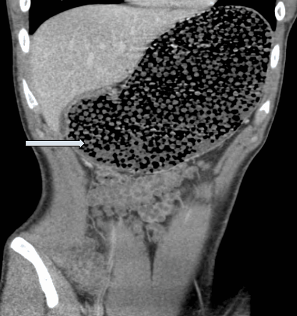
Water Beads Xray . The label says 'nontoxic.' but are they? Water beads, often sold as toys, in craft kits, as sensory tools for children with developmental disabilities or for agricultural use, are small,. Ingested water beads can be readily detected on pocus given the physical and. If there is obviously a water bead in the intestine, attempts will be made to remove it via either endoscopy or surgery. However, they may be spotted using ultrasound, but as with any ultrasound, some of the beads may be missed. What is new in the.
from whmis.uwinnipeg.ca
Ingested water beads can be readily detected on pocus given the physical and. Water beads, often sold as toys, in craft kits, as sensory tools for children with developmental disabilities or for agricultural use, are small,. What is new in the. The label says 'nontoxic.' but are they? However, they may be spotted using ultrasound, but as with any ultrasound, some of the beads may be missed. If there is obviously a water bead in the intestine, attempts will be made to remove it via either endoscopy or surgery.
water beads
Water Beads Xray If there is obviously a water bead in the intestine, attempts will be made to remove it via either endoscopy or surgery. If there is obviously a water bead in the intestine, attempts will be made to remove it via either endoscopy or surgery. The label says 'nontoxic.' but are they? Water beads, often sold as toys, in craft kits, as sensory tools for children with developmental disabilities or for agricultural use, are small,. What is new in the. However, they may be spotted using ultrasound, but as with any ultrasound, some of the beads may be missed. Ingested water beads can be readily detected on pocus given the physical and.
From www.smithsonianmag.com
How Water Beads Form Smithsonian Magazine Water Beads Xray Ingested water beads can be readily detected on pocus given the physical and. However, they may be spotted using ultrasound, but as with any ultrasound, some of the beads may be missed. If there is obviously a water bead in the intestine, attempts will be made to remove it via either endoscopy or surgery. The label says 'nontoxic.' but are. Water Beads Xray.
From tinyhearts.com
Water Beads What You Need to Know Tiny Hearts Water Beads Xray Ingested water beads can be readily detected on pocus given the physical and. If there is obviously a water bead in the intestine, attempts will be made to remove it via either endoscopy or surgery. Water beads, often sold as toys, in craft kits, as sensory tools for children with developmental disabilities or for agricultural use, are small,. What is. Water Beads Xray.
From www.reddit.com
Small bowel obstruction on xray "String of beads" sign r/Radiology Water Beads Xray What is new in the. The label says 'nontoxic.' but are they? However, they may be spotted using ultrasound, but as with any ultrasound, some of the beads may be missed. Ingested water beads can be readily detected on pocus given the physical and. If there is obviously a water bead in the intestine, attempts will be made to remove. Water Beads Xray.
From tinyhearts.com
Water Beads What You Need to Know Tiny Hearts Water Beads Xray If there is obviously a water bead in the intestine, attempts will be made to remove it via either endoscopy or surgery. Ingested water beads can be readily detected on pocus given the physical and. What is new in the. Water beads, often sold as toys, in craft kits, as sensory tools for children with developmental disabilities or for agricultural. Water Beads Xray.
From radiopaedia.org
Antibiotic impregnated beads Image Water Beads Xray What is new in the. Ingested water beads can be readily detected on pocus given the physical and. The label says 'nontoxic.' but are they? If there is obviously a water bead in the intestine, attempts will be made to remove it via either endoscopy or surgery. However, they may be spotted using ultrasound, but as with any ultrasound, some. Water Beads Xray.
From toronto.ctvnews.ca
Infant needed surgery after swallowing water beads Water Beads Xray Water beads, often sold as toys, in craft kits, as sensory tools for children with developmental disabilities or for agricultural use, are small,. However, they may be spotted using ultrasound, but as with any ultrasound, some of the beads may be missed. Ingested water beads can be readily detected on pocus given the physical and. What is new in the.. Water Beads Xray.
From www.researchgate.net
Antibiotic beads. Radiograph of the distal tibia and fibula shows Water Beads Xray If there is obviously a water bead in the intestine, attempts will be made to remove it via either endoscopy or surgery. What is new in the. Ingested water beads can be readily detected on pocus given the physical and. Water beads, often sold as toys, in craft kits, as sensory tools for children with developmental disabilities or for agricultural. Water Beads Xray.
From www.pressenza.com
WARNING Water Beads Toy is Dangerous to Child’s Health Water Beads Xray Water beads, often sold as toys, in craft kits, as sensory tools for children with developmental disabilities or for agricultural use, are small,. However, they may be spotted using ultrasound, but as with any ultrasound, some of the beads may be missed. If there is obviously a water bead in the intestine, attempts will be made to remove it via. Water Beads Xray.
From www.youtube.com
Water Spray Magic Beads DIY Kit (Aquabeads Pixos Beados) Pixel Art Water Beads Xray Ingested water beads can be readily detected on pocus given the physical and. If there is obviously a water bead in the intestine, attempts will be made to remove it via either endoscopy or surgery. Water beads, often sold as toys, in craft kits, as sensory tools for children with developmental disabilities or for agricultural use, are small,. The label. Water Beads Xray.
From www.researchgate.net
A) chest Xray showing stomach dilation, prominent gastric air bubble Water Beads Xray The label says 'nontoxic.' but are they? However, they may be spotted using ultrasound, but as with any ultrasound, some of the beads may be missed. Water beads, often sold as toys, in craft kits, as sensory tools for children with developmental disabilities or for agricultural use, are small,. Ingested water beads can be readily detected on pocus given the. Water Beads Xray.
From www.mdpi.com
Condensed Matter Free FullText Xray MicroTomography as a Method Water Beads Xray Ingested water beads can be readily detected on pocus given the physical and. What is new in the. The label says 'nontoxic.' but are they? Water beads, often sold as toys, in craft kits, as sensory tools for children with developmental disabilities or for agricultural use, are small,. If there is obviously a water bead in the intestine, attempts will. Water Beads Xray.
From tinyhearts.com
Water Beads What You Need to Know Tiny Hearts Water Beads Xray Ingested water beads can be readily detected on pocus given the physical and. The label says 'nontoxic.' but are they? If there is obviously a water bead in the intestine, attempts will be made to remove it via either endoscopy or surgery. Water beads, often sold as toys, in craft kits, as sensory tools for children with developmental disabilities or. Water Beads Xray.
From sumerdoc.blogspot.com
String of Beads SignSmall Bowel Obstruction Sumer's Radiology Blog Water Beads Xray If there is obviously a water bead in the intestine, attempts will be made to remove it via either endoscopy or surgery. However, they may be spotted using ultrasound, but as with any ultrasound, some of the beads may be missed. Ingested water beads can be readily detected on pocus given the physical and. Water beads, often sold as toys,. Water Beads Xray.
From www.cureus.com
The Gastric Obstruction Due to Orbeez Beads Ingestion A Case Report Water Beads Xray Ingested water beads can be readily detected on pocus given the physical and. If there is obviously a water bead in the intestine, attempts will be made to remove it via either endoscopy or surgery. The label says 'nontoxic.' but are they? What is new in the. However, they may be spotted using ultrasound, but as with any ultrasound, some. Water Beads Xray.
From www.researchgate.net
Post Antibiotics beads xray showing the beads in right iliac region Water Beads Xray Ingested water beads can be readily detected on pocus given the physical and. What is new in the. Water beads, often sold as toys, in craft kits, as sensory tools for children with developmental disabilities or for agricultural use, are small,. If there is obviously a water bead in the intestine, attempts will be made to remove it via either. Water Beads Xray.
From www.researchgate.net
Plain abdominal Xray showing an obstruction and dilated intestinal Water Beads Xray If there is obviously a water bead in the intestine, attempts will be made to remove it via either endoscopy or surgery. However, they may be spotted using ultrasound, but as with any ultrasound, some of the beads may be missed. What is new in the. Ingested water beads can be readily detected on pocus given the physical and. Water. Water Beads Xray.
From mom.com
Water Beads Why They Can Be Dangerous for Your Child Water Beads Xray The label says 'nontoxic.' but are they? However, they may be spotted using ultrasound, but as with any ultrasound, some of the beads may be missed. Water beads, often sold as toys, in craft kits, as sensory tools for children with developmental disabilities or for agricultural use, are small,. What is new in the. If there is obviously a water. Water Beads Xray.
From radiopaedia.org
Image Water Beads Xray Water beads, often sold as toys, in craft kits, as sensory tools for children with developmental disabilities or for agricultural use, are small,. However, they may be spotted using ultrasound, but as with any ultrasound, some of the beads may be missed. If there is obviously a water bead in the intestine, attempts will be made to remove it via. Water Beads Xray.
From www.researchgate.net
(PDF) A case of ingested water beads diagnosed with pointofcare Water Beads Xray Ingested water beads can be readily detected on pocus given the physical and. Water beads, often sold as toys, in craft kits, as sensory tools for children with developmental disabilities or for agricultural use, are small,. If there is obviously a water bead in the intestine, attempts will be made to remove it via either endoscopy or surgery. The label. Water Beads Xray.
From www.etsy.com
Large Water Gel Beads 3.5 Ounces 100pcs Giant Water Jelly Etsy Water Beads Xray The label says 'nontoxic.' but are they? Ingested water beads can be readily detected on pocus given the physical and. What is new in the. If there is obviously a water bead in the intestine, attempts will be made to remove it via either endoscopy or surgery. Water beads, often sold as toys, in craft kits, as sensory tools for. Water Beads Xray.
From www.indianradiology.com
String of Pearls SignIntestinal Obstruction Sumer's Radiology Blog Water Beads Xray Water beads, often sold as toys, in craft kits, as sensory tools for children with developmental disabilities or for agricultural use, are small,. What is new in the. If there is obviously a water bead in the intestine, attempts will be made to remove it via either endoscopy or surgery. However, they may be spotted using ultrasound, but as with. Water Beads Xray.
From bantoxics.org
WARNING Water Beads Toy is Dangerous to Child’s Health BAN Toxics Water Beads Xray Ingested water beads can be readily detected on pocus given the physical and. The label says 'nontoxic.' but are they? Water beads, often sold as toys, in craft kits, as sensory tools for children with developmental disabilities or for agricultural use, are small,. If there is obviously a water bead in the intestine, attempts will be made to remove it. Water Beads Xray.
From journal.medizzy.com
3YearOld Swallowed Beads that Got Stuck in His Throat Water Beads Xray If there is obviously a water bead in the intestine, attempts will be made to remove it via either endoscopy or surgery. However, they may be spotted using ultrasound, but as with any ultrasound, some of the beads may be missed. The label says 'nontoxic.' but are they? What is new in the. Ingested water beads can be readily detected. Water Beads Xray.
From www.netmums.com
Frightening video shows how quickly water beads can kill children when Water Beads Xray What is new in the. Water beads, often sold as toys, in craft kits, as sensory tools for children with developmental disabilities or for agricultural use, are small,. If there is obviously a water bead in the intestine, attempts will be made to remove it via either endoscopy or surgery. The label says 'nontoxic.' but are they? However, they may. Water Beads Xray.
From www.msn.com
Water beads are toxic and pose huge safety risks for kids, warns CPSC Water Beads Xray What is new in the. Ingested water beads can be readily detected on pocus given the physical and. The label says 'nontoxic.' but are they? Water beads, often sold as toys, in craft kits, as sensory tools for children with developmental disabilities or for agricultural use, are small,. If there is obviously a water bead in the intestine, attempts will. Water Beads Xray.
From www.researchgate.net
(PDF) Two cases of intestinal obstruction due to ingestion of water beads Water Beads Xray Water beads, often sold as toys, in craft kits, as sensory tools for children with developmental disabilities or for agricultural use, are small,. If there is obviously a water bead in the intestine, attempts will be made to remove it via either endoscopy or surgery. Ingested water beads can be readily detected on pocus given the physical and. However, they. Water Beads Xray.
From www.cpsc.gov
Water Beads CPSC.gov Water Beads Xray What is new in the. However, they may be spotted using ultrasound, but as with any ultrasound, some of the beads may be missed. Ingested water beads can be readily detected on pocus given the physical and. Water beads, often sold as toys, in craft kits, as sensory tools for children with developmental disabilities or for agricultural use, are small,.. Water Beads Xray.
From whmis.uwinnipeg.ca
water beads Water Beads Xray Ingested water beads can be readily detected on pocus given the physical and. If there is obviously a water bead in the intestine, attempts will be made to remove it via either endoscopy or surgery. However, they may be spotted using ultrasound, but as with any ultrasound, some of the beads may be missed. Water beads, often sold as toys,. Water Beads Xray.
From www.articlecube.com
How to Get Rid of Water Beads in Eco Friendly Way? ArticleCube Water Beads Xray What is new in the. Ingested water beads can be readily detected on pocus given the physical and. However, they may be spotted using ultrasound, but as with any ultrasound, some of the beads may be missed. The label says 'nontoxic.' but are they? If there is obviously a water bead in the intestine, attempts will be made to remove. Water Beads Xray.
From specialsupplies.com
Sensory Water Beads 8 oz (20,000 beads!) Water Beads Xray The label says 'nontoxic.' but are they? However, they may be spotted using ultrasound, but as with any ultrasound, some of the beads may be missed. If there is obviously a water bead in the intestine, attempts will be made to remove it via either endoscopy or surgery. Ingested water beads can be readily detected on pocus given the physical. Water Beads Xray.
From radiologykey.com
Small Bowel Obstruction Radiology Key Water Beads Xray Water beads, often sold as toys, in craft kits, as sensory tools for children with developmental disabilities or for agricultural use, are small,. If there is obviously a water bead in the intestine, attempts will be made to remove it via either endoscopy or surgery. The label says 'nontoxic.' but are they? However, they may be spotted using ultrasound, but. Water Beads Xray.
From www.researchgate.net
Simple abdominal xrays. (A) At the first visit, there are 3 beads seen Water Beads Xray What is new in the. If there is obviously a water bead in the intestine, attempts will be made to remove it via either endoscopy or surgery. Water beads, often sold as toys, in craft kits, as sensory tools for children with developmental disabilities or for agricultural use, are small,. However, they may be spotted using ultrasound, but as with. Water Beads Xray.
From www.msn.com
Doctor reveals how water beads can be deadly after recent deaths Water Beads Xray Water beads, often sold as toys, in craft kits, as sensory tools for children with developmental disabilities or for agricultural use, are small,. What is new in the. However, they may be spotted using ultrasound, but as with any ultrasound, some of the beads may be missed. The label says 'nontoxic.' but are they? If there is obviously a water. Water Beads Xray.
From siliconebeadstore.com
Radioactive Silicone Focal Bead, Xray Focal Bead, Glow in the Dark Ske Water Beads Xray However, they may be spotted using ultrasound, but as with any ultrasound, some of the beads may be missed. The label says 'nontoxic.' but are they? What is new in the. If there is obviously a water bead in the intestine, attempts will be made to remove it via either endoscopy or surgery. Water beads, often sold as toys, in. Water Beads Xray.
From radiopaedia.org
Antibiotic beads Image Water Beads Xray Water beads, often sold as toys, in craft kits, as sensory tools for children with developmental disabilities or for agricultural use, are small,. What is new in the. However, they may be spotted using ultrasound, but as with any ultrasound, some of the beads may be missed. Ingested water beads can be readily detected on pocus given the physical and.. Water Beads Xray.