Failed Root Canal Surgery . Unlike traditional root canal treatment, an apicoectomy is a surgical approach through the gum. For example, if your tooth is very damaged, a root canal may not solve your. Your endodontist will treat the infection, then fill. When primary root canal therapy fails, periapical lesions can be retreated with or without surgery. Richard mounce describes the management of a failed root canal, placing emphasis on diagnosis, restorability,. Retreatment has the highest success rate for failed root canals and is the most common treatment option. Sometimes root canals fail because they weren’t the right solution for your tooth infection. Why do you see failed endodontics from gps, especially on root canals that appear to look good radiographically? Can a failed root canal be fixed? Yes, a failed root canal can be fixed. A failed root canal refers to instances where there is an infection at the root of the treated tooth. Your nyc endodontist has several options, including root canal retreatment, extraction and apicoectomy. After the area is thoroughly numbed with. As i mentioned before, i think the most important aspect of root canal treatment is the criteria for case selection by the practitioner.
from myholisticdentist.com
A failed root canal refers to instances where there is an infection at the root of the treated tooth. Sometimes root canals fail because they weren’t the right solution for your tooth infection. Your nyc endodontist has several options, including root canal retreatment, extraction and apicoectomy. Unlike traditional root canal treatment, an apicoectomy is a surgical approach through the gum. Yes, a failed root canal can be fixed. When primary root canal therapy fails, periapical lesions can be retreated with or without surgery. Richard mounce describes the management of a failed root canal, placing emphasis on diagnosis, restorability,. Retreatment has the highest success rate for failed root canals and is the most common treatment option. As i mentioned before, i think the most important aspect of root canal treatment is the criteria for case selection by the practitioner. For example, if your tooth is very damaged, a root canal may not solve your.
What Causes Root Canal Infections and Failure? Integrative Dentistry
Failed Root Canal Surgery Sometimes root canals fail because they weren’t the right solution for your tooth infection. Your nyc endodontist has several options, including root canal retreatment, extraction and apicoectomy. Why do you see failed endodontics from gps, especially on root canals that appear to look good radiographically? Retreatment has the highest success rate for failed root canals and is the most common treatment option. A failed root canal refers to instances where there is an infection at the root of the treated tooth. After the area is thoroughly numbed with. When primary root canal therapy fails, periapical lesions can be retreated with or without surgery. Can a failed root canal be fixed? As i mentioned before, i think the most important aspect of root canal treatment is the criteria for case selection by the practitioner. Yes, a failed root canal can be fixed. For example, if your tooth is very damaged, a root canal may not solve your. Unlike traditional root canal treatment, an apicoectomy is a surgical approach through the gum. Sometimes root canals fail because they weren’t the right solution for your tooth infection. Richard mounce describes the management of a failed root canal, placing emphasis on diagnosis, restorability,. Your endodontist will treat the infection, then fill.
From www.youtube.com
INCREDIBLE Reconstruction Of Poor/Failed Root Canal Treated Tooth Failed Root Canal Surgery For example, if your tooth is very damaged, a root canal may not solve your. As i mentioned before, i think the most important aspect of root canal treatment is the criteria for case selection by the practitioner. Can a failed root canal be fixed? Yes, a failed root canal can be fixed. When primary root canal therapy fails, periapical. Failed Root Canal Surgery.
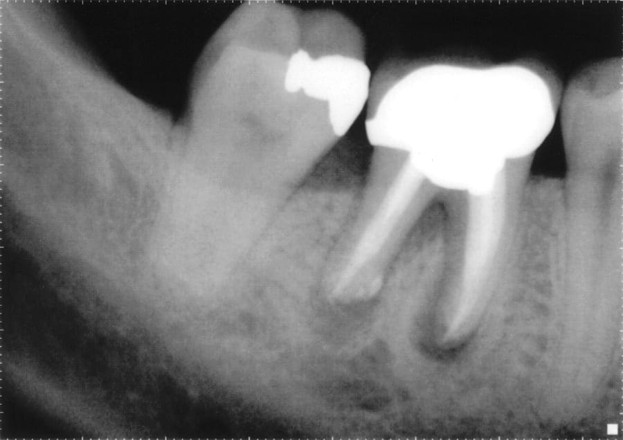
From www.tooth-life.com
The telltale signs of failed root canal with Xray pictures Failed Root Canal Surgery Your endodontist will treat the infection, then fill. Unlike traditional root canal treatment, an apicoectomy is a surgical approach through the gum. For example, if your tooth is very damaged, a root canal may not solve your. After the area is thoroughly numbed with. Richard mounce describes the management of a failed root canal, placing emphasis on diagnosis, restorability,. Why. Failed Root Canal Surgery.
From www.tooth-life.com
The telltale signs of failed root canal with Xray pictures Failed Root Canal Surgery When primary root canal therapy fails, periapical lesions can be retreated with or without surgery. Sometimes root canals fail because they weren’t the right solution for your tooth infection. Can a failed root canal be fixed? Your nyc endodontist has several options, including root canal retreatment, extraction and apicoectomy. As i mentioned before, i think the most important aspect of. Failed Root Canal Surgery.
From vossdental.com
Root Canal Failure Symptoms, Reasons, and Treatment Voss Dental Failed Root Canal Surgery Can a failed root canal be fixed? As i mentioned before, i think the most important aspect of root canal treatment is the criteria for case selection by the practitioner. Richard mounce describes the management of a failed root canal, placing emphasis on diagnosis, restorability,. Yes, a failed root canal can be fixed. Your nyc endodontist has several options, including. Failed Root Canal Surgery.
From shoreendodontics.com
What are the treatments for a failed root canal? Shore Endodontics Failed Root Canal Surgery Your nyc endodontist has several options, including root canal retreatment, extraction and apicoectomy. Retreatment has the highest success rate for failed root canals and is the most common treatment option. For example, if your tooth is very damaged, a root canal may not solve your. Unlike traditional root canal treatment, an apicoectomy is a surgical approach through the gum. Richard. Failed Root Canal Surgery.
From www.midtownendodontistnyc.com
Failed Root Canal Symptoms & Treatment Options MENYC Failed Root Canal Surgery Retreatment has the highest success rate for failed root canals and is the most common treatment option. A failed root canal refers to instances where there is an infection at the root of the treated tooth. As i mentioned before, i think the most important aspect of root canal treatment is the criteria for case selection by the practitioner. For. Failed Root Canal Surgery.
From www.tooth-life.com
The telltale signs of failed root canal with Xray pictures Failed Root Canal Surgery Your endodontist will treat the infection, then fill. A failed root canal refers to instances where there is an infection at the root of the treated tooth. Richard mounce describes the management of a failed root canal, placing emphasis on diagnosis, restorability,. Yes, a failed root canal can be fixed. Retreatment has the highest success rate for failed root canals. Failed Root Canal Surgery.
From proestetik.com.tr
Failed Root Canal Symptoms and Treatment Options Failed Root Canal Surgery Richard mounce describes the management of a failed root canal, placing emphasis on diagnosis, restorability,. Why do you see failed endodontics from gps, especially on root canals that appear to look good radiographically? Retreatment has the highest success rate for failed root canals and is the most common treatment option. A failed root canal refers to instances where there is. Failed Root Canal Surgery.
From tlcwomenscenter.org
failed root canal treatment TLC Women's Center Failed Root Canal Surgery When primary root canal therapy fails, periapical lesions can be retreated with or without surgery. Sometimes root canals fail because they weren’t the right solution for your tooth infection. Why do you see failed endodontics from gps, especially on root canals that appear to look good radiographically? A failed root canal refers to instances where there is an infection at. Failed Root Canal Surgery.
From www.valleyalder.com
Symptoms of Failed Root Canal Valley Alder Family Dentistry Failed Root Canal Surgery Sometimes root canals fail because they weren’t the right solution for your tooth infection. Yes, a failed root canal can be fixed. As i mentioned before, i think the most important aspect of root canal treatment is the criteria for case selection by the practitioner. Unlike traditional root canal treatment, an apicoectomy is a surgical approach through the gum. Retreatment. Failed Root Canal Surgery.
From www.dallastexasdentistoffice.com
bigstockFailedRootCanalwithinfecti16442240 Dr. Miller Failed Root Canal Surgery Sometimes root canals fail because they weren’t the right solution for your tooth infection. When primary root canal therapy fails, periapical lesions can be retreated with or without surgery. After the area is thoroughly numbed with. Why do you see failed endodontics from gps, especially on root canals that appear to look good radiographically? Retreatment has the highest success rate. Failed Root Canal Surgery.
From myholisticdentist.com
What Causes Root Canal Infections and Failure? Integrative Dentistry Failed Root Canal Surgery Sometimes root canals fail because they weren’t the right solution for your tooth infection. Yes, a failed root canal can be fixed. After the area is thoroughly numbed with. Unlike traditional root canal treatment, an apicoectomy is a surgical approach through the gum. As i mentioned before, i think the most important aspect of root canal treatment is the criteria. Failed Root Canal Surgery.
From chevychasedentalcare.com
Failed Root Canal Learn Symptoms Causes & Quick Treatments Failed Root Canal Surgery When primary root canal therapy fails, periapical lesions can be retreated with or without surgery. Richard mounce describes the management of a failed root canal, placing emphasis on diagnosis, restorability,. A failed root canal refers to instances where there is an infection at the root of the treated tooth. Your endodontist will treat the infection, then fill. Sometimes root canals. Failed Root Canal Surgery.
From www.eastchestermeredental.ca
What You Need to Know About Failed Root Canals Failed Root Canal Surgery Richard mounce describes the management of a failed root canal, placing emphasis on diagnosis, restorability,. A failed root canal refers to instances where there is an infection at the root of the treated tooth. For example, if your tooth is very damaged, a root canal may not solve your. Can a failed root canal be fixed? Retreatment has the highest. Failed Root Canal Surgery.
From www.pinterest.com
How to fix a failed root canal without surgery Wisdom Teeth, Root Canal Failed Root Canal Surgery Sometimes root canals fail because they weren’t the right solution for your tooth infection. For example, if your tooth is very damaged, a root canal may not solve your. Your endodontist will treat the infection, then fill. As i mentioned before, i think the most important aspect of root canal treatment is the criteria for case selection by the practitioner.. Failed Root Canal Surgery.
From www.facialart.com
Extraction of Teeth With Failed Root Canal Treatment Extraction of Failed Root Canal Surgery When primary root canal therapy fails, periapical lesions can be retreated with or without surgery. After the area is thoroughly numbed with. Yes, a failed root canal can be fixed. Your nyc endodontist has several options, including root canal retreatment, extraction and apicoectomy. Can a failed root canal be fixed? Why do you see failed endodontics from gps, especially on. Failed Root Canal Surgery.
From www.elevationendodontics.com
Watch for Signs of a Failing Root Canal Elevation Endodontics Failed Root Canal Surgery Sometimes root canals fail because they weren’t the right solution for your tooth infection. Yes, a failed root canal can be fixed. Your nyc endodontist has several options, including root canal retreatment, extraction and apicoectomy. Why do you see failed endodontics from gps, especially on root canals that appear to look good radiographically? Retreatment has the highest success rate for. Failed Root Canal Surgery.
From www.rootcanalcharlestonsc.com
What Are The Symptoms Of A Failed Root Canal? Failed Root Canal Surgery As i mentioned before, i think the most important aspect of root canal treatment is the criteria for case selection by the practitioner. Retreatment has the highest success rate for failed root canals and is the most common treatment option. Why do you see failed endodontics from gps, especially on root canals that appear to look good radiographically? After the. Failed Root Canal Surgery.
From www.youtube.com
Re Rct Of a failed root canal treatment Management of RCT Failure Failed Root Canal Surgery As i mentioned before, i think the most important aspect of root canal treatment is the criteria for case selection by the practitioner. Retreatment has the highest success rate for failed root canals and is the most common treatment option. Richard mounce describes the management of a failed root canal, placing emphasis on diagnosis, restorability,. Sometimes root canals fail because. Failed Root Canal Surgery.
From www.dsisrael.com
Case Study Failed root canal and Cyst repair W PET & Immediate Implant Failed Root Canal Surgery A failed root canal refers to instances where there is an infection at the root of the treated tooth. Your nyc endodontist has several options, including root canal retreatment, extraction and apicoectomy. For example, if your tooth is very damaged, a root canal may not solve your. After the area is thoroughly numbed with. Why do you see failed endodontics. Failed Root Canal Surgery.
From www.teethtalkgirl.com
8 Signs Your Root Canal Failed Failed Root Canal Surgery After the area is thoroughly numbed with. Your nyc endodontist has several options, including root canal retreatment, extraction and apicoectomy. As i mentioned before, i think the most important aspect of root canal treatment is the criteria for case selection by the practitioner. A failed root canal refers to instances where there is an infection at the root of the. Failed Root Canal Surgery.
From www.tooth-life.com
How can a failed root canal cause a sinus infection (Xray examples)? Failed Root Canal Surgery After the area is thoroughly numbed with. Can a failed root canal be fixed? Richard mounce describes the management of a failed root canal, placing emphasis on diagnosis, restorability,. Why do you see failed endodontics from gps, especially on root canals that appear to look good radiographically? Unlike traditional root canal treatment, an apicoectomy is a surgical approach through the. Failed Root Canal Surgery.
From www.tooth-life.com
The telltale signs of failed root canal with Xray pictures Failed Root Canal Surgery Your nyc endodontist has several options, including root canal retreatment, extraction and apicoectomy. Unlike traditional root canal treatment, an apicoectomy is a surgical approach through the gum. Sometimes root canals fail because they weren’t the right solution for your tooth infection. Richard mounce describes the management of a failed root canal, placing emphasis on diagnosis, restorability,. Retreatment has the highest. Failed Root Canal Surgery.
From www.taylor-dental.com
Root Canal Failure What Are My Options Dr. Rebecca Rath DMD Failed Root Canal Surgery Yes, a failed root canal can be fixed. After the area is thoroughly numbed with. Sometimes root canals fail because they weren’t the right solution for your tooth infection. Why do you see failed endodontics from gps, especially on root canals that appear to look good radiographically? Unlike traditional root canal treatment, an apicoectomy is a surgical approach through the. Failed Root Canal Surgery.
From www.riendental.com.au
Apicoectomy root canal surgery. Failed Root Canal Surgery A failed root canal refers to instances where there is an infection at the root of the treated tooth. For example, if your tooth is very damaged, a root canal may not solve your. Yes, a failed root canal can be fixed. As i mentioned before, i think the most important aspect of root canal treatment is the criteria for. Failed Root Canal Surgery.
From www.demajodental.org
Replacement of the failed root canal treatment Failed Root Canal Surgery When primary root canal therapy fails, periapical lesions can be retreated with or without surgery. Unlike traditional root canal treatment, an apicoectomy is a surgical approach through the gum. Retreatment has the highest success rate for failed root canals and is the most common treatment option. Can a failed root canal be fixed? A failed root canal refers to instances. Failed Root Canal Surgery.
From www.youtube.com
Failing Root canal xray YouTube Failed Root Canal Surgery After the area is thoroughly numbed with. Richard mounce describes the management of a failed root canal, placing emphasis on diagnosis, restorability,. As i mentioned before, i think the most important aspect of root canal treatment is the criteria for case selection by the practitioner. For example, if your tooth is very damaged, a root canal may not solve your.. Failed Root Canal Surgery.
From bestlaserdentalclinic.blogspot.com
Failed root canal treatment options USING DENTAL IMPLANTS Failed Root Canal Surgery As i mentioned before, i think the most important aspect of root canal treatment is the criteria for case selection by the practitioner. Unlike traditional root canal treatment, an apicoectomy is a surgical approach through the gum. Yes, a failed root canal can be fixed. Your nyc endodontist has several options, including root canal retreatment, extraction and apicoectomy. Can a. Failed Root Canal Surgery.
From coronationdentalspecialty.ca
Endodontics Endodontic Surgery, Apicoectomy, Retrofill Coronation Failed Root Canal Surgery When primary root canal therapy fails, periapical lesions can be retreated with or without surgery. Richard mounce describes the management of a failed root canal, placing emphasis on diagnosis, restorability,. Can a failed root canal be fixed? Sometimes root canals fail because they weren’t the right solution for your tooth infection. Yes, a failed root canal can be fixed. Retreatment. Failed Root Canal Surgery.
From burlingtondentalcenterks.com
Failed Root Canal Symptoms What to Look Out For — Burlington Dental Center Failed Root Canal Surgery Unlike traditional root canal treatment, an apicoectomy is a surgical approach through the gum. Your endodontist will treat the infection, then fill. Yes, a failed root canal can be fixed. When primary root canal therapy fails, periapical lesions can be retreated with or without surgery. After the area is thoroughly numbed with. Your nyc endodontist has several options, including root. Failed Root Canal Surgery.
From dentistinpleasanthill.com
How Do You Know if Your Root Canal Failed? Failed Root Canal Surgery Your nyc endodontist has several options, including root canal retreatment, extraction and apicoectomy. Yes, a failed root canal can be fixed. Unlike traditional root canal treatment, an apicoectomy is a surgical approach through the gum. Retreatment has the highest success rate for failed root canals and is the most common treatment option. After the area is thoroughly numbed with. As. Failed Root Canal Surgery.
From www.the-dentist.co.uk
The Dentist Addressing failed root canal treatment Failed Root Canal Surgery Unlike traditional root canal treatment, an apicoectomy is a surgical approach through the gum. Sometimes root canals fail because they weren’t the right solution for your tooth infection. After the area is thoroughly numbed with. As i mentioned before, i think the most important aspect of root canal treatment is the criteria for case selection by the practitioner. Richard mounce. Failed Root Canal Surgery.
From www.demajodental.org
Replacement of the failed root canal treatment Failed Root Canal Surgery A failed root canal refers to instances where there is an infection at the root of the treated tooth. Yes, a failed root canal can be fixed. Sometimes root canals fail because they weren’t the right solution for your tooth infection. Richard mounce describes the management of a failed root canal, placing emphasis on diagnosis, restorability,. After the area is. Failed Root Canal Surgery.
From bestlaserdentalclinic.blogspot.com
Failed root canal treatment options USING DENTAL IMPLANTS Failed Root Canal Surgery For example, if your tooth is very damaged, a root canal may not solve your. Richard mounce describes the management of a failed root canal, placing emphasis on diagnosis, restorability,. A failed root canal refers to instances where there is an infection at the root of the treated tooth. Retreatment has the highest success rate for failed root canals and. Failed Root Canal Surgery.
From cvendodontist.com
What happens if my root canal fails? CV Endodontics Failed Root Canal Surgery Richard mounce describes the management of a failed root canal, placing emphasis on diagnosis, restorability,. Your nyc endodontist has several options, including root canal retreatment, extraction and apicoectomy. Unlike traditional root canal treatment, an apicoectomy is a surgical approach through the gum. As i mentioned before, i think the most important aspect of root canal treatment is the criteria for. Failed Root Canal Surgery.