
From www.heartlungcirc.org
A Case of Aortic Mural Thrombus in the Absence of Atherosclerotic or What Is A Mural Thrombus Aorta An aortic thrombosis (also known as a plural thrombosis) is when a blood clot blocks the main artery (aorta) that carries blood away from your heart. A mural aortic thrombus may form with aortic dissection, aortic aneurysm, malignancy, and blood disorders and is rarely seen in a healthy. Thoracic aortic mural thrombus (tamt) of the descending aorta is rare but. What Is A Mural Thrombus Aorta.
From www.mdpi.com
Diagnostics Free FullText SingleCenter Experience with What Is A Mural Thrombus Aorta Mural thrombi are thrombi that attach to the wall of a blood vessel and cardiac chamber. Aortic mural thrombus in a nonaneurysmal minimally atherosclerotic or normal aorta is a rare clinical entity and an. A mural aortic thrombus may form with aortic dissection, aortic aneurysm, malignancy, and blood disorders and is rarely seen in a healthy. Most information is available. What Is A Mural Thrombus Aorta.
From l-ifeofmyown.blogspot.com
Mural Thrombus Aorta lifeofmyown What Is A Mural Thrombus Aorta A mural aortic thrombus may form with aortic dissection, aortic aneurysm, malignancy, and blood disorders and is rarely seen in a healthy. Thoracic aortic mural thrombus (tamt) of the descending aorta is rare but can result in dramatic embolic events. Primary aortic mural thrombus (pamt) is a rare condition responsible for distal embolism especially in young adults, with a high. What Is A Mural Thrombus Aorta.
From l-ifeofmyown.blogspot.com
Mural Thrombus Aorta lifeofmyown What Is A Mural Thrombus Aorta Aortic mural thrombus in a nonaneurysmal minimally atherosclerotic or normal aorta is a rare clinical entity and an. Primary aortic mural thrombus (pamt) is a rare condition responsible for distal embolism especially in young adults, with a high rate of complications, morbidities, and mortalities. Mural thrombi are thrombi that attach to the wall of a blood vessel and cardiac chamber.. What Is A Mural Thrombus Aorta.
From www.jvscit.org
Percutaneous thrombectomy of mural aortic thrombus using intravascular What Is A Mural Thrombus Aorta A mural aortic thrombus may form with aortic dissection, aortic aneurysm, malignancy, and blood disorders and is rarely seen in a healthy. Mural thrombus occurrence in a normal or minimally atherosclerotic. 1,2 patients with tgfbr1 and tgfbr2 variants are at risk of type a aortic dissection at younger. Most information is available for tgfbr1 and tgfbr2 pathogenic variants. Mural thrombi. What Is A Mural Thrombus Aorta.
From www.pinterest.com
Thrombus on the Aortic Valve / Case study, Cardiac, Vascular What Is A Mural Thrombus Aorta Mural thrombus occurrence in a normal or minimally atherosclerotic. Primary aortic mural thrombus (pamt) is a rare condition responsible for distal embolism especially in young adults, with a high rate of complications, morbidities, and mortalities. Mural thrombi are thrombi that attach to the wall of a blood vessel and cardiac chamber. Most information is available for tgfbr1 and tgfbr2 pathogenic. What Is A Mural Thrombus Aorta.
From symposium.scvs.org
SCVS Endovascular Stent Graft Repair of Thoracic Aortic Mural What Is A Mural Thrombus Aorta A mural aortic thrombus may form with aortic dissection, aortic aneurysm, malignancy, and blood disorders and is rarely seen in a healthy. Thoracic aortic mural thrombus (tamt) of the descending aorta is rare but can result in dramatic embolic events. Mural thrombi are thrombi that attach to the wall of a blood vessel and cardiac chamber. 1,2 patients with tgfbr1. What Is A Mural Thrombus Aorta.
From www.pinterest.com
Mural thrombus in aneurysmal section of lower abdominal aorta Abdominal What Is A Mural Thrombus Aorta Mural thrombi are thrombi that attach to the wall of a blood vessel and cardiac chamber. Most information is available for tgfbr1 and tgfbr2 pathogenic variants. Mural thrombus occurrence in a normal or minimally atherosclerotic. Thoracic aortic mural thrombus (tamt) of the descending aorta is rare but can result in dramatic embolic events. Primary aortic mural thrombus (pamt) is a. What Is A Mural Thrombus Aorta.
From radrounds.com
Aortic Mural Hematoma radRounds Radiology Network What Is A Mural Thrombus Aorta A mural aortic thrombus may form with aortic dissection, aortic aneurysm, malignancy, and blood disorders and is rarely seen in a healthy. An aortic thrombosis (also known as a plural thrombosis) is when a blood clot blocks the main artery (aorta) that carries blood away from your heart. Mural thrombus occurrence in a normal or minimally atherosclerotic. Mural thrombi are. What Is A Mural Thrombus Aorta.
From casereports.bmj.com
Aortic mural thrombus visualised on transoesophageal echocardiography What Is A Mural Thrombus Aorta Mural thrombus occurrence in a normal or minimally atherosclerotic. A mural aortic thrombus may form with aortic dissection, aortic aneurysm, malignancy, and blood disorders and is rarely seen in a healthy. 1,2 patients with tgfbr1 and tgfbr2 variants are at risk of type a aortic dissection at younger. Mural thrombi are thrombi that attach to the wall of a blood. What Is A Mural Thrombus Aorta.
From www.allhealthpost.com
Mural Thrombus Introduction, Causes, Diagnosis, Treatment What Is A Mural Thrombus Aorta Most information is available for tgfbr1 and tgfbr2 pathogenic variants. 1,2 patients with tgfbr1 and tgfbr2 variants are at risk of type a aortic dissection at younger. A mural aortic thrombus may form with aortic dissection, aortic aneurysm, malignancy, and blood disorders and is rarely seen in a healthy. Aortic mural thrombus in a nonaneurysmal minimally atherosclerotic or normal aorta. What Is A Mural Thrombus Aorta.
From casereports.bmj.com
Large aortic arch mural thrombus in nonatherosclerotic thoracic aorta What Is A Mural Thrombus Aorta An aortic thrombosis (also known as a plural thrombosis) is when a blood clot blocks the main artery (aorta) that carries blood away from your heart. 1,2 patients with tgfbr1 and tgfbr2 variants are at risk of type a aortic dissection at younger. Most information is available for tgfbr1 and tgfbr2 pathogenic variants. Aortic mural thrombus in a nonaneurysmal minimally. What Is A Mural Thrombus Aorta.
From www.cureus.com
CocaineInduced Ascending Aortic Thrombus Cureus What Is A Mural Thrombus Aorta Aortic mural thrombus in a nonaneurysmal minimally atherosclerotic or normal aorta is a rare clinical entity and an. Mural thrombus occurrence in a normal or minimally atherosclerotic. A mural aortic thrombus may form with aortic dissection, aortic aneurysm, malignancy, and blood disorders and is rarely seen in a healthy. Thoracic aortic mural thrombus (tamt) of the descending aorta is rare. What Is A Mural Thrombus Aorta.
From dreamstime.com
Mural Thrombus Stock Photography Image 25621312 What Is A Mural Thrombus Aorta Mural thrombus occurrence in a normal or minimally atherosclerotic. 1,2 patients with tgfbr1 and tgfbr2 variants are at risk of type a aortic dissection at younger. Most information is available for tgfbr1 and tgfbr2 pathogenic variants. A mural aortic thrombus may form with aortic dissection, aortic aneurysm, malignancy, and blood disorders and is rarely seen in a healthy. Aortic mural. What Is A Mural Thrombus Aorta.
From www.semanticscholar.org
Figure 1 from Aortic intramural hematoma Importance of advanced MDCT What Is A Mural Thrombus Aorta A mural aortic thrombus may form with aortic dissection, aortic aneurysm, malignancy, and blood disorders and is rarely seen in a healthy. Mural thrombi are thrombi that attach to the wall of a blood vessel and cardiac chamber. Mural thrombus occurrence in a normal or minimally atherosclerotic. Primary aortic mural thrombus (pamt) is a rare condition responsible for distal embolism. What Is A Mural Thrombus Aorta.
From www.revportcardiol.org
Mural thrombus and thoracic aortic aneurysm An unusual association What Is A Mural Thrombus Aorta An aortic thrombosis (also known as a plural thrombosis) is when a blood clot blocks the main artery (aorta) that carries blood away from your heart. Mural thrombus occurrence in a normal or minimally atherosclerotic. Mural thrombi are thrombi that attach to the wall of a blood vessel and cardiac chamber. Aortic mural thrombus in a nonaneurysmal minimally atherosclerotic or. What Is A Mural Thrombus Aorta.
From www.researchgate.net
Type IIa primary aortic mural thrombus (PAMT). a and b, Preoperative What Is A Mural Thrombus Aorta Mural thrombi are thrombi that attach to the wall of a blood vessel and cardiac chamber. An aortic thrombosis (also known as a plural thrombosis) is when a blood clot blocks the main artery (aorta) that carries blood away from your heart. A mural aortic thrombus may form with aortic dissection, aortic aneurysm, malignancy, and blood disorders and is rarely. What Is A Mural Thrombus Aorta.
From netpatientfoundation.org
Apical Mural Thrombus Net Patient Foundation What Is A Mural Thrombus Aorta An aortic thrombosis (also known as a plural thrombosis) is when a blood clot blocks the main artery (aorta) that carries blood away from your heart. A mural aortic thrombus may form with aortic dissection, aortic aneurysm, malignancy, and blood disorders and is rarely seen in a healthy. Aortic mural thrombus in a nonaneurysmal minimally atherosclerotic or normal aorta is. What Is A Mural Thrombus Aorta.
From www.revespcardiol.org
Leriche's Syndrome and Thoracic Aortic Mural Thrombus Revista What Is A Mural Thrombus Aorta Mural thrombus occurrence in a normal or minimally atherosclerotic. Primary aortic mural thrombus (pamt) is a rare condition responsible for distal embolism especially in young adults, with a high rate of complications, morbidities, and mortalities. Mural thrombi are thrombi that attach to the wall of a blood vessel and cardiac chamber. Aortic mural thrombus in a nonaneurysmal minimally atherosclerotic or. What Is A Mural Thrombus Aorta.
From www.researchgate.net
Classification of primary aortic mural thrombus. Download Scientific What Is A Mural Thrombus Aorta A mural aortic thrombus may form with aortic dissection, aortic aneurysm, malignancy, and blood disorders and is rarely seen in a healthy. An aortic thrombosis (also known as a plural thrombosis) is when a blood clot blocks the main artery (aorta) that carries blood away from your heart. Most information is available for tgfbr1 and tgfbr2 pathogenic variants. Aortic mural. What Is A Mural Thrombus Aorta.
From www.researchgate.net
CT angiogram Irregular mural thrombus seen in distal abdominal aorta What Is A Mural Thrombus Aorta Mural thrombus occurrence in a normal or minimally atherosclerotic. Primary aortic mural thrombus (pamt) is a rare condition responsible for distal embolism especially in young adults, with a high rate of complications, morbidities, and mortalities. An aortic thrombosis (also known as a plural thrombosis) is when a blood clot blocks the main artery (aorta) that carries blood away from your. What Is A Mural Thrombus Aorta.
From angiologist.com
Mural Thrombus Diagnosis and Treatment Options What Is A Mural Thrombus Aorta Mural thrombi are thrombi that attach to the wall of a blood vessel and cardiac chamber. Primary aortic mural thrombus (pamt) is a rare condition responsible for distal embolism especially in young adults, with a high rate of complications, morbidities, and mortalities. Thoracic aortic mural thrombus (tamt) of the descending aorta is rare but can result in dramatic embolic events.. What Is A Mural Thrombus Aorta.
From www.researchgate.net
CT angiography revealing massive mural thrombus in the descending What Is A Mural Thrombus Aorta Mural thrombi are thrombi that attach to the wall of a blood vessel and cardiac chamber. An aortic thrombosis (also known as a plural thrombosis) is when a blood clot blocks the main artery (aorta) that carries blood away from your heart. Primary aortic mural thrombus (pamt) is a rare condition responsible for distal embolism especially in young adults, with. What Is A Mural Thrombus Aorta.
From l-ifeofmyown.blogspot.com
Mural Thrombus Aorta lifeofmyown What Is A Mural Thrombus Aorta Primary aortic mural thrombus (pamt) is a rare condition responsible for distal embolism especially in young adults, with a high rate of complications, morbidities, and mortalities. 1,2 patients with tgfbr1 and tgfbr2 variants are at risk of type a aortic dissection at younger. Thoracic aortic mural thrombus (tamt) of the descending aorta is rare but can result in dramatic embolic. What Is A Mural Thrombus Aorta.