Thymic Mass Mri . Diffuse symmetric enlargement of the gland is the key morphologic feature of hyperplasia (neoplasm tends to manifest as a focal mass). Anterior mediastinal masses can be difficult to characterise on computed tomography (ct) due to the wide spectrum of normal appearances of thymic tissue as well as the challenge of differentiating between benign and malignant pathologies. Thymic mri adds diagnostic specificity to the evaluation of thymic lesions, by providing more definitive tissue characterization and, sometimes, by suggesting a previously. Chemical shift mr imaging is helpful in differentiating between a thymic mass and hyperplasia. Chemical shift mri helps distinguishing benign from malignant thymic lesions. Discover how this imaging technique provides valuable insights into the. Learn about thymus mri, including its protocol, planning, and indications. Technical issues regarding the performance of high quality mediastinal mri will be covered.
from www.researchgate.net
Technical issues regarding the performance of high quality mediastinal mri will be covered. Thymic mri adds diagnostic specificity to the evaluation of thymic lesions, by providing more definitive tissue characterization and, sometimes, by suggesting a previously. Discover how this imaging technique provides valuable insights into the. Diffuse symmetric enlargement of the gland is the key morphologic feature of hyperplasia (neoplasm tends to manifest as a focal mass). Chemical shift mri helps distinguishing benign from malignant thymic lesions. Anterior mediastinal masses can be difficult to characterise on computed tomography (ct) due to the wide spectrum of normal appearances of thymic tissue as well as the challenge of differentiating between benign and malignant pathologies. Chemical shift mr imaging is helpful in differentiating between a thymic mass and hyperplasia. Learn about thymus mri, including its protocol, planning, and indications.
Thymic tissue in the mediastinum (a) Normal homogenous thymic tissue
Thymic Mass Mri Chemical shift mri helps distinguishing benign from malignant thymic lesions. Anterior mediastinal masses can be difficult to characterise on computed tomography (ct) due to the wide spectrum of normal appearances of thymic tissue as well as the challenge of differentiating between benign and malignant pathologies. Thymic mri adds diagnostic specificity to the evaluation of thymic lesions, by providing more definitive tissue characterization and, sometimes, by suggesting a previously. Learn about thymus mri, including its protocol, planning, and indications. Diffuse symmetric enlargement of the gland is the key morphologic feature of hyperplasia (neoplasm tends to manifest as a focal mass). Chemical shift mr imaging is helpful in differentiating between a thymic mass and hyperplasia. Technical issues regarding the performance of high quality mediastinal mri will be covered. Discover how this imaging technique provides valuable insights into the. Chemical shift mri helps distinguishing benign from malignant thymic lesions.
From pubs.rsna.org
The Thymus A Comprehensive Review RadioGraphics Thymic Mass Mri Technical issues regarding the performance of high quality mediastinal mri will be covered. Diffuse symmetric enlargement of the gland is the key morphologic feature of hyperplasia (neoplasm tends to manifest as a focal mass). Chemical shift mri helps distinguishing benign from malignant thymic lesions. Thymic mri adds diagnostic specificity to the evaluation of thymic lesions, by providing more definitive tissue. Thymic Mass Mri.
From www.eurorad.org
Malignant thymoma (thymic carcinoma) Eurorad Thymic Mass Mri Discover how this imaging technique provides valuable insights into the. Learn about thymus mri, including its protocol, planning, and indications. Diffuse symmetric enlargement of the gland is the key morphologic feature of hyperplasia (neoplasm tends to manifest as a focal mass). Chemical shift mri helps distinguishing benign from malignant thymic lesions. Technical issues regarding the performance of high quality mediastinal. Thymic Mass Mri.
From www.frontiersin.org
Frontiers Imaging Evaluation of Thymoma and Thymic Carcinoma Thymic Mass Mri Discover how this imaging technique provides valuable insights into the. Diffuse symmetric enlargement of the gland is the key morphologic feature of hyperplasia (neoplasm tends to manifest as a focal mass). Chemical shift mri helps distinguishing benign from malignant thymic lesions. Chemical shift mr imaging is helpful in differentiating between a thymic mass and hyperplasia. Technical issues regarding the performance. Thymic Mass Mri.
From www.semanticscholar.org
Figure 2 from Chemicalshift MRI of rebound thymic hyperplasia with Thymic Mass Mri Anterior mediastinal masses can be difficult to characterise on computed tomography (ct) due to the wide spectrum of normal appearances of thymic tissue as well as the challenge of differentiating between benign and malignant pathologies. Thymic mri adds diagnostic specificity to the evaluation of thymic lesions, by providing more definitive tissue characterization and, sometimes, by suggesting a previously. Chemical shift. Thymic Mass Mri.
From www.cureus.com
Progressive Thymic Hyperplasia With Graves’ Disease A Case Report Cureus Thymic Mass Mri Technical issues regarding the performance of high quality mediastinal mri will be covered. Diffuse symmetric enlargement of the gland is the key morphologic feature of hyperplasia (neoplasm tends to manifest as a focal mass). Anterior mediastinal masses can be difficult to characterise on computed tomography (ct) due to the wide spectrum of normal appearances of thymic tissue as well as. Thymic Mass Mri.
From www.frontiersin.org
Frontiers Imaging Evaluation of Thymoma and Thymic Carcinoma Thymic Mass Mri Discover how this imaging technique provides valuable insights into the. Thymic mri adds diagnostic specificity to the evaluation of thymic lesions, by providing more definitive tissue characterization and, sometimes, by suggesting a previously. Learn about thymus mri, including its protocol, planning, and indications. Chemical shift mr imaging is helpful in differentiating between a thymic mass and hyperplasia. Chemical shift mri. Thymic Mass Mri.
From www.reddit.com
Thymic hyperplasia (blue arrows) on CT and chemical shift MRI r/Radiology Thymic Mass Mri Technical issues regarding the performance of high quality mediastinal mri will be covered. Anterior mediastinal masses can be difficult to characterise on computed tomography (ct) due to the wide spectrum of normal appearances of thymic tissue as well as the challenge of differentiating between benign and malignant pathologies. Discover how this imaging technique provides valuable insights into the. Learn about. Thymic Mass Mri.
From www.frontiersin.org
Frontiers Imaging Evaluation of Thymoma and Thymic Carcinoma Thymic Mass Mri Diffuse symmetric enlargement of the gland is the key morphologic feature of hyperplasia (neoplasm tends to manifest as a focal mass). Thymic mri adds diagnostic specificity to the evaluation of thymic lesions, by providing more definitive tissue characterization and, sometimes, by suggesting a previously. Discover how this imaging technique provides valuable insights into the. Chemical shift mri helps distinguishing benign. Thymic Mass Mri.
From jcp.bmj.com
A case of rapidly enlarging unilocular thymic cyst Journal of Thymic Mass Mri Technical issues regarding the performance of high quality mediastinal mri will be covered. Learn about thymus mri, including its protocol, planning, and indications. Chemical shift mr imaging is helpful in differentiating between a thymic mass and hyperplasia. Diffuse symmetric enlargement of the gland is the key morphologic feature of hyperplasia (neoplasm tends to manifest as a focal mass). Discover how. Thymic Mass Mri.
From www.researchgate.net
67 year old man with right thymic cyst. (A) Contrastenhanced CT Thymic Mass Mri Learn about thymus mri, including its protocol, planning, and indications. Chemical shift mr imaging is helpful in differentiating between a thymic mass and hyperplasia. Anterior mediastinal masses can be difficult to characterise on computed tomography (ct) due to the wide spectrum of normal appearances of thymic tissue as well as the challenge of differentiating between benign and malignant pathologies. Technical. Thymic Mass Mri.
From www.researchgate.net
Thymic basaloid carcinoma associated with a multilocular thymic cyst in Thymic Mass Mri Diffuse symmetric enlargement of the gland is the key morphologic feature of hyperplasia (neoplasm tends to manifest as a focal mass). Discover how this imaging technique provides valuable insights into the. Chemical shift mr imaging is helpful in differentiating between a thymic mass and hyperplasia. Anterior mediastinal masses can be difficult to characterise on computed tomography (ct) due to the. Thymic Mass Mri.
From www.mdpi.com
Cancers Free FullText Advancement in Diagnostic Imaging of Thymic Thymic Mass Mri Discover how this imaging technique provides valuable insights into the. Diffuse symmetric enlargement of the gland is the key morphologic feature of hyperplasia (neoplasm tends to manifest as a focal mass). Chemical shift mri helps distinguishing benign from malignant thymic lesions. Anterior mediastinal masses can be difficult to characterise on computed tomography (ct) due to the wide spectrum of normal. Thymic Mass Mri.
From www.spandidos-publications.com
Primary thymic atypical carcinoid with rare multiple bone metastasis A Thymic Mass Mri Discover how this imaging technique provides valuable insights into the. Learn about thymus mri, including its protocol, planning, and indications. Technical issues regarding the performance of high quality mediastinal mri will be covered. Thymic mri adds diagnostic specificity to the evaluation of thymic lesions, by providing more definitive tissue characterization and, sometimes, by suggesting a previously. Chemical shift mri helps. Thymic Mass Mri.
From pubs.rsna.org
The Thymus A Comprehensive Review RadioGraphics Thymic Mass Mri Learn about thymus mri, including its protocol, planning, and indications. Thymic mri adds diagnostic specificity to the evaluation of thymic lesions, by providing more definitive tissue characterization and, sometimes, by suggesting a previously. Technical issues regarding the performance of high quality mediastinal mri will be covered. Chemical shift mr imaging is helpful in differentiating between a thymic mass and hyperplasia.. Thymic Mass Mri.
From pubs.rsna.org
Longitudinal CT and MRI Characteristics of Unilocular Thymic Cysts Thymic Mass Mri Chemical shift mr imaging is helpful in differentiating between a thymic mass and hyperplasia. Technical issues regarding the performance of high quality mediastinal mri will be covered. Thymic mri adds diagnostic specificity to the evaluation of thymic lesions, by providing more definitive tissue characterization and, sometimes, by suggesting a previously. Discover how this imaging technique provides valuable insights into the.. Thymic Mass Mri.
From www.ajronline.org
MRI of the Thymus AJR Thymic Mass Mri Chemical shift mr imaging is helpful in differentiating between a thymic mass and hyperplasia. Discover how this imaging technique provides valuable insights into the. Learn about thymus mri, including its protocol, planning, and indications. Technical issues regarding the performance of high quality mediastinal mri will be covered. Chemical shift mri helps distinguishing benign from malignant thymic lesions. Thymic mri adds. Thymic Mass Mri.
From www.researchgate.net
Microscopic images of thymic hyperplasia great lymphoid follicles ((a Thymic Mass Mri Anterior mediastinal masses can be difficult to characterise on computed tomography (ct) due to the wide spectrum of normal appearances of thymic tissue as well as the challenge of differentiating between benign and malignant pathologies. Learn about thymus mri, including its protocol, planning, and indications. Thymic mri adds diagnostic specificity to the evaluation of thymic lesions, by providing more definitive. Thymic Mass Mri.
From www.researchgate.net
A 64yearold man with thymic cyst. (A) CT plain scan showed a Thymic Mass Mri Learn about thymus mri, including its protocol, planning, and indications. Thymic mri adds diagnostic specificity to the evaluation of thymic lesions, by providing more definitive tissue characterization and, sometimes, by suggesting a previously. Technical issues regarding the performance of high quality mediastinal mri will be covered. Chemical shift mr imaging is helpful in differentiating between a thymic mass and hyperplasia.. Thymic Mass Mri.
From pubs.rsna.org
The Thymus A Comprehensive Review RadioGraphics Thymic Mass Mri Learn about thymus mri, including its protocol, planning, and indications. Anterior mediastinal masses can be difficult to characterise on computed tomography (ct) due to the wide spectrum of normal appearances of thymic tissue as well as the challenge of differentiating between benign and malignant pathologies. Chemical shift mr imaging is helpful in differentiating between a thymic mass and hyperplasia. Discover. Thymic Mass Mri.
From file.scirp.org
Multilocular Thymic Cysts with Follicular Hyperplasia Report of a Case Thymic Mass Mri Chemical shift mr imaging is helpful in differentiating between a thymic mass and hyperplasia. Chemical shift mri helps distinguishing benign from malignant thymic lesions. Discover how this imaging technique provides valuable insights into the. Thymic mri adds diagnostic specificity to the evaluation of thymic lesions, by providing more definitive tissue characterization and, sometimes, by suggesting a previously. Technical issues regarding. Thymic Mass Mri.
From www.ajronline.org
MRI of the Thymus AJR Thymic Mass Mri Anterior mediastinal masses can be difficult to characterise on computed tomography (ct) due to the wide spectrum of normal appearances of thymic tissue as well as the challenge of differentiating between benign and malignant pathologies. Chemical shift mri helps distinguishing benign from malignant thymic lesions. Discover how this imaging technique provides valuable insights into the. Chemical shift mr imaging is. Thymic Mass Mri.
From pubs.rsna.org
Diffusionweighted MR Imaging in Thymic Epithelial Tumors Correlation Thymic Mass Mri Anterior mediastinal masses can be difficult to characterise on computed tomography (ct) due to the wide spectrum of normal appearances of thymic tissue as well as the challenge of differentiating between benign and malignant pathologies. Thymic mri adds diagnostic specificity to the evaluation of thymic lesions, by providing more definitive tissue characterization and, sometimes, by suggesting a previously. Discover how. Thymic Mass Mri.
From www.researchgate.net
Thymic tissue in the mediastinum (a) Normal homogenous thymic tissue Thymic Mass Mri Chemical shift mri helps distinguishing benign from malignant thymic lesions. Discover how this imaging technique provides valuable insights into the. Chemical shift mr imaging is helpful in differentiating between a thymic mass and hyperplasia. Learn about thymus mri, including its protocol, planning, and indications. Diffuse symmetric enlargement of the gland is the key morphologic feature of hyperplasia (neoplasm tends to. Thymic Mass Mri.
From radiologykey.com
Mediastinal Masses Radiology Key Thymic Mass Mri Thymic mri adds diagnostic specificity to the evaluation of thymic lesions, by providing more definitive tissue characterization and, sometimes, by suggesting a previously. Technical issues regarding the performance of high quality mediastinal mri will be covered. Anterior mediastinal masses can be difficult to characterise on computed tomography (ct) due to the wide spectrum of normal appearances of thymic tissue as. Thymic Mass Mri.
From www.frontiersin.org
Frontiers Imaging Evaluation of Thymoma and Thymic Carcinoma Thymic Mass Mri Anterior mediastinal masses can be difficult to characterise on computed tomography (ct) due to the wide spectrum of normal appearances of thymic tissue as well as the challenge of differentiating between benign and malignant pathologies. Thymic mri adds diagnostic specificity to the evaluation of thymic lesions, by providing more definitive tissue characterization and, sometimes, by suggesting a previously. Technical issues. Thymic Mass Mri.
From www.frontiersin.org
Frontiers Case Report Multidisciplinary Approach for a Rare Case of Thymic Mass Mri Chemical shift mr imaging is helpful in differentiating between a thymic mass and hyperplasia. Diffuse symmetric enlargement of the gland is the key morphologic feature of hyperplasia (neoplasm tends to manifest as a focal mass). Learn about thymus mri, including its protocol, planning, and indications. Thymic mri adds diagnostic specificity to the evaluation of thymic lesions, by providing more definitive. Thymic Mass Mri.
From www.reddit.com
Thymic hyperplasia (blue arrows) on CT and chemical shift MRI r/Radiology Thymic Mass Mri Chemical shift mri helps distinguishing benign from malignant thymic lesions. Thymic mri adds diagnostic specificity to the evaluation of thymic lesions, by providing more definitive tissue characterization and, sometimes, by suggesting a previously. Diffuse symmetric enlargement of the gland is the key morphologic feature of hyperplasia (neoplasm tends to manifest as a focal mass). Chemical shift mr imaging is helpful. Thymic Mass Mri.
From www.researchgate.net
Multilocular thymic cyst with follicular hyperplasia in a 47 yearold Thymic Mass Mri Thymic mri adds diagnostic specificity to the evaluation of thymic lesions, by providing more definitive tissue characterization and, sometimes, by suggesting a previously. Chemical shift mr imaging is helpful in differentiating between a thymic mass and hyperplasia. Discover how this imaging technique provides valuable insights into the. Anterior mediastinal masses can be difficult to characterise on computed tomography (ct) due. Thymic Mass Mri.
From pubs.rsna.org
Longitudinal CT and MRI Characteristics of Unilocular Thymic Cysts Thymic Mass Mri Learn about thymus mri, including its protocol, planning, and indications. Anterior mediastinal masses can be difficult to characterise on computed tomography (ct) due to the wide spectrum of normal appearances of thymic tissue as well as the challenge of differentiating between benign and malignant pathologies. Diffuse symmetric enlargement of the gland is the key morphologic feature of hyperplasia (neoplasm tends. Thymic Mass Mri.
From www.researchgate.net
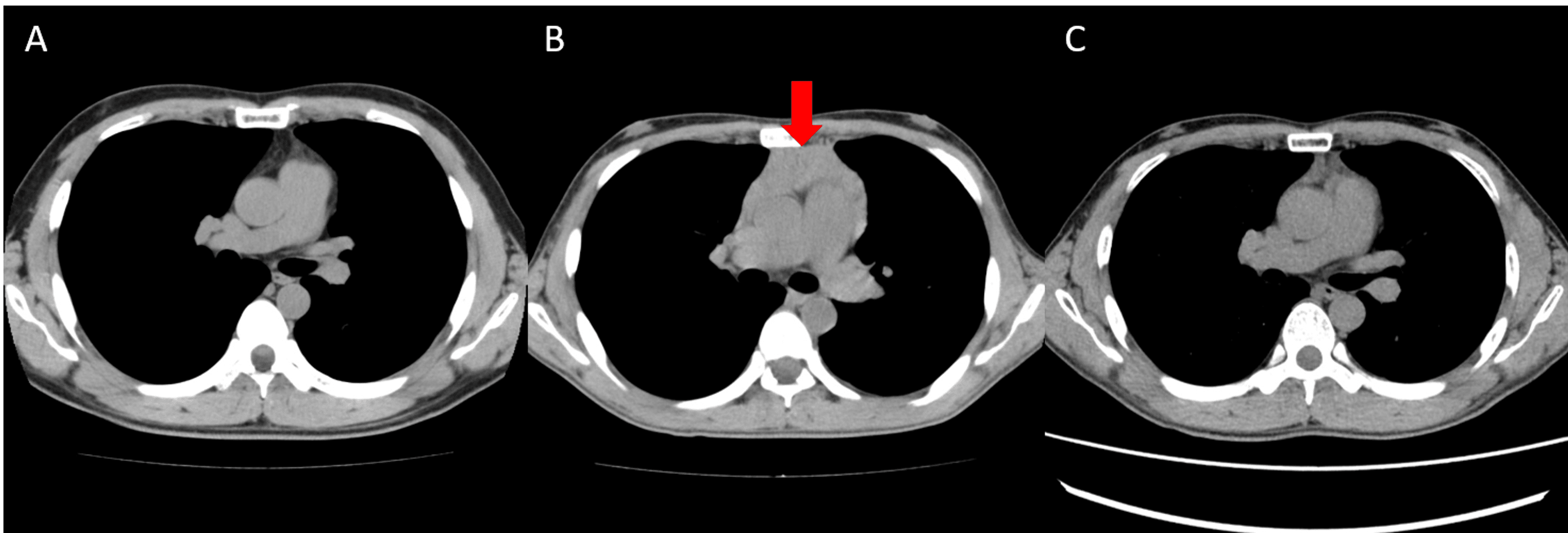
Thymic mass Computed tomography of the chest showing anterior Thymic Mass Mri Thymic mri adds diagnostic specificity to the evaluation of thymic lesions, by providing more definitive tissue characterization and, sometimes, by suggesting a previously. Technical issues regarding the performance of high quality mediastinal mri will be covered. Discover how this imaging technique provides valuable insights into the. Anterior mediastinal masses can be difficult to characterise on computed tomography (ct) due to. Thymic Mass Mri.
From www.cureus.com
Cureus Huge Mediastinal Thymic Cyst in the Elderly Patient Thymic Mass Mri Diffuse symmetric enlargement of the gland is the key morphologic feature of hyperplasia (neoplasm tends to manifest as a focal mass). Learn about thymus mri, including its protocol, planning, and indications. Thymic mri adds diagnostic specificity to the evaluation of thymic lesions, by providing more definitive tissue characterization and, sometimes, by suggesting a previously. Chemical shift mr imaging is helpful. Thymic Mass Mri.
From www.ajronline.org
MRI of the Thymus AJR Thymic Mass Mri Chemical shift mr imaging is helpful in differentiating between a thymic mass and hyperplasia. Technical issues regarding the performance of high quality mediastinal mri will be covered. Learn about thymus mri, including its protocol, planning, and indications. Diffuse symmetric enlargement of the gland is the key morphologic feature of hyperplasia (neoplasm tends to manifest as a focal mass). Anterior mediastinal. Thymic Mass Mri.
From www.frontiersin.org
Frontiers Imaging Evaluation of Thymoma and Thymic Carcinoma Thymic Mass Mri Anterior mediastinal masses can be difficult to characterise on computed tomography (ct) due to the wide spectrum of normal appearances of thymic tissue as well as the challenge of differentiating between benign and malignant pathologies. Discover how this imaging technique provides valuable insights into the. Chemical shift mr imaging is helpful in differentiating between a thymic mass and hyperplasia. Chemical. Thymic Mass Mri.
From www.frontiersin.org
Frontiers Imaging Evaluation of Thymoma and Thymic Carcinoma Thymic Mass Mri Thymic mri adds diagnostic specificity to the evaluation of thymic lesions, by providing more definitive tissue characterization and, sometimes, by suggesting a previously. Discover how this imaging technique provides valuable insights into the. Technical issues regarding the performance of high quality mediastinal mri will be covered. Anterior mediastinal masses can be difficult to characterise on computed tomography (ct) due to. Thymic Mass Mri.
From www.cureus.com
Cureus Solid Ectopic Cervical Thymus A Case Report Thymic Mass Mri Chemical shift mri helps distinguishing benign from malignant thymic lesions. Diffuse symmetric enlargement of the gland is the key morphologic feature of hyperplasia (neoplasm tends to manifest as a focal mass). Chemical shift mr imaging is helpful in differentiating between a thymic mass and hyperplasia. Learn about thymus mri, including its protocol, planning, and indications. Discover how this imaging technique. Thymic Mass Mri.