Dental Panoramic X Ray Cpt Code . This guide is published to educate dentists and others in the dental community on selection and reporting of diagnostic imaging procedures. A radiographic survey of the whole mouth. The d0220 dental code, officially recognized by the american dental association (ada), refers to the procedure for. The picture shows all the. D0210 is typically paid once every three to five years. Code on dental procedures and nomenclature effective january 1, 2022 d0367 cone beam ct capture and interpretation with field of view of.
        
        from emj.bmj.com 
     
        
        The d0220 dental code, officially recognized by the american dental association (ada), refers to the procedure for. This guide is published to educate dentists and others in the dental community on selection and reporting of diagnostic imaging procedures. Code on dental procedures and nomenclature effective january 1, 2022 d0367 cone beam ct capture and interpretation with field of view of. D0210 is typically paid once every three to five years. The picture shows all the. A radiographic survey of the whole mouth.
    
    	
            
	
		 
         
    The panoramic dental radiograph for emergency physicians Emergency 
    Dental Panoramic X Ray Cpt Code  A radiographic survey of the whole mouth. This guide is published to educate dentists and others in the dental community on selection and reporting of diagnostic imaging procedures. D0210 is typically paid once every three to five years. Code on dental procedures and nomenclature effective january 1, 2022 d0367 cone beam ct capture and interpretation with field of view of. A radiographic survey of the whole mouth. The picture shows all the. The d0220 dental code, officially recognized by the american dental association (ada), refers to the procedure for.
            
	
		 
         
 
    
        From www.dentaly.org 
                    Panoramic Dental XRay Why Get One, Costs, and Procedure Dental Panoramic X Ray Cpt Code  This guide is published to educate dentists and others in the dental community on selection and reporting of diagnostic imaging procedures. The d0220 dental code, officially recognized by the american dental association (ada), refers to the procedure for. Code on dental procedures and nomenclature effective january 1, 2022 d0367 cone beam ct capture and interpretation with field of view of.. Dental Panoramic X Ray Cpt Code.
     
    
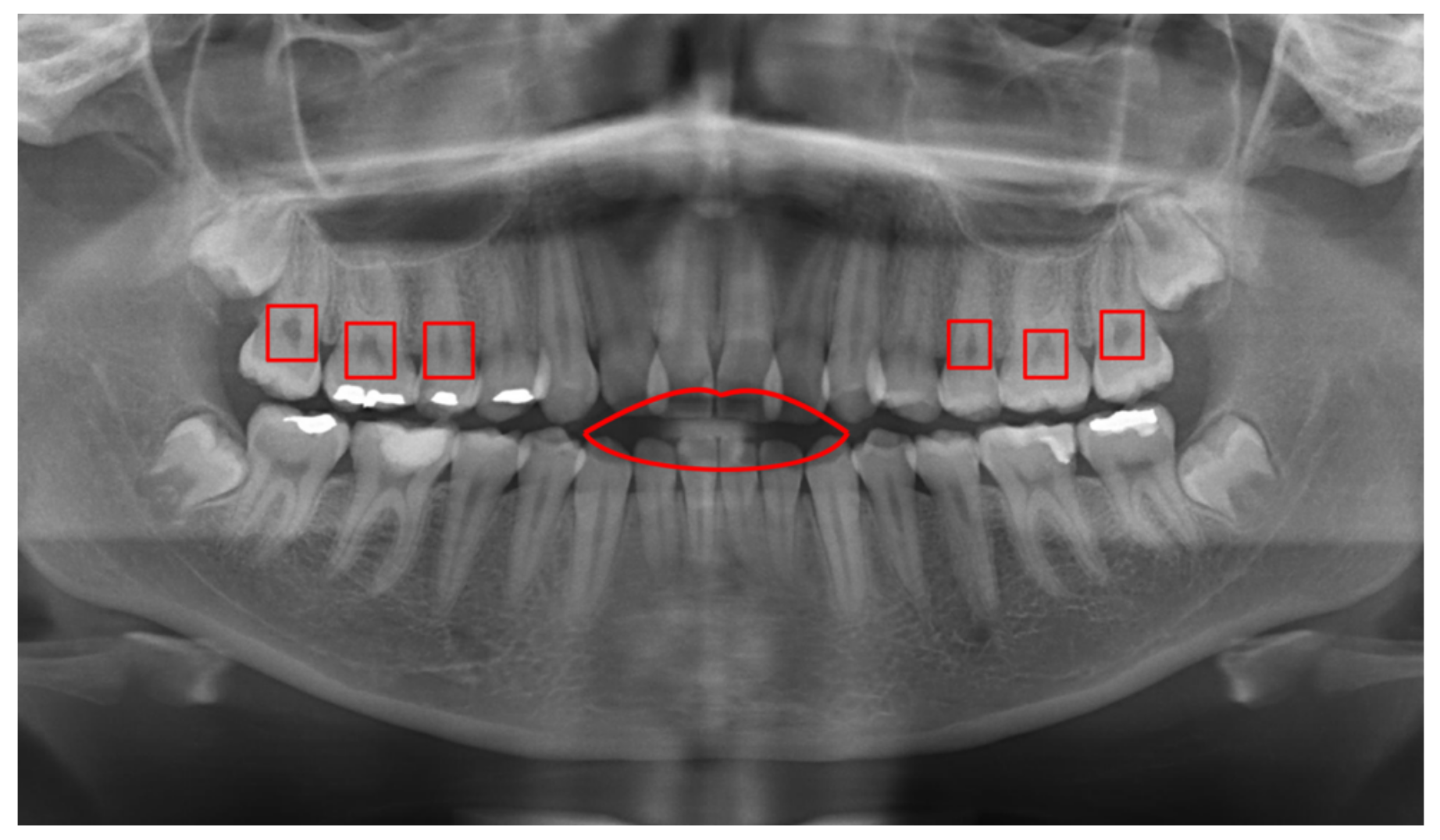
        From www.mdpi.com 
                    Applied Sciences Free FullText Detection of Cavities from Dental Dental Panoramic X Ray Cpt Code  This guide is published to educate dentists and others in the dental community on selection and reporting of diagnostic imaging procedures. Code on dental procedures and nomenclature effective january 1, 2022 d0367 cone beam ct capture and interpretation with field of view of. The d0220 dental code, officially recognized by the american dental association (ada), refers to the procedure for.. Dental Panoramic X Ray Cpt Code.
     
    
        From www.tcdentalpros.com 
                    Benefits & Facts Of A Panoramic Dental Xray (Article) Dental Panoramic X Ray Cpt Code  The picture shows all the. Code on dental procedures and nomenclature effective january 1, 2022 d0367 cone beam ct capture and interpretation with field of view of. A radiographic survey of the whole mouth. This guide is published to educate dentists and others in the dental community on selection and reporting of diagnostic imaging procedures. The d0220 dental code, officially. Dental Panoramic X Ray Cpt Code.
     
    
        From giodyridq.blob.core.windows.net 
                    Dental X Ray Cpt Codes at Hazel Pierce blog Dental Panoramic X Ray Cpt Code  D0210 is typically paid once every three to five years. Code on dental procedures and nomenclature effective january 1, 2022 d0367 cone beam ct capture and interpretation with field of view of. The d0220 dental code, officially recognized by the american dental association (ada), refers to the procedure for. This guide is published to educate dentists and others in the. Dental Panoramic X Ray Cpt Code.
     
    
        From cesaroni.com 
                    Gendex Dental Systems (KaVo) Orthoralix® 8500 Panoramic XRay Unit Dental Panoramic X Ray Cpt Code  Code on dental procedures and nomenclature effective january 1, 2022 d0367 cone beam ct capture and interpretation with field of view of. The d0220 dental code, officially recognized by the american dental association (ada), refers to the procedure for. D0210 is typically paid once every three to five years. This guide is published to educate dentists and others in the. Dental Panoramic X Ray Cpt Code.
     
    
        From salloumdental.com 
                    CBCT and Panoramic X Ray Salloum Dental Clinic Dental Panoramic X Ray Cpt Code  This guide is published to educate dentists and others in the dental community on selection and reporting of diagnostic imaging procedures. The d0220 dental code, officially recognized by the american dental association (ada), refers to the procedure for. A radiographic survey of the whole mouth. D0210 is typically paid once every three to five years. The picture shows all the.. Dental Panoramic X Ray Cpt Code.
     
    
        From www.mdpi.com 
                    Sensors Free FullText Panoramic Dental Radiography Image Dental Panoramic X Ray Cpt Code  D0210 is typically paid once every three to five years. A radiographic survey of the whole mouth. The picture shows all the. Code on dental procedures and nomenclature effective january 1, 2022 d0367 cone beam ct capture and interpretation with field of view of. The d0220 dental code, officially recognized by the american dental association (ada), refers to the procedure. Dental Panoramic X Ray Cpt Code.
     
    
        From www.etsy.com 
                    Medical Coding Xray CPT Quick Reference Cheat Sheet Codes List Etsy Dental Panoramic X Ray Cpt Code  This guide is published to educate dentists and others in the dental community on selection and reporting of diagnostic imaging procedures. D0210 is typically paid once every three to five years. Code on dental procedures and nomenclature effective january 1, 2022 d0367 cone beam ct capture and interpretation with field of view of. A radiographic survey of the whole mouth.. Dental Panoramic X Ray Cpt Code.
     
    
        From www.mdpi.com 
                    Applied Sciences Free FullText Detection of Cavities from Dental Dental Panoramic X Ray Cpt Code  This guide is published to educate dentists and others in the dental community on selection and reporting of diagnostic imaging procedures. Code on dental procedures and nomenclature effective january 1, 2022 d0367 cone beam ct capture and interpretation with field of view of. The picture shows all the. D0210 is typically paid once every three to five years. A radiographic. Dental Panoramic X Ray Cpt Code.
     
    
        From exorooqbj.blob.core.windows.net 
                    How To Read Dental Panoramic XRay at Carmen Rivera blog Dental Panoramic X Ray Cpt Code  This guide is published to educate dentists and others in the dental community on selection and reporting of diagnostic imaging procedures. A radiographic survey of the whole mouth. Code on dental procedures and nomenclature effective january 1, 2022 d0367 cone beam ct capture and interpretation with field of view of. D0210 is typically paid once every three to five years.. Dental Panoramic X Ray Cpt Code.
     
    
        From br.freepik.com 
                    Radiografia da cavidade oral com dentes radiografia panorâmica Dental Panoramic X Ray Cpt Code  The d0220 dental code, officially recognized by the american dental association (ada), refers to the procedure for. This guide is published to educate dentists and others in the dental community on selection and reporting of diagnostic imaging procedures. A radiographic survey of the whole mouth. Code on dental procedures and nomenclature effective january 1, 2022 d0367 cone beam ct capture. Dental Panoramic X Ray Cpt Code.
     
    
        From www.slideserve.com 
                    PPT Comprehensive Panoramic XRay Services for Dental Health Dental Panoramic X Ray Cpt Code  The d0220 dental code, officially recognized by the american dental association (ada), refers to the procedure for. The picture shows all the. A radiographic survey of the whole mouth. D0210 is typically paid once every three to five years. This guide is published to educate dentists and others in the dental community on selection and reporting of diagnostic imaging procedures.. Dental Panoramic X Ray Cpt Code.
     
    
        From www.etsy.com 
                    Medical Coding Xray CPT Quick Reference Cheat Sheet Codes List Etsy Dental Panoramic X Ray Cpt Code  This guide is published to educate dentists and others in the dental community on selection and reporting of diagnostic imaging procedures. A radiographic survey of the whole mouth. Code on dental procedures and nomenclature effective january 1, 2022 d0367 cone beam ct capture and interpretation with field of view of. D0210 is typically paid once every three to five years.. Dental Panoramic X Ray Cpt Code.
     
    
        From bestdentist.com.au 
                    Digital Panoramic XRay Dental Clinic World Tower Dental Panoramic X Ray Cpt Code  A radiographic survey of the whole mouth. Code on dental procedures and nomenclature effective january 1, 2022 d0367 cone beam ct capture and interpretation with field of view of. This guide is published to educate dentists and others in the dental community on selection and reporting of diagnostic imaging procedures. D0210 is typically paid once every three to five years.. Dental Panoramic X Ray Cpt Code.
     
    
        From exorooqbj.blob.core.windows.net 
                    How To Read Dental Panoramic XRay at Carmen Rivera blog Dental Panoramic X Ray Cpt Code  The d0220 dental code, officially recognized by the american dental association (ada), refers to the procedure for. This guide is published to educate dentists and others in the dental community on selection and reporting of diagnostic imaging procedures. D0210 is typically paid once every three to five years. The picture shows all the. A radiographic survey of the whole mouth.. Dental Panoramic X Ray Cpt Code.
     
    
        From www.researchgate.net 
                    (PDF) Teeth and prostheses detection in dental panoramic Xrays using Dental Panoramic X Ray Cpt Code  The picture shows all the. The d0220 dental code, officially recognized by the american dental association (ada), refers to the procedure for. D0210 is typically paid once every three to five years. Code on dental procedures and nomenclature effective january 1, 2022 d0367 cone beam ct capture and interpretation with field of view of. A radiographic survey of the whole. Dental Panoramic X Ray Cpt Code.
     
    
        From www.studocu.com 
                    XRAY CPT Codes Drs. Russell, Berkebile and Associates, Inc. www Dental Panoramic X Ray Cpt Code  The picture shows all the. D0210 is typically paid once every three to five years. Code on dental procedures and nomenclature effective january 1, 2022 d0367 cone beam ct capture and interpretation with field of view of. A radiographic survey of the whole mouth. This guide is published to educate dentists and others in the dental community on selection and. Dental Panoramic X Ray Cpt Code.
     
    
        From www.adcgalani.gr 
                    Panoramic Dental XRay Aesthetic Dental Clinic Dental Panoramic X Ray Cpt Code  A radiographic survey of the whole mouth. D0210 is typically paid once every three to five years. Code on dental procedures and nomenclature effective january 1, 2022 d0367 cone beam ct capture and interpretation with field of view of. The picture shows all the. This guide is published to educate dentists and others in the dental community on selection and. Dental Panoramic X Ray Cpt Code.
     
    
        From www.smilesbypayet.com 
                    Dental Xrays Why, Which, & When? Digital Xrays Charlotte dentist Dental Panoramic X Ray Cpt Code  D0210 is typically paid once every three to five years. A radiographic survey of the whole mouth. The d0220 dental code, officially recognized by the american dental association (ada), refers to the procedure for. This guide is published to educate dentists and others in the dental community on selection and reporting of diagnostic imaging procedures. The picture shows all the.. Dental Panoramic X Ray Cpt Code.
     
    
        From www.mdpi.com 
                    Applied Sciences Free FullText Detection of Cavities from Dental Dental Panoramic X Ray Cpt Code  The picture shows all the. The d0220 dental code, officially recognized by the american dental association (ada), refers to the procedure for. Code on dental procedures and nomenclature effective january 1, 2022 d0367 cone beam ct capture and interpretation with field of view of. This guide is published to educate dentists and others in the dental community on selection and. Dental Panoramic X Ray Cpt Code.
     
    
        From www.youtube.com 
                    Panoramic Dental XRay Procedure EXPLAINED YouTube Dental Panoramic X Ray Cpt Code  A radiographic survey of the whole mouth. The d0220 dental code, officially recognized by the american dental association (ada), refers to the procedure for. Code on dental procedures and nomenclature effective january 1, 2022 d0367 cone beam ct capture and interpretation with field of view of. The picture shows all the. This guide is published to educate dentists and others. Dental Panoramic X Ray Cpt Code.
     
    
        From www.pvdental.net 
                    Panoramic Xrays Buffalo Grove, Illinois Drs. Papworth and Vargas Dental Panoramic X Ray Cpt Code  This guide is published to educate dentists and others in the dental community on selection and reporting of diagnostic imaging procedures. The picture shows all the. A radiographic survey of the whole mouth. D0210 is typically paid once every three to five years. The d0220 dental code, officially recognized by the american dental association (ada), refers to the procedure for.. Dental Panoramic X Ray Cpt Code.
     
    
        From datasetninja.com 
                    Panoramic Dental Xrays Dataset Ninja Dental Panoramic X Ray Cpt Code  D0210 is typically paid once every three to five years. A radiographic survey of the whole mouth. The d0220 dental code, officially recognized by the american dental association (ada), refers to the procedure for. This guide is published to educate dentists and others in the dental community on selection and reporting of diagnostic imaging procedures. The picture shows all the.. Dental Panoramic X Ray Cpt Code.
     
    
        From www.drjrobb.com 
                    What is a Panoramic Dental XRay and What is it Used For? Dental Panoramic X Ray Cpt Code  A radiographic survey of the whole mouth. D0210 is typically paid once every three to five years. The picture shows all the. The d0220 dental code, officially recognized by the american dental association (ada), refers to the procedure for. Code on dental procedures and nomenclature effective january 1, 2022 d0367 cone beam ct capture and interpretation with field of view. Dental Panoramic X Ray Cpt Code.
     
    
        From www.youtube.com 
                    Panoramic Dental XRay Procedure EXPLAINED PANORAMIC XRAY Panoramic Dental Panoramic X Ray Cpt Code  Code on dental procedures and nomenclature effective january 1, 2022 d0367 cone beam ct capture and interpretation with field of view of. D0210 is typically paid once every three to five years. The d0220 dental code, officially recognized by the american dental association (ada), refers to the procedure for. A radiographic survey of the whole mouth. This guide is published. Dental Panoramic X Ray Cpt Code.
     
    
        From decisionsindentistry.com 
                    Optimal Panorex Imaging Decisions in Dentistry Dental Panoramic X Ray Cpt Code  D0210 is typically paid once every three to five years. A radiographic survey of the whole mouth. The d0220 dental code, officially recognized by the american dental association (ada), refers to the procedure for. Code on dental procedures and nomenclature effective january 1, 2022 d0367 cone beam ct capture and interpretation with field of view of. This guide is published. Dental Panoramic X Ray Cpt Code.
     
    
        From www.researchgate.net 
                    An example of dental panoramic Xray (a) reference image and (b) recent Dental Panoramic X Ray Cpt Code  The d0220 dental code, officially recognized by the american dental association (ada), refers to the procedure for. The picture shows all the. Code on dental procedures and nomenclature effective january 1, 2022 d0367 cone beam ct capture and interpretation with field of view of. A radiographic survey of the whole mouth. This guide is published to educate dentists and others. Dental Panoramic X Ray Cpt Code.
     
    
        From www.minthilldentistry.com 
                    What is a Panoramic XRay Mint Hill Dentistry Dental Panoramic X Ray Cpt Code  The d0220 dental code, officially recognized by the american dental association (ada), refers to the procedure for. Code on dental procedures and nomenclature effective january 1, 2022 d0367 cone beam ct capture and interpretation with field of view of. A radiographic survey of the whole mouth. D0210 is typically paid once every three to five years. This guide is published. Dental Panoramic X Ray Cpt Code.
     
    
        From researchoutreach.org 
                    Detecting dental diseases with AI dental image analysis Dental Panoramic X Ray Cpt Code  A radiographic survey of the whole mouth. This guide is published to educate dentists and others in the dental community on selection and reporting of diagnostic imaging procedures. The picture shows all the. D0210 is typically paid once every three to five years. Code on dental procedures and nomenclature effective january 1, 2022 d0367 cone beam ct capture and interpretation. Dental Panoramic X Ray Cpt Code.
     
    
        From www.turkeydentalclinic.com 
                    What is Panoramic XRay? Antalya Dentist, Turkey Dental Clinic Dental Panoramic X Ray Cpt Code  The picture shows all the. The d0220 dental code, officially recognized by the american dental association (ada), refers to the procedure for. Code on dental procedures and nomenclature effective january 1, 2022 d0367 cone beam ct capture and interpretation with field of view of. This guide is published to educate dentists and others in the dental community on selection and. Dental Panoramic X Ray Cpt Code.
     
    
        From emj.bmj.com 
                    The panoramic dental radiograph for emergency physicians Emergency Dental Panoramic X Ray Cpt Code  Code on dental procedures and nomenclature effective january 1, 2022 d0367 cone beam ct capture and interpretation with field of view of. The d0220 dental code, officially recognized by the american dental association (ada), refers to the procedure for. The picture shows all the. A radiographic survey of the whole mouth. D0210 is typically paid once every three to five. Dental Panoramic X Ray Cpt Code.
     
    
        From www.researchgate.net 
                    (PDF) A new hybrid registration technique for dental panoramic Xray images Dental Panoramic X Ray Cpt Code  Code on dental procedures and nomenclature effective january 1, 2022 d0367 cone beam ct capture and interpretation with field of view of. A radiographic survey of the whole mouth. The d0220 dental code, officially recognized by the american dental association (ada), refers to the procedure for. This guide is published to educate dentists and others in the dental community on. Dental Panoramic X Ray Cpt Code.
     
    
        From www.youtube.com 
                    How to read a panoramic dental x ray YouTube Dental Panoramic X Ray Cpt Code  D0210 is typically paid once every three to five years. A radiographic survey of the whole mouth. The d0220 dental code, officially recognized by the american dental association (ada), refers to the procedure for. Code on dental procedures and nomenclature effective january 1, 2022 d0367 cone beam ct capture and interpretation with field of view of. The picture shows all. Dental Panoramic X Ray Cpt Code.
     
    
        From medizzy.com 
                    Panoramic Xray MEDizzy Dental Panoramic X Ray Cpt Code  Code on dental procedures and nomenclature effective january 1, 2022 d0367 cone beam ct capture and interpretation with field of view of. D0210 is typically paid once every three to five years. This guide is published to educate dentists and others in the dental community on selection and reporting of diagnostic imaging procedures. The picture shows all the. The d0220. Dental Panoramic X Ray Cpt Code.
     
    
        From ashleydentalclinic.com 
                    Panoramic Xrays Ashley Dental Dental Panoramic X Ray Cpt Code  This guide is published to educate dentists and others in the dental community on selection and reporting of diagnostic imaging procedures. The d0220 dental code, officially recognized by the american dental association (ada), refers to the procedure for. The picture shows all the. Code on dental procedures and nomenclature effective january 1, 2022 d0367 cone beam ct capture and interpretation. Dental Panoramic X Ray Cpt Code.