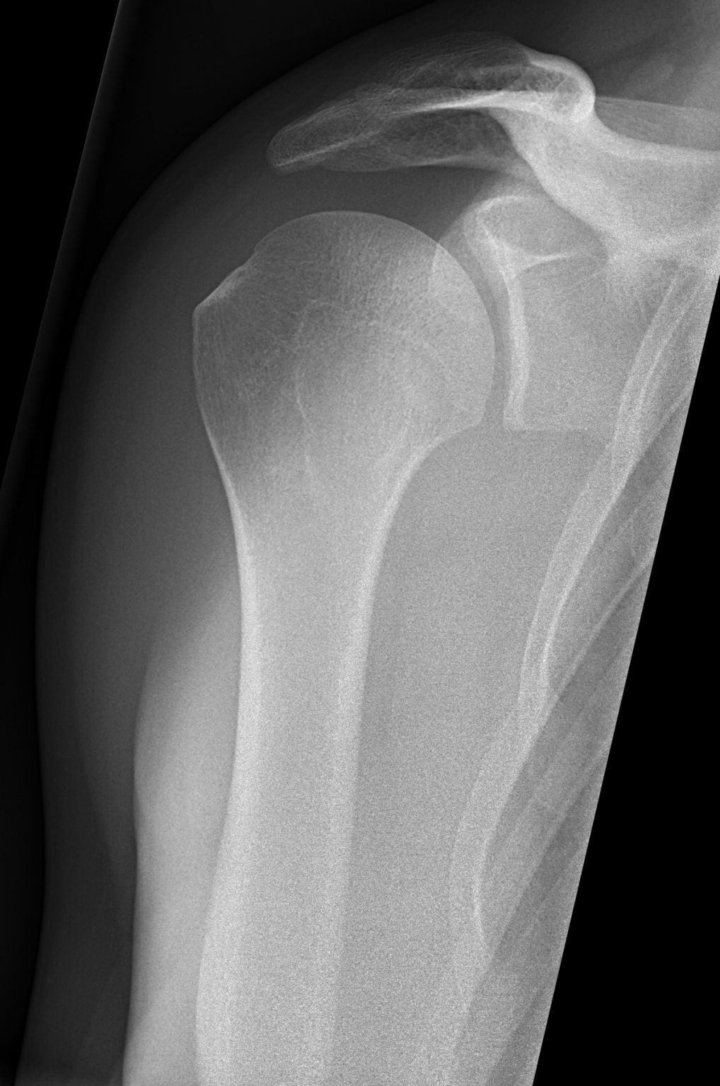
Grashey X Ray Labeled . The projection is used to assess the. the shoulder ap glenoid view also known as a true ap or a 'grashey view ' is an additional projection to the two view shoulder series. The overlap between the humerus and the glenoid seen on the ap view is removed in the grashey projection by rotating the patient posteriorly or angling the beam laterally. Mri is best for evaluating soft tissue structures and evaluating bone contusions or trabelcular. glenohumeral “true” ap (grashey) view. The true ap view, or grashey view ( fig. the shoulder series is fundamentally composed of two orthogonal views of the glenohumeral joint including the. The body has to be rotated about 30 to 45 degrees towards the shoulder to be imaged, and the standing or sitting patient.
from geekymedics.com
The true ap view, or grashey view ( fig. Mri is best for evaluating soft tissue structures and evaluating bone contusions or trabelcular. glenohumeral “true” ap (grashey) view. The body has to be rotated about 30 to 45 degrees towards the shoulder to be imaged, and the standing or sitting patient. the shoulder series is fundamentally composed of two orthogonal views of the glenohumeral joint including the. The projection is used to assess the. The overlap between the humerus and the glenoid seen on the ap view is removed in the grashey projection by rotating the patient posteriorly or angling the beam laterally. the shoulder ap glenoid view also known as a true ap or a 'grashey view ' is an additional projection to the two view shoulder series.
Shoulder Xray Interpretation Radiology Geeky Medics
Grashey X Ray Labeled Mri is best for evaluating soft tissue structures and evaluating bone contusions or trabelcular. Mri is best for evaluating soft tissue structures and evaluating bone contusions or trabelcular. The body has to be rotated about 30 to 45 degrees towards the shoulder to be imaged, and the standing or sitting patient. The true ap view, or grashey view ( fig. glenohumeral “true” ap (grashey) view. the shoulder ap glenoid view also known as a true ap or a 'grashey view ' is an additional projection to the two view shoulder series. The overlap between the humerus and the glenoid seen on the ap view is removed in the grashey projection by rotating the patient posteriorly or angling the beam laterally. The projection is used to assess the. the shoulder series is fundamentally composed of two orthogonal views of the glenohumeral joint including the.
From www.youtube.com
Lec 4 X ray Views of Orbit Rhese view mp4 YouTube Grashey X Ray Labeled The body has to be rotated about 30 to 45 degrees towards the shoulder to be imaged, and the standing or sitting patient. Mri is best for evaluating soft tissue structures and evaluating bone contusions or trabelcular. The projection is used to assess the. The true ap view, or grashey view ( fig. The overlap between the humerus and the. Grashey X Ray Labeled.
From www.pinterest.co.uk
Pin on ankle joint ap view basic Anatomy Grashey X Ray Labeled The true ap view, or grashey view ( fig. Mri is best for evaluating soft tissue structures and evaluating bone contusions or trabelcular. the shoulder ap glenoid view also known as a true ap or a 'grashey view ' is an additional projection to the two view shoulder series. glenohumeral “true” ap (grashey) view. The body has to. Grashey X Ray Labeled.
From quizlet.com
AP oblique projection (Grashey Method) Xray labeled with criteria Grashey X Ray Labeled glenohumeral “true” ap (grashey) view. The body has to be rotated about 30 to 45 degrees towards the shoulder to be imaged, and the standing or sitting patient. The projection is used to assess the. The true ap view, or grashey view ( fig. Mri is best for evaluating soft tissue structures and evaluating bone contusions or trabelcular. The. Grashey X Ray Labeled.
From www.youtube.com
Normal Chest XRay Labelled Anatomy PA View Part 1 CXR Interpretation Grashey X Ray Labeled glenohumeral “true” ap (grashey) view. The body has to be rotated about 30 to 45 degrees towards the shoulder to be imaged, and the standing or sitting patient. the shoulder series is fundamentally composed of two orthogonal views of the glenohumeral joint including the. The overlap between the humerus and the glenoid seen on the ap view is. Grashey X Ray Labeled.
From www.youtube.com
Xray Positioning and Evaluation AP Oblique Shoulder YouTube Grashey X Ray Labeled The overlap between the humerus and the glenoid seen on the ap view is removed in the grashey projection by rotating the patient posteriorly or angling the beam laterally. glenohumeral “true” ap (grashey) view. The body has to be rotated about 30 to 45 degrees towards the shoulder to be imaged, and the standing or sitting patient. the. Grashey X Ray Labeled.
From radiologykey.com
Shoulder Girdle Injuries Radiology Key Grashey X Ray Labeled Mri is best for evaluating soft tissue structures and evaluating bone contusions or trabelcular. the shoulder series is fundamentally composed of two orthogonal views of the glenohumeral joint including the. the shoulder ap glenoid view also known as a true ap or a 'grashey view ' is an additional projection to the two view shoulder series. The projection. Grashey X Ray Labeled.
From www.researchgate.net
Grashey radiograph of the right shoulder after attempted shoulder Grashey X Ray Labeled The projection is used to assess the. The true ap view, or grashey view ( fig. The body has to be rotated about 30 to 45 degrees towards the shoulder to be imaged, and the standing or sitting patient. the shoulder ap glenoid view also known as a true ap or a 'grashey view ' is an additional projection. Grashey X Ray Labeled.
From exodnigsi.blob.core.windows.net
Abdomen X Ray Anatomy Labeled at Sweeney blog Grashey X Ray Labeled The true ap view, or grashey view ( fig. the shoulder ap glenoid view also known as a true ap or a 'grashey view ' is an additional projection to the two view shoulder series. the shoulder series is fundamentally composed of two orthogonal views of the glenohumeral joint including the. Mri is best for evaluating soft tissue. Grashey X Ray Labeled.
From dxojwlzgn.blob.core.windows.net
Normal Chest X Ray Image With Labels at Andrew Lee blog Grashey X Ray Labeled The true ap view, or grashey view ( fig. The body has to be rotated about 30 to 45 degrees towards the shoulder to be imaged, and the standing or sitting patient. The overlap between the humerus and the glenoid seen on the ap view is removed in the grashey projection by rotating the patient posteriorly or angling the beam. Grashey X Ray Labeled.
From quizlet.com
DIAGRAM Posterior Oblique(Grashey Method) Glenoid Cavity(Xray) 2018 Grashey X Ray Labeled The body has to be rotated about 30 to 45 degrees towards the shoulder to be imaged, and the standing or sitting patient. the shoulder series is fundamentally composed of two orthogonal views of the glenohumeral joint including the. glenohumeral “true” ap (grashey) view. The projection is used to assess the. the shoulder ap glenoid view also. Grashey X Ray Labeled.
From www.alamy.de
Anteroposterior ansicht Fotos und Bildmaterial in hoher Auflösung Alamy Grashey X Ray Labeled the shoulder series is fundamentally composed of two orthogonal views of the glenohumeral joint including the. the shoulder ap glenoid view also known as a true ap or a 'grashey view ' is an additional projection to the two view shoulder series. glenohumeral “true” ap (grashey) view. The true ap view, or grashey view ( fig. The. Grashey X Ray Labeled.
From radiopaedia.org
Image Grashey X Ray Labeled The projection is used to assess the. glenohumeral “true” ap (grashey) view. the shoulder series is fundamentally composed of two orthogonal views of the glenohumeral joint including the. The body has to be rotated about 30 to 45 degrees towards the shoulder to be imaged, and the standing or sitting patient. The true ap view, or grashey view. Grashey X Ray Labeled.
From www.vrogue.co
Radiographic Anatomy Of The Skeleton Cervical Spine A vrogue.co Grashey X Ray Labeled The overlap between the humerus and the glenoid seen on the ap view is removed in the grashey projection by rotating the patient posteriorly or angling the beam laterally. the shoulder ap glenoid view also known as a true ap or a 'grashey view ' is an additional projection to the two view shoulder series. The body has to. Grashey X Ray Labeled.
From geekymedics.com
Shoulder Xray Interpretation Radiology Geeky Medics Grashey X Ray Labeled The overlap between the humerus and the glenoid seen on the ap view is removed in the grashey projection by rotating the patient posteriorly or angling the beam laterally. the shoulder ap glenoid view also known as a true ap or a 'grashey view ' is an additional projection to the two view shoulder series. the shoulder series. Grashey X Ray Labeled.
From quizlet.com
AP Hip XRay Labeled Diagram Quizlet Grashey X Ray Labeled Mri is best for evaluating soft tissue structures and evaluating bone contusions or trabelcular. the shoulder ap glenoid view also known as a true ap or a 'grashey view ' is an additional projection to the two view shoulder series. The body has to be rotated about 30 to 45 degrees towards the shoulder to be imaged, and the. Grashey X Ray Labeled.
From cesxozvh.blob.core.windows.net
Shoulder X Ray Views Radiopaedia at Peterson blog Grashey X Ray Labeled The body has to be rotated about 30 to 45 degrees towards the shoulder to be imaged, and the standing or sitting patient. glenohumeral “true” ap (grashey) view. the shoulder ap glenoid view also known as a true ap or a 'grashey view ' is an additional projection to the two view shoulder series. The true ap view,. Grashey X Ray Labeled.
From www.semanticscholar.org
Figure 5 from True anteroposterior (Grashey) view as a screening Grashey X Ray Labeled The body has to be rotated about 30 to 45 degrees towards the shoulder to be imaged, and the standing or sitting patient. The overlap between the humerus and the glenoid seen on the ap view is removed in the grashey projection by rotating the patient posteriorly or angling the beam laterally. glenohumeral “true” ap (grashey) view. Mri is. Grashey X Ray Labeled.
From dxodeatea.blob.core.windows.net
Labeled Xray Of Pelvis at Sandra Ferguson blog Grashey X Ray Labeled glenohumeral “true” ap (grashey) view. the shoulder ap glenoid view also known as a true ap or a 'grashey view ' is an additional projection to the two view shoulder series. the shoulder series is fundamentally composed of two orthogonal views of the glenohumeral joint including the. The body has to be rotated about 30 to 45. Grashey X Ray Labeled.
From www.radshare.net
Posterior shoulder dislocation and reverse HillSachs Radiology Case Grashey X Ray Labeled The body has to be rotated about 30 to 45 degrees towards the shoulder to be imaged, and the standing or sitting patient. Mri is best for evaluating soft tissue structures and evaluating bone contusions or trabelcular. the shoulder ap glenoid view also known as a true ap or a 'grashey view ' is an additional projection to the. Grashey X Ray Labeled.
From stock.adobe.com
Xray of Shoulder joint Grashey view for diagnosis shoulder joint from Grashey X Ray Labeled the shoulder series is fundamentally composed of two orthogonal views of the glenohumeral joint including the. The body has to be rotated about 30 to 45 degrees towards the shoulder to be imaged, and the standing or sitting patient. The projection is used to assess the. glenohumeral “true” ap (grashey) view. The overlap between the humerus and the. Grashey X Ray Labeled.
From www.pinterest.co.kr
Skull Radiographic Anatomy wikiRadiography Radiologic technology Grashey X Ray Labeled glenohumeral “true” ap (grashey) view. the shoulder series is fundamentally composed of two orthogonal views of the glenohumeral joint including the. Mri is best for evaluating soft tissue structures and evaluating bone contusions or trabelcular. the shoulder ap glenoid view also known as a true ap or a 'grashey view ' is an additional projection to the. Grashey X Ray Labeled.
From www.vrogue.co
Labeled Elbow Xray Anatomy Oblique View Anatomy Grepm vrogue.co Grashey X Ray Labeled Mri is best for evaluating soft tissue structures and evaluating bone contusions or trabelcular. The true ap view, or grashey view ( fig. the shoulder series is fundamentally composed of two orthogonal views of the glenohumeral joint including the. glenohumeral “true” ap (grashey) view. The overlap between the humerus and the glenoid seen on the ap view is. Grashey X Ray Labeled.
From www.pinterest.co.uk
XRay of Shoulder and Chest Bones Grashey X Ray Labeled The projection is used to assess the. The overlap between the humerus and the glenoid seen on the ap view is removed in the grashey projection by rotating the patient posteriorly or angling the beam laterally. The true ap view, or grashey view ( fig. the shoulder series is fundamentally composed of two orthogonal views of the glenohumeral joint. Grashey X Ray Labeled.
From exorxgvpx.blob.core.windows.net
XRay Of The Shoulder 1 View at Jackie Grisby blog Grashey X Ray Labeled The overlap between the humerus and the glenoid seen on the ap view is removed in the grashey projection by rotating the patient posteriorly or angling the beam laterally. glenohumeral “true” ap (grashey) view. The true ap view, or grashey view ( fig. the shoulder ap glenoid view also known as a true ap or a 'grashey view. Grashey X Ray Labeled.
From www.purposegames.com
Grashey Shoulder XRay Anatomy — Printable Worksheet Grashey X Ray Labeled The true ap view, or grashey view ( fig. The projection is used to assess the. The overlap between the humerus and the glenoid seen on the ap view is removed in the grashey projection by rotating the patient posteriorly or angling the beam laterally. Mri is best for evaluating soft tissue structures and evaluating bone contusions or trabelcular. . Grashey X Ray Labeled.
From quizlet.com
Lateral Hip XRay Labeled Diagram Quizlet Grashey X Ray Labeled The overlap between the humerus and the glenoid seen on the ap view is removed in the grashey projection by rotating the patient posteriorly or angling the beam laterally. Mri is best for evaluating soft tissue structures and evaluating bone contusions or trabelcular. The body has to be rotated about 30 to 45 degrees towards the shoulder to be imaged,. Grashey X Ray Labeled.
From musculoskeletalkey.com
Glenohumeral Joint Imaging Musculoskeletal Key Grashey X Ray Labeled The true ap view, or grashey view ( fig. glenohumeral “true” ap (grashey) view. The projection is used to assess the. Mri is best for evaluating soft tissue structures and evaluating bone contusions or trabelcular. The body has to be rotated about 30 to 45 degrees towards the shoulder to be imaged, and the standing or sitting patient. . Grashey X Ray Labeled.
From quizlet.com
lateral c spine xray labeling Diagram Quizlet Grashey X Ray Labeled glenohumeral “true” ap (grashey) view. The overlap between the humerus and the glenoid seen on the ap view is removed in the grashey projection by rotating the patient posteriorly or angling the beam laterally. Mri is best for evaluating soft tissue structures and evaluating bone contusions or trabelcular. the shoulder ap glenoid view also known as a true. Grashey X Ray Labeled.
From gbu-presnenskij.ru
Labeled Hip XRay Anatomy By Naveen Sharma TheRadiologist , 43 OFF Grashey X Ray Labeled Mri is best for evaluating soft tissue structures and evaluating bone contusions or trabelcular. The overlap between the humerus and the glenoid seen on the ap view is removed in the grashey projection by rotating the patient posteriorly or angling the beam laterally. glenohumeral “true” ap (grashey) view. The projection is used to assess the. The true ap view,. Grashey X Ray Labeled.
From www.myxxgirl.com
Ap Skull X Ray X Ray Skull Ap And Lateral View Showing The Retailed Grashey X Ray Labeled The body has to be rotated about 30 to 45 degrees towards the shoulder to be imaged, and the standing or sitting patient. glenohumeral “true” ap (grashey) view. The overlap between the humerus and the glenoid seen on the ap view is removed in the grashey projection by rotating the patient posteriorly or angling the beam laterally. Mri is. Grashey X Ray Labeled.
From www.vrogue.co
Thoracic Spine Radiographic Anatomy Radiologypics Com vrogue.co Grashey X Ray Labeled glenohumeral “true” ap (grashey) view. the shoulder series is fundamentally composed of two orthogonal views of the glenohumeral joint including the. The body has to be rotated about 30 to 45 degrees towards the shoulder to be imaged, and the standing or sitting patient. The true ap view, or grashey view ( fig. Mri is best for evaluating. Grashey X Ray Labeled.
From www.pinterest.de
Scap Y xray Radiology imaging, Radiology, Diagnostic imaging Grashey X Ray Labeled the shoulder series is fundamentally composed of two orthogonal views of the glenohumeral joint including the. Mri is best for evaluating soft tissue structures and evaluating bone contusions or trabelcular. The overlap between the humerus and the glenoid seen on the ap view is removed in the grashey projection by rotating the patient posteriorly or angling the beam laterally.. Grashey X Ray Labeled.
From quizlet.com
TibFib AP XRay Labeled Diagram Quizlet Grashey X Ray Labeled glenohumeral “true” ap (grashey) view. the shoulder series is fundamentally composed of two orthogonal views of the glenohumeral joint including the. The overlap between the humerus and the glenoid seen on the ap view is removed in the grashey projection by rotating the patient posteriorly or angling the beam laterally. Mri is best for evaluating soft tissue structures. Grashey X Ray Labeled.
From ballpen.blog
전자기파 스펙트럼 대역의 구분, 특징과 활용 ilovemyage Grashey X Ray Labeled The overlap between the humerus and the glenoid seen on the ap view is removed in the grashey projection by rotating the patient posteriorly or angling the beam laterally. The body has to be rotated about 30 to 45 degrees towards the shoulder to be imaged, and the standing or sitting patient. Mri is best for evaluating soft tissue structures. Grashey X Ray Labeled.
From cehltjpi.blob.core.windows.net
Thoracic X Ray Labeled at Rhonda Jackson blog Grashey X Ray Labeled glenohumeral “true” ap (grashey) view. the shoulder series is fundamentally composed of two orthogonal views of the glenohumeral joint including the. Mri is best for evaluating soft tissue structures and evaluating bone contusions or trabelcular. The body has to be rotated about 30 to 45 degrees towards the shoulder to be imaged, and the standing or sitting patient.. Grashey X Ray Labeled.