Iron Deficiency Thrombocytosis . Many people who have high platelet. Causes of secondary thrombocytosis include transient conditions like acute blood loss or infection, as well as sustained factors such as iron deficiency, asplenia,. Iron deficiency is a common cause of reactive thrombocytosis, however, the exact pathways have not been revealed. Iron deficiency anemia (ida) is the most common cause of anemia worldwide. Thrombocytosis is usually reactive or caused by clonal disorders. We defined iron deficiency as serum ferritin <30 mcg/dl, anemia in males as hemoglobin (hb) <13.1 g/dl, anemia in females. Thrombocytosis refers to an increased platelet count which, in this review, is >450,000/microl (>450 x 10 9 /l). It is classically associated with a normal or moderately elevated platelet. Initial assessment includes repeat history and examination, a peripheral blood smear. The most widely cited publication is based on schloesser’s 1965 review of 46 iron deficient anemic adult patients (hb <11, serum iron <70ug per 100ml), of which.
from www.cureus.com
Causes of secondary thrombocytosis include transient conditions like acute blood loss or infection, as well as sustained factors such as iron deficiency, asplenia,. It is classically associated with a normal or moderately elevated platelet. Initial assessment includes repeat history and examination, a peripheral blood smear. Many people who have high platelet. Thrombocytosis is usually reactive or caused by clonal disorders. Iron deficiency is a common cause of reactive thrombocytosis, however, the exact pathways have not been revealed. Thrombocytosis refers to an increased platelet count which, in this review, is >450,000/microl (>450 x 10 9 /l). The most widely cited publication is based on schloesser’s 1965 review of 46 iron deficient anemic adult patients (hb <11, serum iron <70ug per 100ml), of which. Iron deficiency anemia (ida) is the most common cause of anemia worldwide. We defined iron deficiency as serum ferritin <30 mcg/dl, anemia in males as hemoglobin (hb) <13.1 g/dl, anemia in females.
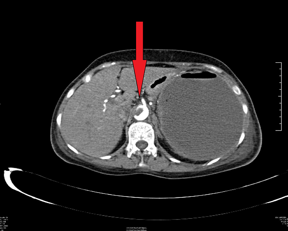
Severe Iron Deficiency Anemia Leading to Thrombocytosis With Arterial
Iron Deficiency Thrombocytosis Causes of secondary thrombocytosis include transient conditions like acute blood loss or infection, as well as sustained factors such as iron deficiency, asplenia,. It is classically associated with a normal or moderately elevated platelet. We defined iron deficiency as serum ferritin <30 mcg/dl, anemia in males as hemoglobin (hb) <13.1 g/dl, anemia in females. Many people who have high platelet. Initial assessment includes repeat history and examination, a peripheral blood smear. Causes of secondary thrombocytosis include transient conditions like acute blood loss or infection, as well as sustained factors such as iron deficiency, asplenia,. Iron deficiency is a common cause of reactive thrombocytosis, however, the exact pathways have not been revealed. Iron deficiency anemia (ida) is the most common cause of anemia worldwide. Thrombocytosis is usually reactive or caused by clonal disorders. Thrombocytosis refers to an increased platelet count which, in this review, is >450,000/microl (>450 x 10 9 /l). The most widely cited publication is based on schloesser’s 1965 review of 46 iron deficient anemic adult patients (hb <11, serum iron <70ug per 100ml), of which.
From haematologica.org
Iron deficiencyinduced thrombocytosis increases thrombotic tendency in Iron Deficiency Thrombocytosis The most widely cited publication is based on schloesser’s 1965 review of 46 iron deficient anemic adult patients (hb <11, serum iron <70ug per 100ml), of which. Initial assessment includes repeat history and examination, a peripheral blood smear. Thrombocytosis refers to an increased platelet count which, in this review, is >450,000/microl (>450 x 10 9 /l). Thrombocytosis is usually reactive. Iron Deficiency Thrombocytosis.
From www.cureus.com
Severe Iron Deficiency Anemia Leading to Thrombocytosis With Arterial Iron Deficiency Thrombocytosis Many people who have high platelet. We defined iron deficiency as serum ferritin <30 mcg/dl, anemia in males as hemoglobin (hb) <13.1 g/dl, anemia in females. Iron deficiency anemia (ida) is the most common cause of anemia worldwide. It is classically associated with a normal or moderately elevated platelet. Thrombocytosis refers to an increased platelet count which, in this review,. Iron Deficiency Thrombocytosis.
From haematologica.org
Iron deficiencyinduced thrombocytosis increases thrombotic tendency in Iron Deficiency Thrombocytosis Iron deficiency anemia (ida) is the most common cause of anemia worldwide. Causes of secondary thrombocytosis include transient conditions like acute blood loss or infection, as well as sustained factors such as iron deficiency, asplenia,. Thrombocytosis refers to an increased platelet count which, in this review, is >450,000/microl (>450 x 10 9 /l). It is classically associated with a normal. Iron Deficiency Thrombocytosis.
From www.priyamstudycentre.com
Iron Deficiency Anemia Causes, Symptoms, Treatment Iron Deficiency Thrombocytosis We defined iron deficiency as serum ferritin <30 mcg/dl, anemia in males as hemoglobin (hb) <13.1 g/dl, anemia in females. Causes of secondary thrombocytosis include transient conditions like acute blood loss or infection, as well as sustained factors such as iron deficiency, asplenia,. It is classically associated with a normal or moderately elevated platelet. Thrombocytosis refers to an increased platelet. Iron Deficiency Thrombocytosis.
From theoncologist.onlinelibrary.wiley.com
Iron Metabolism, Iron Deficiency, Thrombocytosis, and the Cardiorenal Iron Deficiency Thrombocytosis Initial assessment includes repeat history and examination, a peripheral blood smear. Thrombocytosis is usually reactive or caused by clonal disorders. Thrombocytosis refers to an increased platelet count which, in this review, is >450,000/microl (>450 x 10 9 /l). We defined iron deficiency as serum ferritin <30 mcg/dl, anemia in males as hemoglobin (hb) <13.1 g/dl, anemia in females. Iron deficiency. Iron Deficiency Thrombocytosis.
From www.researchgate.net
Pathophysiology of the cardiorenal anemia syndrome . (A) Schematic Iron Deficiency Thrombocytosis Many people who have high platelet. We defined iron deficiency as serum ferritin <30 mcg/dl, anemia in males as hemoglobin (hb) <13.1 g/dl, anemia in females. Iron deficiency anemia (ida) is the most common cause of anemia worldwide. The most widely cited publication is based on schloesser’s 1965 review of 46 iron deficient anemic adult patients (hb <11, serum iron. Iron Deficiency Thrombocytosis.
From www.istockphoto.com
Iron Deficiency Hypochromic Microcytic Anemia Stock Photo Download Iron Deficiency Thrombocytosis Causes of secondary thrombocytosis include transient conditions like acute blood loss or infection, as well as sustained factors such as iron deficiency, asplenia,. Thrombocytosis is usually reactive or caused by clonal disorders. Thrombocytosis refers to an increased platelet count which, in this review, is >450,000/microl (>450 x 10 9 /l). It is classically associated with a normal or moderately elevated. Iron Deficiency Thrombocytosis.
From www.facebook.com
Facebook Iron Deficiency Thrombocytosis Causes of secondary thrombocytosis include transient conditions like acute blood loss or infection, as well as sustained factors such as iron deficiency, asplenia,. Thrombocytosis refers to an increased platelet count which, in this review, is >450,000/microl (>450 x 10 9 /l). Initial assessment includes repeat history and examination, a peripheral blood smear. It is classically associated with a normal or. Iron Deficiency Thrombocytosis.
From haematologica.org
Recognition of thrombotic risk of thrombocytosis in iron deficiency Iron Deficiency Thrombocytosis It is classically associated with a normal or moderately elevated platelet. Iron deficiency anemia (ida) is the most common cause of anemia worldwide. Initial assessment includes repeat history and examination, a peripheral blood smear. Thrombocytosis refers to an increased platelet count which, in this review, is >450,000/microl (>450 x 10 9 /l). Iron deficiency is a common cause of reactive. Iron Deficiency Thrombocytosis.
From pubs.sciepub.com
A. Peripheral smear showing hypochromic microcytic anemia Extreme Iron Deficiency Thrombocytosis Initial assessment includes repeat history and examination, a peripheral blood smear. Causes of secondary thrombocytosis include transient conditions like acute blood loss or infection, as well as sustained factors such as iron deficiency, asplenia,. Iron deficiency is a common cause of reactive thrombocytosis, however, the exact pathways have not been revealed. Thrombocytosis is usually reactive or caused by clonal disorders.. Iron Deficiency Thrombocytosis.
From www.semanticscholar.org
Figure 5 from Iron metabolism, iron deficiency, thrombocytosis, and the Iron Deficiency Thrombocytosis We defined iron deficiency as serum ferritin <30 mcg/dl, anemia in males as hemoglobin (hb) <13.1 g/dl, anemia in females. Initial assessment includes repeat history and examination, a peripheral blood smear. Thrombocytosis is usually reactive or caused by clonal disorders. Many people who have high platelet. It is classically associated with a normal or moderately elevated platelet. The most widely. Iron Deficiency Thrombocytosis.
From calgaryguide.ucalgary.ca
Essential Thrombocytosis (ET) Calgary Guide Iron Deficiency Thrombocytosis Causes of secondary thrombocytosis include transient conditions like acute blood loss or infection, as well as sustained factors such as iron deficiency, asplenia,. Iron deficiency is a common cause of reactive thrombocytosis, however, the exact pathways have not been revealed. Initial assessment includes repeat history and examination, a peripheral blood smear. It is classically associated with a normal or moderately. Iron Deficiency Thrombocytosis.
From doctorlib.info
Thrombocytopenia and thrombocytosis Rodak's Hematology Clinical Iron Deficiency Thrombocytosis Causes of secondary thrombocytosis include transient conditions like acute blood loss or infection, as well as sustained factors such as iron deficiency, asplenia,. Initial assessment includes repeat history and examination, a peripheral blood smear. Iron deficiency anemia (ida) is the most common cause of anemia worldwide. Thrombocytosis refers to an increased platelet count which, in this review, is >450,000/microl (>450. Iron Deficiency Thrombocytosis.
From cartoondealer.com
Iron Deficiency Hypochromic Microcytic Anemia, Red Blood Cells Stock Iron Deficiency Thrombocytosis Iron deficiency is a common cause of reactive thrombocytosis, however, the exact pathways have not been revealed. It is classically associated with a normal or moderately elevated platelet. Thrombocytosis refers to an increased platelet count which, in this review, is >450,000/microl (>450 x 10 9 /l). We defined iron deficiency as serum ferritin <30 mcg/dl, anemia in males as hemoglobin. Iron Deficiency Thrombocytosis.
From www.horiba.com
Essential Thrombocythemia, Iron Deficiency Morphology QSP Newsletter Iron Deficiency Thrombocytosis We defined iron deficiency as serum ferritin <30 mcg/dl, anemia in males as hemoglobin (hb) <13.1 g/dl, anemia in females. Causes of secondary thrombocytosis include transient conditions like acute blood loss or infection, as well as sustained factors such as iron deficiency, asplenia,. Iron deficiency anemia (ida) is the most common cause of anemia worldwide. Many people who have high. Iron Deficiency Thrombocytosis.
From cartoondealer.com
Iron Deficiency Hypochromic Microcytic Anemia, Red Blood Cells Royalty Iron Deficiency Thrombocytosis Causes of secondary thrombocytosis include transient conditions like acute blood loss or infection, as well as sustained factors such as iron deficiency, asplenia,. The most widely cited publication is based on schloesser’s 1965 review of 46 iron deficient anemic adult patients (hb <11, serum iron <70ug per 100ml), of which. Thrombocytosis is usually reactive or caused by clonal disorders. Initial. Iron Deficiency Thrombocytosis.
From theoncologist.onlinelibrary.wiley.com
Iron Metabolism, Iron Deficiency, Thrombocytosis, and the Cardiorenal Iron Deficiency Thrombocytosis Thrombocytosis refers to an increased platelet count which, in this review, is >450,000/microl (>450 x 10 9 /l). Initial assessment includes repeat history and examination, a peripheral blood smear. Many people who have high platelet. The most widely cited publication is based on schloesser’s 1965 review of 46 iron deficient anemic adult patients (hb <11, serum iron <70ug per 100ml),. Iron Deficiency Thrombocytosis.
From eclinpath.com
Thrombocytosis in an iron deficient cat eClinpath Iron Deficiency Thrombocytosis Initial assessment includes repeat history and examination, a peripheral blood smear. Causes of secondary thrombocytosis include transient conditions like acute blood loss or infection, as well as sustained factors such as iron deficiency, asplenia,. The most widely cited publication is based on schloesser’s 1965 review of 46 iron deficient anemic adult patients (hb <11, serum iron <70ug per 100ml), of. Iron Deficiency Thrombocytosis.
From www.thebloodproject.com
Microcytic Anemias • The Blood Project Iron Deficiency Thrombocytosis Iron deficiency is a common cause of reactive thrombocytosis, however, the exact pathways have not been revealed. Many people who have high platelet. It is classically associated with a normal or moderately elevated platelet. We defined iron deficiency as serum ferritin <30 mcg/dl, anemia in males as hemoglobin (hb) <13.1 g/dl, anemia in females. Thrombocytosis refers to an increased platelet. Iron Deficiency Thrombocytosis.
From haematologica.org
Iron deficiencyinduced thrombocytosis increases thrombotic tendency in Iron Deficiency Thrombocytosis Thrombocytosis is usually reactive or caused by clonal disorders. Iron deficiency is a common cause of reactive thrombocytosis, however, the exact pathways have not been revealed. Causes of secondary thrombocytosis include transient conditions like acute blood loss or infection, as well as sustained factors such as iron deficiency, asplenia,. The most widely cited publication is based on schloesser’s 1965 review. Iron Deficiency Thrombocytosis.
From www.researchgate.net
(PDF) Thrombopoietic Cytokines in Patients with Iron Deficiency Anemia Iron Deficiency Thrombocytosis Many people who have high platelet. Iron deficiency anemia (ida) is the most common cause of anemia worldwide. It is classically associated with a normal or moderately elevated platelet. The most widely cited publication is based on schloesser’s 1965 review of 46 iron deficient anemic adult patients (hb <11, serum iron <70ug per 100ml), of which. Initial assessment includes repeat. Iron Deficiency Thrombocytosis.
From www.osmosis.org
Iron deficiency anemia Video, Anatomy & Definition Osmosis Iron Deficiency Thrombocytosis Iron deficiency is a common cause of reactive thrombocytosis, however, the exact pathways have not been revealed. Initial assessment includes repeat history and examination, a peripheral blood smear. It is classically associated with a normal or moderately elevated platelet. Thrombocytosis is usually reactive or caused by clonal disorders. Thrombocytosis refers to an increased platelet count which, in this review, is. Iron Deficiency Thrombocytosis.
From vetclinpathimages.com
Normal Platelets Cells and Smears Iron Deficiency Thrombocytosis Thrombocytosis refers to an increased platelet count which, in this review, is >450,000/microl (>450 x 10 9 /l). Iron deficiency is a common cause of reactive thrombocytosis, however, the exact pathways have not been revealed. Iron deficiency anemia (ida) is the most common cause of anemia worldwide. Causes of secondary thrombocytosis include transient conditions like acute blood loss or infection,. Iron Deficiency Thrombocytosis.
From slidetodoc.com
Chapter 10 Iron Deficiency Anemia and Anemia of Iron Deficiency Thrombocytosis Initial assessment includes repeat history and examination, a peripheral blood smear. Iron deficiency is a common cause of reactive thrombocytosis, however, the exact pathways have not been revealed. Thrombocytosis refers to an increased platelet count which, in this review, is >450,000/microl (>450 x 10 9 /l). Thrombocytosis is usually reactive or caused by clonal disorders. We defined iron deficiency as. Iron Deficiency Thrombocytosis.
From www.jstage.jst.go.jp
Thrombocytosis in Iron Deficiency Anemia Iron Deficiency Thrombocytosis Initial assessment includes repeat history and examination, a peripheral blood smear. It is classically associated with a normal or moderately elevated platelet. Many people who have high platelet. Iron deficiency anemia (ida) is the most common cause of anemia worldwide. Thrombocytosis refers to an increased platelet count which, in this review, is >450,000/microl (>450 x 10 9 /l). Iron deficiency. Iron Deficiency Thrombocytosis.
From www.slideserve.com
PPT IRON DEFICIENCY ANEMIA PowerPoint Presentation, free download Iron Deficiency Thrombocytosis Thrombocytosis is usually reactive or caused by clonal disorders. Iron deficiency anemia (ida) is the most common cause of anemia worldwide. Initial assessment includes repeat history and examination, a peripheral blood smear. We defined iron deficiency as serum ferritin <30 mcg/dl, anemia in males as hemoglobin (hb) <13.1 g/dl, anemia in females. It is classically associated with a normal or. Iron Deficiency Thrombocytosis.
From www.horiba.com
Essential Thrombocythemia, Iron Deficiency Morphology QSP Newsletter Iron Deficiency Thrombocytosis Thrombocytosis is usually reactive or caused by clonal disorders. Thrombocytosis refers to an increased platelet count which, in this review, is >450,000/microl (>450 x 10 9 /l). It is classically associated with a normal or moderately elevated platelet. The most widely cited publication is based on schloesser’s 1965 review of 46 iron deficient anemic adult patients (hb <11, serum iron. Iron Deficiency Thrombocytosis.
From www.researchgate.net
Rates of thrombosis in patients with iron deficiency anemia +/− Iron Deficiency Thrombocytosis We defined iron deficiency as serum ferritin <30 mcg/dl, anemia in males as hemoglobin (hb) <13.1 g/dl, anemia in females. It is classically associated with a normal or moderately elevated platelet. Initial assessment includes repeat history and examination, a peripheral blood smear. Thrombocytosis refers to an increased platelet count which, in this review, is >450,000/microl (>450 x 10 9 /l).. Iron Deficiency Thrombocytosis.
From www.horiba.com
Essential Thrombocythemia, Iron Deficiency Morphology QSP Newsletter Iron Deficiency Thrombocytosis Thrombocytosis is usually reactive or caused by clonal disorders. Thrombocytosis refers to an increased platelet count which, in this review, is >450,000/microl (>450 x 10 9 /l). Iron deficiency anemia (ida) is the most common cause of anemia worldwide. Initial assessment includes repeat history and examination, a peripheral blood smear. The most widely cited publication is based on schloesser’s 1965. Iron Deficiency Thrombocytosis.
From www.researchgate.net
(PDF) Severe Thrombocytosis in Chronic Liver Disease Secondary to Iron Iron Deficiency Thrombocytosis Thrombocytosis is usually reactive or caused by clonal disorders. Causes of secondary thrombocytosis include transient conditions like acute blood loss or infection, as well as sustained factors such as iron deficiency, asplenia,. Many people who have high platelet. Iron deficiency is a common cause of reactive thrombocytosis, however, the exact pathways have not been revealed. It is classically associated with. Iron Deficiency Thrombocytosis.
From www.academia.edu
(PDF) Association between thrombocytosis and iron deficiency anemia in Iron Deficiency Thrombocytosis Many people who have high platelet. Thrombocytosis is usually reactive or caused by clonal disorders. We defined iron deficiency as serum ferritin <30 mcg/dl, anemia in males as hemoglobin (hb) <13.1 g/dl, anemia in females. Thrombocytosis refers to an increased platelet count which, in this review, is >450,000/microl (>450 x 10 9 /l). Causes of secondary thrombocytosis include transient conditions. Iron Deficiency Thrombocytosis.
From www.researchgate.net
Pathophysiology of the cardiorenal anemia syndrome . (A) Schematic Iron Deficiency Thrombocytosis Many people who have high platelet. Iron deficiency anemia (ida) is the most common cause of anemia worldwide. We defined iron deficiency as serum ferritin <30 mcg/dl, anemia in males as hemoglobin (hb) <13.1 g/dl, anemia in females. Iron deficiency is a common cause of reactive thrombocytosis, however, the exact pathways have not been revealed. Initial assessment includes repeat history. Iron Deficiency Thrombocytosis.
From www.researchgate.net
(PDF) Does Reactive Thrombocytosis Observed in Iron Deficiency Anemia Iron Deficiency Thrombocytosis Many people who have high platelet. Thrombocytosis refers to an increased platelet count which, in this review, is >450,000/microl (>450 x 10 9 /l). We defined iron deficiency as serum ferritin <30 mcg/dl, anemia in males as hemoglobin (hb) <13.1 g/dl, anemia in females. Iron deficiency anemia (ida) is the most common cause of anemia worldwide. Causes of secondary thrombocytosis. Iron Deficiency Thrombocytosis.
From pubs.sciepub.com
B. Bone marrow biopsy showing increased megakarpoises Extreme Iron Deficiency Thrombocytosis Thrombocytosis is usually reactive or caused by clonal disorders. Initial assessment includes repeat history and examination, a peripheral blood smear. Many people who have high platelet. It is classically associated with a normal or moderately elevated platelet. Thrombocytosis refers to an increased platelet count which, in this review, is >450,000/microl (>450 x 10 9 /l). Causes of secondary thrombocytosis include. Iron Deficiency Thrombocytosis.
From www.dreamstime.com
Iron Deficiency Hypochromic Microcytic Anemia, Red Blood Cells Stock Iron Deficiency Thrombocytosis Initial assessment includes repeat history and examination, a peripheral blood smear. Thrombocytosis is usually reactive or caused by clonal disorders. Many people who have high platelet. It is classically associated with a normal or moderately elevated platelet. Iron deficiency is a common cause of reactive thrombocytosis, however, the exact pathways have not been revealed. We defined iron deficiency as serum. Iron Deficiency Thrombocytosis.