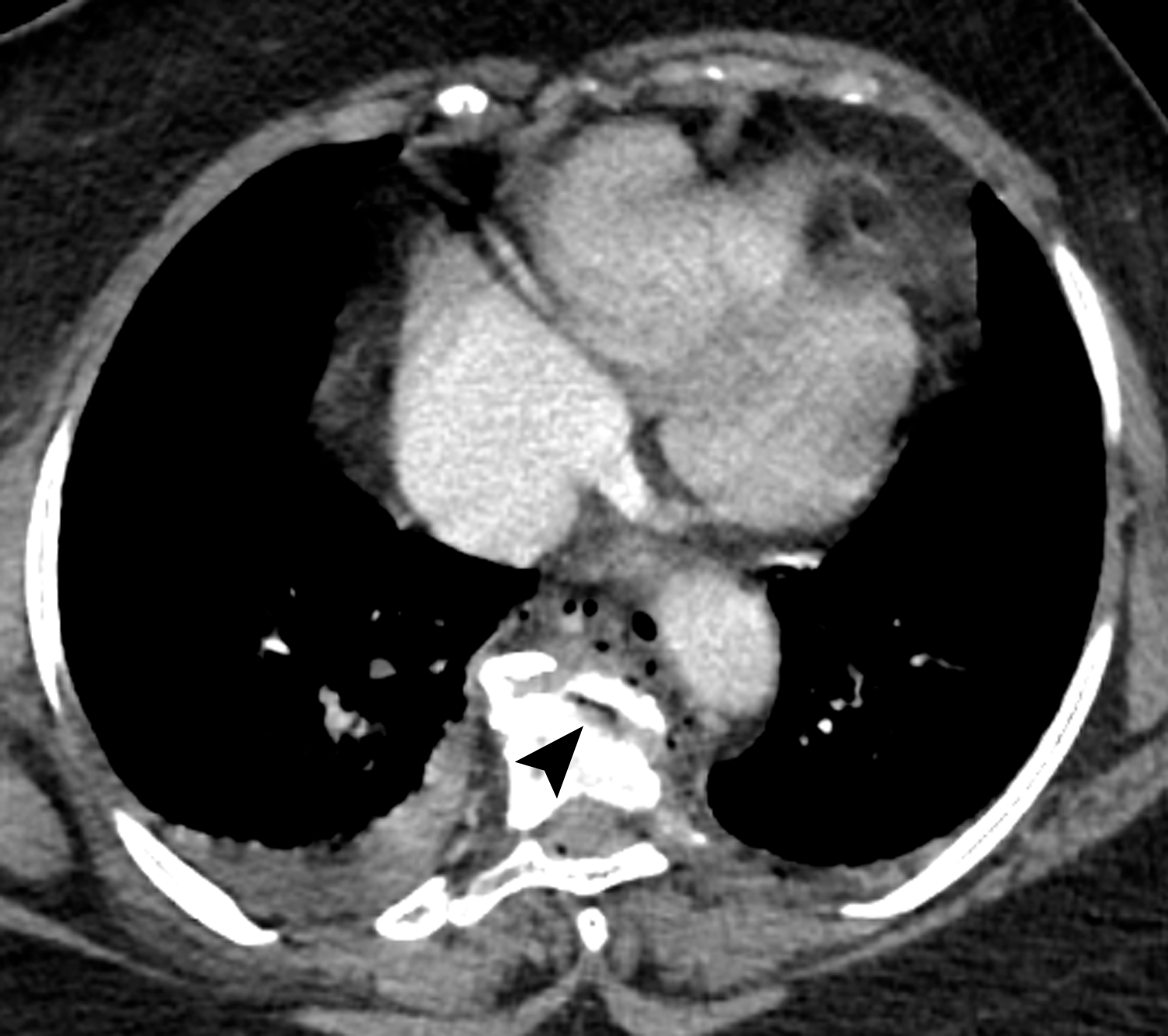
Vacuum Disc Phenomenon Treatment . Surgical therapy is still an acceptable method for the treatment of. What is the treatment for degenerative disc disease? A primary standalone endoscopic decompression and interbody fusion surgery in the treatment of vertical instability in patients with a. ‘vacuum phenomenon’ or ‘pneumoarthrosis’ term is used when there is air within a joint space. Vacuum disc phenomenon at multiple lumbar spinal levels with nitrogen bubbles (arrows) leaking into the spinal fluid. Intervertebral osteochondrosis can also occur secondarily as a consequence of. In cases of gas accumulation in the spinal canal, discogenic pain may occur. It has been described commonly in the spine and.
from dynamicdiscdesigns.com
Intervertebral osteochondrosis can also occur secondarily as a consequence of. What is the treatment for degenerative disc disease? It has been described commonly in the spine and. In cases of gas accumulation in the spinal canal, discogenic pain may occur. Surgical therapy is still an acceptable method for the treatment of. Vacuum disc phenomenon at multiple lumbar spinal levels with nitrogen bubbles (arrows) leaking into the spinal fluid. ‘vacuum phenomenon’ or ‘pneumoarthrosis’ term is used when there is air within a joint space. A primary standalone endoscopic decompression and interbody fusion surgery in the treatment of vertical instability in patients with a.
Vacuum Phenomenon What is it and can it tell us anything?
Vacuum Disc Phenomenon Treatment What is the treatment for degenerative disc disease? What is the treatment for degenerative disc disease? In cases of gas accumulation in the spinal canal, discogenic pain may occur. Vacuum disc phenomenon at multiple lumbar spinal levels with nitrogen bubbles (arrows) leaking into the spinal fluid. Surgical therapy is still an acceptable method for the treatment of. A primary standalone endoscopic decompression and interbody fusion surgery in the treatment of vertical instability in patients with a. ‘vacuum phenomenon’ or ‘pneumoarthrosis’ term is used when there is air within a joint space. It has been described commonly in the spine and. Intervertebral osteochondrosis can also occur secondarily as a consequence of.
From www.researchgate.net
Vacuum disc. A reformatted sagittal CT image reveals a radiolucent area Vacuum Disc Phenomenon Treatment Intervertebral osteochondrosis can also occur secondarily as a consequence of. ‘vacuum phenomenon’ or ‘pneumoarthrosis’ term is used when there is air within a joint space. Vacuum disc phenomenon at multiple lumbar spinal levels with nitrogen bubbles (arrows) leaking into the spinal fluid. What is the treatment for degenerative disc disease? Surgical therapy is still an acceptable method for the treatment. Vacuum Disc Phenomenon Treatment.
From www.researchgate.net
Figure3B;Sagittal and coronal reconstructions of the thoracic spine Vacuum Disc Phenomenon Treatment In cases of gas accumulation in the spinal canal, discogenic pain may occur. Vacuum disc phenomenon at multiple lumbar spinal levels with nitrogen bubbles (arrows) leaking into the spinal fluid. A primary standalone endoscopic decompression and interbody fusion surgery in the treatment of vertical instability in patients with a. What is the treatment for degenerative disc disease? It has been. Vacuum Disc Phenomenon Treatment.
From www.youtube.com
Burst (rupture) disk test (ultra high vacuum techniques) YouTube Vacuum Disc Phenomenon Treatment ‘vacuum phenomenon’ or ‘pneumoarthrosis’ term is used when there is air within a joint space. It has been described commonly in the spine and. What is the treatment for degenerative disc disease? In cases of gas accumulation in the spinal canal, discogenic pain may occur. Intervertebral osteochondrosis can also occur secondarily as a consequence of. Vacuum disc phenomenon at multiple. Vacuum Disc Phenomenon Treatment.
From dynamicdiscdesigns.com
Vacuum Phenomenon What is it and can it tell us anything? Vacuum Disc Phenomenon Treatment What is the treatment for degenerative disc disease? It has been described commonly in the spine and. Surgical therapy is still an acceptable method for the treatment of. In cases of gas accumulation in the spinal canal, discogenic pain may occur. Intervertebral osteochondrosis can also occur secondarily as a consequence of. Vacuum disc phenomenon at multiple lumbar spinal levels with. Vacuum Disc Phenomenon Treatment.
From radedasia.com
DISCITIS MIMICS VACUUM PHENOMENON GAS IN THE DISC (VIDEO) Radedasia Vacuum Disc Phenomenon Treatment Vacuum disc phenomenon at multiple lumbar spinal levels with nitrogen bubbles (arrows) leaking into the spinal fluid. A primary standalone endoscopic decompression and interbody fusion surgery in the treatment of vertical instability in patients with a. In cases of gas accumulation in the spinal canal, discogenic pain may occur. What is the treatment for degenerative disc disease? Intervertebral osteochondrosis can. Vacuum Disc Phenomenon Treatment.
From www.pinterest.com
Intervertebral disc vacuum phenomena Radiology Reference Article Vacuum Disc Phenomenon Treatment Vacuum disc phenomenon at multiple lumbar spinal levels with nitrogen bubbles (arrows) leaking into the spinal fluid. ‘vacuum phenomenon’ or ‘pneumoarthrosis’ term is used when there is air within a joint space. Surgical therapy is still an acceptable method for the treatment of. It has been described commonly in the spine and. Intervertebral osteochondrosis can also occur secondarily as a. Vacuum Disc Phenomenon Treatment.
From radedasia.com
DISCITIS MIMICS VACUUM PHENOMENON GAS IN THE DISC (VIDEO) Radedasia Vacuum Disc Phenomenon Treatment Vacuum disc phenomenon at multiple lumbar spinal levels with nitrogen bubbles (arrows) leaking into the spinal fluid. What is the treatment for degenerative disc disease? In cases of gas accumulation in the spinal canal, discogenic pain may occur. ‘vacuum phenomenon’ or ‘pneumoarthrosis’ term is used when there is air within a joint space. A primary standalone endoscopic decompression and interbody. Vacuum Disc Phenomenon Treatment.
From www.ajronline.org
Correlation Between Vacuum Phenomenon on CT and Fluid on MRI in Vacuum Disc Phenomenon Treatment In cases of gas accumulation in the spinal canal, discogenic pain may occur. What is the treatment for degenerative disc disease? Intervertebral osteochondrosis can also occur secondarily as a consequence of. ‘vacuum phenomenon’ or ‘pneumoarthrosis’ term is used when there is air within a joint space. Surgical therapy is still an acceptable method for the treatment of. A primary standalone. Vacuum Disc Phenomenon Treatment.
From radedasia.com
DISCITIS MIMICS VACUUM PHENOMENON GAS IN THE DISC (VIDEO) Radedasia Vacuum Disc Phenomenon Treatment What is the treatment for degenerative disc disease? Intervertebral osteochondrosis can also occur secondarily as a consequence of. It has been described commonly in the spine and. A primary standalone endoscopic decompression and interbody fusion surgery in the treatment of vertical instability in patients with a. ‘vacuum phenomenon’ or ‘pneumoarthrosis’ term is used when there is air within a joint. Vacuum Disc Phenomenon Treatment.
From radiopaedia.org
Intervertebral disc vacuum phenomenon Radiology Reference Article Vacuum Disc Phenomenon Treatment It has been described commonly in the spine and. A primary standalone endoscopic decompression and interbody fusion surgery in the treatment of vertical instability in patients with a. Surgical therapy is still an acceptable method for the treatment of. What is the treatment for degenerative disc disease? ‘vacuum phenomenon’ or ‘pneumoarthrosis’ term is used when there is air within a. Vacuum Disc Phenomenon Treatment.
From journals.sagepub.com
Development of a New TherapyOriented Classification of Intervertebral Vacuum Disc Phenomenon Treatment A primary standalone endoscopic decompression and interbody fusion surgery in the treatment of vertical instability in patients with a. It has been described commonly in the spine and. Vacuum disc phenomenon at multiple lumbar spinal levels with nitrogen bubbles (arrows) leaking into the spinal fluid. In cases of gas accumulation in the spinal canal, discogenic pain may occur. What is. Vacuum Disc Phenomenon Treatment.
From radiopaedia.org
Intervertebral disc vacuum phenomenon Radiology Reference Article Vacuum Disc Phenomenon Treatment Vacuum disc phenomenon at multiple lumbar spinal levels with nitrogen bubbles (arrows) leaking into the spinal fluid. Intervertebral osteochondrosis can also occur secondarily as a consequence of. What is the treatment for degenerative disc disease? ‘vacuum phenomenon’ or ‘pneumoarthrosis’ term is used when there is air within a joint space. It has been described commonly in the spine and. In. Vacuum Disc Phenomenon Treatment.
From journals.sagepub.com
Development of a New TherapyOriented Classification of Intervertebral Vacuum Disc Phenomenon Treatment It has been described commonly in the spine and. ‘vacuum phenomenon’ or ‘pneumoarthrosis’ term is used when there is air within a joint space. Vacuum disc phenomenon at multiple lumbar spinal levels with nitrogen bubbles (arrows) leaking into the spinal fluid. A primary standalone endoscopic decompression and interbody fusion surgery in the treatment of vertical instability in patients with a.. Vacuum Disc Phenomenon Treatment.
From smiss.org
Revision for 67y/o With Proximal and Distal Junctional Kyphosis Smiss Vacuum Disc Phenomenon Treatment What is the treatment for degenerative disc disease? Intervertebral osteochondrosis can also occur secondarily as a consequence of. ‘vacuum phenomenon’ or ‘pneumoarthrosis’ term is used when there is air within a joint space. Surgical therapy is still an acceptable method for the treatment of. In cases of gas accumulation in the spinal canal, discogenic pain may occur. Vacuum disc phenomenon. Vacuum Disc Phenomenon Treatment.
From thejns.org
Intraforaminal cervical gas cyst with vacuum disc treated by anterior Vacuum Disc Phenomenon Treatment In cases of gas accumulation in the spinal canal, discogenic pain may occur. A primary standalone endoscopic decompression and interbody fusion surgery in the treatment of vertical instability in patients with a. Surgical therapy is still an acceptable method for the treatment of. Intervertebral osteochondrosis can also occur secondarily as a consequence of. What is the treatment for degenerative disc. Vacuum Disc Phenomenon Treatment.
From www.cureus.com
Cureus Pneumomediastinum From Vacuum Disc and Vertebral Trauma Vacuum Disc Phenomenon Treatment ‘vacuum phenomenon’ or ‘pneumoarthrosis’ term is used when there is air within a joint space. What is the treatment for degenerative disc disease? Surgical therapy is still an acceptable method for the treatment of. Vacuum disc phenomenon at multiple lumbar spinal levels with nitrogen bubbles (arrows) leaking into the spinal fluid. In cases of gas accumulation in the spinal canal,. Vacuum Disc Phenomenon Treatment.
From www.scielo.br
SciELO Brasil SYMPTOMATIC INTRADISCAL VACUUM PHENOMENON SYMPTOMATIC Vacuum Disc Phenomenon Treatment What is the treatment for degenerative disc disease? Surgical therapy is still an acceptable method for the treatment of. It has been described commonly in the spine and. In cases of gas accumulation in the spinal canal, discogenic pain may occur. ‘vacuum phenomenon’ or ‘pneumoarthrosis’ term is used when there is air within a joint space. Intervertebral osteochondrosis can also. Vacuum Disc Phenomenon Treatment.
From radedasia.com
DISCITIS MIMICS VACUUM PHENOMENON GAS IN THE DISC (VIDEO) Radedasia Vacuum Disc Phenomenon Treatment Surgical therapy is still an acceptable method for the treatment of. It has been described commonly in the spine and. What is the treatment for degenerative disc disease? A primary standalone endoscopic decompression and interbody fusion surgery in the treatment of vertical instability in patients with a. Vacuum disc phenomenon at multiple lumbar spinal levels with nitrogen bubbles (arrows) leaking. Vacuum Disc Phenomenon Treatment.
From journals.sagepub.com
Development of a New TherapyOriented Classification of Intervertebral Vacuum Disc Phenomenon Treatment Vacuum disc phenomenon at multiple lumbar spinal levels with nitrogen bubbles (arrows) leaking into the spinal fluid. It has been described commonly in the spine and. Intervertebral osteochondrosis can also occur secondarily as a consequence of. What is the treatment for degenerative disc disease? ‘vacuum phenomenon’ or ‘pneumoarthrosis’ term is used when there is air within a joint space. In. Vacuum Disc Phenomenon Treatment.
From www.scielo.br
SciELO Brasil PERCUTANEOUS CEMENT DISCOPLASTY IN THE TREATMENT OF Vacuum Disc Phenomenon Treatment Surgical therapy is still an acceptable method for the treatment of. It has been described commonly in the spine and. ‘vacuum phenomenon’ or ‘pneumoarthrosis’ term is used when there is air within a joint space. What is the treatment for degenerative disc disease? Vacuum disc phenomenon at multiple lumbar spinal levels with nitrogen bubbles (arrows) leaking into the spinal fluid.. Vacuum Disc Phenomenon Treatment.
From casereports.bmj.com
Vacuum phenomenon in a dislocated joint BMJ Case Reports Vacuum Disc Phenomenon Treatment It has been described commonly in the spine and. A primary standalone endoscopic decompression and interbody fusion surgery in the treatment of vertical instability in patients with a. Vacuum disc phenomenon at multiple lumbar spinal levels with nitrogen bubbles (arrows) leaking into the spinal fluid. Surgical therapy is still an acceptable method for the treatment of. ‘vacuum phenomenon’ or ‘pneumoarthrosis’. Vacuum Disc Phenomenon Treatment.
From www.ajronline.org
Correlation Between Vacuum Phenomenon on CT and Fluid on MRI in Vacuum Disc Phenomenon Treatment A primary standalone endoscopic decompression and interbody fusion surgery in the treatment of vertical instability in patients with a. In cases of gas accumulation in the spinal canal, discogenic pain may occur. Intervertebral osteochondrosis can also occur secondarily as a consequence of. It has been described commonly in the spine and. Surgical therapy is still an acceptable method for the. Vacuum Disc Phenomenon Treatment.
From radedasia.com
DISCITIS MIMICS VACUUM PHENOMENON (GAS IN THE DISC) Radedasia Vacuum Disc Phenomenon Treatment In cases of gas accumulation in the spinal canal, discogenic pain may occur. ‘vacuum phenomenon’ or ‘pneumoarthrosis’ term is used when there is air within a joint space. Surgical therapy is still an acceptable method for the treatment of. Vacuum disc phenomenon at multiple lumbar spinal levels with nitrogen bubbles (arrows) leaking into the spinal fluid. A primary standalone endoscopic. Vacuum Disc Phenomenon Treatment.
From www.journaloforthopaedicscience.com
Does vacuum phenomenon at nonfused discs affect the postoperative Vacuum Disc Phenomenon Treatment A primary standalone endoscopic decompression and interbody fusion surgery in the treatment of vertical instability in patients with a. ‘vacuum phenomenon’ or ‘pneumoarthrosis’ term is used when there is air within a joint space. Surgical therapy is still an acceptable method for the treatment of. It has been described commonly in the spine and. Vacuum disc phenomenon at multiple lumbar. Vacuum Disc Phenomenon Treatment.
From lukegfarmer.blob.core.windows.net
Vacuum Disc Phenomenon Mri at lukegfarmer blog Vacuum Disc Phenomenon Treatment ‘vacuum phenomenon’ or ‘pneumoarthrosis’ term is used when there is air within a joint space. Vacuum disc phenomenon at multiple lumbar spinal levels with nitrogen bubbles (arrows) leaking into the spinal fluid. What is the treatment for degenerative disc disease? Intervertebral osteochondrosis can also occur secondarily as a consequence of. It has been described commonly in the spine and. In. Vacuum Disc Phenomenon Treatment.
From www.neuroradiologycases.com
Neuroradiology Cases Intradiscal Vacuum Phenomenon Vacuum Disc Phenomenon Treatment It has been described commonly in the spine and. ‘vacuum phenomenon’ or ‘pneumoarthrosis’ term is used when there is air within a joint space. A primary standalone endoscopic decompression and interbody fusion surgery in the treatment of vertical instability in patients with a. What is the treatment for degenerative disc disease? Intervertebral osteochondrosis can also occur secondarily as a consequence. Vacuum Disc Phenomenon Treatment.
From www.spine.md
Vacuum Disc Phenomenon Insights from Dr. Lanman Spine.MD Vacuum Disc Phenomenon Treatment Vacuum disc phenomenon at multiple lumbar spinal levels with nitrogen bubbles (arrows) leaking into the spinal fluid. A primary standalone endoscopic decompression and interbody fusion surgery in the treatment of vertical instability in patients with a. Intervertebral osteochondrosis can also occur secondarily as a consequence of. It has been described commonly in the spine and. Surgical therapy is still an. Vacuum Disc Phenomenon Treatment.
From www.pinterest.com
Intervertebral disc vacuum phenomena Radiology Reference Article Vacuum Disc Phenomenon Treatment What is the treatment for degenerative disc disease? It has been described commonly in the spine and. Intervertebral osteochondrosis can also occur secondarily as a consequence of. ‘vacuum phenomenon’ or ‘pneumoarthrosis’ term is used when there is air within a joint space. Surgical therapy is still an acceptable method for the treatment of. A primary standalone endoscopic decompression and interbody. Vacuum Disc Phenomenon Treatment.
From journals.sagepub.com
Development of a New TherapyOriented Classification of Intervertebral Vacuum Disc Phenomenon Treatment What is the treatment for degenerative disc disease? Surgical therapy is still an acceptable method for the treatment of. Vacuum disc phenomenon at multiple lumbar spinal levels with nitrogen bubbles (arrows) leaking into the spinal fluid. It has been described commonly in the spine and. ‘vacuum phenomenon’ or ‘pneumoarthrosis’ term is used when there is air within a joint space.. Vacuum Disc Phenomenon Treatment.
From thejns.org
Intraforaminal cervical gas cyst with vacuum disc treated by anterior Vacuum Disc Phenomenon Treatment A primary standalone endoscopic decompression and interbody fusion surgery in the treatment of vertical instability in patients with a. It has been described commonly in the spine and. In cases of gas accumulation in the spinal canal, discogenic pain may occur. What is the treatment for degenerative disc disease? Surgical therapy is still an acceptable method for the treatment of.. Vacuum Disc Phenomenon Treatment.
From www.ajronline.org
Correlation Between Vacuum Phenomenon on CT and Fluid on MRI in Vacuum Disc Phenomenon Treatment What is the treatment for degenerative disc disease? A primary standalone endoscopic decompression and interbody fusion surgery in the treatment of vertical instability in patients with a. In cases of gas accumulation in the spinal canal, discogenic pain may occur. Intervertebral osteochondrosis can also occur secondarily as a consequence of. Vacuum disc phenomenon at multiple lumbar spinal levels with nitrogen. Vacuum Disc Phenomenon Treatment.
From journals.sagepub.com
Development of a New TherapyOriented Classification of Intervertebral Vacuum Disc Phenomenon Treatment Intervertebral osteochondrosis can also occur secondarily as a consequence of. ‘vacuum phenomenon’ or ‘pneumoarthrosis’ term is used when there is air within a joint space. Surgical therapy is still an acceptable method for the treatment of. What is the treatment for degenerative disc disease? Vacuum disc phenomenon at multiple lumbar spinal levels with nitrogen bubbles (arrows) leaking into the spinal. Vacuum Disc Phenomenon Treatment.
From www.ajronline.org
Correlation Between Vacuum Phenomenon on CT and Fluid on MRI in Vacuum Disc Phenomenon Treatment Intervertebral osteochondrosis can also occur secondarily as a consequence of. What is the treatment for degenerative disc disease? Vacuum disc phenomenon at multiple lumbar spinal levels with nitrogen bubbles (arrows) leaking into the spinal fluid. It has been described commonly in the spine and. Surgical therapy is still an acceptable method for the treatment of. A primary standalone endoscopic decompression. Vacuum Disc Phenomenon Treatment.
From bmcmusculoskeletdisord.biomedcentral.com
The effects of anterior vacuum disc on surgical of Vacuum Disc Phenomenon Treatment Surgical therapy is still an acceptable method for the treatment of. Intervertebral osteochondrosis can also occur secondarily as a consequence of. In cases of gas accumulation in the spinal canal, discogenic pain may occur. What is the treatment for degenerative disc disease? ‘vacuum phenomenon’ or ‘pneumoarthrosis’ term is used when there is air within a joint space. It has been. Vacuum Disc Phenomenon Treatment.
From livingpristine.com
Diagnosing Vacuum What Is The Treatment For Vacuum Disc Phenomenon Vacuum Disc Phenomenon Treatment Vacuum disc phenomenon at multiple lumbar spinal levels with nitrogen bubbles (arrows) leaking into the spinal fluid. What is the treatment for degenerative disc disease? In cases of gas accumulation in the spinal canal, discogenic pain may occur. ‘vacuum phenomenon’ or ‘pneumoarthrosis’ term is used when there is air within a joint space. It has been described commonly in the. Vacuum Disc Phenomenon Treatment.