Linear Atelectasis On Chest X Ray . Atelectasis, characterized by the partial or complete collapse of the lung or a section of the lung, is a common and significant clinical problem encountered in patients,. This simple test uses a small device. Your healthcare provider may use a computed tomography (ct) scan to get more detailed pictures if. Atelectases), and also known as discoid, plate or band atelectasis, refers to a focal area of. Treatment includes maintaining coughing and deep breathing and treating the cause. In most cases affecting adults, atelectasis will appear in the lower left lobe of the lungs. The underlying cause (such as.
from clinicalimagingscience.org
This simple test uses a small device. Treatment includes maintaining coughing and deep breathing and treating the cause. Your healthcare provider may use a computed tomography (ct) scan to get more detailed pictures if. Atelectasis, characterized by the partial or complete collapse of the lung or a section of the lung, is a common and significant clinical problem encountered in patients,. In most cases affecting adults, atelectasis will appear in the lower left lobe of the lungs. Atelectases), and also known as discoid, plate or band atelectasis, refers to a focal area of. The underlying cause (such as.
Linear Atelectasis around the Hilum on Chest Radiography A Novel Sign
Linear Atelectasis On Chest X Ray Atelectases), and also known as discoid, plate or band atelectasis, refers to a focal area of. In most cases affecting adults, atelectasis will appear in the lower left lobe of the lungs. Atelectasis, characterized by the partial or complete collapse of the lung or a section of the lung, is a common and significant clinical problem encountered in patients,. The underlying cause (such as. Your healthcare provider may use a computed tomography (ct) scan to get more detailed pictures if. Atelectases), and also known as discoid, plate or band atelectasis, refers to a focal area of. This simple test uses a small device. Treatment includes maintaining coughing and deep breathing and treating the cause.
From radiologykey.com
Atelectasis Radiology Key Linear Atelectasis On Chest X Ray Treatment includes maintaining coughing and deep breathing and treating the cause. Atelectasis, characterized by the partial or complete collapse of the lung or a section of the lung, is a common and significant clinical problem encountered in patients,. This simple test uses a small device. The underlying cause (such as. In most cases affecting adults, atelectasis will appear in the. Linear Atelectasis On Chest X Ray.
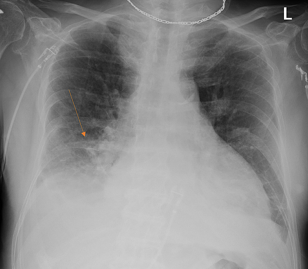
From clinicalimagingscience.org
Linear Atelectasis around the Hilum on Chest Radiography A Novel Sign Linear Atelectasis On Chest X Ray Atelectases), and also known as discoid, plate or band atelectasis, refers to a focal area of. Your healthcare provider may use a computed tomography (ct) scan to get more detailed pictures if. Treatment includes maintaining coughing and deep breathing and treating the cause. The underlying cause (such as. Atelectasis, characterized by the partial or complete collapse of the lung or. Linear Atelectasis On Chest X Ray.
From radiologykey.com
Atelectasis Radiology Key Linear Atelectasis On Chest X Ray In most cases affecting adults, atelectasis will appear in the lower left lobe of the lungs. Atelectases), and also known as discoid, plate or band atelectasis, refers to a focal area of. Your healthcare provider may use a computed tomography (ct) scan to get more detailed pictures if. This simple test uses a small device. Treatment includes maintaining coughing and. Linear Atelectasis On Chest X Ray.
From learningradiology.com
Learning Radiology Subsegmental, Atelectasis, SSA Linear Atelectasis On Chest X Ray Treatment includes maintaining coughing and deep breathing and treating the cause. Atelectasis, characterized by the partial or complete collapse of the lung or a section of the lung, is a common and significant clinical problem encountered in patients,. This simple test uses a small device. Atelectases), and also known as discoid, plate or band atelectasis, refers to a focal area. Linear Atelectasis On Chest X Ray.
From www.animalia-life.club
Atelectasis Chest X Ray Linear Atelectasis On Chest X Ray This simple test uses a small device. In most cases affecting adults, atelectasis will appear in the lower left lobe of the lungs. Atelectases), and also known as discoid, plate or band atelectasis, refers to a focal area of. Treatment includes maintaining coughing and deep breathing and treating the cause. Atelectasis, characterized by the partial or complete collapse of the. Linear Atelectasis On Chest X Ray.
From www.vrogue.co
Chest X Ray Of Patient 2 Atelectasis In The Left Lowe vrogue.co Linear Atelectasis On Chest X Ray This simple test uses a small device. Atelectasis, characterized by the partial or complete collapse of the lung or a section of the lung, is a common and significant clinical problem encountered in patients,. Your healthcare provider may use a computed tomography (ct) scan to get more detailed pictures if. The underlying cause (such as. In most cases affecting adults,. Linear Atelectasis On Chest X Ray.
From clinicalimagingscience.org
Linear Atelectasis around the Hilum on Chest Radiography A Novel Sign Linear Atelectasis On Chest X Ray Atelectasis, characterized by the partial or complete collapse of the lung or a section of the lung, is a common and significant clinical problem encountered in patients,. Atelectases), and also known as discoid, plate or band atelectasis, refers to a focal area of. Treatment includes maintaining coughing and deep breathing and treating the cause. The underlying cause (such as. In. Linear Atelectasis On Chest X Ray.
From www.stepwards.com
Condition Specific Radiology Atelectasis Stepwards Linear Atelectasis On Chest X Ray Atelectases), and also known as discoid, plate or band atelectasis, refers to a focal area of. Treatment includes maintaining coughing and deep breathing and treating the cause. In most cases affecting adults, atelectasis will appear in the lower left lobe of the lungs. Your healthcare provider may use a computed tomography (ct) scan to get more detailed pictures if. This. Linear Atelectasis On Chest X Ray.
From openpress.usask.ca
Atelectasis Undergraduate Diagnostic Imaging Fundamentals Linear Atelectasis On Chest X Ray The underlying cause (such as. Atelectasis, characterized by the partial or complete collapse of the lung or a section of the lung, is a common and significant clinical problem encountered in patients,. This simple test uses a small device. Treatment includes maintaining coughing and deep breathing and treating the cause. Atelectases), and also known as discoid, plate or band atelectasis,. Linear Atelectasis On Chest X Ray.
From ar.inspiredpencil.com
Atelectasis Chest X Ray Linear Atelectasis On Chest X Ray This simple test uses a small device. Your healthcare provider may use a computed tomography (ct) scan to get more detailed pictures if. The underlying cause (such as. In most cases affecting adults, atelectasis will appear in the lower left lobe of the lungs. Atelectasis, characterized by the partial or complete collapse of the lung or a section of the. Linear Atelectasis On Chest X Ray.
From www.stepwards.com
Condition Specific Radiology Atelectasis Stepwards Linear Atelectasis On Chest X Ray Atelectasis, characterized by the partial or complete collapse of the lung or a section of the lung, is a common and significant clinical problem encountered in patients,. Treatment includes maintaining coughing and deep breathing and treating the cause. Atelectases), and also known as discoid, plate or band atelectasis, refers to a focal area of. The underlying cause (such as. This. Linear Atelectasis On Chest X Ray.
From www.researchgate.net
Chest Xray showing hypoinflated lung fields, with basal atelectasis Linear Atelectasis On Chest X Ray The underlying cause (such as. In most cases affecting adults, atelectasis will appear in the lower left lobe of the lungs. Your healthcare provider may use a computed tomography (ct) scan to get more detailed pictures if. Atelectases), and also known as discoid, plate or band atelectasis, refers to a focal area of. Atelectasis, characterized by the partial or complete. Linear Atelectasis On Chest X Ray.
From www.ctisus.com
Right Middle Lobe Atelectasis X Rays Case Studies CTisus CT Scanning Linear Atelectasis On Chest X Ray The underlying cause (such as. Your healthcare provider may use a computed tomography (ct) scan to get more detailed pictures if. In most cases affecting adults, atelectasis will appear in the lower left lobe of the lungs. Atelectases), and also known as discoid, plate or band atelectasis, refers to a focal area of. Treatment includes maintaining coughing and deep breathing. Linear Atelectasis On Chest X Ray.
From www.pinterest.co.kr
How to Interpret a Chest XRay (Lesson 9 Atelectasis, Lines, Tubes, De... Linear Atelectasis On Chest X Ray In most cases affecting adults, atelectasis will appear in the lower left lobe of the lungs. Atelectasis, characterized by the partial or complete collapse of the lung or a section of the lung, is a common and significant clinical problem encountered in patients,. The underlying cause (such as. This simple test uses a small device. Atelectases), and also known as. Linear Atelectasis On Chest X Ray.
From healthjade.net
Atelectasis Causes, Symptoms, Atelectasis Treatment Linear Atelectasis On Chest X Ray The underlying cause (such as. This simple test uses a small device. Your healthcare provider may use a computed tomography (ct) scan to get more detailed pictures if. In most cases affecting adults, atelectasis will appear in the lower left lobe of the lungs. Atelectasis, characterized by the partial or complete collapse of the lung or a section of the. Linear Atelectasis On Chest X Ray.
From www.researchgate.net
Findings of the chest Xray inflation of the right hilum and linear Linear Atelectasis On Chest X Ray Atelectases), and also known as discoid, plate or band atelectasis, refers to a focal area of. In most cases affecting adults, atelectasis will appear in the lower left lobe of the lungs. Your healthcare provider may use a computed tomography (ct) scan to get more detailed pictures if. Treatment includes maintaining coughing and deep breathing and treating the cause. Atelectasis,. Linear Atelectasis On Chest X Ray.
From www.vrogue.co
Chest X Ray Atelectasis vrogue.co Linear Atelectasis On Chest X Ray Your healthcare provider may use a computed tomography (ct) scan to get more detailed pictures if. This simple test uses a small device. Atelectasis, characterized by the partial or complete collapse of the lung or a section of the lung, is a common and significant clinical problem encountered in patients,. The underlying cause (such as. Atelectases), and also known as. Linear Atelectasis On Chest X Ray.
From www.researchgate.net
Chest Xray showing the right basilar subsegmental atelectasis (arrow Linear Atelectasis On Chest X Ray In most cases affecting adults, atelectasis will appear in the lower left lobe of the lungs. The underlying cause (such as. This simple test uses a small device. Treatment includes maintaining coughing and deep breathing and treating the cause. Your healthcare provider may use a computed tomography (ct) scan to get more detailed pictures if. Atelectasis, characterized by the partial. Linear Atelectasis On Chest X Ray.
From openi.nlm.nih.gov
Chest Xray showing a small right basal pleural reactio Openi Linear Atelectasis On Chest X Ray This simple test uses a small device. Treatment includes maintaining coughing and deep breathing and treating the cause. Atelectases), and also known as discoid, plate or band atelectasis, refers to a focal area of. In most cases affecting adults, atelectasis will appear in the lower left lobe of the lungs. Your healthcare provider may use a computed tomography (ct) scan. Linear Atelectasis On Chest X Ray.
From www.animalia-life.club
Atelectasis Chest X Ray Linear Atelectasis On Chest X Ray Your healthcare provider may use a computed tomography (ct) scan to get more detailed pictures if. Treatment includes maintaining coughing and deep breathing and treating the cause. In most cases affecting adults, atelectasis will appear in the lower left lobe of the lungs. This simple test uses a small device. Atelectases), and also known as discoid, plate or band atelectasis,. Linear Atelectasis On Chest X Ray.
From www.pinterest.com
Atelectasis chest x ray wikidoc Nice Guidance, Lung Lobes, Pleural Linear Atelectasis On Chest X Ray Your healthcare provider may use a computed tomography (ct) scan to get more detailed pictures if. In most cases affecting adults, atelectasis will appear in the lower left lobe of the lungs. The underlying cause (such as. This simple test uses a small device. Treatment includes maintaining coughing and deep breathing and treating the cause. Atelectases), and also known as. Linear Atelectasis On Chest X Ray.
From www.researchgate.net
Chest Xray showed atelectasis of the lower part of the left lung with Linear Atelectasis On Chest X Ray Your healthcare provider may use a computed tomography (ct) scan to get more detailed pictures if. In most cases affecting adults, atelectasis will appear in the lower left lobe of the lungs. Atelectasis, characterized by the partial or complete collapse of the lung or a section of the lung, is a common and significant clinical problem encountered in patients,. Treatment. Linear Atelectasis On Chest X Ray.
From www.researchgate.net
Initial chest xray reveals elevation of the right hemidiaphragm with Linear Atelectasis On Chest X Ray Atelectasis, characterized by the partial or complete collapse of the lung or a section of the lung, is a common and significant clinical problem encountered in patients,. In most cases affecting adults, atelectasis will appear in the lower left lobe of the lungs. Treatment includes maintaining coughing and deep breathing and treating the cause. Your healthcare provider may use a. Linear Atelectasis On Chest X Ray.
From www.researchgate.net
Chest Xray AP view showing bibasilar opacities likely atelectasis and Linear Atelectasis On Chest X Ray Atelectasis, characterized by the partial or complete collapse of the lung or a section of the lung, is a common and significant clinical problem encountered in patients,. This simple test uses a small device. The underlying cause (such as. Treatment includes maintaining coughing and deep breathing and treating the cause. In most cases affecting adults, atelectasis will appear in the. Linear Atelectasis On Chest X Ray.
From lungs.thecommonvein.net
Atelectasis Lobes and Segments Lungs Linear Atelectasis On Chest X Ray Atelectasis, characterized by the partial or complete collapse of the lung or a section of the lung, is a common and significant clinical problem encountered in patients,. The underlying cause (such as. In most cases affecting adults, atelectasis will appear in the lower left lobe of the lungs. Treatment includes maintaining coughing and deep breathing and treating the cause. This. Linear Atelectasis On Chest X Ray.
From www.stepwards.com
Condition Specific Radiology Atelectasis Stepwards Linear Atelectasis On Chest X Ray Atelectasis, characterized by the partial or complete collapse of the lung or a section of the lung, is a common and significant clinical problem encountered in patients,. Your healthcare provider may use a computed tomography (ct) scan to get more detailed pictures if. In most cases affecting adults, atelectasis will appear in the lower left lobe of the lungs. Atelectases),. Linear Atelectasis On Chest X Ray.
From mungfali.com
Atelectasis Vs Pneumonia Chest X Ray Linear Atelectasis On Chest X Ray Atelectasis, characterized by the partial or complete collapse of the lung or a section of the lung, is a common and significant clinical problem encountered in patients,. Your healthcare provider may use a computed tomography (ct) scan to get more detailed pictures if. This simple test uses a small device. The underlying cause (such as. Treatment includes maintaining coughing and. Linear Atelectasis On Chest X Ray.
From www.animalia-life.club
Atelectasis Chest X Ray Linear Atelectasis On Chest X Ray Atelectases), and also known as discoid, plate or band atelectasis, refers to a focal area of. This simple test uses a small device. Treatment includes maintaining coughing and deep breathing and treating the cause. The underlying cause (such as. In most cases affecting adults, atelectasis will appear in the lower left lobe of the lungs. Your healthcare provider may use. Linear Atelectasis On Chest X Ray.
From www.youtube.com
Atelectasis (Left Upper Lobe) Explanation of Chest Xray Findings Linear Atelectasis On Chest X Ray In most cases affecting adults, atelectasis will appear in the lower left lobe of the lungs. Your healthcare provider may use a computed tomography (ct) scan to get more detailed pictures if. Atelectasis, characterized by the partial or complete collapse of the lung or a section of the lung, is a common and significant clinical problem encountered in patients,. This. Linear Atelectasis On Chest X Ray.
From healthjade.com
Atelectasis Causes, Symptoms, Atelectasis Treatment Linear Atelectasis On Chest X Ray In most cases affecting adults, atelectasis will appear in the lower left lobe of the lungs. Your healthcare provider may use a computed tomography (ct) scan to get more detailed pictures if. Atelectases), and also known as discoid, plate or band atelectasis, refers to a focal area of. Treatment includes maintaining coughing and deep breathing and treating the cause. The. Linear Atelectasis On Chest X Ray.
From www.researchgate.net
Chest Xray on admission. Cardiomegaly with marked pulmonary Linear Atelectasis On Chest X Ray Atelectases), and also known as discoid, plate or band atelectasis, refers to a focal area of. This simple test uses a small device. The underlying cause (such as. Your healthcare provider may use a computed tomography (ct) scan to get more detailed pictures if. In most cases affecting adults, atelectasis will appear in the lower left lobe of the lungs.. Linear Atelectasis On Chest X Ray.
From www.researchgate.net
Chest xray taken on admission showing left basilar atelectasis (red Linear Atelectasis On Chest X Ray Atelectasis, characterized by the partial or complete collapse of the lung or a section of the lung, is a common and significant clinical problem encountered in patients,. Your healthcare provider may use a computed tomography (ct) scan to get more detailed pictures if. The underlying cause (such as. In most cases affecting adults, atelectasis will appear in the lower left. Linear Atelectasis On Chest X Ray.
From hubpages.com
Diagnosing, Acquainting And Identifying With Atelectasis Via An XRay Linear Atelectasis On Chest X Ray Treatment includes maintaining coughing and deep breathing and treating the cause. Your healthcare provider may use a computed tomography (ct) scan to get more detailed pictures if. Atelectases), and also known as discoid, plate or band atelectasis, refers to a focal area of. The underlying cause (such as. This simple test uses a small device. Atelectasis, characterized by the partial. Linear Atelectasis On Chest X Ray.
From www.animalia-life.club
Atelectasis Chest X Ray Linear Atelectasis On Chest X Ray Atelectases), and also known as discoid, plate or band atelectasis, refers to a focal area of. This simple test uses a small device. The underlying cause (such as. Treatment includes maintaining coughing and deep breathing and treating the cause. Your healthcare provider may use a computed tomography (ct) scan to get more detailed pictures if. Atelectasis, characterized by the partial. Linear Atelectasis On Chest X Ray.
From www.youtube.com
Atelectasis (Right Lower Lobe) Explanation of Chest Xray Findings Linear Atelectasis On Chest X Ray Your healthcare provider may use a computed tomography (ct) scan to get more detailed pictures if. The underlying cause (such as. Atelectasis, characterized by the partial or complete collapse of the lung or a section of the lung, is a common and significant clinical problem encountered in patients,. This simple test uses a small device. Treatment includes maintaining coughing and. Linear Atelectasis On Chest X Ray.