Gouty Arthritis Esr . In this study, siri showed a statistically significant positive correlation with esr and crp in patients with gouty arthritis. Gout is an inflammatory arthritis that occurs when there is a deposition of monosodium urate (msu) crystals in the joints and soft tissues that is caused by hyperuricemia. Joint arthrocentesis is the definitive diagnostic study for gouty arthritis. Except during recurrent arthritis episodes, systemic inflammation may develop during the progression of gouty arthritis (ga). Gout in females usually occurs only after menopause. Whereas gouty arthritis waxes and wanes, rheumatoid arthritis is. Recurrent flares of inflammatory arthritis (gout flare) a chronic arthropathy. The clinical manifestations of gout may include: Gout is most common form of inflammatory joint disease in men >40yr. The disease progression of gouty arthritis (ga) is relatively clear, with the 4 stages of hyperuricemia (hua), acute gouty arthritis (aga),.
from radiopaedia.org
Gout is most common form of inflammatory joint disease in men >40yr. Joint arthrocentesis is the definitive diagnostic study for gouty arthritis. Except during recurrent arthritis episodes, systemic inflammation may develop during the progression of gouty arthritis (ga). The disease progression of gouty arthritis (ga) is relatively clear, with the 4 stages of hyperuricemia (hua), acute gouty arthritis (aga),. In this study, siri showed a statistically significant positive correlation with esr and crp in patients with gouty arthritis. Gout is an inflammatory arthritis that occurs when there is a deposition of monosodium urate (msu) crystals in the joints and soft tissues that is caused by hyperuricemia. Gout in females usually occurs only after menopause. Recurrent flares of inflammatory arthritis (gout flare) a chronic arthropathy. Whereas gouty arthritis waxes and wanes, rheumatoid arthritis is. The clinical manifestations of gout may include:
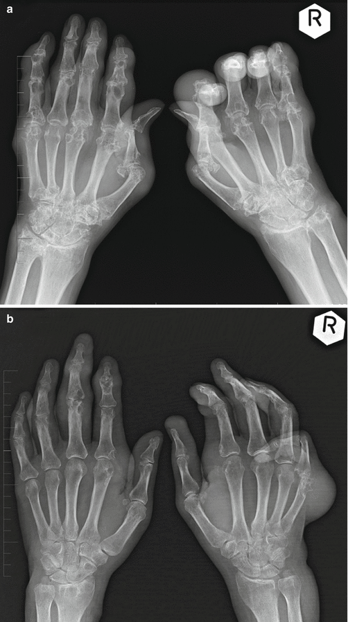
Gouty arthritis of the hands Image
Gouty Arthritis Esr In this study, siri showed a statistically significant positive correlation with esr and crp in patients with gouty arthritis. Gout is most common form of inflammatory joint disease in men >40yr. Gout in females usually occurs only after menopause. Gout is an inflammatory arthritis that occurs when there is a deposition of monosodium urate (msu) crystals in the joints and soft tissues that is caused by hyperuricemia. Joint arthrocentesis is the definitive diagnostic study for gouty arthritis. In this study, siri showed a statistically significant positive correlation with esr and crp in patients with gouty arthritis. The disease progression of gouty arthritis (ga) is relatively clear, with the 4 stages of hyperuricemia (hua), acute gouty arthritis (aga),. Except during recurrent arthritis episodes, systemic inflammation may develop during the progression of gouty arthritis (ga). Recurrent flares of inflammatory arthritis (gout flare) a chronic arthropathy. The clinical manifestations of gout may include: Whereas gouty arthritis waxes and wanes, rheumatoid arthritis is.
From www.slideserve.com
PPT Gouty Arthritis PowerPoint Presentation, free download ID3568652 Gouty Arthritis Esr Except during recurrent arthritis episodes, systemic inflammation may develop during the progression of gouty arthritis (ga). The clinical manifestations of gout may include: Gout is an inflammatory arthritis that occurs when there is a deposition of monosodium urate (msu) crystals in the joints and soft tissues that is caused by hyperuricemia. Gout is most common form of inflammatory joint disease. Gouty Arthritis Esr.
From www.scribd.com
Gouty Arthritis Arthritis Gouty Arthritis Esr Whereas gouty arthritis waxes and wanes, rheumatoid arthritis is. Gout in females usually occurs only after menopause. Gout is an inflammatory arthritis that occurs when there is a deposition of monosodium urate (msu) crystals in the joints and soft tissues that is caused by hyperuricemia. Recurrent flares of inflammatory arthritis (gout flare) a chronic arthropathy. Gout is most common form. Gouty Arthritis Esr.
From www.frontiersin.org
Frontiers Role of microRNA alternation in the pathogenesis of gouty Gouty Arthritis Esr Recurrent flares of inflammatory arthritis (gout flare) a chronic arthropathy. Gout in females usually occurs only after menopause. Whereas gouty arthritis waxes and wanes, rheumatoid arthritis is. Gout is most common form of inflammatory joint disease in men >40yr. Joint arthrocentesis is the definitive diagnostic study for gouty arthritis. Gout is an inflammatory arthritis that occurs when there is a. Gouty Arthritis Esr.
From www.verywellhealth.com
Gout vs. Rheumatoid Arthritis Signs, Causes, Treatment Gouty Arthritis Esr In this study, siri showed a statistically significant positive correlation with esr and crp in patients with gouty arthritis. The disease progression of gouty arthritis (ga) is relatively clear, with the 4 stages of hyperuricemia (hua), acute gouty arthritis (aga),. Recurrent flares of inflammatory arthritis (gout flare) a chronic arthropathy. Gout is most common form of inflammatory joint disease in. Gouty Arthritis Esr.
From radiologycases.my
Gouty arthritis Radiology Cases Gouty Arthritis Esr Recurrent flares of inflammatory arthritis (gout flare) a chronic arthropathy. Except during recurrent arthritis episodes, systemic inflammation may develop during the progression of gouty arthritis (ga). Gout is an inflammatory arthritis that occurs when there is a deposition of monosodium urate (msu) crystals in the joints and soft tissues that is caused by hyperuricemia. The disease progression of gouty arthritis. Gouty Arthritis Esr.
From www.dreamstime.com
Gout Arthritis Infographic. Stock Vector Illustration of pictogram Gouty Arthritis Esr Recurrent flares of inflammatory arthritis (gout flare) a chronic arthropathy. Whereas gouty arthritis waxes and wanes, rheumatoid arthritis is. Joint arthrocentesis is the definitive diagnostic study for gouty arthritis. Gout is most common form of inflammatory joint disease in men >40yr. The disease progression of gouty arthritis (ga) is relatively clear, with the 4 stages of hyperuricemia (hua), acute gouty. Gouty Arthritis Esr.
From www.youtube.com
Gouty Arthritis What You Need To Know YouTube Gouty Arthritis Esr The disease progression of gouty arthritis (ga) is relatively clear, with the 4 stages of hyperuricemia (hua), acute gouty arthritis (aga),. Except during recurrent arthritis episodes, systemic inflammation may develop during the progression of gouty arthritis (ga). Gout in females usually occurs only after menopause. In this study, siri showed a statistically significant positive correlation with esr and crp in. Gouty Arthritis Esr.
From www.slideserve.com
PPT RHEUMATOID ARTHRITIS PowerPoint Presentation, free download ID Gouty Arthritis Esr Recurrent flares of inflammatory arthritis (gout flare) a chronic arthropathy. Joint arthrocentesis is the definitive diagnostic study for gouty arthritis. Gout is an inflammatory arthritis that occurs when there is a deposition of monosodium urate (msu) crystals in the joints and soft tissues that is caused by hyperuricemia. The clinical manifestations of gout may include: In this study, siri showed. Gouty Arthritis Esr.
From diseaeseshows.com
gouty arthritis pictures pictures, photos Gouty Arthritis Esr Gout is an inflammatory arthritis that occurs when there is a deposition of monosodium urate (msu) crystals in the joints and soft tissues that is caused by hyperuricemia. Except during recurrent arthritis episodes, systemic inflammation may develop during the progression of gouty arthritis (ga). Joint arthrocentesis is the definitive diagnostic study for gouty arthritis. The disease progression of gouty arthritis. Gouty Arthritis Esr.
From thisquarterly.sg
Gouty Arthritis This Quarterly Gouty Arthritis Esr The clinical manifestations of gout may include: Except during recurrent arthritis episodes, systemic inflammation may develop during the progression of gouty arthritis (ga). Gout in females usually occurs only after menopause. Gout is most common form of inflammatory joint disease in men >40yr. In this study, siri showed a statistically significant positive correlation with esr and crp in patients with. Gouty Arthritis Esr.
From www.alamy.com
Arthritis at ankle joint (Gout , Rheumatoid arthritis Stock Photo Gouty Arthritis Esr Except during recurrent arthritis episodes, systemic inflammation may develop during the progression of gouty arthritis (ga). Gout in females usually occurs only after menopause. Whereas gouty arthritis waxes and wanes, rheumatoid arthritis is. Gout is an inflammatory arthritis that occurs when there is a deposition of monosodium urate (msu) crystals in the joints and soft tissues that is caused by. Gouty Arthritis Esr.
From www.alamy.com
Rheumatoid arthritis , Gout arthritis ( Film xray both hands of child Gouty Arthritis Esr Except during recurrent arthritis episodes, systemic inflammation may develop during the progression of gouty arthritis (ga). The clinical manifestations of gout may include: The disease progression of gouty arthritis (ga) is relatively clear, with the 4 stages of hyperuricemia (hua), acute gouty arthritis (aga),. Gout in females usually occurs only after menopause. Joint arthrocentesis is the definitive diagnostic study for. Gouty Arthritis Esr.
From www.clinicaladvisor.com
Panel Issues Consensus Statement on Management of Gouty Arthritis of Gouty Arthritis Esr The clinical manifestations of gout may include: Joint arthrocentesis is the definitive diagnostic study for gouty arthritis. Gout is an inflammatory arthritis that occurs when there is a deposition of monosodium urate (msu) crystals in the joints and soft tissues that is caused by hyperuricemia. The disease progression of gouty arthritis (ga) is relatively clear, with the 4 stages of. Gouty Arthritis Esr.
From www.youtube.com
What is Gout Arthritis? and How to Cure? Doctor On Call 07/01/2019 Gouty Arthritis Esr Whereas gouty arthritis waxes and wanes, rheumatoid arthritis is. Joint arthrocentesis is the definitive diagnostic study for gouty arthritis. Gout is most common form of inflammatory joint disease in men >40yr. The disease progression of gouty arthritis (ga) is relatively clear, with the 4 stages of hyperuricemia (hua), acute gouty arthritis (aga),. Gout is an inflammatory arthritis that occurs when. Gouty Arthritis Esr.
From www.darya-varia.com
Understanding Gout Arthritis Gouty Arthritis Esr Recurrent flares of inflammatory arthritis (gout flare) a chronic arthropathy. The clinical manifestations of gout may include: Except during recurrent arthritis episodes, systemic inflammation may develop during the progression of gouty arthritis (ga). Gout is most common form of inflammatory joint disease in men >40yr. Gout in females usually occurs only after menopause. Whereas gouty arthritis waxes and wanes, rheumatoid. Gouty Arthritis Esr.
From radiologycases.my
Gouty arthritis Radiology Cases Gouty Arthritis Esr The disease progression of gouty arthritis (ga) is relatively clear, with the 4 stages of hyperuricemia (hua), acute gouty arthritis (aga),. Gout is most common form of inflammatory joint disease in men >40yr. In this study, siri showed a statistically significant positive correlation with esr and crp in patients with gouty arthritis. Whereas gouty arthritis waxes and wanes, rheumatoid arthritis. Gouty Arthritis Esr.
From radiologycases.my
Gouty arthritis Radiology Cases Gouty Arthritis Esr Recurrent flares of inflammatory arthritis (gout flare) a chronic arthropathy. Gout is an inflammatory arthritis that occurs when there is a deposition of monosodium urate (msu) crystals in the joints and soft tissues that is caused by hyperuricemia. The disease progression of gouty arthritis (ga) is relatively clear, with the 4 stages of hyperuricemia (hua), acute gouty arthritis (aga),. Whereas. Gouty Arthritis Esr.
From www.bol.com
Gouty Arthritis explained. Gout treatment, gouty arthritis diet Gouty Arthritis Esr The clinical manifestations of gout may include: Joint arthrocentesis is the definitive diagnostic study for gouty arthritis. In this study, siri showed a statistically significant positive correlation with esr and crp in patients with gouty arthritis. Gout in females usually occurs only after menopause. Gout is most common form of inflammatory joint disease in men >40yr. Whereas gouty arthritis waxes. Gouty Arthritis Esr.
From musculoskeletalkey.com
Clinical Syndromology of Gouty Arthritis Musculoskeletal Key Gouty Arthritis Esr Gout is an inflammatory arthritis that occurs when there is a deposition of monosodium urate (msu) crystals in the joints and soft tissues that is caused by hyperuricemia. Gout in females usually occurs only after menopause. Whereas gouty arthritis waxes and wanes, rheumatoid arthritis is. Except during recurrent arthritis episodes, systemic inflammation may develop during the progression of gouty arthritis. Gouty Arthritis Esr.
From www.slideshare.net
Pathophysiology and clinical management of gouty arthritis Gouty Arthritis Esr Recurrent flares of inflammatory arthritis (gout flare) a chronic arthropathy. Whereas gouty arthritis waxes and wanes, rheumatoid arthritis is. Gout is an inflammatory arthritis that occurs when there is a deposition of monosodium urate (msu) crystals in the joints and soft tissues that is caused by hyperuricemia. Joint arthrocentesis is the definitive diagnostic study for gouty arthritis. The disease progression. Gouty Arthritis Esr.
From radiopaedia.org
Gouty arthritis of the hands Image Gouty Arthritis Esr The disease progression of gouty arthritis (ga) is relatively clear, with the 4 stages of hyperuricemia (hua), acute gouty arthritis (aga),. Recurrent flares of inflammatory arthritis (gout flare) a chronic arthropathy. In this study, siri showed a statistically significant positive correlation with esr and crp in patients with gouty arthritis. Whereas gouty arthritis waxes and wanes, rheumatoid arthritis is. The. Gouty Arthritis Esr.
From medizzy.com
Gout arthritis MEDizzy Gouty Arthritis Esr Joint arthrocentesis is the definitive diagnostic study for gouty arthritis. In this study, siri showed a statistically significant positive correlation with esr and crp in patients with gouty arthritis. The disease progression of gouty arthritis (ga) is relatively clear, with the 4 stages of hyperuricemia (hua), acute gouty arthritis (aga),. Except during recurrent arthritis episodes, systemic inflammation may develop during. Gouty Arthritis Esr.
From www.alamy.com
Gouty arthritis . film xray of human foot and arthritis at first Gouty Arthritis Esr Gout is an inflammatory arthritis that occurs when there is a deposition of monosodium urate (msu) crystals in the joints and soft tissues that is caused by hyperuricemia. In this study, siri showed a statistically significant positive correlation with esr and crp in patients with gouty arthritis. Gout is most common form of inflammatory joint disease in men >40yr. Recurrent. Gouty Arthritis Esr.
From www.alamy.com
Gout is a type of arthritis where swelling and severe pain develops Gouty Arthritis Esr In this study, siri showed a statistically significant positive correlation with esr and crp in patients with gouty arthritis. Except during recurrent arthritis episodes, systemic inflammation may develop during the progression of gouty arthritis (ga). Whereas gouty arthritis waxes and wanes, rheumatoid arthritis is. Recurrent flares of inflammatory arthritis (gout flare) a chronic arthropathy. The clinical manifestations of gout may. Gouty Arthritis Esr.
From www.goldbamboo.com
Gout as related to Arthritis Pictures Gouty Arthritis Esr Gout is an inflammatory arthritis that occurs when there is a deposition of monosodium urate (msu) crystals in the joints and soft tissues that is caused by hyperuricemia. The clinical manifestations of gout may include: Except during recurrent arthritis episodes, systemic inflammation may develop during the progression of gouty arthritis (ga). In this study, siri showed a statistically significant positive. Gouty Arthritis Esr.
From universityhealthnews.com
What Is Arthritis? It Could Be Gout, Rheumatoid Arthritis, or Gouty Arthritis Esr Recurrent flares of inflammatory arthritis (gout flare) a chronic arthropathy. Gout in females usually occurs only after menopause. Except during recurrent arthritis episodes, systemic inflammation may develop during the progression of gouty arthritis (ga). Gout is most common form of inflammatory joint disease in men >40yr. Gout is an inflammatory arthritis that occurs when there is a deposition of monosodium. Gouty Arthritis Esr.
From radiopaedia.org
Gouty arthritis of the hands Image Gouty Arthritis Esr The disease progression of gouty arthritis (ga) is relatively clear, with the 4 stages of hyperuricemia (hua), acute gouty arthritis (aga),. Gout in females usually occurs only after menopause. Gout is an inflammatory arthritis that occurs when there is a deposition of monosodium urate (msu) crystals in the joints and soft tissues that is caused by hyperuricemia. Joint arthrocentesis is. Gouty Arthritis Esr.
From www.alamy.com
"Rheumatoid Arthritis , Gouty Arthritis" (Xray adult's hand with Stock Gouty Arthritis Esr Joint arthrocentesis is the definitive diagnostic study for gouty arthritis. Gout is most common form of inflammatory joint disease in men >40yr. Except during recurrent arthritis episodes, systemic inflammation may develop during the progression of gouty arthritis (ga). Recurrent flares of inflammatory arthritis (gout flare) a chronic arthropathy. The clinical manifestations of gout may include: Gout in females usually occurs. Gouty Arthritis Esr.
From www.alamy.com
Gout , Rheumatoid arthritis ( Film xray both foot and arthritis at Gouty Arthritis Esr Recurrent flares of inflammatory arthritis (gout flare) a chronic arthropathy. Whereas gouty arthritis waxes and wanes, rheumatoid arthritis is. Gout is an inflammatory arthritis that occurs when there is a deposition of monosodium urate (msu) crystals in the joints and soft tissues that is caused by hyperuricemia. Joint arthrocentesis is the definitive diagnostic study for gouty arthritis. Except during recurrent. Gouty Arthritis Esr.
From www.renalandurologynews.com
Management of Ankle Gout Arthritis by Arthroscopic Debridement and Drug Gouty Arthritis Esr The disease progression of gouty arthritis (ga) is relatively clear, with the 4 stages of hyperuricemia (hua), acute gouty arthritis (aga),. The clinical manifestations of gout may include: Gout is an inflammatory arthritis that occurs when there is a deposition of monosodium urate (msu) crystals in the joints and soft tissues that is caused by hyperuricemia. In this study, siri. Gouty Arthritis Esr.
From www.youtube.com
Gouty Arthritis Dr. Gary Sy YouTube Gouty Arthritis Esr Except during recurrent arthritis episodes, systemic inflammation may develop during the progression of gouty arthritis (ga). The clinical manifestations of gout may include: Recurrent flares of inflammatory arthritis (gout flare) a chronic arthropathy. Joint arthrocentesis is the definitive diagnostic study for gouty arthritis. Gout in females usually occurs only after menopause. The disease progression of gouty arthritis (ga) is relatively. Gouty Arthritis Esr.
From www.shifa4u.com
GOUT The Most Painful Form of Arthritis Gouty Arthritis Esr The disease progression of gouty arthritis (ga) is relatively clear, with the 4 stages of hyperuricemia (hua), acute gouty arthritis (aga),. Gout in females usually occurs only after menopause. Gout is most common form of inflammatory joint disease in men >40yr. Joint arthrocentesis is the definitive diagnostic study for gouty arthritis. Whereas gouty arthritis waxes and wanes, rheumatoid arthritis is.. Gouty Arthritis Esr.
From www.slideserve.com
PPT Clinical Approach to New Onset Arthritis PowerPoint Presentation Gouty Arthritis Esr Gout is most common form of inflammatory joint disease in men >40yr. Recurrent flares of inflammatory arthritis (gout flare) a chronic arthropathy. Whereas gouty arthritis waxes and wanes, rheumatoid arthritis is. The clinical manifestations of gout may include: The disease progression of gouty arthritis (ga) is relatively clear, with the 4 stages of hyperuricemia (hua), acute gouty arthritis (aga),. Except. Gouty Arthritis Esr.
From www.slideserve.com
PPT Crystalinduced Arthropathy Gout and Pseudogout PowerPoint Gouty Arthritis Esr The disease progression of gouty arthritis (ga) is relatively clear, with the 4 stages of hyperuricemia (hua), acute gouty arthritis (aga),. Joint arthrocentesis is the definitive diagnostic study for gouty arthritis. Gout in females usually occurs only after menopause. Recurrent flares of inflammatory arthritis (gout flare) a chronic arthropathy. Gout is most common form of inflammatory joint disease in men. Gouty Arthritis Esr.
From podiatry.org.cy
Gouty Arthritis (Gout) Cyprus Association of Registered Podiatrists Gouty Arthritis Esr Gout is an inflammatory arthritis that occurs when there is a deposition of monosodium urate (msu) crystals in the joints and soft tissues that is caused by hyperuricemia. Whereas gouty arthritis waxes and wanes, rheumatoid arthritis is. Gout in females usually occurs only after menopause. Joint arthrocentesis is the definitive diagnostic study for gouty arthritis. Gout is most common form. Gouty Arthritis Esr.