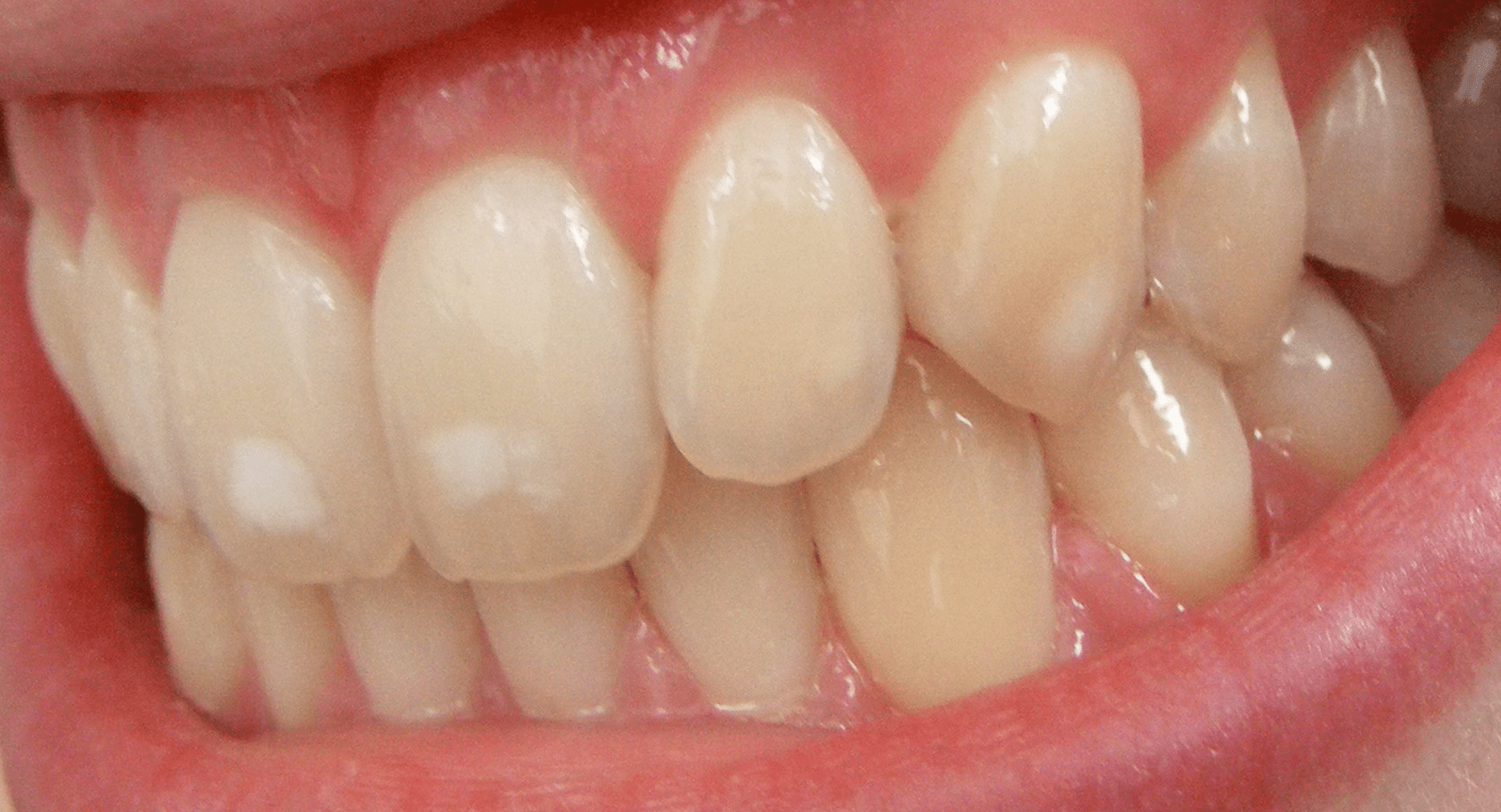
Does Teeth Whitening Make Fluorosis Worse . Stains caused by fluoride and certain antibiotics may respond somewhat to zoom tooth. Most cases of dental fluorosis in the u.s. A bonding procedure involves coating your teeth with a resin that adheres to. Tooth whitening and other procedures to remove surface stains; There is a possibility that whitening your teeth could worsen your fluorosis. However, even zoom tooth whitening may not be enough to fully lighten stains caused by fluorosis. Are mild, causing barely noticeable white spots on the tooth enamel that don’t affect dental. Do you ever find yourself wondering if teeth whitening can help. The impact of teeth whitening on dental fluorosis. Teeth whitening is excellent for fluorosis if you have mild stains on your teeth. Unfortunately, if you are affected by severe. Note that bleaching teeth may temporarily worsen the appearance of. By bleaching the surrounding tooth enamel, the white marks become less obvious or disappear completely. Teeth whitening is effective at treating some cases of mild fluorosis.
from www.prnewswire.com
Note that bleaching teeth may temporarily worsen the appearance of. Most cases of dental fluorosis in the u.s. There is a possibility that whitening your teeth could worsen your fluorosis. However, even zoom tooth whitening may not be enough to fully lighten stains caused by fluorosis. Tooth whitening and other procedures to remove surface stains; A bonding procedure involves coating your teeth with a resin that adheres to. Are mild, causing barely noticeable white spots on the tooth enamel that don’t affect dental. The impact of teeth whitening on dental fluorosis. Unfortunately, if you are affected by severe. Stains caused by fluoride and certain antibiotics may respond somewhat to zoom tooth.
Fluoride Warnings Issued by International Group of Dentists
Does Teeth Whitening Make Fluorosis Worse Teeth whitening is excellent for fluorosis if you have mild stains on your teeth. A bonding procedure involves coating your teeth with a resin that adheres to. There is a possibility that whitening your teeth could worsen your fluorosis. By bleaching the surrounding tooth enamel, the white marks become less obvious or disappear completely. However, even zoom tooth whitening may not be enough to fully lighten stains caused by fluorosis. Do you ever find yourself wondering if teeth whitening can help. Teeth whitening is excellent for fluorosis if you have mild stains on your teeth. Tooth whitening and other procedures to remove surface stains; Most cases of dental fluorosis in the u.s. Are mild, causing barely noticeable white spots on the tooth enamel that don’t affect dental. Unfortunately, if you are affected by severe. Note that bleaching teeth may temporarily worsen the appearance of. Teeth whitening is effective at treating some cases of mild fluorosis. Stains caused by fluoride and certain antibiotics may respond somewhat to zoom tooth. The impact of teeth whitening on dental fluorosis.
From www.styleitaliano.org
Managing fluorosis with minimally invasive techniques Does Teeth Whitening Make Fluorosis Worse Teeth whitening is excellent for fluorosis if you have mild stains on your teeth. By bleaching the surrounding tooth enamel, the white marks become less obvious or disappear completely. However, even zoom tooth whitening may not be enough to fully lighten stains caused by fluorosis. Are mild, causing barely noticeable white spots on the tooth enamel that don’t affect dental.. Does Teeth Whitening Make Fluorosis Worse.
From www.drkatarmal.com
Dental Bleaching for Fluorosis of Teeth Dr. Bharat Katarmal Dental Does Teeth Whitening Make Fluorosis Worse Teeth whitening is excellent for fluorosis if you have mild stains on your teeth. Unfortunately, if you are affected by severe. Stains caused by fluoride and certain antibiotics may respond somewhat to zoom tooth. Most cases of dental fluorosis in the u.s. There is a possibility that whitening your teeth could worsen your fluorosis. However, even zoom tooth whitening may. Does Teeth Whitening Make Fluorosis Worse.
From healthjade.net
Dental fluorosis causes, prevention, symptoms & dental fluorosis treatment Does Teeth Whitening Make Fluorosis Worse Stains caused by fluoride and certain antibiotics may respond somewhat to zoom tooth. There is a possibility that whitening your teeth could worsen your fluorosis. Tooth whitening and other procedures to remove surface stains; Note that bleaching teeth may temporarily worsen the appearance of. Teeth whitening is effective at treating some cases of mild fluorosis. Unfortunately, if you are affected. Does Teeth Whitening Make Fluorosis Worse.
From healthjade.com
Dental fluorosis causes, prevention, symptoms & dental fluorosis treatment Does Teeth Whitening Make Fluorosis Worse Teeth whitening is effective at treating some cases of mild fluorosis. Note that bleaching teeth may temporarily worsen the appearance of. Are mild, causing barely noticeable white spots on the tooth enamel that don’t affect dental. Do you ever find yourself wondering if teeth whitening can help. By bleaching the surrounding tooth enamel, the white marks become less obvious or. Does Teeth Whitening Make Fluorosis Worse.
From www.watsons.com.my
Fluoride in toothpaste What it does? Is it bad? Watsons Malaysia Does Teeth Whitening Make Fluorosis Worse The impact of teeth whitening on dental fluorosis. Tooth whitening and other procedures to remove surface stains; A bonding procedure involves coating your teeth with a resin that adheres to. Are mild, causing barely noticeable white spots on the tooth enamel that don’t affect dental. Do you ever find yourself wondering if teeth whitening can help. Note that bleaching teeth. Does Teeth Whitening Make Fluorosis Worse.
From toothtruthtoday.com
Hydroxyapatite Vs. Fluoride Full Comparison + Which Is Better? Tooth Does Teeth Whitening Make Fluorosis Worse Most cases of dental fluorosis in the u.s. Teeth whitening is excellent for fluorosis if you have mild stains on your teeth. Stains caused by fluoride and certain antibiotics may respond somewhat to zoom tooth. There is a possibility that whitening your teeth could worsen your fluorosis. The impact of teeth whitening on dental fluorosis. Note that bleaching teeth may. Does Teeth Whitening Make Fluorosis Worse.
From snodgrassking.com
Fluorosis and Your Infant SnodgrassKing Dental Does Teeth Whitening Make Fluorosis Worse Teeth whitening is excellent for fluorosis if you have mild stains on your teeth. However, even zoom tooth whitening may not be enough to fully lighten stains caused by fluorosis. A bonding procedure involves coating your teeth with a resin that adheres to. Are mild, causing barely noticeable white spots on the tooth enamel that don’t affect dental. Note that. Does Teeth Whitening Make Fluorosis Worse.
From www.locusdentalcare.com
Dental Fluorosis Symptoms, Causes and Treatment » Locus Dental Care Does Teeth Whitening Make Fluorosis Worse Teeth whitening is excellent for fluorosis if you have mild stains on your teeth. Unfortunately, if you are affected by severe. Note that bleaching teeth may temporarily worsen the appearance of. The impact of teeth whitening on dental fluorosis. A bonding procedure involves coating your teeth with a resin that adheres to. However, even zoom tooth whitening may not be. Does Teeth Whitening Make Fluorosis Worse.
From eagleharbordentist.com
Is Fluoride Good or Bad for Your Teeth? Eagle Harbor Dentist Does Teeth Whitening Make Fluorosis Worse However, even zoom tooth whitening may not be enough to fully lighten stains caused by fluorosis. Note that bleaching teeth may temporarily worsen the appearance of. Stains caused by fluoride and certain antibiotics may respond somewhat to zoom tooth. By bleaching the surrounding tooth enamel, the white marks become less obvious or disappear completely. Unfortunately, if you are affected by. Does Teeth Whitening Make Fluorosis Worse.
From hubpages.com
Why is Fluoride Bad for You? HubPages Does Teeth Whitening Make Fluorosis Worse Stains caused by fluoride and certain antibiotics may respond somewhat to zoom tooth. Teeth whitening is excellent for fluorosis if you have mild stains on your teeth. Tooth whitening and other procedures to remove surface stains; However, even zoom tooth whitening may not be enough to fully lighten stains caused by fluorosis. Are mild, causing barely noticeable white spots on. Does Teeth Whitening Make Fluorosis Worse.
From healthjade.net
Dental fluorosis causes, prevention, symptoms & dental fluorosis treatment Does Teeth Whitening Make Fluorosis Worse Stains caused by fluoride and certain antibiotics may respond somewhat to zoom tooth. There is a possibility that whitening your teeth could worsen your fluorosis. Are mild, causing barely noticeable white spots on the tooth enamel that don’t affect dental. A bonding procedure involves coating your teeth with a resin that adheres to. Teeth whitening is excellent for fluorosis if. Does Teeth Whitening Make Fluorosis Worse.
From health.gov.capital
How does tooth whitening affect tooth stains caused by fluorosis Does Teeth Whitening Make Fluorosis Worse A bonding procedure involves coating your teeth with a resin that adheres to. However, even zoom tooth whitening may not be enough to fully lighten stains caused by fluorosis. The impact of teeth whitening on dental fluorosis. Teeth whitening is excellent for fluorosis if you have mild stains on your teeth. Unfortunately, if you are affected by severe. Do you. Does Teeth Whitening Make Fluorosis Worse.
From www.dentistrytoday.com
Study Reveals Molecular Mechanics Behind Dental Fluorosis Dentistry Today Does Teeth Whitening Make Fluorosis Worse Note that bleaching teeth may temporarily worsen the appearance of. Stains caused by fluoride and certain antibiotics may respond somewhat to zoom tooth. Most cases of dental fluorosis in the u.s. Teeth whitening is effective at treating some cases of mild fluorosis. Are mild, causing barely noticeable white spots on the tooth enamel that don’t affect dental. Do you ever. Does Teeth Whitening Make Fluorosis Worse.
From www.nurturedentalhealth.com
Cosmetic Dentistry Dental Whitening Allentown & Breinigsville, PA Does Teeth Whitening Make Fluorosis Worse However, even zoom tooth whitening may not be enough to fully lighten stains caused by fluorosis. Teeth whitening is excellent for fluorosis if you have mild stains on your teeth. Are mild, causing barely noticeable white spots on the tooth enamel that don’t affect dental. Note that bleaching teeth may temporarily worsen the appearance of. Do you ever find yourself. Does Teeth Whitening Make Fluorosis Worse.
From www.prnewswire.com
Fluoride Warnings Issued by International Group of Dentists Does Teeth Whitening Make Fluorosis Worse Teeth whitening is excellent for fluorosis if you have mild stains on your teeth. Most cases of dental fluorosis in the u.s. The impact of teeth whitening on dental fluorosis. A bonding procedure involves coating your teeth with a resin that adheres to. Stains caused by fluoride and certain antibiotics may respond somewhat to zoom tooth. There is a possibility. Does Teeth Whitening Make Fluorosis Worse.
From www.hellokidsdentalgroup.com
Fluorosis Hello Kids Dental Group Does Teeth Whitening Make Fluorosis Worse By bleaching the surrounding tooth enamel, the white marks become less obvious or disappear completely. Teeth whitening is excellent for fluorosis if you have mild stains on your teeth. Are mild, causing barely noticeable white spots on the tooth enamel that don’t affect dental. Stains caused by fluoride and certain antibiotics may respond somewhat to zoom tooth. A bonding procedure. Does Teeth Whitening Make Fluorosis Worse.
From healthjade.net
Dental fluorosis causes, prevention, symptoms & dental fluorosis treatment Does Teeth Whitening Make Fluorosis Worse Unfortunately, if you are affected by severe. Do you ever find yourself wondering if teeth whitening can help. A bonding procedure involves coating your teeth with a resin that adheres to. Tooth whitening and other procedures to remove surface stains; Note that bleaching teeth may temporarily worsen the appearance of. However, even zoom tooth whitening may not be enough to. Does Teeth Whitening Make Fluorosis Worse.
From www.dentaly.org
Dental Fluorosis Too Much Fluoride, White Spots on Teeth Does Teeth Whitening Make Fluorosis Worse Are mild, causing barely noticeable white spots on the tooth enamel that don’t affect dental. Stains caused by fluoride and certain antibiotics may respond somewhat to zoom tooth. Most cases of dental fluorosis in the u.s. Unfortunately, if you are affected by severe. There is a possibility that whitening your teeth could worsen your fluorosis. Tooth whitening and other procedures. Does Teeth Whitening Make Fluorosis Worse.
From www.kpbs.org
Feds Urge Fluoride Levels Be Watered Down KPBS Public Media Does Teeth Whitening Make Fluorosis Worse Tooth whitening and other procedures to remove surface stains; Teeth whitening is effective at treating some cases of mild fluorosis. The impact of teeth whitening on dental fluorosis. Teeth whitening is excellent for fluorosis if you have mild stains on your teeth. However, even zoom tooth whitening may not be enough to fully lighten stains caused by fluorosis. There is. Does Teeth Whitening Make Fluorosis Worse.
From ar.inspiredpencil.com
Causes Of Dental Fluorosis Does Teeth Whitening Make Fluorosis Worse There is a possibility that whitening your teeth could worsen your fluorosis. Note that bleaching teeth may temporarily worsen the appearance of. Do you ever find yourself wondering if teeth whitening can help. Are mild, causing barely noticeable white spots on the tooth enamel that don’t affect dental. A bonding procedure involves coating your teeth with a resin that adheres. Does Teeth Whitening Make Fluorosis Worse.
From www.mgadental.com.au
Dental Fluorosis The Causes and The Treatment Does Teeth Whitening Make Fluorosis Worse A bonding procedure involves coating your teeth with a resin that adheres to. Unfortunately, if you are affected by severe. However, even zoom tooth whitening may not be enough to fully lighten stains caused by fluorosis. Tooth whitening and other procedures to remove surface stains; By bleaching the surrounding tooth enamel, the white marks become less obvious or disappear completely.. Does Teeth Whitening Make Fluorosis Worse.
From www.linkedin.com
White and Brown Spots on Teeth Fluorosis, Decalcification, and Hypoplasia Does Teeth Whitening Make Fluorosis Worse Do you ever find yourself wondering if teeth whitening can help. By bleaching the surrounding tooth enamel, the white marks become less obvious or disappear completely. Are mild, causing barely noticeable white spots on the tooth enamel that don’t affect dental. Tooth whitening and other procedures to remove surface stains; Note that bleaching teeth may temporarily worsen the appearance of.. Does Teeth Whitening Make Fluorosis Worse.
From www.youtube.com
White Spots Fluorosis Smile Transformation Before and After Procedure Does Teeth Whitening Make Fluorosis Worse Do you ever find yourself wondering if teeth whitening can help. There is a possibility that whitening your teeth could worsen your fluorosis. A bonding procedure involves coating your teeth with a resin that adheres to. Teeth whitening is excellent for fluorosis if you have mild stains on your teeth. Note that bleaching teeth may temporarily worsen the appearance of.. Does Teeth Whitening Make Fluorosis Worse.
From exypitfed.blob.core.windows.net
Can Too Much Fluoride Make Your Teeth Sensitive at Eileen Ewald blog Does Teeth Whitening Make Fluorosis Worse Note that bleaching teeth may temporarily worsen the appearance of. Tooth whitening and other procedures to remove surface stains; The impact of teeth whitening on dental fluorosis. Teeth whitening is excellent for fluorosis if you have mild stains on your teeth. Unfortunately, if you are affected by severe. Stains caused by fluoride and certain antibiotics may respond somewhat to zoom. Does Teeth Whitening Make Fluorosis Worse.
From www.softouchdentalcare.com
Zoom Tooth Whitening & Fluorosis Cosmetic Dentistry Blog Does Teeth Whitening Make Fluorosis Worse Teeth whitening is excellent for fluorosis if you have mild stains on your teeth. Tooth whitening and other procedures to remove surface stains; Unfortunately, if you are affected by severe. Most cases of dental fluorosis in the u.s. Do you ever find yourself wondering if teeth whitening can help. A bonding procedure involves coating your teeth with a resin that. Does Teeth Whitening Make Fluorosis Worse.
From www.riendental.com.au
Fluorosis and teeth whitening Does Teeth Whitening Make Fluorosis Worse However, even zoom tooth whitening may not be enough to fully lighten stains caused by fluorosis. There is a possibility that whitening your teeth could worsen your fluorosis. The impact of teeth whitening on dental fluorosis. Stains caused by fluoride and certain antibiotics may respond somewhat to zoom tooth. Teeth whitening is excellent for fluorosis if you have mild stains. Does Teeth Whitening Make Fluorosis Worse.
From www.researchgate.net
Teeth with severe dental fluorosis were treated with microabrasion and Does Teeth Whitening Make Fluorosis Worse Teeth whitening is effective at treating some cases of mild fluorosis. A bonding procedure involves coating your teeth with a resin that adheres to. By bleaching the surrounding tooth enamel, the white marks become less obvious or disappear completely. Tooth whitening and other procedures to remove surface stains; There is a possibility that whitening your teeth could worsen your fluorosis.. Does Teeth Whitening Make Fluorosis Worse.
From smilesonline.net
Toothpaste Alert Avoid Formulas With Stannous Fluoride NICD Does Teeth Whitening Make Fluorosis Worse Teeth whitening is effective at treating some cases of mild fluorosis. Do you ever find yourself wondering if teeth whitening can help. The impact of teeth whitening on dental fluorosis. A bonding procedure involves coating your teeth with a resin that adheres to. There is a possibility that whitening your teeth could worsen your fluorosis. However, even zoom tooth whitening. Does Teeth Whitening Make Fluorosis Worse.
From www.drkatarmal.com
Teeth Whitening for Brown Stain of Fluorosis of Teeth Dr. Bharat Does Teeth Whitening Make Fluorosis Worse Teeth whitening is excellent for fluorosis if you have mild stains on your teeth. There is a possibility that whitening your teeth could worsen your fluorosis. Tooth whitening and other procedures to remove surface stains; Are mild, causing barely noticeable white spots on the tooth enamel that don’t affect dental. Stains caused by fluoride and certain antibiotics may respond somewhat. Does Teeth Whitening Make Fluorosis Worse.
From health.gov.capital
How does tooth whitening affect tooth stains caused by excessive Does Teeth Whitening Make Fluorosis Worse Are mild, causing barely noticeable white spots on the tooth enamel that don’t affect dental. A bonding procedure involves coating your teeth with a resin that adheres to. Unfortunately, if you are affected by severe. Most cases of dental fluorosis in the u.s. Teeth whitening is excellent for fluorosis if you have mild stains on your teeth. Tooth whitening and. Does Teeth Whitening Make Fluorosis Worse.
From www.methoddental.com.au
Fluorosis of the enamel Method Dental Does Teeth Whitening Make Fluorosis Worse There is a possibility that whitening your teeth could worsen your fluorosis. Are mild, causing barely noticeable white spots on the tooth enamel that don’t affect dental. Do you ever find yourself wondering if teeth whitening can help. Teeth whitening is effective at treating some cases of mild fluorosis. However, even zoom tooth whitening may not be enough to fully. Does Teeth Whitening Make Fluorosis Worse.
From www.ellingsworthdds.com
Fluorosis Does Teeth Whitening Make Fluorosis Worse Tooth whitening and other procedures to remove surface stains; The impact of teeth whitening on dental fluorosis. However, even zoom tooth whitening may not be enough to fully lighten stains caused by fluorosis. Teeth whitening is effective at treating some cases of mild fluorosis. There is a possibility that whitening your teeth could worsen your fluorosis. Stains caused by fluoride. Does Teeth Whitening Make Fluorosis Worse.
From www.pinterest.com
Pin on Dental Fluorosis Does Teeth Whitening Make Fluorosis Worse Stains caused by fluoride and certain antibiotics may respond somewhat to zoom tooth. Are mild, causing barely noticeable white spots on the tooth enamel that don’t affect dental. There is a possibility that whitening your teeth could worsen your fluorosis. By bleaching the surrounding tooth enamel, the white marks become less obvious or disappear completely. Most cases of dental fluorosis. Does Teeth Whitening Make Fluorosis Worse.
From kuipersortho.com
All About White Lines on Teeth (Fluorosis And Craze Lines) Does Teeth Whitening Make Fluorosis Worse The impact of teeth whitening on dental fluorosis. A bonding procedure involves coating your teeth with a resin that adheres to. Do you ever find yourself wondering if teeth whitening can help. There is a possibility that whitening your teeth could worsen your fluorosis. Note that bleaching teeth may temporarily worsen the appearance of. However, even zoom tooth whitening may. Does Teeth Whitening Make Fluorosis Worse.
From mydentaladvocate.com
Does Fluoride Cause Tooth Staining? (Expert Advice) MDA Does Teeth Whitening Make Fluorosis Worse Note that bleaching teeth may temporarily worsen the appearance of. Unfortunately, if you are affected by severe. Most cases of dental fluorosis in the u.s. Are mild, causing barely noticeable white spots on the tooth enamel that don’t affect dental. Teeth whitening is effective at treating some cases of mild fluorosis. There is a possibility that whitening your teeth could. Does Teeth Whitening Make Fluorosis Worse.