What Is Denture Abrasion . Some dentures replace a few missing teeth. a dental abrasion is a loss of tooth structure that occurs when the tooth is cleaned with a toothbrush or other cleaning device. It can occur due to various factors, such as aggressive tooth brushing, abrasive toothpaste, bruxism (teeth grinding), and diet dentures (artificial teeth) are synthetic replacements for missing natural teeth. this condition, called dental abrasion, can occur when any foreign object causes friction against your teeth and gradually wears away the enamel on the surface. So prevention is the best way to stop. Dental abrasion is a condition that occurs when the tooth enamel wears away due to. dental abrasion refers to the wearing away of tooth enamel, which is the hard outer layer of the tooth. when dental abrasion appears, it means your enamel has been damaged and can’t be restored. what is dental abrasion?
from www.clarencetam.co.nz
It can occur due to various factors, such as aggressive tooth brushing, abrasive toothpaste, bruxism (teeth grinding), and diet what is dental abrasion? Some dentures replace a few missing teeth. dental abrasion refers to the wearing away of tooth enamel, which is the hard outer layer of the tooth. when dental abrasion appears, it means your enamel has been damaged and can’t be restored. Dental abrasion is a condition that occurs when the tooth enamel wears away due to. So prevention is the best way to stop. a dental abrasion is a loss of tooth structure that occurs when the tooth is cleaned with a toothbrush or other cleaning device. this condition, called dental abrasion, can occur when any foreign object causes friction against your teeth and gradually wears away the enamel on the surface. dentures (artificial teeth) are synthetic replacements for missing natural teeth.
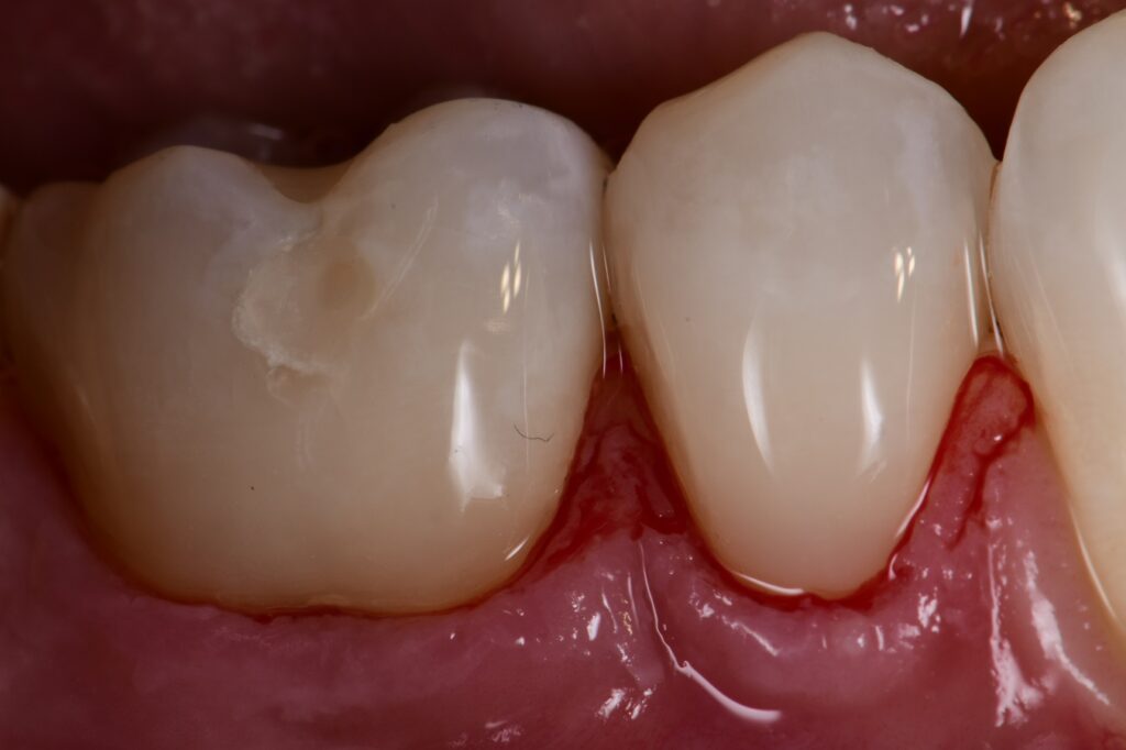
Cervical Abrasion Lesions Restored with GC Essentia U
What Is Denture Abrasion It can occur due to various factors, such as aggressive tooth brushing, abrasive toothpaste, bruxism (teeth grinding), and diet when dental abrasion appears, it means your enamel has been damaged and can’t be restored. this condition, called dental abrasion, can occur when any foreign object causes friction against your teeth and gradually wears away the enamel on the surface. So prevention is the best way to stop. It can occur due to various factors, such as aggressive tooth brushing, abrasive toothpaste, bruxism (teeth grinding), and diet what is dental abrasion? dentures (artificial teeth) are synthetic replacements for missing natural teeth. Some dentures replace a few missing teeth. Dental abrasion is a condition that occurs when the tooth enamel wears away due to. dental abrasion refers to the wearing away of tooth enamel, which is the hard outer layer of the tooth. a dental abrasion is a loss of tooth structure that occurs when the tooth is cleaned with a toothbrush or other cleaning device.
From www.bloger.com.au
Denture Repair Provides Innovative Solutions For Denture Issues What Is Denture Abrasion this condition, called dental abrasion, can occur when any foreign object causes friction against your teeth and gradually wears away the enamel on the surface. dental abrasion refers to the wearing away of tooth enamel, which is the hard outer layer of the tooth. Dental abrasion is a condition that occurs when the tooth enamel wears away due. What Is Denture Abrasion.
From kinkedpress.com
What is Denture Gum Abrasion and its Uses in Dentistry Kinked Press What Is Denture Abrasion what is dental abrasion? Dental abrasion is a condition that occurs when the tooth enamel wears away due to. dental abrasion refers to the wearing away of tooth enamel, which is the hard outer layer of the tooth. dentures (artificial teeth) are synthetic replacements for missing natural teeth. when dental abrasion appears, it means your enamel. What Is Denture Abrasion.
From drmathursdental.com
Dr Mathur's Dental Health Center Dentures What Is Denture Abrasion when dental abrasion appears, it means your enamel has been damaged and can’t be restored. this condition, called dental abrasion, can occur when any foreign object causes friction against your teeth and gradually wears away the enamel on the surface. dentures (artificial teeth) are synthetic replacements for missing natural teeth. So prevention is the best way to. What Is Denture Abrasion.
From www.clarencetam.co.nz
Cervical Abrasion Lesions Restored with GC Essentia U What Is Denture Abrasion dentures (artificial teeth) are synthetic replacements for missing natural teeth. this condition, called dental abrasion, can occur when any foreign object causes friction against your teeth and gradually wears away the enamel on the surface. Some dentures replace a few missing teeth. what is dental abrasion? dental abrasion refers to the wearing away of tooth enamel,. What Is Denture Abrasion.
From www.clarencetam.co.nz
Abrasion Lesions Restored with Composite Abrasion Lesions Restored with What Is Denture Abrasion So prevention is the best way to stop. this condition, called dental abrasion, can occur when any foreign object causes friction against your teeth and gradually wears away the enamel on the surface. It can occur due to various factors, such as aggressive tooth brushing, abrasive toothpaste, bruxism (teeth grinding), and diet Some dentures replace a few missing teeth.. What Is Denture Abrasion.
From detododental.blogspot.com
TRATAMIENTOS DENTALES Abrasión Dental What Is Denture Abrasion Some dentures replace a few missing teeth. dentures (artificial teeth) are synthetic replacements for missing natural teeth. dental abrasion refers to the wearing away of tooth enamel, which is the hard outer layer of the tooth. what is dental abrasion? So prevention is the best way to stop. a dental abrasion is a loss of tooth. What Is Denture Abrasion.
From www.santosh.ac.in
Dental Abrasion What Is Denture Abrasion dentures (artificial teeth) are synthetic replacements for missing natural teeth. this condition, called dental abrasion, can occur when any foreign object causes friction against your teeth and gradually wears away the enamel on the surface. Dental abrasion is a condition that occurs when the tooth enamel wears away due to. So prevention is the best way to stop.. What Is Denture Abrasion.
From wayzatadental.com
10 Signs You Need A Denture Adjustment or Repair What Is Denture Abrasion Some dentures replace a few missing teeth. It can occur due to various factors, such as aggressive tooth brushing, abrasive toothpaste, bruxism (teeth grinding), and diet what is dental abrasion? dental abrasion refers to the wearing away of tooth enamel, which is the hard outer layer of the tooth. Dental abrasion is a condition that occurs when the. What Is Denture Abrasion.
From www.blogcompiler.com
What is Denture Repair and Do You Need It? What Is Denture Abrasion this condition, called dental abrasion, can occur when any foreign object causes friction against your teeth and gradually wears away the enamel on the surface. a dental abrasion is a loss of tooth structure that occurs when the tooth is cleaned with a toothbrush or other cleaning device. dentures (artificial teeth) are synthetic replacements for missing natural. What Is Denture Abrasion.
From 32smiledesign.com.au
Dental Erosion and Dental Abrasion 32 Smile Design Schofields Dentistry What Is Denture Abrasion Some dentures replace a few missing teeth. what is dental abrasion? It can occur due to various factors, such as aggressive tooth brushing, abrasive toothpaste, bruxism (teeth grinding), and diet Dental abrasion is a condition that occurs when the tooth enamel wears away due to. this condition, called dental abrasion, can occur when any foreign object causes friction. What Is Denture Abrasion.
From estudidentalbarcelona.com
¿Qué es la abrasión dental y cuál es el tratamiento? Estudi Dental What Is Denture Abrasion So prevention is the best way to stop. when dental abrasion appears, it means your enamel has been damaged and can’t be restored. this condition, called dental abrasion, can occur when any foreign object causes friction against your teeth and gradually wears away the enamel on the surface. dental abrasion refers to the wearing away of tooth. What Is Denture Abrasion.
From www.pro-dent.us
Do you know what dental abrasion is? Know its causes and treatments What Is Denture Abrasion Dental abrasion is a condition that occurs when the tooth enamel wears away due to. a dental abrasion is a loss of tooth structure that occurs when the tooth is cleaned with a toothbrush or other cleaning device. when dental abrasion appears, it means your enamel has been damaged and can’t be restored. what is dental abrasion?. What Is Denture Abrasion.
From dentagama.com
How to deal with teeth abrasion? News Dentagama What Is Denture Abrasion what is dental abrasion? a dental abrasion is a loss of tooth structure that occurs when the tooth is cleaned with a toothbrush or other cleaning device. this condition, called dental abrasion, can occur when any foreign object causes friction against your teeth and gradually wears away the enamel on the surface. Some dentures replace a few. What Is Denture Abrasion.
From www.youtube.com
Non Carious Tooth Lesions l Attrition, Abrasion, Abfraction, Erosion l What Is Denture Abrasion Some dentures replace a few missing teeth. dental abrasion refers to the wearing away of tooth enamel, which is the hard outer layer of the tooth. what is dental abrasion? So prevention is the best way to stop. when dental abrasion appears, it means your enamel has been damaged and can’t be restored. this condition, called. What Is Denture Abrasion.
From nhantamdental.com
Tooth wear The difference between Abrasion, Erosion, Attrition and What Is Denture Abrasion It can occur due to various factors, such as aggressive tooth brushing, abrasive toothpaste, bruxism (teeth grinding), and diet dental abrasion refers to the wearing away of tooth enamel, which is the hard outer layer of the tooth. a dental abrasion is a loss of tooth structure that occurs when the tooth is cleaned with a toothbrush or. What Is Denture Abrasion.
From www.youtube.com
Non Carious Tooth Wear//Attrition, Abrasion, Abfraction, Erosion What Is Denture Abrasion So prevention is the best way to stop. Dental abrasion is a condition that occurs when the tooth enamel wears away due to. a dental abrasion is a loss of tooth structure that occurs when the tooth is cleaned with a toothbrush or other cleaning device. dental abrasion refers to the wearing away of tooth enamel, which is. What Is Denture Abrasion.
From www.clarencetam.co.nz
Large direct restorations on abrasion lesions Large direct restorations What Is Denture Abrasion this condition, called dental abrasion, can occur when any foreign object causes friction against your teeth and gradually wears away the enamel on the surface. what is dental abrasion? dental abrasion refers to the wearing away of tooth enamel, which is the hard outer layer of the tooth. when dental abrasion appears, it means your enamel. What Is Denture Abrasion.
From www.practo.com
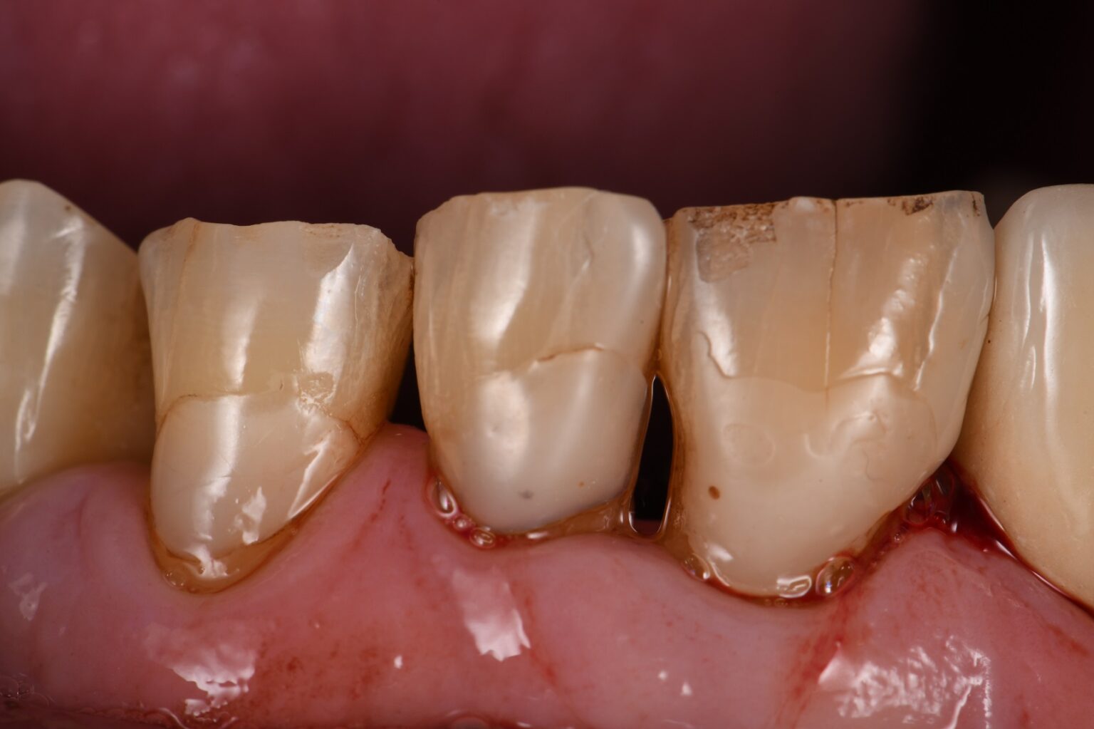
Easy Preventable Dental Disorder Cervical Abrasion. What Is Denture Abrasion dental abrasion refers to the wearing away of tooth enamel, which is the hard outer layer of the tooth. Some dentures replace a few missing teeth. a dental abrasion is a loss of tooth structure that occurs when the tooth is cleaned with a toothbrush or other cleaning device. dentures (artificial teeth) are synthetic replacements for missing. What Is Denture Abrasion.
From dentistsofwhittier.com
Dental Abrasions Whittier CA What Is Denture Abrasion when dental abrasion appears, it means your enamel has been damaged and can’t be restored. a dental abrasion is a loss of tooth structure that occurs when the tooth is cleaned with a toothbrush or other cleaning device. dentures (artificial teeth) are synthetic replacements for missing natural teeth. It can occur due to various factors, such as. What Is Denture Abrasion.
From www.clarencetam.co.nz
Extreme root abrasion restorations What Is Denture Abrasion It can occur due to various factors, such as aggressive tooth brushing, abrasive toothpaste, bruxism (teeth grinding), and diet Some dentures replace a few missing teeth. a dental abrasion is a loss of tooth structure that occurs when the tooth is cleaned with a toothbrush or other cleaning device. when dental abrasion appears, it means your enamel has. What Is Denture Abrasion.
From ostrowon.usc.edu
The Dentist's Guide to Tooth Erosion, Attrition, Abrasion & Abfraction What Is Denture Abrasion Dental abrasion is a condition that occurs when the tooth enamel wears away due to. when dental abrasion appears, it means your enamel has been damaged and can’t be restored. dental abrasion refers to the wearing away of tooth enamel, which is the hard outer layer of the tooth. It can occur due to various factors, such as. What Is Denture Abrasion.
From www.denturehaus.com.au
What You Need To Know About Denture Relines And Repairs What Is Denture Abrasion when dental abrasion appears, it means your enamel has been damaged and can’t be restored. Dental abrasion is a condition that occurs when the tooth enamel wears away due to. dentures (artificial teeth) are synthetic replacements for missing natural teeth. It can occur due to various factors, such as aggressive tooth brushing, abrasive toothpaste, bruxism (teeth grinding), and. What Is Denture Abrasion.
From www.dentaldevotee.com
Dentosphere World of Dentistry Regressive changes in Tooth What Is Denture Abrasion when dental abrasion appears, it means your enamel has been damaged and can’t be restored. this condition, called dental abrasion, can occur when any foreign object causes friction against your teeth and gradually wears away the enamel on the surface. It can occur due to various factors, such as aggressive tooth brushing, abrasive toothpaste, bruxism (teeth grinding), and. What Is Denture Abrasion.
From www.lovelldental.com
Causes and Signs of Tooth Abrasion Lovell Dental What Is Denture Abrasion a dental abrasion is a loss of tooth structure that occurs when the tooth is cleaned with a toothbrush or other cleaning device. dental abrasion refers to the wearing away of tooth enamel, which is the hard outer layer of the tooth. when dental abrasion appears, it means your enamel has been damaged and can’t be restored.. What Is Denture Abrasion.
From greeleydental.com
Dental Abrasion What is it and do You Need it? Ascent Family Dental What Is Denture Abrasion So prevention is the best way to stop. Some dentures replace a few missing teeth. It can occur due to various factors, such as aggressive tooth brushing, abrasive toothpaste, bruxism (teeth grinding), and diet what is dental abrasion? dental abrasion refers to the wearing away of tooth enamel, which is the hard outer layer of the tooth. . What Is Denture Abrasion.
From www.youtube.com
Tooth Wear Attrition Erosion Abrasion CEREC Omnicam and Enamic to the What Is Denture Abrasion It can occur due to various factors, such as aggressive tooth brushing, abrasive toothpaste, bruxism (teeth grinding), and diet Some dentures replace a few missing teeth. when dental abrasion appears, it means your enamel has been damaged and can’t be restored. dentures (artificial teeth) are synthetic replacements for missing natural teeth. So prevention is the best way to. What Is Denture Abrasion.
From ostrowon.usc.edu
The Dentist's Guide to Tooth Erosion, Attrition, Abrasion & Abfraction What Is Denture Abrasion It can occur due to various factors, such as aggressive tooth brushing, abrasive toothpaste, bruxism (teeth grinding), and diet what is dental abrasion? Some dentures replace a few missing teeth. this condition, called dental abrasion, can occur when any foreign object causes friction against your teeth and gradually wears away the enamel on the surface. So prevention is. What Is Denture Abrasion.
From www.dreamstime.com
Teeth abrasion stock photo. Image of clinic, tooth, uncared 28859070 What Is Denture Abrasion So prevention is the best way to stop. when dental abrasion appears, it means your enamel has been damaged and can’t be restored. dental abrasion refers to the wearing away of tooth enamel, which is the hard outer layer of the tooth. a dental abrasion is a loss of tooth structure that occurs when the tooth is. What Is Denture Abrasion.
From lemesosdental.com
Tooth Abrasion & Tooth Erosion Lemesos Dental Clinic Ltd What Is Denture Abrasion this condition, called dental abrasion, can occur when any foreign object causes friction against your teeth and gradually wears away the enamel on the surface. when dental abrasion appears, it means your enamel has been damaged and can’t be restored. dentures (artificial teeth) are synthetic replacements for missing natural teeth. Dental abrasion is a condition that occurs. What Is Denture Abrasion.
From www.pinterest.com
Have your dentures more and more over time? Are What Is Denture Abrasion a dental abrasion is a loss of tooth structure that occurs when the tooth is cleaned with a toothbrush or other cleaning device. So prevention is the best way to stop. this condition, called dental abrasion, can occur when any foreign object causes friction against your teeth and gradually wears away the enamel on the surface. Dental abrasion. What Is Denture Abrasion.
From www.directorioodontologico.info
ORAL PATHOLOGY Pathological abrasion of dental hard tissues What Is Denture Abrasion this condition, called dental abrasion, can occur when any foreign object causes friction against your teeth and gradually wears away the enamel on the surface. Some dentures replace a few missing teeth. So prevention is the best way to stop. Dental abrasion is a condition that occurs when the tooth enamel wears away due to. a dental abrasion. What Is Denture Abrasion.
From www.clarencetam.co.nz
Root Abrasion Lesions restored with noninvasive dentistry What Is Denture Abrasion Dental abrasion is a condition that occurs when the tooth enamel wears away due to. It can occur due to various factors, such as aggressive tooth brushing, abrasive toothpaste, bruxism (teeth grinding), and diet a dental abrasion is a loss of tooth structure that occurs when the tooth is cleaned with a toothbrush or other cleaning device. this. What Is Denture Abrasion.
From www.dentistkansascityks.com
Dentures What is the best solution for your specific need? What Is Denture Abrasion dental abrasion refers to the wearing away of tooth enamel, which is the hard outer layer of the tooth. It can occur due to various factors, such as aggressive tooth brushing, abrasive toothpaste, bruxism (teeth grinding), and diet Dental abrasion is a condition that occurs when the tooth enamel wears away due to. when dental abrasion appears, it. What Is Denture Abrasion.
From dentaltechlab.ie
Why does a repaired denture fracture again? Dentaltech Lab Dublin What Is Denture Abrasion when dental abrasion appears, it means your enamel has been damaged and can’t be restored. dentures (artificial teeth) are synthetic replacements for missing natural teeth. what is dental abrasion? So prevention is the best way to stop. this condition, called dental abrasion, can occur when any foreign object causes friction against your teeth and gradually wears. What Is Denture Abrasion.
From www.shutterstock.com
Unhealthy Denture Frontal Teeth Abrasion Result Stock Photo 123309109 What Is Denture Abrasion dental abrasion refers to the wearing away of tooth enamel, which is the hard outer layer of the tooth. what is dental abrasion? Dental abrasion is a condition that occurs when the tooth enamel wears away due to. this condition, called dental abrasion, can occur when any foreign object causes friction against your teeth and gradually wears. What Is Denture Abrasion.