Fingertip Vasculitis . Learn about vasculitis, how it affects different parts of. Vasculitis symptoms include rash, body aches or discomfort, decreased appetite, fatigue, and fever—among others. Other signs and symptoms of this disease may include numbness and/or tingling in the limbs and raynaud’s phenomenon (a condition in which the distal. Kidney problems (including dark pee or blood in your pee). Vasculitis is the inflammation of blood vessels, leading to decreased blood flow. Blood tests that look for certain antibodies — such as the anti. These may include capillaries, venules, arterioles and lymphatics. Concept of ‘vasculitis as a syndrome’ vasculitis is a syndrome with an array of clinical features as. Fatigue or a general feeling of being sick. It can affect any organ or body part with blood flow and can be dangerous when untreated. A complete blood cell count can tell whether you have enough red blood cells. Cutaneous vasculitis is a group of disorders in which there are inflamed blood vessels in the skin.
from eaom.eu
It can affect any organ or body part with blood flow and can be dangerous when untreated. Vasculitis symptoms include rash, body aches or discomfort, decreased appetite, fatigue, and fever—among others. These may include capillaries, venules, arterioles and lymphatics. Concept of ‘vasculitis as a syndrome’ vasculitis is a syndrome with an array of clinical features as. Vasculitis is the inflammation of blood vessels, leading to decreased blood flow. A complete blood cell count can tell whether you have enough red blood cells. Cutaneous vasculitis is a group of disorders in which there are inflamed blood vessels in the skin. Blood tests that look for certain antibodies — such as the anti. Learn about vasculitis, how it affects different parts of. Kidney problems (including dark pee or blood in your pee).
Oral Lupus Erythematosus European Association of Oral Medicine
Fingertip Vasculitis Blood tests that look for certain antibodies — such as the anti. Blood tests that look for certain antibodies — such as the anti. Other signs and symptoms of this disease may include numbness and/or tingling in the limbs and raynaud’s phenomenon (a condition in which the distal. Cutaneous vasculitis is a group of disorders in which there are inflamed blood vessels in the skin. A complete blood cell count can tell whether you have enough red blood cells. Vasculitis symptoms include rash, body aches or discomfort, decreased appetite, fatigue, and fever—among others. Vasculitis is the inflammation of blood vessels, leading to decreased blood flow. Kidney problems (including dark pee or blood in your pee). These may include capillaries, venules, arterioles and lymphatics. It can affect any organ or body part with blood flow and can be dangerous when untreated. Concept of ‘vasculitis as a syndrome’ vasculitis is a syndrome with an array of clinical features as. Learn about vasculitis, how it affects different parts of. Fatigue or a general feeling of being sick.
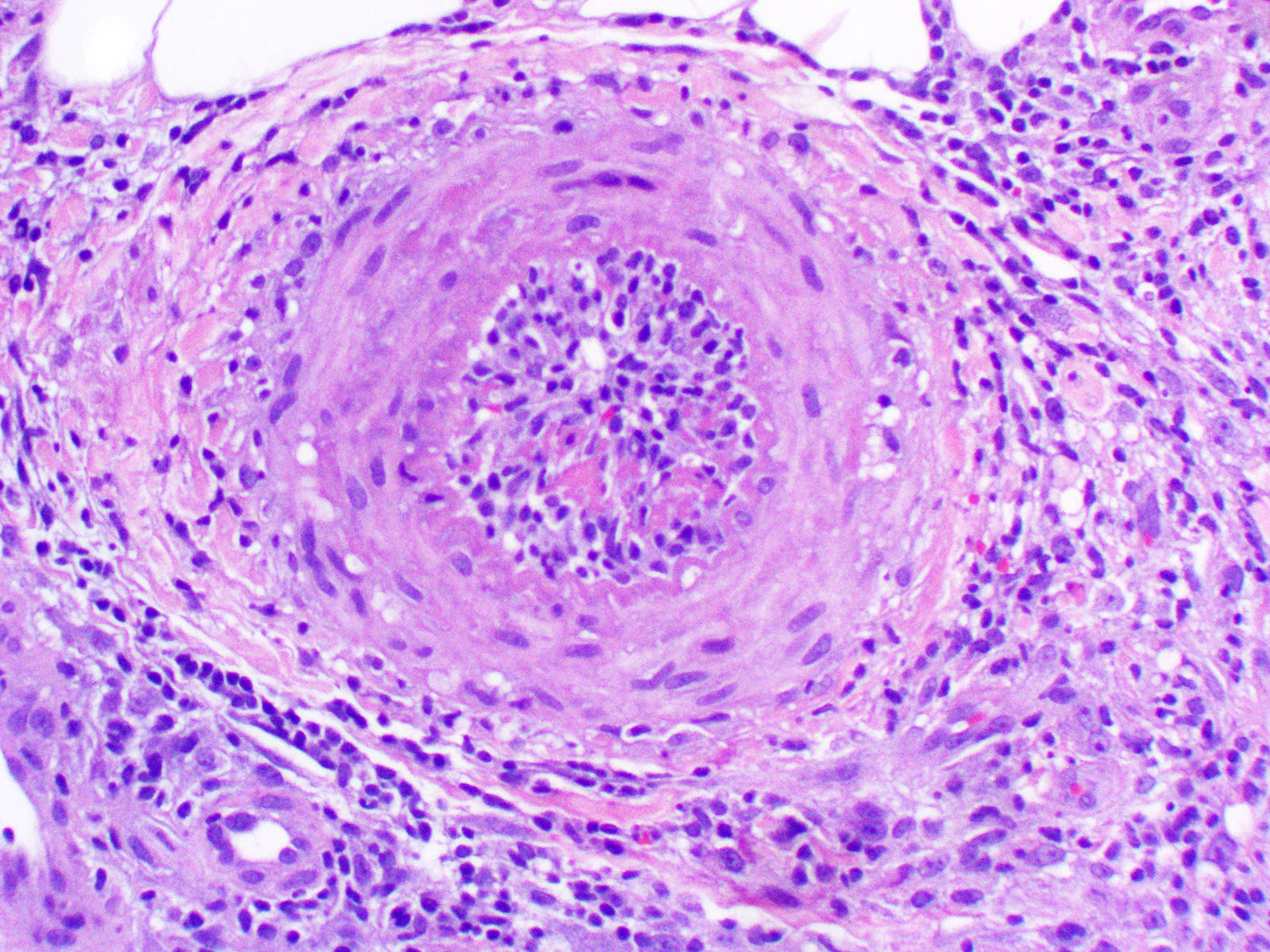
From musculoskeletalkey.com
23 Vasculitis and Related Rashes Musculoskeletal Key Fingertip Vasculitis Other signs and symptoms of this disease may include numbness and/or tingling in the limbs and raynaud’s phenomenon (a condition in which the distal. Blood tests that look for certain antibodies — such as the anti. Learn about vasculitis, how it affects different parts of. Vasculitis symptoms include rash, body aches or discomfort, decreased appetite, fatigue, and fever—among others. It. Fingertip Vasculitis.
From www.gponline.com
Differential diagnoses Conditions of the hands Fingertip Vasculitis Fatigue or a general feeling of being sick. Other signs and symptoms of this disease may include numbness and/or tingling in the limbs and raynaud’s phenomenon (a condition in which the distal. Blood tests that look for certain antibodies — such as the anti. Vasculitis symptoms include rash, body aches or discomfort, decreased appetite, fatigue, and fever—among others. Kidney problems. Fingertip Vasculitis.
From www.clinicaladvisor.com
Case Study Purple Fingertips in an Elderly Woman Clinical Advisor Fingertip Vasculitis Learn about vasculitis, how it affects different parts of. Vasculitis symptoms include rash, body aches or discomfort, decreased appetite, fatigue, and fever—among others. These may include capillaries, venules, arterioles and lymphatics. Fatigue or a general feeling of being sick. Cutaneous vasculitis is a group of disorders in which there are inflamed blood vessels in the skin. A complete blood cell. Fingertip Vasculitis.
From www.researchgate.net
Proinflammatory mechanisms in immune complex vasculitis. Immune Fingertip Vasculitis Vasculitis symptoms include rash, body aches or discomfort, decreased appetite, fatigue, and fever—among others. Fatigue or a general feeling of being sick. Concept of ‘vasculitis as a syndrome’ vasculitis is a syndrome with an array of clinical features as. Vasculitis is the inflammation of blood vessels, leading to decreased blood flow. Kidney problems (including dark pee or blood in your. Fingertip Vasculitis.
From www.gameaio.com
Raynaud的NHS 金宝搏app Fingertip Vasculitis Cutaneous vasculitis is a group of disorders in which there are inflamed blood vessels in the skin. Learn about vasculitis, how it affects different parts of. Kidney problems (including dark pee or blood in your pee). Concept of ‘vasculitis as a syndrome’ vasculitis is a syndrome with an array of clinical features as. It can affect any organ or body. Fingertip Vasculitis.
From queenslandrs.com.au
Connective tissue diseases Queensland Rheumatology Services Fingertip Vasculitis Fatigue or a general feeling of being sick. These may include capillaries, venules, arterioles and lymphatics. Kidney problems (including dark pee or blood in your pee). Cutaneous vasculitis is a group of disorders in which there are inflamed blood vessels in the skin. Vasculitis symptoms include rash, body aches or discomfort, decreased appetite, fatigue, and fever—among others. Vasculitis is the. Fingertip Vasculitis.
From hticenters.com
Vasculitis What you need to know about inflammation of the blood Fingertip Vasculitis Fatigue or a general feeling of being sick. Concept of ‘vasculitis as a syndrome’ vasculitis is a syndrome with an array of clinical features as. Vasculitis is the inflammation of blood vessels, leading to decreased blood flow. These may include capillaries, venules, arterioles and lymphatics. Other signs and symptoms of this disease may include numbness and/or tingling in the limbs. Fingertip Vasculitis.
From www.youtube.com
Vasculitis Pathophysiology Overview YouTube Fingertip Vasculitis A complete blood cell count can tell whether you have enough red blood cells. Cutaneous vasculitis is a group of disorders in which there are inflamed blood vessels in the skin. Learn about vasculitis, how it affects different parts of. Vasculitis symptoms include rash, body aches or discomfort, decreased appetite, fatigue, and fever—among others. Kidney problems (including dark pee or. Fingertip Vasculitis.
From www.pinterest.com
Image result for remicade Arthritis in fingers, Psoriatic arthritis Fingertip Vasculitis Vasculitis is the inflammation of blood vessels, leading to decreased blood flow. Kidney problems (including dark pee or blood in your pee). It can affect any organ or body part with blood flow and can be dangerous when untreated. Concept of ‘vasculitis as a syndrome’ vasculitis is a syndrome with an array of clinical features as. Other signs and symptoms. Fingertip Vasculitis.
From www.verywellhealth.com
Vasculitis What You Need to Know Fingertip Vasculitis It can affect any organ or body part with blood flow and can be dangerous when untreated. Learn about vasculitis, how it affects different parts of. These may include capillaries, venules, arterioles and lymphatics. Concept of ‘vasculitis as a syndrome’ vasculitis is a syndrome with an array of clinical features as. Fatigue or a general feeling of being sick. Blood. Fingertip Vasculitis.
From www.researchgate.net
ANCAassociated smallvessel vasculitis. (a) MPA of the glomerulus Fingertip Vasculitis Learn about vasculitis, how it affects different parts of. Other signs and symptoms of this disease may include numbness and/or tingling in the limbs and raynaud’s phenomenon (a condition in which the distal. These may include capillaries, venules, arterioles and lymphatics. Fatigue or a general feeling of being sick. Vasculitis is the inflammation of blood vessels, leading to decreased blood. Fingertip Vasculitis.
From www.clinicaladvisor.com
HenochSchönlein purpura (Anaphylactoid purpura, Cutaneous small vessel Fingertip Vasculitis A complete blood cell count can tell whether you have enough red blood cells. Concept of ‘vasculitis as a syndrome’ vasculitis is a syndrome with an array of clinical features as. These may include capillaries, venules, arterioles and lymphatics. Blood tests that look for certain antibodies — such as the anti. Cutaneous vasculitis is a group of disorders in which. Fingertip Vasculitis.
From aminoco.com
Vasculitis Signs, Symptoms, Causes, Treatment The Amino Company Fingertip Vasculitis Other signs and symptoms of this disease may include numbness and/or tingling in the limbs and raynaud’s phenomenon (a condition in which the distal. Cutaneous vasculitis is a group of disorders in which there are inflamed blood vessels in the skin. A complete blood cell count can tell whether you have enough red blood cells. Vasculitis symptoms include rash, body. Fingertip Vasculitis.
From breathe.ersjournals.com
Pulmonary manifestations of systemic vasculitis in childhood European Fingertip Vasculitis Fatigue or a general feeling of being sick. Vasculitis is the inflammation of blood vessels, leading to decreased blood flow. A complete blood cell count can tell whether you have enough red blood cells. It can affect any organ or body part with blood flow and can be dangerous when untreated. Blood tests that look for certain antibodies — such. Fingertip Vasculitis.
From www.researchgate.net
Left hand 2nd fingertip with vasculitic necrotising lesion. Download Fingertip Vasculitis Vasculitis is the inflammation of blood vessels, leading to decreased blood flow. Concept of ‘vasculitis as a syndrome’ vasculitis is a syndrome with an array of clinical features as. A complete blood cell count can tell whether you have enough red blood cells. It can affect any organ or body part with blood flow and can be dangerous when untreated.. Fingertip Vasculitis.
From www.clinicaladvisor.com
DermDx Diffuse Rash Affecting Fingertips Clinical Advisor Fingertip Vasculitis These may include capillaries, venules, arterioles and lymphatics. It can affect any organ or body part with blood flow and can be dangerous when untreated. A complete blood cell count can tell whether you have enough red blood cells. Concept of ‘vasculitis as a syndrome’ vasculitis is a syndrome with an array of clinical features as. Vasculitis is the inflammation. Fingertip Vasculitis.
From www.intechopen.com
Influence of Skin Diseases on Fingerprint Quality and Recognition Fingertip Vasculitis A complete blood cell count can tell whether you have enough red blood cells. Vasculitis symptoms include rash, body aches or discomfort, decreased appetite, fatigue, and fever—among others. It can affect any organ or body part with blood flow and can be dangerous when untreated. Other signs and symptoms of this disease may include numbness and/or tingling in the limbs. Fingertip Vasculitis.
From brownemblog.com
Clinical Image of the Month Achenbach's Syndrome — BROWN EMERGENCY Fingertip Vasculitis Vasculitis symptoms include rash, body aches or discomfort, decreased appetite, fatigue, and fever—among others. Kidney problems (including dark pee or blood in your pee). These may include capillaries, venules, arterioles and lymphatics. Vasculitis is the inflammation of blood vessels, leading to decreased blood flow. Cutaneous vasculitis is a group of disorders in which there are inflamed blood vessels in the. Fingertip Vasculitis.
From jamanetwork.com
Vasculitis Dermatology JAMA Dermatology JAMA Network Fingertip Vasculitis Vasculitis symptoms include rash, body aches or discomfort, decreased appetite, fatigue, and fever—among others. Blood tests that look for certain antibodies — such as the anti. Kidney problems (including dark pee or blood in your pee). It can affect any organ or body part with blood flow and can be dangerous when untreated. A complete blood cell count can tell. Fingertip Vasculitis.
From www.hindustantimes.com
Necrotizing Fasciitis Causes, symptoms, diagnosis and treatment Fingertip Vasculitis It can affect any organ or body part with blood flow and can be dangerous when untreated. A complete blood cell count can tell whether you have enough red blood cells. Fatigue or a general feeling of being sick. Other signs and symptoms of this disease may include numbness and/or tingling in the limbs and raynaud’s phenomenon (a condition in. Fingertip Vasculitis.
From ard.bmj.com
Isolated digital vasculitis in a patient with rheumatoid arthritis Fingertip Vasculitis Kidney problems (including dark pee or blood in your pee). It can affect any organ or body part with blood flow and can be dangerous when untreated. Learn about vasculitis, how it affects different parts of. Other signs and symptoms of this disease may include numbness and/or tingling in the limbs and raynaud’s phenomenon (a condition in which the distal.. Fingertip Vasculitis.
From vgrd.blogspot.com
VIRTUAL GRAND ROUNDS IN DERMATOLOGY 2.0 54 yo man with necrotizing Fingertip Vasculitis Kidney problems (including dark pee or blood in your pee). Fatigue or a general feeling of being sick. Concept of ‘vasculitis as a syndrome’ vasculitis is a syndrome with an array of clinical features as. It can affect any organ or body part with blood flow and can be dangerous when untreated. Cutaneous vasculitis is a group of disorders in. Fingertip Vasculitis.
From www.doccheck.com
Vasculitis DocCheck Fingertip Vasculitis Kidney problems (including dark pee or blood in your pee). Concept of ‘vasculitis as a syndrome’ vasculitis is a syndrome with an array of clinical features as. A complete blood cell count can tell whether you have enough red blood cells. Other signs and symptoms of this disease may include numbness and/or tingling in the limbs and raynaud’s phenomenon (a. Fingertip Vasculitis.
From www.researchgate.net
Acral hand vasculitis in our patient. Download Scientific Diagram Fingertip Vasculitis Other signs and symptoms of this disease may include numbness and/or tingling in the limbs and raynaud’s phenomenon (a condition in which the distal. Blood tests that look for certain antibodies — such as the anti. Kidney problems (including dark pee or blood in your pee). A complete blood cell count can tell whether you have enough red blood cells.. Fingertip Vasculitis.
From ar.inspiredpencil.com
Vasculitis Classification Fingertip Vasculitis Vasculitis symptoms include rash, body aches or discomfort, decreased appetite, fatigue, and fever—among others. Fatigue or a general feeling of being sick. Vasculitis is the inflammation of blood vessels, leading to decreased blood flow. Kidney problems (including dark pee or blood in your pee). A complete blood cell count can tell whether you have enough red blood cells. Learn about. Fingertip Vasculitis.
From www.researchgate.net
Exam findings. (a) Purpura on right cheek and hand edema. (b) Purpura Fingertip Vasculitis Vasculitis is the inflammation of blood vessels, leading to decreased blood flow. Kidney problems (including dark pee or blood in your pee). Vasculitis symptoms include rash, body aches or discomfort, decreased appetite, fatigue, and fever—among others. Other signs and symptoms of this disease may include numbness and/or tingling in the limbs and raynaud’s phenomenon (a condition in which the distal.. Fingertip Vasculitis.
From healthjade.net
Leukocytoclastic Vasculitis Causes, Symptoms, Treatment Fingertip Vasculitis These may include capillaries, venules, arterioles and lymphatics. A complete blood cell count can tell whether you have enough red blood cells. It can affect any organ or body part with blood flow and can be dangerous when untreated. Vasculitis symptoms include rash, body aches or discomfort, decreased appetite, fatigue, and fever—among others. Learn about vasculitis, how it affects different. Fingertip Vasculitis.
From twitter.com
Dr.Himanshu Bhardwaj🇮🇳 on Twitter "BrownJHM Necrosis of the Fingers Fingertip Vasculitis These may include capillaries, venules, arterioles and lymphatics. Vasculitis is the inflammation of blood vessels, leading to decreased blood flow. Concept of ‘vasculitis as a syndrome’ vasculitis is a syndrome with an array of clinical features as. Blood tests that look for certain antibodies — such as the anti. Vasculitis symptoms include rash, body aches or discomfort, decreased appetite, fatigue,. Fingertip Vasculitis.
From jamanetwork.com
Treatment of Cutaneous Small Vessel Vasculitis With Leflunomide JAMA Fingertip Vasculitis Vasculitis symptoms include rash, body aches or discomfort, decreased appetite, fatigue, and fever—among others. Other signs and symptoms of this disease may include numbness and/or tingling in the limbs and raynaud’s phenomenon (a condition in which the distal. A complete blood cell count can tell whether you have enough red blood cells. Concept of ‘vasculitis as a syndrome’ vasculitis is. Fingertip Vasculitis.
From ar.inspiredpencil.com
Dermatitis Herpetiformis Palms Fingertip Vasculitis Other signs and symptoms of this disease may include numbness and/or tingling in the limbs and raynaud’s phenomenon (a condition in which the distal. Blood tests that look for certain antibodies — such as the anti. It can affect any organ or body part with blood flow and can be dangerous when untreated. Cutaneous vasculitis is a group of disorders. Fingertip Vasculitis.
From diseaeseshows.com
vasculitis image pictures, photos Fingertip Vasculitis Fatigue or a general feeling of being sick. Concept of ‘vasculitis as a syndrome’ vasculitis is a syndrome with an array of clinical features as. It can affect any organ or body part with blood flow and can be dangerous when untreated. Vasculitis symptoms include rash, body aches or discomfort, decreased appetite, fatigue, and fever—among others. Blood tests that look. Fingertip Vasculitis.
From acadderm.com
Leukocytoclastic Vasculitis SmallVessel Vasculitis... Academic Fingertip Vasculitis Concept of ‘vasculitis as a syndrome’ vasculitis is a syndrome with an array of clinical features as. It can affect any organ or body part with blood flow and can be dangerous when untreated. Vasculitis is the inflammation of blood vessels, leading to decreased blood flow. A complete blood cell count can tell whether you have enough red blood cells.. Fingertip Vasculitis.
From www.youtube.com
felon drainage abscess of the pulp of a finger YouTube Fingertip Vasculitis Other signs and symptoms of this disease may include numbness and/or tingling in the limbs and raynaud’s phenomenon (a condition in which the distal. Blood tests that look for certain antibodies — such as the anti. Fatigue or a general feeling of being sick. A complete blood cell count can tell whether you have enough red blood cells. Vasculitis is. Fingertip Vasculitis.
From eaom.eu
Oral Lupus Erythematosus European Association of Oral Medicine Fingertip Vasculitis It can affect any organ or body part with blood flow and can be dangerous when untreated. Kidney problems (including dark pee or blood in your pee). Concept of ‘vasculitis as a syndrome’ vasculitis is a syndrome with an array of clinical features as. Cutaneous vasculitis is a group of disorders in which there are inflamed blood vessels in the. Fingertip Vasculitis.
From rheumexamatlas.com
Extraarticular RheumExam Atlas Fingertip Vasculitis Other signs and symptoms of this disease may include numbness and/or tingling in the limbs and raynaud’s phenomenon (a condition in which the distal. Learn about vasculitis, how it affects different parts of. Kidney problems (including dark pee or blood in your pee). Cutaneous vasculitis is a group of disorders in which there are inflamed blood vessels in the skin.. Fingertip Vasculitis.