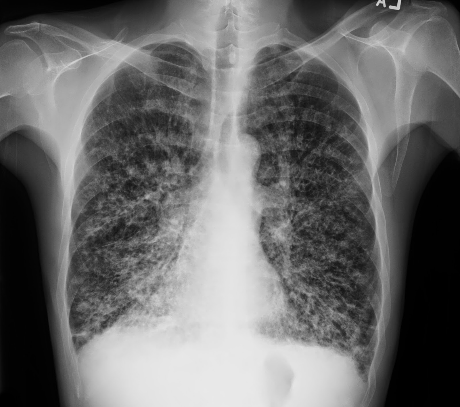
Bronchiectasis Chest X Ray Tram Track . When seen laterally, the bronchiectatic airway has been described. On chest radiographs, bronchiectasis manifests as tram tracks, parallel line opacities, ring opacities, and tubular structures. Chest radiography is usually the initial study performed in suspected bronchiectasis. However, chest radiographs lack sensitivity for detecting mild or. It should not be confused with. 2 findings suggestive of bronchiectasis include “tram track” appearance of dilated bronchi radiating from the hila, bronchial wall thickening. A dilated airway, with thickened airway walls can be noted.
from ar.inspiredpencil.com
However, chest radiographs lack sensitivity for detecting mild or. A dilated airway, with thickened airway walls can be noted. Chest radiography is usually the initial study performed in suspected bronchiectasis. When seen laterally, the bronchiectatic airway has been described. It should not be confused with. On chest radiographs, bronchiectasis manifests as tram tracks, parallel line opacities, ring opacities, and tubular structures. 2 findings suggestive of bronchiectasis include “tram track” appearance of dilated bronchi radiating from the hila, bronchial wall thickening.
Bronchiectasis X Ray Tram Track
Bronchiectasis Chest X Ray Tram Track When seen laterally, the bronchiectatic airway has been described. 2 findings suggestive of bronchiectasis include “tram track” appearance of dilated bronchi radiating from the hila, bronchial wall thickening. When seen laterally, the bronchiectatic airway has been described. However, chest radiographs lack sensitivity for detecting mild or. A dilated airway, with thickened airway walls can be noted. On chest radiographs, bronchiectasis manifests as tram tracks, parallel line opacities, ring opacities, and tubular structures. Chest radiography is usually the initial study performed in suspected bronchiectasis. It should not be confused with.
From www.vrogue.co
Chest X Ray Bronchiectasis On Ct And Chest X Ray Yout vrogue.co Bronchiectasis Chest X Ray Tram Track However, chest radiographs lack sensitivity for detecting mild or. A dilated airway, with thickened airway walls can be noted. On chest radiographs, bronchiectasis manifests as tram tracks, parallel line opacities, ring opacities, and tubular structures. Chest radiography is usually the initial study performed in suspected bronchiectasis. 2 findings suggestive of bronchiectasis include “tram track” appearance of dilated bronchi radiating from. Bronchiectasis Chest X Ray Tram Track.
From ar.inspiredpencil.com
Bronchiectasis X Ray Tram Track Bronchiectasis Chest X Ray Tram Track Chest radiography is usually the initial study performed in suspected bronchiectasis. It should not be confused with. 2 findings suggestive of bronchiectasis include “tram track” appearance of dilated bronchi radiating from the hila, bronchial wall thickening. On chest radiographs, bronchiectasis manifests as tram tracks, parallel line opacities, ring opacities, and tubular structures. When seen laterally, the bronchiectatic airway has been. Bronchiectasis Chest X Ray Tram Track.
From ar.inspiredpencil.com
Bronchiectasis X Ray Tram Track Bronchiectasis Chest X Ray Tram Track 2 findings suggestive of bronchiectasis include “tram track” appearance of dilated bronchi radiating from the hila, bronchial wall thickening. A dilated airway, with thickened airway walls can be noted. On chest radiographs, bronchiectasis manifests as tram tracks, parallel line opacities, ring opacities, and tubular structures. However, chest radiographs lack sensitivity for detecting mild or. Chest radiography is usually the initial. Bronchiectasis Chest X Ray Tram Track.
From www.svuhradiology.ie
Bronchiectasis CXR and CT Radiology at St. Vincent's University Bronchiectasis Chest X Ray Tram Track It should not be confused with. When seen laterally, the bronchiectatic airway has been described. On chest radiographs, bronchiectasis manifests as tram tracks, parallel line opacities, ring opacities, and tubular structures. Chest radiography is usually the initial study performed in suspected bronchiectasis. 2 findings suggestive of bronchiectasis include “tram track” appearance of dilated bronchi radiating from the hila, bronchial wall. Bronchiectasis Chest X Ray Tram Track.
From medizzy.com
Tram Tracking on Chest Xray in a patient with MEDizzy Bronchiectasis Chest X Ray Tram Track 2 findings suggestive of bronchiectasis include “tram track” appearance of dilated bronchi radiating from the hila, bronchial wall thickening. A dilated airway, with thickened airway walls can be noted. Chest radiography is usually the initial study performed in suspected bronchiectasis. It should not be confused with. When seen laterally, the bronchiectatic airway has been described. On chest radiographs, bronchiectasis manifests. Bronchiectasis Chest X Ray Tram Track.
From www.pinterest.com.au
Discover the TramTrack Sign in Chest CT Bronchiectasis Chest X Ray Tram Track On chest radiographs, bronchiectasis manifests as tram tracks, parallel line opacities, ring opacities, and tubular structures. However, chest radiographs lack sensitivity for detecting mild or. Chest radiography is usually the initial study performed in suspected bronchiectasis. 2 findings suggestive of bronchiectasis include “tram track” appearance of dilated bronchi radiating from the hila, bronchial wall thickening. When seen laterally, the bronchiectatic. Bronchiectasis Chest X Ray Tram Track.
From ar.inspiredpencil.com
Bronchiectasis X Ray Tram Track Bronchiectasis Chest X Ray Tram Track However, chest radiographs lack sensitivity for detecting mild or. On chest radiographs, bronchiectasis manifests as tram tracks, parallel line opacities, ring opacities, and tubular structures. A dilated airway, with thickened airway walls can be noted. It should not be confused with. Chest radiography is usually the initial study performed in suspected bronchiectasis. 2 findings suggestive of bronchiectasis include “tram track”. Bronchiectasis Chest X Ray Tram Track.
From ar.inspiredpencil.com
Bronchiectasis X Ray Tram Track Bronchiectasis Chest X Ray Tram Track When seen laterally, the bronchiectatic airway has been described. On chest radiographs, bronchiectasis manifests as tram tracks, parallel line opacities, ring opacities, and tubular structures. Chest radiography is usually the initial study performed in suspected bronchiectasis. 2 findings suggestive of bronchiectasis include “tram track” appearance of dilated bronchi radiating from the hila, bronchial wall thickening. However, chest radiographs lack sensitivity. Bronchiectasis Chest X Ray Tram Track.
From ar.inspiredpencil.com
Bronchiectasis X Ray Tram Track Bronchiectasis Chest X Ray Tram Track Chest radiography is usually the initial study performed in suspected bronchiectasis. On chest radiographs, bronchiectasis manifests as tram tracks, parallel line opacities, ring opacities, and tubular structures. When seen laterally, the bronchiectatic airway has been described. It should not be confused with. A dilated airway, with thickened airway walls can be noted. However, chest radiographs lack sensitivity for detecting mild. Bronchiectasis Chest X Ray Tram Track.
From ar.inspiredpencil.com
Bronchiectasis X Ray Tram Track Bronchiectasis Chest X Ray Tram Track 2 findings suggestive of bronchiectasis include “tram track” appearance of dilated bronchi radiating from the hila, bronchial wall thickening. On chest radiographs, bronchiectasis manifests as tram tracks, parallel line opacities, ring opacities, and tubular structures. However, chest radiographs lack sensitivity for detecting mild or. Chest radiography is usually the initial study performed in suspected bronchiectasis. It should not be confused. Bronchiectasis Chest X Ray Tram Track.
From mavink.com
Tram Track Chest X Ray Bronchiectasis Chest X Ray Tram Track However, chest radiographs lack sensitivity for detecting mild or. It should not be confused with. On chest radiographs, bronchiectasis manifests as tram tracks, parallel line opacities, ring opacities, and tubular structures. When seen laterally, the bronchiectatic airway has been described. A dilated airway, with thickened airway walls can be noted. 2 findings suggestive of bronchiectasis include “tram track” appearance of. Bronchiectasis Chest X Ray Tram Track.
From ar.inspiredpencil.com
Bronchiectasis X Ray Tram Track Bronchiectasis Chest X Ray Tram Track However, chest radiographs lack sensitivity for detecting mild or. It should not be confused with. When seen laterally, the bronchiectatic airway has been described. Chest radiography is usually the initial study performed in suspected bronchiectasis. A dilated airway, with thickened airway walls can be noted. 2 findings suggestive of bronchiectasis include “tram track” appearance of dilated bronchi radiating from the. Bronchiectasis Chest X Ray Tram Track.
From ar.inspiredpencil.com
Bronchiectasis X Ray Tram Track Bronchiectasis Chest X Ray Tram Track A dilated airway, with thickened airway walls can be noted. On chest radiographs, bronchiectasis manifests as tram tracks, parallel line opacities, ring opacities, and tubular structures. 2 findings suggestive of bronchiectasis include “tram track” appearance of dilated bronchi radiating from the hila, bronchial wall thickening. However, chest radiographs lack sensitivity for detecting mild or. Chest radiography is usually the initial. Bronchiectasis Chest X Ray Tram Track.
From www.researchgate.net
Chest Xray examination performed on admission. Chest Xray image Bronchiectasis Chest X Ray Tram Track It should not be confused with. When seen laterally, the bronchiectatic airway has been described. On chest radiographs, bronchiectasis manifests as tram tracks, parallel line opacities, ring opacities, and tubular structures. A dilated airway, with thickened airway walls can be noted. Chest radiography is usually the initial study performed in suspected bronchiectasis. 2 findings suggestive of bronchiectasis include “tram track”. Bronchiectasis Chest X Ray Tram Track.
From pulmmed.blogspot.com
CXR 胸部x光判讀 bronchiectasis Bronchiectasis Chest X Ray Tram Track On chest radiographs, bronchiectasis manifests as tram tracks, parallel line opacities, ring opacities, and tubular structures. However, chest radiographs lack sensitivity for detecting mild or. When seen laterally, the bronchiectatic airway has been described. It should not be confused with. 2 findings suggestive of bronchiectasis include “tram track” appearance of dilated bronchi radiating from the hila, bronchial wall thickening. Chest. Bronchiectasis Chest X Ray Tram Track.
From www.sciencephoto.com
Bronchiectasis, Xray Stock Image C037/1495 Science Photo Library Bronchiectasis Chest X Ray Tram Track Chest radiography is usually the initial study performed in suspected bronchiectasis. On chest radiographs, bronchiectasis manifests as tram tracks, parallel line opacities, ring opacities, and tubular structures. A dilated airway, with thickened airway walls can be noted. It should not be confused with. When seen laterally, the bronchiectatic airway has been described. However, chest radiographs lack sensitivity for detecting mild. Bronchiectasis Chest X Ray Tram Track.
From chest-medicine.blogspot.com
Chest Medicine Made EasyDr Deepu The Rings !!!The Trams!!!, Chest X Bronchiectasis Chest X Ray Tram Track Chest radiography is usually the initial study performed in suspected bronchiectasis. On chest radiographs, bronchiectasis manifests as tram tracks, parallel line opacities, ring opacities, and tubular structures. When seen laterally, the bronchiectatic airway has been described. 2 findings suggestive of bronchiectasis include “tram track” appearance of dilated bronchi radiating from the hila, bronchial wall thickening. However, chest radiographs lack sensitivity. Bronchiectasis Chest X Ray Tram Track.
From ar.inspiredpencil.com
Bronchiectasis X Ray Bronchiectasis Chest X Ray Tram Track 2 findings suggestive of bronchiectasis include “tram track” appearance of dilated bronchi radiating from the hila, bronchial wall thickening. On chest radiographs, bronchiectasis manifests as tram tracks, parallel line opacities, ring opacities, and tubular structures. A dilated airway, with thickened airway walls can be noted. When seen laterally, the bronchiectatic airway has been described. It should not be confused with.. Bronchiectasis Chest X Ray Tram Track.
From ar.inspiredpencil.com
Bronchiectasis X Ray Tram Track Bronchiectasis Chest X Ray Tram Track It should not be confused with. A dilated airway, with thickened airway walls can be noted. 2 findings suggestive of bronchiectasis include “tram track” appearance of dilated bronchi radiating from the hila, bronchial wall thickening. When seen laterally, the bronchiectatic airway has been described. On chest radiographs, bronchiectasis manifests as tram tracks, parallel line opacities, ring opacities, and tubular structures.. Bronchiectasis Chest X Ray Tram Track.
From bronchiectasis.com.au
Radiology Bronchiectasis Bronchiectasis Chest X Ray Tram Track On chest radiographs, bronchiectasis manifests as tram tracks, parallel line opacities, ring opacities, and tubular structures. Chest radiography is usually the initial study performed in suspected bronchiectasis. When seen laterally, the bronchiectatic airway has been described. A dilated airway, with thickened airway walls can be noted. 2 findings suggestive of bronchiectasis include “tram track” appearance of dilated bronchi radiating from. Bronchiectasis Chest X Ray Tram Track.
From ar.inspiredpencil.com
Bronchiectasis X Ray Tram Track Bronchiectasis Chest X Ray Tram Track It should not be confused with. However, chest radiographs lack sensitivity for detecting mild or. Chest radiography is usually the initial study performed in suspected bronchiectasis. When seen laterally, the bronchiectatic airway has been described. 2 findings suggestive of bronchiectasis include “tram track” appearance of dilated bronchi radiating from the hila, bronchial wall thickening. A dilated airway, with thickened airway. Bronchiectasis Chest X Ray Tram Track.
From ar.inspiredpencil.com
Bronchiectasis X Ray Tram Track Bronchiectasis Chest X Ray Tram Track It should not be confused with. When seen laterally, the bronchiectatic airway has been described. However, chest radiographs lack sensitivity for detecting mild or. Chest radiography is usually the initial study performed in suspected bronchiectasis. 2 findings suggestive of bronchiectasis include “tram track” appearance of dilated bronchi radiating from the hila, bronchial wall thickening. A dilated airway, with thickened airway. Bronchiectasis Chest X Ray Tram Track.
From www.stepwards.com
Bronchiectasis Stepwards Bronchiectasis Chest X Ray Tram Track Chest radiography is usually the initial study performed in suspected bronchiectasis. However, chest radiographs lack sensitivity for detecting mild or. 2 findings suggestive of bronchiectasis include “tram track” appearance of dilated bronchi radiating from the hila, bronchial wall thickening. On chest radiographs, bronchiectasis manifests as tram tracks, parallel line opacities, ring opacities, and tubular structures. It should not be confused. Bronchiectasis Chest X Ray Tram Track.
From www.semanticscholar.org
[PDF] Radiology corner. Answer to last month's radiology case ( 25 Bronchiectasis Chest X Ray Tram Track On chest radiographs, bronchiectasis manifests as tram tracks, parallel line opacities, ring opacities, and tubular structures. Chest radiography is usually the initial study performed in suspected bronchiectasis. It should not be confused with. A dilated airway, with thickened airway walls can be noted. 2 findings suggestive of bronchiectasis include “tram track” appearance of dilated bronchi radiating from the hila, bronchial. Bronchiectasis Chest X Ray Tram Track.
From www.researchgate.net
Highresolution CT scan showing a typical pattern of bronchiectasis Bronchiectasis Chest X Ray Tram Track On chest radiographs, bronchiectasis manifests as tram tracks, parallel line opacities, ring opacities, and tubular structures. However, chest radiographs lack sensitivity for detecting mild or. When seen laterally, the bronchiectatic airway has been described. A dilated airway, with thickened airway walls can be noted. 2 findings suggestive of bronchiectasis include “tram track” appearance of dilated bronchi radiating from the hila,. Bronchiectasis Chest X Ray Tram Track.
From ar.inspiredpencil.com
Bronchiectasis X Ray Tram Track Bronchiectasis Chest X Ray Tram Track Chest radiography is usually the initial study performed in suspected bronchiectasis. It should not be confused with. On chest radiographs, bronchiectasis manifests as tram tracks, parallel line opacities, ring opacities, and tubular structures. 2 findings suggestive of bronchiectasis include “tram track” appearance of dilated bronchi radiating from the hila, bronchial wall thickening. A dilated airway, with thickened airway walls can. Bronchiectasis Chest X Ray Tram Track.
From ar.inspiredpencil.com
Bronchiectasis X Ray Tram Track Bronchiectasis Chest X Ray Tram Track On chest radiographs, bronchiectasis manifests as tram tracks, parallel line opacities, ring opacities, and tubular structures. When seen laterally, the bronchiectatic airway has been described. However, chest radiographs lack sensitivity for detecting mild or. Chest radiography is usually the initial study performed in suspected bronchiectasis. A dilated airway, with thickened airway walls can be noted. It should not be confused. Bronchiectasis Chest X Ray Tram Track.
From www.pinterest.com
Bronchiectasis Radiology imaging, Radiology, Medical mnemonics Bronchiectasis Chest X Ray Tram Track 2 findings suggestive of bronchiectasis include “tram track” appearance of dilated bronchi radiating from the hila, bronchial wall thickening. However, chest radiographs lack sensitivity for detecting mild or. When seen laterally, the bronchiectatic airway has been described. A dilated airway, with thickened airway walls can be noted. It should not be confused with. Chest radiography is usually the initial study. Bronchiectasis Chest X Ray Tram Track.
From www.chestmedicine.org
Chest Medicine Made EasyDr Deepu The Rings !!!The Trams!!!, Chest X Bronchiectasis Chest X Ray Tram Track Chest radiography is usually the initial study performed in suspected bronchiectasis. On chest radiographs, bronchiectasis manifests as tram tracks, parallel line opacities, ring opacities, and tubular structures. When seen laterally, the bronchiectatic airway has been described. 2 findings suggestive of bronchiectasis include “tram track” appearance of dilated bronchi radiating from the hila, bronchial wall thickening. It should not be confused. Bronchiectasis Chest X Ray Tram Track.
From slidetodoc.com
Chest XRays Every Resident Should Know Part 1 Bronchiectasis Chest X Ray Tram Track It should not be confused with. When seen laterally, the bronchiectatic airway has been described. On chest radiographs, bronchiectasis manifests as tram tracks, parallel line opacities, ring opacities, and tubular structures. However, chest radiographs lack sensitivity for detecting mild or. 2 findings suggestive of bronchiectasis include “tram track” appearance of dilated bronchi radiating from the hila, bronchial wall thickening. Chest. Bronchiectasis Chest X Ray Tram Track.
From bronchiectasis.com.au
Radiology Bronchiectasis Bronchiectasis Chest X Ray Tram Track However, chest radiographs lack sensitivity for detecting mild or. Chest radiography is usually the initial study performed in suspected bronchiectasis. When seen laterally, the bronchiectatic airway has been described. 2 findings suggestive of bronchiectasis include “tram track” appearance of dilated bronchi radiating from the hila, bronchial wall thickening. It should not be confused with. A dilated airway, with thickened airway. Bronchiectasis Chest X Ray Tram Track.
From pt.slideshare.net
Bronchiectasis causes and diagnosis Bronchiectasis Chest X Ray Tram Track 2 findings suggestive of bronchiectasis include “tram track” appearance of dilated bronchi radiating from the hila, bronchial wall thickening. It should not be confused with. A dilated airway, with thickened airway walls can be noted. On chest radiographs, bronchiectasis manifests as tram tracks, parallel line opacities, ring opacities, and tubular structures. When seen laterally, the bronchiectatic airway has been described.. Bronchiectasis Chest X Ray Tram Track.
From ar.inspiredpencil.com
Pulmonary Fibrosis X Ray Bronchiectasis Chest X Ray Tram Track 2 findings suggestive of bronchiectasis include “tram track” appearance of dilated bronchi radiating from the hila, bronchial wall thickening. Chest radiography is usually the initial study performed in suspected bronchiectasis. However, chest radiographs lack sensitivity for detecting mild or. A dilated airway, with thickened airway walls can be noted. On chest radiographs, bronchiectasis manifests as tram tracks, parallel line opacities,. Bronchiectasis Chest X Ray Tram Track.
From www.slideshare.net
Bronchiectasis causes and diagnosis Bronchiectasis Chest X Ray Tram Track It should not be confused with. A dilated airway, with thickened airway walls can be noted. On chest radiographs, bronchiectasis manifests as tram tracks, parallel line opacities, ring opacities, and tubular structures. Chest radiography is usually the initial study performed in suspected bronchiectasis. 2 findings suggestive of bronchiectasis include “tram track” appearance of dilated bronchi radiating from the hila, bronchial. Bronchiectasis Chest X Ray Tram Track.
From ar.inspiredpencil.com
Bronchiectasis X Ray Tram Track Bronchiectasis Chest X Ray Tram Track A dilated airway, with thickened airway walls can be noted. However, chest radiographs lack sensitivity for detecting mild or. It should not be confused with. On chest radiographs, bronchiectasis manifests as tram tracks, parallel line opacities, ring opacities, and tubular structures. When seen laterally, the bronchiectatic airway has been described. Chest radiography is usually the initial study performed in suspected. Bronchiectasis Chest X Ray Tram Track.