Temporary Mockup Veneers . The mold is then filled with temporization material, such as 3m™ protemp™ 4 temporization material, and placed into the patient’s mouth (figure 3). These veneers are different from. These temporary coverings play a significant role in ensuring that. Temporary veneers, also known as provisional veneers or temporary restorations, are vital components of the veneer journey. In any case, this step is critical to. Start your next veneer case with the temporization and prep process tips, techniques and tricks from steven barrett, dds. A temporary or trial veneer is a thin acrylic shell or covering that is cemented over your natural tooth.
from dentistry.co.uk
A temporary or trial veneer is a thin acrylic shell or covering that is cemented over your natural tooth. The mold is then filled with temporization material, such as 3m™ protemp™ 4 temporization material, and placed into the patient’s mouth (figure 3). These temporary coverings play a significant role in ensuring that. Start your next veneer case with the temporization and prep process tips, techniques and tricks from steven barrett, dds. These veneers are different from. Temporary veneers, also known as provisional veneers or temporary restorations, are vital components of the veneer journey. In any case, this step is critical to.
The injectionmould technique for composite veneers Dentistry
Temporary Mockup Veneers Temporary veneers, also known as provisional veneers or temporary restorations, are vital components of the veneer journey. Temporary veneers, also known as provisional veneers or temporary restorations, are vital components of the veneer journey. These veneers are different from. A temporary or trial veneer is a thin acrylic shell or covering that is cemented over your natural tooth. The mold is then filled with temporization material, such as 3m™ protemp™ 4 temporization material, and placed into the patient’s mouth (figure 3). These temporary coverings play a significant role in ensuring that. Start your next veneer case with the temporization and prep process tips, techniques and tricks from steven barrett, dds. In any case, this step is critical to.
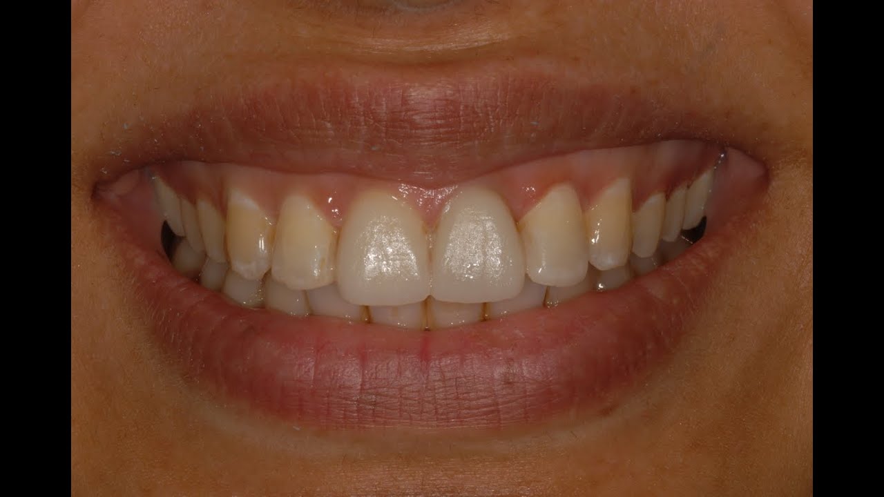
From leeannbrady.com
MockUp Lee Ann Brady, DMD's Dental Blog Temporary Mockup Veneers Start your next veneer case with the temporization and prep process tips, techniques and tricks from steven barrett, dds. Temporary veneers, also known as provisional veneers or temporary restorations, are vital components of the veneer journey. These veneers are different from. In any case, this step is critical to. A temporary or trial veneer is a thin acrylic shell or. Temporary Mockup Veneers.
From www.celebritysmilecosmetics.com
In Office Veneer Consultation w/Mockup Dental Veneers Celebrity Temporary Mockup Veneers In any case, this step is critical to. The mold is then filled with temporization material, such as 3m™ protemp™ 4 temporization material, and placed into the patient’s mouth (figure 3). Temporary veneers, also known as provisional veneers or temporary restorations, are vital components of the veneer journey. Start your next veneer case with the temporization and prep process tips,. Temporary Mockup Veneers.
From www.studiodentaire.com
Mockup Studio Dentaire Temporary Mockup Veneers Start your next veneer case with the temporization and prep process tips, techniques and tricks from steven barrett, dds. These temporary coverings play a significant role in ensuring that. A temporary or trial veneer is a thin acrylic shell or covering that is cemented over your natural tooth. The mold is then filled with temporization material, such as 3m™ protemp™. Temporary Mockup Veneers.
From exygnugyb.blob.core.windows.net
What Does Veneer Mean Medically at Lorena Higgins blog Temporary Mockup Veneers These temporary coverings play a significant role in ensuring that. Temporary veneers, also known as provisional veneers or temporary restorations, are vital components of the veneer journey. A temporary or trial veneer is a thin acrylic shell or covering that is cemented over your natural tooth. Start your next veneer case with the temporization and prep process tips, techniques and. Temporary Mockup Veneers.
From www.youtube.com
Bisacryl mockup for veneers YouTube Temporary Mockup Veneers In any case, this step is critical to. The mold is then filled with temporization material, such as 3m™ protemp™ 4 temporization material, and placed into the patient’s mouth (figure 3). Start your next veneer case with the temporization and prep process tips, techniques and tricks from steven barrett, dds. Temporary veneers, also known as provisional veneers or temporary restorations,. Temporary Mockup Veneers.
From www.zirkon.de
Mockup Vorschau auf den Zahnersatz zirkon.de Temporary Mockup Veneers These temporary coverings play a significant role in ensuring that. The mold is then filled with temporization material, such as 3m™ protemp™ 4 temporization material, and placed into the patient’s mouth (figure 3). Start your next veneer case with the temporization and prep process tips, techniques and tricks from steven barrett, dds. These veneers are different from. In any case,. Temporary Mockup Veneers.
From www.mdpi.com
Prosthesis Free FullText New Tricks in the Preparation Design for Temporary Mockup Veneers These temporary coverings play a significant role in ensuring that. In any case, this step is critical to. These veneers are different from. The mold is then filled with temporization material, such as 3m™ protemp™ 4 temporization material, and placed into the patient’s mouth (figure 3). Temporary veneers, also known as provisional veneers or temporary restorations, are vital components of. Temporary Mockup Veneers.
From www.brisbaneprosthodontics.com.au
Services Porcelain Veneers Brisbane Prosthodontics Temporary Mockup Veneers These temporary coverings play a significant role in ensuring that. A temporary or trial veneer is a thin acrylic shell or covering that is cemented over your natural tooth. These veneers are different from. In any case, this step is critical to. Temporary veneers, also known as provisional veneers or temporary restorations, are vital components of the veneer journey. The. Temporary Mockup Veneers.
From rollinghillsdentistry.com
Dental Veneers Are Dental Veneers For Me? Rolling Hills Dentistry Temporary Mockup Veneers These temporary coverings play a significant role in ensuring that. Start your next veneer case with the temporization and prep process tips, techniques and tricks from steven barrett, dds. The mold is then filled with temporization material, such as 3m™ protemp™ 4 temporization material, and placed into the patient’s mouth (figure 3). Temporary veneers, also known as provisional veneers or. Temporary Mockup Veneers.
From www.studiodentaire.com
Mockup Studio Dentaire Temporary Mockup Veneers Temporary veneers, also known as provisional veneers or temporary restorations, are vital components of the veneer journey. The mold is then filled with temporization material, such as 3m™ protemp™ 4 temporization material, and placed into the patient’s mouth (figure 3). In any case, this step is critical to. A temporary or trial veneer is a thin acrylic shell or covering. Temporary Mockup Veneers.
From www.youtube.com
mock up and temporary veneer فينير و تيجان مؤقتة YouTube Temporary Mockup Veneers These veneers are different from. A temporary or trial veneer is a thin acrylic shell or covering that is cemented over your natural tooth. In any case, this step is critical to. The mold is then filled with temporization material, such as 3m™ protemp™ 4 temporization material, and placed into the patient’s mouth (figure 3). These temporary coverings play a. Temporary Mockup Veneers.
From ariesorofacial.com
Dental Veneer Smile Makeover Aries OroFacial Dental Clinic Vadodara Temporary Mockup Veneers The mold is then filled with temporization material, such as 3m™ protemp™ 4 temporization material, and placed into the patient’s mouth (figure 3). These veneers are different from. Temporary veneers, also known as provisional veneers or temporary restorations, are vital components of the veneer journey. Start your next veneer case with the temporization and prep process tips, techniques and tricks. Temporary Mockup Veneers.
From www.styleitaliano.org
Mock up A versatile tool for everyday practice Temporary Mockup Veneers These veneers are different from. Start your next veneer case with the temporization and prep process tips, techniques and tricks from steven barrett, dds. A temporary or trial veneer is a thin acrylic shell or covering that is cemented over your natural tooth. In any case, this step is critical to. Temporary veneers, also known as provisional veneers or temporary. Temporary Mockup Veneers.
From www.golddustdental.com
How to Take Advantage of the Versatility of Ceramic Veneers Temporary Mockup Veneers Temporary veneers, also known as provisional veneers or temporary restorations, are vital components of the veneer journey. Start your next veneer case with the temporization and prep process tips, techniques and tricks from steven barrett, dds. In any case, this step is critical to. These veneers are different from. The mold is then filled with temporization material, such as 3m™. Temporary Mockup Veneers.
From www.amazon.co.uk
Brigtviee 1 Pair Instant Veneers Fake Teeth, False Teeth Veneers Top Temporary Mockup Veneers Temporary veneers, also known as provisional veneers or temporary restorations, are vital components of the veneer journey. Start your next veneer case with the temporization and prep process tips, techniques and tricks from steven barrett, dds. In any case, this step is critical to. These temporary coverings play a significant role in ensuring that. These veneers are different from. A. Temporary Mockup Veneers.
From www.youtube.com
Making temporary dental veneers Mock up transfer YouTube Temporary Mockup Veneers The mold is then filled with temporization material, such as 3m™ protemp™ 4 temporization material, and placed into the patient’s mouth (figure 3). A temporary or trial veneer is a thin acrylic shell or covering that is cemented over your natural tooth. Start your next veneer case with the temporization and prep process tips, techniques and tricks from steven barrett,. Temporary Mockup Veneers.
From www.kuraraynoritake.eu
Clinical case Central incisor veneers with PANAVIA V5 Temporary Mockup Veneers These temporary coverings play a significant role in ensuring that. A temporary or trial veneer is a thin acrylic shell or covering that is cemented over your natural tooth. Temporary veneers, also known as provisional veneers or temporary restorations, are vital components of the veneer journey. Start your next veneer case with the temporization and prep process tips, techniques and. Temporary Mockup Veneers.
From safarmedical.com
Dental veneers Types, Uses & Process Safar Medical Temporary Mockup Veneers Temporary veneers, also known as provisional veneers or temporary restorations, are vital components of the veneer journey. In any case, this step is critical to. These veneers are different from. These temporary coverings play a significant role in ensuring that. The mold is then filled with temporization material, such as 3m™ protemp™ 4 temporization material, and placed into the patient’s. Temporary Mockup Veneers.
From www.youtube.com
Mock up veneers YouTube Temporary Mockup Veneers Temporary veneers, also known as provisional veneers or temporary restorations, are vital components of the veneer journey. These temporary coverings play a significant role in ensuring that. Start your next veneer case with the temporization and prep process tips, techniques and tricks from steven barrett, dds. A temporary or trial veneer is a thin acrylic shell or covering that is. Temporary Mockup Veneers.
From dentistry.co.uk
The injectionmould technique for composite veneers Dentistry Temporary Mockup Veneers Temporary veneers, also known as provisional veneers or temporary restorations, are vital components of the veneer journey. The mold is then filled with temporization material, such as 3m™ protemp™ 4 temporization material, and placed into the patient’s mouth (figure 3). In any case, this step is critical to. These veneers are different from. These temporary coverings play a significant role. Temporary Mockup Veneers.
From www.glasgowsmileclinic.com
Veneers in Glasgow Glasgow Smile Clinic Temporary Mockup Veneers A temporary or trial veneer is a thin acrylic shell or covering that is cemented over your natural tooth. These veneers are different from. These temporary coverings play a significant role in ensuring that. In any case, this step is critical to. Temporary veneers, also known as provisional veneers or temporary restorations, are vital components of the veneer journey. The. Temporary Mockup Veneers.
From veneersdentistlosangeles.com
Temporary Veneers Temporary Mockup Veneers Start your next veneer case with the temporization and prep process tips, techniques and tricks from steven barrett, dds. The mold is then filled with temporization material, such as 3m™ protemp™ 4 temporization material, and placed into the patient’s mouth (figure 3). Temporary veneers, also known as provisional veneers or temporary restorations, are vital components of the veneer journey. These. Temporary Mockup Veneers.
From www.pinterest.de
Weiche Obere Und Untere Prothesenzähne Veneers Anpassbare Temporäre in Temporary Mockup Veneers These veneers are different from. Temporary veneers, also known as provisional veneers or temporary restorations, are vital components of the veneer journey. In any case, this step is critical to. The mold is then filled with temporization material, such as 3m™ protemp™ 4 temporization material, and placed into the patient’s mouth (figure 3). These temporary coverings play a significant role. Temporary Mockup Veneers.
From www.aesthetikzahnarzt.at
Veneers und Lumineers Keramikverblendungen 1040 Wien Temporary Mockup Veneers Start your next veneer case with the temporization and prep process tips, techniques and tricks from steven barrett, dds. In any case, this step is critical to. A temporary or trial veneer is a thin acrylic shell or covering that is cemented over your natural tooth. These veneers are different from. Temporary veneers, also known as provisional veneers or temporary. Temporary Mockup Veneers.
From www.styleitaliano.org
From MockUp to Provisional Restorations. A Step by Step Guide to bis Temporary Mockup Veneers Start your next veneer case with the temporization and prep process tips, techniques and tricks from steven barrett, dds. Temporary veneers, also known as provisional veneers or temporary restorations, are vital components of the veneer journey. In any case, this step is critical to. The mold is then filled with temporization material, such as 3m™ protemp™ 4 temporization material, and. Temporary Mockup Veneers.
From www.pinterest.com
Wax Mock Up 10 Veneers. Impress, 10 things, Dental care Temporary Mockup Veneers Temporary veneers, also known as provisional veneers or temporary restorations, are vital components of the veneer journey. In any case, this step is critical to. These veneers are different from. The mold is then filled with temporization material, such as 3m™ protemp™ 4 temporization material, and placed into the patient’s mouth (figure 3). A temporary or trial veneer is a. Temporary Mockup Veneers.
From elements.envato.com
Veneers preparation, mockup, color choosing and placement of dental Temporary Mockup Veneers Temporary veneers, also known as provisional veneers or temporary restorations, are vital components of the veneer journey. A temporary or trial veneer is a thin acrylic shell or covering that is cemented over your natural tooth. These veneers are different from. The mold is then filled with temporization material, such as 3m™ protemp™ 4 temporization material, and placed into the. Temporary Mockup Veneers.
From www.kuraraynoritake.eu
Clinical case Central incisor veneers with PANAVIA V5 Temporary Mockup Veneers These veneers are different from. These temporary coverings play a significant role in ensuring that. Start your next veneer case with the temporization and prep process tips, techniques and tricks from steven barrett, dds. In any case, this step is critical to. A temporary or trial veneer is a thin acrylic shell or covering that is cemented over your natural. Temporary Mockup Veneers.
From www.youtube.com
Mockup für Veneers Wie wichtig ist ein passendes Mockup für Veneers Temporary Mockup Veneers These temporary coverings play a significant role in ensuring that. The mold is then filled with temporization material, such as 3m™ protemp™ 4 temporization material, and placed into the patient’s mouth (figure 3). Temporary veneers, also known as provisional veneers or temporary restorations, are vital components of the veneer journey. In any case, this step is critical to. A temporary. Temporary Mockup Veneers.
From www.thejpd.org
Diagnostic mockups as an objective tool for predictable with Temporary Mockup Veneers The mold is then filled with temporization material, such as 3m™ protemp™ 4 temporization material, and placed into the patient’s mouth (figure 3). Start your next veneer case with the temporization and prep process tips, techniques and tricks from steven barrett, dds. Temporary veneers, also known as provisional veneers or temporary restorations, are vital components of the veneer journey. A. Temporary Mockup Veneers.
From www.modernagedentistry.com
Versatile Veneers — The Ultimate CoverUp Modern Age Dentistry Dentists Temporary Mockup Veneers Temporary veneers, also known as provisional veneers or temporary restorations, are vital components of the veneer journey. In any case, this step is critical to. The mold is then filled with temporization material, such as 3m™ protemp™ 4 temporization material, and placed into the patient’s mouth (figure 3). Start your next veneer case with the temporization and prep process tips,. Temporary Mockup Veneers.
From dxodfkpvo.blob.core.windows.net
Emax Veneers Cost Glasgow at Tammy Porter blog Temporary Mockup Veneers In any case, this step is critical to. These temporary coverings play a significant role in ensuring that. Temporary veneers, also known as provisional veneers or temporary restorations, are vital components of the veneer journey. Start your next veneer case with the temporization and prep process tips, techniques and tricks from steven barrett, dds. These veneers are different from. A. Temporary Mockup Veneers.
From www.add-education.com
Aesthetic rehabilitation with orthodontic treatment and veneers Temporary Mockup Veneers The mold is then filled with temporization material, such as 3m™ protemp™ 4 temporization material, and placed into the patient’s mouth (figure 3). A temporary or trial veneer is a thin acrylic shell or covering that is cemented over your natural tooth. Temporary veneers, also known as provisional veneers or temporary restorations, are vital components of the veneer journey. These. Temporary Mockup Veneers.
From bahamas.desertcart.com
Buy 5 Pairs Denture Top And Bottom Teeth Veneers Snap in Teeth Snap on Temporary Mockup Veneers In any case, this step is critical to. Temporary veneers, also known as provisional veneers or temporary restorations, are vital components of the veneer journey. The mold is then filled with temporization material, such as 3m™ protemp™ 4 temporization material, and placed into the patient’s mouth (figure 3). Start your next veneer case with the temporization and prep process tips,. Temporary Mockup Veneers.
From www.dentalestheticszak.com
Ceramic veneers preparartion .. Part 3 " Guided prep. " Dental Esthetics Temporary Mockup Veneers In any case, this step is critical to. These temporary coverings play a significant role in ensuring that. The mold is then filled with temporization material, such as 3m™ protemp™ 4 temporization material, and placed into the patient’s mouth (figure 3). Start your next veneer case with the temporization and prep process tips, techniques and tricks from steven barrett, dds.. Temporary Mockup Veneers.