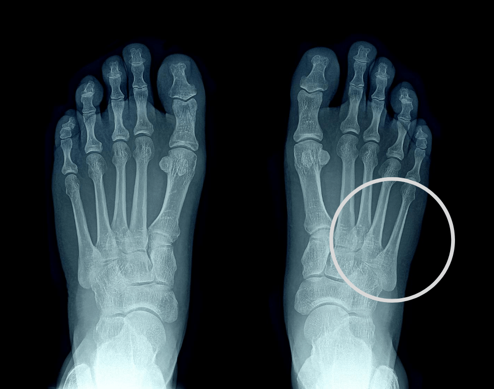
Foot Jones Fracture . Jones fractures are caused when you put sudden force on the outside of your foot with your foot twisted away from your body. Jones fractures are characterized by bruising, swelling, pain, and an inability to walk. A jones fracture is a fracture of the bone on the outside of the foot. What is a jones fracture? This bone is on the middle outside of your foot,. A jones fracture is a fracture that occurs at the base of the fifth metatarsal bone (the long bone on the outside of the foot that leads up to the pinky toe.). If you fracture the fifth metatarsal bone in your foot, it is called a jones fracture.
from
If you fracture the fifth metatarsal bone in your foot, it is called a jones fracture. A jones fracture is a fracture that occurs at the base of the fifth metatarsal bone (the long bone on the outside of the foot that leads up to the pinky toe.). Jones fractures are characterized by bruising, swelling, pain, and an inability to walk. This bone is on the middle outside of your foot,. What is a jones fracture? Jones fractures are caused when you put sudden force on the outside of your foot with your foot twisted away from your body. A jones fracture is a fracture of the bone on the outside of the foot.
Foot Jones Fracture A jones fracture is a fracture that occurs at the base of the fifth metatarsal bone (the long bone on the outside of the foot that leads up to the pinky toe.). This bone is on the middle outside of your foot,. Jones fractures are characterized by bruising, swelling, pain, and an inability to walk. What is a jones fracture? A jones fracture is a fracture that occurs at the base of the fifth metatarsal bone (the long bone on the outside of the foot that leads up to the pinky toe.). A jones fracture is a fracture of the bone on the outside of the foot. Jones fractures are caused when you put sudden force on the outside of your foot with your foot twisted away from your body. If you fracture the fifth metatarsal bone in your foot, it is called a jones fracture.
From
Foot Jones Fracture This bone is on the middle outside of your foot,. A jones fracture is a fracture that occurs at the base of the fifth metatarsal bone (the long bone on the outside of the foot that leads up to the pinky toe.). What is a jones fracture? Jones fractures are characterized by bruising, swelling, pain, and an inability to walk.. Foot Jones Fracture.
From
Foot Jones Fracture Jones fractures are caused when you put sudden force on the outside of your foot with your foot twisted away from your body. What is a jones fracture? A jones fracture is a fracture of the bone on the outside of the foot. Jones fractures are characterized by bruising, swelling, pain, and an inability to walk. A jones fracture is. Foot Jones Fracture.
From
Foot Jones Fracture A jones fracture is a fracture of the bone on the outside of the foot. Jones fractures are caused when you put sudden force on the outside of your foot with your foot twisted away from your body. What is a jones fracture? A jones fracture is a fracture that occurs at the base of the fifth metatarsal bone (the. Foot Jones Fracture.
From www.mtairyfoot.com
foot bones Jones Fracture Northern InStride Foot & Ankle Specialists Foot Jones Fracture Jones fractures are characterized by bruising, swelling, pain, and an inability to walk. If you fracture the fifth metatarsal bone in your foot, it is called a jones fracture. A jones fracture is a fracture of the bone on the outside of the foot. This bone is on the middle outside of your foot,. A jones fracture is a fracture. Foot Jones Fracture.
From
Foot Jones Fracture Jones fractures are caused when you put sudden force on the outside of your foot with your foot twisted away from your body. Jones fractures are characterized by bruising, swelling, pain, and an inability to walk. If you fracture the fifth metatarsal bone in your foot, it is called a jones fracture. A jones fracture is a fracture of the. Foot Jones Fracture.
From
Foot Jones Fracture Jones fractures are caused when you put sudden force on the outside of your foot with your foot twisted away from your body. What is a jones fracture? A jones fracture is a fracture of the bone on the outside of the foot. A jones fracture is a fracture that occurs at the base of the fifth metatarsal bone (the. Foot Jones Fracture.
From www.verywell.com
Understanding the Jones Fracture of the Foot Foot Jones Fracture A jones fracture is a fracture that occurs at the base of the fifth metatarsal bone (the long bone on the outside of the foot that leads up to the pinky toe.). Jones fractures are caused when you put sudden force on the outside of your foot with your foot twisted away from your body. This bone is on the. Foot Jones Fracture.
From
Foot Jones Fracture What is a jones fracture? Jones fractures are caused when you put sudden force on the outside of your foot with your foot twisted away from your body. This bone is on the middle outside of your foot,. Jones fractures are characterized by bruising, swelling, pain, and an inability to walk. If you fracture the fifth metatarsal bone in your. Foot Jones Fracture.
From
Foot Jones Fracture A jones fracture is a fracture that occurs at the base of the fifth metatarsal bone (the long bone on the outside of the foot that leads up to the pinky toe.). A jones fracture is a fracture of the bone on the outside of the foot. What is a jones fracture? If you fracture the fifth metatarsal bone in. Foot Jones Fracture.
From
Foot Jones Fracture Jones fractures are characterized by bruising, swelling, pain, and an inability to walk. What is a jones fracture? A jones fracture is a fracture of the bone on the outside of the foot. If you fracture the fifth metatarsal bone in your foot, it is called a jones fracture. This bone is on the middle outside of your foot,. Jones. Foot Jones Fracture.
From
Foot Jones Fracture A jones fracture is a fracture of the bone on the outside of the foot. What is a jones fracture? A jones fracture is a fracture that occurs at the base of the fifth metatarsal bone (the long bone on the outside of the foot that leads up to the pinky toe.). This bone is on the middle outside of. Foot Jones Fracture.
From
Foot Jones Fracture What is a jones fracture? Jones fractures are caused when you put sudden force on the outside of your foot with your foot twisted away from your body. Jones fractures are characterized by bruising, swelling, pain, and an inability to walk. If you fracture the fifth metatarsal bone in your foot, it is called a jones fracture. A jones fracture. Foot Jones Fracture.
From www.medicalnewstoday.com
Pain on top of the foot Causes and treatment Foot Jones Fracture Jones fractures are caused when you put sudden force on the outside of your foot with your foot twisted away from your body. A jones fracture is a fracture that occurs at the base of the fifth metatarsal bone (the long bone on the outside of the foot that leads up to the pinky toe.). What is a jones fracture?. Foot Jones Fracture.
From footeducation.com
Jones Fracture FootEducation Foot Jones Fracture A jones fracture is a fracture of the bone on the outside of the foot. If you fracture the fifth metatarsal bone in your foot, it is called a jones fracture. This bone is on the middle outside of your foot,. A jones fracture is a fracture that occurs at the base of the fifth metatarsal bone (the long bone. Foot Jones Fracture.
From
Foot Jones Fracture A jones fracture is a fracture that occurs at the base of the fifth metatarsal bone (the long bone on the outside of the foot that leads up to the pinky toe.). If you fracture the fifth metatarsal bone in your foot, it is called a jones fracture. A jones fracture is a fracture of the bone on the outside. Foot Jones Fracture.
From
Foot Jones Fracture A jones fracture is a fracture that occurs at the base of the fifth metatarsal bone (the long bone on the outside of the foot that leads up to the pinky toe.). Jones fractures are characterized by bruising, swelling, pain, and an inability to walk. What is a jones fracture? This bone is on the middle outside of your foot,.. Foot Jones Fracture.
From
Foot Jones Fracture A jones fracture is a fracture of the bone on the outside of the foot. This bone is on the middle outside of your foot,. Jones fractures are characterized by bruising, swelling, pain, and an inability to walk. A jones fracture is a fracture that occurs at the base of the fifth metatarsal bone (the long bone on the outside. Foot Jones Fracture.
From oftews.weebly.com
Jones fracture oftews Foot Jones Fracture This bone is on the middle outside of your foot,. What is a jones fracture? If you fracture the fifth metatarsal bone in your foot, it is called a jones fracture. Jones fractures are caused when you put sudden force on the outside of your foot with your foot twisted away from your body. A jones fracture is a fracture. Foot Jones Fracture.
From fracturetreatment.blogspot.com
Hairline Fracture Foot Fracture Treatment Foot Jones Fracture A jones fracture is a fracture that occurs at the base of the fifth metatarsal bone (the long bone on the outside of the foot that leads up to the pinky toe.). This bone is on the middle outside of your foot,. Jones fractures are caused when you put sudden force on the outside of your foot with your foot. Foot Jones Fracture.
From
Foot Jones Fracture If you fracture the fifth metatarsal bone in your foot, it is called a jones fracture. A jones fracture is a fracture that occurs at the base of the fifth metatarsal bone (the long bone on the outside of the foot that leads up to the pinky toe.). Jones fractures are caused when you put sudden force on the outside. Foot Jones Fracture.
From theprehabguys.com
Jones Fracture Exercises and Treatment Strategies [P]rehab Foot Jones Fracture This bone is on the middle outside of your foot,. Jones fractures are caused when you put sudden force on the outside of your foot with your foot twisted away from your body. If you fracture the fifth metatarsal bone in your foot, it is called a jones fracture. Jones fractures are characterized by bruising, swelling, pain, and an inability. Foot Jones Fracture.
From
Foot Jones Fracture This bone is on the middle outside of your foot,. If you fracture the fifth metatarsal bone in your foot, it is called a jones fracture. A jones fracture is a fracture that occurs at the base of the fifth metatarsal bone (the long bone on the outside of the foot that leads up to the pinky toe.). Jones fractures. Foot Jones Fracture.
From radiopaedia.org
Jones fracture Image Foot Jones Fracture What is a jones fracture? A jones fracture is a fracture that occurs at the base of the fifth metatarsal bone (the long bone on the outside of the foot that leads up to the pinky toe.). A jones fracture is a fracture of the bone on the outside of the foot. Jones fractures are caused when you put sudden. Foot Jones Fracture.
From
Foot Jones Fracture What is a jones fracture? If you fracture the fifth metatarsal bone in your foot, it is called a jones fracture. A jones fracture is a fracture of the bone on the outside of the foot. This bone is on the middle outside of your foot,. Jones fractures are caused when you put sudden force on the outside of your. Foot Jones Fracture.
From
Foot Jones Fracture A jones fracture is a fracture of the bone on the outside of the foot. What is a jones fracture? Jones fractures are characterized by bruising, swelling, pain, and an inability to walk. Jones fractures are caused when you put sudden force on the outside of your foot with your foot twisted away from your body. This bone is on. Foot Jones Fracture.
From
Foot Jones Fracture A jones fracture is a fracture that occurs at the base of the fifth metatarsal bone (the long bone on the outside of the foot that leads up to the pinky toe.). What is a jones fracture? Jones fractures are characterized by bruising, swelling, pain, and an inability to walk. This bone is on the middle outside of your foot,.. Foot Jones Fracture.
From staging.trimedortho.com
Radial Column Peg Plate Wrist Fracture Implant TriMed Inc. Foot Jones Fracture A jones fracture is a fracture of the bone on the outside of the foot. Jones fractures are characterized by bruising, swelling, pain, and an inability to walk. A jones fracture is a fracture that occurs at the base of the fifth metatarsal bone (the long bone on the outside of the foot that leads up to the pinky toe.).. Foot Jones Fracture.
From
Foot Jones Fracture Jones fractures are characterized by bruising, swelling, pain, and an inability to walk. Jones fractures are caused when you put sudden force on the outside of your foot with your foot twisted away from your body. If you fracture the fifth metatarsal bone in your foot, it is called a jones fracture. What is a jones fracture? This bone is. Foot Jones Fracture.
From www.verywellhealth.com
Jones Fracture of the Foot Symptoms, Treatment, and Recovery Foot Jones Fracture A jones fracture is a fracture that occurs at the base of the fifth metatarsal bone (the long bone on the outside of the foot that leads up to the pinky toe.). What is a jones fracture? A jones fracture is a fracture of the bone on the outside of the foot. Jones fractures are characterized by bruising, swelling, pain,. Foot Jones Fracture.
From
Foot Jones Fracture A jones fracture is a fracture of the bone on the outside of the foot. If you fracture the fifth metatarsal bone in your foot, it is called a jones fracture. What is a jones fracture? Jones fractures are caused when you put sudden force on the outside of your foot with your foot twisted away from your body. A. Foot Jones Fracture.
From
Foot Jones Fracture Jones fractures are caused when you put sudden force on the outside of your foot with your foot twisted away from your body. Jones fractures are characterized by bruising, swelling, pain, and an inability to walk. A jones fracture is a fracture that occurs at the base of the fifth metatarsal bone (the long bone on the outside of the. Foot Jones Fracture.
From
Foot Jones Fracture If you fracture the fifth metatarsal bone in your foot, it is called a jones fracture. Jones fractures are caused when you put sudden force on the outside of your foot with your foot twisted away from your body. A jones fracture is a fracture of the bone on the outside of the foot. A jones fracture is a fracture. Foot Jones Fracture.
From radiopaedia.org
Jones fracture Image Foot Jones Fracture A jones fracture is a fracture that occurs at the base of the fifth metatarsal bone (the long bone on the outside of the foot that leads up to the pinky toe.). If you fracture the fifth metatarsal bone in your foot, it is called a jones fracture. Jones fractures are characterized by bruising, swelling, pain, and an inability to. Foot Jones Fracture.
From www.pinterest.ca
Pin on PT Foot Jones Fracture A jones fracture is a fracture that occurs at the base of the fifth metatarsal bone (the long bone on the outside of the foot that leads up to the pinky toe.). A jones fracture is a fracture of the bone on the outside of the foot. If you fracture the fifth metatarsal bone in your foot, it is called. Foot Jones Fracture.
From
Foot Jones Fracture A jones fracture is a fracture that occurs at the base of the fifth metatarsal bone (the long bone on the outside of the foot that leads up to the pinky toe.). Jones fractures are caused when you put sudden force on the outside of your foot with your foot twisted away from your body. Jones fractures are characterized by. Foot Jones Fracture.