Staph Infection Heart Valve . Infective endocarditis is an infection caused by bacteria that enter the bloodstream and settle in the heart lining, a heart valve or a blood vessel. When bacteria release toxins into your body, a. Infective endocarditis is a rare bacterial infection affecting your heart valves. Endocarditis, most often from a bacterial infection, inflames the lining of your heart valves and chambers. Endocarditis is a serious infection of the heart's inner lining, often caused by bacteria. It's a serious condition that needs to be treated right away. Clinical observations suggest that staphylococcus aureus infects either damaged or inflamed heart valves. Summarize the etiology of infective endocarditis. Staph bacteria can also damage the heart valves and lead to heart failure. Bacterial endocarditis is an infection of the heart’s inner lining or heart valves. Review the appropriate evaluation skills required to assess suspected cases of infective endocarditis. It can damage or destroy the heart valves and lead to complications such as stroke or heart failure. Timely treatment with antibiotics or surgery gives. Treatment includes several weeks of.
from www.cureus.com
Review the appropriate evaluation skills required to assess suspected cases of infective endocarditis. Endocarditis, most often from a bacterial infection, inflames the lining of your heart valves and chambers. It's a serious condition that needs to be treated right away. Timely treatment with antibiotics or surgery gives. Clinical observations suggest that staphylococcus aureus infects either damaged or inflamed heart valves. Bacterial endocarditis is an infection of the heart’s inner lining or heart valves. It can damage or destroy the heart valves and lead to complications such as stroke or heart failure. When bacteria release toxins into your body, a. Infective endocarditis is a rare bacterial infection affecting your heart valves. Summarize the etiology of infective endocarditis.
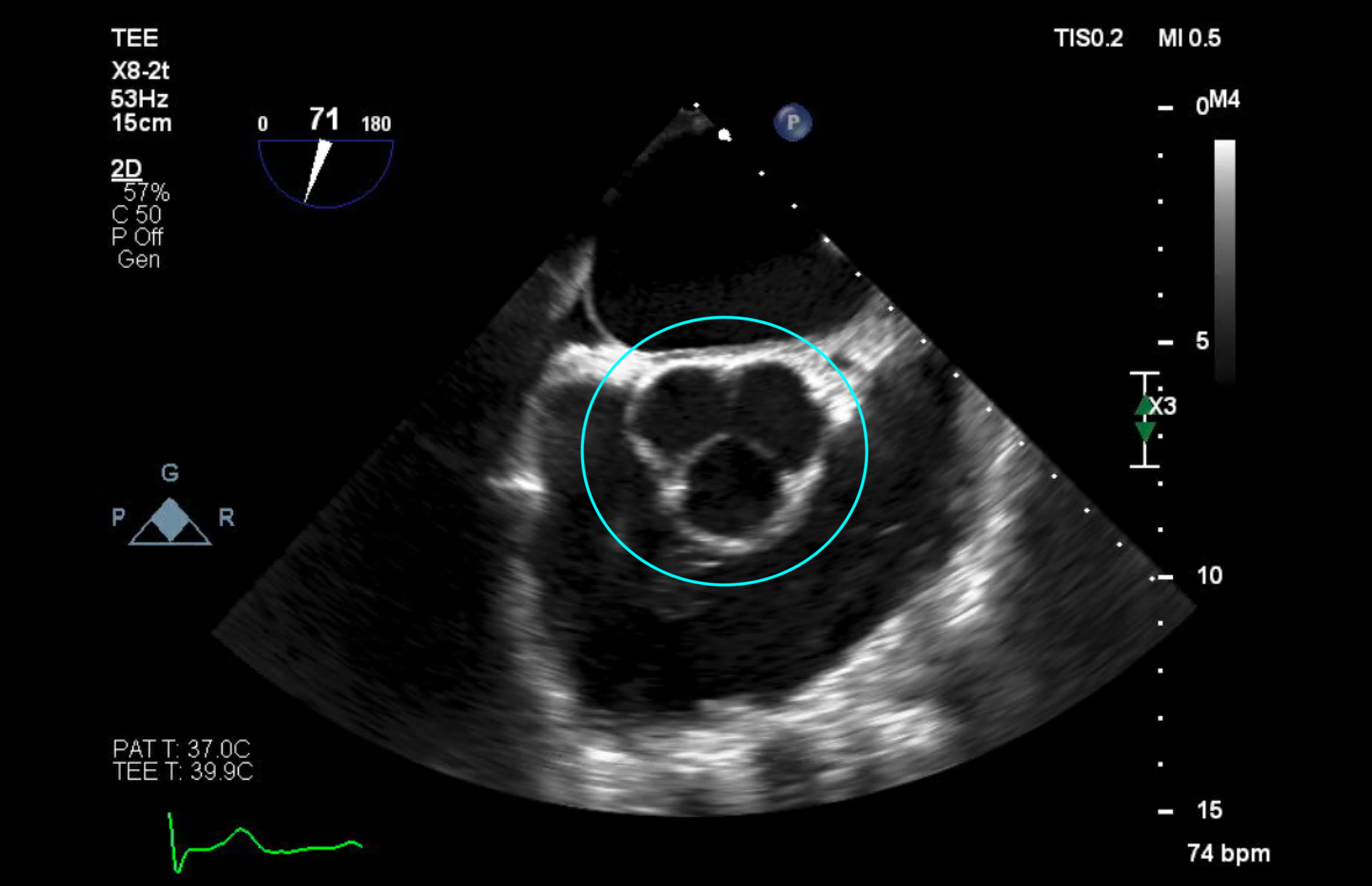
Cureus Staphylococcus capitis Endocarditis of a Native Valve
Staph Infection Heart Valve Endocarditis, most often from a bacterial infection, inflames the lining of your heart valves and chambers. It's a serious condition that needs to be treated right away. When bacteria release toxins into your body, a. Staph bacteria can also damage the heart valves and lead to heart failure. Infective endocarditis is a rare bacterial infection affecting your heart valves. Bacterial endocarditis is an infection of the heart’s inner lining or heart valves. Endocarditis is a serious infection of the heart's inner lining, often caused by bacteria. Clinical observations suggest that staphylococcus aureus infects either damaged or inflamed heart valves. Review the appropriate evaluation skills required to assess suspected cases of infective endocarditis. Treatment includes several weeks of. It can damage or destroy the heart valves and lead to complications such as stroke or heart failure. Timely treatment with antibiotics or surgery gives. Endocarditis, most often from a bacterial infection, inflames the lining of your heart valves and chambers. Infective endocarditis is an infection caused by bacteria that enter the bloodstream and settle in the heart lining, a heart valve or a blood vessel. Summarize the etiology of infective endocarditis.
From slideplayer.com
Staph Infections including MRSA ppt download Staph Infection Heart Valve Infective endocarditis is an infection caused by bacteria that enter the bloodstream and settle in the heart lining, a heart valve or a blood vessel. When bacteria release toxins into your body, a. It's a serious condition that needs to be treated right away. Clinical observations suggest that staphylococcus aureus infects either damaged or inflamed heart valves. Endocarditis is a. Staph Infection Heart Valve.
From www.ahajournals.org
Echocardiographic, Histopathologic, and Surgical Findings in Staph Infection Heart Valve It's a serious condition that needs to be treated right away. Infective endocarditis is a rare bacterial infection affecting your heart valves. Bacterial endocarditis is an infection of the heart’s inner lining or heart valves. Infective endocarditis is an infection caused by bacteria that enter the bloodstream and settle in the heart lining, a heart valve or a blood vessel.. Staph Infection Heart Valve.
From healthjade.net
Rheumatic Heart Disease Causes, Symptoms, Treatment & Prevention Staph Infection Heart Valve It's a serious condition that needs to be treated right away. Timely treatment with antibiotics or surgery gives. When bacteria release toxins into your body, a. It can damage or destroy the heart valves and lead to complications such as stroke or heart failure. Review the appropriate evaluation skills required to assess suspected cases of infective endocarditis. Infective endocarditis is. Staph Infection Heart Valve.
From diseasesdic.com
Staph Infection Risk factors, Complications, and Medications. Staph Infection Heart Valve Review the appropriate evaluation skills required to assess suspected cases of infective endocarditis. Clinical observations suggest that staphylococcus aureus infects either damaged or inflamed heart valves. Timely treatment with antibiotics or surgery gives. Endocarditis is a serious infection of the heart's inner lining, often caused by bacteria. Infective endocarditis is a rare bacterial infection affecting your heart valves. Bacterial endocarditis. Staph Infection Heart Valve.
From www.slideserve.com
PPT Mitral Valve Mass PowerPoint Presentation, free download ID4985983 Staph Infection Heart Valve Treatment includes several weeks of. Clinical observations suggest that staphylococcus aureus infects either damaged or inflamed heart valves. Summarize the etiology of infective endocarditis. Bacterial endocarditis is an infection of the heart’s inner lining or heart valves. Staph bacteria can also damage the heart valves and lead to heart failure. When bacteria release toxins into your body, a. Endocarditis is. Staph Infection Heart Valve.
From www.slideserve.com
PPT Medically Important Bacteria Gram Positive Cocci PowerPoint Staph Infection Heart Valve Infective endocarditis is an infection caused by bacteria that enter the bloodstream and settle in the heart lining, a heart valve or a blood vessel. When bacteria release toxins into your body, a. Clinical observations suggest that staphylococcus aureus infects either damaged or inflamed heart valves. Summarize the etiology of infective endocarditis. Endocarditis is a serious infection of the heart's. Staph Infection Heart Valve.
From www.ahajournals.org
Echocardiographic, Histopathologic, and Surgical Findings in Staph Infection Heart Valve Staph bacteria can also damage the heart valves and lead to heart failure. Summarize the etiology of infective endocarditis. When bacteria release toxins into your body, a. Endocarditis, most often from a bacterial infection, inflames the lining of your heart valves and chambers. Endocarditis is a serious infection of the heart's inner lining, often caused by bacteria. It can damage. Staph Infection Heart Valve.
From www.nsf.gov
Multimedia Gallery Stages of Staphylococcus aureus biofilm formation Staph Infection Heart Valve Bacterial endocarditis is an infection of the heart’s inner lining or heart valves. It's a serious condition that needs to be treated right away. Staph bacteria can also damage the heart valves and lead to heart failure. When bacteria release toxins into your body, a. Treatment includes several weeks of. Endocarditis, most often from a bacterial infection, inflames the lining. Staph Infection Heart Valve.
From www.ahajournals.org
Echocardiographic, Histopathologic, and Surgical Findings in Staph Infection Heart Valve Summarize the etiology of infective endocarditis. Bacterial endocarditis is an infection of the heart’s inner lining or heart valves. Review the appropriate evaluation skills required to assess suspected cases of infective endocarditis. Staph bacteria can also damage the heart valves and lead to heart failure. Infective endocarditis is a rare bacterial infection affecting your heart valves. Timely treatment with antibiotics. Staph Infection Heart Valve.
From casereports.bmj.com
Staphylococcus aureus mitral valve endocarditis due to heel decubitus Staph Infection Heart Valve Summarize the etiology of infective endocarditis. It's a serious condition that needs to be treated right away. Timely treatment with antibiotics or surgery gives. Bacterial endocarditis is an infection of the heart’s inner lining or heart valves. Endocarditis is a serious infection of the heart's inner lining, often caused by bacteria. Infective endocarditis is an infection caused by bacteria that. Staph Infection Heart Valve.
From www.heartandlung.org
Staphylococcus capitis prosthetic valve endocarditis Report of two Staph Infection Heart Valve Endocarditis is a serious infection of the heart's inner lining, often caused by bacteria. Staph bacteria can also damage the heart valves and lead to heart failure. Infective endocarditis is an infection caused by bacteria that enter the bloodstream and settle in the heart lining, a heart valve or a blood vessel. Summarize the etiology of infective endocarditis. Bacterial endocarditis. Staph Infection Heart Valve.
From www.ghrnet.org
Multimodality Imaging of an Isolated Pulmonary Native Valve Infective Staph Infection Heart Valve Treatment includes several weeks of. Bacterial endocarditis is an infection of the heart’s inner lining or heart valves. Review the appropriate evaluation skills required to assess suspected cases of infective endocarditis. Infective endocarditis is a rare bacterial infection affecting your heart valves. When bacteria release toxins into your body, a. Endocarditis, most often from a bacterial infection, inflames the lining. Staph Infection Heart Valve.
From www.pinterest.com
Endocarditis Enlarged heart, Congenital heart disease, Mitral valve Staph Infection Heart Valve Bacterial endocarditis is an infection of the heart’s inner lining or heart valves. Timely treatment with antibiotics or surgery gives. It's a serious condition that needs to be treated right away. Infective endocarditis is an infection caused by bacteria that enter the bloodstream and settle in the heart lining, a heart valve or a blood vessel. Treatment includes several weeks. Staph Infection Heart Valve.
From www.researchgate.net
Heart valve involvement in Staphylococcus aureus endocarditis Staph Infection Heart Valve Review the appropriate evaluation skills required to assess suspected cases of infective endocarditis. Summarize the etiology of infective endocarditis. Infective endocarditis is an infection caused by bacteria that enter the bloodstream and settle in the heart lining, a heart valve or a blood vessel. When bacteria release toxins into your body, a. Endocarditis is a serious infection of the heart's. Staph Infection Heart Valve.
From www.researchgate.net
(PDF) Staphylococcus caprae native mitral valve infective endocarditis Staph Infection Heart Valve Clinical observations suggest that staphylococcus aureus infects either damaged or inflamed heart valves. When bacteria release toxins into your body, a. Review the appropriate evaluation skills required to assess suspected cases of infective endocarditis. Endocarditis is a serious infection of the heart's inner lining, often caused by bacteria. Endocarditis, most often from a bacterial infection, inflames the lining of your. Staph Infection Heart Valve.
From slideplayer.com
Valvular Heart Disease ppt download Staph Infection Heart Valve Infective endocarditis is a rare bacterial infection affecting your heart valves. Bacterial endocarditis is an infection of the heart’s inner lining or heart valves. Clinical observations suggest that staphylococcus aureus infects either damaged or inflamed heart valves. It's a serious condition that needs to be treated right away. Review the appropriate evaluation skills required to assess suspected cases of infective. Staph Infection Heart Valve.
From www.jacc.org
A RARE CASE OF STAPHYLOCOCCUS COHNII INDUCED ENDOCARDITIS AND NATIVE Staph Infection Heart Valve Endocarditis, most often from a bacterial infection, inflames the lining of your heart valves and chambers. Summarize the etiology of infective endocarditis. Infective endocarditis is an infection caused by bacteria that enter the bloodstream and settle in the heart lining, a heart valve or a blood vessel. Timely treatment with antibiotics or surgery gives. When bacteria release toxins into your. Staph Infection Heart Valve.
From casereports.bmj.com
Staphylococcus aureus infective endocarditis role of transoesophageal Staph Infection Heart Valve Review the appropriate evaluation skills required to assess suspected cases of infective endocarditis. Clinical observations suggest that staphylococcus aureus infects either damaged or inflamed heart valves. Infective endocarditis is an infection caused by bacteria that enter the bloodstream and settle in the heart lining, a heart valve or a blood vessel. Endocarditis, most often from a bacterial infection, inflames the. Staph Infection Heart Valve.
From drraghu.com
What is endocarditis? Symptoms and Causes Dr Raghu Staph Infection Heart Valve Staph bacteria can also damage the heart valves and lead to heart failure. Treatment includes several weeks of. Endocarditis is a serious infection of the heart's inner lining, often caused by bacteria. Bacterial endocarditis is an infection of the heart’s inner lining or heart valves. Review the appropriate evaluation skills required to assess suspected cases of infective endocarditis. It's a. Staph Infection Heart Valve.
From www.semanticscholar.org
Figure 1 from Staphylococcus caprae native mitral valve infective Staph Infection Heart Valve Endocarditis, most often from a bacterial infection, inflames the lining of your heart valves and chambers. Treatment includes several weeks of. Bacterial endocarditis is an infection of the heart’s inner lining or heart valves. Infective endocarditis is a rare bacterial infection affecting your heart valves. It can damage or destroy the heart valves and lead to complications such as stroke. Staph Infection Heart Valve.
From www.cureus.com
Cureus Staphylococcus capitis Endocarditis of a Native Valve Staph Infection Heart Valve Staph bacteria can also damage the heart valves and lead to heart failure. Review the appropriate evaluation skills required to assess suspected cases of infective endocarditis. Summarize the etiology of infective endocarditis. It can damage or destroy the heart valves and lead to complications such as stroke or heart failure. Treatment includes several weeks of. It's a serious condition that. Staph Infection Heart Valve.
From www.jacc.org
Staphylococcus Aureus Endocarditis Complicated by Aortic Root Abscess Staph Infection Heart Valve Infective endocarditis is an infection caused by bacteria that enter the bloodstream and settle in the heart lining, a heart valve or a blood vessel. Treatment includes several weeks of. Review the appropriate evaluation skills required to assess suspected cases of infective endocarditis. It's a serious condition that needs to be treated right away. Endocarditis is a serious infection of. Staph Infection Heart Valve.
From mind42.com
Cardivascular Diseases Mind42 Staph Infection Heart Valve Timely treatment with antibiotics or surgery gives. Bacterial endocarditis is an infection of the heart’s inner lining or heart valves. Staph bacteria can also damage the heart valves and lead to heart failure. Clinical observations suggest that staphylococcus aureus infects either damaged or inflamed heart valves. It can damage or destroy the heart valves and lead to complications such as. Staph Infection Heart Valve.
From www.cureus.com
Cureus Staphylococcus lugdunensis Infective Endocarditis With Mitral Staph Infection Heart Valve Summarize the etiology of infective endocarditis. Clinical observations suggest that staphylococcus aureus infects either damaged or inflamed heart valves. Timely treatment with antibiotics or surgery gives. It's a serious condition that needs to be treated right away. Infective endocarditis is an infection caused by bacteria that enter the bloodstream and settle in the heart lining, a heart valve or a. Staph Infection Heart Valve.
From slideplayer.com
STAPHYLOCOCCI. ppt video online download Staph Infection Heart Valve Review the appropriate evaluation skills required to assess suspected cases of infective endocarditis. Treatment includes several weeks of. Infective endocarditis is a rare bacterial infection affecting your heart valves. Summarize the etiology of infective endocarditis. Staph bacteria can also damage the heart valves and lead to heart failure. Endocarditis, most often from a bacterial infection, inflames the lining of your. Staph Infection Heart Valve.
From www.slideserve.com
PPT INFECTIVE ENDOCARDITIS PowerPoint Presentation, free download Staph Infection Heart Valve Clinical observations suggest that staphylococcus aureus infects either damaged or inflamed heart valves. Endocarditis, most often from a bacterial infection, inflames the lining of your heart valves and chambers. Endocarditis is a serious infection of the heart's inner lining, often caused by bacteria. Bacterial endocarditis is an infection of the heart’s inner lining or heart valves. Infective endocarditis is an. Staph Infection Heart Valve.
From www.youtube.com
Staphylococcus aureus mitral valve endocarditis YouTube Staph Infection Heart Valve It's a serious condition that needs to be treated right away. Review the appropriate evaluation skills required to assess suspected cases of infective endocarditis. Treatment includes several weeks of. Clinical observations suggest that staphylococcus aureus infects either damaged or inflamed heart valves. Bacterial endocarditis is an infection of the heart’s inner lining or heart valves. Staph bacteria can also damage. Staph Infection Heart Valve.
From www.osmosis.org
Infective endocarditis Clinical practice Osmosis Staph Infection Heart Valve Bacterial endocarditis is an infection of the heart’s inner lining or heart valves. Timely treatment with antibiotics or surgery gives. Review the appropriate evaluation skills required to assess suspected cases of infective endocarditis. Endocarditis is a serious infection of the heart's inner lining, often caused by bacteria. Treatment includes several weeks of. It's a serious condition that needs to be. Staph Infection Heart Valve.
From www.cvcasejournal.com
Acquired Gerbode Defect in a Patient with Staphylococcus Lugdunensis Staph Infection Heart Valve Review the appropriate evaluation skills required to assess suspected cases of infective endocarditis. Endocarditis, most often from a bacterial infection, inflames the lining of your heart valves and chambers. Infective endocarditis is a rare bacterial infection affecting your heart valves. Infective endocarditis is an infection caused by bacteria that enter the bloodstream and settle in the heart lining, a heart. Staph Infection Heart Valve.
From www.semanticscholar.org
Figure 2 from A Case of Early Prosthetic Valve Endocarditis Caused by Staph Infection Heart Valve Treatment includes several weeks of. Staph bacteria can also damage the heart valves and lead to heart failure. Endocarditis, most often from a bacterial infection, inflames the lining of your heart valves and chambers. Summarize the etiology of infective endocarditis. Review the appropriate evaluation skills required to assess suspected cases of infective endocarditis. Endocarditis is a serious infection of the. Staph Infection Heart Valve.
From www.prepladder.com
Staphylococcus Aureus Transmission, Symptoms, Risk Factors, Diagnosis Staph Infection Heart Valve When bacteria release toxins into your body, a. Timely treatment with antibiotics or surgery gives. Bacterial endocarditis is an infection of the heart’s inner lining or heart valves. Review the appropriate evaluation skills required to assess suspected cases of infective endocarditis. It's a serious condition that needs to be treated right away. Staph bacteria can also damage the heart valves. Staph Infection Heart Valve.
From slideplayer.com
INFECTIVE ENDOCARDITIS ppt download Staph Infection Heart Valve It's a serious condition that needs to be treated right away. Clinical observations suggest that staphylococcus aureus infects either damaged or inflamed heart valves. Review the appropriate evaluation skills required to assess suspected cases of infective endocarditis. Staph bacteria can also damage the heart valves and lead to heart failure. Endocarditis, most often from a bacterial infection, inflames the lining. Staph Infection Heart Valve.
From www.researchgate.net
Summary of current literature surrounding infective endocarditis Staph Infection Heart Valve Endocarditis is a serious infection of the heart's inner lining, often caused by bacteria. Staph bacteria can also damage the heart valves and lead to heart failure. Endocarditis, most often from a bacterial infection, inflames the lining of your heart valves and chambers. Bacterial endocarditis is an infection of the heart’s inner lining or heart valves. It's a serious condition. Staph Infection Heart Valve.
From onlinelibrary.wiley.com
Coagulation At the heart of infective endocarditis Staph Infection Heart Valve Infective endocarditis is a rare bacterial infection affecting your heart valves. Timely treatment with antibiotics or surgery gives. Staph bacteria can also damage the heart valves and lead to heart failure. Clinical observations suggest that staphylococcus aureus infects either damaged or inflamed heart valves. Bacterial endocarditis is an infection of the heart’s inner lining or heart valves. It can damage. Staph Infection Heart Valve.
From slideplayer.com
Infective endocarditis ppt download Staph Infection Heart Valve Endocarditis, most often from a bacterial infection, inflames the lining of your heart valves and chambers. Review the appropriate evaluation skills required to assess suspected cases of infective endocarditis. Treatment includes several weeks of. Endocarditis is a serious infection of the heart's inner lining, often caused by bacteria. Infective endocarditis is a rare bacterial infection affecting your heart valves. Timely. Staph Infection Heart Valve.