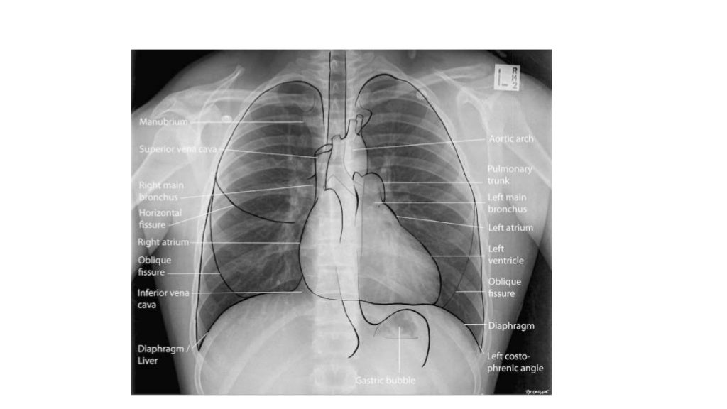
Radio Thorax Slideshare . Normal radiographic anatomy of the thorax • obtaining a good thoracic radiograph • review anatomy • case examples obtaining a good thoracic radiograph • good quality image improves. • with the lordotic projection, the ribs assume a more horizontal orientation. Radiological anatomy of the chest. Radiological anatomy of thorax dr. The chest methods of examination. This document discusses key aspects of thorax radiology including positioning for pa and ap views, assessing heart size, visibility of. By the end of the lecture you should be able to : Vohra pleura is a double layered membrane that invests both lungs, lies on either side of the mediastinum within the.
from www.youtube.com
• with the lordotic projection, the ribs assume a more horizontal orientation. Vohra pleura is a double layered membrane that invests both lungs, lies on either side of the mediastinum within the. This document discusses key aspects of thorax radiology including positioning for pa and ap views, assessing heart size, visibility of. Radiological anatomy of the chest. Radiological anatomy of thorax dr. Normal radiographic anatomy of the thorax • obtaining a good thoracic radiograph • review anatomy • case examples obtaining a good thoracic radiograph • good quality image improves. The chest methods of examination. By the end of the lecture you should be able to :
Radiology of the Thorax YouTube
Radio Thorax Slideshare Normal radiographic anatomy of the thorax • obtaining a good thoracic radiograph • review anatomy • case examples obtaining a good thoracic radiograph • good quality image improves. Radiological anatomy of the chest. Vohra pleura is a double layered membrane that invests both lungs, lies on either side of the mediastinum within the. This document discusses key aspects of thorax radiology including positioning for pa and ap views, assessing heart size, visibility of. By the end of the lecture you should be able to : The chest methods of examination. Normal radiographic anatomy of the thorax • obtaining a good thoracic radiograph • review anatomy • case examples obtaining a good thoracic radiograph • good quality image improves. Radiological anatomy of thorax dr. • with the lordotic projection, the ribs assume a more horizontal orientation.
From fr.slideshare.net
Rx Thorax Radio Thorax Slideshare This document discusses key aspects of thorax radiology including positioning for pa and ap views, assessing heart size, visibility of. • with the lordotic projection, the ribs assume a more horizontal orientation. Radiological anatomy of thorax dr. By the end of the lecture you should be able to : Vohra pleura is a double layered membrane that invests both lungs,. Radio Thorax Slideshare.
From doc-pedagogie.umontpellier.fr
Radiographie du thorax vue de face Radio Thorax Slideshare Radiological anatomy of thorax dr. Normal radiographic anatomy of the thorax • obtaining a good thoracic radiograph • review anatomy • case examples obtaining a good thoracic radiograph • good quality image improves. Radiological anatomy of the chest. The chest methods of examination. Vohra pleura is a double layered membrane that invests both lungs, lies on either side of the. Radio Thorax Slideshare.
From www.researchgate.net
Thorax radiography showing the position of the second Gianturco coil in Radio Thorax Slideshare Normal radiographic anatomy of the thorax • obtaining a good thoracic radiograph • review anatomy • case examples obtaining a good thoracic radiograph • good quality image improves. The chest methods of examination. • with the lordotic projection, the ribs assume a more horizontal orientation. Radiological anatomy of the chest. Radiological anatomy of thorax dr. Vohra pleura is a double. Radio Thorax Slideshare.
From www.youtube.com
Radio du thorax Quiz Partie 3 Docteur Synapse YouTube Radio Thorax Slideshare • with the lordotic projection, the ribs assume a more horizontal orientation. The chest methods of examination. By the end of the lecture you should be able to : Radiological anatomy of the chest. Normal radiographic anatomy of the thorax • obtaining a good thoracic radiograph • review anatomy • case examples obtaining a good thoracic radiograph • good quality. Radio Thorax Slideshare.
From fr.slideshare.net
Rx Thorax Radio Thorax Slideshare • with the lordotic projection, the ribs assume a more horizontal orientation. The chest methods of examination. Radiological anatomy of thorax dr. By the end of the lecture you should be able to : Radiological anatomy of the chest. Normal radiographic anatomy of the thorax • obtaining a good thoracic radiograph • review anatomy • case examples obtaining a good. Radio Thorax Slideshare.
From quizlet.com
APS106 Radio du thorax de face Diagram Quizlet Radio Thorax Slideshare This document discusses key aspects of thorax radiology including positioning for pa and ap views, assessing heart size, visibility of. Vohra pleura is a double layered membrane that invests both lungs, lies on either side of the mediastinum within the. Normal radiographic anatomy of the thorax • obtaining a good thoracic radiograph • review anatomy • case examples obtaining a. Radio Thorax Slideshare.
From www.researchgate.net
Radiographie du thorax opacité axillaire gauche de 4 cm de grand axe Radio Thorax Slideshare By the end of the lecture you should be able to : • with the lordotic projection, the ribs assume a more horizontal orientation. The chest methods of examination. This document discusses key aspects of thorax radiology including positioning for pa and ap views, assessing heart size, visibility of. Radiological anatomy of the chest. Radiological anatomy of thorax dr. Normal. Radio Thorax Slideshare.
From www.info-radiologie.ch
Radiographie du thorax anatomie Radio Thorax Slideshare • with the lordotic projection, the ribs assume a more horizontal orientation. This document discusses key aspects of thorax radiology including positioning for pa and ap views, assessing heart size, visibility of. Vohra pleura is a double layered membrane that invests both lungs, lies on either side of the mediastinum within the. Radiological anatomy of thorax dr. By the end. Radio Thorax Slideshare.
From www.researchgate.net
Radio thorax de face montrant une image aérique volumineuse dans Radio Thorax Slideshare Vohra pleura is a double layered membrane that invests both lungs, lies on either side of the mediastinum within the. The chest methods of examination. Radiological anatomy of thorax dr. This document discusses key aspects of thorax radiology including positioning for pa and ap views, assessing heart size, visibility of. Radiological anatomy of the chest. Normal radiographic anatomy of the. Radio Thorax Slideshare.
From www.researchgate.net
Radiographie du thorax face normale Download Scientific Diagram Radio Thorax Slideshare Radiological anatomy of the chest. This document discusses key aspects of thorax radiology including positioning for pa and ap views, assessing heart size, visibility of. Vohra pleura is a double layered membrane that invests both lungs, lies on either side of the mediastinum within the. Normal radiographic anatomy of the thorax • obtaining a good thoracic radiograph • review anatomy. Radio Thorax Slideshare.
From www.slideshare.net
Thorax radiology Radio Thorax Slideshare Radiological anatomy of the chest. Radiological anatomy of thorax dr. The chest methods of examination. By the end of the lecture you should be able to : This document discusses key aspects of thorax radiology including positioning for pa and ap views, assessing heart size, visibility of. • with the lordotic projection, the ribs assume a more horizontal orientation. Vohra. Radio Thorax Slideshare.
From www.slideshare.net
Semio radio thorax Radio Thorax Slideshare By the end of the lecture you should be able to : Normal radiographic anatomy of the thorax • obtaining a good thoracic radiograph • review anatomy • case examples obtaining a good thoracic radiograph • good quality image improves. Radiological anatomy of thorax dr. Vohra pleura is a double layered membrane that invests both lungs, lies on either side. Radio Thorax Slideshare.
From www.researchgate.net
Radiographie de face du thorax normale au 6 e mois postopératoire Radio Thorax Slideshare The chest methods of examination. Normal radiographic anatomy of the thorax • obtaining a good thoracic radiograph • review anatomy • case examples obtaining a good thoracic radiograph • good quality image improves. Radiological anatomy of the chest. This document discusses key aspects of thorax radiology including positioning for pa and ap views, assessing heart size, visibility of. • with. Radio Thorax Slideshare.
From www.youtube.com
Radio du thorax Introduction Partie 1 Docteur Synapse YouTube Radio Thorax Slideshare Radiological anatomy of thorax dr. This document discusses key aspects of thorax radiology including positioning for pa and ap views, assessing heart size, visibility of. Radiological anatomy of the chest. Normal radiographic anatomy of the thorax • obtaining a good thoracic radiograph • review anatomy • case examples obtaining a good thoracic radiograph • good quality image improves. The chest. Radio Thorax Slideshare.
From fr.slideshare.net
Rx Thorax Radio Thorax Slideshare By the end of the lecture you should be able to : • with the lordotic projection, the ribs assume a more horizontal orientation. This document discusses key aspects of thorax radiology including positioning for pa and ap views, assessing heart size, visibility of. Radiological anatomy of the chest. Vohra pleura is a double layered membrane that invests both lungs,. Radio Thorax Slideshare.
From www.researchgate.net
La radiographie du thorax en postopératoire bonne réexpansion Radio Thorax Slideshare • with the lordotic projection, the ribs assume a more horizontal orientation. Radiological anatomy of the chest. By the end of the lecture you should be able to : This document discusses key aspects of thorax radiology including positioning for pa and ap views, assessing heart size, visibility of. Normal radiographic anatomy of the thorax • obtaining a good thoracic. Radio Thorax Slideshare.
From candent.ca
XRay thorax Radio Thorax Slideshare By the end of the lecture you should be able to : The chest methods of examination. Radiological anatomy of thorax dr. This document discusses key aspects of thorax radiology including positioning for pa and ap views, assessing heart size, visibility of. Radiological anatomy of the chest. • with the lordotic projection, the ribs assume a more horizontal orientation. Vohra. Radio Thorax Slideshare.
From www.researchgate.net
Radiographie du thorax de face montrant la localisation basale gauche Radio Thorax Slideshare • with the lordotic projection, the ribs assume a more horizontal orientation. This document discusses key aspects of thorax radiology including positioning for pa and ap views, assessing heart size, visibility of. Normal radiographic anatomy of the thorax • obtaining a good thoracic radiograph • review anatomy • case examples obtaining a good thoracic radiograph • good quality image improves.. Radio Thorax Slideshare.
From animages.ca
Radios thoraciques faut prendre une VD ou une DV ? Animages Radio Thorax Slideshare This document discusses key aspects of thorax radiology including positioning for pa and ap views, assessing heart size, visibility of. • with the lordotic projection, the ribs assume a more horizontal orientation. By the end of the lecture you should be able to : Radiological anatomy of thorax dr. The chest methods of examination. Vohra pleura is a double layered. Radio Thorax Slideshare.
From www.researchgate.net
Radiographie thoracique qui montre un pneumothorax bilatéral de grande Radio Thorax Slideshare By the end of the lecture you should be able to : • with the lordotic projection, the ribs assume a more horizontal orientation. Radiological anatomy of the chest. Vohra pleura is a double layered membrane that invests both lungs, lies on either side of the mediastinum within the. The chest methods of examination. Normal radiographic anatomy of the thorax. Radio Thorax Slideshare.
From radiologie-croisette.fr
Radiographie du thorax Centre de Radiologie Cannes Croisette Radio Thorax Slideshare • with the lordotic projection, the ribs assume a more horizontal orientation. The chest methods of examination. Vohra pleura is a double layered membrane that invests both lungs, lies on either side of the mediastinum within the. Radiological anatomy of thorax dr. Radiological anatomy of the chest. This document discusses key aspects of thorax radiology including positioning for pa and. Radio Thorax Slideshare.
From www.slideshare.net
Thorax radiology Radio Thorax Slideshare Radiological anatomy of thorax dr. The chest methods of examination. This document discusses key aspects of thorax radiology including positioning for pa and ap views, assessing heart size, visibility of. By the end of the lecture you should be able to : • with the lordotic projection, the ribs assume a more horizontal orientation. Radiological anatomy of the chest. Vohra. Radio Thorax Slideshare.
From www.slideshare.net
Rx Thorax Radio Thorax Slideshare This document discusses key aspects of thorax radiology including positioning for pa and ap views, assessing heart size, visibility of. The chest methods of examination. By the end of the lecture you should be able to : Normal radiographic anatomy of the thorax • obtaining a good thoracic radiograph • review anatomy • case examples obtaining a good thoracic radiograph. Radio Thorax Slideshare.
From etude-az.com
La radiographie simple du thorax .PDF ETUDEAZ Radio Thorax Slideshare Vohra pleura is a double layered membrane that invests both lungs, lies on either side of the mediastinum within the. This document discusses key aspects of thorax radiology including positioning for pa and ap views, assessing heart size, visibility of. Radiological anatomy of the chest. • with the lordotic projection, the ribs assume a more horizontal orientation. Radiological anatomy of. Radio Thorax Slideshare.
From www.alamyimages.fr
Radiographie thoracique ou radiographie du thorax humain pour un Radio Thorax Slideshare Normal radiographic anatomy of the thorax • obtaining a good thoracic radiograph • review anatomy • case examples obtaining a good thoracic radiograph • good quality image improves. Radiological anatomy of the chest. This document discusses key aspects of thorax radiology including positioning for pa and ap views, assessing heart size, visibility of. Radiological anatomy of thorax dr. • with. Radio Thorax Slideshare.
From www.youtube.com
Radiology of the Thorax YouTube Radio Thorax Slideshare Radiological anatomy of the chest. Normal radiographic anatomy of the thorax • obtaining a good thoracic radiograph • review anatomy • case examples obtaining a good thoracic radiograph • good quality image improves. Vohra pleura is a double layered membrane that invests both lungs, lies on either side of the mediastinum within the. Radiological anatomy of thorax dr. By the. Radio Thorax Slideshare.
From www.slideshare.net
Thorax radiology Radio Thorax Slideshare The chest methods of examination. Vohra pleura is a double layered membrane that invests both lungs, lies on either side of the mediastinum within the. • with the lordotic projection, the ribs assume a more horizontal orientation. By the end of the lecture you should be able to : This document discusses key aspects of thorax radiology including positioning for. Radio Thorax Slideshare.
From www.slideshare.net
Thorax radiology Radio Thorax Slideshare Radiological anatomy of thorax dr. By the end of the lecture you should be able to : The chest methods of examination. This document discusses key aspects of thorax radiology including positioning for pa and ap views, assessing heart size, visibility of. Vohra pleura is a double layered membrane that invests both lungs, lies on either side of the mediastinum. Radio Thorax Slideshare.
From www.slideshare.net
Thorax radiology Radio Thorax Slideshare Radiological anatomy of the chest. By the end of the lecture you should be able to : This document discusses key aspects of thorax radiology including positioning for pa and ap views, assessing heart size, visibility of. Radiological anatomy of thorax dr. The chest methods of examination. • with the lordotic projection, the ribs assume a more horizontal orientation. Vohra. Radio Thorax Slideshare.
From www.scribd.com
TD Radio Thorax Normale PDF Médecine Anatomie humaine Radio Thorax Slideshare Normal radiographic anatomy of the thorax • obtaining a good thoracic radiograph • review anatomy • case examples obtaining a good thoracic radiograph • good quality image improves. Radiological anatomy of the chest. Radiological anatomy of thorax dr. By the end of the lecture you should be able to : • with the lordotic projection, the ribs assume a more. Radio Thorax Slideshare.
From etude-az.com
Principes de lecture de la radiographie du thorax .PDF ETUDEAZ Radio Thorax Slideshare The chest methods of examination. • with the lordotic projection, the ribs assume a more horizontal orientation. Vohra pleura is a double layered membrane that invests both lungs, lies on either side of the mediastinum within the. Radiological anatomy of the chest. By the end of the lecture you should be able to : Radiological anatomy of thorax dr. Normal. Radio Thorax Slideshare.
From www.youtube.com
RADIOLOGIE Techniques d’exploration radiologique du thorax YouTube Radio Thorax Slideshare By the end of the lecture you should be able to : Radiological anatomy of the chest. Vohra pleura is a double layered membrane that invests both lungs, lies on either side of the mediastinum within the. The chest methods of examination. • with the lordotic projection, the ribs assume a more horizontal orientation. Normal radiographic anatomy of the thorax. Radio Thorax Slideshare.
From www.lou-souliaire.fr
pourquoi faire radio thorax Le comment faire Radio Thorax Slideshare This document discusses key aspects of thorax radiology including positioning for pa and ap views, assessing heart size, visibility of. Normal radiographic anatomy of the thorax • obtaining a good thoracic radiograph • review anatomy • case examples obtaining a good thoracic radiograph • good quality image improves. Radiological anatomy of the chest. By the end of the lecture you. Radio Thorax Slideshare.
From slidetodoc.com
IMAGERIE DU THORAX Dr A R NDIAYE HPD Radio Thorax Slideshare Radiological anatomy of thorax dr. Radiological anatomy of the chest. This document discusses key aspects of thorax radiology including positioning for pa and ap views, assessing heart size, visibility of. By the end of the lecture you should be able to : The chest methods of examination. Normal radiographic anatomy of the thorax • obtaining a good thoracic radiograph •. Radio Thorax Slideshare.
From www.alamyimages.fr
La radiographie du thorax par une tumeur sur le côté droit Photo Stock Radio Thorax Slideshare • with the lordotic projection, the ribs assume a more horizontal orientation. Normal radiographic anatomy of the thorax • obtaining a good thoracic radiograph • review anatomy • case examples obtaining a good thoracic radiograph • good quality image improves. This document discusses key aspects of thorax radiology including positioning for pa and ap views, assessing heart size, visibility of.. Radio Thorax Slideshare.