Hammer Toe Osteotomy . If this is the case, it can be fixed by minimally invasive. Hammertoe deformity is the most common deformity of the lesser toes (see image below). Hammer toe is a lesser toe deformity characterized by pip flexion, dip extension and mtp slight extension. Some people can manage symptoms from this condition with lifestyle. A flexible hammer toe means that the toe can be manipulated back in the correct position. A hammertoe is a deformity that causes a toe to become bent upward in the middle so it resembles a. Hammer toe is a condition that affects one of the three middle toes, causing the toe to bend upward at its middle joint. The surgery is performed to lessen pain or improve flexibility when the muscles in the toe can’t stretch and straighten. Hammertoe surgery is a procedure to correct a deformity in the second, third, or fourth toe—a bend at the middle joint that makes the toe look like a claw or hammer. It primarily comprises flexion deformity of the proximal interphalangeal.
from www.boneschool.com
It primarily comprises flexion deformity of the proximal interphalangeal. Hammertoe surgery is a procedure to correct a deformity in the second, third, or fourth toe—a bend at the middle joint that makes the toe look like a claw or hammer. Hammertoe deformity is the most common deformity of the lesser toes (see image below). The surgery is performed to lessen pain or improve flexibility when the muscles in the toe can’t stretch and straighten. If this is the case, it can be fixed by minimally invasive. Some people can manage symptoms from this condition with lifestyle. A hammertoe is a deformity that causes a toe to become bent upward in the middle so it resembles a. A flexible hammer toe means that the toe can be manipulated back in the correct position. Hammer toe is a condition that affects one of the three middle toes, causing the toe to bend upward at its middle joint. Hammer toe is a lesser toe deformity characterized by pip flexion, dip extension and mtp slight extension.
Hammer Toe The Bone School
Hammer Toe Osteotomy Hammer toe is a lesser toe deformity characterized by pip flexion, dip extension and mtp slight extension. Hammertoe surgery is a procedure to correct a deformity in the second, third, or fourth toe—a bend at the middle joint that makes the toe look like a claw or hammer. Some people can manage symptoms from this condition with lifestyle. Hammertoe deformity is the most common deformity of the lesser toes (see image below). Hammer toe is a condition that affects one of the three middle toes, causing the toe to bend upward at its middle joint. Hammer toe is a lesser toe deformity characterized by pip flexion, dip extension and mtp slight extension. A hammertoe is a deformity that causes a toe to become bent upward in the middle so it resembles a. If this is the case, it can be fixed by minimally invasive. A flexible hammer toe means that the toe can be manipulated back in the correct position. The surgery is performed to lessen pain or improve flexibility when the muscles in the toe can’t stretch and straighten. It primarily comprises flexion deformity of the proximal interphalangeal.
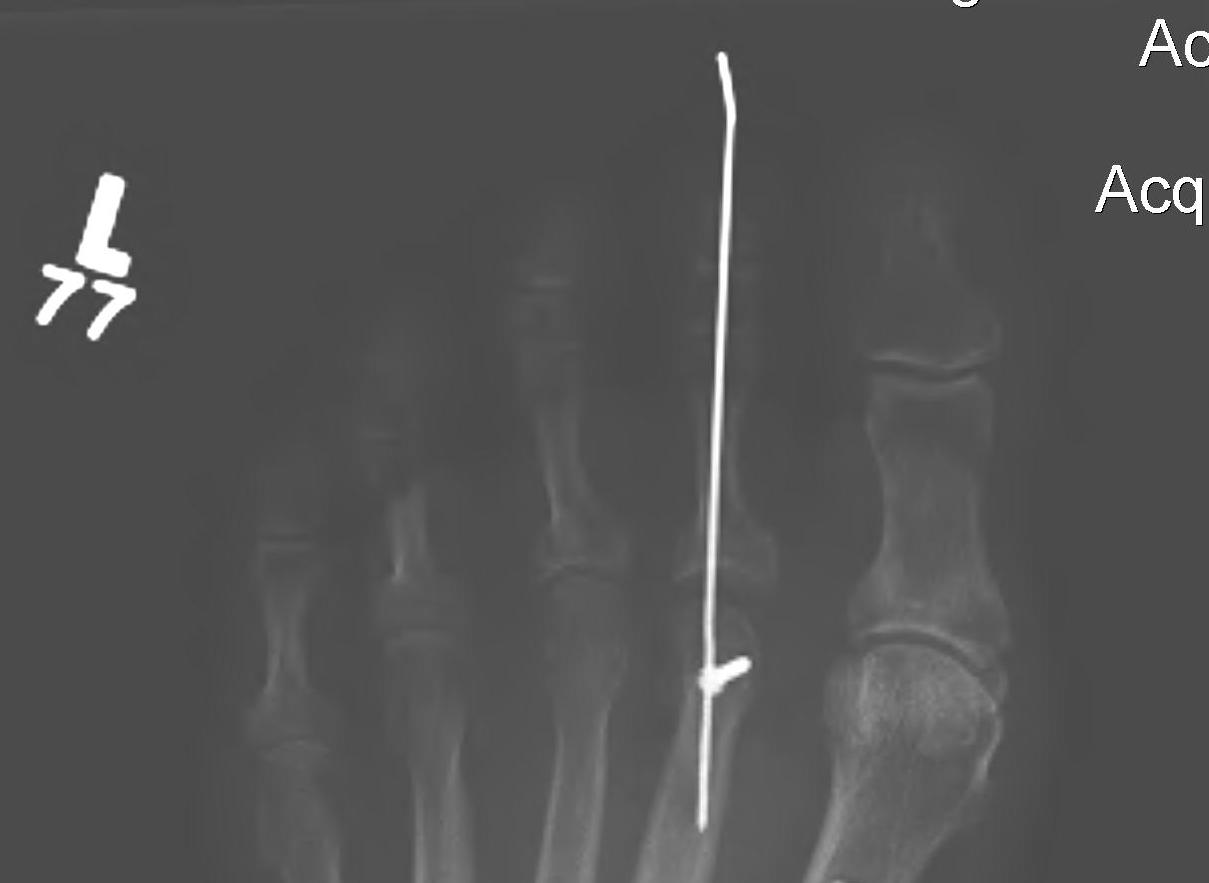
From www.arthrex.com
Arthrex Hammer Toe/Claw Toe Hammer Toe Osteotomy If this is the case, it can be fixed by minimally invasive. A hammertoe is a deformity that causes a toe to become bent upward in the middle so it resembles a. Hammer toe is a lesser toe deformity characterized by pip flexion, dip extension and mtp slight extension. Hammertoe surgery is a procedure to correct a deformity in the. Hammer Toe Osteotomy.
From www.amazon.com.au
Hammer Toe Straightener for Metatarsalgia, Claw Toe or Mallet Toe Hammer Toe Osteotomy Hammer toe is a condition that affects one of the three middle toes, causing the toe to bend upward at its middle joint. If this is the case, it can be fixed by minimally invasive. Some people can manage symptoms from this condition with lifestyle. Hammertoe deformity is the most common deformity of the lesser toes (see image below). Hammertoe. Hammer Toe Osteotomy.
From www.thereadypatient.com
What to Expect During Hammer Toe Surgery Hammer Toe Osteotomy If this is the case, it can be fixed by minimally invasive. Hammertoe surgery is a procedure to correct a deformity in the second, third, or fourth toe—a bend at the middle joint that makes the toe look like a claw or hammer. Hammer toe is a condition that affects one of the three middle toes, causing the toe to. Hammer Toe Osteotomy.
From docmartinsfac.com
Weil Osteotomies Surgery DocMartins Foot & Ankle Clinics Hammer Toe Osteotomy Hammer toe is a condition that affects one of the three middle toes, causing the toe to bend upward at its middle joint. A flexible hammer toe means that the toe can be manipulated back in the correct position. Hammer toe is a lesser toe deformity characterized by pip flexion, dip extension and mtp slight extension. The surgery is performed. Hammer Toe Osteotomy.
From www.researchgate.net
Progression of crossover second toe deformity beginning as mild Hammer Toe Osteotomy Some people can manage symptoms from this condition with lifestyle. A flexible hammer toe means that the toe can be manipulated back in the correct position. It primarily comprises flexion deformity of the proximal interphalangeal. Hammertoe deformity is the most common deformity of the lesser toes (see image below). A hammertoe is a deformity that causes a toe to become. Hammer Toe Osteotomy.
From gbr.grandado.com
Thumb Valgus Orthosis Hammer Toe Straightener Oste... Grandado Hammer Toe Osteotomy Hammertoe deformity is the most common deformity of the lesser toes (see image below). It primarily comprises flexion deformity of the proximal interphalangeal. If this is the case, it can be fixed by minimally invasive. Hammer toe is a lesser toe deformity characterized by pip flexion, dip extension and mtp slight extension. Hammer toe is a condition that affects one. Hammer Toe Osteotomy.
From www.reignmedical.com
Hammertoe Repair — REIGN MEDICAL Hammer Toe Osteotomy Hammertoe surgery is a procedure to correct a deformity in the second, third, or fourth toe—a bend at the middle joint that makes the toe look like a claw or hammer. Hammertoe deformity is the most common deformity of the lesser toes (see image below). Hammer toe is a lesser toe deformity characterized by pip flexion, dip extension and mtp. Hammer Toe Osteotomy.
From www.boneschool.com
Hammer Toe The Bone School Hammer Toe Osteotomy Hammer toe is a condition that affects one of the three middle toes, causing the toe to bend upward at its middle joint. If this is the case, it can be fixed by minimally invasive. Hammertoe surgery is a procedure to correct a deformity in the second, third, or fourth toe—a bend at the middle joint that makes the toe. Hammer Toe Osteotomy.
From medizzy.com
Hammer toes before and after surgery MEDizzy Hammer Toe Osteotomy Some people can manage symptoms from this condition with lifestyle. If this is the case, it can be fixed by minimally invasive. Hammer toe is a lesser toe deformity characterized by pip flexion, dip extension and mtp slight extension. Hammertoe deformity is the most common deformity of the lesser toes (see image below). Hammertoe surgery is a procedure to correct. Hammer Toe Osteotomy.
From bellevuefoot.com
The syndesmosis bunionectomy — Bellevue Podiatric Physicians Hammer Toe Osteotomy Hammer toe is a lesser toe deformity characterized by pip flexion, dip extension and mtp slight extension. A flexible hammer toe means that the toe can be manipulated back in the correct position. The surgery is performed to lessen pain or improve flexibility when the muscles in the toe can’t stretch and straighten. A hammertoe is a deformity that causes. Hammer Toe Osteotomy.
From www.jfas.org
Clinical Comparison Between Shortening Osteotomy of the Proximal Hammer Toe Osteotomy It primarily comprises flexion deformity of the proximal interphalangeal. A hammertoe is a deformity that causes a toe to become bent upward in the middle so it resembles a. Some people can manage symptoms from this condition with lifestyle. Hammer toe is a condition that affects one of the three middle toes, causing the toe to bend upward at its. Hammer Toe Osteotomy.
From www.hmpgloballearningnetwork.com
Current Concepts In Hammertoe Correction Hammer Toe Osteotomy If this is the case, it can be fixed by minimally invasive. Hammertoe surgery is a procedure to correct a deformity in the second, third, or fourth toe—a bend at the middle joint that makes the toe look like a claw or hammer. A hammertoe is a deformity that causes a toe to become bent upward in the middle so. Hammer Toe Osteotomy.
From www.qualityfootcare.com
What To Expect From Hammertoe Surgery Quality Foot Care Hammer Toe Osteotomy It primarily comprises flexion deformity of the proximal interphalangeal. Hammertoe surgery is a procedure to correct a deformity in the second, third, or fourth toe—a bend at the middle joint that makes the toe look like a claw or hammer. A hammertoe is a deformity that causes a toe to become bent upward in the middle so it resembles a.. Hammer Toe Osteotomy.
From www.semanticscholar.org
Figure 5 from Correction of Hammer Toe Deformity of Lateral Toes With Hammer Toe Osteotomy A hammertoe is a deformity that causes a toe to become bent upward in the middle so it resembles a. Hammer toe is a lesser toe deformity characterized by pip flexion, dip extension and mtp slight extension. A flexible hammer toe means that the toe can be manipulated back in the correct position. Hammer toe is a condition that affects. Hammer Toe Osteotomy.
From www.jawspodiatry.com
Hammertoe Surgery What to Expect With The Procedure Hammer Toe Osteotomy It primarily comprises flexion deformity of the proximal interphalangeal. Hammertoe surgery is a procedure to correct a deformity in the second, third, or fourth toe—a bend at the middle joint that makes the toe look like a claw or hammer. Hammertoe deformity is the most common deformity of the lesser toes (see image below). Hammer toe is a lesser toe. Hammer Toe Osteotomy.
From www.jfas.org
Correction of Hammer Toe Deformity of Lateral Toes With Subtraction Hammer Toe Osteotomy Some people can manage symptoms from this condition with lifestyle. Hammer toe is a lesser toe deformity characterized by pip flexion, dip extension and mtp slight extension. A hammertoe is a deformity that causes a toe to become bent upward in the middle so it resembles a. The surgery is performed to lessen pain or improve flexibility when the muscles. Hammer Toe Osteotomy.
From www.bunioninstitute.com
Bunion Surgery Before & After Gallery Bunion Institute LA Hammer Toe Osteotomy Hammertoe deformity is the most common deformity of the lesser toes (see image below). Hammertoe surgery is a procedure to correct a deformity in the second, third, or fourth toe—a bend at the middle joint that makes the toe look like a claw or hammer. Some people can manage symptoms from this condition with lifestyle. If this is the case,. Hammer Toe Osteotomy.
From cosmeticfootsurgery.co.uk
Bunion Surgery Hammer Toe Osteotomy Hammertoe surgery is a procedure to correct a deformity in the second, third, or fourth toe—a bend at the middle joint that makes the toe look like a claw or hammer. Some people can manage symptoms from this condition with lifestyle. It primarily comprises flexion deformity of the proximal interphalangeal. A flexible hammer toe means that the toe can be. Hammer Toe Osteotomy.
From www.reignmedical.com
Hammertoe Repair — REIGN MEDICAL Hammer Toe Osteotomy A flexible hammer toe means that the toe can be manipulated back in the correct position. The surgery is performed to lessen pain or improve flexibility when the muscles in the toe can’t stretch and straighten. Hammertoe surgery is a procedure to correct a deformity in the second, third, or fourth toe—a bend at the middle joint that makes the. Hammer Toe Osteotomy.
From www.boneschool.com
Hammer Toe The Bone School Hammer Toe Osteotomy Hammer toe is a condition that affects one of the three middle toes, causing the toe to bend upward at its middle joint. Some people can manage symptoms from this condition with lifestyle. Hammertoe deformity is the most common deformity of the lesser toes (see image below). A flexible hammer toe means that the toe can be manipulated back in. Hammer Toe Osteotomy.
From leonardo-ortho.ch
hammer toes Hammer Toe Osteotomy Hammer toe is a lesser toe deformity characterized by pip flexion, dip extension and mtp slight extension. Hammer toe is a condition that affects one of the three middle toes, causing the toe to bend upward at its middle joint. A hammertoe is a deformity that causes a toe to become bent upward in the middle so it resembles a.. Hammer Toe Osteotomy.
From gbr.grandado.com
Thumb Valgus Orthosis Hammer Toe Straightener Oste... Grandado Hammer Toe Osteotomy A flexible hammer toe means that the toe can be manipulated back in the correct position. If this is the case, it can be fixed by minimally invasive. Some people can manage symptoms from this condition with lifestyle. The surgery is performed to lessen pain or improve flexibility when the muscles in the toe can’t stretch and straighten. Hammertoe deformity. Hammer Toe Osteotomy.
From 26footandankle.com
Hammertoe Severe Crossover Toe 26 Foot & Ankle Hammer Toe Osteotomy Some people can manage symptoms from this condition with lifestyle. If this is the case, it can be fixed by minimally invasive. It primarily comprises flexion deformity of the proximal interphalangeal. Hammer toe is a condition that affects one of the three middle toes, causing the toe to bend upward at its middle joint. Hammertoe deformity is the most common. Hammer Toe Osteotomy.
From www.semanticscholar.org
Figure 1 from Correction of Hammer Toe Deformity of Lateral Toes With Hammer Toe Osteotomy If this is the case, it can be fixed by minimally invasive. Hammer toe is a condition that affects one of the three middle toes, causing the toe to bend upward at its middle joint. Some people can manage symptoms from this condition with lifestyle. The surgery is performed to lessen pain or improve flexibility when the muscles in the. Hammer Toe Osteotomy.
From www.foot.theclinics.com
Treatment of Rigid HammerToe Deformity Foot and Ankle Clinics Hammer Toe Osteotomy Some people can manage symptoms from this condition with lifestyle. A hammertoe is a deformity that causes a toe to become bent upward in the middle so it resembles a. Hammer toe is a lesser toe deformity characterized by pip flexion, dip extension and mtp slight extension. It primarily comprises flexion deformity of the proximal interphalangeal. Hammer toe is a. Hammer Toe Osteotomy.
From www.amazon.com.au
Hammer Toe Straightener for Metatarsalgia, Claw Toe or Mallet Toe Hammer Toe Osteotomy Hammer toe is a condition that affects one of the three middle toes, causing the toe to bend upward at its middle joint. A flexible hammer toe means that the toe can be manipulated back in the correct position. It primarily comprises flexion deformity of the proximal interphalangeal. If this is the case, it can be fixed by minimally invasive.. Hammer Toe Osteotomy.
From bioskin.com
Hammer Toe Causes, Symptoms, and Treatment BioSkin Bracing Hammer Toe Osteotomy Hammer toe is a lesser toe deformity characterized by pip flexion, dip extension and mtp slight extension. Hammertoe surgery is a procedure to correct a deformity in the second, third, or fourth toe—a bend at the middle joint that makes the toe look like a claw or hammer. Some people can manage symptoms from this condition with lifestyle. If this. Hammer Toe Osteotomy.
From www.jfas.org
Correction of Hammer Toe Deformity of Lateral Toes With Subtraction Hammer Toe Osteotomy Some people can manage symptoms from this condition with lifestyle. A flexible hammer toe means that the toe can be manipulated back in the correct position. The surgery is performed to lessen pain or improve flexibility when the muscles in the toe can’t stretch and straighten. Hammertoe deformity is the most common deformity of the lesser toes (see image below).. Hammer Toe Osteotomy.
From codingmastery.com
What is Included in a Hammertoe Repair (CPT 28285)? Hammer Toe Osteotomy It primarily comprises flexion deformity of the proximal interphalangeal. Hammer toe is a lesser toe deformity characterized by pip flexion, dip extension and mtp slight extension. The surgery is performed to lessen pain or improve flexibility when the muscles in the toe can’t stretch and straighten. A hammertoe is a deformity that causes a toe to become bent upward in. Hammer Toe Osteotomy.
From www.perthpodiatricsurgery.com
Minimally Invasive Hammertoe Surgery Perth Perth Podiatric Surgery Hammer Toe Osteotomy It primarily comprises flexion deformity of the proximal interphalangeal. Hammer toe is a lesser toe deformity characterized by pip flexion, dip extension and mtp slight extension. Some people can manage symptoms from this condition with lifestyle. Hammertoe surgery is a procedure to correct a deformity in the second, third, or fourth toe—a bend at the middle joint that makes the. Hammer Toe Osteotomy.
From www.gosupps.com
BIOSKIN Hammer Toe Straightener for Metatarsalgia, Claw Toe, or Mallet Hammer Toe Osteotomy Some people can manage symptoms from this condition with lifestyle. A flexible hammer toe means that the toe can be manipulated back in the correct position. Hammer toe is a lesser toe deformity characterized by pip flexion, dip extension and mtp slight extension. It primarily comprises flexion deformity of the proximal interphalangeal. Hammer toe is a condition that affects one. Hammer Toe Osteotomy.
From www.walmart.com
Hammer Toe Straightener for Metatarsalgia, Claw Toe, or Mallet Toe Hammer Toe Osteotomy Some people can manage symptoms from this condition with lifestyle. Hammer toe is a lesser toe deformity characterized by pip flexion, dip extension and mtp slight extension. A hammertoe is a deformity that causes a toe to become bent upward in the middle so it resembles a. It primarily comprises flexion deformity of the proximal interphalangeal. Hammertoe deformity is the. Hammer Toe Osteotomy.
From www.amazon.com.au
Hammer Toe Straightener for Metatarsalgia, Claw Toe or Mallet Toe Hammer Toe Osteotomy Hammer toe is a condition that affects one of the three middle toes, causing the toe to bend upward at its middle joint. Hammertoe surgery is a procedure to correct a deformity in the second, third, or fourth toe—a bend at the middle joint that makes the toe look like a claw or hammer. Hammer toe is a lesser toe. Hammer Toe Osteotomy.
From www.footnankledoc.com
Hammertoes Foot & Ankle Doctors, Inc. Hammer Toe Osteotomy It primarily comprises flexion deformity of the proximal interphalangeal. The surgery is performed to lessen pain or improve flexibility when the muscles in the toe can’t stretch and straighten. Hammertoe deformity is the most common deformity of the lesser toes (see image below). Hammertoe surgery is a procedure to correct a deformity in the second, third, or fourth toe—a bend. Hammer Toe Osteotomy.
From www.bunioninstitute.com
Bunion Surgery Before & After Gallery Bunion Institute LA Hammer Toe Osteotomy Hammertoe deformity is the most common deformity of the lesser toes (see image below). Hammer toe is a lesser toe deformity characterized by pip flexion, dip extension and mtp slight extension. Hammertoe surgery is a procedure to correct a deformity in the second, third, or fourth toe—a bend at the middle joint that makes the toe look like a claw. Hammer Toe Osteotomy.