Underbite Treatment Without Surgery . generally, orthodontists can fix an underbite without resorting to more invasive measures like surgery. These typically involve orthodontic appliances,. orthodontic treatment, such as braces, is a common approach to fix underbites. learn about the factors that cause underbite, a dental condition where lower teeth extend outward farther than upper teeth. there's no need to let a common orthodontic problem like an underbite stop you from smiling. adults can be successfully treated for underbite, but treatment often involves surgery. Side effects of an underbite. Braces apply consistent pressure to move the. While some underbites don't cause. explore our innovative underbite correction in 8 days without surgery,.
from www.youtube.com
learn about the factors that cause underbite, a dental condition where lower teeth extend outward farther than upper teeth. Side effects of an underbite. orthodontic treatment, such as braces, is a common approach to fix underbites. adults can be successfully treated for underbite, but treatment often involves surgery. explore our innovative underbite correction in 8 days without surgery,. These typically involve orthodontic appliances,. Braces apply consistent pressure to move the. generally, orthodontists can fix an underbite without resorting to more invasive measures like surgery. there's no need to let a common orthodontic problem like an underbite stop you from smiling. While some underbites don't cause.
How To Fix An UNDERBITE Without Surgery! YouTube
Underbite Treatment Without Surgery explore our innovative underbite correction in 8 days without surgery,. Braces apply consistent pressure to move the. These typically involve orthodontic appliances,. there's no need to let a common orthodontic problem like an underbite stop you from smiling. learn about the factors that cause underbite, a dental condition where lower teeth extend outward farther than upper teeth. Side effects of an underbite. explore our innovative underbite correction in 8 days without surgery,. adults can be successfully treated for underbite, but treatment often involves surgery. While some underbites don't cause. orthodontic treatment, such as braces, is a common approach to fix underbites. generally, orthodontists can fix an underbite without resorting to more invasive measures like surgery.
From iinjuliana21.blogspot.com
How To Fix Underbite Without Surgery Underbite Treatments Usually Underbite Treatment Without Surgery These typically involve orthodontic appliances,. adults can be successfully treated for underbite, but treatment often involves surgery. generally, orthodontists can fix an underbite without resorting to more invasive measures like surgery. orthodontic treatment, such as braces, is a common approach to fix underbites. explore our innovative underbite correction in 8 days without surgery,. Side effects of. Underbite Treatment Without Surgery.
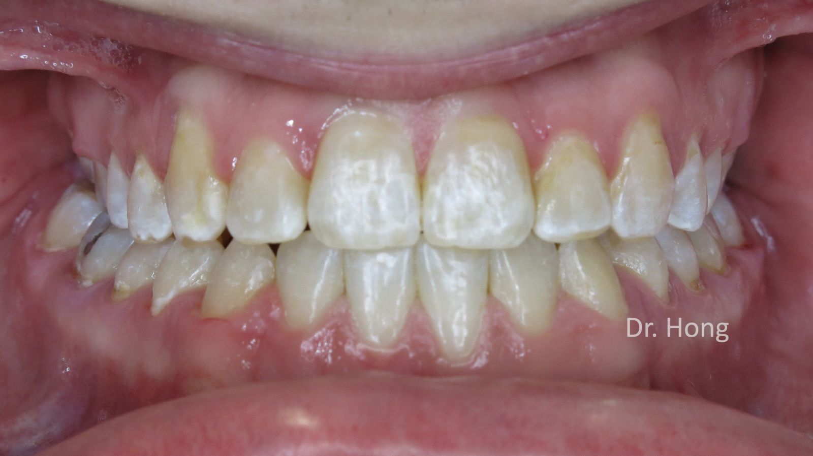
From www.ismilespecialists.com
Underbite correction without surgery in Sugar Land and Houston Underbite Treatment Without Surgery learn about the factors that cause underbite, a dental condition where lower teeth extend outward farther than upper teeth. adults can be successfully treated for underbite, but treatment often involves surgery. generally, orthodontists can fix an underbite without resorting to more invasive measures like surgery. While some underbites don't cause. orthodontic treatment, such as braces, is. Underbite Treatment Without Surgery.
From www.vancouverorthodontist.com
NonSurgical & NonExtraction Treatment Oakridge Orthodontics Underbite Treatment Without Surgery While some underbites don't cause. learn about the factors that cause underbite, a dental condition where lower teeth extend outward farther than upper teeth. Braces apply consistent pressure to move the. adults can be successfully treated for underbite, but treatment often involves surgery. explore our innovative underbite correction in 8 days without surgery,. generally, orthodontists can. Underbite Treatment Without Surgery.
From www.ismilespecialists.com
Underbite correction without surgery in Sugar Land and Houston Underbite Treatment Without Surgery These typically involve orthodontic appliances,. Braces apply consistent pressure to move the. learn about the factors that cause underbite, a dental condition where lower teeth extend outward farther than upper teeth. generally, orthodontists can fix an underbite without resorting to more invasive measures like surgery. adults can be successfully treated for underbite, but treatment often involves surgery.. Underbite Treatment Without Surgery.
From www.faceliftdentistry.com
Facelift Dentistry Before and After Photos Underbite Treatment Without Surgery generally, orthodontists can fix an underbite without resorting to more invasive measures like surgery. While some underbites don't cause. These typically involve orthodontic appliances,. there's no need to let a common orthodontic problem like an underbite stop you from smiling. Braces apply consistent pressure to move the. orthodontic treatment, such as braces, is a common approach to. Underbite Treatment Without Surgery.
From www.faceliftdentistry.com
Underbite Correction No Drilling, No Surgery, In 3 Weeks Underbite Treatment Without Surgery While some underbites don't cause. learn about the factors that cause underbite, a dental condition where lower teeth extend outward farther than upper teeth. generally, orthodontists can fix an underbite without resorting to more invasive measures like surgery. adults can be successfully treated for underbite, but treatment often involves surgery. Side effects of an underbite. explore. Underbite Treatment Without Surgery.
From www.faceliftdentistry.com
Underbite Correction, No Surgery, No Braces, Done in a Month Underbite Treatment Without Surgery Side effects of an underbite. These typically involve orthodontic appliances,. learn about the factors that cause underbite, a dental condition where lower teeth extend outward farther than upper teeth. adults can be successfully treated for underbite, but treatment often involves surgery. there's no need to let a common orthodontic problem like an underbite stop you from smiling.. Underbite Treatment Without Surgery.
From www.faceliftdentistry.com
Underbite With Open Bite Correction, No Surgery! Underbite Treatment Without Surgery While some underbites don't cause. Side effects of an underbite. These typically involve orthodontic appliances,. explore our innovative underbite correction in 8 days without surgery,. adults can be successfully treated for underbite, but treatment often involves surgery. generally, orthodontists can fix an underbite without resorting to more invasive measures like surgery. orthodontic treatment, such as braces,. Underbite Treatment Without Surgery.
From homemade.ftempo.com
How To Fix An Underbite At Home Homemade Ftempo Underbite Treatment Without Surgery explore our innovative underbite correction in 8 days without surgery,. there's no need to let a common orthodontic problem like an underbite stop you from smiling. While some underbites don't cause. Side effects of an underbite. These typically involve orthodontic appliances,. orthodontic treatment, such as braces, is a common approach to fix underbites. Braces apply consistent pressure. Underbite Treatment Without Surgery.
From www.faceliftdentistry.com
Alternative Underbite Treatment No Surgery or Braces Underbite Treatment Without Surgery orthodontic treatment, such as braces, is a common approach to fix underbites. These typically involve orthodontic appliances,. explore our innovative underbite correction in 8 days without surgery,. learn about the factors that cause underbite, a dental condition where lower teeth extend outward farther than upper teeth. there's no need to let a common orthodontic problem like. Underbite Treatment Without Surgery.
From www.faceliftdentistry.com
Before and After Photos Bite Correction without Surgery or Braces Underbite Treatment Without Surgery explore our innovative underbite correction in 8 days without surgery,. orthodontic treatment, such as braces, is a common approach to fix underbites. adults can be successfully treated for underbite, but treatment often involves surgery. Braces apply consistent pressure to move the. These typically involve orthodontic appliances,. Side effects of an underbite. learn about the factors that. Underbite Treatment Without Surgery.
From juni-rhodesianridgeback.blogspot.com
How To Fix Underbite Naturally How To Correct Overbite Without Underbite Treatment Without Surgery generally, orthodontists can fix an underbite without resorting to more invasive measures like surgery. While some underbites don't cause. These typically involve orthodontic appliances,. Braces apply consistent pressure to move the. there's no need to let a common orthodontic problem like an underbite stop you from smiling. adults can be successfully treated for underbite, but treatment often. Underbite Treatment Without Surgery.
From www.konigdds.com
Can I Fix My Unattractive Underbite Without Surgery Konig Center for Underbite Treatment Without Surgery Braces apply consistent pressure to move the. While some underbites don't cause. there's no need to let a common orthodontic problem like an underbite stop you from smiling. These typically involve orthodontic appliances,. orthodontic treatment, such as braces, is a common approach to fix underbites. generally, orthodontists can fix an underbite without resorting to more invasive measures. Underbite Treatment Without Surgery.
From www.faceliftdentistry.com
Underbite Correction, No Surgery, No Braces, Done in a Month Underbite Treatment Without Surgery adults can be successfully treated for underbite, but treatment often involves surgery. orthodontic treatment, such as braces, is a common approach to fix underbites. These typically involve orthodontic appliances,. learn about the factors that cause underbite, a dental condition where lower teeth extend outward farther than upper teeth. Braces apply consistent pressure to move the. Side effects. Underbite Treatment Without Surgery.
From www.faceliftdentistry.com
Underbite Correction, No Surgery or Braces in 8Days Underbite Treatment Without Surgery explore our innovative underbite correction in 8 days without surgery,. While some underbites don't cause. These typically involve orthodontic appliances,. Side effects of an underbite. Braces apply consistent pressure to move the. learn about the factors that cause underbite, a dental condition where lower teeth extend outward farther than upper teeth. orthodontic treatment, such as braces, is. Underbite Treatment Without Surgery.
From www.faceliftdentistry.com
Underbites Before and After Treatment Photos and Videos Underbite Treatment Without Surgery learn about the factors that cause underbite, a dental condition where lower teeth extend outward farther than upper teeth. adults can be successfully treated for underbite, but treatment often involves surgery. orthodontic treatment, such as braces, is a common approach to fix underbites. While some underbites don't cause. explore our innovative underbite correction in 8 days. Underbite Treatment Without Surgery.
From www.youtube.com
Underbite Alternative Treatment without Surgery or Braces YouTube Underbite Treatment Without Surgery explore our innovative underbite correction in 8 days without surgery,. learn about the factors that cause underbite, a dental condition where lower teeth extend outward farther than upper teeth. Braces apply consistent pressure to move the. there's no need to let a common orthodontic problem like an underbite stop you from smiling. adults can be successfully. Underbite Treatment Without Surgery.
From www.flickr.com
Underbite treatment without surgery Lawrenceville, GA Underbite Treatment Without Surgery there's no need to let a common orthodontic problem like an underbite stop you from smiling. generally, orthodontists can fix an underbite without resorting to more invasive measures like surgery. Side effects of an underbite. learn about the factors that cause underbite, a dental condition where lower teeth extend outward farther than upper teeth. adults can. Underbite Treatment Without Surgery.
From www.alignerco.com
Underbite Can You Fix It Without Underbite Surgery? ALIGNERCO Underbite Treatment Without Surgery generally, orthodontists can fix an underbite without resorting to more invasive measures like surgery. These typically involve orthodontic appliances,. While some underbites don't cause. learn about the factors that cause underbite, a dental condition where lower teeth extend outward farther than upper teeth. Side effects of an underbite. Braces apply consistent pressure to move the. orthodontic treatment,. Underbite Treatment Without Surgery.
From www.faceliftdentistry.com
Alternative Underbite Treatment No Surgery or Braces Underbite Treatment Without Surgery generally, orthodontists can fix an underbite without resorting to more invasive measures like surgery. adults can be successfully treated for underbite, but treatment often involves surgery. learn about the factors that cause underbite, a dental condition where lower teeth extend outward farther than upper teeth. orthodontic treatment, such as braces, is a common approach to fix. Underbite Treatment Without Surgery.
From www.youtube.com
underbite correction without surgery by Dr. Ben Fong YouTube Underbite Treatment Without Surgery generally, orthodontists can fix an underbite without resorting to more invasive measures like surgery. These typically involve orthodontic appliances,. Side effects of an underbite. there's no need to let a common orthodontic problem like an underbite stop you from smiling. Braces apply consistent pressure to move the. explore our innovative underbite correction in 8 days without surgery,.. Underbite Treatment Without Surgery.
From www.youtube.com
5 Exercises Fix Underbite without surgery, fix protruding chin, reduce Underbite Treatment Without Surgery adults can be successfully treated for underbite, but treatment often involves surgery. These typically involve orthodontic appliances,. there's no need to let a common orthodontic problem like an underbite stop you from smiling. explore our innovative underbite correction in 8 days without surgery,. learn about the factors that cause underbite, a dental condition where lower teeth. Underbite Treatment Without Surgery.
From www.flickr.com
Underbite treatment without extraction nor surgery Flickr Underbite Treatment Without Surgery Side effects of an underbite. These typically involve orthodontic appliances,. adults can be successfully treated for underbite, but treatment often involves surgery. explore our innovative underbite correction in 8 days without surgery,. While some underbites don't cause. learn about the factors that cause underbite, a dental condition where lower teeth extend outward farther than upper teeth. Braces. Underbite Treatment Without Surgery.
From www.faceliftdentistry.com
Underbite With Open Bite Correction, No Surgery! Underbite Treatment Without Surgery These typically involve orthodontic appliances,. orthodontic treatment, such as braces, is a common approach to fix underbites. learn about the factors that cause underbite, a dental condition where lower teeth extend outward farther than upper teeth. Braces apply consistent pressure to move the. While some underbites don't cause. Side effects of an underbite. explore our innovative underbite. Underbite Treatment Without Surgery.
From iinjuliana21.blogspot.com
How To Fix Underbite Without Surgery Underbite Treatments Usually Underbite Treatment Without Surgery adults can be successfully treated for underbite, but treatment often involves surgery. explore our innovative underbite correction in 8 days without surgery,. Braces apply consistent pressure to move the. While some underbites don't cause. Side effects of an underbite. generally, orthodontists can fix an underbite without resorting to more invasive measures like surgery. learn about the. Underbite Treatment Without Surgery.
From dentistscolumbusoh.com
I GOT ADULT BRACES FOR MY UNDERBITE WITHOUT SURGERY 2018! Dentists Underbite Treatment Without Surgery While some underbites don't cause. adults can be successfully treated for underbite, but treatment often involves surgery. generally, orthodontists can fix an underbite without resorting to more invasive measures like surgery. learn about the factors that cause underbite, a dental condition where lower teeth extend outward farther than upper teeth. there's no need to let a. Underbite Treatment Without Surgery.
From www.faceliftdentistry.com
Underbite Correction with VENLAY Restorations Underbite Treatment Without Surgery Braces apply consistent pressure to move the. learn about the factors that cause underbite, a dental condition where lower teeth extend outward farther than upper teeth. orthodontic treatment, such as braces, is a common approach to fix underbites. generally, orthodontists can fix an underbite without resorting to more invasive measures like surgery. there's no need to. Underbite Treatment Without Surgery.
From juni-rhodesianridgeback.blogspot.com
How To Fix Underbite Naturally How To Correct Overbite Without Underbite Treatment Without Surgery adults can be successfully treated for underbite, but treatment often involves surgery. generally, orthodontists can fix an underbite without resorting to more invasive measures like surgery. explore our innovative underbite correction in 8 days without surgery,. While some underbites don't cause. Side effects of an underbite. Braces apply consistent pressure to move the. there's no need. Underbite Treatment Without Surgery.
From www.faceliftdentistry.com
Before and After Photos Bite Correction without Surgery or Braces Underbite Treatment Without Surgery While some underbites don't cause. These typically involve orthodontic appliances,. orthodontic treatment, such as braces, is a common approach to fix underbites. adults can be successfully treated for underbite, but treatment often involves surgery. there's no need to let a common orthodontic problem like an underbite stop you from smiling. explore our innovative underbite correction in. Underbite Treatment Without Surgery.
From www.youtube.com
Correcting Underbites Without Surgery or Complex Treatment Plans YouTube Underbite Treatment Without Surgery Braces apply consistent pressure to move the. While some underbites don't cause. orthodontic treatment, such as braces, is a common approach to fix underbites. adults can be successfully treated for underbite, but treatment often involves surgery. there's no need to let a common orthodontic problem like an underbite stop you from smiling. generally, orthodontists can fix. Underbite Treatment Without Surgery.
From youbraces.com
Underbite Fixed using Invisalign without Surgery Passamano Orthodontics Underbite Treatment Without Surgery While some underbites don't cause. orthodontic treatment, such as braces, is a common approach to fix underbites. explore our innovative underbite correction in 8 days without surgery,. Braces apply consistent pressure to move the. adults can be successfully treated for underbite, but treatment often involves surgery. there's no need to let a common orthodontic problem like. Underbite Treatment Without Surgery.
From www.youtube.com
How To Fix An UNDERBITE Without Surgery! YouTube Underbite Treatment Without Surgery learn about the factors that cause underbite, a dental condition where lower teeth extend outward farther than upper teeth. While some underbites don't cause. adults can be successfully treated for underbite, but treatment often involves surgery. there's no need to let a common orthodontic problem like an underbite stop you from smiling. generally, orthodontists can fix. Underbite Treatment Without Surgery.
From www.faceliftdentistry.com
Bite Correction in 8Days, No Drill, Braces, or Surgery Underbite Treatment Without Surgery adults can be successfully treated for underbite, but treatment often involves surgery. generally, orthodontists can fix an underbite without resorting to more invasive measures like surgery. there's no need to let a common orthodontic problem like an underbite stop you from smiling. Side effects of an underbite. While some underbites don't cause. These typically involve orthodontic appliances,.. Underbite Treatment Without Surgery.
From www.konigdds.com
Can I Fix My Unattractive Underbite Without Surgery Konig Center for Underbite Treatment Without Surgery While some underbites don't cause. Side effects of an underbite. generally, orthodontists can fix an underbite without resorting to more invasive measures like surgery. there's no need to let a common orthodontic problem like an underbite stop you from smiling. These typically involve orthodontic appliances,. orthodontic treatment, such as braces, is a common approach to fix underbites.. Underbite Treatment Without Surgery.
From www.ismilespecialists.com
Underbite correction without surgery in Sugar Land and Houston Underbite Treatment Without Surgery While some underbites don't cause. Braces apply consistent pressure to move the. explore our innovative underbite correction in 8 days without surgery,. These typically involve orthodontic appliances,. Side effects of an underbite. there's no need to let a common orthodontic problem like an underbite stop you from smiling. adults can be successfully treated for underbite, but treatment. Underbite Treatment Without Surgery.