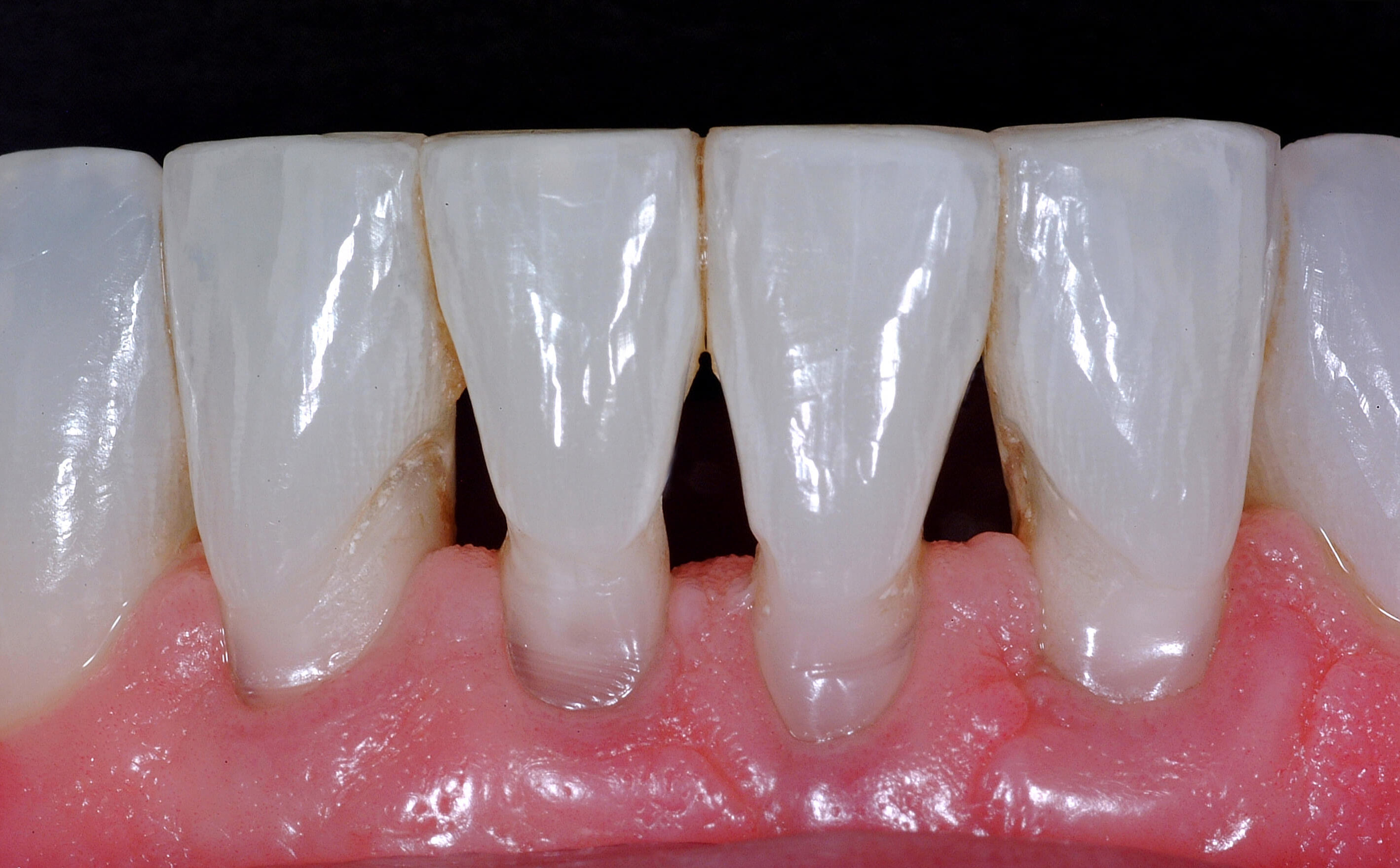
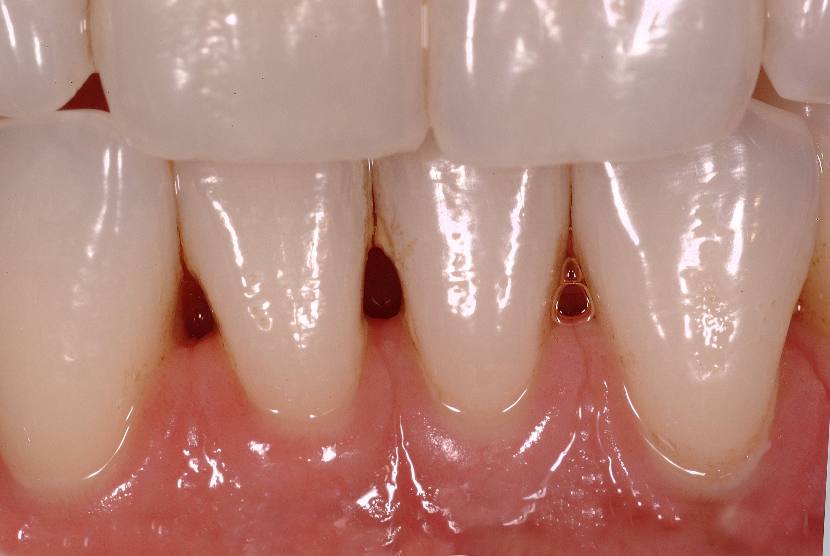
Triangle Between Tooth . This creates a triangular gap between the teeth and gums. In some cases, a little black triangle may appear between teeth as a result of a triangular tooth shape. A dental black triangle occurs when the space between two teeth, also known as an embrasure, is not completely filled by gum tissue. Ultimately what you’re seeing in that space is a. In addition to oral health problems, black triangles can also contribute to oral health. They can vary in size and are a very normal result in orthodontic treatment. Black triangles between your teeth can result from gum recession or bone loss. There are five main reasons behind black triangles on teeth and small teeth gaps between your teeth next to the gums. black triangles between your teeth are also known as “open gingival embrasures.” these gaps are the result of your gum tissue. Also known as black spaces or open gingival embrasures, black triangles occur when there is a visible space between teeth, often near the gumline.
from www.researchgate.net
black triangles between your teeth are also known as “open gingival embrasures.” these gaps are the result of your gum tissue. They can vary in size and are a very normal result in orthodontic treatment. There are five main reasons behind black triangles on teeth and small teeth gaps between your teeth next to the gums. Also known as black spaces or open gingival embrasures, black triangles occur when there is a visible space between teeth, often near the gumline. In addition to oral health problems, black triangles can also contribute to oral health. This creates a triangular gap between the teeth and gums. A dental black triangle occurs when the space between two teeth, also known as an embrasure, is not completely filled by gum tissue. Ultimately what you’re seeing in that space is a. In some cases, a little black triangle may appear between teeth as a result of a triangular tooth shape. Black triangles between your teeth can result from gum recession or bone loss.
Tooth shapes triangular (a), oval (b) and square (c) Download Scientific Diagram
Triangle Between Tooth There are five main reasons behind black triangles on teeth and small teeth gaps between your teeth next to the gums. black triangles between your teeth are also known as “open gingival embrasures.” these gaps are the result of your gum tissue. This creates a triangular gap between the teeth and gums. In some cases, a little black triangle may appear between teeth as a result of a triangular tooth shape. Ultimately what you’re seeing in that space is a. Black triangles between your teeth can result from gum recession or bone loss. A dental black triangle occurs when the space between two teeth, also known as an embrasure, is not completely filled by gum tissue. Also known as black spaces or open gingival embrasures, black triangles occur when there is a visible space between teeth, often near the gumline. They can vary in size and are a very normal result in orthodontic treatment. There are five main reasons behind black triangles on teeth and small teeth gaps between your teeth next to the gums. In addition to oral health problems, black triangles can also contribute to oral health.
From burbankdentalimplants.com
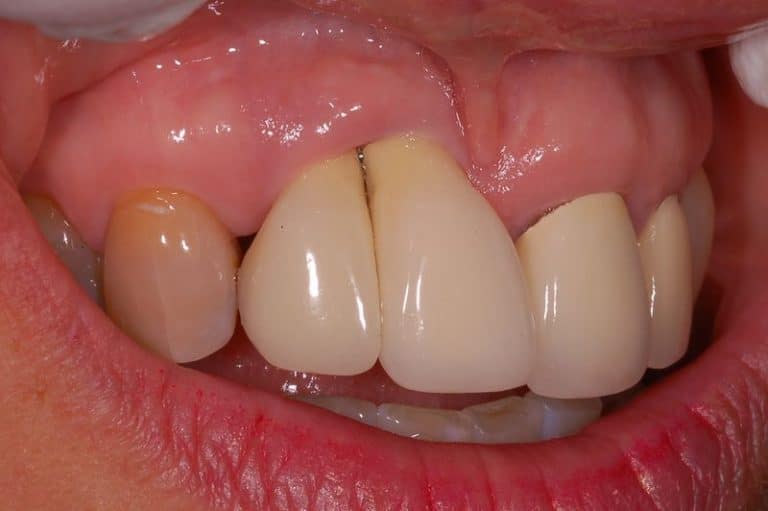
The Triangle of Gums Between Teeth and Implants Triangle Between Tooth Ultimately what you’re seeing in that space is a. Black triangles between your teeth can result from gum recession or bone loss. In some cases, a little black triangle may appear between teeth as a result of a triangular tooth shape. There are five main reasons behind black triangles on teeth and small teeth gaps between your teeth next to. Triangle Between Tooth.
From implantationdentalcenter.com
Black Triangles Dark Spaces Between Your Teeth Dentist Blog Triangle Between Tooth They can vary in size and are a very normal result in orthodontic treatment. There are five main reasons behind black triangles on teeth and small teeth gaps between your teeth next to the gums. In addition to oral health problems, black triangles can also contribute to oral health. This creates a triangular gap between the teeth and gums. Also. Triangle Between Tooth.
From www.orangectdentist.com
Beat the Black Triangle with Bonding Dentist Orange, CT Triangle Between Tooth In addition to oral health problems, black triangles can also contribute to oral health. They can vary in size and are a very normal result in orthodontic treatment. A dental black triangle occurs when the space between two teeth, also known as an embrasure, is not completely filled by gum tissue. Black triangles between your teeth can result from gum. Triangle Between Tooth.
From floridassmiles.com
What is the "Black Triangle" and How is it Treated? West Palm Beach Dentist Triangle Between Tooth They can vary in size and are a very normal result in orthodontic treatment. Also known as black spaces or open gingival embrasures, black triangles occur when there is a visible space between teeth, often near the gumline. This creates a triangular gap between the teeth and gums. Ultimately what you’re seeing in that space is a. A dental black. Triangle Between Tooth.
From optident.co.uk
Closing the Gap in Direct Dentistry Treating Black Triangles Optident Triangle Between Tooth black triangles between your teeth are also known as “open gingival embrasures.” these gaps are the result of your gum tissue. They can vary in size and are a very normal result in orthodontic treatment. There are five main reasons behind black triangles on teeth and small teeth gaps between your teeth next to the gums. A dental black triangle. Triangle Between Tooth.
From www.youtube.com
What Are Those Black Triangles Between the Teeth? YouTube Triangle Between Tooth This creates a triangular gap between the teeth and gums. A dental black triangle occurs when the space between two teeth, also known as an embrasure, is not completely filled by gum tissue. In addition to oral health problems, black triangles can also contribute to oral health. There are five main reasons behind black triangles on teeth and small teeth. Triangle Between Tooth.
From craigvsmithdds.com
Fixing Black Triangles Between Teeth With Bioclear Craig V. Smith DDS FAGD Triangle Between Tooth In some cases, a little black triangle may appear between teeth as a result of a triangular tooth shape. In addition to oral health problems, black triangles can also contribute to oral health. Also known as black spaces or open gingival embrasures, black triangles occur when there is a visible space between teeth, often near the gumline. black triangles between. Triangle Between Tooth.
From www.facialart.com
The ‘Dark Triangle’ Space Between Dental Implants or Teeth The 'Dark Triangle' Space Between Triangle Between Tooth In addition to oral health problems, black triangles can also contribute to oral health. A dental black triangle occurs when the space between two teeth, also known as an embrasure, is not completely filled by gum tissue. Ultimately what you’re seeing in that space is a. This creates a triangular gap between the teeth and gums. In some cases, a. Triangle Between Tooth.
From www.healthline.com
What Are Black Triangles Between Your Teeth? Triangle Between Tooth They can vary in size and are a very normal result in orthodontic treatment. Ultimately what you’re seeing in that space is a. black triangles between your teeth are also known as “open gingival embrasures.” these gaps are the result of your gum tissue. In some cases, a little black triangle may appear between teeth as a result of a. Triangle Between Tooth.
From www.facialart.com
The ‘Dark Triangle’ Space Between Dental Implants or Teeth The 'Dark Triangle' Space Between Triangle Between Tooth They can vary in size and are a very normal result in orthodontic treatment. Ultimately what you’re seeing in that space is a. Also known as black spaces or open gingival embrasures, black triangles occur when there is a visible space between teeth, often near the gumline. black triangles between your teeth are also known as “open gingival embrasures.” these. Triangle Between Tooth.
From www.impressionsorthodontics.com
What causes dark triangles between teeth? — Impressions Orthodontics Triangle Between Tooth Ultimately what you’re seeing in that space is a. In some cases, a little black triangle may appear between teeth as a result of a triangular tooth shape. black triangles between your teeth are also known as “open gingival embrasures.” these gaps are the result of your gum tissue. In addition to oral health problems, black triangles can also contribute. Triangle Between Tooth.
From www.drnemeth.com
What Are Those Black TriangleShaped Spaces Between My Teeth? Triangle Between Tooth There are five main reasons behind black triangles on teeth and small teeth gaps between your teeth next to the gums. Black triangles between your teeth can result from gum recession or bone loss. Ultimately what you’re seeing in that space is a. Also known as black spaces or open gingival embrasures, black triangles occur when there is a visible. Triangle Between Tooth.
From smiledentalclinic.ky
Tooth Anatomy Smile Dental Clinic Triangle Between Tooth There are five main reasons behind black triangles on teeth and small teeth gaps between your teeth next to the gums. Black triangles between your teeth can result from gum recession or bone loss. black triangles between your teeth are also known as “open gingival embrasures.” these gaps are the result of your gum tissue. A dental black triangle occurs. Triangle Between Tooth.
From www.oconeedentalassociates.net
Anatomy of a Tooth Oconee Dental Associates Triangle Between Tooth Also known as black spaces or open gingival embrasures, black triangles occur when there is a visible space between teeth, often near the gumline. A dental black triangle occurs when the space between two teeth, also known as an embrasure, is not completely filled by gum tissue. black triangles between your teeth are also known as “open gingival embrasures.” these. Triangle Between Tooth.
From animalia-life.club
Should My Teeth Always Be Touching Triangle Between Tooth This creates a triangular gap between the teeth and gums. There are five main reasons behind black triangles on teeth and small teeth gaps between your teeth next to the gums. A dental black triangle occurs when the space between two teeth, also known as an embrasure, is not completely filled by gum tissue. black triangles between your teeth are. Triangle Between Tooth.
From www.sarasotadentistry.com
How to Fix Black Triangles in Teeth Sarasota Dentistry Triangle Between Tooth There are five main reasons behind black triangles on teeth and small teeth gaps between your teeth next to the gums. black triangles between your teeth are also known as “open gingival embrasures.” these gaps are the result of your gum tissue. They can vary in size and are a very normal result in orthodontic treatment. Black triangles between your. Triangle Between Tooth.
From www.lynbrooksmiles.com
Black Triangles / Diastemas Lynbrook Smiles Triangle Between Tooth In addition to oral health problems, black triangles can also contribute to oral health. This creates a triangular gap between the teeth and gums. Ultimately what you’re seeing in that space is a. There are five main reasons behind black triangles on teeth and small teeth gaps between your teeth next to the gums. They can vary in size and. Triangle Between Tooth.
From finwise.edu.vn
Albums 90+ Pictures Tooth Bonding Before And After Pictures Sharp 10/2023 Triangle Between Tooth This creates a triangular gap between the teeth and gums. In some cases, a little black triangle may appear between teeth as a result of a triangular tooth shape. black triangles between your teeth are also known as “open gingival embrasures.” these gaps are the result of your gum tissue. Also known as black spaces or open gingival embrasures, black. Triangle Between Tooth.
From kilnlanedental.co.uk
Black Triangle Teeth St. Helens Dentist Kiln Lane Dental Triangle Between Tooth black triangles between your teeth are also known as “open gingival embrasures.” these gaps are the result of your gum tissue. Also known as black spaces or open gingival embrasures, black triangles occur when there is a visible space between teeth, often near the gumline. Black triangles between your teeth can result from gum recession or bone loss. There are. Triangle Between Tooth.
From www.smilesbyhanna.com
How to Fix Triangular Spaces Between Teeth Smiles By Hanna Triangle Between Tooth In addition to oral health problems, black triangles can also contribute to oral health. This creates a triangular gap between the teeth and gums. black triangles between your teeth are also known as “open gingival embrasures.” these gaps are the result of your gum tissue. There are five main reasons behind black triangles on teeth and small teeth gaps between. Triangle Between Tooth.
From www.teethtalkgirl.com
7 Ways To Fix Black Triangles Between Your Teeth Triangle Between Tooth This creates a triangular gap between the teeth and gums. Also known as black spaces or open gingival embrasures, black triangles occur when there is a visible space between teeth, often near the gumline. They can vary in size and are a very normal result in orthodontic treatment. Black triangles between your teeth can result from gum recession or bone. Triangle Between Tooth.
From www.geoffbelldds.com
Why do I have a black triangle between my teeth? Carlsbad's Dentists Bell Family Triangle Between Tooth There are five main reasons behind black triangles on teeth and small teeth gaps between your teeth next to the gums. A dental black triangle occurs when the space between two teeth, also known as an embrasure, is not completely filled by gum tissue. In some cases, a little black triangle may appear between teeth as a result of a. Triangle Between Tooth.
From www.geoffbelldds.com
Why do I have a black triangle between my teeth? Carlsbad's Dentists Bell Family Triangle Between Tooth In some cases, a little black triangle may appear between teeth as a result of a triangular tooth shape. There are five main reasons behind black triangles on teeth and small teeth gaps between your teeth next to the gums. They can vary in size and are a very normal result in orthodontic treatment. black triangles between your teeth are. Triangle Between Tooth.
From www.secondopiniondentaladvice.com
Learn To Read your OWN Dental Xrays! — SODA Triangle Between Tooth Ultimately what you’re seeing in that space is a. Also known as black spaces or open gingival embrasures, black triangles occur when there is a visible space between teeth, often near the gumline. Black triangles between your teeth can result from gum recession or bone loss. They can vary in size and are a very normal result in orthodontic treatment.. Triangle Between Tooth.
From lakeforestdentalarts.com
Black Triangles Between Teeth Triangle Between Tooth They can vary in size and are a very normal result in orthodontic treatment. In addition to oral health problems, black triangles can also contribute to oral health. Also known as black spaces or open gingival embrasures, black triangles occur when there is a visible space between teeth, often near the gumline. There are five main reasons behind black triangles. Triangle Between Tooth.
From www.esthetiquedental.co.uk
Black Triangles Between Teeth and Old Discoloured Fillings Esthetique Dental Triangle Between Tooth black triangles between your teeth are also known as “open gingival embrasures.” these gaps are the result of your gum tissue. There are five main reasons behind black triangles on teeth and small teeth gaps between your teeth next to the gums. In addition to oral health problems, black triangles can also contribute to oral health. This creates a triangular. Triangle Between Tooth.
From www.jorgensenorthodontics.com
What Causes Dark Triangles Between the Teeth? Orthodontics Affordable Care Triangle Between Tooth Ultimately what you’re seeing in that space is a. black triangles between your teeth are also known as “open gingival embrasures.” these gaps are the result of your gum tissue. Also known as black spaces or open gingival embrasures, black triangles occur when there is a visible space between teeth, often near the gumline. Black triangles between your teeth can. Triangle Between Tooth.
From www.straightteethdirect.com
Black Triangles Why they happen and what to do about it Triangle Between Tooth Also known as black spaces or open gingival embrasures, black triangles occur when there is a visible space between teeth, often near the gumline. Black triangles between your teeth can result from gum recession or bone loss. This creates a triangular gap between the teeth and gums. In some cases, a little black triangle may appear between teeth as a. Triangle Between Tooth.
From nypost.com
Dentist shares how to fix 'black triangles' between teeth Triangle Between Tooth They can vary in size and are a very normal result in orthodontic treatment. A dental black triangle occurs when the space between two teeth, also known as an embrasure, is not completely filled by gum tissue. There are five main reasons behind black triangles on teeth and small teeth gaps between your teeth next to the gums. Black triangles. Triangle Between Tooth.
From desertpearldentistry.com
Dental Black Triangles and Their Causes Rancho Mirage CA Desert Pearl Dentistry Triangle Between Tooth black triangles between your teeth are also known as “open gingival embrasures.” these gaps are the result of your gum tissue. In addition to oral health problems, black triangles can also contribute to oral health. Ultimately what you’re seeing in that space is a. There are five main reasons behind black triangles on teeth and small teeth gaps between your. Triangle Between Tooth.
From www.bioclearmatrix.com
Level 3.1, 3.2, & 3.3 Anterior Solutions Advanced Anterior Bioclear Triangle Between Tooth In some cases, a little black triangle may appear between teeth as a result of a triangular tooth shape. Also known as black spaces or open gingival embrasures, black triangles occur when there is a visible space between teeth, often near the gumline. In addition to oral health problems, black triangles can also contribute to oral health. Black triangles between. Triangle Between Tooth.
From www.researchgate.net
Tooth shapes triangular (a), oval (b) and square (c) Download Scientific Diagram Triangle Between Tooth black triangles between your teeth are also known as “open gingival embrasures.” these gaps are the result of your gum tissue. They can vary in size and are a very normal result in orthodontic treatment. This creates a triangular gap between the teeth and gums. In addition to oral health problems, black triangles can also contribute to oral health. In. Triangle Between Tooth.
From www.healthymouthproject.com
Dark Spaces In Between Your Teeth The Healthy Mouth Project Triangle Between Tooth They can vary in size and are a very normal result in orthodontic treatment. Black triangles between your teeth can result from gum recession or bone loss. Ultimately what you’re seeing in that space is a. A dental black triangle occurs when the space between two teeth, also known as an embrasure, is not completely filled by gum tissue. black. Triangle Between Tooth.
From www.healthymouthproject.com
Dark Spaces In Between Your Teeth The Healthy Mouth Project Triangle Between Tooth In addition to oral health problems, black triangles can also contribute to oral health. Ultimately what you’re seeing in that space is a. A dental black triangle occurs when the space between two teeth, also known as an embrasure, is not completely filled by gum tissue. This creates a triangular gap between the teeth and gums. Black triangles between your. Triangle Between Tooth.
From www.impressionsorthodontics.com
What causes dark triangles between teeth? — Impressions Orthodontics Triangle Between Tooth A dental black triangle occurs when the space between two teeth, also known as an embrasure, is not completely filled by gum tissue. In addition to oral health problems, black triangles can also contribute to oral health. This creates a triangular gap between the teeth and gums. There are five main reasons behind black triangles on teeth and small teeth. Triangle Between Tooth.