Can Lung Nodules Be Seen On Xray . First, you may be comforted to know that, while lung nodules may be an indicator of lung cancer, benign nodules are common. Multiple lung nodules are also called pulmonary nodules. Common lung nodule causes may include scar tissue,. How are lung nodules detected and evaluated? They’re very common, and at least 95% aren’t cancerous. Lung nodules are small masses that grow inside the lungs. Lung nodules often are discovered. Having multiple lung nodules means you have two or more lesions in your lungs. In some cases, though, more tests might be required to ensure the. They’re often found incidentally during chest imaging. Nodules are areas that are denser than normal lung tissue and usually don't cause symptoms.
from www.pantechsolutions.net
In some cases, though, more tests might be required to ensure the. Nodules are areas that are denser than normal lung tissue and usually don't cause symptoms. They’re often found incidentally during chest imaging. Common lung nodule causes may include scar tissue,. First, you may be comforted to know that, while lung nodules may be an indicator of lung cancer, benign nodules are common. Having multiple lung nodules means you have two or more lesions in your lungs. How are lung nodules detected and evaluated? Lung nodules often are discovered. They’re very common, and at least 95% aren’t cancerous. Lung nodules are small masses that grow inside the lungs.
Lung Nodule Detection in Xray Images using CNN
Can Lung Nodules Be Seen On Xray Having multiple lung nodules means you have two or more lesions in your lungs. In some cases, though, more tests might be required to ensure the. Lung nodules are small masses that grow inside the lungs. How are lung nodules detected and evaluated? Having multiple lung nodules means you have two or more lesions in your lungs. Multiple lung nodules are also called pulmonary nodules. First, you may be comforted to know that, while lung nodules may be an indicator of lung cancer, benign nodules are common. They’re often found incidentally during chest imaging. Common lung nodule causes may include scar tissue,. Nodules are areas that are denser than normal lung tissue and usually don't cause symptoms. They’re very common, and at least 95% aren’t cancerous. Lung nodules often are discovered.
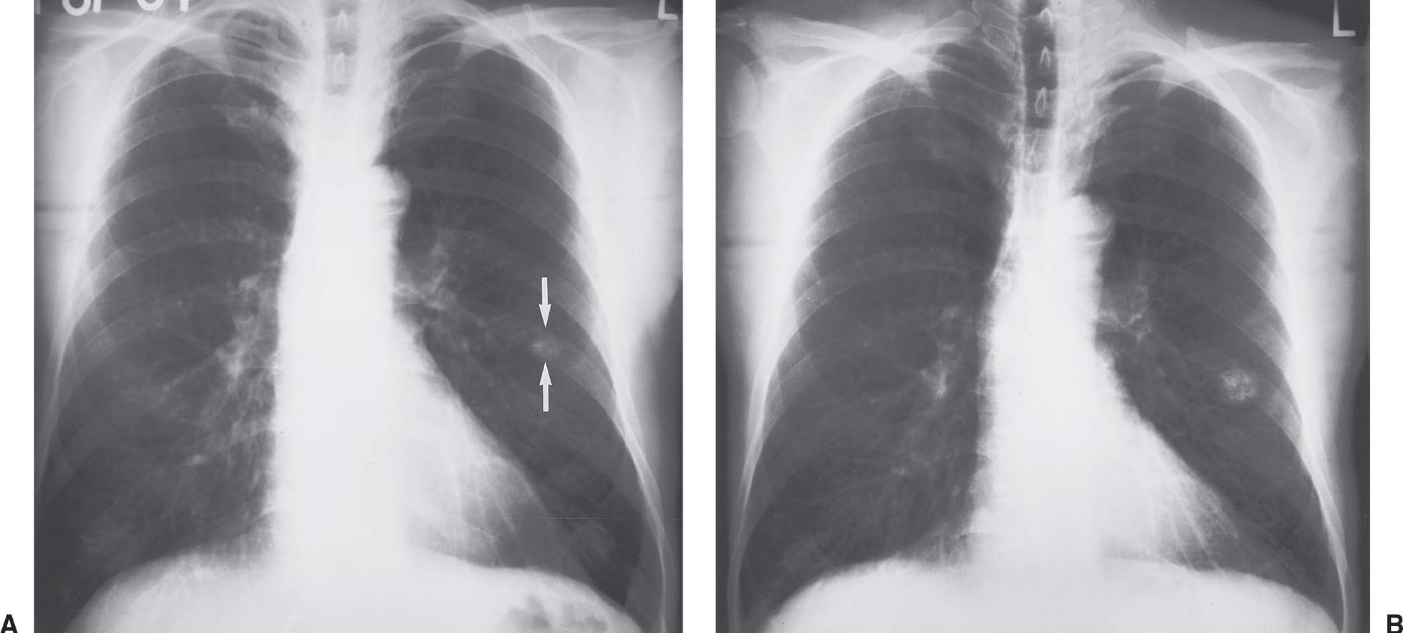
From err.ersjournals.com
Lung nodules size still matters European Respiratory Society Can Lung Nodules Be Seen On Xray In some cases, though, more tests might be required to ensure the. They’re very common, and at least 95% aren’t cancerous. Lung nodules often are discovered. They’re often found incidentally during chest imaging. Multiple lung nodules are also called pulmonary nodules. Nodules are areas that are denser than normal lung tissue and usually don't cause symptoms. Lung nodules are small. Can Lung Nodules Be Seen On Xray.
From mungfali.com
Pulmonary Nodules Radiology Can Lung Nodules Be Seen On Xray Having multiple lung nodules means you have two or more lesions in your lungs. They’re often found incidentally during chest imaging. They’re very common, and at least 95% aren’t cancerous. First, you may be comforted to know that, while lung nodules may be an indicator of lung cancer, benign nodules are common. Nodules are areas that are denser than normal. Can Lung Nodules Be Seen On Xray.
From www.youtube.com
GE Healthcare XrayGE Healthcare's VolumeRAD Lung Nodule Detection Can Lung Nodules Be Seen On Xray Common lung nodule causes may include scar tissue,. They’re very common, and at least 95% aren’t cancerous. They’re often found incidentally during chest imaging. In some cases, though, more tests might be required to ensure the. How are lung nodules detected and evaluated? Lung nodules often are discovered. Lung nodules are small masses that grow inside the lungs. Nodules are. Can Lung Nodules Be Seen On Xray.
From radiologykey.com
Neoplasms of the Lung Radiology Key Can Lung Nodules Be Seen On Xray First, you may be comforted to know that, while lung nodules may be an indicator of lung cancer, benign nodules are common. How are lung nodules detected and evaluated? Lung nodules often are discovered. Nodules are areas that are denser than normal lung tissue and usually don't cause symptoms. They’re very common, and at least 95% aren’t cancerous. Having multiple. Can Lung Nodules Be Seen On Xray.
From www.researchgate.net
Chest Xrays after 4 months of therapy shows that the lung nodules have Can Lung Nodules Be Seen On Xray They’re very common, and at least 95% aren’t cancerous. In some cases, though, more tests might be required to ensure the. Lung nodules often are discovered. Having multiple lung nodules means you have two or more lesions in your lungs. Common lung nodule causes may include scar tissue,. Nodules are areas that are denser than normal lung tissue and usually. Can Lung Nodules Be Seen On Xray.
From mungfali.com
Benign Lung Nodules Can Lung Nodules Be Seen On Xray Common lung nodule causes may include scar tissue,. Lung nodules often are discovered. Having multiple lung nodules means you have two or more lesions in your lungs. Lung nodules are small masses that grow inside the lungs. Nodules are areas that are denser than normal lung tissue and usually don't cause symptoms. In some cases, though, more tests might be. Can Lung Nodules Be Seen On Xray.
From radiologykey.com
Solitary and Multiple Pulmonary Nodules Radiology Key Can Lung Nodules Be Seen On Xray Lung nodules are small masses that grow inside the lungs. Having multiple lung nodules means you have two or more lesions in your lungs. In some cases, though, more tests might be required to ensure the. How are lung nodules detected and evaluated? Common lung nodule causes may include scar tissue,. Lung nodules often are discovered. Nodules are areas that. Can Lung Nodules Be Seen On Xray.
From www.pulmonologyadvisor.com
Benign Lung Nodules Identified Using Proteomic Biomarker Pulmonology Can Lung Nodules Be Seen On Xray They’re often found incidentally during chest imaging. In some cases, though, more tests might be required to ensure the. Nodules are areas that are denser than normal lung tissue and usually don't cause symptoms. Lung nodules are small masses that grow inside the lungs. Having multiple lung nodules means you have two or more lesions in your lungs. Common lung. Can Lung Nodules Be Seen On Xray.
From radiopaedia.org
Image Can Lung Nodules Be Seen On Xray In some cases, though, more tests might be required to ensure the. Lung nodules are small masses that grow inside the lungs. Lung nodules often are discovered. Multiple lung nodules are also called pulmonary nodules. They’re very common, and at least 95% aren’t cancerous. How are lung nodules detected and evaluated? Common lung nodule causes may include scar tissue,. Having. Can Lung Nodules Be Seen On Xray.
From www.healthline.com
Lung Nodule Size Chart What the Size of Nodules Indicates Can Lung Nodules Be Seen On Xray How are lung nodules detected and evaluated? They’re very common, and at least 95% aren’t cancerous. Lung nodules are small masses that grow inside the lungs. Multiple lung nodules are also called pulmonary nodules. In some cases, though, more tests might be required to ensure the. They’re often found incidentally during chest imaging. Lung nodules often are discovered. Having multiple. Can Lung Nodules Be Seen On Xray.
From www.svuhradiology.ie
Lung cancer CXR Radiology at St. Vincent's University Hospital Can Lung Nodules Be Seen On Xray In some cases, though, more tests might be required to ensure the. They’re very common, and at least 95% aren’t cancerous. Lung nodules are small masses that grow inside the lungs. They’re often found incidentally during chest imaging. Lung nodules often are discovered. How are lung nodules detected and evaluated? Common lung nodule causes may include scar tissue,. Having multiple. Can Lung Nodules Be Seen On Xray.
From radiologyinplainenglish.com
Lung Nodule Under One Centimeter On Chest XRay Radiology In Plain Can Lung Nodules Be Seen On Xray They’re very common, and at least 95% aren’t cancerous. In some cases, though, more tests might be required to ensure the. Common lung nodule causes may include scar tissue,. They’re often found incidentally during chest imaging. Lung nodules often are discovered. Nodules are areas that are denser than normal lung tissue and usually don't cause symptoms. How are lung nodules. Can Lung Nodules Be Seen On Xray.
From mungfali.com
Pulmonary Nodules Radiology Can Lung Nodules Be Seen On Xray Having multiple lung nodules means you have two or more lesions in your lungs. Lung nodules are small masses that grow inside the lungs. Common lung nodule causes may include scar tissue,. How are lung nodules detected and evaluated? Lung nodules often are discovered. They’re often found incidentally during chest imaging. First, you may be comforted to know that, while. Can Lung Nodules Be Seen On Xray.
From www.researchgate.net
CT of the lungs. Lung nodules are visible in both lungs (arrows) (AD Can Lung Nodules Be Seen On Xray Multiple lung nodules are also called pulmonary nodules. In some cases, though, more tests might be required to ensure the. First, you may be comforted to know that, while lung nodules may be an indicator of lung cancer, benign nodules are common. They’re very common, and at least 95% aren’t cancerous. How are lung nodules detected and evaluated? Lung nodules. Can Lung Nodules Be Seen On Xray.
From www.pantechsolutions.net
Lung Nodule Detection in Xray Images using CNN Can Lung Nodules Be Seen On Xray They’re very common, and at least 95% aren’t cancerous. First, you may be comforted to know that, while lung nodules may be an indicator of lung cancer, benign nodules are common. Common lung nodule causes may include scar tissue,. Nodules are areas that are denser than normal lung tissue and usually don't cause symptoms. Lung nodules often are discovered. Multiple. Can Lung Nodules Be Seen On Xray.
From radiologyacrossborders.org
Solid Pulmonary Nodules Can Lung Nodules Be Seen On Xray Having multiple lung nodules means you have two or more lesions in your lungs. How are lung nodules detected and evaluated? Lung nodules often are discovered. Lung nodules are small masses that grow inside the lungs. They’re very common, and at least 95% aren’t cancerous. In some cases, though, more tests might be required to ensure the. Multiple lung nodules. Can Lung Nodules Be Seen On Xray.
From radiologykey.com
Solitary and Multiple Pulmonary Nodules Radiology Key Can Lung Nodules Be Seen On Xray Common lung nodule causes may include scar tissue,. Lung nodules are small masses that grow inside the lungs. How are lung nodules detected and evaluated? Multiple lung nodules are also called pulmonary nodules. In some cases, though, more tests might be required to ensure the. First, you may be comforted to know that, while lung nodules may be an indicator. Can Lung Nodules Be Seen On Xray.
From www.insideprecisionmedicine.com
Lung Nodule Screening Gets Boost from AI Inside Precision Medicine Can Lung Nodules Be Seen On Xray Multiple lung nodules are also called pulmonary nodules. Lung nodules are small masses that grow inside the lungs. In some cases, though, more tests might be required to ensure the. They’re often found incidentally during chest imaging. Having multiple lung nodules means you have two or more lesions in your lungs. First, you may be comforted to know that, while. Can Lung Nodules Be Seen On Xray.
From www.wikidoc.org
Pulmonary nodule XRay Findings wikidoc Can Lung Nodules Be Seen On Xray Lung nodules are small masses that grow inside the lungs. They’re often found incidentally during chest imaging. Multiple lung nodules are also called pulmonary nodules. Common lung nodule causes may include scar tissue,. Lung nodules often are discovered. They’re very common, and at least 95% aren’t cancerous. In some cases, though, more tests might be required to ensure the. First,. Can Lung Nodules Be Seen On Xray.
From www.verywellhealth.com
Chest XRay for the Diagnosis of Lung Cancer Can Lung Nodules Be Seen On Xray Nodules are areas that are denser than normal lung tissue and usually don't cause symptoms. Lung nodules are small masses that grow inside the lungs. Lung nodules often are discovered. In some cases, though, more tests might be required to ensure the. Multiple lung nodules are also called pulmonary nodules. How are lung nodules detected and evaluated? Having multiple lung. Can Lung Nodules Be Seen On Xray.
From radiologykey.com
Solitary and Multiple Pulmonary Nodules Radiology Key Can Lung Nodules Be Seen On Xray In some cases, though, more tests might be required to ensure the. They’re very common, and at least 95% aren’t cancerous. Multiple lung nodules are also called pulmonary nodules. First, you may be comforted to know that, while lung nodules may be an indicator of lung cancer, benign nodules are common. How are lung nodules detected and evaluated? Lung nodules. Can Lung Nodules Be Seen On Xray.
From www.clinicaladvisor.com
Pulmonary nodules The Clinical Advisor Can Lung Nodules Be Seen On Xray Lung nodules often are discovered. In some cases, though, more tests might be required to ensure the. Common lung nodule causes may include scar tissue,. Nodules are areas that are denser than normal lung tissue and usually don't cause symptoms. Having multiple lung nodules means you have two or more lesions in your lungs. They’re very common, and at least. Can Lung Nodules Be Seen On Xray.
From www.researchgate.net
Chest CT revealed an irregularly shaped lung nodule approximately 3.0 Can Lung Nodules Be Seen On Xray Having multiple lung nodules means you have two or more lesions in your lungs. They’re very common, and at least 95% aren’t cancerous. They’re often found incidentally during chest imaging. Nodules are areas that are denser than normal lung tissue and usually don't cause symptoms. First, you may be comforted to know that, while lung nodules may be an indicator. Can Lung Nodules Be Seen On Xray.
From radiologykey.com
Solitary and Multiple Pulmonary Nodules Radiology Key Can Lung Nodules Be Seen On Xray They’re very common, and at least 95% aren’t cancerous. How are lung nodules detected and evaluated? Lung nodules often are discovered. Nodules are areas that are denser than normal lung tissue and usually don't cause symptoms. First, you may be comforted to know that, while lung nodules may be an indicator of lung cancer, benign nodules are common. In some. Can Lung Nodules Be Seen On Xray.
From medschool.co
Pulmonary Nodules and Masses Chest XRay MedSchool Can Lung Nodules Be Seen On Xray First, you may be comforted to know that, while lung nodules may be an indicator of lung cancer, benign nodules are common. Having multiple lung nodules means you have two or more lesions in your lungs. Lung nodules often are discovered. Multiple lung nodules are also called pulmonary nodules. How are lung nodules detected and evaluated? Nodules are areas that. Can Lung Nodules Be Seen On Xray.
From www.mdedge.com
Innumerable pulmonary nodules MDedge Family Medicine Can Lung Nodules Be Seen On Xray They’re very common, and at least 95% aren’t cancerous. How are lung nodules detected and evaluated? In some cases, though, more tests might be required to ensure the. First, you may be comforted to know that, while lung nodules may be an indicator of lung cancer, benign nodules are common. Having multiple lung nodules means you have two or more. Can Lung Nodules Be Seen On Xray.
From openi.nlm.nih.gov
Chest Xray showing multiple lung nodules with multifoc Openi Can Lung Nodules Be Seen On Xray Lung nodules often are discovered. Having multiple lung nodules means you have two or more lesions in your lungs. In some cases, though, more tests might be required to ensure the. Multiple lung nodules are also called pulmonary nodules. They’re very common, and at least 95% aren’t cancerous. How are lung nodules detected and evaluated? Lung nodules are small masses. Can Lung Nodules Be Seen On Xray.
From radiologykey.com
Solitary and Multiple Pulmonary Nodules Radiology Key Can Lung Nodules Be Seen On Xray Having multiple lung nodules means you have two or more lesions in your lungs. In some cases, though, more tests might be required to ensure the. Nodules are areas that are denser than normal lung tissue and usually don't cause symptoms. They’re very common, and at least 95% aren’t cancerous. They’re often found incidentally during chest imaging. Lung nodules often. Can Lung Nodules Be Seen On Xray.
From sumerdoc.blogspot.com
Solitary Pulmonary NoduleCT Sumer's Radiology Blog Can Lung Nodules Be Seen On Xray In some cases, though, more tests might be required to ensure the. Nodules are areas that are denser than normal lung tissue and usually don't cause symptoms. They’re often found incidentally during chest imaging. Having multiple lung nodules means you have two or more lesions in your lungs. Lung nodules are small masses that grow inside the lungs. How are. Can Lung Nodules Be Seen On Xray.
From openpress.usask.ca
Multiple Lung Nodules Undergraduate Diagnostic Imaging Fundamentals Can Lung Nodules Be Seen On Xray Nodules are areas that are denser than normal lung tissue and usually don't cause symptoms. Having multiple lung nodules means you have two or more lesions in your lungs. First, you may be comforted to know that, while lung nodules may be an indicator of lung cancer, benign nodules are common. How are lung nodules detected and evaluated? Multiple lung. Can Lung Nodules Be Seen On Xray.
From medicalxpress.com
AI improves lung nodule detection on chest Xrays Can Lung Nodules Be Seen On Xray Having multiple lung nodules means you have two or more lesions in your lungs. Lung nodules are small masses that grow inside the lungs. In some cases, though, more tests might be required to ensure the. Multiple lung nodules are also called pulmonary nodules. Common lung nodule causes may include scar tissue,. First, you may be comforted to know that,. Can Lung Nodules Be Seen On Xray.
From radiologykey.com
Solitary and Multiple Pulmonary Nodules Radiology Key Can Lung Nodules Be Seen On Xray They’re often found incidentally during chest imaging. Having multiple lung nodules means you have two or more lesions in your lungs. Lung nodules often are discovered. Lung nodules are small masses that grow inside the lungs. How are lung nodules detected and evaluated? In some cases, though, more tests might be required to ensure the. They’re very common, and at. Can Lung Nodules Be Seen On Xray.
From www.empr.com
An Efficient, Minimally Invasive Pathway to Manage Suspicious Lung Can Lung Nodules Be Seen On Xray In some cases, though, more tests might be required to ensure the. Multiple lung nodules are also called pulmonary nodules. They’re often found incidentally during chest imaging. How are lung nodules detected and evaluated? Having multiple lung nodules means you have two or more lesions in your lungs. First, you may be comforted to know that, while lung nodules may. Can Lung Nodules Be Seen On Xray.
From mavink.com
Nodules Chest X Ray Can Lung Nodules Be Seen On Xray Common lung nodule causes may include scar tissue,. Lung nodules are small masses that grow inside the lungs. Multiple lung nodules are also called pulmonary nodules. How are lung nodules detected and evaluated? They’re often found incidentally during chest imaging. Lung nodules often are discovered. Nodules are areas that are denser than normal lung tissue and usually don't cause symptoms.. Can Lung Nodules Be Seen On Xray.
From radiologykey.com
Solitary and Multiple Pulmonary Nodules Radiology Key Can Lung Nodules Be Seen On Xray They’re often found incidentally during chest imaging. In some cases, though, more tests might be required to ensure the. Having multiple lung nodules means you have two or more lesions in your lungs. Common lung nodule causes may include scar tissue,. First, you may be comforted to know that, while lung nodules may be an indicator of lung cancer, benign. Can Lung Nodules Be Seen On Xray.