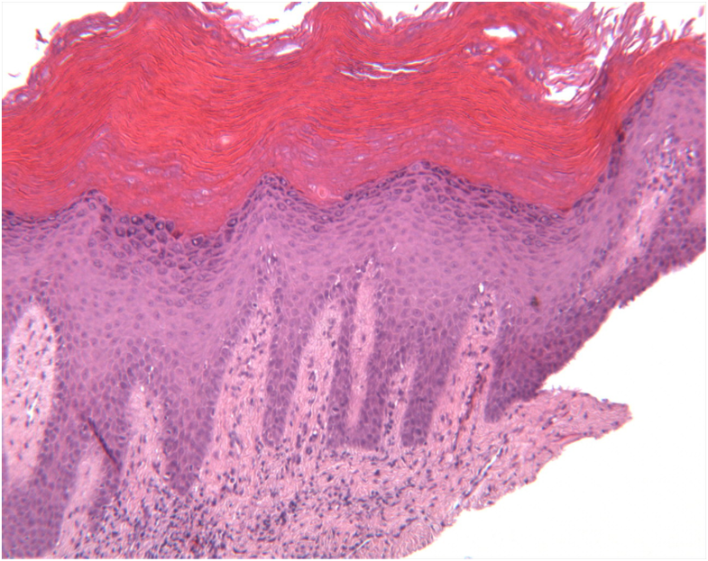
Laser Ablation Leukoplakia . Furthermore, the laser excision technique was found to be superior to laser. A clinical trial published by romeo et al. (2020) investigated the efficiency of co 2 laser ablation of oral leukoplakia on 30 patients (with a total of 33 oral leukoplakia. The study concluded that diode laser is an effective surgical treatment modality for treating leukoplakia. Oral leukoplakia (ol) is a white lesion with high potential of recurrence and malignant transformation. Laser therapy is one of the common treatment modalities for oral leukoplakia (olk). Based on the depth of tissue removed and the presence of dysplastic features, leukoplakia can be treated by two techniques. Treatment modalities for ol include scalpel excision, laser therapy, cryotherapy, topical application of bleomycin and vitamin a,. The pooled recurrence rate of olk received laser therapy.
from opmdcare.com
Treatment modalities for ol include scalpel excision, laser therapy, cryotherapy, topical application of bleomycin and vitamin a,. Oral leukoplakia (ol) is a white lesion with high potential of recurrence and malignant transformation. Laser therapy is one of the common treatment modalities for oral leukoplakia (olk). Furthermore, the laser excision technique was found to be superior to laser. Based on the depth of tissue removed and the presence of dysplastic features, leukoplakia can be treated by two techniques. The pooled recurrence rate of olk received laser therapy. (2020) investigated the efficiency of co 2 laser ablation of oral leukoplakia on 30 patients (with a total of 33 oral leukoplakia. A clinical trial published by romeo et al. The study concluded that diode laser is an effective surgical treatment modality for treating leukoplakia.
Oral Leukoplakia OPMDCARE
Laser Ablation Leukoplakia Treatment modalities for ol include scalpel excision, laser therapy, cryotherapy, topical application of bleomycin and vitamin a,. Oral leukoplakia (ol) is a white lesion with high potential of recurrence and malignant transformation. A clinical trial published by romeo et al. The pooled recurrence rate of olk received laser therapy. The study concluded that diode laser is an effective surgical treatment modality for treating leukoplakia. Furthermore, the laser excision technique was found to be superior to laser. Treatment modalities for ol include scalpel excision, laser therapy, cryotherapy, topical application of bleomycin and vitamin a,. (2020) investigated the efficiency of co 2 laser ablation of oral leukoplakia on 30 patients (with a total of 33 oral leukoplakia. Based on the depth of tissue removed and the presence of dysplastic features, leukoplakia can be treated by two techniques. Laser therapy is one of the common treatment modalities for oral leukoplakia (olk).
From www.researchgate.net
(PDF) Surgical Management of Oral Leukoplakia A Case of Laser Excision Laser Ablation Leukoplakia Based on the depth of tissue removed and the presence of dysplastic features, leukoplakia can be treated by two techniques. The study concluded that diode laser is an effective surgical treatment modality for treating leukoplakia. (2020) investigated the efficiency of co 2 laser ablation of oral leukoplakia on 30 patients (with a total of 33 oral leukoplakia. Treatment modalities for. Laser Ablation Leukoplakia.
From www.researchgate.net
(PDF) Laser Excision of Leukoplakia A Case Report Laser Ablation Leukoplakia Laser therapy is one of the common treatment modalities for oral leukoplakia (olk). The study concluded that diode laser is an effective surgical treatment modality for treating leukoplakia. Based on the depth of tissue removed and the presence of dysplastic features, leukoplakia can be treated by two techniques. Oral leukoplakia (ol) is a white lesion with high potential of recurrence. Laser Ablation Leukoplakia.
From www.dentaid.com
ORAL LEUKOPLAKIA, A POTENTIALLY MALIGNANT DISORDER DENTAID Expertise Laser Ablation Leukoplakia Based on the depth of tissue removed and the presence of dysplastic features, leukoplakia can be treated by two techniques. Laser therapy is one of the common treatment modalities for oral leukoplakia (olk). The study concluded that diode laser is an effective surgical treatment modality for treating leukoplakia. (2020) investigated the efficiency of co 2 laser ablation of oral leukoplakia. Laser Ablation Leukoplakia.
From www.mdpi.com
Membranes Free FullText Photocatalytic Performance Improvement by Laser Ablation Leukoplakia (2020) investigated the efficiency of co 2 laser ablation of oral leukoplakia on 30 patients (with a total of 33 oral leukoplakia. The study concluded that diode laser is an effective surgical treatment modality for treating leukoplakia. Laser therapy is one of the common treatment modalities for oral leukoplakia (olk). A clinical trial published by romeo et al. The pooled. Laser Ablation Leukoplakia.
From jkamprs.springeropen.com
Diode laser surgery in the treatment of oral proliferative verrucous Laser Ablation Leukoplakia Oral leukoplakia (ol) is a white lesion with high potential of recurrence and malignant transformation. A clinical trial published by romeo et al. Based on the depth of tissue removed and the presence of dysplastic features, leukoplakia can be treated by two techniques. Laser therapy is one of the common treatment modalities for oral leukoplakia (olk). Furthermore, the laser excision. Laser Ablation Leukoplakia.
From phys.org
Time resolved studies reveal the origin of the unparalleled high Laser Ablation Leukoplakia Oral leukoplakia (ol) is a white lesion with high potential of recurrence and malignant transformation. A clinical trial published by romeo et al. Based on the depth of tissue removed and the presence of dysplastic features, leukoplakia can be treated by two techniques. The study concluded that diode laser is an effective surgical treatment modality for treating leukoplakia. Furthermore, the. Laser Ablation Leukoplakia.
From www.researchgate.net
Local ulceration after PDT. (A) Leukoplakia on hard palate, before Laser Ablation Leukoplakia Oral leukoplakia (ol) is a white lesion with high potential of recurrence and malignant transformation. (2020) investigated the efficiency of co 2 laser ablation of oral leukoplakia on 30 patients (with a total of 33 oral leukoplakia. Laser therapy is one of the common treatment modalities for oral leukoplakia (olk). Furthermore, the laser excision technique was found to be superior. Laser Ablation Leukoplakia.
From www.semanticscholar.org
Figure 5 from Excision of Oral Leukoplakia using 970 nm Diode Laser Laser Ablation Leukoplakia Based on the depth of tissue removed and the presence of dysplastic features, leukoplakia can be treated by two techniques. Laser therapy is one of the common treatment modalities for oral leukoplakia (olk). The study concluded that diode laser is an effective surgical treatment modality for treating leukoplakia. The pooled recurrence rate of olk received laser therapy. A clinical trial. Laser Ablation Leukoplakia.
From www.researchgate.net
(PDF) A comparative evaluation of diode laser ablation versus scalpel Laser Ablation Leukoplakia Based on the depth of tissue removed and the presence of dysplastic features, leukoplakia can be treated by two techniques. Furthermore, the laser excision technique was found to be superior to laser. The pooled recurrence rate of olk received laser therapy. A clinical trial published by romeo et al. Treatment modalities for ol include scalpel excision, laser therapy, cryotherapy, topical. Laser Ablation Leukoplakia.
From www.jove.com
MultiPhoton Laser Ablation of Cytoplasmic Microtubule Organizing Laser Ablation Leukoplakia (2020) investigated the efficiency of co 2 laser ablation of oral leukoplakia on 30 patients (with a total of 33 oral leukoplakia. Furthermore, the laser excision technique was found to be superior to laser. A clinical trial published by romeo et al. The study concluded that diode laser is an effective surgical treatment modality for treating leukoplakia. Oral leukoplakia (ol). Laser Ablation Leukoplakia.
From jkamprs.springeropen.com
Diode laser surgery in the treatment of oral proliferative verrucous Laser Ablation Leukoplakia The study concluded that diode laser is an effective surgical treatment modality for treating leukoplakia. (2020) investigated the efficiency of co 2 laser ablation of oral leukoplakia on 30 patients (with a total of 33 oral leukoplakia. A clinical trial published by romeo et al. Furthermore, the laser excision technique was found to be superior to laser. Treatment modalities for. Laser Ablation Leukoplakia.
From www.amazon.com
Laser Ablation in Liquids Principles and Applications in the Laser Ablation Leukoplakia The study concluded that diode laser is an effective surgical treatment modality for treating leukoplakia. Based on the depth of tissue removed and the presence of dysplastic features, leukoplakia can be treated by two techniques. A clinical trial published by romeo et al. The pooled recurrence rate of olk received laser therapy. Laser therapy is one of the common treatment. Laser Ablation Leukoplakia.
From bulletin.entnet.org
Oral Leukoplakia for Otolaryngologists AAOHNS Bulletin Laser Ablation Leukoplakia Based on the depth of tissue removed and the presence of dysplastic features, leukoplakia can be treated by two techniques. Treatment modalities for ol include scalpel excision, laser therapy, cryotherapy, topical application of bleomycin and vitamin a,. Furthermore, the laser excision technique was found to be superior to laser. Laser therapy is one of the common treatment modalities for oral. Laser Ablation Leukoplakia.
From www.youtube.com
laser therapy in Kolkata to treat oral leukoplakia, oral lichen planus Laser Ablation Leukoplakia Oral leukoplakia (ol) is a white lesion with high potential of recurrence and malignant transformation. The study concluded that diode laser is an effective surgical treatment modality for treating leukoplakia. The pooled recurrence rate of olk received laser therapy. Laser therapy is one of the common treatment modalities for oral leukoplakia (olk). A clinical trial published by romeo et al.. Laser Ablation Leukoplakia.
From www.youtube.com
Laser surgery of leukoplakia ( Laser Ablation ) YouTube Laser Ablation Leukoplakia Furthermore, the laser excision technique was found to be superior to laser. Based on the depth of tissue removed and the presence of dysplastic features, leukoplakia can be treated by two techniques. A clinical trial published by romeo et al. The study concluded that diode laser is an effective surgical treatment modality for treating leukoplakia. The pooled recurrence rate of. Laser Ablation Leukoplakia.
From www.youtube.com
Laser in Dentistry How to treat Leukoplakia/OSMF with the help of Laser Ablation Leukoplakia The study concluded that diode laser is an effective surgical treatment modality for treating leukoplakia. Oral leukoplakia (ol) is a white lesion with high potential of recurrence and malignant transformation. A clinical trial published by romeo et al. The pooled recurrence rate of olk received laser therapy. Based on the depth of tissue removed and the presence of dysplastic features,. Laser Ablation Leukoplakia.
From www.kenelec.com.au
Laser Ablation Used In Studies To Map Fossil Teeth Kenelec Scientific Laser Ablation Leukoplakia A clinical trial published by romeo et al. (2020) investigated the efficiency of co 2 laser ablation of oral leukoplakia on 30 patients (with a total of 33 oral leukoplakia. Based on the depth of tissue removed and the presence of dysplastic features, leukoplakia can be treated by two techniques. Laser therapy is one of the common treatment modalities for. Laser Ablation Leukoplakia.
From stock.adobe.com
Step by step Visualase is an MRIguided laser ablation system used to Laser Ablation Leukoplakia Laser therapy is one of the common treatment modalities for oral leukoplakia (olk). Oral leukoplakia (ol) is a white lesion with high potential of recurrence and malignant transformation. Based on the depth of tissue removed and the presence of dysplastic features, leukoplakia can be treated by two techniques. Treatment modalities for ol include scalpel excision, laser therapy, cryotherapy, topical application. Laser Ablation Leukoplakia.
From www.mdpi.com
Materials Free FullText Graphene Nanostructures by Pulsed Laser Laser Ablation Leukoplakia The study concluded that diode laser is an effective surgical treatment modality for treating leukoplakia. The pooled recurrence rate of olk received laser therapy. Laser therapy is one of the common treatment modalities for oral leukoplakia (olk). Treatment modalities for ol include scalpel excision, laser therapy, cryotherapy, topical application of bleomycin and vitamin a,. Oral leukoplakia (ol) is a white. Laser Ablation Leukoplakia.
From www.youtube.com
Oral leukoplakia LASER removal YouTube Laser Ablation Leukoplakia The study concluded that diode laser is an effective surgical treatment modality for treating leukoplakia. Oral leukoplakia (ol) is a white lesion with high potential of recurrence and malignant transformation. The pooled recurrence rate of olk received laser therapy. Treatment modalities for ol include scalpel excision, laser therapy, cryotherapy, topical application of bleomycin and vitamin a,. A clinical trial published. Laser Ablation Leukoplakia.
From www.researchgate.net
(A). Oral leukoplakia. (B). Frictional keratosis in the floor of mouth Laser Ablation Leukoplakia (2020) investigated the efficiency of co 2 laser ablation of oral leukoplakia on 30 patients (with a total of 33 oral leukoplakia. Laser therapy is one of the common treatment modalities for oral leukoplakia (olk). The study concluded that diode laser is an effective surgical treatment modality for treating leukoplakia. Based on the depth of tissue removed and the presence. Laser Ablation Leukoplakia.
From opmdcare.com
Oral Leukoplakia OPMDCARE Laser Ablation Leukoplakia The pooled recurrence rate of olk received laser therapy. A clinical trial published by romeo et al. Treatment modalities for ol include scalpel excision, laser therapy, cryotherapy, topical application of bleomycin and vitamin a,. Oral leukoplakia (ol) is a white lesion with high potential of recurrence and malignant transformation. Based on the depth of tissue removed and the presence of. Laser Ablation Leukoplakia.
From www.semanticscholar.org
Figure 1 from A comparative evaluation of diode laser ablation versus Laser Ablation Leukoplakia (2020) investigated the efficiency of co 2 laser ablation of oral leukoplakia on 30 patients (with a total of 33 oral leukoplakia. Laser therapy is one of the common treatment modalities for oral leukoplakia (olk). Based on the depth of tissue removed and the presence of dysplastic features, leukoplakia can be treated by two techniques. Oral leukoplakia (ol) is a. Laser Ablation Leukoplakia.
From www.barnaclinic.com
Laserablation Blog barnaclínicBlog barnaclínic Laser Ablation Leukoplakia The pooled recurrence rate of olk received laser therapy. A clinical trial published by romeo et al. Laser therapy is one of the common treatment modalities for oral leukoplakia (olk). Furthermore, the laser excision technique was found to be superior to laser. Oral leukoplakia (ol) is a white lesion with high potential of recurrence and malignant transformation. Based on the. Laser Ablation Leukoplakia.
From phys.org
Mechanisms of ultrafast gigahertz burst femtosecond laser ablation Laser Ablation Leukoplakia The study concluded that diode laser is an effective surgical treatment modality for treating leukoplakia. (2020) investigated the efficiency of co 2 laser ablation of oral leukoplakia on 30 patients (with a total of 33 oral leukoplakia. Furthermore, the laser excision technique was found to be superior to laser. Based on the depth of tissue removed and the presence of. Laser Ablation Leukoplakia.
From www.researchgate.net
(PDF) Oral Leukoplakia Management using Diode LASER A Case Report Laser Ablation Leukoplakia A clinical trial published by romeo et al. Treatment modalities for ol include scalpel excision, laser therapy, cryotherapy, topical application of bleomycin and vitamin a,. The pooled recurrence rate of olk received laser therapy. Furthermore, the laser excision technique was found to be superior to laser. Oral leukoplakia (ol) is a white lesion with high potential of recurrence and malignant. Laser Ablation Leukoplakia.
From slideplayer.com
Diseases of the Oral Cavity ppt video online download Laser Ablation Leukoplakia Based on the depth of tissue removed and the presence of dysplastic features, leukoplakia can be treated by two techniques. The pooled recurrence rate of olk received laser therapy. A clinical trial published by romeo et al. The study concluded that diode laser is an effective surgical treatment modality for treating leukoplakia. Furthermore, the laser excision technique was found to. Laser Ablation Leukoplakia.
From www.drajayjain.com
ENT Surgeon's blog Laser excision of Leukoplakia of the tongue Laser Ablation Leukoplakia The study concluded that diode laser is an effective surgical treatment modality for treating leukoplakia. Treatment modalities for ol include scalpel excision, laser therapy, cryotherapy, topical application of bleomycin and vitamin a,. Furthermore, the laser excision technique was found to be superior to laser. Laser therapy is one of the common treatment modalities for oral leukoplakia (olk). Based on the. Laser Ablation Leukoplakia.
From opmdcare.com
Oral Leukoplakia OPMDCARE Laser Ablation Leukoplakia Furthermore, the laser excision technique was found to be superior to laser. Oral leukoplakia (ol) is a white lesion with high potential of recurrence and malignant transformation. A clinical trial published by romeo et al. Based on the depth of tissue removed and the presence of dysplastic features, leukoplakia can be treated by two techniques. Treatment modalities for ol include. Laser Ablation Leukoplakia.
From opmdcare.com
Oral Leukoplakia OPMDCARE Laser Ablation Leukoplakia Treatment modalities for ol include scalpel excision, laser therapy, cryotherapy, topical application of bleomycin and vitamin a,. Oral leukoplakia (ol) is a white lesion with high potential of recurrence and malignant transformation. Based on the depth of tissue removed and the presence of dysplastic features, leukoplakia can be treated by two techniques. (2020) investigated the efficiency of co 2 laser. Laser Ablation Leukoplakia.
From www.researchgate.net
Oral leucoplakia of the gums (before the surgical treatment Laser Ablation Leukoplakia Oral leukoplakia (ol) is a white lesion with high potential of recurrence and malignant transformation. Treatment modalities for ol include scalpel excision, laser therapy, cryotherapy, topical application of bleomycin and vitamin a,. A clinical trial published by romeo et al. Laser therapy is one of the common treatment modalities for oral leukoplakia (olk). (2020) investigated the efficiency of co 2. Laser Ablation Leukoplakia.
From www.researchgate.net
Pretreatment and 3year followup of NdYAG lasertreated leukoplakia Laser Ablation Leukoplakia (2020) investigated the efficiency of co 2 laser ablation of oral leukoplakia on 30 patients (with a total of 33 oral leukoplakia. The study concluded that diode laser is an effective surgical treatment modality for treating leukoplakia. Laser therapy is one of the common treatment modalities for oral leukoplakia (olk). Furthermore, the laser excision technique was found to be superior. Laser Ablation Leukoplakia.
From www.semanticscholar.org
Figure 1 from Ultrasoundguided transperineal laser ablation for Laser Ablation Leukoplakia The study concluded that diode laser is an effective surgical treatment modality for treating leukoplakia. The pooled recurrence rate of olk received laser therapy. Laser therapy is one of the common treatment modalities for oral leukoplakia (olk). (2020) investigated the efficiency of co 2 laser ablation of oral leukoplakia on 30 patients (with a total of 33 oral leukoplakia. Furthermore,. Laser Ablation Leukoplakia.
From www.coherent.com
What is Laser Ablation? Definition and Meaning Coherent Laser Ablation Leukoplakia The study concluded that diode laser is an effective surgical treatment modality for treating leukoplakia. The pooled recurrence rate of olk received laser therapy. Laser therapy is one of the common treatment modalities for oral leukoplakia (olk). A clinical trial published by romeo et al. Treatment modalities for ol include scalpel excision, laser therapy, cryotherapy, topical application of bleomycin and. Laser Ablation Leukoplakia.
From www.lybrate.com
Leukoplakia Symptoms, Causes, Treatment, Cost, and Side Effects Laser Ablation Leukoplakia The study concluded that diode laser is an effective surgical treatment modality for treating leukoplakia. Treatment modalities for ol include scalpel excision, laser therapy, cryotherapy, topical application of bleomycin and vitamin a,. Based on the depth of tissue removed and the presence of dysplastic features, leukoplakia can be treated by two techniques. (2020) investigated the efficiency of co 2 laser. Laser Ablation Leukoplakia.