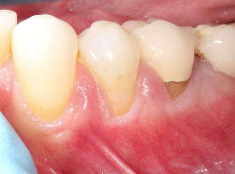
Do Gum Grafts Look Natural . do gum grafts look natural? Gum grafting procedures mirror natural gum appearance, creating a healthy smile. sensitivity should decrease, and the graft will blend more naturally with your existing gums. Yes, the gum grafts will look natural after healing fully, and people will hardly notice. a gum graft helps you keep your gum levels healthy. here’s a look at the truth about gum grafting, including when it’s needed and what you can expect during and after the procedure. yes, it certainly can, in case you’re wondering, “does gum grafting look natural?”. a gum graft might refer to a few different procedures, but all of them involve putting new gum tissue in a part of your mouth where your current. Gum grafting can indeed result in a natural, pink look. After all, your gums have attachment fibers inside of them that are responsible for.
from the-periodontists.com.au
here’s a look at the truth about gum grafting, including when it’s needed and what you can expect during and after the procedure. do gum grafts look natural? Gum grafting procedures mirror natural gum appearance, creating a healthy smile. a gum graft helps you keep your gum levels healthy. a gum graft might refer to a few different procedures, but all of them involve putting new gum tissue in a part of your mouth where your current. Yes, the gum grafts will look natural after healing fully, and people will hardly notice. yes, it certainly can, in case you’re wondering, “does gum grafting look natural?”. sensitivity should decrease, and the graft will blend more naturally with your existing gums. After all, your gums have attachment fibers inside of them that are responsible for. Gum grafting can indeed result in a natural, pink look.
Gingival (Gum) Grafting The Periodontists
Do Gum Grafts Look Natural here’s a look at the truth about gum grafting, including when it’s needed and what you can expect during and after the procedure. After all, your gums have attachment fibers inside of them that are responsible for. sensitivity should decrease, and the graft will blend more naturally with your existing gums. yes, it certainly can, in case you’re wondering, “does gum grafting look natural?”. a gum graft helps you keep your gum levels healthy. here’s a look at the truth about gum grafting, including when it’s needed and what you can expect during and after the procedure. a gum graft might refer to a few different procedures, but all of them involve putting new gum tissue in a part of your mouth where your current. Gum grafting procedures mirror natural gum appearance, creating a healthy smile. Gum grafting can indeed result in a natural, pink look. do gum grafts look natural? Yes, the gum grafts will look natural after healing fully, and people will hardly notice.
From www.coastaldentalimplant.com
Gum Grafting Top Periodontist Corpus Christi 78404 Do Gum Grafts Look Natural do gum grafts look natural? sensitivity should decrease, and the graft will blend more naturally with your existing gums. Gum grafting procedures mirror natural gum appearance, creating a healthy smile. yes, it certainly can, in case you’re wondering, “does gum grafting look natural?”. After all, your gums have attachment fibers inside of them that are responsible for.. Do Gum Grafts Look Natural.
From www.hellomagazine.com
Gum contouring and gum grafts before and after transformation HELLO! Do Gum Grafts Look Natural Gum grafting can indeed result in a natural, pink look. Yes, the gum grafts will look natural after healing fully, and people will hardly notice. do gum grafts look natural? sensitivity should decrease, and the graft will blend more naturally with your existing gums. yes, it certainly can, in case you’re wondering, “does gum grafting look natural?”.. Do Gum Grafts Look Natural.
From glenperio.com
Gum Grafts dental implants Glenview IL Glen Perio Dr. Joshua Hassan Do Gum Grafts Look Natural Yes, the gum grafts will look natural after healing fully, and people will hardly notice. yes, it certainly can, in case you’re wondering, “does gum grafting look natural?”. a gum graft helps you keep your gum levels healthy. here’s a look at the truth about gum grafting, including when it’s needed and what you can expect during. Do Gum Grafts Look Natural.
From www.healthbenefitstimes.com
Gingival graft (syn) Definition of Gingival graft (syn) Do Gum Grafts Look Natural Yes, the gum grafts will look natural after healing fully, and people will hardly notice. Gum grafting can indeed result in a natural, pink look. yes, it certainly can, in case you’re wondering, “does gum grafting look natural?”. do gum grafts look natural? After all, your gums have attachment fibers inside of them that are responsible for. . Do Gum Grafts Look Natural.
From www.drsamkhoury.com
Gum Grafts Before and After Dr. Sam Khoury Do Gum Grafts Look Natural Gum grafting can indeed result in a natural, pink look. After all, your gums have attachment fibers inside of them that are responsible for. yes, it certainly can, in case you’re wondering, “does gum grafting look natural?”. sensitivity should decrease, and the graft will blend more naturally with your existing gums. Yes, the gum grafts will look natural. Do Gum Grafts Look Natural.
From www.drczaplicki.com
Gum Graft Milwaukee, WI Czaplicki Family Dentistry Do Gum Grafts Look Natural yes, it certainly can, in case you’re wondering, “does gum grafting look natural?”. a gum graft helps you keep your gum levels healthy. After all, your gums have attachment fibers inside of them that are responsible for. Gum grafting procedures mirror natural gum appearance, creating a healthy smile. do gum grafts look natural? Yes, the gum grafts. Do Gum Grafts Look Natural.
From www.drsamkhoury.com
Gum Grafts Before and After Dr. Sam Khoury Do Gum Grafts Look Natural here’s a look at the truth about gum grafting, including when it’s needed and what you can expect during and after the procedure. a gum graft helps you keep your gum levels healthy. Gum grafting can indeed result in a natural, pink look. After all, your gums have attachment fibers inside of them that are responsible for. . Do Gum Grafts Look Natural.
From the-periodontists.com.au
Gingival (Gum) Grafting The Periodontists Do Gum Grafts Look Natural do gum grafts look natural? Yes, the gum grafts will look natural after healing fully, and people will hardly notice. a gum graft might refer to a few different procedures, but all of them involve putting new gum tissue in a part of your mouth where your current. Gum grafting can indeed result in a natural, pink look.. Do Gum Grafts Look Natural.
From www.jalewandowskidds.com
Gingival Gum Grafting J. A. Lewandowski, D.D.S. Leawood Kansas Do Gum Grafts Look Natural a gum graft helps you keep your gum levels healthy. here’s a look at the truth about gum grafting, including when it’s needed and what you can expect during and after the procedure. do gum grafts look natural? yes, it certainly can, in case you’re wondering, “does gum grafting look natural?”. After all, your gums have. Do Gum Grafts Look Natural.
From www.huntingtonbeachperiodontics.com
Gum Grafting Huntington Beach Cosmetic Periodontics Dr. Braga Do Gum Grafts Look Natural here’s a look at the truth about gum grafting, including when it’s needed and what you can expect during and after the procedure. sensitivity should decrease, and the graft will blend more naturally with your existing gums. Gum grafting can indeed result in a natural, pink look. a gum graft might refer to a few different procedures,. Do Gum Grafts Look Natural.
From www.3stepsmiles.com
Gum Tissue Graft Surgery procedure, causes, techniques and more Do Gum Grafts Look Natural Gum grafting can indeed result in a natural, pink look. Yes, the gum grafts will look natural after healing fully, and people will hardly notice. After all, your gums have attachment fibers inside of them that are responsible for. yes, it certainly can, in case you’re wondering, “does gum grafting look natural?”. here’s a look at the truth. Do Gum Grafts Look Natural.
From etoners.com.au
Gum Grafts Explained Etoners Do Gum Grafts Look Natural Gum grafting can indeed result in a natural, pink look. sensitivity should decrease, and the graft will blend more naturally with your existing gums. Yes, the gum grafts will look natural after healing fully, and people will hardly notice. here’s a look at the truth about gum grafting, including when it’s needed and what you can expect during. Do Gum Grafts Look Natural.
From www.huntingtonbeachperiodontics.com
Gum Grafting Huntington Beach Cosmetic Periodontics Dr. Braga Do Gum Grafts Look Natural yes, it certainly can, in case you’re wondering, “does gum grafting look natural?”. here’s a look at the truth about gum grafting, including when it’s needed and what you can expect during and after the procedure. After all, your gums have attachment fibers inside of them that are responsible for. a gum graft helps you keep your. Do Gum Grafts Look Natural.
From www.eastpointdental.com
Gum Grafting Blacklick Gingival Grafts Pedicle Grafts Do Gum Grafts Look Natural Gum grafting procedures mirror natural gum appearance, creating a healthy smile. yes, it certainly can, in case you’re wondering, “does gum grafting look natural?”. a gum graft might refer to a few different procedures, but all of them involve putting new gum tissue in a part of your mouth where your current. sensitivity should decrease, and the. Do Gum Grafts Look Natural.
From www.drsamkhoury.com
Gum Grafts Before and After Dr. Sam Khoury Do Gum Grafts Look Natural Gum grafting can indeed result in a natural, pink look. yes, it certainly can, in case you’re wondering, “does gum grafting look natural?”. sensitivity should decrease, and the graft will blend more naturally with your existing gums. After all, your gums have attachment fibers inside of them that are responsible for. do gum grafts look natural? . Do Gum Grafts Look Natural.
From www.atlasdental.ca
Gum Graft Atlas Dental Toronto Do Gum Grafts Look Natural yes, it certainly can, in case you’re wondering, “does gum grafting look natural?”. a gum graft helps you keep your gum levels healthy. a gum graft might refer to a few different procedures, but all of them involve putting new gum tissue in a part of your mouth where your current. Gum grafting can indeed result in. Do Gum Grafts Look Natural.
From exochpayj.blob.core.windows.net
Roof Of Mouth Gum Graft at Kyle Hicks blog Do Gum Grafts Look Natural a gum graft helps you keep your gum levels healthy. Gum grafting procedures mirror natural gum appearance, creating a healthy smile. yes, it certainly can, in case you’re wondering, “does gum grafting look natural?”. do gum grafts look natural? here’s a look at the truth about gum grafting, including when it’s needed and what you can. Do Gum Grafts Look Natural.
From exobkilbz.blob.core.windows.net
Dental Gum Graft Material at Michael Hatfield blog Do Gum Grafts Look Natural a gum graft helps you keep your gum levels healthy. After all, your gums have attachment fibers inside of them that are responsible for. sensitivity should decrease, and the graft will blend more naturally with your existing gums. yes, it certainly can, in case you’re wondering, “does gum grafting look natural?”. here’s a look at the. Do Gum Grafts Look Natural.
From www.winterfamilydental.com
Gum Grafts Winter Dental Do Gum Grafts Look Natural yes, it certainly can, in case you’re wondering, “does gum grafting look natural?”. Yes, the gum grafts will look natural after healing fully, and people will hardly notice. sensitivity should decrease, and the graft will blend more naturally with your existing gums. a gum graft helps you keep your gum levels healthy. Gum grafting procedures mirror natural. Do Gum Grafts Look Natural.
From www.huntingtonbeachperiodontics.com
Gum Grafting Huntington Beach Cosmetic Periodontics Dr. Braga Do Gum Grafts Look Natural do gum grafts look natural? a gum graft might refer to a few different procedures, but all of them involve putting new gum tissue in a part of your mouth where your current. After all, your gums have attachment fibers inside of them that are responsible for. Gum grafting procedures mirror natural gum appearance, creating a healthy smile.. Do Gum Grafts Look Natural.
From familydentistottawa.com
Gum Grafts Ottawa Periodontal Surgery for Receding Gums Do Gum Grafts Look Natural a gum graft helps you keep your gum levels healthy. do gum grafts look natural? a gum graft might refer to a few different procedures, but all of them involve putting new gum tissue in a part of your mouth where your current. Gum grafting procedures mirror natural gum appearance, creating a healthy smile. Yes, the gum. Do Gum Grafts Look Natural.
From www.periodontistphoenix.com
Gum Grafting Everything You Need to Know Arizona Periodontal Group Do Gum Grafts Look Natural After all, your gums have attachment fibers inside of them that are responsible for. do gum grafts look natural? a gum graft helps you keep your gum levels healthy. Gum grafting can indeed result in a natural, pink look. a gum graft might refer to a few different procedures, but all of them involve putting new gum. Do Gum Grafts Look Natural.
From www.bodyexpert.online
Dental bone graft what you need to know Body Expert Do Gum Grafts Look Natural Yes, the gum grafts will look natural after healing fully, and people will hardly notice. a gum graft might refer to a few different procedures, but all of them involve putting new gum tissue in a part of your mouth where your current. sensitivity should decrease, and the graft will blend more naturally with your existing gums. . Do Gum Grafts Look Natural.
From www.drsamkhoury.com
Gum Grafts Before and After Dr. Sam Khoury Do Gum Grafts Look Natural After all, your gums have attachment fibers inside of them that are responsible for. a gum graft helps you keep your gum levels healthy. a gum graft might refer to a few different procedures, but all of them involve putting new gum tissue in a part of your mouth where your current. yes, it certainly can, in. Do Gum Grafts Look Natural.
From www.huntingtonbeachperiodontics.com
Gum Grafting Huntington Beach Cosmetic Periodontics Dr. Braga Do Gum Grafts Look Natural After all, your gums have attachment fibers inside of them that are responsible for. Gum grafting can indeed result in a natural, pink look. sensitivity should decrease, and the graft will blend more naturally with your existing gums. yes, it certainly can, in case you’re wondering, “does gum grafting look natural?”. Yes, the gum grafts will look natural. Do Gum Grafts Look Natural.
From www.hellomagazine.com
Gum contouring and gum grafts before and after transformation HELLO! Do Gum Grafts Look Natural Gum grafting procedures mirror natural gum appearance, creating a healthy smile. a gum graft might refer to a few different procedures, but all of them involve putting new gum tissue in a part of your mouth where your current. a gum graft helps you keep your gum levels healthy. yes, it certainly can, in case you’re wondering,. Do Gum Grafts Look Natural.
From www.periodontalassociates.net
Gum Grafts Tampa, FL Brian T. van Aelst Do Gum Grafts Look Natural Yes, the gum grafts will look natural after healing fully, and people will hardly notice. Gum grafting procedures mirror natural gum appearance, creating a healthy smile. a gum graft helps you keep your gum levels healthy. sensitivity should decrease, and the graft will blend more naturally with your existing gums. yes, it certainly can, in case you’re. Do Gum Grafts Look Natural.
From www.drsamkhoury.com
Gum Grafts Before and After Dr. Sam Khoury Do Gum Grafts Look Natural After all, your gums have attachment fibers inside of them that are responsible for. yes, it certainly can, in case you’re wondering, “does gum grafting look natural?”. do gum grafts look natural? Yes, the gum grafts will look natural after healing fully, and people will hardly notice. a gum graft might refer to a few different procedures,. Do Gum Grafts Look Natural.
From southgablesdental.com
Gum Grafting Periodontist in Coral Gables & Miami South Gables Dental Do Gum Grafts Look Natural do gum grafts look natural? here’s a look at the truth about gum grafting, including when it’s needed and what you can expect during and after the procedure. Yes, the gum grafts will look natural after healing fully, and people will hardly notice. yes, it certainly can, in case you’re wondering, “does gum grafting look natural?”. . Do Gum Grafts Look Natural.
From www.implantperiospecialist.com
Gum Grafting for Treatment of Receding Gums in Vancouver Burnaby BC Do Gum Grafts Look Natural Gum grafting can indeed result in a natural, pink look. After all, your gums have attachment fibers inside of them that are responsible for. Gum grafting procedures mirror natural gum appearance, creating a healthy smile. here’s a look at the truth about gum grafting, including when it’s needed and what you can expect during and after the procedure. Yes,. Do Gum Grafts Look Natural.
From www.drsamkhoury.com
Gum Grafts Before and After Dr. Sam Khoury Do Gum Grafts Look Natural After all, your gums have attachment fibers inside of them that are responsible for. Yes, the gum grafts will look natural after healing fully, and people will hardly notice. Gum grafting procedures mirror natural gum appearance, creating a healthy smile. yes, it certainly can, in case you’re wondering, “does gum grafting look natural?”. sensitivity should decrease, and the. Do Gum Grafts Look Natural.
From www.drsamkhoury.com
Gum Grafts Before and After Dr. Sam Khoury Do Gum Grafts Look Natural a gum graft helps you keep your gum levels healthy. After all, your gums have attachment fibers inside of them that are responsible for. yes, it certainly can, in case you’re wondering, “does gum grafting look natural?”. here’s a look at the truth about gum grafting, including when it’s needed and what you can expect during and. Do Gum Grafts Look Natural.
From the-periodontists.com.au
Gingival (Gum) Grafting The Periodontists Do Gum Grafts Look Natural Yes, the gum grafts will look natural after healing fully, and people will hardly notice. sensitivity should decrease, and the graft will blend more naturally with your existing gums. After all, your gums have attachment fibers inside of them that are responsible for. a gum graft helps you keep your gum levels healthy. here’s a look at. Do Gum Grafts Look Natural.
From www.drsamkhoury.com
Gum Grafts Before and After Dr. Sam Khoury Do Gum Grafts Look Natural After all, your gums have attachment fibers inside of them that are responsible for. a gum graft helps you keep your gum levels healthy. Gum grafting procedures mirror natural gum appearance, creating a healthy smile. do gum grafts look natural? yes, it certainly can, in case you’re wondering, “does gum grafting look natural?”. here’s a look. Do Gum Grafts Look Natural.
From www.huntingtonbeachperiodontics.com
Gum Grafting Huntington Beach Cosmetic Periodontics Dr. Braga Do Gum Grafts Look Natural Gum grafting can indeed result in a natural, pink look. After all, your gums have attachment fibers inside of them that are responsible for. yes, it certainly can, in case you’re wondering, “does gum grafting look natural?”. Gum grafting procedures mirror natural gum appearance, creating a healthy smile. sensitivity should decrease, and the graft will blend more naturally. Do Gum Grafts Look Natural.