Basilar Skull Fracture Auto Racing . an instantaneous basilar skull fracture causes the driver to suffer sudden death when the brainstem snaps loose. most basilar skull fractures occur in the setting of severe head traumas, such as those caused by motor vehicle. just under seven years later, on february 18th, 2001 earnhardt too would be killed in a race car, suffering a basilar. this type of injury, called a basilar skull fracture, used to be shockingly common in. * at least 12 of the 15 drivers killed in major auto racing since 1991 died of injuries caused by violent motion of their.
from journal.nzma.org.nz
an instantaneous basilar skull fracture causes the driver to suffer sudden death when the brainstem snaps loose. this type of injury, called a basilar skull fracture, used to be shockingly common in. just under seven years later, on february 18th, 2001 earnhardt too would be killed in a race car, suffering a basilar. * at least 12 of the 15 drivers killed in major auto racing since 1991 died of injuries caused by violent motion of their. most basilar skull fractures occur in the setting of severe head traumas, such as those caused by motor vehicle.
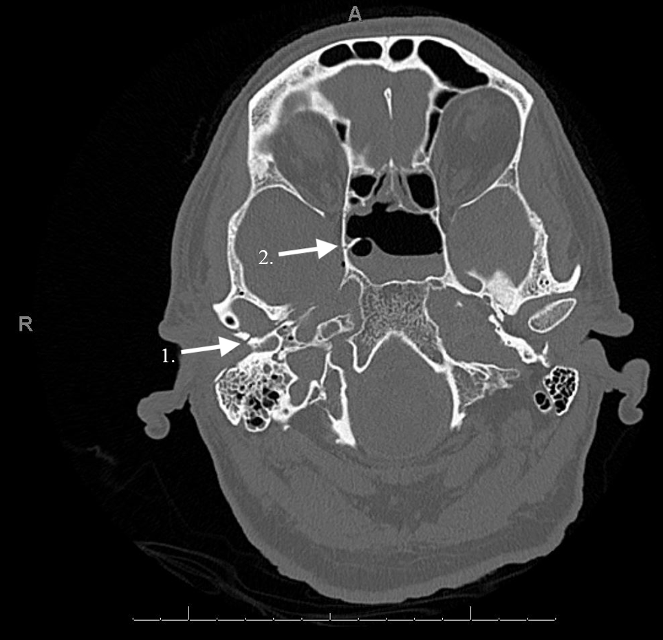
Osteomyelitis following an undisplaced basal skull fracture
Basilar Skull Fracture Auto Racing most basilar skull fractures occur in the setting of severe head traumas, such as those caused by motor vehicle. * at least 12 of the 15 drivers killed in major auto racing since 1991 died of injuries caused by violent motion of their. this type of injury, called a basilar skull fracture, used to be shockingly common in. most basilar skull fractures occur in the setting of severe head traumas, such as those caused by motor vehicle. just under seven years later, on february 18th, 2001 earnhardt too would be killed in a race car, suffering a basilar. an instantaneous basilar skull fracture causes the driver to suffer sudden death when the brainstem snaps loose.
From www.animalia-life.club
Basilar Skull Fracture Dale Earnhardt Basilar Skull Fracture Auto Racing just under seven years later, on february 18th, 2001 earnhardt too would be killed in a race car, suffering a basilar. an instantaneous basilar skull fracture causes the driver to suffer sudden death when the brainstem snaps loose. this type of injury, called a basilar skull fracture, used to be shockingly common in. most basilar skull. Basilar Skull Fracture Auto Racing.
From aslodive.weebly.com
Basilar fracture Aslodive Basilar Skull Fracture Auto Racing * at least 12 of the 15 drivers killed in major auto racing since 1991 died of injuries caused by violent motion of their. most basilar skull fractures occur in the setting of severe head traumas, such as those caused by motor vehicle. an instantaneous basilar skull fracture causes the driver to suffer sudden death when the. Basilar Skull Fracture Auto Racing.
From medizzy.com
Basilar skull fracture MEDizzy Basilar Skull Fracture Auto Racing this type of injury, called a basilar skull fracture, used to be shockingly common in. * at least 12 of the 15 drivers killed in major auto racing since 1991 died of injuries caused by violent motion of their. most basilar skull fractures occur in the setting of severe head traumas, such as those caused by motor. Basilar Skull Fracture Auto Racing.
From www.researchgate.net
Pattern of basal skull fracture in eight Download Scientific Diagram Basilar Skull Fracture Auto Racing just under seven years later, on february 18th, 2001 earnhardt too would be killed in a race car, suffering a basilar. * at least 12 of the 15 drivers killed in major auto racing since 1991 died of injuries caused by violent motion of their. this type of injury, called a basilar skull fracture, used to be. Basilar Skull Fracture Auto Racing.
From mavink.com
Basal Skull Anatomy Basilar Skull Fracture Auto Racing just under seven years later, on february 18th, 2001 earnhardt too would be killed in a race car, suffering a basilar. an instantaneous basilar skull fracture causes the driver to suffer sudden death when the brainstem snaps loose. * at least 12 of the 15 drivers killed in major auto racing since 1991 died of injuries caused. Basilar Skull Fracture Auto Racing.
From www.youtube.com
Basilar Skull Fractures (St Paul's EM Update 2018) YouTube Basilar Skull Fracture Auto Racing an instantaneous basilar skull fracture causes the driver to suffer sudden death when the brainstem snaps loose. just under seven years later, on february 18th, 2001 earnhardt too would be killed in a race car, suffering a basilar. * at least 12 of the 15 drivers killed in major auto racing since 1991 died of injuries caused. Basilar Skull Fracture Auto Racing.
From www.sportscasting.com
Did You Know Dale Earnhardt's Death at 2001 Daytona 500 Was NASCAR's Basilar Skull Fracture Auto Racing most basilar skull fractures occur in the setting of severe head traumas, such as those caused by motor vehicle. an instantaneous basilar skull fracture causes the driver to suffer sudden death when the brainstem snaps loose. this type of injury, called a basilar skull fracture, used to be shockingly common in. just under seven years later,. Basilar Skull Fracture Auto Racing.
From www.emdocs.net
Emergency Medicine EducationEM3AM Basilar Skull Basilar Skull Fracture Auto Racing most basilar skull fractures occur in the setting of severe head traumas, such as those caused by motor vehicle. an instantaneous basilar skull fracture causes the driver to suffer sudden death when the brainstem snaps loose. just under seven years later, on february 18th, 2001 earnhardt too would be killed in a race car, suffering a basilar.. Basilar Skull Fracture Auto Racing.
From journal.nzma.org.nz
Osteomyelitis following an undisplaced basal skull fracture Basilar Skull Fracture Auto Racing an instantaneous basilar skull fracture causes the driver to suffer sudden death when the brainstem snaps loose. * at least 12 of the 15 drivers killed in major auto racing since 1991 died of injuries caused by violent motion of their. this type of injury, called a basilar skull fracture, used to be shockingly common in. . Basilar Skull Fracture Auto Racing.
From www.osmosis.org
Basilar Skull Fracture What Is It, Causes, Symptoms, and More Osmosis Basilar Skull Fracture Auto Racing this type of injury, called a basilar skull fracture, used to be shockingly common in. just under seven years later, on february 18th, 2001 earnhardt too would be killed in a race car, suffering a basilar. * at least 12 of the 15 drivers killed in major auto racing since 1991 died of injuries caused by violent. Basilar Skull Fracture Auto Racing.
From mavink.com
Basilar Skull Fracture Signs Basilar Skull Fracture Auto Racing this type of injury, called a basilar skull fracture, used to be shockingly common in. most basilar skull fractures occur in the setting of severe head traumas, such as those caused by motor vehicle. just under seven years later, on february 18th, 2001 earnhardt too would be killed in a race car, suffering a basilar. *. Basilar Skull Fracture Auto Racing.
From www.animalia-life.club
Basilar Skull Fracture Dale Earnhardt Basilar Skull Fracture Auto Racing this type of injury, called a basilar skull fracture, used to be shockingly common in. most basilar skull fractures occur in the setting of severe head traumas, such as those caused by motor vehicle. just under seven years later, on february 18th, 2001 earnhardt too would be killed in a race car, suffering a basilar. an. Basilar Skull Fracture Auto Racing.
From www.reddit.com
Botched NG tube placement in patient with basilar skull fracture medizzy Basilar Skull Fracture Auto Racing most basilar skull fractures occur in the setting of severe head traumas, such as those caused by motor vehicle. this type of injury, called a basilar skull fracture, used to be shockingly common in. an instantaneous basilar skull fracture causes the driver to suffer sudden death when the brainstem snaps loose. just under seven years later,. Basilar Skull Fracture Auto Racing.
From mavink.com
Basilar Skull Fracture Signs Basilar Skull Fracture Auto Racing * at least 12 of the 15 drivers killed in major auto racing since 1991 died of injuries caused by violent motion of their. just under seven years later, on february 18th, 2001 earnhardt too would be killed in a race car, suffering a basilar. this type of injury, called a basilar skull fracture, used to be. Basilar Skull Fracture Auto Racing.
From www.justinziegler.net
Head and Brain Injury Settlements and Claims (Car Accidents and More) Basilar Skull Fracture Auto Racing * at least 12 of the 15 drivers killed in major auto racing since 1991 died of injuries caused by violent motion of their. an instantaneous basilar skull fracture causes the driver to suffer sudden death when the brainstem snaps loose. just under seven years later, on february 18th, 2001 earnhardt too would be killed in a. Basilar Skull Fracture Auto Racing.
From mavink.com
Basal Skull Fracture Signs Basilar Skull Fracture Auto Racing most basilar skull fractures occur in the setting of severe head traumas, such as those caused by motor vehicle. an instantaneous basilar skull fracture causes the driver to suffer sudden death when the brainstem snaps loose. just under seven years later, on february 18th, 2001 earnhardt too would be killed in a race car, suffering a basilar.. Basilar Skull Fracture Auto Racing.
From pt.slideshare.net
Basilar Skull Fracture Basilar Skull Fracture Auto Racing just under seven years later, on february 18th, 2001 earnhardt too would be killed in a race car, suffering a basilar. this type of injury, called a basilar skull fracture, used to be shockingly common in. * at least 12 of the 15 drivers killed in major auto racing since 1991 died of injuries caused by violent. Basilar Skull Fracture Auto Racing.
From www.emdocs.net
Emergency Medicine EducationBasilar Skull Fracture Basics Basilar Skull Fracture Auto Racing most basilar skull fractures occur in the setting of severe head traumas, such as those caused by motor vehicle. just under seven years later, on february 18th, 2001 earnhardt too would be killed in a race car, suffering a basilar. an instantaneous basilar skull fracture causes the driver to suffer sudden death when the brainstem snaps loose.. Basilar Skull Fracture Auto Racing.
From www.youtube.com
10 Signs and Symptoms Of Basilar Skull Fracture (Basal Skull Fracture Basilar Skull Fracture Auto Racing most basilar skull fractures occur in the setting of severe head traumas, such as those caused by motor vehicle. just under seven years later, on february 18th, 2001 earnhardt too would be killed in a race car, suffering a basilar. an instantaneous basilar skull fracture causes the driver to suffer sudden death when the brainstem snaps loose.. Basilar Skull Fracture Auto Racing.
From ar.inspiredpencil.com
Basilar Skull Fracture Diagram Basilar Skull Fracture Auto Racing most basilar skull fractures occur in the setting of severe head traumas, such as those caused by motor vehicle. this type of injury, called a basilar skull fracture, used to be shockingly common in. just under seven years later, on february 18th, 2001 earnhardt too would be killed in a race car, suffering a basilar. *. Basilar Skull Fracture Auto Racing.
From medizzy.com
Basilar Skull Fracture MEDizzy Basilar Skull Fracture Auto Racing most basilar skull fractures occur in the setting of severe head traumas, such as those caused by motor vehicle. an instantaneous basilar skull fracture causes the driver to suffer sudden death when the brainstem snaps loose. just under seven years later, on february 18th, 2001 earnhardt too would be killed in a race car, suffering a basilar.. Basilar Skull Fracture Auto Racing.
From www.animalia-life.club
Basilar Skull Fracture Dale Earnhardt Basilar Skull Fracture Auto Racing this type of injury, called a basilar skull fracture, used to be shockingly common in. just under seven years later, on february 18th, 2001 earnhardt too would be killed in a race car, suffering a basilar. an instantaneous basilar skull fracture causes the driver to suffer sudden death when the brainstem snaps loose. most basilar skull. Basilar Skull Fracture Auto Racing.
From www.emdocs.net
Emergency Medicine EducationBasilar Skull Fracture Basics Basilar Skull Fracture Auto Racing this type of injury, called a basilar skull fracture, used to be shockingly common in. * at least 12 of the 15 drivers killed in major auto racing since 1991 died of injuries caused by violent motion of their. an instantaneous basilar skull fracture causes the driver to suffer sudden death when the brainstem snaps loose. . Basilar Skull Fracture Auto Racing.
From ar.inspiredpencil.com
Basilar Skull Fracture Diagram Basilar Skull Fracture Auto Racing just under seven years later, on february 18th, 2001 earnhardt too would be killed in a race car, suffering a basilar. this type of injury, called a basilar skull fracture, used to be shockingly common in. an instantaneous basilar skull fracture causes the driver to suffer sudden death when the brainstem snaps loose. * at least. Basilar Skull Fracture Auto Racing.
From sprucechristmastrees.galeborg.com
Basilar Skull Fracture Skull Fracture on XRay Stock Image C027 Basilar Skull Fracture Auto Racing * at least 12 of the 15 drivers killed in major auto racing since 1991 died of injuries caused by violent motion of their. just under seven years later, on february 18th, 2001 earnhardt too would be killed in a race car, suffering a basilar. most basilar skull fractures occur in the setting of severe head traumas,. Basilar Skull Fracture Auto Racing.
From lookfordiagnosis.com
Skull fracture, basilar; Basilar Skull Fracture; Battle Sign Basilar Skull Fracture Auto Racing an instantaneous basilar skull fracture causes the driver to suffer sudden death when the brainstem snaps loose. this type of injury, called a basilar skull fracture, used to be shockingly common in. * at least 12 of the 15 drivers killed in major auto racing since 1991 died of injuries caused by violent motion of their. . Basilar Skull Fracture Auto Racing.
From ar.inspiredpencil.com
Basilar Skull Fracture Raccoon Eyes Basilar Skull Fracture Auto Racing most basilar skull fractures occur in the setting of severe head traumas, such as those caused by motor vehicle. an instantaneous basilar skull fracture causes the driver to suffer sudden death when the brainstem snaps loose. this type of injury, called a basilar skull fracture, used to be shockingly common in. * at least 12 of. Basilar Skull Fracture Auto Racing.
From medizzy.com
Sign and symptoms of basilar skull fracture MEDizzy Basilar Skull Fracture Auto Racing * at least 12 of the 15 drivers killed in major auto racing since 1991 died of injuries caused by violent motion of their. an instantaneous basilar skull fracture causes the driver to suffer sudden death when the brainstem snaps loose. most basilar skull fractures occur in the setting of severe head traumas, such as those caused. Basilar Skull Fracture Auto Racing.
From www.emdocs.net
Emergency Medicine EducationEM3AM Basilar Skull Basilar Skull Fracture Auto Racing this type of injury, called a basilar skull fracture, used to be shockingly common in. * at least 12 of the 15 drivers killed in major auto racing since 1991 died of injuries caused by violent motion of their. an instantaneous basilar skull fracture causes the driver to suffer sudden death when the brainstem snaps loose. . Basilar Skull Fracture Auto Racing.
From mavink.com
Basilar Skull Fracture Signs Basilar Skull Fracture Auto Racing * at least 12 of the 15 drivers killed in major auto racing since 1991 died of injuries caused by violent motion of their. most basilar skull fractures occur in the setting of severe head traumas, such as those caused by motor vehicle. just under seven years later, on february 18th, 2001 earnhardt too would be killed. Basilar Skull Fracture Auto Racing.
From kaloavatucker.blogspot.com
basal skull fracture sign Ava Tucker Basilar Skull Fracture Auto Racing most basilar skull fractures occur in the setting of severe head traumas, such as those caused by motor vehicle. an instantaneous basilar skull fracture causes the driver to suffer sudden death when the brainstem snaps loose. just under seven years later, on february 18th, 2001 earnhardt too would be killed in a race car, suffering a basilar.. Basilar Skull Fracture Auto Racing.
From www.researchgate.net
Initial noncontrasted CT brain, showing the basilar skull fracture Basilar Skull Fracture Auto Racing an instantaneous basilar skull fracture causes the driver to suffer sudden death when the brainstem snaps loose. * at least 12 of the 15 drivers killed in major auto racing since 1991 died of injuries caused by violent motion of their. most basilar skull fractures occur in the setting of severe head traumas, such as those caused. Basilar Skull Fracture Auto Racing.
From medizzy.com
Basal skull fracture MEDizzy Basilar Skull Fracture Auto Racing this type of injury, called a basilar skull fracture, used to be shockingly common in. just under seven years later, on february 18th, 2001 earnhardt too would be killed in a race car, suffering a basilar. an instantaneous basilar skull fracture causes the driver to suffer sudden death when the brainstem snaps loose. most basilar skull. Basilar Skull Fracture Auto Racing.
From www.researchgate.net
A 43yearold patient diagnosed with multiple basilar skull fracture Basilar Skull Fracture Auto Racing most basilar skull fractures occur in the setting of severe head traumas, such as those caused by motor vehicle. an instantaneous basilar skull fracture causes the driver to suffer sudden death when the brainstem snaps loose. * at least 12 of the 15 drivers killed in major auto racing since 1991 died of injuries caused by violent. Basilar Skull Fracture Auto Racing.
From www.animalia-life.club
Basilar Skull Fracture Dale Earnhardt Basilar Skull Fracture Auto Racing this type of injury, called a basilar skull fracture, used to be shockingly common in. an instantaneous basilar skull fracture causes the driver to suffer sudden death when the brainstem snaps loose. most basilar skull fractures occur in the setting of severe head traumas, such as those caused by motor vehicle. * at least 12 of. Basilar Skull Fracture Auto Racing.