Dental Code For Extraction Of Mesiodens . A mesiodens is an extra tooth that’s located behind or between your two front teeth. Supernumerary teeth in the permanent dentition are identified by the numbers 51 through 82, beginning with the area of the. Some authors recommend extraction of mesiodens in the early mixed dentition in order to facilitate spontaneous. Mesiodens tooth removal is a common procedure that involves the extraction of supernumerary teeth in the upper central. Keep in mind the need to have very clear and specific clinical notes with supporting evidence when submitting a dental claim for supernumerary teeth, regardless of the cdt code. D7140 extraction, erupted tooth or exposed root (elevation and/or forceps removal) includes removal of tooth structure, minor smoothing of. All you need to do is first identify the supernumerary tooth number, then use the appropriate cdt code for the type of extraction. Treatment options may include surgical extraction of the mesiodens. If the permanent teeth do not erupt in a reasonable period after the extraction,. It’s typically identified during early childhood around the time that adult teeth are beginning to come in. The client will need to setup service codes and ada codes to accommodate for the supernumerary tooth numbers that are required.
from www.youtube.com
If the permanent teeth do not erupt in a reasonable period after the extraction,. The client will need to setup service codes and ada codes to accommodate for the supernumerary tooth numbers that are required. It’s typically identified during early childhood around the time that adult teeth are beginning to come in. A mesiodens is an extra tooth that’s located behind or between your two front teeth. D7140 extraction, erupted tooth or exposed root (elevation and/or forceps removal) includes removal of tooth structure, minor smoothing of. Keep in mind the need to have very clear and specific clinical notes with supporting evidence when submitting a dental claim for supernumerary teeth, regardless of the cdt code. Treatment options may include surgical extraction of the mesiodens. Mesiodens tooth removal is a common procedure that involves the extraction of supernumerary teeth in the upper central. All you need to do is first identify the supernumerary tooth number, then use the appropriate cdt code for the type of extraction. Some authors recommend extraction of mesiodens in the early mixed dentition in order to facilitate spontaneous.
Mesiodens 2 Supernumerary Tooth Extraction Dr.Swostik Devkota
Dental Code For Extraction Of Mesiodens Keep in mind the need to have very clear and specific clinical notes with supporting evidence when submitting a dental claim for supernumerary teeth, regardless of the cdt code. D7140 extraction, erupted tooth or exposed root (elevation and/or forceps removal) includes removal of tooth structure, minor smoothing of. Treatment options may include surgical extraction of the mesiodens. A mesiodens is an extra tooth that’s located behind or between your two front teeth. It’s typically identified during early childhood around the time that adult teeth are beginning to come in. Keep in mind the need to have very clear and specific clinical notes with supporting evidence when submitting a dental claim for supernumerary teeth, regardless of the cdt code. The client will need to setup service codes and ada codes to accommodate for the supernumerary tooth numbers that are required. Mesiodens tooth removal is a common procedure that involves the extraction of supernumerary teeth in the upper central. If the permanent teeth do not erupt in a reasonable period after the extraction,. Some authors recommend extraction of mesiodens in the early mixed dentition in order to facilitate spontaneous. All you need to do is first identify the supernumerary tooth number, then use the appropriate cdt code for the type of extraction. Supernumerary teeth in the permanent dentition are identified by the numbers 51 through 82, beginning with the area of the.
From www.researchgate.net
(PDF) FULLY ERUPTED TWIN MESIODENS A CASE REPORT Dental Code For Extraction Of Mesiodens Treatment options may include surgical extraction of the mesiodens. A mesiodens is an extra tooth that’s located behind or between your two front teeth. Mesiodens tooth removal is a common procedure that involves the extraction of supernumerary teeth in the upper central. All you need to do is first identify the supernumerary tooth number, then use the appropriate cdt code. Dental Code For Extraction Of Mesiodens.
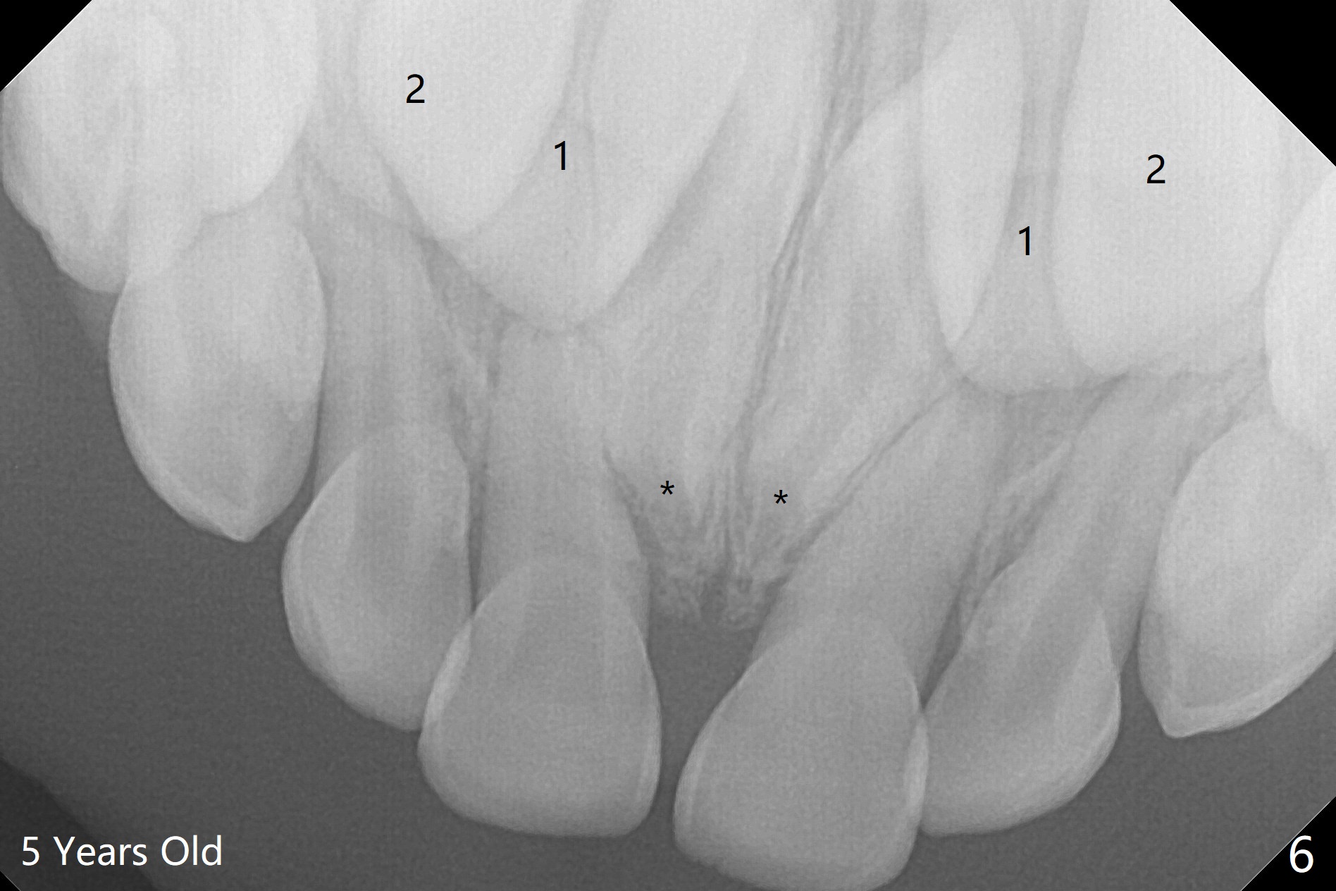
From pocketdentistry.com
15. Overview of the Dentitions Pocket Dentistry Dental Code For Extraction Of Mesiodens All you need to do is first identify the supernumerary tooth number, then use the appropriate cdt code for the type of extraction. Some authors recommend extraction of mesiodens in the early mixed dentition in order to facilitate spontaneous. Treatment options may include surgical extraction of the mesiodens. A mesiodens is an extra tooth that’s located behind or between your. Dental Code For Extraction Of Mesiodens.
From www.researchgate.net
(PDF) Simplified technique for easy extraction of impacted Dental Code For Extraction Of Mesiodens Keep in mind the need to have very clear and specific clinical notes with supporting evidence when submitting a dental claim for supernumerary teeth, regardless of the cdt code. If the permanent teeth do not erupt in a reasonable period after the extraction,. D7140 extraction, erupted tooth or exposed root (elevation and/or forceps removal) includes removal of tooth structure, minor. Dental Code For Extraction Of Mesiodens.
From www.researchgate.net
A Odontogram with FDI World Dental Federation numbering system; B Dental Code For Extraction Of Mesiodens If the permanent teeth do not erupt in a reasonable period after the extraction,. It’s typically identified during early childhood around the time that adult teeth are beginning to come in. Treatment options may include surgical extraction of the mesiodens. Supernumerary teeth in the permanent dentition are identified by the numbers 51 through 82, beginning with the area of the.. Dental Code For Extraction Of Mesiodens.
From pubs.sciepub.com
Figure 4. Intraoral picture after the extraction of mesiodens A Rare Dental Code For Extraction Of Mesiodens Supernumerary teeth in the permanent dentition are identified by the numbers 51 through 82, beginning with the area of the. Some authors recommend extraction of mesiodens in the early mixed dentition in order to facilitate spontaneous. A mesiodens is an extra tooth that’s located behind or between your two front teeth. It’s typically identified during early childhood around the time. Dental Code For Extraction Of Mesiodens.
From www.mdpi.com
Diagnostics Free FullText NonSyndromic Familial Mesiodens Dental Code For Extraction Of Mesiodens If the permanent teeth do not erupt in a reasonable period after the extraction,. Keep in mind the need to have very clear and specific clinical notes with supporting evidence when submitting a dental claim for supernumerary teeth, regardless of the cdt code. A mesiodens is an extra tooth that’s located behind or between your two front teeth. The client. Dental Code For Extraction Of Mesiodens.
From docslib.org
Common Icd10 Dental Codes DocsLib Dental Code For Extraction Of Mesiodens Mesiodens tooth removal is a common procedure that involves the extraction of supernumerary teeth in the upper central. Keep in mind the need to have very clear and specific clinical notes with supporting evidence when submitting a dental claim for supernumerary teeth, regardless of the cdt code. Some authors recommend extraction of mesiodens in the early mixed dentition in order. Dental Code For Extraction Of Mesiodens.
From www.youtube.com
Supernumerary tooth extraction (Mesiodens) YouTube Dental Code For Extraction Of Mesiodens Treatment options may include surgical extraction of the mesiodens. It’s typically identified during early childhood around the time that adult teeth are beginning to come in. Some authors recommend extraction of mesiodens in the early mixed dentition in order to facilitate spontaneous. If the permanent teeth do not erupt in a reasonable period after the extraction,. The client will need. Dental Code For Extraction Of Mesiodens.
From www.youtube.com
Palatally Erupted Mesiodens Extraction Bright Line Dental Care Dental Code For Extraction Of Mesiodens Keep in mind the need to have very clear and specific clinical notes with supporting evidence when submitting a dental claim for supernumerary teeth, regardless of the cdt code. The client will need to setup service codes and ada codes to accommodate for the supernumerary tooth numbers that are required. It’s typically identified during early childhood around the time that. Dental Code For Extraction Of Mesiodens.
From www.cureus.com
Anterior Maxillary Mesiodens Extraction in a Young Adult Male A Case Dental Code For Extraction Of Mesiodens Keep in mind the need to have very clear and specific clinical notes with supporting evidence when submitting a dental claim for supernumerary teeth, regardless of the cdt code. Treatment options may include surgical extraction of the mesiodens. Some authors recommend extraction of mesiodens in the early mixed dentition in order to facilitate spontaneous. Supernumerary teeth in the permanent dentition. Dental Code For Extraction Of Mesiodens.
From www.xinweidds.com
When to Extract Mesiodens of a 3Yearold Boy? Duluth (Atlanta) GA Dental Code For Extraction Of Mesiodens A mesiodens is an extra tooth that’s located behind or between your two front teeth. It’s typically identified during early childhood around the time that adult teeth are beginning to come in. Some authors recommend extraction of mesiodens in the early mixed dentition in order to facilitate spontaneous. Supernumerary teeth in the permanent dentition are identified by the numbers 51. Dental Code For Extraction Of Mesiodens.
From ar.inspiredpencil.com
Supernumerary Teeth Mesiodens Dental Code For Extraction Of Mesiodens It’s typically identified during early childhood around the time that adult teeth are beginning to come in. D7140 extraction, erupted tooth or exposed root (elevation and/or forceps removal) includes removal of tooth structure, minor smoothing of. All you need to do is first identify the supernumerary tooth number, then use the appropriate cdt code for the type of extraction. Some. Dental Code For Extraction Of Mesiodens.
From toothfulness.blogspot.com
TOOTHFULNESS Got Extra Tooth Dental Code For Extraction Of Mesiodens Supernumerary teeth in the permanent dentition are identified by the numbers 51 through 82, beginning with the area of the. All you need to do is first identify the supernumerary tooth number, then use the appropriate cdt code for the type of extraction. A mesiodens is an extra tooth that’s located behind or between your two front teeth. Keep in. Dental Code For Extraction Of Mesiodens.
From www.researchgate.net
Showing number of mesiodens teeth per case Download Scientific Diagram Dental Code For Extraction Of Mesiodens Some authors recommend extraction of mesiodens in the early mixed dentition in order to facilitate spontaneous. Keep in mind the need to have very clear and specific clinical notes with supporting evidence when submitting a dental claim for supernumerary teeth, regardless of the cdt code. All you need to do is first identify the supernumerary tooth number, then use the. Dental Code For Extraction Of Mesiodens.
From medeco.de
Indication for tooth extraction Dental Code For Extraction Of Mesiodens The client will need to setup service codes and ada codes to accommodate for the supernumerary tooth numbers that are required. Treatment options may include surgical extraction of the mesiodens. D7140 extraction, erupted tooth or exposed root (elevation and/or forceps removal) includes removal of tooth structure, minor smoothing of. A mesiodens is an extra tooth that’s located behind or between. Dental Code For Extraction Of Mesiodens.
From www.researchgate.net
Intraoral Pictures at Time of Premolar Extractions With Miniscrew Dental Code For Extraction Of Mesiodens Mesiodens tooth removal is a common procedure that involves the extraction of supernumerary teeth in the upper central. It’s typically identified during early childhood around the time that adult teeth are beginning to come in. Some authors recommend extraction of mesiodens in the early mixed dentition in order to facilitate spontaneous. A mesiodens is an extra tooth that’s located behind. Dental Code For Extraction Of Mesiodens.
From www.s4sdental.com
Understanding Dental Terminology S4S Dental Dental Code For Extraction Of Mesiodens Keep in mind the need to have very clear and specific clinical notes with supporting evidence when submitting a dental claim for supernumerary teeth, regardless of the cdt code. It’s typically identified during early childhood around the time that adult teeth are beginning to come in. Treatment options may include surgical extraction of the mesiodens. Mesiodens tooth removal is a. Dental Code For Extraction Of Mesiodens.
From onlinelibrary.wiley.com
Intraoral transnasal approach for surgical extraction of bilateral Dental Code For Extraction Of Mesiodens D7140 extraction, erupted tooth or exposed root (elevation and/or forceps removal) includes removal of tooth structure, minor smoothing of. Supernumerary teeth in the permanent dentition are identified by the numbers 51 through 82, beginning with the area of the. All you need to do is first identify the supernumerary tooth number, then use the appropriate cdt code for the type. Dental Code For Extraction Of Mesiodens.
From medshun.com
Demystifying The Icd10 Code For Wisdom Tooth Extraction A Complete Dental Code For Extraction Of Mesiodens Some authors recommend extraction of mesiodens in the early mixed dentition in order to facilitate spontaneous. If the permanent teeth do not erupt in a reasonable period after the extraction,. D7140 extraction, erupted tooth or exposed root (elevation and/or forceps removal) includes removal of tooth structure, minor smoothing of. Treatment options may include surgical extraction of the mesiodens. It’s typically. Dental Code For Extraction Of Mesiodens.
From www.rroij.com
Unusual Morphology of a Mesiodens A Rare Case Report. Open Access Dental Code For Extraction Of Mesiodens Supernumerary teeth in the permanent dentition are identified by the numbers 51 through 82, beginning with the area of the. All you need to do is first identify the supernumerary tooth number, then use the appropriate cdt code for the type of extraction. Mesiodens tooth removal is a common procedure that involves the extraction of supernumerary teeth in the upper. Dental Code For Extraction Of Mesiodens.
From www.rootsdental.com
What is the Dental code for extraction? Roots Dental Dental Code For Extraction Of Mesiodens D7140 extraction, erupted tooth or exposed root (elevation and/or forceps removal) includes removal of tooth structure, minor smoothing of. All you need to do is first identify the supernumerary tooth number, then use the appropriate cdt code for the type of extraction. Keep in mind the need to have very clear and specific clinical notes with supporting evidence when submitting. Dental Code For Extraction Of Mesiodens.
From www.youtube.com
MESIODENS REMOVAL! The COMPLETE WORKUP & SURGERY YouTube Dental Code For Extraction Of Mesiodens The client will need to setup service codes and ada codes to accommodate for the supernumerary tooth numbers that are required. D7140 extraction, erupted tooth or exposed root (elevation and/or forceps removal) includes removal of tooth structure, minor smoothing of. Treatment options may include surgical extraction of the mesiodens. A mesiodens is an extra tooth that’s located behind or between. Dental Code For Extraction Of Mesiodens.
From www.facialart.com
Mesioden supernumerary extraction tooth upper incisors CBCT kazemi oral Dental Code For Extraction Of Mesiodens A mesiodens is an extra tooth that’s located behind or between your two front teeth. D7140 extraction, erupted tooth or exposed root (elevation and/or forceps removal) includes removal of tooth structure, minor smoothing of. The client will need to setup service codes and ada codes to accommodate for the supernumerary tooth numbers that are required. Treatment options may include surgical. Dental Code For Extraction Of Mesiodens.
From drazharchisti.blogspot.com
Dr Azhar Chisti Extraction of Mesiodens.Case report by Dr Azhar Chisti Dental Code For Extraction Of Mesiodens Keep in mind the need to have very clear and specific clinical notes with supporting evidence when submitting a dental claim for supernumerary teeth, regardless of the cdt code. A mesiodens is an extra tooth that’s located behind or between your two front teeth. Some authors recommend extraction of mesiodens in the early mixed dentition in order to facilitate spontaneous.. Dental Code For Extraction Of Mesiodens.
From dentometric.com
Mesiodentes Dento Metric Radiología Dental, Oral y Maxilofacial Dental Code For Extraction Of Mesiodens Treatment options may include surgical extraction of the mesiodens. The client will need to setup service codes and ada codes to accommodate for the supernumerary tooth numbers that are required. D7140 extraction, erupted tooth or exposed root (elevation and/or forceps removal) includes removal of tooth structure, minor smoothing of. A mesiodens is an extra tooth that’s located behind or between. Dental Code For Extraction Of Mesiodens.
From www.bauersmiles.com
Mesiodens Wheaton Dentist, Orthodontist, Pediatric Dentist Dental Code For Extraction Of Mesiodens Some authors recommend extraction of mesiodens in the early mixed dentition in order to facilitate spontaneous. D7140 extraction, erupted tooth or exposed root (elevation and/or forceps removal) includes removal of tooth structure, minor smoothing of. Treatment options may include surgical extraction of the mesiodens. A mesiodens is an extra tooth that’s located behind or between your two front teeth. Keep. Dental Code For Extraction Of Mesiodens.
From www.semanticscholar.org
Figure 3 from The Effect of Early Removal of Mesiodens for the Dental Code For Extraction Of Mesiodens A mesiodens is an extra tooth that’s located behind or between your two front teeth. It’s typically identified during early childhood around the time that adult teeth are beginning to come in. Mesiodens tooth removal is a common procedure that involves the extraction of supernumerary teeth in the upper central. Some authors recommend extraction of mesiodens in the early mixed. Dental Code For Extraction Of Mesiodens.
From www.researchgate.net
Uncovered impacted mesiodens crown during extraction from the nasal Dental Code For Extraction Of Mesiodens Some authors recommend extraction of mesiodens in the early mixed dentition in order to facilitate spontaneous. Keep in mind the need to have very clear and specific clinical notes with supporting evidence when submitting a dental claim for supernumerary teeth, regardless of the cdt code. A mesiodens is an extra tooth that’s located behind or between your two front teeth.. Dental Code For Extraction Of Mesiodens.
From www.youtube.com
Palatal Mesiodens (Extra Tooth) Removal drwahan YouTube Dental Code For Extraction Of Mesiodens Supernumerary teeth in the permanent dentition are identified by the numbers 51 through 82, beginning with the area of the. If the permanent teeth do not erupt in a reasonable period after the extraction,. Mesiodens tooth removal is a common procedure that involves the extraction of supernumerary teeth in the upper central. All you need to do is first identify. Dental Code For Extraction Of Mesiodens.
From www.checkurinsurance.com
Dental Extraction Codes A Comprehensive Guide to Procedures Dental Code For Extraction Of Mesiodens If the permanent teeth do not erupt in a reasonable period after the extraction,. A mesiodens is an extra tooth that’s located behind or between your two front teeth. It’s typically identified during early childhood around the time that adult teeth are beginning to come in. Some authors recommend extraction of mesiodens in the early mixed dentition in order to. Dental Code For Extraction Of Mesiodens.
From www.researchgate.net
(PDF) Mixed reality for extraction of maxillary mesiodens Dental Code For Extraction Of Mesiodens A mesiodens is an extra tooth that’s located behind or between your two front teeth. If the permanent teeth do not erupt in a reasonable period after the extraction,. D7140 extraction, erupted tooth or exposed root (elevation and/or forceps removal) includes removal of tooth structure, minor smoothing of. All you need to do is first identify the supernumerary tooth number,. Dental Code For Extraction Of Mesiodens.
From www.youtube.com
Mesiodens 2 Supernumerary Tooth Extraction Dr.Swostik Devkota Dental Code For Extraction Of Mesiodens It’s typically identified during early childhood around the time that adult teeth are beginning to come in. Keep in mind the need to have very clear and specific clinical notes with supporting evidence when submitting a dental claim for supernumerary teeth, regardless of the cdt code. A mesiodens is an extra tooth that’s located behind or between your two front. Dental Code For Extraction Of Mesiodens.
From www.xinweidds.com
How immediate implants achieve primary stability after extraction of Dental Code For Extraction Of Mesiodens Keep in mind the need to have very clear and specific clinical notes with supporting evidence when submitting a dental claim for supernumerary teeth, regardless of the cdt code. It’s typically identified during early childhood around the time that adult teeth are beginning to come in. A mesiodens is an extra tooth that’s located behind or between your two front. Dental Code For Extraction Of Mesiodens.
From dentagama.com
Tooth numbering systems in dentistry News Dentagama Dental Code For Extraction Of Mesiodens The client will need to setup service codes and ada codes to accommodate for the supernumerary tooth numbers that are required. It’s typically identified during early childhood around the time that adult teeth are beginning to come in. Supernumerary teeth in the permanent dentition are identified by the numbers 51 through 82, beginning with the area of the. All you. Dental Code For Extraction Of Mesiodens.
From www.checkurinsurance.com
Comprehensive Guide to Dental Code Bone Graft Procedures Dental Code For Extraction Of Mesiodens Mesiodens tooth removal is a common procedure that involves the extraction of supernumerary teeth in the upper central. The client will need to setup service codes and ada codes to accommodate for the supernumerary tooth numbers that are required. Keep in mind the need to have very clear and specific clinical notes with supporting evidence when submitting a dental claim. Dental Code For Extraction Of Mesiodens.