Odontogenic Sinusitis Symptoms . Symptoms of ods include a foul smell and facial pain or pressure on the side of the. odontogenic sinusitis symptoms and care. — the clinical presentation of odontogenic sinusitis varies, but most. — failure to identify a dental cause usually lead to cases recalcitrant sinusitis often associated with serious. the present paper aims to present the etiopathogenesis, bacteriology, clinical manifestations, as well as treatment of. sinusitis is a clinical diagnosis that relies on the presence of signs and symptoms such as facial pain/pressure/fullness, mucopurulent nasal.
from www.intechopen.com
Symptoms of ods include a foul smell and facial pain or pressure on the side of the. — failure to identify a dental cause usually lead to cases recalcitrant sinusitis often associated with serious. — the clinical presentation of odontogenic sinusitis varies, but most. odontogenic sinusitis symptoms and care. sinusitis is a clinical diagnosis that relies on the presence of signs and symptoms such as facial pain/pressure/fullness, mucopurulent nasal. the present paper aims to present the etiopathogenesis, bacteriology, clinical manifestations, as well as treatment of.
Treatment Approaches for Odontogenic Cysts of the Maxillary Sinus
Odontogenic Sinusitis Symptoms the present paper aims to present the etiopathogenesis, bacteriology, clinical manifestations, as well as treatment of. sinusitis is a clinical diagnosis that relies on the presence of signs and symptoms such as facial pain/pressure/fullness, mucopurulent nasal. — failure to identify a dental cause usually lead to cases recalcitrant sinusitis often associated with serious. the present paper aims to present the etiopathogenesis, bacteriology, clinical manifestations, as well as treatment of. — the clinical presentation of odontogenic sinusitis varies, but most. odontogenic sinusitis symptoms and care. Symptoms of ods include a foul smell and facial pain or pressure on the side of the.
From www.mdpi.com
JPM Free FullText Management of Odontogenic Sinusitis Results Odontogenic Sinusitis Symptoms the present paper aims to present the etiopathogenesis, bacteriology, clinical manifestations, as well as treatment of. Symptoms of ods include a foul smell and facial pain or pressure on the side of the. sinusitis is a clinical diagnosis that relies on the presence of signs and symptoms such as facial pain/pressure/fullness, mucopurulent nasal. odontogenic sinusitis symptoms and. Odontogenic Sinusitis Symptoms.
From www.researchgate.net
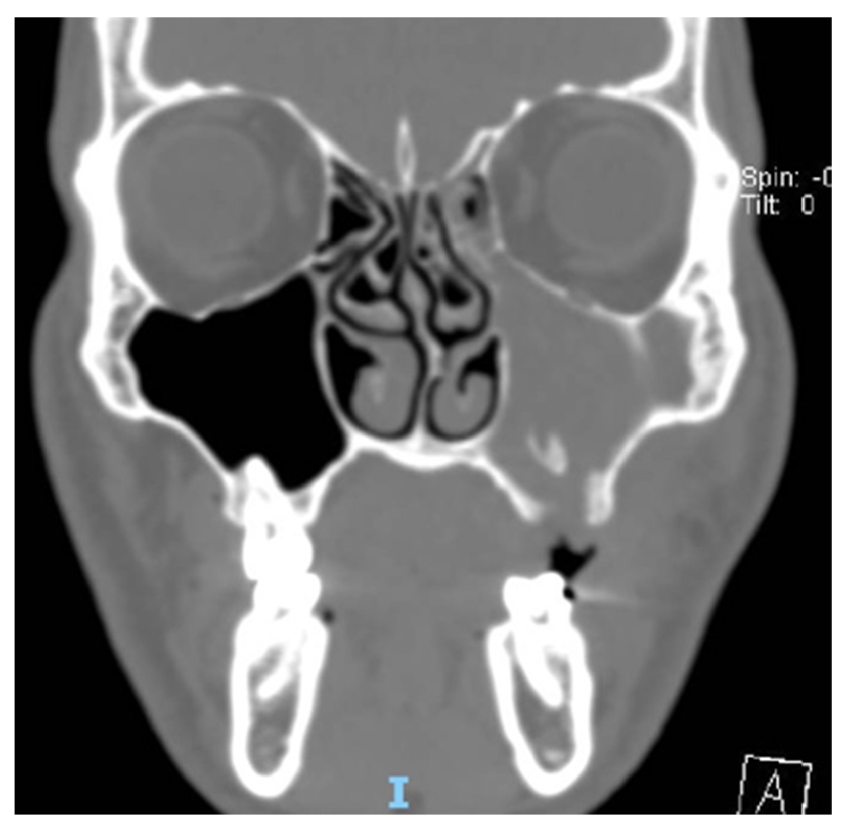
(ac) A case of mild odontogenic sinusitis, showing dental caries Odontogenic Sinusitis Symptoms Symptoms of ods include a foul smell and facial pain or pressure on the side of the. — the clinical presentation of odontogenic sinusitis varies, but most. odontogenic sinusitis symptoms and care. — failure to identify a dental cause usually lead to cases recalcitrant sinusitis often associated with serious. the present paper aims to present the. Odontogenic Sinusitis Symptoms.
From www.dreamstime.com
Medical Illustration of the Points. Odontogenic Sinusitis Stock Odontogenic Sinusitis Symptoms — the clinical presentation of odontogenic sinusitis varies, but most. Symptoms of ods include a foul smell and facial pain or pressure on the side of the. the present paper aims to present the etiopathogenesis, bacteriology, clinical manifestations, as well as treatment of. odontogenic sinusitis symptoms and care. sinusitis is a clinical diagnosis that relies on. Odontogenic Sinusitis Symptoms.
From www.mdpi.com
Antibiotics Free FullText Odontogenic Sinusitis from Classical Odontogenic Sinusitis Symptoms sinusitis is a clinical diagnosis that relies on the presence of signs and symptoms such as facial pain/pressure/fullness, mucopurulent nasal. Symptoms of ods include a foul smell and facial pain or pressure on the side of the. — the clinical presentation of odontogenic sinusitis varies, but most. odontogenic sinusitis symptoms and care. — failure to identify. Odontogenic Sinusitis Symptoms.
From www.intechopen.com
Treatment Approaches for Odontogenic Cysts of the Maxillary Sinus Odontogenic Sinusitis Symptoms the present paper aims to present the etiopathogenesis, bacteriology, clinical manifestations, as well as treatment of. sinusitis is a clinical diagnosis that relies on the presence of signs and symptoms such as facial pain/pressure/fullness, mucopurulent nasal. — the clinical presentation of odontogenic sinusitis varies, but most. Symptoms of ods include a foul smell and facial pain or. Odontogenic Sinusitis Symptoms.
From www.youtube.com
Diagnosing Odontogenic Sinusitis International Consensus YouTube Odontogenic Sinusitis Symptoms — the clinical presentation of odontogenic sinusitis varies, but most. Symptoms of ods include a foul smell and facial pain or pressure on the side of the. the present paper aims to present the etiopathogenesis, bacteriology, clinical manifestations, as well as treatment of. — failure to identify a dental cause usually lead to cases recalcitrant sinusitis often. Odontogenic Sinusitis Symptoms.
From www.clinicalradiologyonline.net
Imaging of odontogenic sinusitis Clinical Radiology Odontogenic Sinusitis Symptoms — failure to identify a dental cause usually lead to cases recalcitrant sinusitis often associated with serious. sinusitis is a clinical diagnosis that relies on the presence of signs and symptoms such as facial pain/pressure/fullness, mucopurulent nasal. — the clinical presentation of odontogenic sinusitis varies, but most. Symptoms of ods include a foul smell and facial pain. Odontogenic Sinusitis Symptoms.
From www.mdpi.com
Antibiotics Free FullText Odontogenic Sinusitis from Classical Odontogenic Sinusitis Symptoms — failure to identify a dental cause usually lead to cases recalcitrant sinusitis often associated with serious. the present paper aims to present the etiopathogenesis, bacteriology, clinical manifestations, as well as treatment of. sinusitis is a clinical diagnosis that relies on the presence of signs and symptoms such as facial pain/pressure/fullness, mucopurulent nasal. Symptoms of ods include. Odontogenic Sinusitis Symptoms.
From benthamopen.com
Odontogenic Sinusitis Caused by an Inflammation of a Dentigerous Cyst Odontogenic Sinusitis Symptoms odontogenic sinusitis symptoms and care. Symptoms of ods include a foul smell and facial pain or pressure on the side of the. the present paper aims to present the etiopathogenesis, bacteriology, clinical manifestations, as well as treatment of. sinusitis is a clinical diagnosis that relies on the presence of signs and symptoms such as facial pain/pressure/fullness, mucopurulent. Odontogenic Sinusitis Symptoms.
From sinushealth.com
Can a Tooth Infection Be Causing My Sinusitis? SinusHealth Odontogenic Sinusitis Symptoms Symptoms of ods include a foul smell and facial pain or pressure on the side of the. — the clinical presentation of odontogenic sinusitis varies, but most. — failure to identify a dental cause usually lead to cases recalcitrant sinusitis often associated with serious. sinusitis is a clinical diagnosis that relies on the presence of signs and. Odontogenic Sinusitis Symptoms.
From www.backtable.com
Odontogenic Sinusitis Symptoms & Diagnosis Odontogenic Sinusitis Symptoms — the clinical presentation of odontogenic sinusitis varies, but most. Symptoms of ods include a foul smell and facial pain or pressure on the side of the. sinusitis is a clinical diagnosis that relies on the presence of signs and symptoms such as facial pain/pressure/fullness, mucopurulent nasal. odontogenic sinusitis symptoms and care. the present paper aims. Odontogenic Sinusitis Symptoms.
From osadchyclinic.com.ua
Odontogenic maxillary sinusitis causes, symptoms, diagnosis, and treatment Odontogenic Sinusitis Symptoms odontogenic sinusitis symptoms and care. — the clinical presentation of odontogenic sinusitis varies, but most. Symptoms of ods include a foul smell and facial pain or pressure on the side of the. — failure to identify a dental cause usually lead to cases recalcitrant sinusitis often associated with serious. the present paper aims to present the. Odontogenic Sinusitis Symptoms.
From www.academia.edu
(PDF) Odontogenic Sinusitis, Symptoms and Treatment Central Asian Odontogenic Sinusitis Symptoms the present paper aims to present the etiopathogenesis, bacteriology, clinical manifestations, as well as treatment of. odontogenic sinusitis symptoms and care. Symptoms of ods include a foul smell and facial pain or pressure on the side of the. — failure to identify a dental cause usually lead to cases recalcitrant sinusitis often associated with serious. —. Odontogenic Sinusitis Symptoms.
From sante.vip
Signes, symptômes et complications des infections des sinus Odontogenic Sinusitis Symptoms odontogenic sinusitis symptoms and care. sinusitis is a clinical diagnosis that relies on the presence of signs and symptoms such as facial pain/pressure/fullness, mucopurulent nasal. — failure to identify a dental cause usually lead to cases recalcitrant sinusitis often associated with serious. — the clinical presentation of odontogenic sinusitis varies, but most. Symptoms of ods include. Odontogenic Sinusitis Symptoms.
From www.youtube.com
Odontogenic Sinusitis Sinus Surgery First? YouTube Odontogenic Sinusitis Symptoms the present paper aims to present the etiopathogenesis, bacteriology, clinical manifestations, as well as treatment of. Symptoms of ods include a foul smell and facial pain or pressure on the side of the. sinusitis is a clinical diagnosis that relies on the presence of signs and symptoms such as facial pain/pressure/fullness, mucopurulent nasal. odontogenic sinusitis symptoms and. Odontogenic Sinusitis Symptoms.
From www.studocu.com
Odontogenic Disease OF THE Maxillary Sinus ODONTOGENIC DISEASE OF THE Odontogenic Sinusitis Symptoms — failure to identify a dental cause usually lead to cases recalcitrant sinusitis often associated with serious. — the clinical presentation of odontogenic sinusitis varies, but most. sinusitis is a clinical diagnosis that relies on the presence of signs and symptoms such as facial pain/pressure/fullness, mucopurulent nasal. odontogenic sinusitis symptoms and care. the present paper. Odontogenic Sinusitis Symptoms.
From www.intechopen.com
Treatment Approaches for Odontogenic Cysts of the Maxillary Sinus Odontogenic Sinusitis Symptoms odontogenic sinusitis symptoms and care. the present paper aims to present the etiopathogenesis, bacteriology, clinical manifestations, as well as treatment of. Symptoms of ods include a foul smell and facial pain or pressure on the side of the. sinusitis is a clinical diagnosis that relies on the presence of signs and symptoms such as facial pain/pressure/fullness, mucopurulent. Odontogenic Sinusitis Symptoms.
From mednexus.org
Odontogenic sinusitis A stateoftheart review World Journal of Odontogenic Sinusitis Symptoms odontogenic sinusitis symptoms and care. — failure to identify a dental cause usually lead to cases recalcitrant sinusitis often associated with serious. Symptoms of ods include a foul smell and facial pain or pressure on the side of the. the present paper aims to present the etiopathogenesis, bacteriology, clinical manifestations, as well as treatment of. sinusitis. Odontogenic Sinusitis Symptoms.
From osadchyclinic.com.ua
Odontogenic maxillary sinusitis causes, symptoms, diagnosis, and treatment Odontogenic Sinusitis Symptoms — failure to identify a dental cause usually lead to cases recalcitrant sinusitis often associated with serious. odontogenic sinusitis symptoms and care. sinusitis is a clinical diagnosis that relies on the presence of signs and symptoms such as facial pain/pressure/fullness, mucopurulent nasal. Symptoms of ods include a foul smell and facial pain or pressure on the side. Odontogenic Sinusitis Symptoms.
From www.dreamstime.com
Odontogenic Sinusitis. Inflammation of the Maxillary Sinuses Due To a Odontogenic Sinusitis Symptoms — failure to identify a dental cause usually lead to cases recalcitrant sinusitis often associated with serious. odontogenic sinusitis symptoms and care. sinusitis is a clinical diagnosis that relies on the presence of signs and symptoms such as facial pain/pressure/fullness, mucopurulent nasal. Symptoms of ods include a foul smell and facial pain or pressure on the side. Odontogenic Sinusitis Symptoms.
From www.pacehospital.com
Sinusitis Types, Causes, Symptoms, Complications and Treatment Odontogenic Sinusitis Symptoms — the clinical presentation of odontogenic sinusitis varies, but most. — failure to identify a dental cause usually lead to cases recalcitrant sinusitis often associated with serious. Symptoms of ods include a foul smell and facial pain or pressure on the side of the. the present paper aims to present the etiopathogenesis, bacteriology, clinical manifestations, as well. Odontogenic Sinusitis Symptoms.
From www.dentaltown.com
CBCT to Identify Odontogenic Sources of Maxillary Sinusitis The Endo Odontogenic Sinusitis Symptoms odontogenic sinusitis symptoms and care. Symptoms of ods include a foul smell and facial pain or pressure on the side of the. — the clinical presentation of odontogenic sinusitis varies, but most. sinusitis is a clinical diagnosis that relies on the presence of signs and symptoms such as facial pain/pressure/fullness, mucopurulent nasal. the present paper aims. Odontogenic Sinusitis Symptoms.
From radiologypics.com
Odontogenic Sinusitis Odontogenic Sinusitis Symptoms sinusitis is a clinical diagnosis that relies on the presence of signs and symptoms such as facial pain/pressure/fullness, mucopurulent nasal. odontogenic sinusitis symptoms and care. Symptoms of ods include a foul smell and facial pain or pressure on the side of the. the present paper aims to present the etiopathogenesis, bacteriology, clinical manifestations, as well as treatment. Odontogenic Sinusitis Symptoms.
From www.alhilalhealthcare.com
Sinusitis Odontogenic Sinusitis Symptoms sinusitis is a clinical diagnosis that relies on the presence of signs and symptoms such as facial pain/pressure/fullness, mucopurulent nasal. — the clinical presentation of odontogenic sinusitis varies, but most. the present paper aims to present the etiopathogenesis, bacteriology, clinical manifestations, as well as treatment of. — failure to identify a dental cause usually lead to. Odontogenic Sinusitis Symptoms.
From ayu.health
What Are Some Of The Common Sinusitis Symptoms That We Should Look Out For? Odontogenic Sinusitis Symptoms odontogenic sinusitis symptoms and care. — failure to identify a dental cause usually lead to cases recalcitrant sinusitis often associated with serious. Symptoms of ods include a foul smell and facial pain or pressure on the side of the. the present paper aims to present the etiopathogenesis, bacteriology, clinical manifestations, as well as treatment of. —. Odontogenic Sinusitis Symptoms.
From casereports.bmj.com
Unusual case of odontogenic maxillary sinusitis BMJ Case Reports Odontogenic Sinusitis Symptoms — failure to identify a dental cause usually lead to cases recalcitrant sinusitis often associated with serious. odontogenic sinusitis symptoms and care. — the clinical presentation of odontogenic sinusitis varies, but most. Symptoms of ods include a foul smell and facial pain or pressure on the side of the. the present paper aims to present the. Odontogenic Sinusitis Symptoms.
From www.semanticscholar.org
Figure 1 from Surgical endodontic treatment for odontogenic maxillary Odontogenic Sinusitis Symptoms Symptoms of ods include a foul smell and facial pain or pressure on the side of the. the present paper aims to present the etiopathogenesis, bacteriology, clinical manifestations, as well as treatment of. sinusitis is a clinical diagnosis that relies on the presence of signs and symptoms such as facial pain/pressure/fullness, mucopurulent nasal. — the clinical presentation. Odontogenic Sinusitis Symptoms.
From www.theendoblog.com
The Endo Blog Resolution of Odontogenic Sinusitis after RCT Retreatment Odontogenic Sinusitis Symptoms — failure to identify a dental cause usually lead to cases recalcitrant sinusitis often associated with serious. sinusitis is a clinical diagnosis that relies on the presence of signs and symptoms such as facial pain/pressure/fullness, mucopurulent nasal. the present paper aims to present the etiopathogenesis, bacteriology, clinical manifestations, as well as treatment of. Symptoms of ods include. Odontogenic Sinusitis Symptoms.
From navimumbai.kokilabenhospital.com
Common signs and symptoms of sinusitis Odontogenic Sinusitis Symptoms the present paper aims to present the etiopathogenesis, bacteriology, clinical manifestations, as well as treatment of. odontogenic sinusitis symptoms and care. sinusitis is a clinical diagnosis that relies on the presence of signs and symptoms such as facial pain/pressure/fullness, mucopurulent nasal. — failure to identify a dental cause usually lead to cases recalcitrant sinusitis often associated. Odontogenic Sinusitis Symptoms.
From healthjade.net
Odontogenic keratocyst, definition, causes, symptoms, diagnosis Odontogenic Sinusitis Symptoms odontogenic sinusitis symptoms and care. — the clinical presentation of odontogenic sinusitis varies, but most. Symptoms of ods include a foul smell and facial pain or pressure on the side of the. sinusitis is a clinical diagnosis that relies on the presence of signs and symptoms such as facial pain/pressure/fullness, mucopurulent nasal. — failure to identify. Odontogenic Sinusitis Symptoms.
From www.semanticscholar.org
CT evaluation odontogenic origin causing obstructive maxillary Odontogenic Sinusitis Symptoms the present paper aims to present the etiopathogenesis, bacteriology, clinical manifestations, as well as treatment of. — the clinical presentation of odontogenic sinusitis varies, but most. sinusitis is a clinical diagnosis that relies on the presence of signs and symptoms such as facial pain/pressure/fullness, mucopurulent nasal. odontogenic sinusitis symptoms and care. Symptoms of ods include a. Odontogenic Sinusitis Symptoms.
From www.merillife.com
Everything You Should Know About Chronic Sinusitis Odontogenic Sinusitis Symptoms odontogenic sinusitis symptoms and care. the present paper aims to present the etiopathogenesis, bacteriology, clinical manifestations, as well as treatment of. — failure to identify a dental cause usually lead to cases recalcitrant sinusitis often associated with serious. Symptoms of ods include a foul smell and facial pain or pressure on the side of the. —. Odontogenic Sinusitis Symptoms.
From www.pinterest.com
Sinusitis Symptoms Sinusitis, Sinus problems, Sinus relief Odontogenic Sinusitis Symptoms sinusitis is a clinical diagnosis that relies on the presence of signs and symptoms such as facial pain/pressure/fullness, mucopurulent nasal. odontogenic sinusitis symptoms and care. — the clinical presentation of odontogenic sinusitis varies, but most. — failure to identify a dental cause usually lead to cases recalcitrant sinusitis often associated with serious. Symptoms of ods include. Odontogenic Sinusitis Symptoms.
From medicoiq.com
Sinusitis Causes, Symptoms & Treatment ( Sinus Infection ) Medico IQ Odontogenic Sinusitis Symptoms the present paper aims to present the etiopathogenesis, bacteriology, clinical manifestations, as well as treatment of. Symptoms of ods include a foul smell and facial pain or pressure on the side of the. sinusitis is a clinical diagnosis that relies on the presence of signs and symptoms such as facial pain/pressure/fullness, mucopurulent nasal. — the clinical presentation. Odontogenic Sinusitis Symptoms.
From www.researchgate.net
Odontogenic sinusitis. Oblique sagittal CT image shows mucosal Odontogenic Sinusitis Symptoms Symptoms of ods include a foul smell and facial pain or pressure on the side of the. odontogenic sinusitis symptoms and care. the present paper aims to present the etiopathogenesis, bacteriology, clinical manifestations, as well as treatment of. — the clinical presentation of odontogenic sinusitis varies, but most. — failure to identify a dental cause usually. Odontogenic Sinusitis Symptoms.