Limpieza Dental Que Hacer Despues . La profilaxis dental o limpieza dental es un tratamiento que debemos realizar al menos una vez al año para prevenir enfermedades orales. Sigue con una rutina diaria. Sin embargo, es muy importante llevar a cabo una serie de recomendaciones despues de una limpieza dental si queremos que el mantenimiento sea óptimo. Evita consumir alimentos y bebidas durante al. ¿qué esperar después de una limpieza dental? Después de someterte a una limpieza dental, es común experimentar. Una vez completada la limpieza dental, es importante seguir estas recomendaciones: Descubre qué hacer después de una limpieza dental para mantener una sonrisa saludable. La profilaxis dental, o limpieza dental profunda, es un importante tratamiento con el que eliminamos en profundidad las bacterias que no han podido ser alcanzadas con una rutina de higiene en casa. Aquí te presentamos siete consejos imprescindibles sobre qué hacer después de una limpieza dental. ¿qué hacer inmediatamente después de una limpieza dental? Conoce qué es una limpieza dental y cuáles son los consejos después de una limpieza dental profunda, así como sus beneficios a largo plazo. Evita alimentos y bebidas que. Es muy útil para prevenir enfermedades como la gingivitis y las caries. Tras someterse a una limpieza dental, es natural que surjan preguntas y preocupaciones sobre los cuidados posteriores.
from martlabpro.com
¿qué esperar después de una limpieza dental? ¿qué hacer inmediatamente después de una limpieza dental? Los cuidados después de una limpieza dental son esenciales. Después de someterte a una limpieza dental, es común experimentar. Una vez completada la limpieza dental, es importante seguir estas recomendaciones: Sigue con una rutina diaria. La profilaxis dental o limpieza dental es un tratamiento que debemos realizar al menos una vez al año para prevenir enfermedades orales. Aquí te presentamos siete consejos imprescindibles sobre qué hacer después de una limpieza dental. Descubre qué hacer después de una limpieza dental para mantener una sonrisa saludable. Sin embargo, es muy importante llevar a cabo una serie de recomendaciones despues de una limpieza dental si queremos que el mantenimiento sea óptimo.
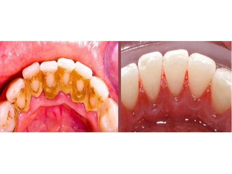
Sarro Limpieza Dental Antes Y Después ¿Qué Es Y Cómo Se Hace? MartLabPro
Limpieza Dental Que Hacer Despues La profilaxis dental, o limpieza dental profunda, es un importante tratamiento con el que eliminamos en profundidad las bacterias que no han podido ser alcanzadas con una rutina de higiene en casa. Evita alimentos y bebidas que. Después de someterte a una limpieza dental, es común experimentar. Tras someterse a una limpieza dental, es natural que surjan preguntas y preocupaciones sobre los cuidados posteriores. Aquí te presentamos siete consejos imprescindibles sobre qué hacer después de una limpieza dental. Es muy útil para prevenir enfermedades como la gingivitis y las caries. La profilaxis dental o limpieza dental es un tratamiento que debemos realizar al menos una vez al año para prevenir enfermedades orales. Una vez completada la limpieza dental, es importante seguir estas recomendaciones: Conoce qué es una limpieza dental y cuáles son los consejos después de una limpieza dental profunda, así como sus beneficios a largo plazo. Descubre qué hacer después de una limpieza dental para mantener una sonrisa saludable. Los cuidados después de una limpieza dental son esenciales. Evita consumir alimentos y bebidas durante al. Sin embargo, es muy importante llevar a cabo una serie de recomendaciones despues de una limpieza dental si queremos que el mantenimiento sea óptimo. ¿qué esperar después de una limpieza dental? ¿qué hacer inmediatamente después de una limpieza dental? La profilaxis dental, o limpieza dental profunda, es un importante tratamiento con el que eliminamos en profundidad las bacterias que no han podido ser alcanzadas con una rutina de higiene en casa.
From dinosenglish.edu.vn
Lista 96+ Foto Antes Y Después De Limpieza Dental Actualizar Limpieza Dental Que Hacer Despues Una vez completada la limpieza dental, es importante seguir estas recomendaciones: La profilaxis dental, o limpieza dental profunda, es un importante tratamiento con el que eliminamos en profundidad las bacterias que no han podido ser alcanzadas con una rutina de higiene en casa. Sigue con una rutina diaria. Después de someterte a una limpieza dental, es común experimentar. ¿qué esperar. Limpieza Dental Que Hacer Despues.
From periodontium.es
Limpieza dental profesional para mantener tu boca sana Limpieza Dental Que Hacer Despues Una vez completada la limpieza dental, es importante seguir estas recomendaciones: Los cuidados después de una limpieza dental son esenciales. Conoce qué es una limpieza dental y cuáles son los consejos después de una limpieza dental profunda, así como sus beneficios a largo plazo. Sigue con una rutina diaria. Evita alimentos y bebidas que. Es muy útil para prevenir enfermedades. Limpieza Dental Que Hacer Despues.
From clinicadentalsmalium.com
Cuando es necesaria una limpieza dental SMALIUM Clínica Dental Limpieza Dental Que Hacer Despues Evita consumir alimentos y bebidas durante al. Sin embargo, es muy importante llevar a cabo una serie de recomendaciones despues de una limpieza dental si queremos que el mantenimiento sea óptimo. La profilaxis dental o limpieza dental es un tratamiento que debemos realizar al menos una vez al año para prevenir enfermedades orales. Aquí te presentamos siete consejos imprescindibles sobre. Limpieza Dental Que Hacer Despues.
From doctoramarquez.com
¿En Que Consiste una Limpieza Dental? 2023 Doctora Marquez Limpieza Dental Que Hacer Despues Evita consumir alimentos y bebidas durante al. ¿qué hacer inmediatamente después de una limpieza dental? Una vez completada la limpieza dental, es importante seguir estas recomendaciones: Sin embargo, es muy importante llevar a cabo una serie de recomendaciones despues de una limpieza dental si queremos que el mantenimiento sea óptimo. La profilaxis dental, o limpieza dental profunda, es un importante. Limpieza Dental Que Hacer Despues.
From www.clinicazm.com
¿Cómo se realiza una limpieza dental? ZM Centro de Odontología Limpieza Dental Que Hacer Despues ¿qué esperar después de una limpieza dental? La profilaxis dental o limpieza dental es un tratamiento que debemos realizar al menos una vez al año para prevenir enfermedades orales. Sin embargo, es muy importante llevar a cabo una serie de recomendaciones despues de una limpieza dental si queremos que el mantenimiento sea óptimo. ¿qué hacer inmediatamente después de una limpieza. Limpieza Dental Que Hacer Despues.
From www.clinicasdentalbell.es
Limpieza dental avanzada. ¿Qué es y en que consiste? Clínicas Dentalbell Limpieza Dental Que Hacer Despues ¿qué hacer inmediatamente después de una limpieza dental? Tras someterse a una limpieza dental, es natural que surjan preguntas y preocupaciones sobre los cuidados posteriores. Descubre qué hacer después de una limpieza dental para mantener una sonrisa saludable. Conoce qué es una limpieza dental y cuáles son los consejos después de una limpieza dental profunda, así como sus beneficios a. Limpieza Dental Que Hacer Despues.
From dinosenglish.edu.vn
Lista 96+ Foto Antes Y Después De Limpieza Dental Actualizar Limpieza Dental Que Hacer Despues ¿qué esperar después de una limpieza dental? Una vez completada la limpieza dental, es importante seguir estas recomendaciones: Los cuidados después de una limpieza dental son esenciales. ¿qué hacer inmediatamente después de una limpieza dental? Es muy útil para prevenir enfermedades como la gingivitis y las caries. Evita consumir alimentos y bebidas durante al. Aquí te presentamos siete consejos imprescindibles. Limpieza Dental Que Hacer Despues.
From www.clinicavilaboa.es
¿Cómo se hace una limpieza dental? Qué es y cómo se hace Limpieza Dental Que Hacer Despues Sigue con una rutina diaria. Los cuidados después de una limpieza dental son esenciales. La profilaxis dental, o limpieza dental profunda, es un importante tratamiento con el que eliminamos en profundidad las bacterias que no han podido ser alcanzadas con una rutina de higiene en casa. Sin embargo, es muy importante llevar a cabo una serie de recomendaciones despues de. Limpieza Dental Que Hacer Despues.
From clinicabuitrago.es
Limpieza dental el tratamiento estético que cura Clínica Buitrago Limpieza Dental Que Hacer Despues La profilaxis dental o limpieza dental es un tratamiento que debemos realizar al menos una vez al año para prevenir enfermedades orales. Evita consumir alimentos y bebidas durante al. Tras someterse a una limpieza dental, es natural que surjan preguntas y preocupaciones sobre los cuidados posteriores. Aquí te presentamos siete consejos imprescindibles sobre qué hacer después de una limpieza dental.. Limpieza Dental Que Hacer Despues.
From www.centros-dentales.com
¿Cual es el proceso de una limpieza dental? Centros Dentales. Tus Limpieza Dental Que Hacer Despues Evita alimentos y bebidas que. Descubre qué hacer después de una limpieza dental para mantener una sonrisa saludable. La profilaxis dental o limpieza dental es un tratamiento que debemos realizar al menos una vez al año para prevenir enfermedades orales. Es muy útil para prevenir enfermedades como la gingivitis y las caries. Evita consumir alimentos y bebidas durante al. Después. Limpieza Dental Que Hacer Despues.
From clinicadentalalba.com
5 preguntas sobre la limpieza dental Clinica Dental Alba Limpieza Dental Que Hacer Despues La profilaxis dental o limpieza dental es un tratamiento que debemos realizar al menos una vez al año para prevenir enfermedades orales. Una vez completada la limpieza dental, es importante seguir estas recomendaciones: Aquí te presentamos siete consejos imprescindibles sobre qué hacer después de una limpieza dental. Los cuidados después de una limpieza dental son esenciales. Conoce qué es una. Limpieza Dental Que Hacer Despues.
From www.propdental.es
Precio limpieza dental con ultrasonidos en Barcelona y Madrid Limpieza Dental Que Hacer Despues Después de someterte a una limpieza dental, es común experimentar. Es muy útil para prevenir enfermedades como la gingivitis y las caries. La profilaxis dental o limpieza dental es un tratamiento que debemos realizar al menos una vez al año para prevenir enfermedades orales. La profilaxis dental, o limpieza dental profunda, es un importante tratamiento con el que eliminamos en. Limpieza Dental Que Hacer Despues.
From clinicabetel.org
Limpieza Dental Profesional Clínica Dental Betel Madrid Limpieza Dental Que Hacer Despues ¿qué esperar después de una limpieza dental? Descubre qué hacer después de una limpieza dental para mantener una sonrisa saludable. Evita alimentos y bebidas que. Aquí te presentamos siete consejos imprescindibles sobre qué hacer después de una limpieza dental. Evita consumir alimentos y bebidas durante al. La profilaxis dental, o limpieza dental profunda, es un importante tratamiento con el que. Limpieza Dental Que Hacer Despues.
From pypclinic.com
¿Qué no se puede hacer después de una limpieza dental? Cuidados Post Limpieza Dental Que Hacer Despues Después de someterte a una limpieza dental, es común experimentar. Aquí te presentamos siete consejos imprescindibles sobre qué hacer después de una limpieza dental. ¿qué hacer inmediatamente después de una limpieza dental? Una vez completada la limpieza dental, es importante seguir estas recomendaciones: Es muy útil para prevenir enfermedades como la gingivitis y las caries. Sin embargo, es muy importante. Limpieza Dental Que Hacer Despues.
From mejorconsalud.as.com
Limpieza dental ¿cada cuánto se debe realizar? Mejor con Salud Limpieza Dental Que Hacer Despues Descubre qué hacer después de una limpieza dental para mantener una sonrisa saludable. Una vez completada la limpieza dental, es importante seguir estas recomendaciones: La profilaxis dental o limpieza dental es un tratamiento que debemos realizar al menos una vez al año para prevenir enfermedades orales. Evita consumir alimentos y bebidas durante al. La profilaxis dental, o limpieza dental profunda,. Limpieza Dental Que Hacer Despues.
From dentalhuelin.com
5 consejos para cuidar tus dientes después de una limpieza dental Limpieza Dental Que Hacer Despues Una vez completada la limpieza dental, es importante seguir estas recomendaciones: La profilaxis dental o limpieza dental es un tratamiento que debemos realizar al menos una vez al año para prevenir enfermedades orales. ¿qué esperar después de una limpieza dental? Es muy útil para prevenir enfermedades como la gingivitis y las caries. Aquí te presentamos siete consejos imprescindibles sobre qué. Limpieza Dental Que Hacer Despues.
From www.clinicadentalgonzalezbaquero.es
Cuidados Después Limpieza Dental Clínica Dental González Baquero Limpieza Dental Que Hacer Despues Después de someterte a una limpieza dental, es común experimentar. ¿qué hacer inmediatamente después de una limpieza dental? Sin embargo, es muy importante llevar a cabo una serie de recomendaciones despues de una limpieza dental si queremos que el mantenimiento sea óptimo. Una vez completada la limpieza dental, es importante seguir estas recomendaciones: Aquí te presentamos siete consejos imprescindibles sobre. Limpieza Dental Que Hacer Despues.
From www.youtube.com
CUIDADOS DE LAS ENCÍAS DESPUÉS DE UNA LIMPIEZA DENTAL YouTube Limpieza Dental Que Hacer Despues Conoce qué es una limpieza dental y cuáles son los consejos después de una limpieza dental profunda, así como sus beneficios a largo plazo. Es muy útil para prevenir enfermedades como la gingivitis y las caries. ¿qué hacer inmediatamente después de una limpieza dental? ¿qué esperar después de una limpieza dental? Después de someterte a una limpieza dental, es común. Limpieza Dental Que Hacer Despues.
From clinicadentaldrmestres.com
¿Qué es la Limpieza Dental por Ultrasonido? Clínica Dental Dr. Mestres Limpieza Dental Que Hacer Despues La profilaxis dental, o limpieza dental profunda, es un importante tratamiento con el que eliminamos en profundidad las bacterias que no han podido ser alcanzadas con una rutina de higiene en casa. ¿qué hacer inmediatamente después de una limpieza dental? Conoce qué es una limpieza dental y cuáles son los consejos después de una limpieza dental profunda, así como sus. Limpieza Dental Que Hacer Despues.
From www.gingidenculleredo.es
Limpieza dental ¿Qué tipos hay? Clínica Dental Gingiden Dentista Limpieza Dental Que Hacer Despues Evita consumir alimentos y bebidas durante al. Conoce qué es una limpieza dental y cuáles son los consejos después de una limpieza dental profunda, así como sus beneficios a largo plazo. ¿qué esperar después de una limpieza dental? La profilaxis dental, o limpieza dental profunda, es un importante tratamiento con el que eliminamos en profundidad las bacterias que no han. Limpieza Dental Que Hacer Despues.
From www.pinterest.com
Antes y después de una limpieza Limpieza dental, Limpieza Limpieza Dental Que Hacer Despues Evita consumir alimentos y bebidas durante al. Aquí te presentamos siete consejos imprescindibles sobre qué hacer después de una limpieza dental. Tras someterse a una limpieza dental, es natural que surjan preguntas y preocupaciones sobre los cuidados posteriores. La profilaxis dental, o limpieza dental profunda, es un importante tratamiento con el que eliminamos en profundidad las bacterias que no han. Limpieza Dental Que Hacer Despues.
From clinicadentalpalomero.com
¿En qué consiste una limpieza dental profunda y cuándo hay que hacerla Limpieza Dental Que Hacer Despues Evita alimentos y bebidas que. Los cuidados después de una limpieza dental son esenciales. Es muy útil para prevenir enfermedades como la gingivitis y las caries. ¿qué esperar después de una limpieza dental? Después de someterte a una limpieza dental, es común experimentar. Sin embargo, es muy importante llevar a cabo una serie de recomendaciones despues de una limpieza dental. Limpieza Dental Que Hacer Despues.
From dentaldosdoce.es
Especialistas en limpieza dental Madrid Limpieza Dental Que Hacer Despues ¿qué hacer inmediatamente después de una limpieza dental? La profilaxis dental o limpieza dental es un tratamiento que debemos realizar al menos una vez al año para prevenir enfermedades orales. Sigue con una rutina diaria. ¿qué esperar después de una limpieza dental? Una vez completada la limpieza dental, es importante seguir estas recomendaciones: Evita alimentos y bebidas que. Aquí te. Limpieza Dental Que Hacer Despues.
From myodent.es
Realizar una limpieza dental cada cuánto tiempo Myodent Limpieza Dental Que Hacer Despues Descubre qué hacer después de una limpieza dental para mantener una sonrisa saludable. Conoce qué es una limpieza dental y cuáles son los consejos después de una limpieza dental profunda, así como sus beneficios a largo plazo. Tras someterse a una limpieza dental, es natural que surjan preguntas y preocupaciones sobre los cuidados posteriores. Los cuidados después de una limpieza. Limpieza Dental Que Hacer Despues.
From clinicadentalsedano.es
Cada cuánto hacer una Limpieza Dental Limpieza Dental Que Hacer Despues Aquí te presentamos siete consejos imprescindibles sobre qué hacer después de una limpieza dental. Los cuidados después de una limpieza dental son esenciales. Tras someterse a una limpieza dental, es natural que surjan preguntas y preocupaciones sobre los cuidados posteriores. Evita consumir alimentos y bebidas durante al. Una vez completada la limpieza dental, es importante seguir estas recomendaciones: Conoce qué. Limpieza Dental Que Hacer Despues.
From clinicasubiza.com
¿Qué es una limpieza dental y que incluye? Limpieza Dental Que Hacer Despues Evita alimentos y bebidas que. Sin embargo, es muy importante llevar a cabo una serie de recomendaciones despues de una limpieza dental si queremos que el mantenimiento sea óptimo. Sigue con una rutina diaria. La profilaxis dental o limpieza dental es un tratamiento que debemos realizar al menos una vez al año para prevenir enfermedades orales. Descubre qué hacer después. Limpieza Dental Que Hacer Despues.
From martlabpro.com
Sarro Limpieza Dental Antes Y Después ¿Qué Es Y Cómo Se Hace? MartLabPro Limpieza Dental Que Hacer Despues Los cuidados después de una limpieza dental son esenciales. Aquí te presentamos siete consejos imprescindibles sobre qué hacer después de una limpieza dental. Sigue con una rutina diaria. ¿qué esperar después de una limpieza dental? Conoce qué es una limpieza dental y cuáles son los consejos después de una limpieza dental profunda, así como sus beneficios a largo plazo. La. Limpieza Dental Que Hacer Despues.
From clinicadentalpalomero.com
Enqueconsisteunalimpiezadentalprofundaycuandohayquehacerla Limpieza Dental Que Hacer Despues Los cuidados después de una limpieza dental son esenciales. ¿qué hacer inmediatamente después de una limpieza dental? Sigue con una rutina diaria. Descubre qué hacer después de una limpieza dental para mantener una sonrisa saludable. Es muy útil para prevenir enfermedades como la gingivitis y las caries. Tras someterse a una limpieza dental, es natural que surjan preguntas y preocupaciones. Limpieza Dental Que Hacer Despues.
From dinosenglish.edu.vn
Lista 96+ Foto Antes Y Después De Limpieza Dental Actualizar Limpieza Dental Que Hacer Despues Descubre qué hacer después de una limpieza dental para mantener una sonrisa saludable. Sigue con una rutina diaria. Una vez completada la limpieza dental, es importante seguir estas recomendaciones: Después de someterte a una limpieza dental, es común experimentar. ¿qué hacer inmediatamente después de una limpieza dental? Evita alimentos y bebidas que. Los cuidados después de una limpieza dental son. Limpieza Dental Que Hacer Despues.
From www.clinicasesteticas.cl
Limpieza dental Antes y después Clinicasesteticas.cl Limpieza Dental Que Hacer Despues Conoce qué es una limpieza dental y cuáles son los consejos después de una limpieza dental profunda, así como sus beneficios a largo plazo. Tras someterse a una limpieza dental, es natural que surjan preguntas y preocupaciones sobre los cuidados posteriores. Es muy útil para prevenir enfermedades como la gingivitis y las caries. Evita alimentos y bebidas que. Una vez. Limpieza Dental Que Hacer Despues.
From dinosenglish.edu.vn
Lista 96+ Foto Antes Y Después De Limpieza Dental Actualizar Limpieza Dental Que Hacer Despues Sin embargo, es muy importante llevar a cabo una serie de recomendaciones despues de una limpieza dental si queremos que el mantenimiento sea óptimo. ¿qué hacer inmediatamente después de una limpieza dental? Es muy útil para prevenir enfermedades como la gingivitis y las caries. Descubre qué hacer después de una limpieza dental para mantener una sonrisa saludable. Los cuidados después. Limpieza Dental Que Hacer Despues.
From clinicadentalzoe.es
Tratamiento de Limpieza Dental Dentistas Zaragoza Clínica Dental ZOE Limpieza Dental Que Hacer Despues Sin embargo, es muy importante llevar a cabo una serie de recomendaciones despues de una limpieza dental si queremos que el mantenimiento sea óptimo. ¿qué esperar después de una limpieza dental? Evita alimentos y bebidas que. Una vez completada la limpieza dental, es importante seguir estas recomendaciones: Aquí te presentamos siete consejos imprescindibles sobre qué hacer después de una limpieza. Limpieza Dental Que Hacer Despues.
From blog.sakardental.mx
¿Cuándo se hacer una limpieza dental? Limpieza Dental Que Hacer Despues Sin embargo, es muy importante llevar a cabo una serie de recomendaciones despues de una limpieza dental si queremos que el mantenimiento sea óptimo. Evita alimentos y bebidas que. Una vez completada la limpieza dental, es importante seguir estas recomendaciones: Los cuidados después de una limpieza dental son esenciales. La profilaxis dental, o limpieza dental profunda, es un importante tratamiento. Limpieza Dental Que Hacer Despues.
From clinicadentalbarrasoto.com
Limpieza dental profesional Clínica Dental Dra. Mª José Barra Soto Limpieza Dental Que Hacer Despues ¿qué hacer inmediatamente después de una limpieza dental? ¿qué esperar después de una limpieza dental? La profilaxis dental, o limpieza dental profunda, es un importante tratamiento con el que eliminamos en profundidad las bacterias que no han podido ser alcanzadas con una rutina de higiene en casa. Evita consumir alimentos y bebidas durante al. Es muy útil para prevenir enfermedades. Limpieza Dental Que Hacer Despues.
From clinicadodental.com
Limpieza dental profunda antes y después Limpieza Dental Que Hacer Despues Tras someterse a una limpieza dental, es natural que surjan preguntas y preocupaciones sobre los cuidados posteriores. Una vez completada la limpieza dental, es importante seguir estas recomendaciones: Evita alimentos y bebidas que. Evita consumir alimentos y bebidas durante al. Descubre qué hacer después de una limpieza dental para mantener una sonrisa saludable. ¿qué esperar después de una limpieza dental?. Limpieza Dental Que Hacer Despues.