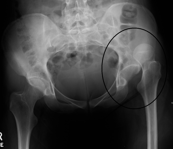
Hip Replacement Dislocation Radiology . — revision total hip replacements after previous dislocation, periprosthetic fractures, and septic or. radiography is the primary imaging method for the evaluation of total hip arthroplasty. — total hip arthroplasty (tha), also known as total hip replacement (thr), is an orthopedic procedure that involves the surgical. This overview focusses on the normal findings and. Posterior dislocation of the right hip prosthesis. — despite the widespread use of mri, ct, and sonography in joint imaging,. — early dislocation within the first 3 months after surgery is usually caused by laxity of the immature pseudocapsule of the.
from onlinelibrary.wiley.com
— revision total hip replacements after previous dislocation, periprosthetic fractures, and septic or. — early dislocation within the first 3 months after surgery is usually caused by laxity of the immature pseudocapsule of the. — total hip arthroplasty (tha), also known as total hip replacement (thr), is an orthopedic procedure that involves the surgical. Posterior dislocation of the right hip prosthesis. radiography is the primary imaging method for the evaluation of total hip arthroplasty. — despite the widespread use of mri, ct, and sonography in joint imaging,. This overview focusses on the normal findings and.
Use of a Constrained Acetabular Liner to Prevent and Treat Recurrent
Hip Replacement Dislocation Radiology This overview focusses on the normal findings and. radiography is the primary imaging method for the evaluation of total hip arthroplasty. Posterior dislocation of the right hip prosthesis. — despite the widespread use of mri, ct, and sonography in joint imaging,. — total hip arthroplasty (tha), also known as total hip replacement (thr), is an orthopedic procedure that involves the surgical. This overview focusses on the normal findings and. — early dislocation within the first 3 months after surgery is usually caused by laxity of the immature pseudocapsule of the. — revision total hip replacements after previous dislocation, periprosthetic fractures, and septic or.
From www.pinterest.com
Anterior Hip Dislocation The right femoral head (blue arrow) overlies Hip Replacement Dislocation Radiology — despite the widespread use of mri, ct, and sonography in joint imaging,. This overview focusses on the normal findings and. Posterior dislocation of the right hip prosthesis. — revision total hip replacements after previous dislocation, periprosthetic fractures, and septic or. — early dislocation within the first 3 months after surgery is usually caused by laxity of. Hip Replacement Dislocation Radiology.
From www.svuhradiology.ie
Hip dislocation, central Radiology at St. Vincent's University Hospital Hip Replacement Dislocation Radiology — early dislocation within the first 3 months after surgery is usually caused by laxity of the immature pseudocapsule of the. This overview focusses on the normal findings and. radiography is the primary imaging method for the evaluation of total hip arthroplasty. — total hip arthroplasty (tha), also known as total hip replacement (thr), is an orthopedic. Hip Replacement Dislocation Radiology.
From pubs.rsna.org
Traumatic Hip Dislocation What the Orthopedic Surgeon Wants to Know Hip Replacement Dislocation Radiology Posterior dislocation of the right hip prosthesis. — despite the widespread use of mri, ct, and sonography in joint imaging,. — total hip arthroplasty (tha), also known as total hip replacement (thr), is an orthopedic procedure that involves the surgical. — revision total hip replacements after previous dislocation, periprosthetic fractures, and septic or. radiography is the. Hip Replacement Dislocation Radiology.
From casereports.bmj.com
Dual mobility hip arthroplasty iatrogenic intraprosthetic dislocation Hip Replacement Dislocation Radiology This overview focusses on the normal findings and. — early dislocation within the first 3 months after surgery is usually caused by laxity of the immature pseudocapsule of the. — total hip arthroplasty (tha), also known as total hip replacement (thr), is an orthopedic procedure that involves the surgical. radiography is the primary imaging method for the. Hip Replacement Dislocation Radiology.
From www.radiologymasterclass.co.uk
Trauma Xray Lower limb Hip dislocation Hip Replacement Dislocation Radiology This overview focusses on the normal findings and. radiography is the primary imaging method for the evaluation of total hip arthroplasty. Posterior dislocation of the right hip prosthesis. — revision total hip replacements after previous dislocation, periprosthetic fractures, and septic or. — total hip arthroplasty (tha), also known as total hip replacement (thr), is an orthopedic procedure. Hip Replacement Dislocation Radiology.
From www.sciencephoto.com
Dislocated hip replacement, Xray Stock Image F006/9131 Science Hip Replacement Dislocation Radiology This overview focusses on the normal findings and. radiography is the primary imaging method for the evaluation of total hip arthroplasty. Posterior dislocation of the right hip prosthesis. — revision total hip replacements after previous dislocation, periprosthetic fractures, and septic or. — total hip arthroplasty (tha), also known as total hip replacement (thr), is an orthopedic procedure. Hip Replacement Dislocation Radiology.
From www.researchgate.net
(PDF) Multiple Total Hip Arthroplasty Dislocations in a Patient with Hip Replacement Dislocation Radiology Posterior dislocation of the right hip prosthesis. — total hip arthroplasty (tha), also known as total hip replacement (thr), is an orthopedic procedure that involves the surgical. — early dislocation within the first 3 months after surgery is usually caused by laxity of the immature pseudocapsule of the. — despite the widespread use of mri, ct, and. Hip Replacement Dislocation Radiology.
From www.frontiersin.org
Frontiers Radiological Imaging Evaluation of the Failing Total Hip Hip Replacement Dislocation Radiology — despite the widespread use of mri, ct, and sonography in joint imaging,. This overview focusses on the normal findings and. Posterior dislocation of the right hip prosthesis. radiography is the primary imaging method for the evaluation of total hip arthroplasty. — early dislocation within the first 3 months after surgery is usually caused by laxity of. Hip Replacement Dislocation Radiology.
From www.researchgate.net
Postoperative radiograph status after reduction of dislocated hip Hip Replacement Dislocation Radiology Posterior dislocation of the right hip prosthesis. — total hip arthroplasty (tha), also known as total hip replacement (thr), is an orthopedic procedure that involves the surgical. This overview focusses on the normal findings and. — despite the widespread use of mri, ct, and sonography in joint imaging,. — revision total hip replacements after previous dislocation, periprosthetic. Hip Replacement Dislocation Radiology.
From coreem.net
Hip Dislocation Core EM Hip Replacement Dislocation Radiology — revision total hip replacements after previous dislocation, periprosthetic fractures, and septic or. radiography is the primary imaging method for the evaluation of total hip arthroplasty. Posterior dislocation of the right hip prosthesis. This overview focusses on the normal findings and. — total hip arthroplasty (tha), also known as total hip replacement (thr), is an orthopedic procedure. Hip Replacement Dislocation Radiology.
From www.wikiradiography.net
Radiography of Hip Dislocations wikiRadiography Hip Replacement Dislocation Radiology — early dislocation within the first 3 months after surgery is usually caused by laxity of the immature pseudocapsule of the. Posterior dislocation of the right hip prosthesis. — despite the widespread use of mri, ct, and sonography in joint imaging,. radiography is the primary imaging method for the evaluation of total hip arthroplasty. This overview focusses. Hip Replacement Dislocation Radiology.
From www.orthoinfo.org
Revision Total Hip Replacement OrthoInfo AAOS Hip Replacement Dislocation Radiology — total hip arthroplasty (tha), also known as total hip replacement (thr), is an orthopedic procedure that involves the surgical. — early dislocation within the first 3 months after surgery is usually caused by laxity of the immature pseudocapsule of the. This overview focusses on the normal findings and. — revision total hip replacements after previous dislocation,. Hip Replacement Dislocation Radiology.
From epos.myesr.org
EPOS™ Hip Replacement Dislocation Radiology — early dislocation within the first 3 months after surgery is usually caused by laxity of the immature pseudocapsule of the. — revision total hip replacements after previous dislocation, periprosthetic fractures, and septic or. This overview focusses on the normal findings and. Posterior dislocation of the right hip prosthesis. — despite the widespread use of mri, ct,. Hip Replacement Dislocation Radiology.
From orthopaedicprinciples.com
Dislocation after Total Hip Replacement — Hip Replacement Dislocation Radiology — total hip arthroplasty (tha), also known as total hip replacement (thr), is an orthopedic procedure that involves the surgical. This overview focusses on the normal findings and. Posterior dislocation of the right hip prosthesis. radiography is the primary imaging method for the evaluation of total hip arthroplasty. — despite the widespread use of mri, ct, and. Hip Replacement Dislocation Radiology.
From www.researchgate.net
A magnified view of the dislocated right Exeter total hip replacement Hip Replacement Dislocation Radiology — despite the widespread use of mri, ct, and sonography in joint imaging,. This overview focusses on the normal findings and. — revision total hip replacements after previous dislocation, periprosthetic fractures, and septic or. radiography is the primary imaging method for the evaluation of total hip arthroplasty. — total hip arthroplasty (tha), also known as total. Hip Replacement Dislocation Radiology.
From www.svuhradiology.ie
Dislocated hip prosthesis Radiology at St. Vincent's University Hospital Hip Replacement Dislocation Radiology — total hip arthroplasty (tha), also known as total hip replacement (thr), is an orthopedic procedure that involves the surgical. — revision total hip replacements after previous dislocation, periprosthetic fractures, and septic or. This overview focusses on the normal findings and. — despite the widespread use of mri, ct, and sonography in joint imaging,. Posterior dislocation of. Hip Replacement Dislocation Radiology.
From raymundoroegner-99.blogspot.com
dislocation following total hip replacement causes and cures Hip Replacement Dislocation Radiology — despite the widespread use of mri, ct, and sonography in joint imaging,. radiography is the primary imaging method for the evaluation of total hip arthroplasty. — total hip arthroplasty (tha), also known as total hip replacement (thr), is an orthopedic procedure that involves the surgical. — early dislocation within the first 3 months after surgery. Hip Replacement Dislocation Radiology.
From www.sciencephoto.com
Dislocated hip replacement, Xray Stock Image C003/7305 Science Hip Replacement Dislocation Radiology — revision total hip replacements after previous dislocation, periprosthetic fractures, and septic or. Posterior dislocation of the right hip prosthesis. This overview focusses on the normal findings and. — total hip arthroplasty (tha), also known as total hip replacement (thr), is an orthopedic procedure that involves the surgical. — early dislocation within the first 3 months after. Hip Replacement Dislocation Radiology.
From www.sciencephoto.com
Dislocated hip replacement, Xray Stock Image F006/9130 Science Hip Replacement Dislocation Radiology — despite the widespread use of mri, ct, and sonography in joint imaging,. Posterior dislocation of the right hip prosthesis. — early dislocation within the first 3 months after surgery is usually caused by laxity of the immature pseudocapsule of the. This overview focusses on the normal findings and. — total hip arthroplasty (tha), also known as. Hip Replacement Dislocation Radiology.
From www.cortho.org
Case Study Hip dislocation treatment Acetabular component exchange Hip Replacement Dislocation Radiology This overview focusses on the normal findings and. Posterior dislocation of the right hip prosthesis. — total hip arthroplasty (tha), also known as total hip replacement (thr), is an orthopedic procedure that involves the surgical. — early dislocation within the first 3 months after surgery is usually caused by laxity of the immature pseudocapsule of the. radiography. Hip Replacement Dislocation Radiology.
From www.wikem.org
Hip dislocation WikEM Hip Replacement Dislocation Radiology — despite the widespread use of mri, ct, and sonography in joint imaging,. — revision total hip replacements after previous dislocation, periprosthetic fractures, and septic or. radiography is the primary imaging method for the evaluation of total hip arthroplasty. Posterior dislocation of the right hip prosthesis. This overview focusses on the normal findings and. — early. Hip Replacement Dislocation Radiology.
From coreem.net
Hip Dislocation Core EM Hip Replacement Dislocation Radiology radiography is the primary imaging method for the evaluation of total hip arthroplasty. — total hip arthroplasty (tha), also known as total hip replacement (thr), is an orthopedic procedure that involves the surgical. — early dislocation within the first 3 months after surgery is usually caused by laxity of the immature pseudocapsule of the. Posterior dislocation of. Hip Replacement Dislocation Radiology.
From learningradiology.com
LearningRadiology Developmental Dislocation/Dysplasia of the Hip Hip Replacement Dislocation Radiology — total hip arthroplasty (tha), also known as total hip replacement (thr), is an orthopedic procedure that involves the surgical. — early dislocation within the first 3 months after surgery is usually caused by laxity of the immature pseudocapsule of the. radiography is the primary imaging method for the evaluation of total hip arthroplasty. — revision. Hip Replacement Dislocation Radiology.
From radiopaedia.org
Dislocation of hip replacement Image Hip Replacement Dislocation Radiology — revision total hip replacements after previous dislocation, periprosthetic fractures, and septic or. — total hip arthroplasty (tha), also known as total hip replacement (thr), is an orthopedic procedure that involves the surgical. — despite the widespread use of mri, ct, and sonography in joint imaging,. Posterior dislocation of the right hip prosthesis. — early dislocation. Hip Replacement Dislocation Radiology.
From www.mdpi.com
JCM Free FullText Imaging in Hip Arthroplasty Management Part 2 Hip Replacement Dislocation Radiology Posterior dislocation of the right hip prosthesis. This overview focusses on the normal findings and. radiography is the primary imaging method for the evaluation of total hip arthroplasty. — despite the widespread use of mri, ct, and sonography in joint imaging,. — revision total hip replacements after previous dislocation, periprosthetic fractures, and septic or. — total. Hip Replacement Dislocation Radiology.
From casereports.bmj.com
Simultaneous bilateral total hip arthroplasty dislocation with Hip Replacement Dislocation Radiology — revision total hip replacements after previous dislocation, periprosthetic fractures, and septic or. Posterior dislocation of the right hip prosthesis. — total hip arthroplasty (tha), also known as total hip replacement (thr), is an orthopedic procedure that involves the surgical. radiography is the primary imaging method for the evaluation of total hip arthroplasty. — despite the. Hip Replacement Dislocation Radiology.
From www.clinicalimaging.org
Imaging of total hip arthroplasty part II imaging of component Hip Replacement Dislocation Radiology Posterior dislocation of the right hip prosthesis. — despite the widespread use of mri, ct, and sonography in joint imaging,. radiography is the primary imaging method for the evaluation of total hip arthroplasty. This overview focusses on the normal findings and. — total hip arthroplasty (tha), also known as total hip replacement (thr), is an orthopedic procedure. Hip Replacement Dislocation Radiology.
From onlinelibrary.wiley.com
Use of a Constrained Acetabular Liner to Prevent and Treat Recurrent Hip Replacement Dislocation Radiology — total hip arthroplasty (tha), also known as total hip replacement (thr), is an orthopedic procedure that involves the surgical. — despite the widespread use of mri, ct, and sonography in joint imaging,. radiography is the primary imaging method for the evaluation of total hip arthroplasty. This overview focusses on the normal findings and. Posterior dislocation of. Hip Replacement Dislocation Radiology.
From ar.pinterest.com
After having left hip replacement surgery five weeks later she had a Hip Replacement Dislocation Radiology Posterior dislocation of the right hip prosthesis. radiography is the primary imaging method for the evaluation of total hip arthroplasty. — revision total hip replacements after previous dislocation, periprosthetic fractures, and septic or. — despite the widespread use of mri, ct, and sonography in joint imaging,. — total hip arthroplasty (tha), also known as total hip. Hip Replacement Dislocation Radiology.
From atlas.mudr.org
Radiology case Hip replacement, dislocation Hip Replacement Dislocation Radiology — revision total hip replacements after previous dislocation, periprosthetic fractures, and septic or. radiography is the primary imaging method for the evaluation of total hip arthroplasty. — total hip arthroplasty (tha), also known as total hip replacement (thr), is an orthopedic procedure that involves the surgical. — despite the widespread use of mri, ct, and sonography. Hip Replacement Dislocation Radiology.
From www.sciencephoto.com
'Dislocated hip replacement, Xray' Stock Image C002/6547 Science Hip Replacement Dislocation Radiology radiography is the primary imaging method for the evaluation of total hip arthroplasty. This overview focusses on the normal findings and. — early dislocation within the first 3 months after surgery is usually caused by laxity of the immature pseudocapsule of the. — revision total hip replacements after previous dislocation, periprosthetic fractures, and septic or. —. Hip Replacement Dislocation Radiology.
From watsonorthopaedics.com
Hip Replacement Dislocation Adam Watson Orthopaedic Surgeon Hip Replacement Dislocation Radiology Posterior dislocation of the right hip prosthesis. — early dislocation within the first 3 months after surgery is usually caused by laxity of the immature pseudocapsule of the. radiography is the primary imaging method for the evaluation of total hip arthroplasty. This overview focusses on the normal findings and. — despite the widespread use of mri, ct,. Hip Replacement Dislocation Radiology.
From www.pinterest.com
Pin auf Xrays Hip Replacement Dislocation Radiology — despite the widespread use of mri, ct, and sonography in joint imaging,. This overview focusses on the normal findings and. Posterior dislocation of the right hip prosthesis. — revision total hip replacements after previous dislocation, periprosthetic fractures, and septic or. — early dislocation within the first 3 months after surgery is usually caused by laxity of. Hip Replacement Dislocation Radiology.
From medapparatus.com
Medical Apparatus Imaging Guide joint arthroplasty Hip Replacement Dislocation Radiology — despite the widespread use of mri, ct, and sonography in joint imaging,. — early dislocation within the first 3 months after surgery is usually caused by laxity of the immature pseudocapsule of the. This overview focusses on the normal findings and. — total hip arthroplasty (tha), also known as total hip replacement (thr), is an orthopedic. Hip Replacement Dislocation Radiology.
From www.sciencephoto.com
Dislocated hip replacement, Xray Stock Image C010/3496 Science Hip Replacement Dislocation Radiology — total hip arthroplasty (tha), also known as total hip replacement (thr), is an orthopedic procedure that involves the surgical. radiography is the primary imaging method for the evaluation of total hip arthroplasty. — revision total hip replacements after previous dislocation, periprosthetic fractures, and septic or. Posterior dislocation of the right hip prosthesis. — despite the. Hip Replacement Dislocation Radiology.