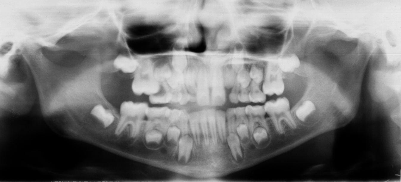
Brass Wire Ectopic Eruption . Ectopic eruption of pmfm is a common eruption disorder occurring during mixed dentition. Ectopic eruption (ee) is defined as a localized disturbance in the eruption path of a tooth leading to an abnormal position or orientation of that tooth. Ectopic eruption of permanent molars is one of the challenges that arise in the early mixed dentition period, particularly when the root of the primary. Ee of permanent first molars is observed when the molar assumes an abnormal mesioangular path of eruption, resulting in an impaction at the distal aspect of the primary second molar. If left untreated, many problems could arise, such. Ectopic eruption of a first permanent molar reflects an abnormal mesioangular path, leading to resorption of the adjacent second primary molar and potential loss of space for the eruption of the second permanent bicuspid. Sert the distorted brass wire can cause soft tissue damage.
from www.slideshare.net
Ectopic eruption of permanent molars is one of the challenges that arise in the early mixed dentition period, particularly when the root of the primary. If left untreated, many problems could arise, such. Ectopic eruption of a first permanent molar reflects an abnormal mesioangular path, leading to resorption of the adjacent second primary molar and potential loss of space for the eruption of the second permanent bicuspid. Ectopic eruption of pmfm is a common eruption disorder occurring during mixed dentition. Ee of permanent first molars is observed when the molar assumes an abnormal mesioangular path of eruption, resulting in an impaction at the distal aspect of the primary second molar. Sert the distorted brass wire can cause soft tissue damage. Ectopic eruption (ee) is defined as a localized disturbance in the eruption path of a tooth leading to an abnormal position or orientation of that tooth.
Ectopic eruption of permanent first molars / for orthodontists by Alm…
Brass Wire Ectopic Eruption If left untreated, many problems could arise, such. Ectopic eruption of permanent molars is one of the challenges that arise in the early mixed dentition period, particularly when the root of the primary. Ectopic eruption of a first permanent molar reflects an abnormal mesioangular path, leading to resorption of the adjacent second primary molar and potential loss of space for the eruption of the second permanent bicuspid. Ectopic eruption of pmfm is a common eruption disorder occurring during mixed dentition. Ee of permanent first molars is observed when the molar assumes an abnormal mesioangular path of eruption, resulting in an impaction at the distal aspect of the primary second molar. Sert the distorted brass wire can cause soft tissue damage. Ectopic eruption (ee) is defined as a localized disturbance in the eruption path of a tooth leading to an abnormal position or orientation of that tooth. If left untreated, many problems could arise, such.
From www.slideshare.net
Ectopic eruption of permanent first molars / for orthodontists by Alm… Brass Wire Ectopic Eruption Ectopic eruption of pmfm is a common eruption disorder occurring during mixed dentition. If left untreated, many problems could arise, such. Ectopic eruption (ee) is defined as a localized disturbance in the eruption path of a tooth leading to an abnormal position or orientation of that tooth. Sert the distorted brass wire can cause soft tissue damage. Ee of permanent. Brass Wire Ectopic Eruption.
From www.researchgate.net
(PDF) Uprighting Bilateral Impacted Mandibular Permanent Second Molars Brass Wire Ectopic Eruption Ectopic eruption of a first permanent molar reflects an abnormal mesioangular path, leading to resorption of the adjacent second primary molar and potential loss of space for the eruption of the second permanent bicuspid. If left untreated, many problems could arise, such. Ee of permanent first molars is observed when the molar assumes an abnormal mesioangular path of eruption, resulting. Brass Wire Ectopic Eruption.
From www.youtube.com
Ectopic Eruption YouTube Brass Wire Ectopic Eruption If left untreated, many problems could arise, such. Ectopic eruption of pmfm is a common eruption disorder occurring during mixed dentition. Ee of permanent first molars is observed when the molar assumes an abnormal mesioangular path of eruption, resulting in an impaction at the distal aspect of the primary second molar. Sert the distorted brass wire can cause soft tissue. Brass Wire Ectopic Eruption.
From www.edoriumjournalofdentistry.com
FULL TEXT Ectopic eruption of the permanent maxillary first molar Brass Wire Ectopic Eruption Ectopic eruption of permanent molars is one of the challenges that arise in the early mixed dentition period, particularly when the root of the primary. If left untreated, many problems could arise, such. Ectopic eruption of a first permanent molar reflects an abnormal mesioangular path, leading to resorption of the adjacent second primary molar and potential loss of space for. Brass Wire Ectopic Eruption.
From pocketdentistry.com
16 Problems in Eruption of First and Second Permanent Molars Pocket Brass Wire Ectopic Eruption Ectopic eruption (ee) is defined as a localized disturbance in the eruption path of a tooth leading to an abnormal position or orientation of that tooth. Ee of permanent first molars is observed when the molar assumes an abnormal mesioangular path of eruption, resulting in an impaction at the distal aspect of the primary second molar. If left untreated, many. Brass Wire Ectopic Eruption.
From www.slideshare.net
Halterman technique for the treatment of ectopically erupting permane… Brass Wire Ectopic Eruption Sert the distorted brass wire can cause soft tissue damage. Ectopic eruption of permanent molars is one of the challenges that arise in the early mixed dentition period, particularly when the root of the primary. Ee of permanent first molars is observed when the molar assumes an abnormal mesioangular path of eruption, resulting in an impaction at the distal aspect. Brass Wire Ectopic Eruption.
From www.slideshare.net
Halterman technique for the treatment of ectopically erupting permane… Brass Wire Ectopic Eruption Ee of permanent first molars is observed when the molar assumes an abnormal mesioangular path of eruption, resulting in an impaction at the distal aspect of the primary second molar. Ectopic eruption of pmfm is a common eruption disorder occurring during mixed dentition. Ectopic eruption of permanent molars is one of the challenges that arise in the early mixed dentition. Brass Wire Ectopic Eruption.
From www.semanticscholar.org
Correction of ectopic eruption of permanent molars utilizing the brass Brass Wire Ectopic Eruption Ectopic eruption (ee) is defined as a localized disturbance in the eruption path of a tooth leading to an abnormal position or orientation of that tooth. Ee of permanent first molars is observed when the molar assumes an abnormal mesioangular path of eruption, resulting in an impaction at the distal aspect of the primary second molar. Ectopic eruption of a. Brass Wire Ectopic Eruption.
From pixels.com
Ectopic Dental Eruption Photograph by Clinica Claros/science Photo Brass Wire Ectopic Eruption Ee of permanent first molars is observed when the molar assumes an abnormal mesioangular path of eruption, resulting in an impaction at the distal aspect of the primary second molar. Ectopic eruption of permanent molars is one of the challenges that arise in the early mixed dentition period, particularly when the root of the primary. Ectopic eruption of pmfm is. Brass Wire Ectopic Eruption.
From www.dentistryiq.com
Orthodontic options for the ectopic eruption of a maxillary first molar Brass Wire Ectopic Eruption Ectopic eruption of permanent molars is one of the challenges that arise in the early mixed dentition period, particularly when the root of the primary. If left untreated, many problems could arise, such. Ectopic eruption of a first permanent molar reflects an abnormal mesioangular path, leading to resorption of the adjacent second primary molar and potential loss of space for. Brass Wire Ectopic Eruption.
From www.flickr.com
Early treatment of ectopic eruption Lawrenceville, GA Brass Wire Ectopic Eruption Ectopic eruption of a first permanent molar reflects an abnormal mesioangular path, leading to resorption of the adjacent second primary molar and potential loss of space for the eruption of the second permanent bicuspid. Sert the distorted brass wire can cause soft tissue damage. If left untreated, many problems could arise, such. Ectopic eruption of pmfm is a common eruption. Brass Wire Ectopic Eruption.
From drgstoothpix.com
Ectopic Eruption Dr. G's Toothpix Brass Wire Ectopic Eruption Ectopic eruption of pmfm is a common eruption disorder occurring during mixed dentition. Sert the distorted brass wire can cause soft tissue damage. Ectopic eruption (ee) is defined as a localized disturbance in the eruption path of a tooth leading to an abnormal position or orientation of that tooth. Ectopic eruption of a first permanent molar reflects an abnormal mesioangular. Brass Wire Ectopic Eruption.
From decisionsindentistry.com
Addressing Ectopic Eruption of Permanent First Molars Decisions in Brass Wire Ectopic Eruption Sert the distorted brass wire can cause soft tissue damage. If left untreated, many problems could arise, such. Ectopic eruption (ee) is defined as a localized disturbance in the eruption path of a tooth leading to an abnormal position or orientation of that tooth. Ectopic eruption of a first permanent molar reflects an abnormal mesioangular path, leading to resorption of. Brass Wire Ectopic Eruption.
From www.semanticscholar.org
Figure 1 from Intranasal Tooth—An Ectopic Eruption of Mesiodens in Brass Wire Ectopic Eruption Sert the distorted brass wire can cause soft tissue damage. If left untreated, many problems could arise, such. Ectopic eruption of pmfm is a common eruption disorder occurring during mixed dentition. Ectopic eruption of permanent molars is one of the challenges that arise in the early mixed dentition period, particularly when the root of the primary. Ectopic eruption (ee) is. Brass Wire Ectopic Eruption.
From pocketdentistry.com
Ectopic eruption of maxillary first permanent molar Pocket Dentistry Brass Wire Ectopic Eruption If left untreated, many problems could arise, such. Sert the distorted brass wire can cause soft tissue damage. Ectopic eruption of a first permanent molar reflects an abnormal mesioangular path, leading to resorption of the adjacent second primary molar and potential loss of space for the eruption of the second permanent bicuspid. Ectopic eruption (ee) is defined as a localized. Brass Wire Ectopic Eruption.
From www.mdpi.com
Ectopic Eruption of the First Permanent Molar in the Maxilla Brass Wire Ectopic Eruption Ectopic eruption of permanent molars is one of the challenges that arise in the early mixed dentition period, particularly when the root of the primary. Sert the distorted brass wire can cause soft tissue damage. If left untreated, many problems could arise, such. Ee of permanent first molars is observed when the molar assumes an abnormal mesioangular path of eruption,. Brass Wire Ectopic Eruption.
From pocketdentistry.com
Ectopic eruption of the first permanent molar Predictive factors for Brass Wire Ectopic Eruption Sert the distorted brass wire can cause soft tissue damage. Ectopic eruption of a first permanent molar reflects an abnormal mesioangular path, leading to resorption of the adjacent second primary molar and potential loss of space for the eruption of the second permanent bicuspid. Ectopic eruption of pmfm is a common eruption disorder occurring during mixed dentition. Ectopic eruption of. Brass Wire Ectopic Eruption.
From www.mdpi.com
Dentistry Journal Free FullText Ectopic Permanent Molars A Review Brass Wire Ectopic Eruption Ee of permanent first molars is observed when the molar assumes an abnormal mesioangular path of eruption, resulting in an impaction at the distal aspect of the primary second molar. Sert the distorted brass wire can cause soft tissue damage. If left untreated, many problems could arise, such. Ectopic eruption of permanent molars is one of the challenges that arise. Brass Wire Ectopic Eruption.
From www.hxkqyxzz.net
Brass wire ligation for treatment of the ectopic eruption of the Brass Wire Ectopic Eruption Ee of permanent first molars is observed when the molar assumes an abnormal mesioangular path of eruption, resulting in an impaction at the distal aspect of the primary second molar. Ectopic eruption (ee) is defined as a localized disturbance in the eruption path of a tooth leading to an abnormal position or orientation of that tooth. Ectopic eruption of permanent. Brass Wire Ectopic Eruption.
From www.ajodo.org
A simple approach to correct ectopic eruption of maxillary canines Brass Wire Ectopic Eruption Sert the distorted brass wire can cause soft tissue damage. Ectopic eruption of a first permanent molar reflects an abnormal mesioangular path, leading to resorption of the adjacent second primary molar and potential loss of space for the eruption of the second permanent bicuspid. If left untreated, many problems could arise, such. Ectopic eruption of pmfm is a common eruption. Brass Wire Ectopic Eruption.
From www.semanticscholar.org
Figure 1 from Correcting ectopic first permanent molars with metal or Brass Wire Ectopic Eruption Ectopic eruption of permanent molars is one of the challenges that arise in the early mixed dentition period, particularly when the root of the primary. Ee of permanent first molars is observed when the molar assumes an abnormal mesioangular path of eruption, resulting in an impaction at the distal aspect of the primary second molar. Ectopic eruption of pmfm is. Brass Wire Ectopic Eruption.
From www.semanticscholar.org
Figure 5 from Treatment of ectopic eruption of permanent mandibular Brass Wire Ectopic Eruption Sert the distorted brass wire can cause soft tissue damage. Ectopic eruption of a first permanent molar reflects an abnormal mesioangular path, leading to resorption of the adjacent second primary molar and potential loss of space for the eruption of the second permanent bicuspid. If left untreated, many problems could arise, such. Ectopic eruption of pmfm is a common eruption. Brass Wire Ectopic Eruption.
From www.semanticscholar.org
Treatment of ectopic eruption of permanent mandibular first molars with Brass Wire Ectopic Eruption Sert the distorted brass wire can cause soft tissue damage. Ectopic eruption of a first permanent molar reflects an abnormal mesioangular path, leading to resorption of the adjacent second primary molar and potential loss of space for the eruption of the second permanent bicuspid. Ectopic eruption (ee) is defined as a localized disturbance in the eruption path of a tooth. Brass Wire Ectopic Eruption.
From www.researchgate.net
Radiographic examination of the patient revealed ectopic eruption of Brass Wire Ectopic Eruption Sert the distorted brass wire can cause soft tissue damage. Ectopic eruption of permanent molars is one of the challenges that arise in the early mixed dentition period, particularly when the root of the primary. Ectopic eruption of pmfm is a common eruption disorder occurring during mixed dentition. Ee of permanent first molars is observed when the molar assumes an. Brass Wire Ectopic Eruption.
From www.scribd.com
Correction of Ectopic Eruption Dentistry Dentistry Branches Brass Wire Ectopic Eruption Ectopic eruption of a first permanent molar reflects an abnormal mesioangular path, leading to resorption of the adjacent second primary molar and potential loss of space for the eruption of the second permanent bicuspid. If left untreated, many problems could arise, such. Ectopic eruption of pmfm is a common eruption disorder occurring during mixed dentition. Sert the distorted brass wire. Brass Wire Ectopic Eruption.
From www.pinterest.com
Ankylosis/Ectopic Eruption Oral pathology, Orthodontics, Pathology Brass Wire Ectopic Eruption Ectopic eruption of permanent molars is one of the challenges that arise in the early mixed dentition period, particularly when the root of the primary. Ectopic eruption (ee) is defined as a localized disturbance in the eruption path of a tooth leading to an abnormal position or orientation of that tooth. Sert the distorted brass wire can cause soft tissue. Brass Wire Ectopic Eruption.
From pocketdentistry.com
Ectopic eruption of maxillary first permanent molar Pocket Dentistry Brass Wire Ectopic Eruption Ectopic eruption (ee) is defined as a localized disturbance in the eruption path of a tooth leading to an abnormal position or orientation of that tooth. If left untreated, many problems could arise, such. Ectopic eruption of permanent molars is one of the challenges that arise in the early mixed dentition period, particularly when the root of the primary. Ectopic. Brass Wire Ectopic Eruption.
From www.researchgate.net
Radiographic examination of the patient revealed ectopic eruption of Brass Wire Ectopic Eruption Ectopic eruption of a first permanent molar reflects an abnormal mesioangular path, leading to resorption of the adjacent second primary molar and potential loss of space for the eruption of the second permanent bicuspid. Ectopic eruption of permanent molars is one of the challenges that arise in the early mixed dentition period, particularly when the root of the primary. Ectopic. Brass Wire Ectopic Eruption.
From www.researchgate.net
Panoramic examples of all the severity of ectopic eruption (A) An Brass Wire Ectopic Eruption Ectopic eruption of permanent molars is one of the challenges that arise in the early mixed dentition period, particularly when the root of the primary. Ectopic eruption of a first permanent molar reflects an abnormal mesioangular path, leading to resorption of the adjacent second primary molar and potential loss of space for the eruption of the second permanent bicuspid. Ectopic. Brass Wire Ectopic Eruption.
From www.researchgate.net
Female patient. Ectopic eruption of the maxillary right first molar and Brass Wire Ectopic Eruption Sert the distorted brass wire can cause soft tissue damage. If left untreated, many problems could arise, such. Ectopic eruption of pmfm is a common eruption disorder occurring during mixed dentition. Ectopic eruption of permanent molars is one of the challenges that arise in the early mixed dentition period, particularly when the root of the primary. Ectopic eruption of a. Brass Wire Ectopic Eruption.
From www.youtube.com
Ectopic Molar Eruption Orthodontic Treatment YouTube Brass Wire Ectopic Eruption Ectopic eruption of a first permanent molar reflects an abnormal mesioangular path, leading to resorption of the adjacent second primary molar and potential loss of space for the eruption of the second permanent bicuspid. Ectopic eruption of permanent molars is one of the challenges that arise in the early mixed dentition period, particularly when the root of the primary. Ectopic. Brass Wire Ectopic Eruption.
From jada.ada.org
Unlocking ectopically erupting permanent first molars using light wires Brass Wire Ectopic Eruption Ectopic eruption of permanent molars is one of the challenges that arise in the early mixed dentition period, particularly when the root of the primary. Ectopic eruption of a first permanent molar reflects an abnormal mesioangular path, leading to resorption of the adjacent second primary molar and potential loss of space for the eruption of the second permanent bicuspid. If. Brass Wire Ectopic Eruption.
From www.youtube.com
Ectopic Maxillary First Molar Eruption YouTube Brass Wire Ectopic Eruption Ectopic eruption of pmfm is a common eruption disorder occurring during mixed dentition. Ectopic eruption of a first permanent molar reflects an abnormal mesioangular path, leading to resorption of the adjacent second primary molar and potential loss of space for the eruption of the second permanent bicuspid. Sert the distorted brass wire can cause soft tissue damage. Ectopic eruption (ee). Brass Wire Ectopic Eruption.
From www.youtube.com
Ectopic Eruption or a Tilted 6 Year Molar in the Mixed Dentition Can Brass Wire Ectopic Eruption Sert the distorted brass wire can cause soft tissue damage. Ee of permanent first molars is observed when the molar assumes an abnormal mesioangular path of eruption, resulting in an impaction at the distal aspect of the primary second molar. Ectopic eruption of pmfm is a common eruption disorder occurring during mixed dentition. Ectopic eruption of permanent molars is one. Brass Wire Ectopic Eruption.
From slideplayer.com
Canine Impactions Ectopic Eruption ppt video online download Brass Wire Ectopic Eruption If left untreated, many problems could arise, such. Ectopic eruption of pmfm is a common eruption disorder occurring during mixed dentition. Sert the distorted brass wire can cause soft tissue damage. Ee of permanent first molars is observed when the molar assumes an abnormal mesioangular path of eruption, resulting in an impaction at the distal aspect of the primary second. Brass Wire Ectopic Eruption.