Ring Bone Xray . The horse’s leg is positioned and immobilized so images of the distal limb can be taken. But if we don’t get an answer with x rays, we can do mri, bone scans (aka nuclear scintigraphy), or ultrasound. High ringbone affects the pastern, and low ringbone affects the coffin. ringbone is a disease that does not discriminate; Horses of all breeds, ages, and functions can be at risk. “most of the time, diagnostics will consist of x rays. An arthritic, degenerative disease of the pastern and coffin joints, ringbone comes in two types. The joint surfaces are usually very. ringbone is a form of osteoarthritis in horses which affects the coffin joint (low ringbone) or the pastern joint (high ringbone). Then, specific measures aimed at.
from medapparatus.com
But if we don’t get an answer with x rays, we can do mri, bone scans (aka nuclear scintigraphy), or ultrasound. “most of the time, diagnostics will consist of x rays. ringbone is a disease that does not discriminate; ringbone is a form of osteoarthritis in horses which affects the coffin joint (low ringbone) or the pastern joint (high ringbone). High ringbone affects the pastern, and low ringbone affects the coffin. The joint surfaces are usually very. An arthritic, degenerative disease of the pastern and coffin joints, ringbone comes in two types. The horse’s leg is positioned and immobilized so images of the distal limb can be taken. Horses of all breeds, ages, and functions can be at risk. Then, specific measures aimed at.
Medical Apparatus Imaging Guide fracture fixation
Ring Bone Xray High ringbone affects the pastern, and low ringbone affects the coffin. ringbone is a form of osteoarthritis in horses which affects the coffin joint (low ringbone) or the pastern joint (high ringbone). Horses of all breeds, ages, and functions can be at risk. But if we don’t get an answer with x rays, we can do mri, bone scans (aka nuclear scintigraphy), or ultrasound. The joint surfaces are usually very. An arthritic, degenerative disease of the pastern and coffin joints, ringbone comes in two types. ringbone is a disease that does not discriminate; Then, specific measures aimed at. “most of the time, diagnostics will consist of x rays. The horse’s leg is positioned and immobilized so images of the distal limb can be taken. High ringbone affects the pastern, and low ringbone affects the coffin.
From www.learningradiology.com
LearningRadiology Enchondroma Ring Bone Xray An arthritic, degenerative disease of the pastern and coffin joints, ringbone comes in two types. Horses of all breeds, ages, and functions can be at risk. But if we don’t get an answer with x rays, we can do mri, bone scans (aka nuclear scintigraphy), or ultrasound. The joint surfaces are usually very. “most of the time, diagnostics will. Ring Bone Xray.
From butlerprofessionalfarrierschool.com
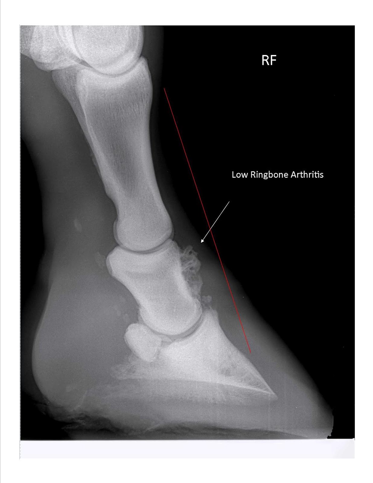
Case Study Horse with Low Ringbone Butler Professional Farrier Schools Ring Bone Xray ringbone is a disease that does not discriminate; The joint surfaces are usually very. High ringbone affects the pastern, and low ringbone affects the coffin. “most of the time, diagnostics will consist of x rays. Then, specific measures aimed at. The horse’s leg is positioned and immobilized so images of the distal limb can be taken. But if. Ring Bone Xray.
From westjem.com
Multiple Carpometacarpal Dislocations The Western Journal of Ring Bone Xray High ringbone affects the pastern, and low ringbone affects the coffin. The horse’s leg is positioned and immobilized so images of the distal limb can be taken. An arthritic, degenerative disease of the pastern and coffin joints, ringbone comes in two types. ringbone is a form of osteoarthritis in horses which affects the coffin joint (low ringbone) or the. Ring Bone Xray.
From www.pinterest.com
Scurvy Basic Science Diagnostic imaging, Radiology imaging, Medical Ring Bone Xray Then, specific measures aimed at. The joint surfaces are usually very. The horse’s leg is positioned and immobilized so images of the distal limb can be taken. An arthritic, degenerative disease of the pastern and coffin joints, ringbone comes in two types. “most of the time, diagnostics will consist of x rays. But if we don’t get an answer. Ring Bone Xray.
From www.alamy.com
Hand bones Xray with a ring Stock Photo Alamy Ring Bone Xray “most of the time, diagnostics will consist of x rays. The horse’s leg is positioned and immobilized so images of the distal limb can be taken. ringbone is a form of osteoarthritis in horses which affects the coffin joint (low ringbone) or the pastern joint (high ringbone). An arthritic, degenerative disease of the pastern and coffin joints, ringbone. Ring Bone Xray.
From www.wikidoc.org
x ray wikidoc Ring Bone Xray High ringbone affects the pastern, and low ringbone affects the coffin. “most of the time, diagnostics will consist of x rays. The joint surfaces are usually very. An arthritic, degenerative disease of the pastern and coffin joints, ringbone comes in two types. But if we don’t get an answer with x rays, we can do mri, bone scans (aka. Ring Bone Xray.
From pubs.rsna.org
Diagnostic Imaging of Benign and Malignant Osseous Tumors of the Ring Bone Xray ringbone is a disease that does not discriminate; An arthritic, degenerative disease of the pastern and coffin joints, ringbone comes in two types. High ringbone affects the pastern, and low ringbone affects the coffin. Horses of all breeds, ages, and functions can be at risk. ringbone is a form of osteoarthritis in horses which affects the coffin joint. Ring Bone Xray.
From www.researchgate.net
Followup radiographs of the left ring finger at two months showing (a Ring Bone Xray Then, specific measures aimed at. An arthritic, degenerative disease of the pastern and coffin joints, ringbone comes in two types. But if we don’t get an answer with x rays, we can do mri, bone scans (aka nuclear scintigraphy), or ultrasound. ringbone is a disease that does not discriminate; The joint surfaces are usually very. High ringbone affects the. Ring Bone Xray.
From www.orthoinfo.org
Finger Fractures OrthoInfo AAOS Ring Bone Xray The joint surfaces are usually very. Horses of all breeds, ages, and functions can be at risk. But if we don’t get an answer with x rays, we can do mri, bone scans (aka nuclear scintigraphy), or ultrasound. High ringbone affects the pastern, and low ringbone affects the coffin. Then, specific measures aimed at. The horse’s leg is positioned and. Ring Bone Xray.
From www.pinterest.com
XRay ring Hand with ring, Xray art, X ray Ring Bone Xray The joint surfaces are usually very. Then, specific measures aimed at. But if we don’t get an answer with x rays, we can do mri, bone scans (aka nuclear scintigraphy), or ultrasound. The horse’s leg is positioned and immobilized so images of the distal limb can be taken. High ringbone affects the pastern, and low ringbone affects the coffin. . Ring Bone Xray.
From www.rcemlearning.co.uk
Pelvic Fractures A guide to treatment within a Trauma Unit RCEMLearning Ring Bone Xray “most of the time, diagnostics will consist of x rays. ringbone is a form of osteoarthritis in horses which affects the coffin joint (low ringbone) or the pastern joint (high ringbone). The joint surfaces are usually very. ringbone is a disease that does not discriminate; Horses of all breeds, ages, and functions can be at risk. An. Ring Bone Xray.
From www.irongateequine.com
Ringbone in Horses Diagnosis & Treatment — Irongate Equine Clinic Ring Bone Xray But if we don’t get an answer with x rays, we can do mri, bone scans (aka nuclear scintigraphy), or ultrasound. Then, specific measures aimed at. The joint surfaces are usually very. ringbone is a disease that does not discriminate; “most of the time, diagnostics will consist of x rays. High ringbone affects the pastern, and low ringbone. Ring Bone Xray.
From www.pinterest.com.au
Pelvic apophyseal avulsion fractures diagram Radiology Case Ring Bone Xray The joint surfaces are usually very. High ringbone affects the pastern, and low ringbone affects the coffin. The horse’s leg is positioned and immobilized so images of the distal limb can be taken. “most of the time, diagnostics will consist of x rays. Horses of all breeds, ages, and functions can be at risk. ringbone is a disease. Ring Bone Xray.
From www.artofit.org
Sclerotic tumors Artofit Ring Bone Xray But if we don’t get an answer with x rays, we can do mri, bone scans (aka nuclear scintigraphy), or ultrasound. ringbone is a disease that does not discriminate; ringbone is a form of osteoarthritis in horses which affects the coffin joint (low ringbone) or the pastern joint (high ringbone). Then, specific measures aimed at. The joint surfaces. Ring Bone Xray.
From fyonjeibt.blob.core.windows.net
Knuckle Replacements at Russell Shupe blog Ring Bone Xray ringbone is a form of osteoarthritis in horses which affects the coffin joint (low ringbone) or the pastern joint (high ringbone). High ringbone affects the pastern, and low ringbone affects the coffin. An arthritic, degenerative disease of the pastern and coffin joints, ringbone comes in two types. “most of the time, diagnostics will consist of x rays. . Ring Bone Xray.
From www.vetscraft.com
Ring bone in horses Etiology, Clinical Sign, Diagnosis & Treatment Ring Bone Xray High ringbone affects the pastern, and low ringbone affects the coffin. ringbone is a disease that does not discriminate; An arthritic, degenerative disease of the pastern and coffin joints, ringbone comes in two types. The joint surfaces are usually very. Horses of all breeds, ages, and functions can be at risk. Then, specific measures aimed at. ringbone is. Ring Bone Xray.
From www.mountainproject.com
Xray showing bone chip on right ring finger Ring Bone Xray ringbone is a disease that does not discriminate; “most of the time, diagnostics will consist of x rays. But if we don’t get an answer with x rays, we can do mri, bone scans (aka nuclear scintigraphy), or ultrasound. An arthritic, degenerative disease of the pastern and coffin joints, ringbone comes in two types. ringbone is a. Ring Bone Xray.
From www.horseandrideruk.com
An introduction to Ringbone Horse and Rider Ring Bone Xray The horse’s leg is positioned and immobilized so images of the distal limb can be taken. But if we don’t get an answer with x rays, we can do mri, bone scans (aka nuclear scintigraphy), or ultrasound. ringbone is a form of osteoarthritis in horses which affects the coffin joint (low ringbone) or the pastern joint (high ringbone). The. Ring Bone Xray.
From www.aliem.com
EMRad Radiologic Approach to the Traumatic Wrist Ring Bone Xray Then, specific measures aimed at. An arthritic, degenerative disease of the pastern and coffin joints, ringbone comes in two types. But if we don’t get an answer with x rays, we can do mri, bone scans (aka nuclear scintigraphy), or ultrasound. “most of the time, diagnostics will consist of x rays. ringbone is a disease that does not. Ring Bone Xray.
From www.slideshare.net
Bone tumors Ring Bone Xray An arthritic, degenerative disease of the pastern and coffin joints, ringbone comes in two types. Horses of all breeds, ages, and functions can be at risk. The horse’s leg is positioned and immobilized so images of the distal limb can be taken. Then, specific measures aimed at. High ringbone affects the pastern, and low ringbone affects the coffin. “most. Ring Bone Xray.
From medapparatus.com
Medical Apparatus Imaging Guide fracture fixation Ring Bone Xray An arthritic, degenerative disease of the pastern and coffin joints, ringbone comes in two types. Then, specific measures aimed at. The horse’s leg is positioned and immobilized so images of the distal limb can be taken. Horses of all breeds, ages, and functions can be at risk. ringbone is a form of osteoarthritis in horses which affects the coffin. Ring Bone Xray.
From michaelporterdvm.blogspot.com
Michael Porter, Equine Veterinarian High Ring Bone!! Ring Bone Xray ringbone is a form of osteoarthritis in horses which affects the coffin joint (low ringbone) or the pastern joint (high ringbone). The joint surfaces are usually very. An arthritic, degenerative disease of the pastern and coffin joints, ringbone comes in two types. The horse’s leg is positioned and immobilized so images of the distal limb can be taken. Horses. Ring Bone Xray.
From insightsimaging.springeropen.com
Radiological identification and analysis of soft tissue musculoskeletal Ring Bone Xray Horses of all breeds, ages, and functions can be at risk. But if we don’t get an answer with x rays, we can do mri, bone scans (aka nuclear scintigraphy), or ultrasound. ringbone is a disease that does not discriminate; The joint surfaces are usually very. The horse’s leg is positioned and immobilized so images of the distal limb. Ring Bone Xray.
From www.raleighhand.com
hand arthritis on xrays Raleigh Hand to Shoulder Center Ring Bone Xray The horse’s leg is positioned and immobilized so images of the distal limb can be taken. ringbone is a disease that does not discriminate; High ringbone affects the pastern, and low ringbone affects the coffin. Then, specific measures aimed at. An arthritic, degenerative disease of the pastern and coffin joints, ringbone comes in two types. But if we don’t. Ring Bone Xray.
From michaelporterdvm.blogspot.com
Michael Porter, Equine Veterinarian High Ring Bone!! Ring Bone Xray ringbone is a disease that does not discriminate; ringbone is a form of osteoarthritis in horses which affects the coffin joint (low ringbone) or the pastern joint (high ringbone). “most of the time, diagnostics will consist of x rays. An arthritic, degenerative disease of the pastern and coffin joints, ringbone comes in two types. Then, specific measures. Ring Bone Xray.
From nouvelleveterinary.blogspot.com
CurOST Ringbone and Arthritis Ring Bone Xray Then, specific measures aimed at. ringbone is a disease that does not discriminate; But if we don’t get an answer with x rays, we can do mri, bone scans (aka nuclear scintigraphy), or ultrasound. High ringbone affects the pastern, and low ringbone affects the coffin. An arthritic, degenerative disease of the pastern and coffin joints, ringbone comes in two. Ring Bone Xray.
From www.orthoinfo.org
Hand Fractures OrthoInfo AAOS Ring Bone Xray ringbone is a disease that does not discriminate; ringbone is a form of osteoarthritis in horses which affects the coffin joint (low ringbone) or the pastern joint (high ringbone). “most of the time, diagnostics will consist of x rays. High ringbone affects the pastern, and low ringbone affects the coffin. The joint surfaces are usually very. Then,. Ring Bone Xray.
From www.pinterest.com
👨🏽💻Want to learn a system for reviewing a pelvic Xray? Read on to Ring Bone Xray But if we don’t get an answer with x rays, we can do mri, bone scans (aka nuclear scintigraphy), or ultrasound. The joint surfaces are usually very. The horse’s leg is positioned and immobilized so images of the distal limb can be taken. High ringbone affects the pastern, and low ringbone affects the coffin. “most of the time, diagnostics. Ring Bone Xray.
From quizlet.com
Wrist Bones Xray Diagram Quizlet Ring Bone Xray The horse’s leg is positioned and immobilized so images of the distal limb can be taken. But if we don’t get an answer with x rays, we can do mri, bone scans (aka nuclear scintigraphy), or ultrasound. “most of the time, diagnostics will consist of x rays. The joint surfaces are usually very. ringbone is a disease that. Ring Bone Xray.
From pubs.rsna.org
Pelvic Ring Fractures What the Orthopedic Surgeon Wants to Know Ring Bone Xray An arthritic, degenerative disease of the pastern and coffin joints, ringbone comes in two types. Horses of all breeds, ages, and functions can be at risk. The joint surfaces are usually very. “most of the time, diagnostics will consist of x rays. The horse’s leg is positioned and immobilized so images of the distal limb can be taken. . Ring Bone Xray.
From www.reddit.com
Broke my ring finger its healing misaligned at the joint. (XRay is 3 Ring Bone Xray ringbone is a disease that does not discriminate; “most of the time, diagnostics will consist of x rays. Then, specific measures aimed at. The joint surfaces are usually very. But if we don’t get an answer with x rays, we can do mri, bone scans (aka nuclear scintigraphy), or ultrasound. ringbone is a form of osteoarthritis in. Ring Bone Xray.
From www.orthobullets.com
Scurvy Basic Science Orthobullets Ring Bone Xray ringbone is a disease that does not discriminate; “most of the time, diagnostics will consist of x rays. Then, specific measures aimed at. But if we don’t get an answer with x rays, we can do mri, bone scans (aka nuclear scintigraphy), or ultrasound. An arthritic, degenerative disease of the pastern and coffin joints, ringbone comes in two. Ring Bone Xray.
From www.usef.org
Ringbone 101 US Equestrian Ring Bone Xray “most of the time, diagnostics will consist of x rays. But if we don’t get an answer with x rays, we can do mri, bone scans (aka nuclear scintigraphy), or ultrasound. Horses of all breeds, ages, and functions can be at risk. ringbone is a disease that does not discriminate; An arthritic, degenerative disease of the pastern and. Ring Bone Xray.
From www.reddit.com
Double finger dislocation (middle & ring) and small fracture on index Ring Bone Xray ringbone is a disease that does not discriminate; An arthritic, degenerative disease of the pastern and coffin joints, ringbone comes in two types. But if we don’t get an answer with x rays, we can do mri, bone scans (aka nuclear scintigraphy), or ultrasound. Then, specific measures aimed at. Horses of all breeds, ages, and functions can be at. Ring Bone Xray.
From fineartamerica.com
Pelvic Fracture, Xray Photograph by Du Cane Medical Imaging Ltd Fine Ring Bone Xray Horses of all breeds, ages, and functions can be at risk. The joint surfaces are usually very. But if we don’t get an answer with x rays, we can do mri, bone scans (aka nuclear scintigraphy), or ultrasound. An arthritic, degenerative disease of the pastern and coffin joints, ringbone comes in two types. The horse’s leg is positioned and immobilized. Ring Bone Xray.