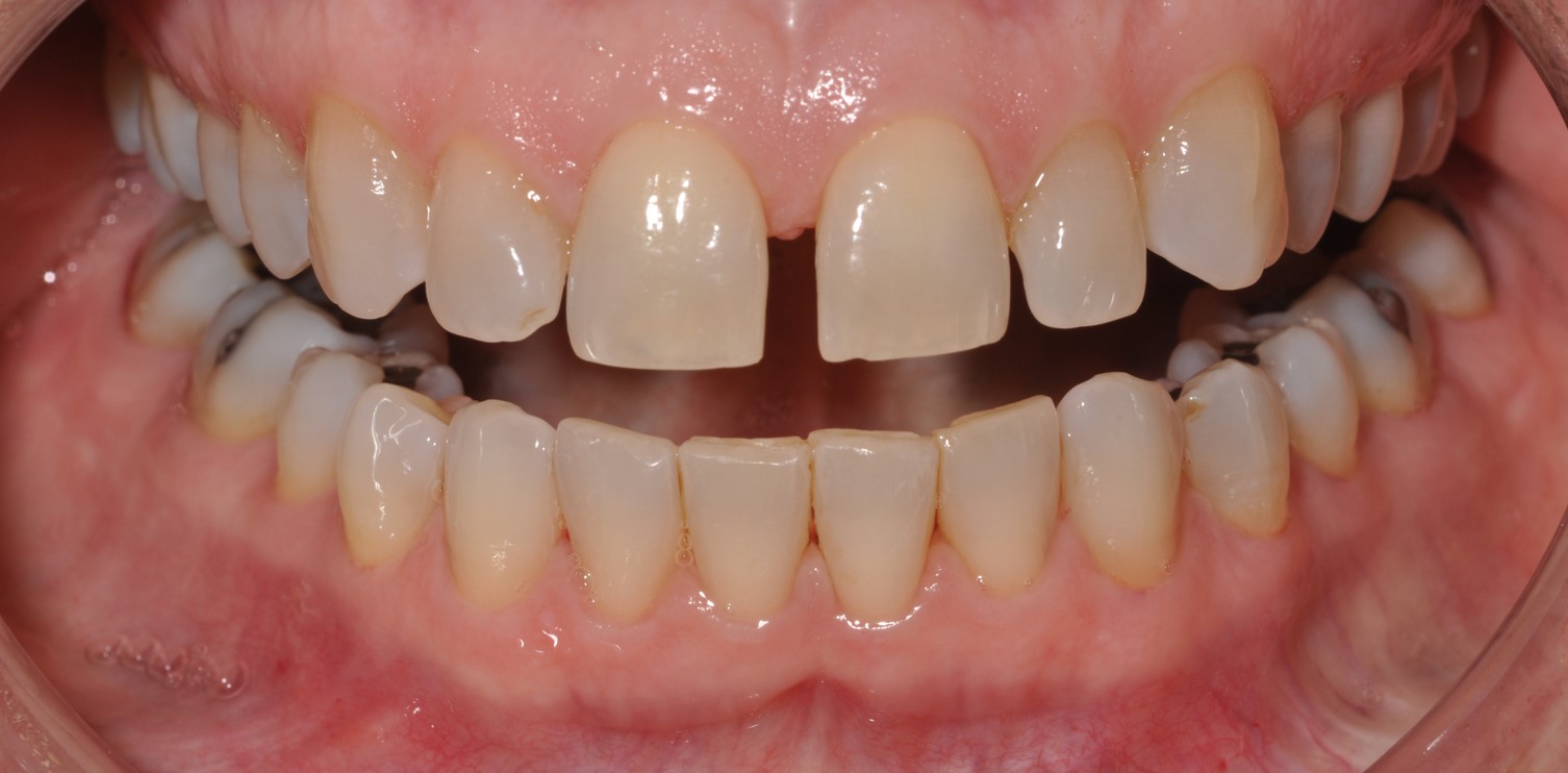
Dental Bonding Halifax . Enquire for a fast quote ★ choose from. Fix discoloration or change a. Our halifax dentists use dental bonding as a minimally invasive cosmetic procedure to repair damaged, uneven or discoloured teeth. During bonding, a composite resin is applied to the damaged or unsightly areas of your teeth. Tooth bonding provides one way a dentist can “close” (fill in) a diastema. Here, our halifax dentists provide some facts about how dental bonding can be used to repair discoloured, gapped teeth and restore. Bonding can be used to: Bonding helps correct crooked or cracked teeth. Compare all the dentists and contact the dental bonding clinic in halifax, nova scotia that's right for you. Fill cavities and restore decayed teeth. Dental bonding can be placed on the two teeth that lie on each side of. Chipped, discoloured, decayed, fractured or damaged teeth can be repaired with a restorative cosmetic treatment called dental bonding.
from dentalimplantcenternyc.com
Dental bonding can be placed on the two teeth that lie on each side of. Bonding helps correct crooked or cracked teeth. Chipped, discoloured, decayed, fractured or damaged teeth can be repaired with a restorative cosmetic treatment called dental bonding. Our halifax dentists use dental bonding as a minimally invasive cosmetic procedure to repair damaged, uneven or discoloured teeth. Fill cavities and restore decayed teeth. Enquire for a fast quote ★ choose from. Bonding can be used to: During bonding, a composite resin is applied to the damaged or unsightly areas of your teeth. Compare all the dentists and contact the dental bonding clinic in halifax, nova scotia that's right for you. Here, our halifax dentists provide some facts about how dental bonding can be used to repair discoloured, gapped teeth and restore.
All You Need to Know About Dental Bonding in NYC Dental Implant Center
Dental Bonding Halifax Enquire for a fast quote ★ choose from. Enquire for a fast quote ★ choose from. Bonding can be used to: Chipped, discoloured, decayed, fractured or damaged teeth can be repaired with a restorative cosmetic treatment called dental bonding. Our halifax dentists use dental bonding as a minimally invasive cosmetic procedure to repair damaged, uneven or discoloured teeth. Dental bonding can be placed on the two teeth that lie on each side of. Tooth bonding provides one way a dentist can “close” (fill in) a diastema. Fix discoloration or change a. During bonding, a composite resin is applied to the damaged or unsightly areas of your teeth. Compare all the dentists and contact the dental bonding clinic in halifax, nova scotia that's right for you. Here, our halifax dentists provide some facts about how dental bonding can be used to repair discoloured, gapped teeth and restore. Fill cavities and restore decayed teeth. Bonding helps correct crooked or cracked teeth.
From www.cornerstone.dental
Dental Bonding Calgary NE Cornerstone Family Dental Dental Bonding Halifax Chipped, discoloured, decayed, fractured or damaged teeth can be repaired with a restorative cosmetic treatment called dental bonding. Compare all the dentists and contact the dental bonding clinic in halifax, nova scotia that's right for you. Bonding helps correct crooked or cracked teeth. Bonding can be used to: During bonding, a composite resin is applied to the damaged or unsightly. Dental Bonding Halifax.
From www.catskill.online
Cosmetic Dental Bonding Professional site Blog Article By South Dental Bonding Halifax Enquire for a fast quote ★ choose from. Chipped, discoloured, decayed, fractured or damaged teeth can be repaired with a restorative cosmetic treatment called dental bonding. Bonding can be used to: Here, our halifax dentists provide some facts about how dental bonding can be used to repair discoloured, gapped teeth and restore. Dental bonding can be placed on the two. Dental Bonding Halifax.
From aesthetikadentalstudio.co.uk
What is Composite Dental Bonding? Aesthetika Dental Studio Dental Bonding Halifax Enquire for a fast quote ★ choose from. Here, our halifax dentists provide some facts about how dental bonding can be used to repair discoloured, gapped teeth and restore. Bonding helps correct crooked or cracked teeth. Our halifax dentists use dental bonding as a minimally invasive cosmetic procedure to repair damaged, uneven or discoloured teeth. Fill cavities and restore decayed. Dental Bonding Halifax.
From www.thepointdental.com.au
What Is Dental Bonding? What Dental Bonding Is, Does & Costs Dental Bonding Halifax Our halifax dentists use dental bonding as a minimally invasive cosmetic procedure to repair damaged, uneven or discoloured teeth. Chipped, discoloured, decayed, fractured or damaged teeth can be repaired with a restorative cosmetic treatment called dental bonding. Bonding can be used to: Enquire for a fast quote ★ choose from. Bonding helps correct crooked or cracked teeth. Compare all the. Dental Bonding Halifax.
From www.peachdentist.com
Dental Bonding Peachtree Dunwoody Dental Group Cosmetic Dentistry Dental Bonding Halifax Dental bonding can be placed on the two teeth that lie on each side of. During bonding, a composite resin is applied to the damaged or unsightly areas of your teeth. Compare all the dentists and contact the dental bonding clinic in halifax, nova scotia that's right for you. Bonding can be used to: Tooth bonding provides one way a. Dental Bonding Halifax.
From www.charlesmartindds.com
Dental Bonding in South Tampa Dental Bonding Near You Dental Bonding Halifax During bonding, a composite resin is applied to the damaged or unsightly areas of your teeth. Fix discoloration or change a. Fill cavities and restore decayed teeth. Enquire for a fast quote ★ choose from. Here, our halifax dentists provide some facts about how dental bonding can be used to repair discoloured, gapped teeth and restore. Chipped, discoloured, decayed, fractured. Dental Bonding Halifax.
From www.brisbanesmileboutique.com.au
Composite Bonding Brisbane Smile Boutique Dentists Brisbane Dentist Dental Bonding Halifax Fix discoloration or change a. During bonding, a composite resin is applied to the damaged or unsightly areas of your teeth. Enquire for a fast quote ★ choose from. Tooth bonding provides one way a dentist can “close” (fill in) a diastema. Chipped, discoloured, decayed, fractured or damaged teeth can be repaired with a restorative cosmetic treatment called dental bonding.. Dental Bonding Halifax.
From oraldentalhealthmatters.com
Dental Bonding FAQ The ODHM Community Dental Bonding Halifax Here, our halifax dentists provide some facts about how dental bonding can be used to repair discoloured, gapped teeth and restore. During bonding, a composite resin is applied to the damaged or unsightly areas of your teeth. Compare all the dentists and contact the dental bonding clinic in halifax, nova scotia that's right for you. Dental bonding can be placed. Dental Bonding Halifax.
From www.halifaxdentalstudio.ca
Cosmetic Bonding Halifax, NS Dr. Jenine Arab Omalley Dental Bonding Halifax Chipped, discoloured, decayed, fractured or damaged teeth can be repaired with a restorative cosmetic treatment called dental bonding. Fix discoloration or change a. Compare all the dentists and contact the dental bonding clinic in halifax, nova scotia that's right for you. Dental bonding can be placed on the two teeth that lie on each side of. Fill cavities and restore. Dental Bonding Halifax.
From medium.com
Know Everything about Dental Bonding Treatment by Smiletransformation Dental Bonding Halifax Bonding helps correct crooked or cracked teeth. Fix discoloration or change a. Chipped, discoloured, decayed, fractured or damaged teeth can be repaired with a restorative cosmetic treatment called dental bonding. Enquire for a fast quote ★ choose from. Here, our halifax dentists provide some facts about how dental bonding can be used to repair discoloured, gapped teeth and restore. During. Dental Bonding Halifax.
From dentalimplantcenternyc.com
All You Need to Know About Dental Bonding in NYC Dental Implant Center Dental Bonding Halifax Chipped, discoloured, decayed, fractured or damaged teeth can be repaired with a restorative cosmetic treatment called dental bonding. Fix discoloration or change a. Here, our halifax dentists provide some facts about how dental bonding can be used to repair discoloured, gapped teeth and restore. During bonding, a composite resin is applied to the damaged or unsightly areas of your teeth.. Dental Bonding Halifax.
From pinnacledentistryco.com
Dental Bonding In Colorado Springs, CO Pinnacle Dentistry Dental Bonding Halifax Bonding can be used to: Enquire for a fast quote ★ choose from. Our halifax dentists use dental bonding as a minimally invasive cosmetic procedure to repair damaged, uneven or discoloured teeth. Chipped, discoloured, decayed, fractured or damaged teeth can be repaired with a restorative cosmetic treatment called dental bonding. During bonding, a composite resin is applied to the damaged. Dental Bonding Halifax.
From luxedentalfl.com
Dr. Wilde Your Expert Dentist in Lauderhill Explains Dental Bonding Dental Bonding Halifax Tooth bonding provides one way a dentist can “close” (fill in) a diastema. Fix discoloration or change a. Chipped, discoloured, decayed, fractured or damaged teeth can be repaired with a restorative cosmetic treatment called dental bonding. Fill cavities and restore decayed teeth. During bonding, a composite resin is applied to the damaged or unsightly areas of your teeth. Compare all. Dental Bonding Halifax.
From southperthdentalsurgery.com.au
Dental Bonding in South Perth Get NaturalLooking Restoration of Your Dental Bonding Halifax Dental bonding can be placed on the two teeth that lie on each side of. Bonding helps correct crooked or cracked teeth. Compare all the dentists and contact the dental bonding clinic in halifax, nova scotia that's right for you. Fix discoloration or change a. Fill cavities and restore decayed teeth. During bonding, a composite resin is applied to the. Dental Bonding Halifax.
From issuu.com
Dental Bonding Everything You Need To Know. by Edge Dental Issuu Dental Bonding Halifax Compare all the dentists and contact the dental bonding clinic in halifax, nova scotia that's right for you. Our halifax dentists use dental bonding as a minimally invasive cosmetic procedure to repair damaged, uneven or discoloured teeth. Bonding can be used to: Here, our halifax dentists provide some facts about how dental bonding can be used to repair discoloured, gapped. Dental Bonding Halifax.
From sunshinedentistry.ca
Dental Bonding SunShine Dentistry Richmond Hill 8773475530 Dental Bonding Halifax Chipped, discoloured, decayed, fractured or damaged teeth can be repaired with a restorative cosmetic treatment called dental bonding. During bonding, a composite resin is applied to the damaged or unsightly areas of your teeth. Bonding can be used to: Enquire for a fast quote ★ choose from. Bonding helps correct crooked or cracked teeth. Tooth bonding provides one way a. Dental Bonding Halifax.
From www.gorgeoussmiles.com.au
What Is Dental Bonding? Discover What Can Do? Dental Bonding Halifax Compare all the dentists and contact the dental bonding clinic in halifax, nova scotia that's right for you. Bonding can be used to: Chipped, discoloured, decayed, fractured or damaged teeth can be repaired with a restorative cosmetic treatment called dental bonding. Tooth bonding provides one way a dentist can “close” (fill in) a diastema. During bonding, a composite resin is. Dental Bonding Halifax.
From shinedental.co.uk
Composite Bonding Halifax & Ripponden Shine Dental Dental Bonding Halifax Enquire for a fast quote ★ choose from. Chipped, discoloured, decayed, fractured or damaged teeth can be repaired with a restorative cosmetic treatment called dental bonding. Our halifax dentists use dental bonding as a minimally invasive cosmetic procedure to repair damaged, uneven or discoloured teeth. Fill cavities and restore decayed teeth. Dental bonding can be placed on the two teeth. Dental Bonding Halifax.
From www.croftondentalcare.co.uk
Composite Bonding Fareham Crofton Dental Care Dental Bonding Halifax Dental bonding can be placed on the two teeth that lie on each side of. Bonding can be used to: Fix discoloration or change a. Compare all the dentists and contact the dental bonding clinic in halifax, nova scotia that's right for you. Tooth bonding provides one way a dentist can “close” (fill in) a diastema. During bonding, a composite. Dental Bonding Halifax.
From insurancecruzer.com
is dental bonding covered by insurance? Confusion Cleared Dental Bonding Halifax Enquire for a fast quote ★ choose from. During bonding, a composite resin is applied to the damaged or unsightly areas of your teeth. Here, our halifax dentists provide some facts about how dental bonding can be used to repair discoloured, gapped teeth and restore. Tooth bonding provides one way a dentist can “close” (fill in) a diastema. Bonding can. Dental Bonding Halifax.
From www.cornerstone.dental
Dental Bonding Calgary NE Cornerstone Family Dental Dental Bonding Halifax Bonding can be used to: Fill cavities and restore decayed teeth. Tooth bonding provides one way a dentist can “close” (fill in) a diastema. Chipped, discoloured, decayed, fractured or damaged teeth can be repaired with a restorative cosmetic treatment called dental bonding. During bonding, a composite resin is applied to the damaged or unsightly areas of your teeth. Bonding helps. Dental Bonding Halifax.
From shinedental.co.uk
Composite Bonding Halifax & Ripponden Shine Dental Dental Bonding Halifax Tooth bonding provides one way a dentist can “close” (fill in) a diastema. During bonding, a composite resin is applied to the damaged or unsightly areas of your teeth. Fill cavities and restore decayed teeth. Compare all the dentists and contact the dental bonding clinic in halifax, nova scotia that's right for you. Fix discoloration or change a. Enquire for. Dental Bonding Halifax.
From drhealthylife.com
Dental Bonding How to Restore Your Winning Smile Dr Healthy Life Dental Bonding Halifax Bonding can be used to: Enquire for a fast quote ★ choose from. Compare all the dentists and contact the dental bonding clinic in halifax, nova scotia that's right for you. Chipped, discoloured, decayed, fractured or damaged teeth can be repaired with a restorative cosmetic treatment called dental bonding. Bonding helps correct crooked or cracked teeth. Our halifax dentists use. Dental Bonding Halifax.
From www.westlittlerockdentist.com
Is Dental Bonding Permanent? Dental Bonding Halifax Fill cavities and restore decayed teeth. Fix discoloration or change a. Enquire for a fast quote ★ choose from. Dental bonding can be placed on the two teeth that lie on each side of. Compare all the dentists and contact the dental bonding clinic in halifax, nova scotia that's right for you. During bonding, a composite resin is applied to. Dental Bonding Halifax.
From www.priorshalldental.com
Composite Bonding Dental Bonding Northampton Priors Hall Dental Dental Bonding Halifax Enquire for a fast quote ★ choose from. Bonding helps correct crooked or cracked teeth. Tooth bonding provides one way a dentist can “close” (fill in) a diastema. Dental bonding can be placed on the two teeth that lie on each side of. During bonding, a composite resin is applied to the damaged or unsightly areas of your teeth. Bonding. Dental Bonding Halifax.
From dentistspreston.com
Before and After Dental Bonding Photos Cosmetic Bonding Dentists Dental Bonding Halifax Tooth bonding provides one way a dentist can “close” (fill in) a diastema. Fill cavities and restore decayed teeth. Bonding helps correct crooked or cracked teeth. Fix discoloration or change a. Chipped, discoloured, decayed, fractured or damaged teeth can be repaired with a restorative cosmetic treatment called dental bonding. Enquire for a fast quote ★ choose from. Dental bonding can. Dental Bonding Halifax.
From www.cranbrookdentalcare.com
dental bonding Cranbrook Dental Care Blog Dental Bonding Halifax Tooth bonding provides one way a dentist can “close” (fill in) a diastema. Our halifax dentists use dental bonding as a minimally invasive cosmetic procedure to repair damaged, uneven or discoloured teeth. Chipped, discoloured, decayed, fractured or damaged teeth can be repaired with a restorative cosmetic treatment called dental bonding. Fill cavities and restore decayed teeth. During bonding, a composite. Dental Bonding Halifax.
From www.halifaxdentalstudio.ca
Cosmetic Bonding Halifax, NS Dr. Jenine Arab Omalley Dental Bonding Halifax Compare all the dentists and contact the dental bonding clinic in halifax, nova scotia that's right for you. Here, our halifax dentists provide some facts about how dental bonding can be used to repair discoloured, gapped teeth and restore. Our halifax dentists use dental bonding as a minimally invasive cosmetic procedure to repair damaged, uneven or discoloured teeth. Chipped, discoloured,. Dental Bonding Halifax.
From www.croftondentalcare.co.uk
Composite Bonding Fareham Crofton Dental Care Dental Bonding Halifax Our halifax dentists use dental bonding as a minimally invasive cosmetic procedure to repair damaged, uneven or discoloured teeth. Dental bonding can be placed on the two teeth that lie on each side of. Tooth bonding provides one way a dentist can “close” (fill in) a diastema. Enquire for a fast quote ★ choose from. Here, our halifax dentists provide. Dental Bonding Halifax.
From brushinonbelmont.com
Teeth Bonding 101 Everything You Need to Know About the Procedure Dental Bonding Halifax Enquire for a fast quote ★ choose from. Fill cavities and restore decayed teeth. Our halifax dentists use dental bonding as a minimally invasive cosmetic procedure to repair damaged, uneven or discoloured teeth. Bonding can be used to: Compare all the dentists and contact the dental bonding clinic in halifax, nova scotia that's right for you. Chipped, discoloured, decayed, fractured. Dental Bonding Halifax.
From thedentalteammanchester.co.uk
The Dental Team Composite Bonding & Veneers Manchester Dental Bonding Halifax Fill cavities and restore decayed teeth. Dental bonding can be placed on the two teeth that lie on each side of. Our halifax dentists use dental bonding as a minimally invasive cosmetic procedure to repair damaged, uneven or discoloured teeth. Bonding can be used to: Tooth bonding provides one way a dentist can “close” (fill in) a diastema. Here, our. Dental Bonding Halifax.
From chathamdentists.co.uk
Cosmetic Bonding Chatham Teeth Bonding Dental Bonding Medway Dental Bonding Halifax Dental bonding can be placed on the two teeth that lie on each side of. Enquire for a fast quote ★ choose from. Fill cavities and restore decayed teeth. Tooth bonding provides one way a dentist can “close” (fill in) a diastema. Compare all the dentists and contact the dental bonding clinic in halifax, nova scotia that's right for you.. Dental Bonding Halifax.
From www.halifaxdentalstudio.ca
Cosmetic Bonding Halifax, NS Dr. Jenine Arab Omalley Dental Bonding Halifax During bonding, a composite resin is applied to the damaged or unsightly areas of your teeth. Fill cavities and restore decayed teeth. Our halifax dentists use dental bonding as a minimally invasive cosmetic procedure to repair damaged, uneven or discoloured teeth. Chipped, discoloured, decayed, fractured or damaged teeth can be repaired with a restorative cosmetic treatment called dental bonding. Fix. Dental Bonding Halifax.
From www.primedentalmfg.com
Light Cure Orthodontic Adhesive Bonding System — Prime Dental Manufacturing Dental Bonding Halifax Bonding can be used to: Chipped, discoloured, decayed, fractured or damaged teeth can be repaired with a restorative cosmetic treatment called dental bonding. Fix discoloration or change a. Dental bonding can be placed on the two teeth that lie on each side of. Compare all the dentists and contact the dental bonding clinic in halifax, nova scotia that's right for. Dental Bonding Halifax.
From aesthetikadentalstudio.co.uk
Composite Dental Bonding Kingston Surrey Patient Gallery Dental Bonding Halifax Bonding can be used to: Fill cavities and restore decayed teeth. Dental bonding can be placed on the two teeth that lie on each side of. Here, our halifax dentists provide some facts about how dental bonding can be used to repair discoloured, gapped teeth and restore. Bonding helps correct crooked or cracked teeth. Compare all the dentists and contact. Dental Bonding Halifax.