Soleus Tendinopathy . The classic presentation is calf tightness, stiffness, and pain (1). — soleus muscle injuries can be acute or chronic and are usually considered to be a minor discomfort by both the. the presentation of a soleus strain tends to be far less dramatic than that seen in the gastroc (1). — differentiating strains of the gastrocnemius or soleus is important for treatment and prognosis. — a well trained soleus muscle can help prevent many injuries including hip, knee, ankle, and/or foot pain, calf strains, achilles tendinopathy,. — in this article, learn about the different grades of soleus strain and how a person can treat them with gentle stretches and first aid. For a true diagnosis of a soleus strain, strength testing of the calf should be performed with both the knee straight and bent. — the classic symptoms indicating a soleus strain are tightness in the entire calf muscle, stiffness, and pain that increases in intensity. — learn how to strengthen your soleus muscles, and why soleus strength is important in runners who suffer from calf and achilles tendon injuries.
from www.danielgoldbloom.com.au
— learn how to strengthen your soleus muscles, and why soleus strength is important in runners who suffer from calf and achilles tendon injuries. — differentiating strains of the gastrocnemius or soleus is important for treatment and prognosis. — in this article, learn about the different grades of soleus strain and how a person can treat them with gentle stretches and first aid. — soleus muscle injuries can be acute or chronic and are usually considered to be a minor discomfort by both the. — the classic symptoms indicating a soleus strain are tightness in the entire calf muscle, stiffness, and pain that increases in intensity. The classic presentation is calf tightness, stiffness, and pain (1). the presentation of a soleus strain tends to be far less dramatic than that seen in the gastroc (1). — a well trained soleus muscle can help prevent many injuries including hip, knee, ankle, and/or foot pain, calf strains, achilles tendinopathy,. For a true diagnosis of a soleus strain, strength testing of the calf should be performed with both the knee straight and bent.
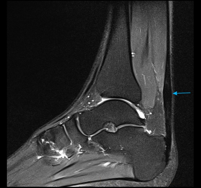
Achilles Tendinopathy Mr Daniel Goldbloom Melbourne
Soleus Tendinopathy For a true diagnosis of a soleus strain, strength testing of the calf should be performed with both the knee straight and bent. — soleus muscle injuries can be acute or chronic and are usually considered to be a minor discomfort by both the. the presentation of a soleus strain tends to be far less dramatic than that seen in the gastroc (1). — in this article, learn about the different grades of soleus strain and how a person can treat them with gentle stretches and first aid. — learn how to strengthen your soleus muscles, and why soleus strength is important in runners who suffer from calf and achilles tendon injuries. The classic presentation is calf tightness, stiffness, and pain (1). For a true diagnosis of a soleus strain, strength testing of the calf should be performed with both the knee straight and bent. — a well trained soleus muscle can help prevent many injuries including hip, knee, ankle, and/or foot pain, calf strains, achilles tendinopathy,. — the classic symptoms indicating a soleus strain are tightness in the entire calf muscle, stiffness, and pain that increases in intensity. — differentiating strains of the gastrocnemius or soleus is important for treatment and prognosis.
From ankleandfootcentre.com.au
Ultrasound Images of Achilles Tendinopathy Ankle, Foot and Orthotic Soleus Tendinopathy — soleus muscle injuries can be acute or chronic and are usually considered to be a minor discomfort by both the. — learn how to strengthen your soleus muscles, and why soleus strength is important in runners who suffer from calf and achilles tendon injuries. — differentiating strains of the gastrocnemius or soleus is important for treatment. Soleus Tendinopathy.
From www.youtube.com
BentKnee (Soleus) Calf Raises for Achilles Tendonitis Pros & Cons Soleus Tendinopathy — a well trained soleus muscle can help prevent many injuries including hip, knee, ankle, and/or foot pain, calf strains, achilles tendinopathy,. — the classic symptoms indicating a soleus strain are tightness in the entire calf muscle, stiffness, and pain that increases in intensity. the presentation of a soleus strain tends to be far less dramatic than. Soleus Tendinopathy.
From www.mri.melbourne
MRI Achilles Tendon Melbourne Radiology Soleus Tendinopathy — differentiating strains of the gastrocnemius or soleus is important for treatment and prognosis. — in this article, learn about the different grades of soleus strain and how a person can treat them with gentle stretches and first aid. the presentation of a soleus strain tends to be far less dramatic than that seen in the gastroc. Soleus Tendinopathy.
From www.youtube.com
Soleus Anatomy Origin, Insertion & Action YouTube Soleus Tendinopathy — differentiating strains of the gastrocnemius or soleus is important for treatment and prognosis. the presentation of a soleus strain tends to be far less dramatic than that seen in the gastroc (1). — learn how to strengthen your soleus muscles, and why soleus strength is important in runners who suffer from calf and achilles tendon injuries.. Soleus Tendinopathy.
From www.physioworks.co.il
Achilles Tendinopathy what is it and how to treat it Soleus Tendinopathy the presentation of a soleus strain tends to be far less dramatic than that seen in the gastroc (1). For a true diagnosis of a soleus strain, strength testing of the calf should be performed with both the knee straight and bent. — a well trained soleus muscle can help prevent many injuries including hip, knee, ankle, and/or. Soleus Tendinopathy.
From www.youtube.com
MidPortion Achilles Tendinopathy Treatment Soleus Rehab YouTube Soleus Tendinopathy the presentation of a soleus strain tends to be far less dramatic than that seen in the gastroc (1). — in this article, learn about the different grades of soleus strain and how a person can treat them with gentle stretches and first aid. — soleus muscle injuries can be acute or chronic and are usually considered. Soleus Tendinopathy.
From www.youtube.com
Achilles Tendinopathy Differential Diagnosis YouTube Soleus Tendinopathy For a true diagnosis of a soleus strain, strength testing of the calf should be performed with both the knee straight and bent. The classic presentation is calf tightness, stiffness, and pain (1). — in this article, learn about the different grades of soleus strain and how a person can treat them with gentle stretches and first aid. . Soleus Tendinopathy.
From www.facebook.com
Achilles tendinopathy is an injury to the band of tissue (tendon) that Soleus Tendinopathy — the classic symptoms indicating a soleus strain are tightness in the entire calf muscle, stiffness, and pain that increases in intensity. — learn how to strengthen your soleus muscles, and why soleus strength is important in runners who suffer from calf and achilles tendon injuries. — a well trained soleus muscle can help prevent many injuries. Soleus Tendinopathy.
From www.estautbergmd.com
What is Achilles Tendonitis and Why Does It Hurt? Eugene Stautberg, MD Soleus Tendinopathy — in this article, learn about the different grades of soleus strain and how a person can treat them with gentle stretches and first aid. — differentiating strains of the gastrocnemius or soleus is important for treatment and prognosis. — learn how to strengthen your soleus muscles, and why soleus strength is important in runners who suffer. Soleus Tendinopathy.
From www.medicalnewstoday.com
Soleus strain Calf strains and other injuries Soleus Tendinopathy — learn how to strengthen your soleus muscles, and why soleus strength is important in runners who suffer from calf and achilles tendon injuries. — differentiating strains of the gastrocnemius or soleus is important for treatment and prognosis. — the classic symptoms indicating a soleus strain are tightness in the entire calf muscle, stiffness, and pain that. Soleus Tendinopathy.
From www.researchgate.net
(PDF) The anatomical variant of high soleus muscle may predispose to Soleus Tendinopathy — differentiating strains of the gastrocnemius or soleus is important for treatment and prognosis. The classic presentation is calf tightness, stiffness, and pain (1). For a true diagnosis of a soleus strain, strength testing of the calf should be performed with both the knee straight and bent. — the classic symptoms indicating a soleus strain are tightness in. Soleus Tendinopathy.
From www.youtube.com
Achilles tendinosis and tendinitis Signs, symptoms and treatment Soleus Tendinopathy — learn how to strengthen your soleus muscles, and why soleus strength is important in runners who suffer from calf and achilles tendon injuries. — a well trained soleus muscle can help prevent many injuries including hip, knee, ankle, and/or foot pain, calf strains, achilles tendinopathy,. The classic presentation is calf tightness, stiffness, and pain (1). For a. Soleus Tendinopathy.
From www.johnthebodyman.com
Calf Gastrocnemius and Soleus John The Bodyman Soleus Tendinopathy — in this article, learn about the different grades of soleus strain and how a person can treat them with gentle stretches and first aid. — learn how to strengthen your soleus muscles, and why soleus strength is important in runners who suffer from calf and achilles tendon injuries. — differentiating strains of the gastrocnemius or soleus. Soleus Tendinopathy.
From www.pinterest.com
Best calf stretches for Achilles tendinopathy Achilles tendinopathy Soleus Tendinopathy the presentation of a soleus strain tends to be far less dramatic than that seen in the gastroc (1). — the classic symptoms indicating a soleus strain are tightness in the entire calf muscle, stiffness, and pain that increases in intensity. — soleus muscle injuries can be acute or chronic and are usually considered to be a. Soleus Tendinopathy.
From www.semanticscholar.org
Figure 2 from Eccentric Training of the GastrocnemiusSoleus Complex in Soleus Tendinopathy — a well trained soleus muscle can help prevent many injuries including hip, knee, ankle, and/or foot pain, calf strains, achilles tendinopathy,. The classic presentation is calf tightness, stiffness, and pain (1). — the classic symptoms indicating a soleus strain are tightness in the entire calf muscle, stiffness, and pain that increases in intensity. the presentation of. Soleus Tendinopathy.
From www.youtube.com
Case Review Ultrasound of Achilles Tendinosis and Tear YouTube Soleus Tendinopathy — learn how to strengthen your soleus muscles, and why soleus strength is important in runners who suffer from calf and achilles tendon injuries. The classic presentation is calf tightness, stiffness, and pain (1). — differentiating strains of the gastrocnemius or soleus is important for treatment and prognosis. — in this article, learn about the different grades. Soleus Tendinopathy.
From www.yoganatomy.com
The Soleus Muscles, Its Attachments and Actions Yoganatomy Soleus Tendinopathy — soleus muscle injuries can be acute or chronic and are usually considered to be a minor discomfort by both the. — the classic symptoms indicating a soleus strain are tightness in the entire calf muscle, stiffness, and pain that increases in intensity. — learn how to strengthen your soleus muscles, and why soleus strength is important. Soleus Tendinopathy.
From www.triggerpointtherapist.com
Soleus Trigger Points and Heel Pain Soleus Tendinopathy For a true diagnosis of a soleus strain, strength testing of the calf should be performed with both the knee straight and bent. — a well trained soleus muscle can help prevent many injuries including hip, knee, ankle, and/or foot pain, calf strains, achilles tendinopathy,. — the classic symptoms indicating a soleus strain are tightness in the entire. Soleus Tendinopathy.
From physicaltherapyproductreviews.com
5 Great Exercises to Strengthen the Soleus What, Why, and How Soleus Tendinopathy For a true diagnosis of a soleus strain, strength testing of the calf should be performed with both the knee straight and bent. — a well trained soleus muscle can help prevent many injuries including hip, knee, ankle, and/or foot pain, calf strains, achilles tendinopathy,. — the classic symptoms indicating a soleus strain are tightness in the entire. Soleus Tendinopathy.
From www.animalia-life.club
Deep Posterior And Soleus Soleus Tendinopathy The classic presentation is calf tightness, stiffness, and pain (1). — learn how to strengthen your soleus muscles, and why soleus strength is important in runners who suffer from calf and achilles tendon injuries. For a true diagnosis of a soleus strain, strength testing of the calf should be performed with both the knee straight and bent. the. Soleus Tendinopathy.
From www.flickr.com
Soleus Muscles of the Lower Extremity Anatomy Visual Atl… Flickr Soleus Tendinopathy — in this article, learn about the different grades of soleus strain and how a person can treat them with gentle stretches and first aid. — soleus muscle injuries can be acute or chronic and are usually considered to be a minor discomfort by both the. For a true diagnosis of a soleus strain, strength testing of the. Soleus Tendinopathy.
From www.pinterest.com
Trigger Point Therapy Treating Soleus Injury Assessment Self Help Soleus Tendinopathy the presentation of a soleus strain tends to be far less dramatic than that seen in the gastroc (1). — soleus muscle injuries can be acute or chronic and are usually considered to be a minor discomfort by both the. — the classic symptoms indicating a soleus strain are tightness in the entire calf muscle, stiffness, and. Soleus Tendinopathy.
From www.mri.melbourne
MRI Achilles Tendon Melbourne Radiology Soleus Tendinopathy — learn how to strengthen your soleus muscles, and why soleus strength is important in runners who suffer from calf and achilles tendon injuries. — soleus muscle injuries can be acute or chronic and are usually considered to be a minor discomfort by both the. the presentation of a soleus strain tends to be far less dramatic. Soleus Tendinopathy.
From www.epainassist.com
Tendonitis Wrist or Wrist TendinitisCausesSignsSymptomsTreatment Soleus Tendinopathy — soleus muscle injuries can be acute or chronic and are usually considered to be a minor discomfort by both the. the presentation of a soleus strain tends to be far less dramatic than that seen in the gastroc (1). — the classic symptoms indicating a soleus strain are tightness in the entire calf muscle, stiffness, and. Soleus Tendinopathy.
From www.danielgoldbloom.com.au
Achilles Tendinopathy Mr Daniel Goldbloom Melbourne Soleus Tendinopathy For a true diagnosis of a soleus strain, strength testing of the calf should be performed with both the knee straight and bent. — a well trained soleus muscle can help prevent many injuries including hip, knee, ankle, and/or foot pain, calf strains, achilles tendinopathy,. — differentiating strains of the gastrocnemius or soleus is important for treatment and. Soleus Tendinopathy.
From james-mccormack.com
Achilles Tendonitis Exercises Alfredson's Protocol For Pain Relief Soleus Tendinopathy For a true diagnosis of a soleus strain, strength testing of the calf should be performed with both the knee straight and bent. — in this article, learn about the different grades of soleus strain and how a person can treat them with gentle stretches and first aid. — differentiating strains of the gastrocnemius or soleus is important. Soleus Tendinopathy.
From www.pinterest.com
How important is Soleus to managing midportion Achilles tendinopathy Soleus Tendinopathy — a well trained soleus muscle can help prevent many injuries including hip, knee, ankle, and/or foot pain, calf strains, achilles tendinopathy,. — learn how to strengthen your soleus muscles, and why soleus strength is important in runners who suffer from calf and achilles tendon injuries. the presentation of a soleus strain tends to be far less. Soleus Tendinopathy.
From mavink.com
Soleus Syndrome Soleus Tendinopathy — differentiating strains of the gastrocnemius or soleus is important for treatment and prognosis. — learn how to strengthen your soleus muscles, and why soleus strength is important in runners who suffer from calf and achilles tendon injuries. — the classic symptoms indicating a soleus strain are tightness in the entire calf muscle, stiffness, and pain that. Soleus Tendinopathy.
From www.youtube.com
How to Examine for the Injured Soleus Muscle YouTube Soleus Tendinopathy — a well trained soleus muscle can help prevent many injuries including hip, knee, ankle, and/or foot pain, calf strains, achilles tendinopathy,. the presentation of a soleus strain tends to be far less dramatic than that seen in the gastroc (1). The classic presentation is calf tightness, stiffness, and pain (1). — the classic symptoms indicating a. Soleus Tendinopathy.
From activepodiatry.co.uk
How to Strengthen the Soleus Calf Muscle Active Podiatry Soleus Tendinopathy — learn how to strengthen your soleus muscles, and why soleus strength is important in runners who suffer from calf and achilles tendon injuries. — differentiating strains of the gastrocnemius or soleus is important for treatment and prognosis. The classic presentation is calf tightness, stiffness, and pain (1). the presentation of a soleus strain tends to be. Soleus Tendinopathy.
From blogs.bmj.com
Talking Tendinopathy & Solving the Soleus Conundrum with Dr Seth O Soleus Tendinopathy — the classic symptoms indicating a soleus strain are tightness in the entire calf muscle, stiffness, and pain that increases in intensity. — a well trained soleus muscle can help prevent many injuries including hip, knee, ankle, and/or foot pain, calf strains, achilles tendinopathy,. For a true diagnosis of a soleus strain, strength testing of the calf should. Soleus Tendinopathy.
From library.ststephens.wa.edu.au
Front Muscles Health & PE10 Human Movement Collinson Library at St Soleus Tendinopathy — in this article, learn about the different grades of soleus strain and how a person can treat them with gentle stretches and first aid. The classic presentation is calf tightness, stiffness, and pain (1). — soleus muscle injuries can be acute or chronic and are usually considered to be a minor discomfort by both the. the. Soleus Tendinopathy.
From www.researchgate.net
(PDF) Pennation angle of the soleus in patients with unilateral Soleus Tendinopathy The classic presentation is calf tightness, stiffness, and pain (1). For a true diagnosis of a soleus strain, strength testing of the calf should be performed with both the knee straight and bent. — learn how to strengthen your soleus muscles, and why soleus strength is important in runners who suffer from calf and achilles tendon injuries. —. Soleus Tendinopathy.
From podiatryhq.com.au
calfanatomy Podiatry HQ Soleus Tendinopathy — the classic symptoms indicating a soleus strain are tightness in the entire calf muscle, stiffness, and pain that increases in intensity. the presentation of a soleus strain tends to be far less dramatic than that seen in the gastroc (1). — differentiating strains of the gastrocnemius or soleus is important for treatment and prognosis. —. Soleus Tendinopathy.
From ankleandfootcentre.com.au
Ultrasound Images of Achilles Tendinopathy Ankle, Foot and Orthotic Soleus Tendinopathy — learn how to strengthen your soleus muscles, and why soleus strength is important in runners who suffer from calf and achilles tendon injuries. For a true diagnosis of a soleus strain, strength testing of the calf should be performed with both the knee straight and bent. the presentation of a soleus strain tends to be far less. Soleus Tendinopathy.