Shoulder Subluxation No Pain . shoulder subluxation can cause pain and weakness in the shoulder and a feeling of instability or giving way in. In this condition the humeral head slips out of the glenoid cavity as a result of weakness of rotator cuff or looseness of the glenohumeral ligaments. in some people, a partial dislocation of the shoulder is not actually painful. a shoulder subluxation is a partial shoulder dislocation involving the ball of the upper arm bone (the humerus). Describe the diagnostic approach for evaluating shoulder subluxation injuries. shoulder subluxation happens when the ball of the upper arm bone comes partly out of its socket. shoulder subluxation, a subset of shoulder instability, occurs when the shoulder joint partially dislocates. It is more annoying, preventing. What is shoulder subluxation and how is it treated?
from www.youtube.com
In this condition the humeral head slips out of the glenoid cavity as a result of weakness of rotator cuff or looseness of the glenohumeral ligaments. Describe the diagnostic approach for evaluating shoulder subluxation injuries. in some people, a partial dislocation of the shoulder is not actually painful. What is shoulder subluxation and how is it treated? It is more annoying, preventing. a shoulder subluxation is a partial shoulder dislocation involving the ball of the upper arm bone (the humerus). shoulder subluxation, a subset of shoulder instability, occurs when the shoulder joint partially dislocates. shoulder subluxation can cause pain and weakness in the shoulder and a feeling of instability or giving way in. shoulder subluxation happens when the ball of the upper arm bone comes partly out of its socket.
Shoulder subluxation YouTube
Shoulder Subluxation No Pain Describe the diagnostic approach for evaluating shoulder subluxation injuries. a shoulder subluxation is a partial shoulder dislocation involving the ball of the upper arm bone (the humerus). In this condition the humeral head slips out of the glenoid cavity as a result of weakness of rotator cuff or looseness of the glenohumeral ligaments. shoulder subluxation, a subset of shoulder instability, occurs when the shoulder joint partially dislocates. shoulder subluxation happens when the ball of the upper arm bone comes partly out of its socket. It is more annoying, preventing. What is shoulder subluxation and how is it treated? shoulder subluxation can cause pain and weakness in the shoulder and a feeling of instability or giving way in. in some people, a partial dislocation of the shoulder is not actually painful. Describe the diagnostic approach for evaluating shoulder subluxation injuries.
From www.embeds.co.uk
Posterior Shoulder Dislocation EMbeds.co.uk Shoulder Subluxation No Pain Describe the diagnostic approach for evaluating shoulder subluxation injuries. shoulder subluxation, a subset of shoulder instability, occurs when the shoulder joint partially dislocates. a shoulder subluxation is a partial shoulder dislocation involving the ball of the upper arm bone (the humerus). It is more annoying, preventing. shoulder subluxation can cause pain and weakness in the shoulder and. Shoulder Subluxation No Pain.
From therapyinsights.com
Exercises for Shoulder Subluxation in the Acute Phase Therapy Insights Shoulder Subluxation No Pain In this condition the humeral head slips out of the glenoid cavity as a result of weakness of rotator cuff or looseness of the glenohumeral ligaments. in some people, a partial dislocation of the shoulder is not actually painful. shoulder subluxation happens when the ball of the upper arm bone comes partly out of its socket. It is. Shoulder Subluxation No Pain.
From www.neurolutions.com
Shoulder Subluxations (aka Slipped Shoulders) After Stroke Shoulder Subluxation No Pain In this condition the humeral head slips out of the glenoid cavity as a result of weakness of rotator cuff or looseness of the glenohumeral ligaments. Describe the diagnostic approach for evaluating shoulder subluxation injuries. a shoulder subluxation is a partial shoulder dislocation involving the ball of the upper arm bone (the humerus). It is more annoying, preventing. . Shoulder Subluxation No Pain.
From www.pinterest.co.kr
Shoulder Subluxation Exercise Occupational Therapy Treatment Ideas Shoulder Subluxation No Pain Describe the diagnostic approach for evaluating shoulder subluxation injuries. shoulder subluxation, a subset of shoulder instability, occurs when the shoulder joint partially dislocates. in some people, a partial dislocation of the shoulder is not actually painful. a shoulder subluxation is a partial shoulder dislocation involving the ball of the upper arm bone (the humerus). shoulder subluxation. Shoulder Subluxation No Pain.
From www.cureus.com
Cureus Recurrent Shoulder Posteroinferior Subluxation Status Post Shoulder Subluxation No Pain shoulder subluxation happens when the ball of the upper arm bone comes partly out of its socket. In this condition the humeral head slips out of the glenoid cavity as a result of weakness of rotator cuff or looseness of the glenohumeral ligaments. What is shoulder subluxation and how is it treated? a shoulder subluxation is a partial. Shoulder Subluxation No Pain.
From www.youtube.com
Anterior Shoulder Dislocation YouTube Shoulder Subluxation No Pain in some people, a partial dislocation of the shoulder is not actually painful. What is shoulder subluxation and how is it treated? shoulder subluxation can cause pain and weakness in the shoulder and a feeling of instability or giving way in. shoulder subluxation, a subset of shoulder instability, occurs when the shoulder joint partially dislocates. It is. Shoulder Subluxation No Pain.
From sante.vip
Subluxation conjointe Symptômes, causes, traitement, diagnostic Shoulder Subluxation No Pain shoulder subluxation can cause pain and weakness in the shoulder and a feeling of instability or giving way in. shoulder subluxation happens when the ball of the upper arm bone comes partly out of its socket. What is shoulder subluxation and how is it treated? In this condition the humeral head slips out of the glenoid cavity as. Shoulder Subluxation No Pain.
From therapyinsights.com
What is Shoulder Subluxation? Adult and pediatric printable resources Shoulder Subluxation No Pain in some people, a partial dislocation of the shoulder is not actually painful. shoulder subluxation, a subset of shoulder instability, occurs when the shoulder joint partially dislocates. Describe the diagnostic approach for evaluating shoulder subluxation injuries. a shoulder subluxation is a partial shoulder dislocation involving the ball of the upper arm bone (the humerus). shoulder subluxation. Shoulder Subluxation No Pain.
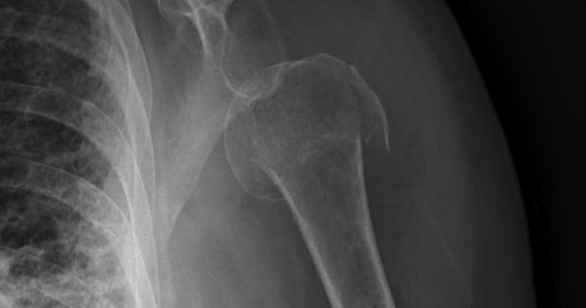
From shoulderelbow.blogspot.com
Shoulder and Elbow Surgery Shoulder subluxation after proximal humerus Shoulder Subluxation No Pain Describe the diagnostic approach for evaluating shoulder subluxation injuries. shoulder subluxation can cause pain and weakness in the shoulder and a feeling of instability or giving way in. a shoulder subluxation is a partial shoulder dislocation involving the ball of the upper arm bone (the humerus). What is shoulder subluxation and how is it treated? shoulder subluxation,. Shoulder Subluxation No Pain.
From www.neurolutions.com
Shoulder Subluxation in Hemiplegic Patients Shoulder Subluxation No Pain in some people, a partial dislocation of the shoulder is not actually painful. What is shoulder subluxation and how is it treated? shoulder subluxation, a subset of shoulder instability, occurs when the shoulder joint partially dislocates. It is more annoying, preventing. In this condition the humeral head slips out of the glenoid cavity as a result of weakness. Shoulder Subluxation No Pain.
From www.researchgate.net
a Postoperative Grashey view of right shoulder showing expected changes Shoulder Subluxation No Pain in some people, a partial dislocation of the shoulder is not actually painful. It is more annoying, preventing. a shoulder subluxation is a partial shoulder dislocation involving the ball of the upper arm bone (the humerus). Describe the diagnostic approach for evaluating shoulder subluxation injuries. shoulder subluxation happens when the ball of the upper arm bone comes. Shoulder Subluxation No Pain.
From manhattansportsdoc.com
Dislocated Shoulder Instability Orthopedic Shoulder Specialist Shoulder Subluxation No Pain Describe the diagnostic approach for evaluating shoulder subluxation injuries. in some people, a partial dislocation of the shoulder is not actually painful. shoulder subluxation happens when the ball of the upper arm bone comes partly out of its socket. What is shoulder subluxation and how is it treated? shoulder subluxation can cause pain and weakness in the. Shoulder Subluxation No Pain.
From www.crucialrehab.com
Shoulder Subluxation in Stroke patients Shoulder Subluxation No Pain It is more annoying, preventing. in some people, a partial dislocation of the shoulder is not actually painful. shoulder subluxation happens when the ball of the upper arm bone comes partly out of its socket. In this condition the humeral head slips out of the glenoid cavity as a result of weakness of rotator cuff or looseness of. Shoulder Subluxation No Pain.
From www.youtube.com
Shoulder subluxation YouTube Shoulder Subluxation No Pain Describe the diagnostic approach for evaluating shoulder subluxation injuries. a shoulder subluxation is a partial shoulder dislocation involving the ball of the upper arm bone (the humerus). in some people, a partial dislocation of the shoulder is not actually painful. What is shoulder subluxation and how is it treated? In this condition the humeral head slips out of. Shoulder Subluxation No Pain.
From www.physiocheck.co.uk
Shoulder subluxation Physio Check Shoulder Subluxation No Pain What is shoulder subluxation and how is it treated? shoulder subluxation, a subset of shoulder instability, occurs when the shoulder joint partially dislocates. in some people, a partial dislocation of the shoulder is not actually painful. It is more annoying, preventing. In this condition the humeral head slips out of the glenoid cavity as a result of weakness. Shoulder Subluxation No Pain.
From prohealthclinic.co.uk
Shoulder Subluxation Causes & Best Treatment Options in 2024 Shoulder Subluxation No Pain shoulder subluxation happens when the ball of the upper arm bone comes partly out of its socket. It is more annoying, preventing. shoulder subluxation, a subset of shoulder instability, occurs when the shoulder joint partially dislocates. Describe the diagnostic approach for evaluating shoulder subluxation injuries. In this condition the humeral head slips out of the glenoid cavity as. Shoulder Subluxation No Pain.
From activearmsupports.com
LuxArm Shoulder Subluxation Brace vs. Slings Active Arm Supports Shoulder Subluxation No Pain In this condition the humeral head slips out of the glenoid cavity as a result of weakness of rotator cuff or looseness of the glenohumeral ligaments. shoulder subluxation happens when the ball of the upper arm bone comes partly out of its socket. It is more annoying, preventing. in some people, a partial dislocation of the shoulder is. Shoulder Subluxation No Pain.
From therapyinsights.com
Shoulder Subluxation Causes and Treatment Interventions Therapy Insights Shoulder Subluxation No Pain a shoulder subluxation is a partial shoulder dislocation involving the ball of the upper arm bone (the humerus). In this condition the humeral head slips out of the glenoid cavity as a result of weakness of rotator cuff or looseness of the glenohumeral ligaments. in some people, a partial dislocation of the shoulder is not actually painful. Describe. Shoulder Subluxation No Pain.
From shoulderelbow.blogspot.com
Shoulder and Elbow Surgery Shoulder subluxation after proximal humerus Shoulder Subluxation No Pain What is shoulder subluxation and how is it treated? shoulder subluxation happens when the ball of the upper arm bone comes partly out of its socket. Describe the diagnostic approach for evaluating shoulder subluxation injuries. a shoulder subluxation is a partial shoulder dislocation involving the ball of the upper arm bone (the humerus). in some people, a. Shoulder Subluxation No Pain.
From radiopaedia.org
Shoulder dislocation anterior Image Shoulder Subluxation No Pain a shoulder subluxation is a partial shoulder dislocation involving the ball of the upper arm bone (the humerus). In this condition the humeral head slips out of the glenoid cavity as a result of weakness of rotator cuff or looseness of the glenohumeral ligaments. What is shoulder subluxation and how is it treated? Describe the diagnostic approach for evaluating. Shoulder Subluxation No Pain.
From medicalschoolquicktopics.blogspot.com
SHOULDER DISLOCATION,SOME REDUCTION METHODS Shoulder Subluxation No Pain It is more annoying, preventing. shoulder subluxation happens when the ball of the upper arm bone comes partly out of its socket. a shoulder subluxation is a partial shoulder dislocation involving the ball of the upper arm bone (the humerus). In this condition the humeral head slips out of the glenoid cavity as a result of weakness of. Shoulder Subluxation No Pain.
From therapyinsights.com
Shoulder Subluxation Causes and Treatment Interventions Adult and Shoulder Subluxation No Pain What is shoulder subluxation and how is it treated? shoulder subluxation happens when the ball of the upper arm bone comes partly out of its socket. shoulder subluxation can cause pain and weakness in the shoulder and a feeling of instability or giving way in. In this condition the humeral head slips out of the glenoid cavity as. Shoulder Subluxation No Pain.
From www.pinterest.ie
Shoulder Subluxation Exercise Occupational therapy activities Shoulder Subluxation No Pain In this condition the humeral head slips out of the glenoid cavity as a result of weakness of rotator cuff or looseness of the glenohumeral ligaments. What is shoulder subluxation and how is it treated? in some people, a partial dislocation of the shoulder is not actually painful. shoulder subluxation happens when the ball of the upper arm. Shoulder Subluxation No Pain.
From mungfali.com
Shoulder Subluxation After Stroke Shoulder Subluxation No Pain in some people, a partial dislocation of the shoulder is not actually painful. It is more annoying, preventing. a shoulder subluxation is a partial shoulder dislocation involving the ball of the upper arm bone (the humerus). In this condition the humeral head slips out of the glenoid cavity as a result of weakness of rotator cuff or looseness. Shoulder Subluxation No Pain.
From www.neurolutions.com
Shoulder Subluxations (aka Slipped Shoulders) After Stroke Shoulder Subluxation No Pain What is shoulder subluxation and how is it treated? In this condition the humeral head slips out of the glenoid cavity as a result of weakness of rotator cuff or looseness of the glenohumeral ligaments. shoulder subluxation happens when the ball of the upper arm bone comes partly out of its socket. in some people, a partial dislocation. Shoulder Subluxation No Pain.
From www.youtube.com
Shoulder Subluxation Exercises Chronic Subluxations YouTube Shoulder Subluxation No Pain It is more annoying, preventing. Describe the diagnostic approach for evaluating shoulder subluxation injuries. shoulder subluxation can cause pain and weakness in the shoulder and a feeling of instability or giving way in. in some people, a partial dislocation of the shoulder is not actually painful. What is shoulder subluxation and how is it treated? a shoulder. Shoulder Subluxation No Pain.
From shoulderelbow.blogspot.com
Shoulder and Elbow Surgery Shoulder subluxation after proximal humerus Shoulder Subluxation No Pain It is more annoying, preventing. Describe the diagnostic approach for evaluating shoulder subluxation injuries. In this condition the humeral head slips out of the glenoid cavity as a result of weakness of rotator cuff or looseness of the glenohumeral ligaments. shoulder subluxation can cause pain and weakness in the shoulder and a feeling of instability or giving way in.. Shoulder Subluxation No Pain.
From aica.com
What Is a Shoulder Subluxation? AICA Orthopedics Shoulder Subluxation No Pain Describe the diagnostic approach for evaluating shoulder subluxation injuries. shoulder subluxation, a subset of shoulder instability, occurs when the shoulder joint partially dislocates. shoulder subluxation can cause pain and weakness in the shoulder and a feeling of instability or giving way in. in some people, a partial dislocation of the shoulder is not actually painful. What is. Shoulder Subluxation No Pain.
From www.pinterest.co.kr
My Clinical Approach에 있는 핀 Shoulder Subluxation No Pain It is more annoying, preventing. in some people, a partial dislocation of the shoulder is not actually painful. shoulder subluxation happens when the ball of the upper arm bone comes partly out of its socket. shoulder subluxation, a subset of shoulder instability, occurs when the shoulder joint partially dislocates. shoulder subluxation can cause pain and weakness. Shoulder Subluxation No Pain.
From www.neurolutions.com
Shoulder Subluxations (aka Slipped Shoulders) After Stroke Shoulder Subluxation No Pain shoulder subluxation happens when the ball of the upper arm bone comes partly out of its socket. a shoulder subluxation is a partial shoulder dislocation involving the ball of the upper arm bone (the humerus). in some people, a partial dislocation of the shoulder is not actually painful. shoulder subluxation can cause pain and weakness in. Shoulder Subluxation No Pain.
From facty.com
Ten Effective Methods for Treating Shoulder Subluxation Facty Health Shoulder Subluxation No Pain It is more annoying, preventing. In this condition the humeral head slips out of the glenoid cavity as a result of weakness of rotator cuff or looseness of the glenohumeral ligaments. shoulder subluxation, a subset of shoulder instability, occurs when the shoulder joint partially dislocates. What is shoulder subluxation and how is it treated? in some people, a. Shoulder Subluxation No Pain.
From www.theratape.com
Shoulder Pain 02 Kinesio Tape • TheraTape Education Center Shoulder Subluxation No Pain shoulder subluxation can cause pain and weakness in the shoulder and a feeling of instability or giving way in. In this condition the humeral head slips out of the glenoid cavity as a result of weakness of rotator cuff or looseness of the glenohumeral ligaments. It is more annoying, preventing. What is shoulder subluxation and how is it treated?. Shoulder Subluxation No Pain.
From www.pinterest.com
Shoulder Subluxation Causes, Symptoms and Treatments Subluxation Shoulder Subluxation No Pain a shoulder subluxation is a partial shoulder dislocation involving the ball of the upper arm bone (the humerus). In this condition the humeral head slips out of the glenoid cavity as a result of weakness of rotator cuff or looseness of the glenohumeral ligaments. It is more annoying, preventing. shoulder subluxation, a subset of shoulder instability, occurs when. Shoulder Subluxation No Pain.
From share.upmc.com
Shoulder Subluxation and Its Treatment UPMC HealthBeat Shoulder Subluxation No Pain Describe the diagnostic approach for evaluating shoulder subluxation injuries. in some people, a partial dislocation of the shoulder is not actually painful. It is more annoying, preventing. a shoulder subluxation is a partial shoulder dislocation involving the ball of the upper arm bone (the humerus). What is shoulder subluxation and how is it treated? In this condition the. Shoulder Subluxation No Pain.
From shoulderelbow.blogspot.com
Shoulder and Elbow Surgery Shoulder subluxation after proximal humerus Shoulder Subluxation No Pain shoulder subluxation, a subset of shoulder instability, occurs when the shoulder joint partially dislocates. What is shoulder subluxation and how is it treated? a shoulder subluxation is a partial shoulder dislocation involving the ball of the upper arm bone (the humerus). Describe the diagnostic approach for evaluating shoulder subluxation injuries. It is more annoying, preventing. in some. Shoulder Subluxation No Pain.