Trauma Chest Tube Insertion . Most tubes can be removed without suture skin closure, but in children and adults with very low body mass index (calculated as weight in kilograms divided by height in meters squared), placement of an untied adjunctive chest tube suture at the time of insertion allows for closure of skin defects at the time of tube removal, especially large. Our hypothesis is that the standardized treatment of trauma patients undergoing chest tube management for blunt or. Use large clamp to dissect cephalad, tunneling up at least one rib space. Numerous advances have permitted safe use of tube thoracostomy for treatment of spontaneous or iatrogenic pneumothoracies and hydrothoracies. Once at the rib, place the tips of the clamp at the superior edge of the rib and apply firm pressure to pass. This activity reviews the indications, contraindications,. Traumatic injuries to the chest wall and lung often result in pneumothorax or hemopneumothorax. Most of these injuries will. Tension pneumothorax can be treated with needle decompression, simple thoracostomy (without chest tube insertion), or tube. The technique requires an understanding of the chest anatomy, equipment, indications, and. A chest tube, or a thoracostomy tube, is a flexible tube that can be inserted through the chest wall and into the pleural space.
from www.slideserve.com
This activity reviews the indications, contraindications,. A chest tube, or a thoracostomy tube, is a flexible tube that can be inserted through the chest wall and into the pleural space. Tension pneumothorax can be treated with needle decompression, simple thoracostomy (without chest tube insertion), or tube. Most tubes can be removed without suture skin closure, but in children and adults with very low body mass index (calculated as weight in kilograms divided by height in meters squared), placement of an untied adjunctive chest tube suture at the time of insertion allows for closure of skin defects at the time of tube removal, especially large. Traumatic injuries to the chest wall and lung often result in pneumothorax or hemopneumothorax. Once at the rib, place the tips of the clamp at the superior edge of the rib and apply firm pressure to pass. The technique requires an understanding of the chest anatomy, equipment, indications, and. Use large clamp to dissect cephalad, tunneling up at least one rib space. Numerous advances have permitted safe use of tube thoracostomy for treatment of spontaneous or iatrogenic pneumothoracies and hydrothoracies. Our hypothesis is that the standardized treatment of trauma patients undergoing chest tube management for blunt or.
PPT CHEST TRAUMA PowerPoint Presentation, free download ID7083878
Trauma Chest Tube Insertion Tension pneumothorax can be treated with needle decompression, simple thoracostomy (without chest tube insertion), or tube. Traumatic injuries to the chest wall and lung often result in pneumothorax or hemopneumothorax. Most of these injuries will. Tension pneumothorax can be treated with needle decompression, simple thoracostomy (without chest tube insertion), or tube. Most tubes can be removed without suture skin closure, but in children and adults with very low body mass index (calculated as weight in kilograms divided by height in meters squared), placement of an untied adjunctive chest tube suture at the time of insertion allows for closure of skin defects at the time of tube removal, especially large. A chest tube, or a thoracostomy tube, is a flexible tube that can be inserted through the chest wall and into the pleural space. This activity reviews the indications, contraindications,. Once at the rib, place the tips of the clamp at the superior edge of the rib and apply firm pressure to pass. Numerous advances have permitted safe use of tube thoracostomy for treatment of spontaneous or iatrogenic pneumothoracies and hydrothoracies. Our hypothesis is that the standardized treatment of trauma patients undergoing chest tube management for blunt or. The technique requires an understanding of the chest anatomy, equipment, indications, and. Use large clamp to dissect cephalad, tunneling up at least one rib space.
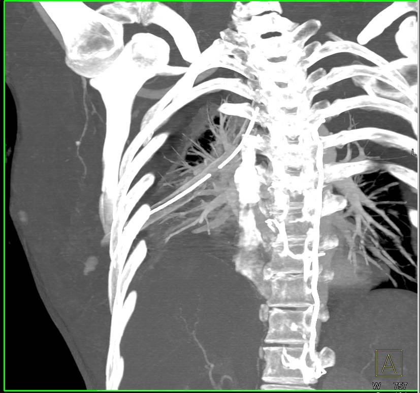
From gmka.org
Chest Tube Placement Trauma Surgery GMKA Global Medical Knowledge Trauma Chest Tube Insertion Most of these injuries will. Our hypothesis is that the standardized treatment of trauma patients undergoing chest tube management for blunt or. Tension pneumothorax can be treated with needle decompression, simple thoracostomy (without chest tube insertion), or tube. Traumatic injuries to the chest wall and lung often result in pneumothorax or hemopneumothorax. A chest tube, or a thoracostomy tube, is. Trauma Chest Tube Insertion.
From www.youtube.com
Surgeon Shows How to Place a CHEST TUBE Behind the Knife Bedside Trauma Chest Tube Insertion Traumatic injuries to the chest wall and lung often result in pneumothorax or hemopneumothorax. Use large clamp to dissect cephalad, tunneling up at least one rib space. Numerous advances have permitted safe use of tube thoracostomy for treatment of spontaneous or iatrogenic pneumothoracies and hydrothoracies. Once at the rib, place the tips of the clamp at the superior edge of. Trauma Chest Tube Insertion.
From www.medicalnewstoday.com
Chest tube insertion Uses, procedure, and recovery Trauma Chest Tube Insertion This activity reviews the indications, contraindications,. Use large clamp to dissect cephalad, tunneling up at least one rib space. Traumatic injuries to the chest wall and lung often result in pneumothorax or hemopneumothorax. Most of these injuries will. Our hypothesis is that the standardized treatment of trauma patients undergoing chest tube management for blunt or. Numerous advances have permitted safe. Trauma Chest Tube Insertion.
From www.ctisus.com
Trauma with Chest Wall Bleed and Pulmonary Hemorrhage Following Chest Trauma Chest Tube Insertion A chest tube, or a thoracostomy tube, is a flexible tube that can be inserted through the chest wall and into the pleural space. Most tubes can be removed without suture skin closure, but in children and adults with very low body mass index (calculated as weight in kilograms divided by height in meters squared), placement of an untied adjunctive. Trauma Chest Tube Insertion.
From www.healthline.com
Chest Tube Insertion Purpose, Procedure & Risks Trauma Chest Tube Insertion Use large clamp to dissect cephalad, tunneling up at least one rib space. The technique requires an understanding of the chest anatomy, equipment, indications, and. Traumatic injuries to the chest wall and lung often result in pneumothorax or hemopneumothorax. A chest tube, or a thoracostomy tube, is a flexible tube that can be inserted through the chest wall and into. Trauma Chest Tube Insertion.
From www.ctisus.com
Trauma with Chest Wall Bleed and Pulmonary Hemorrhage Following Chest Trauma Chest Tube Insertion Once at the rib, place the tips of the clamp at the superior edge of the rib and apply firm pressure to pass. Use large clamp to dissect cephalad, tunneling up at least one rib space. A chest tube, or a thoracostomy tube, is a flexible tube that can be inserted through the chest wall and into the pleural space.. Trauma Chest Tube Insertion.
From surgicaltechie.com
Chest Tube Insertion Procedure Trauma Chest Tube Insertion Our hypothesis is that the standardized treatment of trauma patients undergoing chest tube management for blunt or. Use large clamp to dissect cephalad, tunneling up at least one rib space. This activity reviews the indications, contraindications,. Numerous advances have permitted safe use of tube thoracostomy for treatment of spontaneous or iatrogenic pneumothoracies and hydrothoracies. Traumatic injuries to the chest wall. Trauma Chest Tube Insertion.
From ar.inspiredpencil.com
Chest Tube Insertion Trauma Chest Tube Insertion Most tubes can be removed without suture skin closure, but in children and adults with very low body mass index (calculated as weight in kilograms divided by height in meters squared), placement of an untied adjunctive chest tube suture at the time of insertion allows for closure of skin defects at the time of tube removal, especially large. A chest. Trauma Chest Tube Insertion.
From www.youtube.com
Chest tube insertion procedure clinical skills procedure YouTube Trauma Chest Tube Insertion A chest tube, or a thoracostomy tube, is a flexible tube that can be inserted through the chest wall and into the pleural space. This activity reviews the indications, contraindications,. Numerous advances have permitted safe use of tube thoracostomy for treatment of spontaneous or iatrogenic pneumothoracies and hydrothoracies. The technique requires an understanding of the chest anatomy, equipment, indications, and.. Trauma Chest Tube Insertion.
From www.youtube.com
Simulated surgical chest tube insertion in traumatic pneumothorax YouTube Trauma Chest Tube Insertion This activity reviews the indications, contraindications,. The technique requires an understanding of the chest anatomy, equipment, indications, and. A chest tube, or a thoracostomy tube, is a flexible tube that can be inserted through the chest wall and into the pleural space. Traumatic injuries to the chest wall and lung often result in pneumothorax or hemopneumothorax. Once at the rib,. Trauma Chest Tube Insertion.
From www.researchgate.net
Percutaneous insertion of a chest tube using the Seldinger technique Trauma Chest Tube Insertion A chest tube, or a thoracostomy tube, is a flexible tube that can be inserted through the chest wall and into the pleural space. The technique requires an understanding of the chest anatomy, equipment, indications, and. Most of these injuries will. Tension pneumothorax can be treated with needle decompression, simple thoracostomy (without chest tube insertion), or tube. Numerous advances have. Trauma Chest Tube Insertion.
From www.ctisus.com
Trauma with Chest Wall Bleed and Pulmonary Hemorrhage Following Chest Trauma Chest Tube Insertion Traumatic injuries to the chest wall and lung often result in pneumothorax or hemopneumothorax. Numerous advances have permitted safe use of tube thoracostomy for treatment of spontaneous or iatrogenic pneumothoracies and hydrothoracies. This activity reviews the indications, contraindications,. Most tubes can be removed without suture skin closure, but in children and adults with very low body mass index (calculated as. Trauma Chest Tube Insertion.
From www.ctisus.com
Trauma with Chest Wall Bleed and Pulmonary Hemorrhage Following Chest Trauma Chest Tube Insertion Our hypothesis is that the standardized treatment of trauma patients undergoing chest tube management for blunt or. Most tubes can be removed without suture skin closure, but in children and adults with very low body mass index (calculated as weight in kilograms divided by height in meters squared), placement of an untied adjunctive chest tube suture at the time of. Trauma Chest Tube Insertion.
From quadmed.com
Chest Tube Insertion Kit Trauma Chest Tube Insertion Numerous advances have permitted safe use of tube thoracostomy for treatment of spontaneous or iatrogenic pneumothoracies and hydrothoracies. Most tubes can be removed without suture skin closure, but in children and adults with very low body mass index (calculated as weight in kilograms divided by height in meters squared), placement of an untied adjunctive chest tube suture at the time. Trauma Chest Tube Insertion.
From gbu-taganskij.ru
Chest Tube Placement Trauma Surgery GMKA Global Medical, 40 OFF Trauma Chest Tube Insertion Traumatic injuries to the chest wall and lung often result in pneumothorax or hemopneumothorax. The technique requires an understanding of the chest anatomy, equipment, indications, and. Tension pneumothorax can be treated with needle decompression, simple thoracostomy (without chest tube insertion), or tube. Our hypothesis is that the standardized treatment of trauma patients undergoing chest tube management for blunt or. Most. Trauma Chest Tube Insertion.
From svauto.dk
Chest Tube Insertion Uses, Procedure, And Recovery Trauma Chest Tube Insertion Our hypothesis is that the standardized treatment of trauma patients undergoing chest tube management for blunt or. Most tubes can be removed without suture skin closure, but in children and adults with very low body mass index (calculated as weight in kilograms divided by height in meters squared), placement of an untied adjunctive chest tube suture at the time of. Trauma Chest Tube Insertion.
From www.slideserve.com
PPT CHEST TRAUMA PowerPoint Presentation, free download ID7083878 Trauma Chest Tube Insertion Once at the rib, place the tips of the clamp at the superior edge of the rib and apply firm pressure to pass. The technique requires an understanding of the chest anatomy, equipment, indications, and. This activity reviews the indications, contraindications,. Most of these injuries will. Traumatic injuries to the chest wall and lung often result in pneumothorax or hemopneumothorax.. Trauma Chest Tube Insertion.
From slidetodoc.com
Chest Trauma Chest Tubes Underwater Seal Drainage By Trauma Chest Tube Insertion Our hypothesis is that the standardized treatment of trauma patients undergoing chest tube management for blunt or. A chest tube, or a thoracostomy tube, is a flexible tube that can be inserted through the chest wall and into the pleural space. Once at the rib, place the tips of the clamp at the superior edge of the rib and apply. Trauma Chest Tube Insertion.
From gmka.org
Chest Tube Placement Trauma Surgery GMKA Global Medical Knowledge Trauma Chest Tube Insertion Most of these injuries will. Tension pneumothorax can be treated with needle decompression, simple thoracostomy (without chest tube insertion), or tube. Numerous advances have permitted safe use of tube thoracostomy for treatment of spontaneous or iatrogenic pneumothoracies and hydrothoracies. This activity reviews the indications, contraindications,. Our hypothesis is that the standardized treatment of trauma patients undergoing chest tube management for. Trauma Chest Tube Insertion.
From www.ctisus.com
Trauma with Chest Wall Bleed and Pulmonary Hemorrhage Following Chest Trauma Chest Tube Insertion The technique requires an understanding of the chest anatomy, equipment, indications, and. A chest tube, or a thoracostomy tube, is a flexible tube that can be inserted through the chest wall and into the pleural space. Our hypothesis is that the standardized treatment of trauma patients undergoing chest tube management for blunt or. Tension pneumothorax can be treated with needle. Trauma Chest Tube Insertion.
From www.medicalnewstoday.com
Chest tube insertion Uses, procedure, and recovery Trauma Chest Tube Insertion Traumatic injuries to the chest wall and lung often result in pneumothorax or hemopneumothorax. Once at the rib, place the tips of the clamp at the superior edge of the rib and apply firm pressure to pass. Numerous advances have permitted safe use of tube thoracostomy for treatment of spontaneous or iatrogenic pneumothoracies and hydrothoracies. Tension pneumothorax can be treated. Trauma Chest Tube Insertion.
From edrive.ucsf.edu
Trauma Chest Tube Guideline UCSF Trauma Chest Tube Insertion Traumatic injuries to the chest wall and lung often result in pneumothorax or hemopneumothorax. Tension pneumothorax can be treated with needle decompression, simple thoracostomy (without chest tube insertion), or tube. This activity reviews the indications, contraindications,. Our hypothesis is that the standardized treatment of trauma patients undergoing chest tube management for blunt or. A chest tube, or a thoracostomy tube,. Trauma Chest Tube Insertion.
From medvr.education
Chest Tube Insertion MedVR Education Trauma Chest Tube Insertion Most tubes can be removed without suture skin closure, but in children and adults with very low body mass index (calculated as weight in kilograms divided by height in meters squared), placement of an untied adjunctive chest tube suture at the time of insertion allows for closure of skin defects at the time of tube removal, especially large. Our hypothesis. Trauma Chest Tube Insertion.
From mungfali.com
Chest Tube Incision Trauma Chest Tube Insertion Use large clamp to dissect cephalad, tunneling up at least one rib space. Once at the rib, place the tips of the clamp at the superior edge of the rib and apply firm pressure to pass. Tension pneumothorax can be treated with needle decompression, simple thoracostomy (without chest tube insertion), or tube. Most tubes can be removed without suture skin. Trauma Chest Tube Insertion.
From blog.naver.com
흉관 삽입술(Chest tube drainage, Insertion, Thoracostomy, 기흉, 혈흉 Trauma Chest Tube Insertion Use large clamp to dissect cephalad, tunneling up at least one rib space. This activity reviews the indications, contraindications,. Our hypothesis is that the standardized treatment of trauma patients undergoing chest tube management for blunt or. Numerous advances have permitted safe use of tube thoracostomy for treatment of spontaneous or iatrogenic pneumothoracies and hydrothoracies. Traumatic injuries to the chest wall. Trauma Chest Tube Insertion.
From www.ctisus.com
Trauma with Chest Wall Bleed and Pulmonary Hemorrhage Following Chest Trauma Chest Tube Insertion Our hypothesis is that the standardized treatment of trauma patients undergoing chest tube management for blunt or. Use large clamp to dissect cephalad, tunneling up at least one rib space. A chest tube, or a thoracostomy tube, is a flexible tube that can be inserted through the chest wall and into the pleural space. Numerous advances have permitted safe use. Trauma Chest Tube Insertion.
From www.pulmonologyadvisor.com
Chest Tube Placement vs Needle Aspiration for Spontaneous Pneumothorax Trauma Chest Tube Insertion The technique requires an understanding of the chest anatomy, equipment, indications, and. Most tubes can be removed without suture skin closure, but in children and adults with very low body mass index (calculated as weight in kilograms divided by height in meters squared), placement of an untied adjunctive chest tube suture at the time of insertion allows for closure of. Trauma Chest Tube Insertion.
From www.ajemjournal.com
Chest tube insertion direction is it always necessary to insert a Trauma Chest Tube Insertion Numerous advances have permitted safe use of tube thoracostomy for treatment of spontaneous or iatrogenic pneumothoracies and hydrothoracies. A chest tube, or a thoracostomy tube, is a flexible tube that can be inserted through the chest wall and into the pleural space. This activity reviews the indications, contraindications,. Use large clamp to dissect cephalad, tunneling up at least one rib. Trauma Chest Tube Insertion.
From www.researchgate.net
Necessary equipment needed for chest tube insertion. Download Trauma Chest Tube Insertion Numerous advances have permitted safe use of tube thoracostomy for treatment of spontaneous or iatrogenic pneumothoracies and hydrothoracies. The technique requires an understanding of the chest anatomy, equipment, indications, and. Our hypothesis is that the standardized treatment of trauma patients undergoing chest tube management for blunt or. This activity reviews the indications, contraindications,. Use large clamp to dissect cephalad, tunneling. Trauma Chest Tube Insertion.
From www.ctisus.com
Trauma with Chest Wall Bleed and Pulmonary Hemorrhage Following Chest Trauma Chest Tube Insertion Numerous advances have permitted safe use of tube thoracostomy for treatment of spontaneous or iatrogenic pneumothoracies and hydrothoracies. This activity reviews the indications, contraindications,. A chest tube, or a thoracostomy tube, is a flexible tube that can be inserted through the chest wall and into the pleural space. Tension pneumothorax can be treated with needle decompression, simple thoracostomy (without chest. Trauma Chest Tube Insertion.
From www.youtube.com
Chest Tube Thoracostomy Demonstration The CadaverBased EM Procedures Trauma Chest Tube Insertion Traumatic injuries to the chest wall and lung often result in pneumothorax or hemopneumothorax. A chest tube, or a thoracostomy tube, is a flexible tube that can be inserted through the chest wall and into the pleural space. This activity reviews the indications, contraindications,. The technique requires an understanding of the chest anatomy, equipment, indications, and. Once at the rib,. Trauma Chest Tube Insertion.
From slidetodoc.com
Chest Trauma Chest Tubes Underwater Seal Drainage By Trauma Chest Tube Insertion This activity reviews the indications, contraindications,. Once at the rib, place the tips of the clamp at the superior edge of the rib and apply firm pressure to pass. The technique requires an understanding of the chest anatomy, equipment, indications, and. Use large clamp to dissect cephalad, tunneling up at least one rib space. Our hypothesis is that the standardized. Trauma Chest Tube Insertion.
From www.slideserve.com
PPT Thoracic Trauma PowerPoint Presentation, free download ID2759133 Trauma Chest Tube Insertion Traumatic injuries to the chest wall and lung often result in pneumothorax or hemopneumothorax. The technique requires an understanding of the chest anatomy, equipment, indications, and. Once at the rib, place the tips of the clamp at the superior edge of the rib and apply firm pressure to pass. A chest tube, or a thoracostomy tube, is a flexible tube. Trauma Chest Tube Insertion.
From thetraumapro.com
Chest Tube Insertion Does Size Matter? The Trauma Pro Trauma Chest Tube Insertion Most of these injuries will. Use large clamp to dissect cephalad, tunneling up at least one rib space. Traumatic injuries to the chest wall and lung often result in pneumothorax or hemopneumothorax. Tension pneumothorax can be treated with needle decompression, simple thoracostomy (without chest tube insertion), or tube. Once at the rib, place the tips of the clamp at the. Trauma Chest Tube Insertion.
From www.nursesnotehelp.com
CHEST TUBE INSERTION AND MONITORING Nurses note help Trauma Chest Tube Insertion Once at the rib, place the tips of the clamp at the superior edge of the rib and apply firm pressure to pass. This activity reviews the indications, contraindications,. Numerous advances have permitted safe use of tube thoracostomy for treatment of spontaneous or iatrogenic pneumothoracies and hydrothoracies. The technique requires an understanding of the chest anatomy, equipment, indications, and. Traumatic. Trauma Chest Tube Insertion.